Circulation of Nor98 Atypical Scrapie in Portuguese Sheep Confirmed by Transmission of Isolates into Transgenic Ovine ARQ-PrP Mice
Abstract
1. Introduction
2. Results
3. Discussion
4. Materials and Methods
4.1. Selection of Portuguese ASc Isolates
4.2. Transgenic Ovine ARQ PrP Mice (TgshpXI) Bioassay
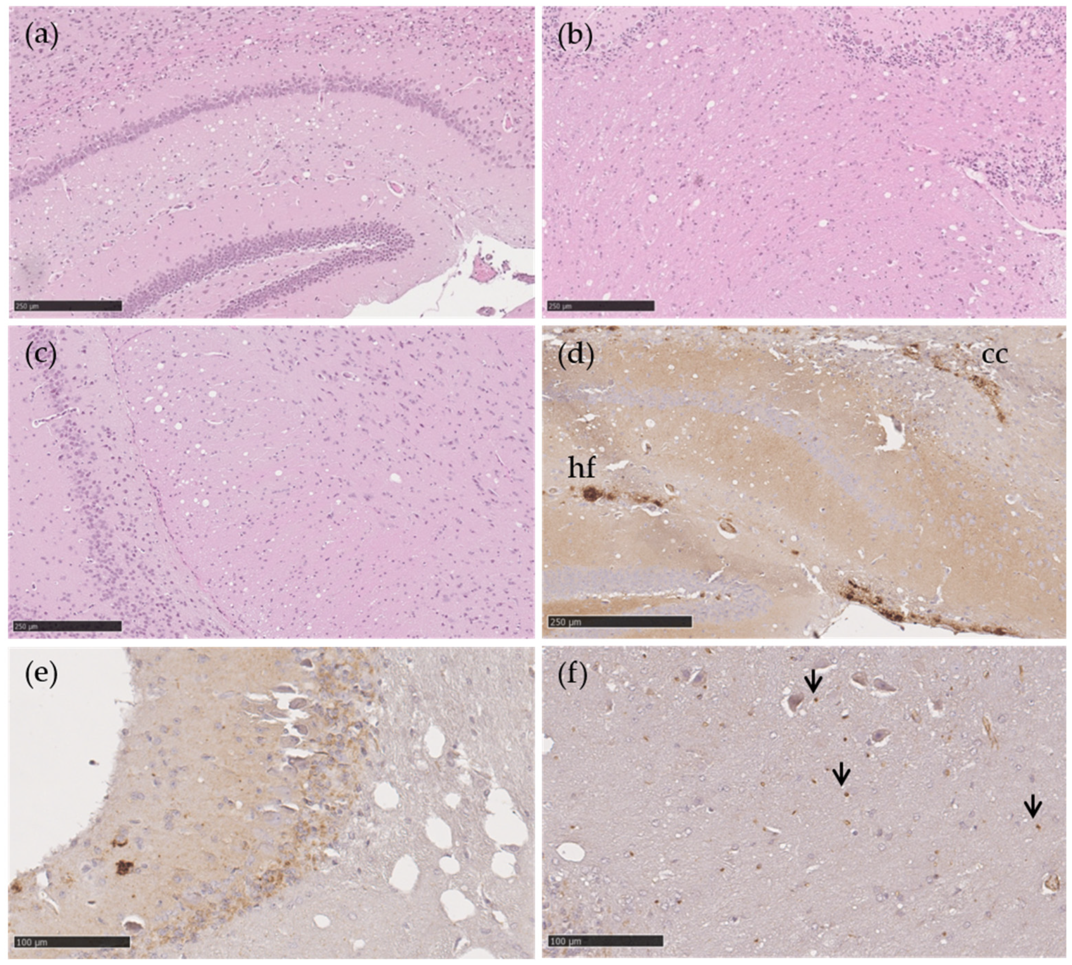
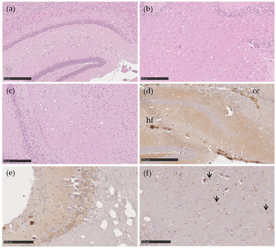
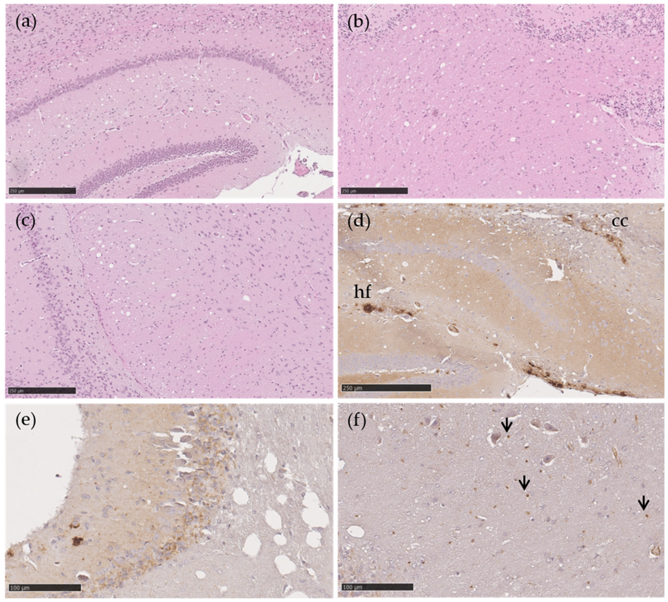
4.3. Lesion Profile
4.4. PrPSc Deposition
4.5. Western Immunoblot Analysis
Author Contributions
Funding
Institutional Review Board Statement
Informed Consent Statement
Data Availability Statement
Acknowledgments
Conflicts of Interest
References
- Benestad, S.L.; Sarradin, P.; Thu, B.; Schönheit, J.; Tranulis, M.A.; Bratberg, B. Cases of scrapie with unusual features in Norway and designation of a new type, Nor98. Vet. Rec. 2003, 153, 202–208. [Google Scholar] [CrossRef]
- Griffiths, P.C.; Spiropoulos, J.; Lockey, R.; Tout, A.C.; Jayasena, D.; Plater, J.M.; Chave, A.; Green, R.B.; Simonini, S.; Thorne, L.; et al. Characterization of atypical scrapie cases from Great Britain in transgenic ovine PrP mice. J. Gen. Virol. 2010, 91, 2132–2138. [Google Scholar] [CrossRef]
- Huor, A.; Espinosa, J.C.; Vidal, E.; Cassard, H.; Douet, J.Y.; Lugan, S.; Aron, N.; Marín-Moreno, A.; Lorenzo, P.; Aguilar-Calvo, P.; et al. The emergence of classical BSE from atypical/Nor98 scrapie. Proc. Natl. Acad. Sci. USA 2019, 116, 26853–26862. [Google Scholar] [CrossRef]
- Poggiolini, I.; Saverioni, D.; Parchi, P. Prion protein misfolding, strains, and neurotoxicity: An update from studies on mammalian prions. Int. J. Cell Biol. 2013, 2013, 910314. [Google Scholar] [CrossRef]
- Sigurdson, C.J.; Miller, M.W. Other animal prion diseases. Br. Med. Bull. 2003, 66, 199–212. [Google Scholar] [CrossRef]
- Simmons, M.M.; Konold, T.; Simmons, H.A.; Spencer, Y.I.; Lockey, R.; Spiropoulos, J.; Veritt, S.; Clifford, D. Experimental transmission of atypical scrapie to sheep. BMC Vet. Res. 2007, 3, 1–7. [Google Scholar] [CrossRef]
- Hunter, N.; Foster, J.D.; Goldmann, W.; Steer, M.J.; Hope, J.; Bostock, C. Natural scrapie in a closed flock of Cheviot sheep occurs only in specific PrP genotypes. Arch. Virol. 1996, 141, 809–824. [Google Scholar] [CrossRef]
- Benestad, S.L.; Arsac, J.N.; Goldmann, W.; Nöremark, M. Atypical/Nor98 scrapie: Properties of the agent, genetics, and epidemiology. Vet. Res. 2008, 39, 19. [Google Scholar] [CrossRef]
- Orge, L.; Oliveira, A.; Machado, C.; Lima, C.; Ochoa, C.; Silva, J.; Carvalho, R.; Tavares, P.; Almeida, P.; Ramos, M.; et al. Putative emergence of classical scrapie in a background of enzootic atypical scrapie. J. Gen. Virol. 2010, 91, 1646–1650. [Google Scholar] [CrossRef]
- Saunders, G.C.; Cawthraw, S.; Mountjoy, S.J.; Hope, J.; Windl, O. PrP genotypes of atypical scrapie cases in Great Britain. J. Gen. Virol. 2006, 87, 3141–3149. [Google Scholar] [CrossRef]
- Chong, A.; Kennedy, I.; Goldmann, W.; Green, A.; González, L.; Jeffrey, M.; Hunter, N. Archival search for historical atypical scrapie in sheep reveals evidence for mixed infections. J. Gen. Virol. 2015, 96, 3165–3178. [Google Scholar] [CrossRef][Green Version]
- Greenlee, J.J. Review: Update on Classical and Atypical Scrapie in Sheep and Goats. Vet. Pathol. 2019, 56, 6–16. [Google Scholar] [CrossRef]
- Wall, B.A.; Arnold, M.E.; Radia, D.; Gilbert, W.; Ortiz-Pelaez, A.; Stärk, K.D.; Van Klink, E.; Guitian, J. Evidence for more cost-effective surveillance options for bovine spongiform encephalopathy (BSE) and scrapie in Great Britain. Eurosurveillance 2017, 22, 1–9. [Google Scholar] [CrossRef]
- The European Commission. Regulation (EC) No 999/2001 of the European Parliament and of the Council of 22 May 2001 laying down rules for the prevention, control and eradication of certain transmissible spongiform encephalopathies. OJEC 2000, 269, 1–15. [Google Scholar]
- Orge, L.; Galo, L.; Machado, C.; Lima, C.; Ochoa, C.; Silva, J.; Ramos, M.; Simas, J.P. Identification of putative atypical scrapie in sheep in Portugal. J. Gen. Virol. 2004, 85, 3487–3491. [Google Scholar] [CrossRef]
- Andréoletti, O.; Orge, L.; Benestad, S.L.; Beringue, V.; Litaise, C.; Simon, S.; Le Dur, A.; Laude, H.; Simmons, H.; Lugan, S.; et al. Atypical/Nor98 scrapie infectivity in sheep peripheral tissues. PLoS Pathog. 2011, 7, e1001285. [Google Scholar] [CrossRef]
- Le Dur, A.; Béringue, V.; Andréoletti, O.; Reine, F.; Laï, T.L.; Baron, T.; Bratberg, B.; Vilotte, J.L.; Sarradin, P.; Benestad, S.L.; et al. A newly identified type of scrapie agent can naturally infect sheep with resistant PrP genotypes. Proc. Natl. Acad. Sci. USA 2005, 102, 16031–16036. [Google Scholar] [CrossRef]
- Götte, D.R.; Benestad, S.L.; Laude, H.; Zurbriggen, A.; Oevermann, A.; Seuberlich, T. Atypical scrapie isolates involve a uniform prion species with a complex molecular signature. PLoS ONE 2011, 6, e27510. [Google Scholar] [CrossRef]
- Arsac, J.N.; Bétemps, D.; Morignat, E.; Féraudet, C.; Bencsik, A.; Aubert, D.; Grassi, J.; Baron, T. Transmissibility of Atypical Scrapie in Ovine Transgenic Mice: Major Effects of Host Prion Protein Expression and Donor Prion Genotype. PLoS ONE 2009, 4, e7300. [Google Scholar] [CrossRef][Green Version]
- Nentwig, A.; Oevermann, A.; Heim, D.; Botteron, C.; Zellweger, K.; Drögemüller, C.; Zurbriggen, A.; Seuberlich, T. Diversity in neuroanatomical distribution of abnormal prion protein in atypical scrapie. PLoS Pathog. 2007, 3, e82. [Google Scholar] [CrossRef][Green Version]
- Fraser, H.; Dickinson, A.G. The sequential development of the brain lesions of scrapie in three strains of mice. J. Comp. Pathol. 1968, 78, 302–311. [Google Scholar] [CrossRef]
- Bencsik, A.; Philippe, S.; Vial, L.; Cavalas, D.; Baron, T. Automatic quantitation of vacuolar lesions in the brain of mice infected with transmissible spongiform encephalopathies. J. Virol. Methods 2005, 124, 197–202. [Google Scholar] [CrossRef]
- Gretzschel, A.; Buschmann, A.; Langeveld, J.; Groschup, M.H. Immunological characterization of abnormal prion protein from atypical scrapie cases in sheep using a panel of monoclonal antibodies. J. Gen. Virol. 2006, 87, 3715–3722. [Google Scholar] [CrossRef]
- Kaatz, M.; Fast, C.; Ziegler, U.; Balkema-Buschmann, A.; Hammerschmidt, B.; Keller, M.; Oelschlegel, A.; McIntyre, L.; Groschup, M.H. Spread of Classic BSE Prions from the Gut via the Peripheral Nervous System to the Brain. Am. J. Pathol. 2012, 181, 515–524. [Google Scholar] [CrossRef]



| Sheep Genotype | Surveillance Stream | Bio-Rad TeSeE Kit Rapid Test | Histopathology | IHC | Western Immunoblotting |
|---|---|---|---|---|---|
| AL141RQ/ AF141RQ | Healthy slaughter | 0.407 0.613 0.580 (positive cut-off 0.226) | Discrete vacuolation in the STN V | Globular and semi-globular immunolabelling in WM at the obex | Multiband electrophoretic profile 12–60 kDa |
| AL141RR/ AL141RR | Healthy slaughter | 1.332 0.325 1.602 (positive cut-off 0.232) | Discrete vacuolation in the STN V | Globular and semi-globular immunolabelling in WM at the obex | Multiband electrophoretic profile 12–60 kDa |
Publisher’s Note: MDPI stays neutral with regard to jurisdictional claims in published maps and institutional affiliations. |
© 2021 by the authors. Licensee MDPI, Basel, Switzerland. This article is an open access article distributed under the terms and conditions of the Creative Commons Attribution (CC BY) license (https://creativecommons.org/licenses/by/4.0/).
Share and Cite
Casanova, M.; Machado, C.; Tavares, P.; Silva, J.; Fast, C.; Balkema-Buschmann, A.; Groschup, M.H.; Orge, L. Circulation of Nor98 Atypical Scrapie in Portuguese Sheep Confirmed by Transmission of Isolates into Transgenic Ovine ARQ-PrP Mice. Int. J. Mol. Sci. 2021, 22, 10441. https://doi.org/10.3390/ijms221910441
Casanova M, Machado C, Tavares P, Silva J, Fast C, Balkema-Buschmann A, Groschup MH, Orge L. Circulation of Nor98 Atypical Scrapie in Portuguese Sheep Confirmed by Transmission of Isolates into Transgenic Ovine ARQ-PrP Mice. International Journal of Molecular Sciences. 2021; 22(19):10441. https://doi.org/10.3390/ijms221910441
Chicago/Turabian StyleCasanova, Mafalda, Carla Machado, Paula Tavares, João Silva, Christine Fast, Anne Balkema-Buschmann, Martin H. Groschup, and Leonor Orge. 2021. "Circulation of Nor98 Atypical Scrapie in Portuguese Sheep Confirmed by Transmission of Isolates into Transgenic Ovine ARQ-PrP Mice" International Journal of Molecular Sciences 22, no. 19: 10441. https://doi.org/10.3390/ijms221910441
APA StyleCasanova, M., Machado, C., Tavares, P., Silva, J., Fast, C., Balkema-Buschmann, A., Groschup, M. H., & Orge, L. (2021). Circulation of Nor98 Atypical Scrapie in Portuguese Sheep Confirmed by Transmission of Isolates into Transgenic Ovine ARQ-PrP Mice. International Journal of Molecular Sciences, 22(19), 10441. https://doi.org/10.3390/ijms221910441

