IL13 May Play an Important Role in Developing Eosinophilic Chronic Rhinosinusitis and Eosinophilic Otitis Media with Severe Asthma
Abstract
:1. Introduction
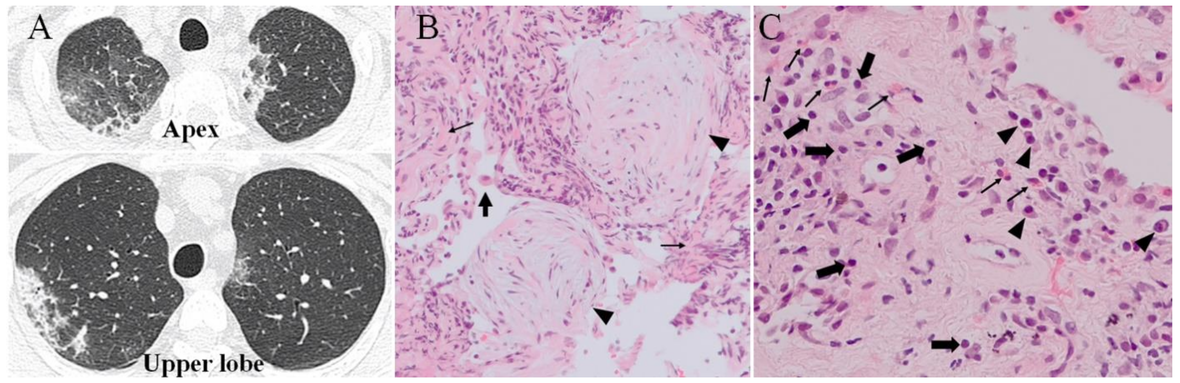
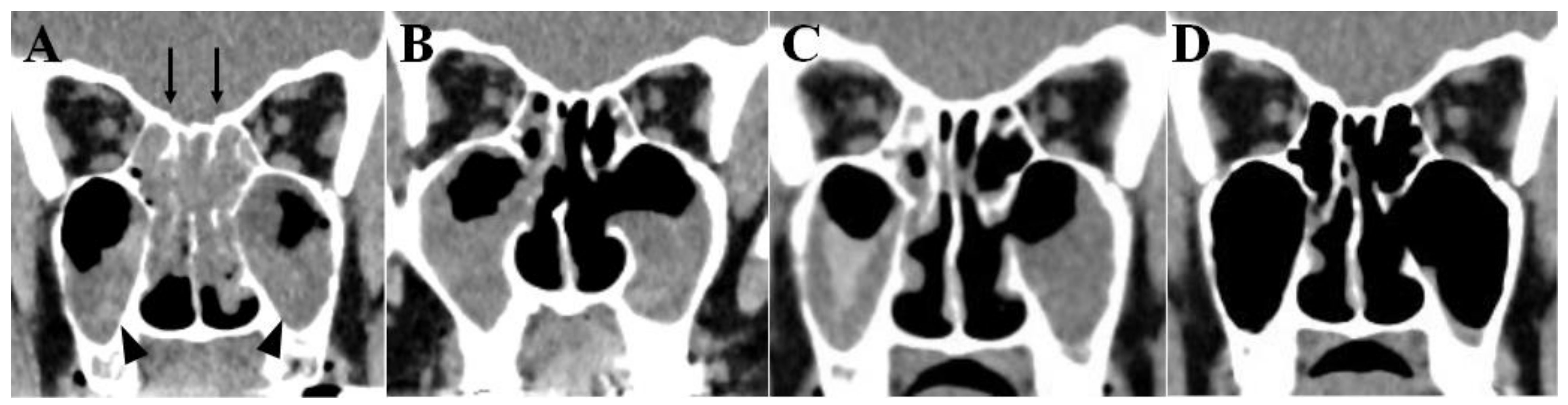
2. Case Presentation
3. Discussion
4. Conclusions
Author Contributions
Funding
Institutional Review Board Statement
Informed Consent Statement
Data Availability Statement
Conflicts of Interest
References
- Grobal Initiative for Asthma Management and Prevention. Available online: https://ginasthma.org/gina-reports/ (accessed on 7 September 2021).
- Tokunaga, T.; Sakashita, M.; Haruna, T.; Asaka, D.; Takeno, S.; Ikeda, H.; Nakayama, T.; Seki, N.; Ito, S.; Murata, J.; et al. Novel scoring system and algorithm for classifying chronic rhinosinusitis: The JESREC Study. Allergy 2015, 70, 995–1003. [Google Scholar] [CrossRef] [Green Version]
- Iino, Y. Eosinophilic otitis media: A new middle ear disease entity. Curr. Allergy Asthma Rep. 2008, 8, 525–530. [Google Scholar] [CrossRef]
- Nagamine, H.; Iino, Y.; Kojima, C.; Miyazawa, T.; Iida, T. Clinical characteristics of so called eosinophilic otitis media. Auris Nasus Larynx 2002, 29, 19–28. [Google Scholar] [CrossRef]
- Nagase, H.; Ueki, S.; Fujieda, S. The roles of IL-5 and anti-IL-5 treatment in eosinophilic diseases: Asthma, eosinophilic granulomatosis with polyangiitis, and eosinophilic chronic rhinosinusitis. Allergol. Int. 2020, 69, 178–186. [Google Scholar] [CrossRef] [PubMed]
- Shimizu, H.; Kato, H.; Yoshioka, S.; Okazawa, M. Rapid and remarkable effectiveness of benralizumab for treating severe bronchial asthma with intractable eosinophilic rhinosinusitis and eosinophilic otitis media: A case report. Respir. Med. Case Rep. 2021, 32, 101336. [Google Scholar]
- Shirai, T.; Mori, K.; Mikamo, M.; Shishido, Y.; Akita, T.; Morita, S.; Asada, K.; Fujii, M.; Suda, T.; Chida, K. Respiratory mechanics and peripheral airway inflammation and dysfunction in asthma. Clin. Exp. Allergy 2013, 43, 521–526. [Google Scholar] [CrossRef] [PubMed]
- Zakeri, A.; Yazdi, F.G. Toll-like receptor-mediated involvement of innate immune cells in asthma disease. Biochim. Biophys. Acta Gen. Subj. 2017, 1861, 3270–3277. [Google Scholar] [CrossRef] [PubMed]
- Morel, P.A. Differential T-cell receptor signals for T helper cell programming. Immunology 2018, 155, 63–71. [Google Scholar] [CrossRef] [PubMed] [Green Version]
- Zhu, J.; Yamane, H.; Paul, W.E. Differentiation of effector CD4 T cell populations (*). Annu. Rev. Immunol. 2010, 28, 445–489. [Google Scholar] [CrossRef] [Green Version]
- Zhu, J. T Helper Cell Differentiation, Heterogeneity, and Plasticity. Cold Spring Harb. Perspect. Biol. 2018, 10, a030338. [Google Scholar] [CrossRef] [Green Version]
- Pelaia, C.; Paoletti, G.; Puggioni, F.; Racca, F.; Pelaia, G.; Canonica, G.W.; Heffler, E. Interleukin-5 in the Pathophysiology of Severe Asthma. Front. Physiol. 2019, 10, 1514. [Google Scholar] [CrossRef]
- Gurram, R.K.; Zhu, J. Orchestration between ILC2s and Th2 cells in shaping type 2 immune responses. Cell Mol. Immunol. 2019, 16, 225–235. [Google Scholar] [CrossRef] [PubMed] [Green Version]
- van Rijt, L.; von Richthofen, H.; van Ree, R. Type 2 innate lymphoid cells: At the cross-roads in allergic asthma. Semin. Immunopathol. 2016, 38, 483–496. [Google Scholar] [CrossRef] [PubMed] [Green Version]
- Klein Wolterink, R.G.; Kleinjan, A.; van Nimwegen, M.; Bergen, I.; de Bruijn, M.; Levani, Y.; Hendriks, R.W. Pulmonary innate lymphoid cells are major producers of IL-5 and IL-13 in murine models of allergic asthma. Eur. J. Immunol. 2012, 42, 1106–1116. [Google Scholar] [CrossRef] [PubMed] [Green Version]
- Robinson, D.; Humbert, M.; Buhl, R.; Cruz, A.A.; Inoue, H.; Korom, S.; Hanania, N.A.; Nair, P. Revisiting Type 2-high and Type 2-low airway inflammation in asthma: Current knowledge and therapeutic implications. Clin. Exp. Allergy 2017, 47, 161–175. [Google Scholar] [CrossRef]
- Lee, T.J.; Fu, C.H.; Wang, C.H.; Huang, C.C.; Huang, C.C.; Chang, P.H.; Chen, Y.W.; Wu, C.C.; Wu, C.L.; Kuo, H.P. Impact of chronic rhinosinusitis on severe asthma patients. PLoS ONE 2017, 12, e0171047. [Google Scholar] [CrossRef]
- Zia-Amirhosseini, P.; Minthorn, E.; Benincosa, L.J.; Hart, T.K.; Hottenstein, C.S.; Tobia, L.A.; Davis, C.B. Pharmacokinetics and pharmacodynamics of SB-240563, a humanized monoclonal antibody directed to human interleukin-5, in monkeys. J. Pharmacol. Exp. Ther. 1999, 291, 1060–1067. [Google Scholar]
- Kolbeck, R.; Kozhich, A.; Koike, M.; Peng, L.; Andersson, C.K.; Damschroder, M.M.; Reed, J.L.; Woods, R.; Dall’acqua, W.W.; Stephens, G.L.; et al. MEDI-563, a humanized anti-IL-5 receptor alpha mAb with enhanced antibody-dependent cell-mediated cytotoxicity function. J. Allergy. Clin. Immunol. 2010, 125, 1344–1353.e2. [Google Scholar] [CrossRef]
- Junttila, I.S. Tuning the Cytokine Responses: An Update on Interleukin (IL)-4 and IL-13 Receptor Complexes. Front. Immunol. 2018, 9, 888. [Google Scholar] [CrossRef]
- Hearn, A.P.; Kavanagh, J.; d’Ancona, G.; Roxas, C.; Green, L.; Thomson, L.; Fernandes, M.; Kent, B.D.; Dhariwal, J.; Nanzer, A.M.; et al. The relationship between Feno and effectiveness of mepolizumab and benralizumab in severe eosinophilic asthma. J. Allergy Clin. Immunol. Pract. 2021, 9, 2093–2096.e1. [Google Scholar] [CrossRef]
- Matsunaga, K.; Katoh, N.; Fujieda, S.; Izuhara, K.; Oishi, K. Dupilumab: Basic aspects and applications to allergic diseases. Allergol. Int. 2020, 69, 187–196. [Google Scholar] [CrossRef]
- Takabayashi, T.; Kato, A.; Peters, A.T.; Hulse, K.E.; Suh, L.A.; Carter, R.; Norton, J.; Grammer, L.C.; Cho, S.H.; Tan, B.K.; et al. Excessive fibrin deposition in nasal polyps caused by fibrinolytic impairment through reduction of tissue plasminogen activator expression. Am. J. Respir. Crit. Care Med. 2013, 187, 49–57. [Google Scholar] [CrossRef] [Green Version]
- Marchand, E.; Reynaud-Gaubert, M.; Lauque, D.; Durieu, J.; Tonnel, A.B.; Cordier, J.F. Idiopathic chronic eosinophilic pneumonia. A clinical and follow-up study of 62 cases. The Groupe d’Etudes et de Recherche sur les Maladies “Orphelines” Pulmonaires (GERM“O”P). Medicine 1998, 77, 299–312. [Google Scholar] [CrossRef] [Green Version]
- Jederlinic, P.J.; Sicilian, L.; Gaensler, E.A. Chronic eosinophilic pneumonia. A report of 19 cases and a review of the literature. Medicine 1988, 67, 154–162. [Google Scholar] [CrossRef]
- Weller, P.F.; Spencer, L.A. Functions of tissue-resident eosinophils. Nat. Rev. Immunol. 2017, 17, 746–760. [Google Scholar] [CrossRef]
- Crowe, M.; Robinson, D.; Sagar, M.; Chen, L.; Ghamande, S. Chronic eosinophilic pneumonia: Clinical perspectives. Ther. Clin. Risk Manag. 2019, 15, 397–403. [Google Scholar] [CrossRef] [Green Version]
- Menzella, F.; Montanari, G.; Patricelli, G.; Cavazza, A.; Galeone, C.; Ruggiero, P.; Bagnasco, D.; Facciolongo, N. A case of chronic eosinophilic pneumonia in a patient treated with dupilumab. Ther. Clin. Risk Manag. 2019, 15, 869–875. [Google Scholar] [CrossRef] [PubMed] [Green Version]
- Mukae, H.; Kadota, J.; Kohno, S.; Matsukura, S.; Hara, K. Increase of activated T-cells in BAL fluid of Japanese patients with bronchiolitis obliterans organizing pneumonia and chronic eosinophilic pneumonia. Chest 1995, 108, 123–128. [Google Scholar] [CrossRef] [PubMed]
- Castro, M.; Corren, J.; Pavord, I.D.; Maspero, J.; Wenzel, S.; Rabe, K.F.; Busse, W.W.; Ford, L.; Sher, L.; FitzGerald, J.M.; et al. Dupilumab Efficacy and Safety in Moderate-to-Severe Uncontrolled Asthma. N. Engl. J. Med. 2018, 378, 2486–2496. [Google Scholar] [CrossRef] [PubMed]
- Fulkerson, P.C.; Schollaert, K.L.; Bouffi, C.; Rothenberg, M.E. IL-5 triggers a cooperative cytokine network that promotes eosinophil precursor maturation. J. Immunol. 2014, 193, 4043–4052. [Google Scholar] [CrossRef] [PubMed] [Green Version]
- Majeski, E.I.; Paintlia, M.K.; Lopez, A.D.; Harley, R.A.; London, S.D.; London, L. Respiratory reovirus 1/L induction of intraluminal fibrosis, a model of bronchiolitis obliterans organizing pneumonia, is dependent on T lymphocytes. Am. J. Pathol. 2003, 163, 1467–1479. [Google Scholar] [CrossRef] [Green Version]
- Hamada, S.; Ogino, E.; Yasuba, H. Cycling therapy with benralizumab and dupilumab for severe eosinophilic asthma with eosinophilic chronic rhinosinusitis and eosinophilic otitis media. Allergol. Int. 2021, 70, 389–391. [Google Scholar] [CrossRef] [PubMed]
- Briegel, I.; Felicio-Briegel, A.; Mertsch, P.; Kneidinger, N.; Haubner, F.; Milger, K. Hypereosinophilia with systemic manifestations under dupilumab and possibility of dual benralizumab and dupilumab therapy in patients with asthma and CRSwNP. J. Allergy Clin. Immunol. Pract. 2021. [Google Scholar] [CrossRef] [PubMed]
- Kasaian, M.T.; Miller, D.K. IL-13 as a therapeutic target for respiratory disease. Biochem. Pharmacol. 2008, 76, 147–155. [Google Scholar] [CrossRef]





| Biologics Free | 2018/Nov 3 Mnths after B | 2019/May 10 Moths after B | 2019/Oct 15 Months after B | 2020/Jan 1 Month after D | 2020/June 6 Months after D | 2020/Oct 3 Months after M | 2021/Jan 6 Months after M | 2021/Jun 11 Months after M | 2021/Sept 1 Month After D | |
|---|---|---|---|---|---|---|---|---|---|---|
| ACT | 14 | 25 | 25 | 25 | 25 | 25 | 24 | 25 | 25 | 25 | 
| Mini AQLQ | 3.8 | 6.4 | 6.8 | 6.7 | 6.6 | 6.5 | 6.9 | 6.9 | 7.0 | 7 | 
| FEV1/FEV1/FVC % | 1.29/72.5 | 1.87/83.9 | 1.87/81.3 | 2.08/83.0 | 1.87/83.9 | 1.98/84.6 | 1.96/85.6 | 2.04/85.7 | 2.07/83.8 | 2.05/86.1 | 
| WBC | 7300 | 5700 | 7900 | 5600 | 5600 | 7500 | 6400 | 5000 | 5500 | 6700 | 
| Eosinophils (%) | 12.3 | 0.1 | 0.1 | 0.2 | 0.1 | 19.7 | 2.5 | 0.8 | 0.9 | 0.9 | 
| FeNO (ppb) | 113 | 20 | 21 | 18 | 12 | 25 | 18 | 17 | 20 | 11 | 
| R5 | 4.26 | 4.13 | 5..46 | 3.01 | 3.92 | 3.35 | 4.62 | 3.62 | 3.21 | 3.15 | 
| R20 | 3.67 | 3.62 | 4.79 | 2.49 | 3.39 | 3.72 | 3.63 | 2.67 | 2.63 | 2.5 | 
| Fres | 10.3 | 6.44 | 6.17 | 4.64 | 6.26 | 6.75 | 5.98 | 6.32 | 6.02 | 6.4 | 
| Publisher’s Note: MDPI stays neutral with regard to jurisdictional claims in published maps and institutional affiliations. | 
© 2021 by the authors. Licensee MDPI, Basel, Switzerland. This article is an open access article distributed under the terms and conditions of the Creative Commons Attribution (CC BY) license (https://creativecommons.org/licenses/by/4.0/).
Share and Cite
Shimizu, H.; Hayashi, M.; Kato, H.; Nakagawa, M.; Imaizumi, K.; Okazawa, M. IL13 May Play an Important Role in Developing Eosinophilic Chronic Rhinosinusitis and Eosinophilic Otitis Media with Severe Asthma. Int. J. Mol. Sci. 2021, 22, 11209. https://doi.org/10.3390/ijms222011209
Shimizu H, Hayashi M, Kato H, Nakagawa M, Imaizumi K, Okazawa M. IL13 May Play an Important Role in Developing Eosinophilic Chronic Rhinosinusitis and Eosinophilic Otitis Media with Severe Asthma. International Journal of Molecular Sciences. 2021; 22(20):11209. https://doi.org/10.3390/ijms222011209
Chicago/Turabian StyleShimizu, Hideyasu, Masamichi Hayashi, Hisayuki Kato, Mitsuru Nakagawa, Kazuyoshi Imaizumi, and Mitsushi Okazawa. 2021. "IL13 May Play an Important Role in Developing Eosinophilic Chronic Rhinosinusitis and Eosinophilic Otitis Media with Severe Asthma" International Journal of Molecular Sciences 22, no. 20: 11209. https://doi.org/10.3390/ijms222011209
APA StyleShimizu, H., Hayashi, M., Kato, H., Nakagawa, M., Imaizumi, K., & Okazawa, M. (2021). IL13 May Play an Important Role in Developing Eosinophilic Chronic Rhinosinusitis and Eosinophilic Otitis Media with Severe Asthma. International Journal of Molecular Sciences, 22(20), 11209. https://doi.org/10.3390/ijms222011209
 
         
                                                


 
       