Multiple Sclerosis Treatment and Melanoma Development
Abstract
1. Introduction
2. Results
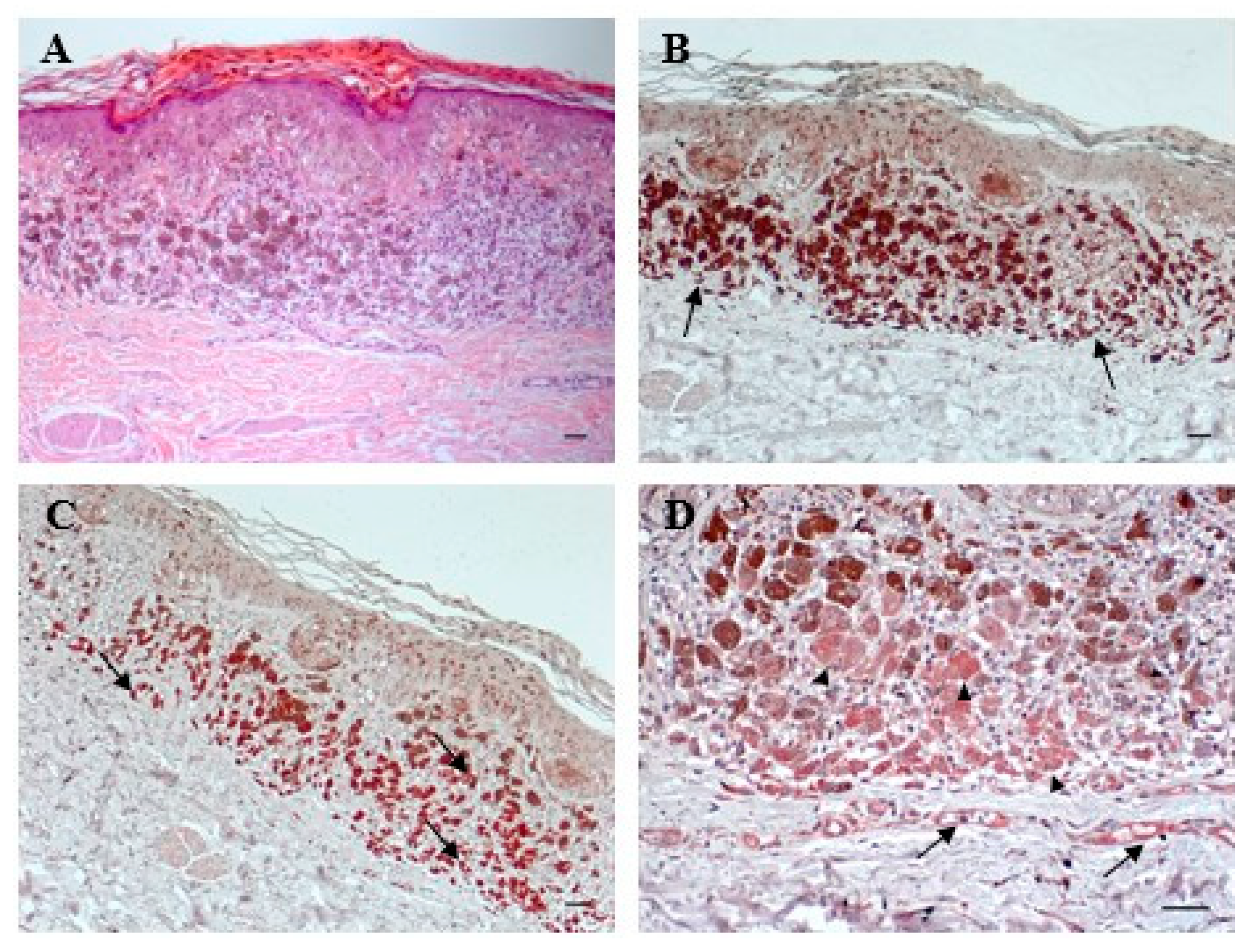
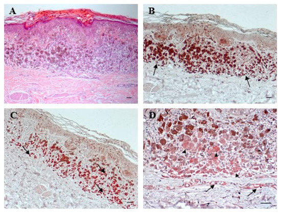
2.1. Patient Clinical Findings
2.2. Melanoma Cell Treatment with Fingolimod or Natalizumab
3. Discussion
4. Materials and Methods
4.1. Patient’s Samples and Immunohistochemistry
4.2. Melanoma Cells
4.3. Proliferation and Migration Assays
4.4. VEGF-A ELISA
4.5. Statistical Analyses
Author Contributions
Funding
Conflicts of Interest
Abbreviations
| MS | Multiple sclerosis |
| VEGF | Vascular endothelial growth factor |
| NK | Natural killer |
| MDSCs | Myeloid-derived suppressor cells |
References
- Comi, G.; Radaelli, M.; Soelberg Sørensen, P. Evolving concepts in the treatment of relapsing multiple sclerosis. Lancet 2017, 389, 1347–1356. [Google Scholar] [CrossRef]
- Singer, B.A. The role of natalizumab in the treatment of multiple sclerosis: Benefits and risks. Ther. Adv. Neurol. Disord. 2017, 10, 327–336. [Google Scholar] [CrossRef] [PubMed]
- Huwiler, A.; Zangemeister-Wittke, U. The sphingosine 1-phosphate receptor modulator fingolimod as a therapeutic agent: Recent findings and new perspectives. Pharmacol. Ther. 2018, 185, 34. [Google Scholar] [CrossRef] [PubMed]
- Sanchez, T.; Estrada-Hernandez, T.; Paik, J.-H.; Wu, M.-T.; Venkataraman, K.; Brinkmann, V.; Claffey, K.; Hla, T. Phosphorylation and action of the immunomodulator FTY720 inhibits vascular endothelial cell growth factor-induced vascular permeability. J. Biol. Chem. 2003, 278, 47281–47290. [Google Scholar] [CrossRef]
- Choi, J.W.; Gardell, S.E.; Herr, D.R.; Rivera, R.; Lee, C.-W.; Noguchi, K.; Teo, S.T.; Yung, Y.C.; Lu, M.; Kennedy, G.; et al. FTY720 (fingolimod) efficacy in an animal model of multiple sclerosis requires astrocyte sphingosine 1-phosphate receptor 1 (S1P1) modulation. Proc. Natl. Acad. Sci. USA 2011, 108, 751–756. [Google Scholar] [CrossRef] [PubMed]
- Laroni, A.; Bedognetti, M.; Uccelli, A.; Capello, E.; Mancardi, G.L. Association of melanoma and natalizumab therapy in the Italian MS population: A second case report. Neurol. Sci. 2011, 32, 181–182. [Google Scholar] [CrossRef]
- Polman, C.H.; O’Connor, P.W.; Havrdova, E.; Hutchinson, M.; Kappos, L.; Miller, D.H.; Phillips, J.T.; Lublin, F.D.; Giovannoni, G.; Wajgt, A.; et al. AFFIRM Investigators. A randomized, placebo-controlled trial of natalizumab for relapsing multiple sclerosis. N. Engl. J. Med. 2006, 354, 899–910. [Google Scholar] [CrossRef] [PubMed]
- Bergamaschi, R.; Montomoli, C. Melanoma in multiple sclerosis treated with natalizumab: Causal association or coincidence? Mult. Scler. 2009, 15, 1532–1533. [Google Scholar] [CrossRef]
- Mullen, J.T.; Vartanian, T.K.; Atkins, M.B. Melanoma complicating treatment with natalizumab for multiple sclerosis. N. Engl. J. Med. 2008, 358, 647–648. [Google Scholar] [CrossRef]
- Ismail, A.; Kemp, J.; Sharrack, B. Melanoma complicating treatment with natalizumab (Tysabri) for multiple sclerosis. J. Neurol. 2009, 256, 1771–1772. [Google Scholar] [CrossRef]
- Yaldizli, O.; Baumberger, P.; Putzki, N. Natalizumab and atypical naevi: Comments on the pharmacovigilance note by J. L. Schmutz et al. Ann. Dermatol. Venereol. 2009, 136, 450–451. [Google Scholar] [CrossRef]
- Vavricka, B.M.; Baumberger, P.; Russmann, S.; Kullak-Ublick, G.A. Diagnosis of melanoma under concomitant natalizumab therapy. Mult. Scler. 2011, 17, 255–256. [Google Scholar] [CrossRef]
- Sabol, R.A.; Noxon, V.; Sartor, O.; Berger, J.R.; Qureshi, Z.; Raisch, D.W.; Norris, L.B.; Yarnold, P.R.; Georgantopoulos, P.; Hrushesky, W.J.; et al. Melanoma complicating treatment with natalizumab for multiple sclerosis: A report from the Southern Network on Adverse Reactions (SONAR). Cancer Med. 2017, 6, 1541–1551. [Google Scholar] [CrossRef] [PubMed]
- Cohen, J.A.; Barkhof, F.; Comi, G.; Hartung, H.P.; Khatri, B.O.; Montalban, X.; Pelletier, J.; Capra, R.; Gallo, P.; Izquierdo, G.; et al. TRANSFORMS Study Group. Oral fingolimod or intramuscular interferon for relapsing multiple sclerosis. N. Engl. J. Med. 2010, 362, 402–415. [Google Scholar] [CrossRef]
- Kappos, L.; O’Connor, P.; Radue, E.W.; Polman, C.; Hohlfeld, R.; Selmaj, K.; Ritter, S.; Schlosshauer, R.; von Rosenstiel, P.; Zhang-Auberson, L.; et al. A placebo-controlled trial of oral fingolimod in relapsing multiple sclerosis. N. Engl. J. Med. 2010, 362, 387–401. [Google Scholar] [CrossRef]
- Baumann Conzett, K.; Kolm, I.; Jelcic, I.; Kamarachev, J.; Dummer, R.; Braun, R.; French, L.E.; Linnebank, M.; Hofbauer, G.F.L. Melanoma occurring during treatment with fingolimod for multiple sclerosis: A case report. Arch. Dermatol. 2011, 147, 991–992. [Google Scholar] [CrossRef] [PubMed]
- Haebich, G.; Mughal, A.; Tofazzal, N. Superficial spreading malignant melanoma in a patient on fingolimod therapy for multiple sclerosis. Clin. Exp. Dermatol. 2015, 41, 433–434. [Google Scholar] [CrossRef] [PubMed]
- Killestein, J.; Leurs, C.E.; Hoogervorst, E.L.J.; van Eijk, J.; Mostert, J.P.; van den Eertwegh, A.J.M.; Uitdehaag, B.M.J. Five cases of malignant melanoma during fingolimod treatment in Dutch patients with MS. Neurology 2017, 89, 970–972. [Google Scholar] [CrossRef]
- Robinson, C.L.; Guo, M. Fingolimod (Gilenya) and melanoma. MBMJ Case Rep. 2016, 2016, bcr2016217885. [Google Scholar] [CrossRef]
- Filoni, A.; Lospalluti, L.; Giudice, G.; Bonamonte, D.; Vestita, M. Fingolimod and melanoma risk: Is there sufficient evidence? Clin. Exp. Dermatol. 2017, 42, 427–428. [Google Scholar] [CrossRef]
- Norgaard, M.; Veres, K.; Didden, E.M.; Wormser, D.; Magyari, M. Multiple sclerosis and cancer incidence: A Danish nationwide cohort study. Mult. Scler. Relat. Disord 2019, 28, 81–85. [Google Scholar] [CrossRef]
- Kelm, R.C.; Hagstrom, E.L.; Mathieu, R.J.; Orrell, K.A.; Serrano, L.; Mueller, K.A.; Laumann, A.E.; West, D.P.; Nardone, B. Melanoma subsequent to natalizumab exposure: A report from the RADAR (Research on Adverse Drug events and Reports) program. J. Am. Acad Dermatol. 2019, 80, 820–821. [Google Scholar] [CrossRef]
- Castela, E.; Lebrun-Frénay, C.; Laffon, M.; Rocher, F.; Cohen, M.; Cardot Leccia, N.; Bahadoran, P.; Lacour, J.-P.; Ortonne, J.-P.; Passeron, T. Evolution of Nevi during treatment with natalizumab. Arch. Dermatol. 2011, 147, 72–76. [Google Scholar] [CrossRef][Green Version]
- Pharaon, M.; Tichen, M.; Lebrun-Frénay, C.; Tartare-Deckert, S.; Passeron, T. Risk for nevus transformation and melanoma proliferation and invasion during natalizumab treatment: Four years of dermoscopic follow-up with immunohistological studies and proliferation and invasion assay. JAMA Dermatol. 2014, 150, 901–903. [Google Scholar] [CrossRef] [PubMed][Green Version]
- LaMontagne, K.; Littlewood-Evans, A.; Schnell, C.; O’Reilly, T.; Wyder, L.; Sanchez, T.; Probst, B.; Butler, J.; Wood, A.; Liau, G.; et al. Antagonism of sphingosine-1-phosphate receptors by FTY720 inhibits angiogenesis and tumor vascularization. Cancer Res. 2006, 66, 221–231. [Google Scholar] [CrossRef] [PubMed]
- Azuma, H.; Takahara, S.; Ichimaru, N.; Wang, J.D.; Itoh, Y.; Otsuki, Y.; Morimoto, J.; Fukui, R.; Hoshiga, T.; Nonomura, N.; et al. Marked prevention of tumor growth and metastasis by a novel immunosuppressive agent, FTY720, in mouse breast cancer models. Cancer Res. 2002, 62, 1410–1419. [Google Scholar] [PubMed]
- Pereira, F.V.; Arruda, D.C.; Figueiredo, C.R.; Massaoka, M.H.; Matsuo, A.L.; Bueno, V.; Rodrigues, E.G. FTY720 induces apoptosis in B16F10-NEX2 murine melanoma cells, limits metastatic development in vivo, and modulates the immune system. Clinics 2013, 68, 1018–1027. [Google Scholar] [CrossRef]
- Enjoji, S.; Yabe, R.; Fujiwara, N.; Tsuji, S.; Vitek, M.P.; Mizuno, T.; Nakagawa, T.; Usui, T.; Ohama, T.; Sato, K. The therapeutic effects of SET/I2PP2A inhibitors on canine melanoma. J. Vet. Med. Sci. 2015, 77, 1451–1456. [Google Scholar] [CrossRef][Green Version]
- Li, Y.; Zhou, T.; Wang, Y.; Ning, C.; Lv, Z.; Han, G.; Morris, J.C.; Taylor, E.N.; Wang, R.; Xiao, H.; et al. The protumorigenic potential of FTY720 by promoting extramedullary hematopoiesis and MDSC accumulation. Oncogene 2017, 36, 3760–3771. [Google Scholar] [CrossRef]
- Qian, F.; Vaux, D.L.; Weissman, I.L. Expression of the Integrin a4b1 on Melanoma Cells Can Inhibit the Invasive Stage of Metastasis Formation. Cell 1994, 77, 335–347. [Google Scholar] [CrossRef]
- Schlesinger, M.; Roblek, M.; Ortmann, K.; Naggi, A.; Torri, G.; Borsig, L.; Bendas, G. The role of VLA-4 binding for experimental melanoma metastasis and its inhibition by heparin. Thrombosis Res. 2014, 133, 855–862. [Google Scholar] [CrossRef]
- Gandoglia, I.; Ivaldi, F.; Carrega, P.; Armentani, E.; Ferlazzo, G.; Mancardi, G.; Kerlero de Rosbo, N.; Uccelli, A.; Laroni, A. In vitro VLA-4 blockade results in an impaired NK cell-mediated immune surveillance against melanoma. Immunol. Lett. 2017, 181, 109–115. [Google Scholar] [CrossRef] [PubMed]
- Lacal, P.M.; Failla, C.M.; Pagani, E.; Odorisio, T.; Schietroma, C.; Falcinelli, S.; Zambruno, G.; D’Atri, S. Human melanoma cells secrete and respond to placenta growth factor and vascular endothelial growth factor. J. Investig. Dermatol. 2010, 115, 1000–1007. [Google Scholar] [CrossRef] [PubMed]
- Apte, R.S.; Chen, D.S.; Ferrara, N. VEGF in signaling and disease: Beyond discovery and development. Cell 2019, 176, 1248–1264. [Google Scholar] [CrossRef] [PubMed]
- Atzori, M.G.; Tentori, L.; Ruffini, F.; Ceci, C.; Lisi, L.; Bonanno, E.; Scimeca, M.; Eskilsson, E.; Daubon, T.; Miletic, H.; et al. The anti-vascular endothelial growth factor receptor-1 monoclonal antibody D16F7 inhibits invasiveness of human glioblastoma and glioblastoma stem cells. J. Exp. Clin. Cancer Res. 2017, 36, 106. [Google Scholar] [CrossRef] [PubMed]


| Case Numbers | Therapeutic Treatment | Risk Factors |
|---|---|---|
| 1 | Natalizumab [6] | NR |
| 1 | Natalizumab [7] | Pre-existing lesion |
| 1 | Natalizumab [8] | Many atypical naevi |
| 2 | Natalizumab [9] | Many atypical naevi and familiarity |
| 1 | Natalizumab [10] | NR |
| 1 | Natalizumab [11] | NR |
| 1 | Natalizumab [12] | Many atypical naevi |
| 1+137 | Natalizumab [13] | NR |
| 3 | Fingolimod [14] | NR |
| 1 | Fingolimod [15] | NR |
| 1 | Fingolimod [16] | None |
| 1 | Fingolimod [17] | NR |
| 5 | Fingolimod [18] | Fair skin and several large naevi (3 out of 5 patients) |
| 1 | Fingolimod [19] | Many naevi |
© 2020 by the authors. Licensee MDPI, Basel, Switzerland. This article is an open access article distributed under the terms and conditions of the Creative Commons Attribution (CC BY) license (http://creativecommons.org/licenses/by/4.0/).
Share and Cite
Carbone, M.L.; Lacal, P.M.; Messinese, S.; De Giglio, L.; Pozzilli, C.; Persechino, S.; Mazzanti, C.; Failla, C.M.; Pagnanelli, G. Multiple Sclerosis Treatment and Melanoma Development. Int. J. Mol. Sci. 2020, 21, 2950. https://doi.org/10.3390/ijms21082950
Carbone ML, Lacal PM, Messinese S, De Giglio L, Pozzilli C, Persechino S, Mazzanti C, Failla CM, Pagnanelli G. Multiple Sclerosis Treatment and Melanoma Development. International Journal of Molecular Sciences. 2020; 21(8):2950. https://doi.org/10.3390/ijms21082950
Chicago/Turabian StyleCarbone, Maria Luigia, Pedro Miguel Lacal, Serena Messinese, Laura De Giglio, Carlo Pozzilli, Severino Persechino, Cinzia Mazzanti, Cristina Maria Failla, and Gianluca Pagnanelli. 2020. "Multiple Sclerosis Treatment and Melanoma Development" International Journal of Molecular Sciences 21, no. 8: 2950. https://doi.org/10.3390/ijms21082950
APA StyleCarbone, M. L., Lacal, P. M., Messinese, S., De Giglio, L., Pozzilli, C., Persechino, S., Mazzanti, C., Failla, C. M., & Pagnanelli, G. (2020). Multiple Sclerosis Treatment and Melanoma Development. International Journal of Molecular Sciences, 21(8), 2950. https://doi.org/10.3390/ijms21082950

