Occurrence of Textile Dyes and Metals in Tunisian Textile Dyeing Effluent: Effects on Oxidative Stress Status and Histological Changes in Balb/c Mice
Abstract
:1. Introduction
2. Results
2.1. Occurrence of Metals, Textile Dyes, and Aromatic Amines
2.2. In Vivo Toxicological Investigations
2.2.1. Biochemical Indicators of Lipid Peroxidation and Oxidative Stress
Malondialdehyde (MDA) Level in Homogenate of Liver and Kidney
Conjugated Dienes (CDs) Level in Homogenate of Liver and Kidney
Sulfhydryl Proteins (SHP) Activity in Homogenate of Liver and Kidney
Catalase activity in Homogenate of Liver and Kidney
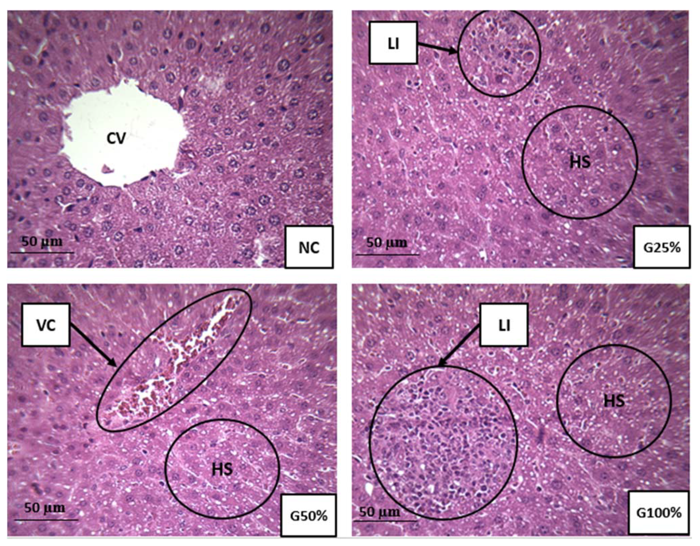
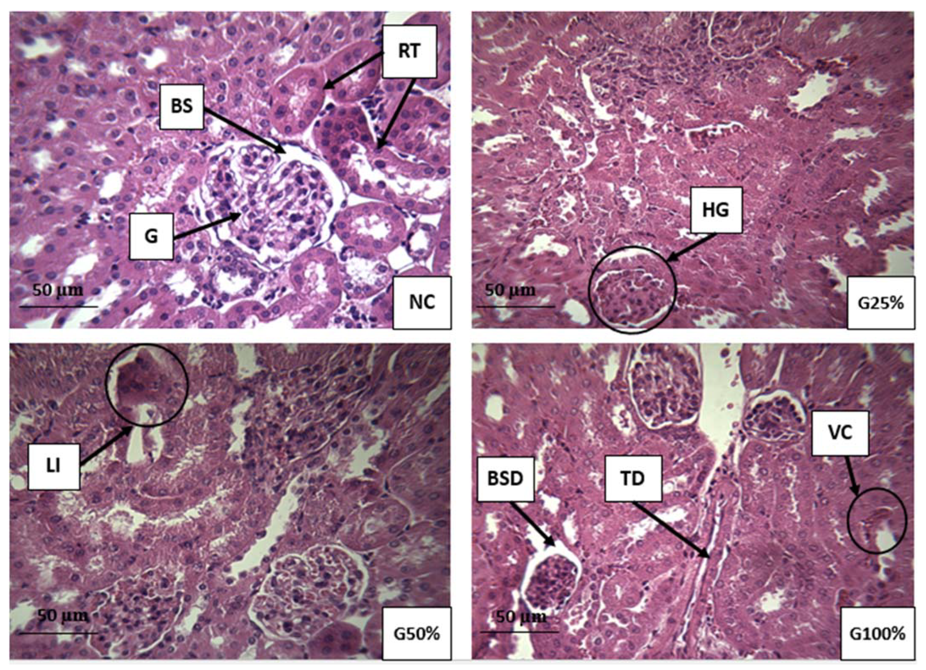
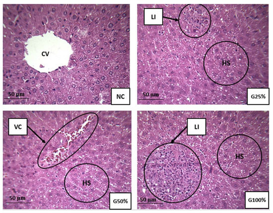
2.2.2. Histopathological Assessment of the Liver and Kidney
3. Discussion
4. Materials and Methods
4.1. Wastewater Sampling
4.2. Quantification of Metal Elements
4.3. Analysis of Textile Dyes and Aromatic Amines
4.4. In Vivo Study
4.4.1. Animals and Treatments
4.4.2. Measurement of Oxidative Stress Biomarkers
4.4.3. Histopathologycal Analysis
5. Conclusions
Author Contributions
Funding
Institutional Review Board Statement
Informed Consent Statement
Data Availability Statement
Conflicts of Interest
References
- Savin, I.L.; Butnaru, R. Wastewater characteristics in textile finishing mills. Environ. Eng. Manage. J. 2008, 7, 859–864. [Google Scholar] [CrossRef]
- Carneiro, P.A.; Umbuzeiro, G.A.; Oliveira, D.P.; Zanoni, M.V.B. Assessment of water contamination caused by a mutagenic textile effluent/dyehouse effluent bearing disperse dyes. J. Hazard. Mater. 2010, 174, 694–699. [Google Scholar] [CrossRef] [PubMed]
- Akhtar, M.F.; Ashraf, M.; Javeed, A.; Anjum, A.A.; Sharif, A.; Saleem, A.; Akhtar, B.; Khan, A.M.; Altaf, I. Toxicity appraisal of untreated dyeing industry wastewater based on chemical characterization and short term bioassays. Bull. Environ. Contam. Toxicol. 2016, 96, 502–507. [Google Scholar] [CrossRef] [PubMed]
- Castro, A.M.; Nogueira, V.; Lopes, I.; Rocha-Santos, T.; Pereira, R. Evaluation of the potential toxicity of effluents from the textile industry before and after treatment. Appl. Sci. 2019, 9, 3804. [Google Scholar] [CrossRef] [Green Version]
- Wille, K.; De Brabander, H.F.; De Wulf, E.; Van Caeter, P.; Janssen, C.R.; Vanhaecke, L. Coupled chromatographic and mass-spectrometric techniques for the analysis of emerging pollutants in the aquatic environment. TrAC Trends Anal. Chem. 2012, 35, 87–108. [Google Scholar] [CrossRef]
- Zocolo, G.J.; Pilon dos Santos, G.; Vendemiatti, J.; Vacchi, F.I.; de Aragão Umbuzeiro, A.; Zanoni, M.V. Using SPE-LC-ESI-MS/MS analysis to assess disperse dyes in environmental water samples. J. Chromatogr. Sci. 2015, 53, 1257–1264. [Google Scholar] [CrossRef]
- Suryavathi, V.; Sharma, S.; Sharma, S.; Saxena, P.; Pandey, S.; Grover, R.; Kumar, S.; Sharma, K.P. Acute toxicity of textile dye wastewaters (untreated and treated) of Sanganar on male reproductive systems of albino rats and mice. Reprod. Toxicol. 2005, 19, 547–556. [Google Scholar] [CrossRef]
- Lima, R.O.A.; Bazo, A.P.; Salvadori, D.M.F.; Rech, C.M.; Oliveira, D.P.; Umbuzeiro, G.A. Mutagenic and carcinogenic potentiel of a textile azo dye processing plant effluent that impacts a drinking water source. Mutat. Res. 2007, 626, 53–60. [Google Scholar] [CrossRef]
- Mansour, H.B.; Houas, I.; Montassar, F.; Ghedira, K.; Barillier, D.; Mosrati, R.; Chekir-Ghedira, L. Alteration of in vitro and acute in vivo toxicity of textile dyeing wastewater after chemical and biological remediation. Environ. Sci. Pollut. Res. 2012, 19, 2634–2643. [Google Scholar] [CrossRef]
- Schiliro, T.; Porfido, A.; Spina, F.; Varese, G.C.; Gilli, G. Oestrogenic activity of a textile industrial wastewater treatment plant effluent evaluated by the E-screen test and MELN gene-reporter luciferase assay. Sci. Total Environ. 2012, 432, 389–395. [Google Scholar] [CrossRef]
- Sharma, K.P.; Sharma, S.; Sharma, S.; Singh, P.K.; Kumar, S.; Grover, R.; Sharma, P.K. A comparative study on characterization of textile wastewaters (untreated and treated) toxicity by chemical and biological tests. Chemosphere 2007, 69, 48–54. [Google Scholar] [CrossRef] [PubMed]
- Liang, J.; Ning, X.; Sun, J.; Song, J.; Lu, J.; Cai, H.; Hong, Y. Toxicity evaluation of textile dyeing effluent and its possible relationship with chemical oxygen demand. Ecotox. Environ. Saf. 2018, 166, 56–62. [Google Scholar] [CrossRef]
- Methneni, N.; González, J.A.M.; Jaziri, A.; Mansour, H.B.; Fernandez-Serrano, M. Persistent organic and inorganic pollutants in the effluents from the textile dyeing industries: Ecotoxicology appraisal via a battery of biotests. Environ. Res. 2021, 196, 110956. [Google Scholar] [CrossRef]
- Oloyede, A.M.; Ogunlaja, O.; Ogunlaja, A. Sub-chronic Toxicity assessment of local textile ‘Adire and Kampala’ (Tie and Dye) Effluents on Mice (Mus musculus). Res. J. Environ. Sci. 2014, 8, 142–148. [Google Scholar] [CrossRef]
- Bhavesh, K.V.; Tank, S.K. Toxicity study of textile effluent of Udhna, Surat Region (Gujarat) on wistar albino rat. Univers. J. Environ. Res. Technol. 2015, 5, 31–40. [Google Scholar]
- Afsa, S.; Sallem, O.F.; Abdeljelil, N.B.; Feriani, A.; Najjar, M.F.; Mansour, H.B. In vivo toxicities of the hospital effluent in Mahdia Tunisia. J. Water Health 2021, 19, 499–511. [Google Scholar] [CrossRef]
- Methneni, N.; González, J.A.M.; Van Loco, J.; Anthonissen, R.; Van de Maele, J.; Verschaeve, L.; Fernandez-Serrano, M.; Mansour, H.B. Ecotoxicity profile of heavily contaminated surface water of two rivers in Tunisia. Environ. Toxicol. Pharmacol. 2020, 82, 103550. [Google Scholar] [CrossRef] [PubMed]
- Shakir, L.; Ejaz, S.; Ashraf, M.; Ahmad, N.; Javeed, A. Characterization of tannery effluent wastewater by proton-induced X-ray emission (PIXE) analysis to investigate their role in water pollution. Environ. Sci. Pollut. Res. 2012, 19, 492–501. [Google Scholar] [CrossRef]
- Akhtar, M.F.; Ashraf, M.; Anjum, A.A.; Javeed, A.; Sharif, A.; Saleem, A.; Akhtar, B. Textile industrial effluent induces mutagenicity and oxidative DNA damage and exploits oxidative stress biomarkers in rats. Environ. Toxicol. Pharmacol. 2016, 41, 180–186. [Google Scholar] [CrossRef] [PubMed]
- Akhtar, M.F.; Ashraf, M.; Javeed, A.; Anjum, A.A.; Sharif, A.; Saleem, A.; Mustafa, G.; Ashraf, M.; Saleem, A.; Akhtar, B. Association of textile industry effluent with mutagenicity and its toxic health implications upon acute and sub-chronic exposure. Environ. Monit. Assess. 2018, 190, 179. [Google Scholar] [CrossRef] [PubMed]
- Zeiner, M.; Rezic, I.; Steffan, I. Analytical methods for the determination of heavy metals in the textile industry. J. Chem. Chem. Eng. 2007, 56, 587–595. Available online: https://hrcak.srce.hr/17468 (accessed on 3 September 2021).
- Hemachandra, C.; Pathiratne, A. Assessing toxicity of copper, cadmium and chromium levels relevant to discharge limits of industrial effluents into inland surface waters using common onion, Allium cepa bioassay. Bull. Environ. Contam. Toxicol. 2015, 94, 199–203. [Google Scholar] [CrossRef] [PubMed]
- Almeida, E.J.R.; Corso, C.R. Decolorization and removal of toxicity of textile azo dyes using fungal biomass pelletized. Int. J. Environ. Sci. Technol. 2019, 16, 1319–1328. [Google Scholar] [CrossRef] [Green Version]
- Daneshvar, N.; Ayazloo, M.; Khataee, A.R.; Pourhassan, M. Biological decolorization of dye solution containing Malachite Green by microalgae Cosmarium sp. Bioresour. Technol. 2007, 98, 1176–1182. [Google Scholar] [CrossRef] [PubMed]
- Jadhav, J.P.; Govindwar, S.P. Biotransformation of malachite green by Saccharomyces cerevisiae MTCC 463. Yeast 2006, 23, 315–323. [Google Scholar] [CrossRef] [PubMed]
- Mansour, H.B.; Corroler, D.; Barillier, D.; Ghedira, K.; Chekir, L.; Mosrati, R. Evaluation of genotoxicity and pro-oxidant effect of the azo dyes: Acids yellow 17, violet 7 and orange 52, and of their degradation products by Pseudomonas putida mt-2. Food Chem. Toxicol. 2007, 45, 1670–1677. [Google Scholar] [CrossRef]
- Liu, H.; Yu, H.; Giesy, J.P.; Sun, Y.; Wang, X. Toxicity of HC Orange No. 1 to Daphnia magna, zebrafish (Brachydanio rerio) embryos, and goldfish (Carassius auratus). Chemosphere 2007, 66, 2159–2165. [Google Scholar] [CrossRef]
- Vacchi, F.I.; Vendemiatti, J.A.; Brosselin, V.; da Silva, B.F.; Zanoni, M.V.B.; DeMeo, M.; Bony, S.; Devaux, A.; Umbuzeiro, G.A. Combining different assays and chemical analysis to characterize the genotoxicity of waters impacted by textile discharges. Environ. Mol. Mutagen. 2016, 57, 559–571. [Google Scholar] [CrossRef] [PubMed]
- Vacchi, F.I.; Vendemiatti, J.A.S.; da Silva, B.F.; Zanoni, M.V.B.; Umbuzeiro, G.A. Quantifying the contribution of dyes to the mutagenicity of waters under the influence of textile activities. Sci. Total Environ. 2017, 601, 230–236. [Google Scholar] [CrossRef] [PubMed] [Green Version]
- Schuetze, A.; Heberer, T.; Juergensen, S. Occurrence of residues of the veterinary crystal (gentian) violet in wild eels caught downstream from municipal sewage treatment plants. Environ. Chem. 2008, 72, 1664–1670. [Google Scholar] [CrossRef]
- Belpaire, C.; Reyns, T.; Geeraerts, C.; Van Loco, J. Toxic textile dyes accumulate in wild European eel Anguilla anguilla. Chemosphere 2015, 138, 784–791. [Google Scholar] [CrossRef] [PubMed]
- Nelson, C.R.; Hites, R.A. Aromatic amines in and near the Buffalo River. Environ. Sci. Technol. 1980, 14, 1147–1149. [Google Scholar] [CrossRef]
- Freeman, H.S. Aromatic amines: Use in azo dye chemistry. Front. Biosci. 2013, 18, 145–164. [Google Scholar] [CrossRef] [Green Version]
- Josephy, P.D.; Zahid, M.; Dhanoa, J.; de Souza, G.B.D.; Groom, H.; Lambie, M. Potent mutagenicity in the Ames test of 2-cyano-4- nitroaniline and 2,6-dicyano-4-nitroaniline, components of disperse dyes. Environ. Mol. Mutagen. 2016, 57, 10–16. [Google Scholar] [CrossRef]
- Bruschweiler, B.J.; Kung, S.; Burgi, D.; Muralt, L.; Nyfeler, E. Identification of non-regulated aromatic amines of toxicological concern which can be cleaved from azo dyes used in clothing textiles. Regul. Toxicol. Pharmacol. 2014, 69, 263–272. [Google Scholar] [CrossRef]
- Oliveira, D.P.; Carneiro, P.A.; Sakagami, M.K.; Zanoni, M.V.B.; Umbuzeiro, G.A. Chemical characterization of a dye processing plant effluent—Identification of the mutagenic components. Mutat. Res. Genet. Toxicol. Environ. Mutagen. 2007, 626, 135–142. [Google Scholar] [CrossRef] [PubMed]
- Özkana, B.C.; Fırat, M.; Chormey, D.S.; Bakırdere, S. Accurate and sensitive determination of harmful aromatic amine products of azo dyes in wastewater and textile samples by GC–MS after multivariate optimization of binary solvent dispersive liquid-liquid microextraction. Microchem. J. 2019, 145, 84–89. [Google Scholar] [CrossRef]
- Patlolla, A.K.; Barnes, C.; Yedjou, C.; Velma, V.; Tchounwou, P.B. Oxidative stress, DNA damage, and antioxidant enzyme activity induced by hexavalent chromium in Sprague-Dawley rats. Environ. Toxicol. 2009, 24, 66–73. [Google Scholar] [CrossRef] [Green Version]
- Amin, T.; Afrin, M.; Haque, Z.; Islam, M.R. Toxicity of textile dye wastewater on liver of mice. J. Agric. Vet. Sci. 2016, 9, 29–34. [Google Scholar] [CrossRef]
- Adeoye, G.O.; Alimba, C.G.; Oyeleke, O.B. The genotoxicity and systemic toxicity of a pharmaceutical effluent in Wistar rats may involve oxidative stress induction. Toxicol. Rep. 2015, 2, 1265–1272. [Google Scholar] [CrossRef] [PubMed] [Green Version]
- Maselli, B.D.S.; Luna, L.A.V.; Palmeira, J.D.O.; Tavares, K.P.; Barbosa, S.; Beijo, L.A.; Umbuzeiro, G.A.; Kummrow, F. Ecotoxicity of raw and treated effluents generated by a veterinary pharmaceutical company: A comparison of the sensitivities of different standardized tests. Ecotoxicology 2015, 24, 795–804. [Google Scholar] [CrossRef] [PubMed]
- Perluigi, M.; Coccia, R.; Butterfield, D.A. 4-Hydroxy-2-Nonenal, a reactive product of lipid peroxidation, and neurodegenerative diseases: A toxic combination illuminated by redox proteomics studies. Antioxid. Redox Signal. 2012, 17, 1590–1609. [Google Scholar] [CrossRef] [PubMed] [Green Version]
- Winterboum, C.C.; Hampton, M.B. Thiol chemistry and specificity in redox signaling. Free Radic. Biol. Med. 2008, 45, 549–561. [Google Scholar] [CrossRef]
- Timbrel, J.A. Principles of Biochemical Toxicology, 4th ed.; CRC Press: New York, NY, USA, 2009; p. 464. [Google Scholar] [CrossRef]
- Ramaiah, S.; Jaeschke, H. Role of neutrophils in the pathogenesis of acute inflammatory liver injury. Toxicol. Pathol. 2007, 35, 757–766. [Google Scholar] [CrossRef]
- Valko, M.; Morris, H.; Cronin, M. Metals, toxicity and oxidative stress. Curr. Med. Chem. 2005, 12, 1161–1208. [Google Scholar] [CrossRef] [Green Version]
- Jomova, K.; Valko, M. Advances in metal-induced oxidative stress and human disease. Toxicology 2011, 283, 65–87. [Google Scholar] [CrossRef]
- Liu, S.X.; Athar, M.; Lippai, I.; Waldren, C.; Hei, T.K. Induction of oxyradicals by arsenic: Implication for mechanism of genotoxicity. Proc. Natl. Acad. Sci. USA 2001, 98, 1643–1648. [Google Scholar] [CrossRef] [PubMed]
- Dong, J.-T.; Luo, X.-M. Arsenic-induced DNA-strand breaks associated with DNA-protein crosslinks in human fetal lung fibroblasts. Mutat. Res. Lett. 1993, 302, 97–102. [Google Scholar] [CrossRef]
- Bagchi, D.; Bagchi, M.; Stohs, S.J. Chromium (VI)-induced oxidative stress, apoptotic cell death and modulation of p53 tumor suppressor gene. Mol. Cell. Biochem. 2001, 222, 149–158. [Google Scholar] [CrossRef]
- Bagchi, D.; Joshi, S.; Bagchi, M.; Balmoori, J.; Benner, E.; Kuszynski, C.; Stohs, S. Cadmium-and chromium-induced oxidative stress, DNA damage, and apoptotic cell death in cultured human chronic myelogenous leukemic K562 cells, promyelocytic leukemic HL-60 cells, and normal human peripheral blood mononuclear cells. J. Biochem. Mol. Toxicol. 2000, 14, 33–41. [Google Scholar] [CrossRef]
- Ezaka, E.; Anyanwu, C. Chromium (VI) tolerance of bacterial strains isolated from sewage oxidation ditch. Int. J. Environ. Sci. 2011, 1, 1725–1734. [Google Scholar]
- Lee, D.H.; O’Connor, T.R.; Pfeifer, G.P. Oxidative DNA damage induced by copper and hydrogen peroxide promotes CG→TT tandem mutations at methylated CpG dinucleotides in nucleotide excision repair-deficient cells. Nucleic Acids Res. 2002, 30, 3566–3573. [Google Scholar] [CrossRef] [PubMed] [Green Version]
- Atienzar, F.A.; Cheung, V.V.; Jha, A.N.; Depledge, M.H. Fitness parameters and DNA effects are sensitive indicators of copper-induced toxicity in Daphnia magna. Toxicol. Sci. 2001, 59, 241–250. [Google Scholar] [CrossRef] [Green Version]
- Tripathi, B.N.; Gaur, J. Relationship between copper-and zinc-induced oxidative stress and proline accumulation in Scenedesmus sp. Planta 2004, 219, 397–404. [Google Scholar] [CrossRef]
- Lima, P.D.L.; Vasconcellos, M.C.; Bahia, M.O.; Montenegro, R.C.; Pessoa, C.O.; Costa-Lotufo, L.V.; Moraes, M.O.; Burbano, R.R. Genotoxic and cytotoxic effects of manganese chloride in cultured human lymphocytes treated in different phases of cell cycle. Toxicol. In Vitro 2008, 22, 1032–1037. [Google Scholar] [CrossRef]
- Mani, S.; Bharagava, R.N. Exposure to crystal violet, its toxic, genotoxic and carcinogenic effects on environment and its degradation and detoxification for environmental safety. Rev. Environ. Contam. Toxicol. 2016, 237, 71–104. [Google Scholar] [CrossRef] [PubMed]
- Parshetti, G.K.; Parshetti, S.G.; Telke, A.A.; Kalyani, D.C.; Doong, R.A.; Govindwar, S.P. Biodegradation of crystal violet by Agrobacterium radiobacter. J. Environ. Sci. 2011, 23, 1384–1393. [Google Scholar] [CrossRef]
- Fan, H.J.; Huang, S.T.; Chung, W.H.; Jan, J.L.; Lin, W.Y.; Chen, C.C. Degradation pathways of crystal violet by fenton and fenton-like systems: Condition optimization and intermediate separation and identification. J. Hazard. Mater. 2009, 171, 1032–1044. [Google Scholar] [CrossRef]
- Reyns, T.; Belpaire, C.; Geeraerts, C.; Van Loco, J. Multi-dye residue analysis of triarylmethane, xanthene, phenothiazine and phenoxazine dyes in fish tissues by ultra-performance liquid chromatography-tandem mass spectrometry. J. Chromatogr. B 2015, 953, 92–101. [Google Scholar] [CrossRef]
- Williams, O. Water intake in the deer mouse. J. Mammal. 1959, 40, 602–606. [Google Scholar] [CrossRef]
- Siqueira, I.R.; Vanzella, C.; Bianchetti, P.; Rodrigues, M.A.S.; Stülp, S. Anxiety-like behaviour in mice exposed to tannery wastewater: The effect of photoelectrooxidation treatment. Neurotoxicol. Teratol. 2011, 33, 481–484. [Google Scholar] [CrossRef]
- Moysés, F.; Bertoldi, K.; Spindler, C.; Sanches, E.F.; Elsner, V.R.; Rodrigues, M.A.S.; Siqueira, I.R. Exposition to tannery wastewater did not alter behavioral and biochemical parameters in Wistar rats. Physiol. Behav. 2014, 129, 160–166. [Google Scholar] [CrossRef]
- Bradford, M.M. A rapid and sensitive method for the quantitation of microgram quantities of protein utilizing the principle of protein-dye binding. Anal. Biochem. 1976, 7, 248–254. [Google Scholar] [CrossRef]
- Zhang, Y.; Luo, Y.; Hou, Y.X.; Jiang, H.; Chen, Q.; Tang, H.R. Chilling acclimation induced changes in the distribution of H2O2 and antioxidant system of strawberry leaves. Agric. J. 2008, 3, 286–291. [Google Scholar]
- Tabrez, S.; Ahmad, M. Effect of wastewater intake on antioxidant and marker enzymes of tissue damage in rat tissues: Implications for the use of biochemical markers. Food Chem. Toxicol. 2009, 47, 2465–2478. [Google Scholar] [CrossRef] [PubMed]
- Şahin, E.; Gümüşlü, S. Immobilization stress in rat tissues: Alterations in protein oxidation, lipid peroxidation and antioxidant defense system. Comp. Biochem. Physiol. Part C Toxicol. Pharmacol. 2007, 144, 342–347. [Google Scholar] [CrossRef] [PubMed]
- Manda, K.; Ueno, M.; Moritake, T.; Anzai, K. Radiation-induced cognitive dysfunction and cerebellar oxidative stress in mice: Protective effect of ⍺-lipoic acid. Behav. Brain Res. 2007, 177, 7–14. [Google Scholar] [CrossRef] [PubMed]




| Metals | Concentrations (mg/L) | Tunisian Guide Level (mg/L) | WHO Guide Level (mg/L) |
|---|---|---|---|
| Li | 0.07 | NI | NI |
| Sc | 0.001 | NI | NI |
| Ti | 0.003 | NI | NI |
| Ag | ND | NI | NI |
| Cd | ND | NI | 0.003 |
| V | 0.02 | NI | NI |
| Cr | 0.05 | 0.01 | 0.05 |
| Mn | 0.25 | NI | 0.5 |
| Co | 0.001 | NI | NI |
| Ni | 0.01 | 0.2 | 0.02 |
| Cu | 0.2 | 0.5 | 2 |
| Zn | 0.04 | NI | 2 |
| Ga | 0.004 | NI | NI |
| As | 0.02 | 0.05 | 0.01 |
| Se | 0.003 | NI | NI |
| Rb | 0.02 | NI | NI |
| Sr | 5.5 | NI | 0.05 |
| Mo | 0.005 | NI | NI |
| Sn | 0.004 | 2 | NI |
| Sb | 0.08 | 0.1 | NI |
| Ba | 0.14 | NI | NI |
| Pb | 0.001 | NI | 0.01 |
| U | 0.001 | NI | NI |
| Target Compounds | Limit of Detection (μg/L) | Concentrations (μg/L) | Tunisian Guide Level |
|---|---|---|---|
| Malachit green | 0.001 | - | NI |
| Leuco-malachit green | 0.001 | - | NI |
| Crystal violet | 0.001 | 0.015 | NI |
| Leuco-crystal violet | 0.001 | - | NI |
| Brilliant green | 0.001 | - | NI |
| Disperse Yellow 3 | 0.002 | 2.22 | NI |
| Disperse Orange 37 | 0.0136 | - | NI |
| Disperse Red 1 | 0.0003 | - | NI |
| Acid Red 73 | 0.001 | - | NI |
| Tartrazine | 0.006 | - | NI |
Publisher’s Note: MDPI stays neutral with regard to jurisdictional claims in published maps and institutional affiliations. |
© 2021 by the authors. Licensee MDPI, Basel, Switzerland. This article is an open access article distributed under the terms and conditions of the Creative Commons Attribution (CC BY) license (https://creativecommons.org/licenses/by/4.0/).
Share and Cite
Methneni, N.; Ezdini, K.; Ben Abdeljelil, N.; Van Loco, J.; Van den Houwe, K.; Jabeur, R.; Fekih Sallem, O.; Jaziri, A.; Fernandez-Serrano, M.; Khdary, N.H.; et al. Occurrence of Textile Dyes and Metals in Tunisian Textile Dyeing Effluent: Effects on Oxidative Stress Status and Histological Changes in Balb/c Mice. Int. J. Mol. Sci. 2021, 22, 12568. https://doi.org/10.3390/ijms222212568
Methneni N, Ezdini K, Ben Abdeljelil N, Van Loco J, Van den Houwe K, Jabeur R, Fekih Sallem O, Jaziri A, Fernandez-Serrano M, Khdary NH, et al. Occurrence of Textile Dyes and Metals in Tunisian Textile Dyeing Effluent: Effects on Oxidative Stress Status and Histological Changes in Balb/c Mice. International Journal of Molecular Sciences. 2021; 22(22):12568. https://doi.org/10.3390/ijms222212568
Chicago/Turabian StyleMethneni, Nosra, Khawla Ezdini, Nouha Ben Abdeljelil, Joris Van Loco, Kathy Van den Houwe, Riheb Jabeur, Ons Fekih Sallem, Ahlem Jaziri, Mercedes Fernandez-Serrano, Nezar H. Khdary, and et al. 2021. "Occurrence of Textile Dyes and Metals in Tunisian Textile Dyeing Effluent: Effects on Oxidative Stress Status and Histological Changes in Balb/c Mice" International Journal of Molecular Sciences 22, no. 22: 12568. https://doi.org/10.3390/ijms222212568
APA StyleMethneni, N., Ezdini, K., Ben Abdeljelil, N., Van Loco, J., Van den Houwe, K., Jabeur, R., Fekih Sallem, O., Jaziri, A., Fernandez-Serrano, M., Khdary, N. H., & Ben Mansour, H. (2021). Occurrence of Textile Dyes and Metals in Tunisian Textile Dyeing Effluent: Effects on Oxidative Stress Status and Histological Changes in Balb/c Mice. International Journal of Molecular Sciences, 22(22), 12568. https://doi.org/10.3390/ijms222212568

