Development of Minicircle Vectors Encoding COL7A1 Gene with Human Promoters for Non-Viral Gene Therapy for Recessive Dystrophic Epidermolysis Bullosa
Abstract
1. Introduction
2. Results
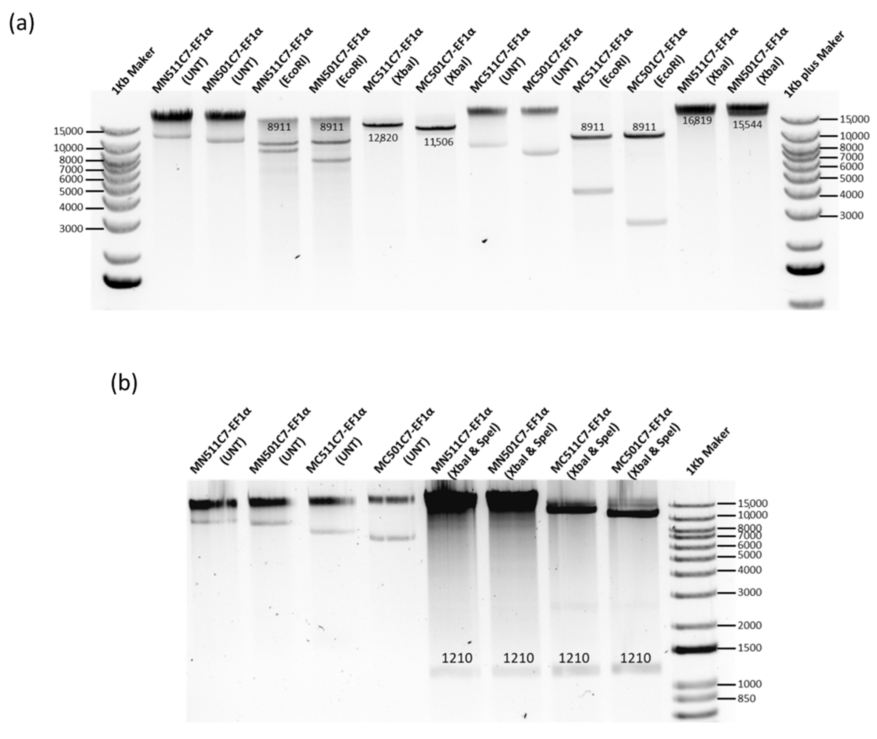
2.1. MN511C7 Parental Plasmid Generation
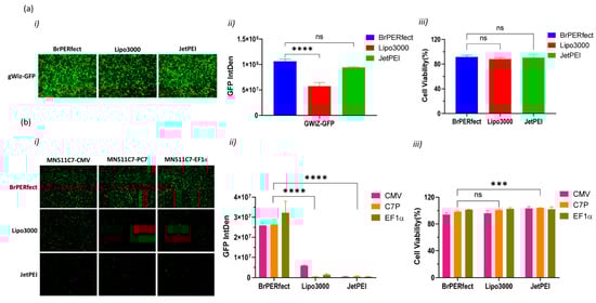
2.2. In Vitro Transfection Efficiency and Cell Viability on RDEB Cells Using Commercial Transfection Reagents
2.3. Comparison of Type VII Collagen Expression Level under CMV, C7P and EF1α Promoters
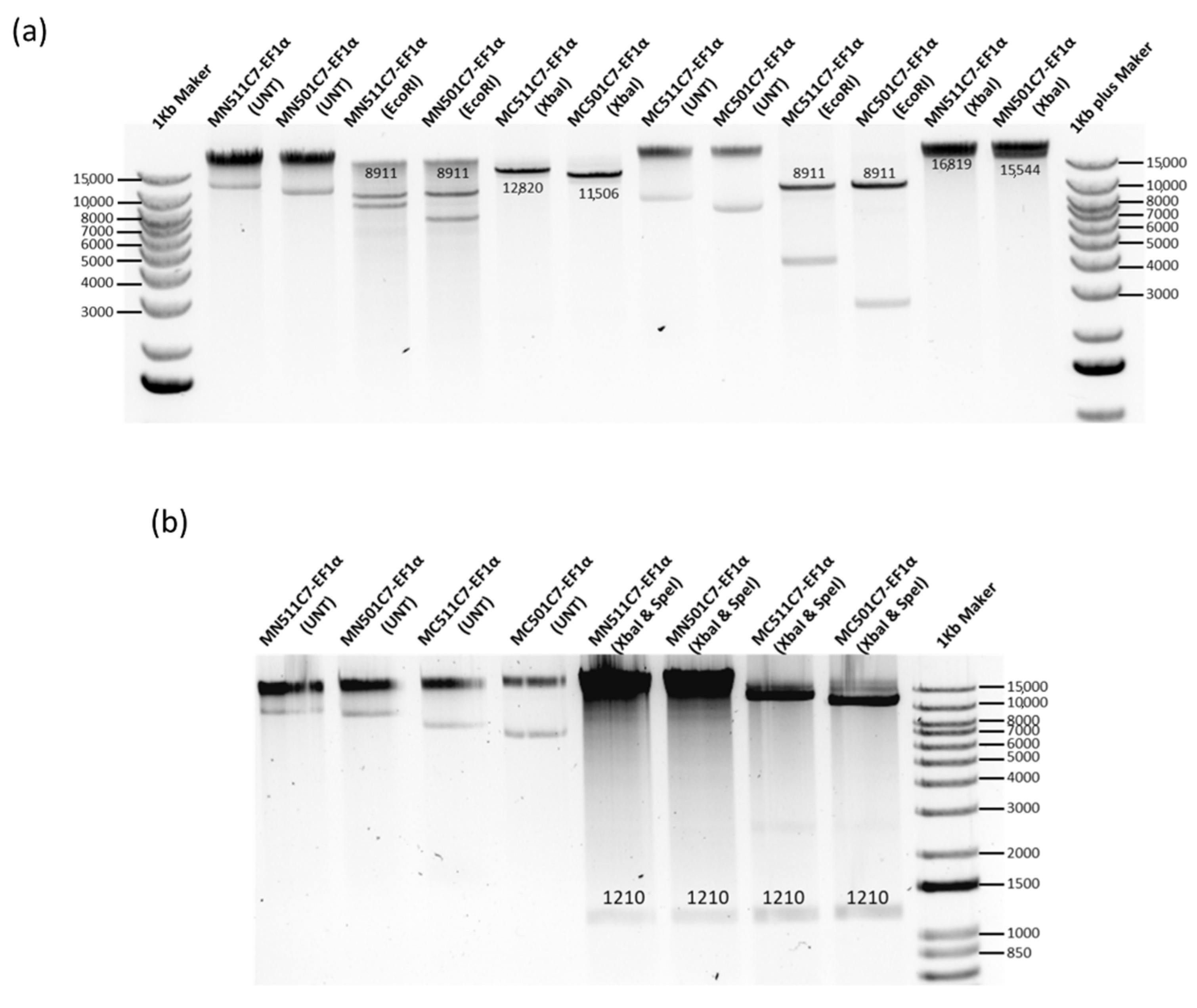
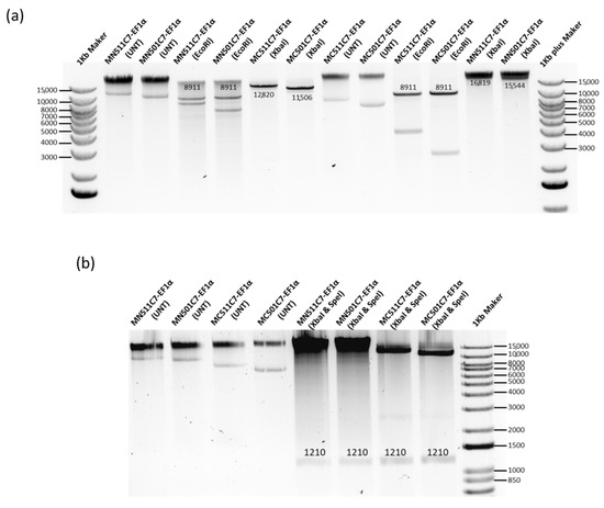
2.4. MN501C7 Parental Plasmid Construction and Minicircle Induction
2.5. In Vitro Transfection with MC501C7 in RDEBK Cells
3. Discussion
4. Materials and Methods
4.1. Collagen VII Minicircle Parental Plasmid Construction
4.2. Parental Plasmid/Minicircle Production and Purification
4.3. Cell Culture
4.4. Cell Transfection
4.5. Cell Viability
4.6. RT-qPCR
4.7. Western Blotting of Collagen VII
4.8. Flow Cytometric Analysis
4.9. Immunocytochemistry
4.10. Statistical Analysis
5. Conclusions
Supplementary Materials
Author Contributions
Funding
Data Availability Statement
Acknowledgments
Conflicts of Interest
References
- Järvikallio, A.; Pulkkinen, L.; Uitto, J. Molecular Basis of Dystrophic Epidermolysis Bullosa: Mutations in the Type VII Collagen Gene (COL7A1). Hum. Mutat. 1997, 10, 338–347. [Google Scholar] [CrossRef]
- Bardhan, A.; Bruckner-Tuderman, L.; Chapple, I.L.C.; Fine, J.-D.; Harper, N.; Has, C.; Magin, T.M.; Marinkovich, M.P.; Marshall, J.F.; McGrath, J.A.; et al. Epidermolysis Bullosa. Nat. Rev. Dis. Primers 2020, 6, 1–27. [Google Scholar] [CrossRef]
- Kiritsi, D.; Garcia, M.; Brander, R.; Has, C.; Meijer, R.; Jose Escámez, M.; Kohlhase, J.; van den Akker, P.C.; Scheffer, H.; Jonkman, M.F.; et al. Mechanisms of Natural Gene Therapy in Dystrophic Epidermolysis Bullosa. J. Investig. Dermatol. 2014, 134, 2097–2104. [Google Scholar] [CrossRef]
- Has, C.; Nyström, A.; Saeidian, A.H.; Bruckner-Tuderman, L.; Uitto, J. Epidermolysis Bullosa: Molecular Pathology of Connective Tissue Components in the Cutaneous Basement Membrane Zone. Matrix Biol. 2018, 71–72, 313–329. [Google Scholar] [CrossRef]
- Marinkovich, M.P.; Tang, J.Y. Gene Therapy for Epidermolysis Bullosa. J. Investig. Dermatol. 2019, 139, 1221–1226. [Google Scholar] [CrossRef]
- Christiano, A.M.; Hoffman, G.G.; Chung-Honet, L.C.; Lee, S.; Cheng, W.; Uitto, J.; Greenspan, D.S. Structural Organization of the Human Type VII Collagen Gene (COL7A1), Composed of More Exons Than Any Previously Characterized Gene. Genomics 1994, 21, 169–179. [Google Scholar] [CrossRef]
- Burgeson, R.E.; Murray, L.W.; Duncan, K.G.; Keene, D.R. The Structure of Type VII Collagen. Ann. N. Y. Acad. Sci. 1990, 580, 32–43. [Google Scholar] [CrossRef]
- Anderson, D.G.; Akinc, A.; Hossain, N.; Langer, R. Structure/Property Studies of Polymeric Gene Delivery Using a Library of Poly (β-Amino Esters). Mol. Ther. 2005, 11, 426–434. [Google Scholar] [CrossRef] [PubMed]
- Zhou, D.; Cutlar, L.; Gao, Y.; Wang, W.; O’Keeffe-Ahern, J.; McMahon, S.; Duarte, B.; Larcher, F.; Rodriguez, B.J.; Greiser, U.; et al. The Transition from Linear to Highly Branched Poly (β-Amino Ester)s: Branching Matters for Gene Delivery. Sci. Adv. 2016, 2, e1600102. [Google Scholar] [CrossRef] [PubMed]
- Buck, J.; Grossen, P.; Cullis, P.R.; Huwyler, J.; Witzigmann, D. Lipid-Based DNA Therapeutics: Hallmarks of Non-Viral Gene Delivery. ACS Nano 2019, 13, 3754–3782. [Google Scholar] [CrossRef]
- Guo, J.; Fisher, K.A.; Darcy, R.; Cryan, J.F.; O’Driscoll, C. Therapeutic Targeting in the Silent Era: Advances in Non-Viral SiRNA Delivery. Mol. BioSyst. 2010, 6, 1143–1161. [Google Scholar] [CrossRef] [PubMed]
- Green, J.J.; Langer, R.; Anderson, D.G. A Combinatorial Polymer Library Approach Yields Insight into Nonviral Gene Delivery. Acc. Chem. Res. 2008, 41, 749–759. [Google Scholar] [CrossRef] [PubMed]
- Kanasty, R. Delivery Materials for SiRNA Therapeutics. Nat. Mater. 2013, 12. [Google Scholar] [CrossRef] [PubMed]
- Zeng, M.; Xu, Q.; Zhou, D.; Sigen, A.; Alshehri, F.; Lara-Sáez, I.; Zheng, Y.; Li, M.; Wang, W. Highly Branched Poly (β-Amino Ester)s for Gene Delivery in Hereditary Skin Diseases. Adv. Drug Deliv. Rev. 2021, 176, 113842. [Google Scholar] [CrossRef] [PubMed]
- Campeau, P.; Chapdelaine, P.; Seigneurin-Venin, S.; Massie, B.; Tremblay, J. Transfection of Large Plasmids in Primary Human Myoblasts. Gene Ther. 2001, 8, 1387–1394. [Google Scholar] [CrossRef]
- Janich, C.; Ivanusic, D.; Giselbrecht, J.; Janich, E.; Pinnapireddy, S.R.; Hause, G.; Bakowsky, U.; Langner, A.; Wölk, C. Efficient Transfection of Large Plasmids Encoding HIV-1 into Human Cells—A High Potential Transfection System Based on a Peptide Mimicking Cationic Lipid. Pharmaceutics 2020, 12, 805. [Google Scholar] [CrossRef]
- Cutlar, L.; Zhou, D.; Gao, Y.; Zhao, T.; Greiser, U.; Wang, W.; Wang, W. Highly Branched Poly (β-Amino Esters): Synthesis and Application in Gene Delivery. Biomacromolecules 2015, 16, 2609–2617. [Google Scholar] [CrossRef]
- Qin, Y. Non-Viral Gene Delivery by Minicircle Vector Expressing Type VII Collagen for the Treatment of Recessive Dystrophic Epidermolysis Bullosa. Master’s Thesis, University College Dublin, Dublin, Ireland, 2017. [Google Scholar]
- Gaspar, V.; de Melo-Diogo, D.; Costa, E.; Moreira, A.; Queiroz, J.; Pichon, C.; Correia, I.; Sousa, F. Minicircle DNA Vectors for Gene Therapy: Advances and Applications. Expert Opin. Biol. Ther. 2015, 15, 353–379. [Google Scholar] [CrossRef]
- Yew, N.S.; Zhao, H.; Przybylska, M.; Wu, I.-H.; Tousignant, J.D.; Scheule, R.K.; Cheng, S.H. CpG-Depleted Plasmid DNA Vectors with Enhanced Safety and Long-Term Gene Expression in Vivo. Mol. Ther. 2002, 5, 731–738. [Google Scholar] [CrossRef]
- Chen, Z.-Y.; Riu, E.; He, C.-Y.; Xu, H.; Kay, M.A. Silencing of Episomal Transgene Expression in Liver by Plasmid Bacterial Backbone DNA Is Independent of CpG Methylation. Mol. Ther. 2008, 16, 548–556. [Google Scholar] [CrossRef]
- Stein, S.; Ott, M.G.; Schultze-Strasser, S.; Jauch, A.; Burwinkel, B.; Kinner, A.; Schmidt, M.; Krämer, A.; Schwäble, J.; Glimm, H.; et al. Genomic Instability and Myelodysplasia with Monosomy 7 Consequent to EVI1 Activation after Gene Therapy for Chronic Granulomatous Disease. Nat. Med. 2010, 16, 198–204. [Google Scholar] [CrossRef]
- Papadakis, E.; Nicklin, S.; Baker, A.; White, S. Promoters and Control Elements: Designing Expression Cassettes for Gene Therapy. CGT 2004, 4, 89–113. [Google Scholar] [CrossRef]
- Loisel, S.; Le Gall, C.; Doucet, L.; Ferec, C.; Floch, V. Contribution of Plasmid DNA to Hepatotoxicity after Systemic Administration of Lipoplexes. Hum. Gene Ther. 2001, 12, 685–696. [Google Scholar] [CrossRef]
- Tousignant, J.D.; Gates, A.L.; Ingram, L.A.; Johnson, C.L.; Nietupski, J.B.; Cheng, S.H.; Eastman, S.J.; Scheule, R.K. Comprehensive Analysis of the Acute Toxicities Induced by Systemic Administration of Cationic Lipid: Plasmid DNA Complexes in Mice. Hum. Gene Ther. 2000, 11, 2493–2513. [Google Scholar] [CrossRef] [PubMed]
- Lin, Z.; Li, S.; Feng, C.; Yang, S.; Wang, H.; Ma, D.; Zhang, J.; Gou, M.; Bu, D.; Zhang, T.; et al. Stabilizing Mutations of KLHL24 Ubiquitin Ligase Cause Loss of Keratin 14 and Human Skin Fragility. Nat. Genet. 2016, 48, 1508–1516. [Google Scholar] [CrossRef]
- Lin, M.T.S.; Wang, F.; Uitto, J.; Yoon, K. Differential Expression of Tissue-Specific Promoters by Gene Gun. Br. J. Dermatol. 2001, 144, 34–39. [Google Scholar] [CrossRef] [PubMed]
- Titeux, M.; Pendaries, V.; Zanta-Boussif, M.A.; Décha, A.; Pironon, N.; Tonasso, L.; Mejia, J.E.; Brice, A.; Danos, O.; Hovnanian, A. SIN Retroviral Vectors Expressing COL7A1 Under Human Promoters for Ex Vivo Gene Therapy of Recessive Dystrophic Epidermolysis Bullosa. Mol. Ther. 2010, 18, 1509–1518. [Google Scholar] [CrossRef] [PubMed]
- Vandermeulen, G.; Richiardi, H.; Escriou, V.; Ni, J.; Fournier, P.; Schirrmacher, V.; Scherman, D.; Préat, V. Skin-Specific Promoters for Genetic Immunisation by DNA Electroporation. Vaccine 2009, 27, 4272–4277. [Google Scholar] [CrossRef]
- Zheng, C.; Baum, B.J. All Human EF1α Promoters Are Not Equal: Markedly Affect Gene Expression in Constructs from Different Sources. Int. J. Med. Sci. 2014, 11, 404–408. [Google Scholar] [CrossRef]
- Doudna, J.A. The Promise and Challenge of Therapeutic Genome Editing. Nature 2020, 578, 229–236. [Google Scholar] [CrossRef]
- Teschendorf, C.; Warrington, K.H.; Siemann, D.W.; Muzyczka, N. Comparison of the EF-1 Alpha and the CMV Promoter for Engineering Stable Tumor Cell Lines Using Recombinant Adeno-Associated Virus. Anticancer. Res. 2002, 22, 3325–3330. [Google Scholar]
- Cutlar, L.; Zhou, D.; Hu, X.; Duarte, B.; Greiser, U.; Larcher, F.; Wang, W. A Non-Viral Gene Therapy for Treatment of Recessive Dystrophic Epidermolysis Bullosa. Exp. Derm. 2016, 25, 818–820. [Google Scholar] [CrossRef] [PubMed]
- Zeng, M.; Alshehri, F.; Zhou, D.; Lara-Sáez, I.; Wang, X.; Li, X.; Xu, Q.; Zhang, J.; Wang, W. Efficient and Robust Highly Branched Poly (β-Amino Ester)/Minicircle COL7A1 Polymeric Nanoparticles for Gene Delivery to Recessive Dystrophic Epidermolysis Bullosa Keratinocytes. ACS Appl. Mater. Interfaces 2019, 11, 30661–30672. [Google Scholar] [CrossRef]
- Zeng, M.; Zhou, D.; Alshehri, F.; Lara-Sáez, I.; Lyu, Y.; Creagh-Flynn, J.; Xu, Q.; Zhang, J.; Wang, W. Manipulation of Transgene Expression in Fibroblast Cells by a Multifunctional Linear-Branched Hybrid Poly (β-Amino Ester) Synthesized through an Oligomer Combination Approach. Nano Lett. 2019, 19, 381–391. [Google Scholar] [CrossRef]
- Hsu, C.-C.; Li, H.-P.; Hung, Y.-H.; Leu, Y.-W.; Wu, W.-H.; Wang, F.-S.; Lee, K.-D.; Chang, P.-J.; Wu, C.-S.; Lu, Y.-J.; et al. Targeted Methylation of CMV and E1A Viral Promoters. Biochem. Biophys. Res. Commun. 2010, 402, 228–234. [Google Scholar] [CrossRef] [PubMed]
- Alhaji, S.Y.; Nordin, N.; Ngai, S.C.; Al Abbar, A.; Mei, L.; Abdullah, S. Lack of Methylation on Transgene Leads to High Level and Persistent Transgene Expression in Induced Pluripotent Stem Cells. Gene 2020, 758, 144958. [Google Scholar] [CrossRef]
- Moritz, B.; Becker, P.B.; Göpfert, U. CMV Promoter Mutants with a Reduced Propensity to Productivity Loss in CHO Cells. Sci. Rep. 2015, 5, 16952. [Google Scholar] [CrossRef] [PubMed]
- Sinici, I.; Zarghooni, M.; Tropak, M.B.; Mahuran, D.J.; Özkara, H.A. Comparison of HCMV IE and EF-1 Promoters for the Stable Expression of β-Subunit of Hexosaminidase in CHO Cell Lines. Biochem. Genet. 2006, 44, 168–175. [Google Scholar] [CrossRef][Green Version]
- Almeida, A.M.; Queiroz, J.A.; Sousa, F.; Sousa, Â. Minicircle DNA: The Future for DNA-Based Vectors? Trends Biotechnol. 2020, 38, 1047–1051. [Google Scholar] [CrossRef] [PubMed]
- Woodley, D.T.; Atha, T.; Huang, Y.; Chen, M.; Krueger, G.G.; Jorgensen, C.M.; Fairley, J.A.; Chan, L.; Keene, D.R. Normal and Gene-Corrected Dystrophic Epidermolysis Bullosa Fibroblasts Alone Can Produce Type VII Collagen at the Basement Membrane Zone. J. Investig. Dermatol. 2003, 121, 1021–1028. [Google Scholar] [CrossRef]
- Pfützner, W.; Vogel, J.C. Topical Colchicine Selection of Keratinocytes Transduced with the Multidrug Resistance Gene (MDR1) Can Sustain and Enhance Transgene Expression in Vivo. Cells Tissues Organs 2004, 177, 151–159. [Google Scholar] [CrossRef] [PubMed]
- Kay, M.A.; He, C.-Y.; Chen, Z.-Y. A Robust System for Production of Minicircle DNA Vectors. Nat. Biotechnol. 2010, 28, 1287–1289. [Google Scholar] [CrossRef] [PubMed]
- Bonafont, J.; Mencía, Á.; García, M.; Torres, R.; Rodríguez, S.; Carretero, M.; Chacón-Solano, E.; Modamio-Høybjør, S.; Marinas, L.; León, C.; et al. Clinically Relevant Correction of Recessive Dystrophic Epidermolysis Bullosa by Dual SgRNA CRISPR/Cas9-Mediated Gene Editing. Mol. Ther. 2019, 27, 986–998. [Google Scholar] [CrossRef] [PubMed]
- Bornert, O.; Kocher, T.; Gretzmeier, C.; Liemberger, B.; Hainzl, S.; Koller, U.; Nyström, A. Generation of Rabbit Polyclonal Human and Murine Collagen VII Monospecific Antibodies: A Useful Tool for Dystrophic Epidermolysis Bullosa Therapy Studies. Matrix Biol. Plus 2019, 4, 100017. [Google Scholar] [CrossRef] [PubMed]





Publisher’s Note: MDPI stays neutral with regard to jurisdictional claims in published maps and institutional affiliations. |
© 2021 by the authors. Licensee MDPI, Basel, Switzerland. This article is an open access article distributed under the terms and conditions of the Creative Commons Attribution (CC BY) license (https://creativecommons.org/licenses/by/4.0/).
Share and Cite
Wang, X.; Alshehri, F.; Manzanares, D.; Li, Y.; He, Z.; Qiu, B.; Zeng, M.; A, S.; Lara-Sáez, I.; Wang, W. Development of Minicircle Vectors Encoding COL7A1 Gene with Human Promoters for Non-Viral Gene Therapy for Recessive Dystrophic Epidermolysis Bullosa. Int. J. Mol. Sci. 2021, 22, 12774. https://doi.org/10.3390/ijms222312774
Wang X, Alshehri F, Manzanares D, Li Y, He Z, Qiu B, Zeng M, A S, Lara-Sáez I, Wang W. Development of Minicircle Vectors Encoding COL7A1 Gene with Human Promoters for Non-Viral Gene Therapy for Recessive Dystrophic Epidermolysis Bullosa. International Journal of Molecular Sciences. 2021; 22(23):12774. https://doi.org/10.3390/ijms222312774
Chicago/Turabian StyleWang, Xianqing, Fatma Alshehri, Darío Manzanares, Yinghao Li, Zhonglei He, Bei Qiu, Ming Zeng, Sigen A, Irene Lara-Sáez, and Wenxin Wang. 2021. "Development of Minicircle Vectors Encoding COL7A1 Gene with Human Promoters for Non-Viral Gene Therapy for Recessive Dystrophic Epidermolysis Bullosa" International Journal of Molecular Sciences 22, no. 23: 12774. https://doi.org/10.3390/ijms222312774
APA StyleWang, X., Alshehri, F., Manzanares, D., Li, Y., He, Z., Qiu, B., Zeng, M., A, S., Lara-Sáez, I., & Wang, W. (2021). Development of Minicircle Vectors Encoding COL7A1 Gene with Human Promoters for Non-Viral Gene Therapy for Recessive Dystrophic Epidermolysis Bullosa. International Journal of Molecular Sciences, 22(23), 12774. https://doi.org/10.3390/ijms222312774

