Integration of ATAC-seq and RNA-seq Unravels Chromatin Accessibility during Sex Reversal in Orange-Spotted Grouper (Epinephelus coioides)
Abstract
1. Introduction
2. Results
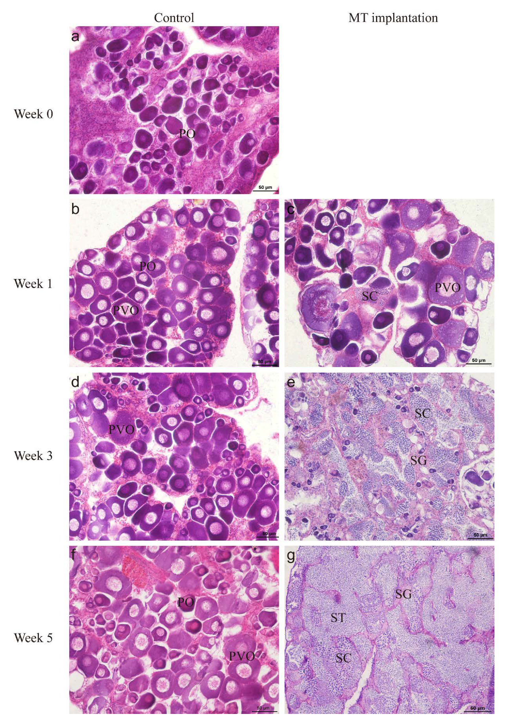
2.1. Artificial Sex ReverSal of Orange-Spotted Grouper
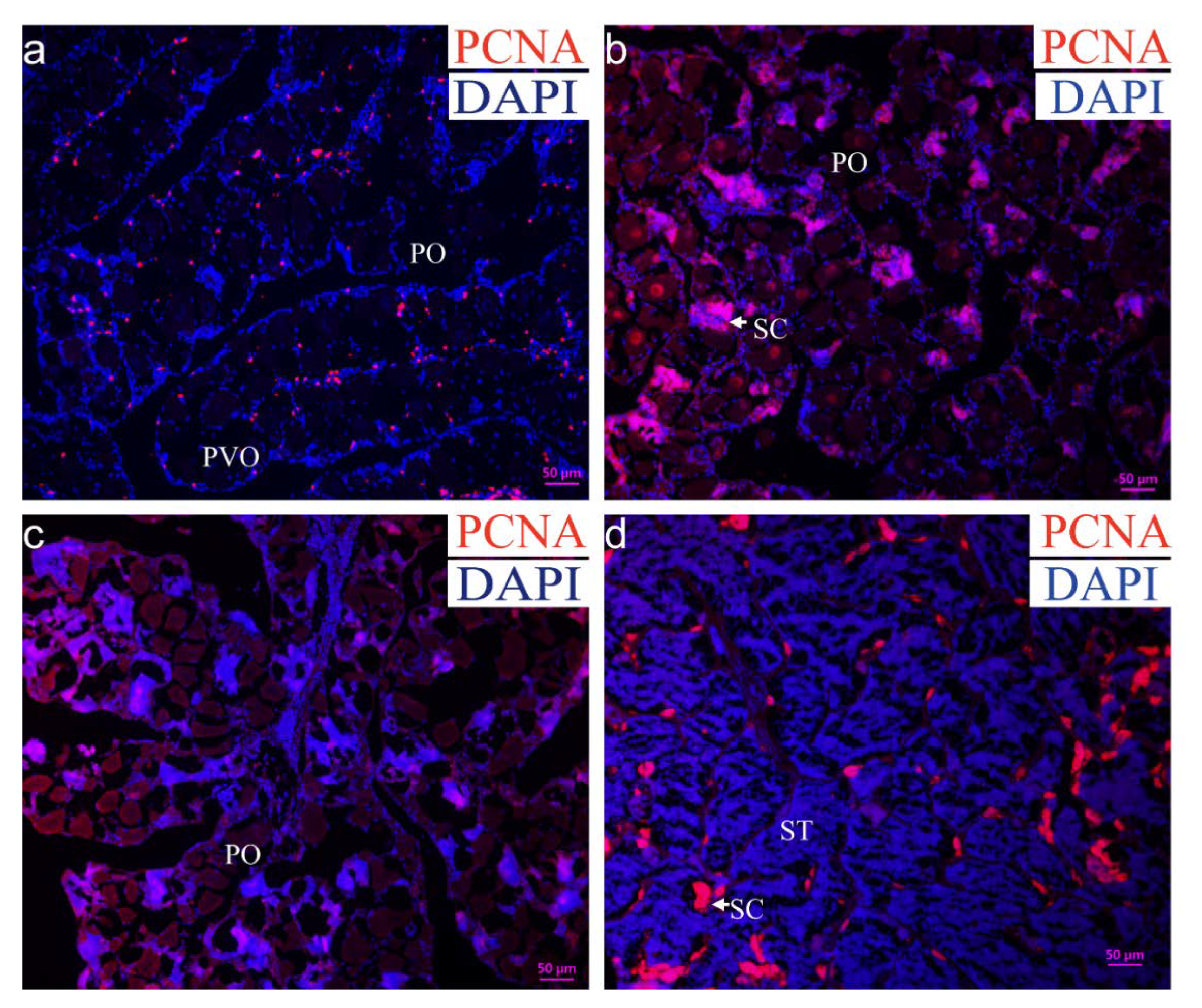
2.2. Proliferation Detection in the Gonad during Sex Reversal
2.3. Apoptosis Detection in the Gonad during Sex Reversal
2.4. Application of ATAC-seq on the Gonads of Orange-Spotted Grouper
2.5. Landscape of the Open Chromatin Regions in the Gonads during Sex Reversal
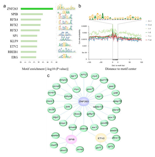
2.6. Highly Enriched Known Motifs and Their Target Genes in Differentially Accessible Regions
2.7. Expression Levels of Sex-Related Differentially Expressed Genes (DEGs) in ATAC-seq and RNA-seq Data
2.8. Validation of DEGs Inferred from ATAC-Seq and RNA-seq Data
2.9. Localization of Sex-Related Genes
2.10. Core Peaks of ATAC-seq Inferred from RNA-seq in the Early Stage of Sex Reversal
3. Discussion
4. Materials and Methods
4.1. Animals
4.2. MT-Induced Sex Reversal
4.3. Proliferation and Apoptosis Assays
4.4. Histology Analysis
4.5. ATAC-Seq
4.6. Read Alignment
4.7. Peak Scanning
4.8. Peak-Related Genes Annotation
4.9. Irreproducible Discovery Rate
4.10. Analysis of Motif and TF Footprints
4.11. Differential Analysis of Multi-Samples
4.12. RNA-Seq
4.13. DEGs and Enrichment Analysis
4.14. Validation of DEGs from transcriptome data by RT-qPCR
4.15. ISH Analysis of Several Sex-Related Genes in Gonads
4.16. Statistical Analysis
4.17. Data Availability
5. Conclusions
Supplementary Materials
Author Contributions
Funding
Acknowledgments
Conflicts of Interest
References
- Robert, H.D.; Yoshitaka, N. Sex determination and sex differentiation in fish: An overview of genetic, physiological, and environmental influences. Aquaculture 2002, 208, 191–364. [Google Scholar] [CrossRef]
- Kobayashi, T.; Kajiura-Kobayashi, H.; Nagahama, Y. Induction of XY sex reversal by estrogen involves altered gene expression in a teleost, tilapia. Cytogenet. Genome Res. 2003, 101, 289–294. [Google Scholar] [CrossRef]
- Hirokuni Kobayashi, T.I. Sex Reversal in the Medaka Oryzias latipes by Brief Exposure of Early Embryos to Estradiol-17b. Zool. Sci. 2005, 22, 1163–1167. [Google Scholar] [CrossRef] [PubMed]
- Liu, M.; de Mitcheson, Y.S. Gonad development during sexual differentiation in hatchery-produced orange-spotted grouper (Epinephelus coioides) and humpback grouper (Cromileptes altivelis) (Pisces: Serranidae, Epinephelinae). Aquaculture 2009, 287, 191–202. [Google Scholar] [CrossRef]
- Zhou, L.; Gui, J.F. Molecular mechanisms underlying sex change in hermaphroditic groupers. Fish Physiol. Biochem. 2010, 36, 181–193. [Google Scholar] [CrossRef] [PubMed]
- Yeh, S.-L.; Kuo, C.-M.; Ting, Y.-Y.; Chang, C.-F. Androgens stimulate sex change in protogynous grouper, Epinephelus coioides: spawning performance in sex-changed males. Comp. Biochem. Physiol. Part C Toxicol. Pharmacol. 2003, 135, 375–382. [Google Scholar] [CrossRef]
- Zhang, L.; Lin, D.; Zhang, Y.; Ma, G.; Zhang, W. A homologue of Sox11 predominantly expressed in the ovary of the orange-spotted grouper Epinephelus coioides. Comp. Biochem. Physiol. B Biochem. Mol. Biol. 2008, 149, 345–353. [Google Scholar] [CrossRef] [PubMed]
- Zhang, L.; Zhu, T.; Lin, D.; Zhang, Y.; Zhang, W. A second form of Sox11 homologue identified in the orange-spotted grouper Epinephelus coioides: analysis of sequence and mRNA expression patterns. Comp. Biochem. Physiol. B Biochem. Mol. Biol. 2010, 157, 415–422. [Google Scholar] [CrossRef]
- Wu, G.C.; Tey, W.G.; Li, H.W.; Chang, C.F. Sexual Fate Reprogramming in the Steroid-Induced Bi-Directional Sex Change in the Protogynous Orange-Spotted Grouper, Epinephelus coioides. PLoS ONE 2015, 10, e0145438. [Google Scholar] [CrossRef]
- Chen, H.; Li, S.; Xiao, L.; Zhang, Y.; Li, G.; Liu, X.; Lin, H. Wnt4 in protogynous hermaphroditic orange-spotted grouper (Epinephelus coioides): identification and expression. Comp. Biochem. Physiol. Part B 2015, 183, 67–74. [Google Scholar] [CrossRef]
- Xia, W.; Zhou, L.; Yao, B.; Li, C.J.; Gui, J.F. Differential and spermatogenic cell-specific expression of DMRT1 during sex reversal in protogynous hermaphroditic groupers. Mol. Cell. Endocrinol. 2007, 263, 156–172. [Google Scholar] [CrossRef]
- Lyu, Q.; Hu, J.; Yang, X.; Liu, X.; Chen, Y.; Xiao, L.; Liu, Y.; Wang, Q.; Chen, J.; Huang, M.; et al. Expression profiles of dmrts and foxls during gonadal development and sex reversal induced by 17alpha-methyltestosterone in the orange-spotted grouper. Gen. Comp. Endocrinol. 2019, 274, 26–36. [Google Scholar] [CrossRef]
- Sun, Z.H.; Wang, Y.; Lu, W.J.; Li, Z.; Liu, X.C.; Li, S.S.; Zhou, L.; Gui, J.F. Divergent Expression Patterns and Function Implications of Four nanos Genes in a Hermaphroditic Fish, Epinephelus coioides. Int. J. Mol. Sci. 2017, 18, 685. [Google Scholar] [CrossRef] [PubMed]
- Kornberg, R.D.; Lorch, Y. Twenty-five years of the nucleosome, fundamental particle of the eukaryote chromosome. Cell 1999, 98, 285–294. [Google Scholar] [CrossRef]
- He, H.H.; Meyer, C.A.; Shin, H.; Bailey, S.T.; Wei, G.; Wang, Q.; Zhang, Y.; Xu, K.; Ni, M.; Lupien, M.; et al. Nucleosome dynamics define transcriptional enhancers. Nat. Genet. 2010, 42, 343–347. [Google Scholar] [CrossRef] [PubMed]
- Park, P.J. ChIP-seq: Advantages and challenges of a maturing technology. Nat. Rev. Genet. 2009, 10, 669–680. [Google Scholar] [CrossRef] [PubMed]
- Lu, Q.; Richardson, B. DNaseI Hypersensitivity Analysis of Chromatin Structure. Methods Mol. Biol. 2004, 287, 77–86. [Google Scholar] [CrossRef]
- Neus, V.; Antonio, J.N.-P. Characterization of the Nucleosome Landscape by Micrococcal Nuclease-Sequencing (MNase-seq). Methods Mol. Biol. 2018, 1689. [Google Scholar] [CrossRef]
- Giresi, P.G.; Kim, J.; McDaniell, R.M.; Iyer, V.R.; Lieb, J.D. FAIRE (Formaldehyde-Assisted Isolation of Regulatory Elements) isolates active regulatory elements from human chromatin. Genome Res. 2007, 17, 877–885. [Google Scholar] [CrossRef]
- Buenrostro, J.D.; Wu, B.; Chang, H.Y.; Greenleaf, W.J. ATAC-seq: A Method for Assaying Chromatin Accessibility Genome-Wide. Curr. Protoc. Mol. Biol. 2015, 109, 21–29. [Google Scholar] [CrossRef]
- Buenrostro, J.D.; Giresi, P.G.; Zaba, L.C.; Chang, H.Y.; Greenleaf, W.J. Transposition of native chromatin for multimodal regulatory analysis and personal epigenomics. Nat. Methods 2013, 10, 1213–1218. [Google Scholar] [CrossRef] [PubMed]
- Mei, S.; Qin, Q.; Wu, Q.; Sun, H.; Zheng, R.; Zang, C.; Zhu, M.; Wu, J.; Shi, X.; Taing, L.; et al. Cistrome Data Browser: a data portal for ChIP-Seq and chromatin accessibility data in human and mouse. Nucleic Acids Res. 2017, 45, D658–D662. [Google Scholar] [CrossRef] [PubMed]
- Lu, Z.; Hofmeister, B.T.; Vollmers, C.; DuBois, R.M.; Schmitz, R.J. Combining ATAC-seq with nuclei sorting for discovery of cis-regulatory regions in plant genomes. Nucleic Acids Res. 2017, 45, e41. [Google Scholar] [CrossRef] [PubMed]
- Xu, J.; Nuno, K.; Litzenburger, U.M.; Qi, Y.; Corces, M.R.; Majeti, R.; Chang, H.Y. Single-cell lineage tracing by endogenous mutations enriched in transposase accessible mitochondrial DNA. eLife 2019, 8. [Google Scholar] [CrossRef]
- Zhao, Y.; Zheng, D.; Cvekl, A. Profiling of chromatin accessibility and identification of general cis-regulatory mechanisms that control two ocular lens differentiation pathways. Epigenetics Chromatin 2019, 12, 27. [Google Scholar] [CrossRef]
- Wu, X.; Qu, L.; Li, S.; Guo, Y.; He, J.; Liu, M.; Liu, X.; Lin, H. Molecular characterization and expression patterns of stem-loop binding protein (SLBP) genes in protogynous hermaphroditic grouper, Epinephelus coioides. Gene 2019, 700, 120–130. [Google Scholar] [CrossRef]
- Ackermann, A.M.; Wang, Z.; Schug, J.; Naji, A.; Kaestner, K.H. Integration of ATAC-seq and RNA-seq identifies human alpha cell and beta cell signature genes. Mol. Metab. 2016, 5, 233–244. [Google Scholar] [CrossRef]
- Kennedy, B.A.; Lan, X.; Huang, T.H.; Farnham, P.J.; Jin, V.X. Using ChIPMotifs for de novo motif discovery of OCT4 and ZNF263 based on ChIP-based high-throughput experiments. Methods Mol. Biol. 2012, 802, 323–334. [Google Scholar] [CrossRef]
- Costoya, J.A.; Hobbs, R.M.; Barna, M.; Cattoretti, G.; Manova, K.; Sukhwani, M.; Orwig, K.E.; Wolgemuth, D.J.; Pandolfi, P.P. Essential role of Plzf in maintenance of spermatogonial stem cells. Nat. Genet. 2004, 36, 653–659. [Google Scholar] [CrossRef]
- Wang, Q.; Qi, X.; Tang, H.; Guo, Y.; Li, S.; Li, G.; Yang, X.; Zhang, H.; Liu, X.; Lin, H. Molecular identification of StAR and 3betaHSD1 and characterization in response to GnIH stimulation in protogynous hermaphroditic grouper (Epinephelus coioides). Comp. Biochem. Physiol. B Biochem. Mol. Biol. 2017, 206, 26–34. [Google Scholar] [CrossRef]
- Ohnesorg, T.; Keller, B.; Hrabe de Angelis, M.; Adamski, J. Transcriptional regulation of human and murine 17beta-hydroxysteroid dehydrogenase type-7 confers its participation in cholesterol biosynthesis. J. Mol. Endocrinol. 2006, 37, 185–197. [Google Scholar] [CrossRef] [PubMed]
- Angelo Lupo, E.C. Giorgia Montano, Diana Zurlo, Paola Izzo and Paola Costanzo. KRAB-Zinc Finger Proteins A Repressor Family Displaying Multiple Biological Functions. Curr. Genom. 2013, 14, 268–278. [Google Scholar] [CrossRef] [PubMed]
- Ecco, G.; Imbeault, M.; Trono, D. KRAB zinc finger proteins. Development 2017, 144, 2719–2729. [Google Scholar] [CrossRef] [PubMed]
- Frietze, S.; Lan, X.; Jin, V.X.; Farnham, P.J. Genomic targets of the KRAB and SCAN domain-containing zinc finger protein 263. J. Biol. Chem. 2010, 285, 1393–1403. [Google Scholar] [CrossRef]
- Imataka, H.; Sogawa, K.; Yasumoto, K.; Kikuchi, Y.; Sasano, K.; Kobayashi, A.; Hayami, M.; Fujii-Kuriyama, T. Two regulatory proteins that bind to the basic transcription element (BTE), a GC box sequence in the promoter region of the rat P-4501A1 gene. EMBO J. 1992, 11, 3663–3671. [Google Scholar] [CrossRef]
- Tung, B.; Ma, D.; Wang, S.; Oyinlade, O.; Laterra, J.; Ying, M.; Lv, S.Q.; Wei, S.; Xia, S. Kruppel-like factor 9 and histone deacetylase inhibitors synergistically induce cell death in glioblastoma stem-like cells. BMC Cancer 2018, 18, 1025. [Google Scholar] [CrossRef]
- Kimura, H.; Fujimori, K. Activation of early phase of adipogenesis through Kruppel-like factor KLF9-mediated, enhanced expression of CCAAT/enhancer-binding protein beta in 3T3-L1 cells. Gene 2014, 534, 169–176. [Google Scholar] [CrossRef]
- Dwarakanath, M.; Lim, M.; Xu, H.; Hong, Y. Differential expression of boule and dazl in adult germ cells of the Asian seabass. Gene 2014, 549, 237–242. [Google Scholar] [CrossRef]
- Bhat, N.; Hong, Y. Cloning and expression of boule and dazl in the Nile tilapia (Oreochromis niloticus). Gene 2014, 540, 140–145. [Google Scholar] [CrossRef]
- Li, M.; Zhu, F.; Li, Z.; Hong, N.; Hong, Y. Dazl is a critical player for primordial germ cell formation in medaka. Sci. Rep. 2016, 6, 28317. [Google Scholar] [CrossRef]
- Wu, X.; Yang, Y.; Zhong, C.; Guo, Y.; Li, S.; Lin, H.; Liu, X. Transcriptome profiling of laser-captured germ cells and functional characterization of zbtb40 during 17alpha-methyltestosterone-induced spermatogenesis in orange-spotted grouper (Epinephelus coioides). BMC Genom. 2020, 21, 73. [Google Scholar] [CrossRef]
- Zhai, G.; Shu, T.; Xia, Y.; Lu, Y.; Shang, G.; Jin, X.; He, J.; Nie, P.; Yin, Z. Characterization of Sexual Trait Development in cyp17a1-Deficient Zebrafish. Endocrinology 2018, 159, 3549–3562. [Google Scholar] [CrossRef] [PubMed]
- Qian, H.; Xuan, J.; Liu, Y.; Shi, G. Function of G-Protein-Coupled Estrogen Receptor-1 in Reproductive System Tumors. J. Immunol. Res. 2016, 2016, 7128702. [Google Scholar] [CrossRef] [PubMed]
- New, M.I. Steroid 21-hydroxylase deficiency (congenital adrenal hyperplasia). Am. J. Med. 1995, 98, S2–S8. [Google Scholar] [CrossRef]
- Das, C.; Thraya, M.; Vijayan, M.M. Nongenomic cortisol signaling in fish. Gen. Comp. Endocrinol. 2018, 265, 121–127. [Google Scholar] [CrossRef]
- Godwin, J.R.; Thomas, P. Sex change and steroid profiles in the protandrous anemonefish Amphiprion melanopus (Pomacentridae, Teleostei). Gen. Comp. Endocrinol. 1993, 91, 144–157. [Google Scholar] [CrossRef]
- Hattori, R.S.; Fernandino, J.I.; Kishii, A.; Kimura, H.; Kinno, T.; Oura, M.; Somoza, G.M.; Yokota, M.; Strussmann, C.A.; Watanabe, S. Cortisol-induced masculinization: does thermal stress affect gonadal fate in pejerrey, a teleost fish with temperature-dependent sex determination? PLoS ONE 2009, 4, e6548. [Google Scholar] [CrossRef]
- Wang, Q.; Liu, Y.; Peng, C.; Wang, X.; Xiao, L.; Wang, D.; Chen, J.; Zhang, H.; Zhao, H.; Li, S.; et al. Molecular regulation of sex change induced by methyltestosterone -feeding and methyltestosterone -feeding withdrawal in the protogynous orange-spotted grouper. Biol. Reprod. 2017, 97, 324–333. [Google Scholar] [CrossRef]
- Yang, H.; Xie, Z.; Li, S.; Wu, X.; Peng, C.; Zhang, Y.; Lin, H. The complete mitochondrial genome of the orange-spotted grouper Epinephelus coioides (Perciformes, Serranidae). Mitochondrial DNA Part A 2016, 27, 1674–1676. [Google Scholar] [CrossRef]
- Zhang, Y.; Liu, T.; Meyer, C.A.; Eeckhoute, J.; Johnson, D.S.; Bernstein, B.E.; Nusbaum, C.; Myers, R.M.; Brown, M.; Li, W.; et al. Model-based analysis of ChIP-Seq (MACS). Genome Biol. 2008, 9, R137. [Google Scholar] [CrossRef]
- Benjamini, Y.; Hochberg, Y. Controlling the False Discovery Rate: a Practical and Powerful Approach to Multiple Testing. J. R. Stat. Soc. 1995, 57, 289–300. [Google Scholar] [CrossRef]
- Yu, G.; Wang, L.G.; He, Q.Y. ChIPseeker: An R/Bioconductor package for ChIP peak annotation, comparison and visualization. Bioinformatics 2015, 31, 2382–2383. [Google Scholar] [CrossRef] [PubMed]
- Li, Q.; Brown, J.B.; Huang, H.; Bickel, P.J. Measuring reproducibility of high-throughput experiments. Ann. Appl. Stat. 2011, 5, 1752–1779. [Google Scholar] [CrossRef]










| Sample | Total Reads | Mitochondrial Reads | Clean Reads | Total Mapped | Clean |
|---|---|---|---|---|---|
| C-1 | 158,840,360 | 3.93% | 96.07% | 77.22% | 89,605,877 |
| C-2 | 179,216,998 | 1.81% | 98.19% | 71.16% | 93,719,129 |
| I-1 | 123,712,724 | 5.84% | 94.16% | 74.27% | 66,091,411 |
| I-2 | 120,042,218 | 4.81% | 95.19% | 76.06% | 65,930,437 |
| T-1 | 59,402,610 | 0.65% | 99.35% | 79.69% | 37,601,624 |
| T-2 | 14,693,8476 | 0.54% | 99.46% | 78.36% | 86,143,916 |
| Total | 788,153,386 | - | - | - | 439,092,394 |
| Sample | Raw Data | Clean Data (%) | Mapped Reads (%) | Total Mapped (%) |
|---|---|---|---|---|
| C-1 | 38,082,536 | 38,005,438 (99.80%) | 31,366 (0.08%) | 92.43% |
| C-2 | 37,104,826 | 37,030,360 (99.80%) | 45,746 (0.12%) | 91.76% |
| I-1 | 39,789,128 | 39,709,566 (99.80%) | 36,968 (0.09%) | 92.24% |
| I-2 | 41,232,406 | 41,154,704 (99.81%) | 9006 (0.02%) | 93.12% |
| T-1 | 39,531,884 | 39,445,640 (99.78%) | 135,722 (0.34%) | 90.93% |
| T-2 | 39,575,790 | 39,496,980 (99.80%) | 117,852 (0.30%) | 91.56% |
| Total | 235,316,570 | - | - | - |
| Primers | Sequence (from 5′ to 3′) |
|---|---|
| dazl-ISH-F | CAACCAGACTTCACCTTTCC |
| dazl-ISH-R | AGTGAGGTGGAGGGTACTG |
| dmrt1-ISH-F | GCTGGTAGTTGTACAGGTT |
| dmrt1-ISH-R | GACCACCAGATCTCCTTT |
| star-ISH-F | CAACTTTCAAGCTGTGCGCT |
| star-ISH-R | GACCAAGGGACCTCGTTAGC |
| rergl-ISH-F | TTGGGACTGTCCAACCACTT |
| rergl-ISH-R | GTTCGCAGATGGCAACTCAT |
| Number | Control Group | MT Implantation Group | |
|---|---|---|---|
| Time | |||
| 0 week | 5 | 0 | |
| 1 week | 5 | 5 | |
| 2 weeks | 5 | 5 | |
| 3 weeks | 5 | 5 | |
| 4 weeks | 5 | 5 | |
| 5 weeks | 5 | 5 | |
| Primers | Purpose | Sequence (from 5′ to 3′) |
|---|---|---|
| ef1a-F | RT-qPCR | GGTCGTCACCTTCGCTCCAT |
| ef1a-R | RT-qPCR | TCCCTTGGGTGGGTCATTCT |
| bmp15-F | RT-qPCR | GTGAGCCTCATCTTCAAGTC |
| bmp15-R | RT-qPCR | TCAGAACATCCAGTGACGTA |
| dmrt1-F | RT-qPCR | GGCTATGTGTCTCCTCTGAA |
| dmrt1-R | RT-qPCR | ATTCTTCACCATCACCTCAG |
| dmrt2-F | RT-qPCR | AAGCTTTCCATGAAACTCAA |
| dmrt2-R | RT-qPCR | AGAAAGTCTTTGCCGTACCT |
| dnd-F | RT-qPCR | GGTGGAGAGAGTGTCTCTGA |
| dnd-R | RT-qPCR | GGTTTGTTTGAAGACAGTGG |
| gdf9-F | RT-qPCR | GTCTCCTCCTCTGCTTCTTT |
| gdf9-R | RT-qPCR | GACTTTTATCGCCTCGTTTA |
| nr5a2-F | RT-qPCR | GTACCAGTACACAGCCTTCC |
| nr5a2-R | RT-qPCR | ATCTTATTCTGCACCACCAC |
| nanog-F | RT-qPCR | AGACTGGAAGACGCAGATAA |
| nanog-R | RT-qPCR | ACTCCTCATGAGTCTTGTCG |
| nanos2-F | RT-qPCR | GACTACTTCACCCAGGAACA |
| nanos2-R | RT-qPCR | TCTGACTTCAGGTTGTGTGA |
| hsd17b7-F | RT-qPCR | GGTCTGTACTCATCCGTCAT |
| hsd17b7-R | RT-qPCR | GATTCAGGCTTTTGCTTAAA |
| rergl-F | RT-qPCR | CACCTAATCAGAGAGCTCCA |
| rergl-R | RT-qPCR | GAAGAATATGAGTGCCACCT |
| star-F | RT-qPCR | ATCTTCAGGCACTTTCTCAA |
| star-R | RT-qPCR | TGATGTTTTCAGAGGAGCTT |
| sox9-F | RT-qPCR | GTTCGGACACTGAGAACACT |
| sox9-R | RT-qPCR | GACGTGAGGTTTGCTTTTAC |
© 2020 by the authors. Licensee MDPI, Basel, Switzerland. This article is an open access article distributed under the terms and conditions of the Creative Commons Attribution (CC BY) license (http://creativecommons.org/licenses/by/4.0/).
Share and Cite
Wu, X.; Yang, Y.; Zhong, C.; Guo, Y.; Wei, T.; Li, S.; Lin, H.; Liu, X. Integration of ATAC-seq and RNA-seq Unravels Chromatin Accessibility during Sex Reversal in Orange-Spotted Grouper (Epinephelus coioides). Int. J. Mol. Sci. 2020, 21, 2800. https://doi.org/10.3390/ijms21082800
Wu X, Yang Y, Zhong C, Guo Y, Wei T, Li S, Lin H, Liu X. Integration of ATAC-seq and RNA-seq Unravels Chromatin Accessibility during Sex Reversal in Orange-Spotted Grouper (Epinephelus coioides). International Journal of Molecular Sciences. 2020; 21(8):2800. https://doi.org/10.3390/ijms21082800
Chicago/Turabian StyleWu, Xi, Yang Yang, Chaoyue Zhong, Yin Guo, Tengyu Wei, Shuisheng Li, Haoran Lin, and Xiaochun Liu. 2020. "Integration of ATAC-seq and RNA-seq Unravels Chromatin Accessibility during Sex Reversal in Orange-Spotted Grouper (Epinephelus coioides)" International Journal of Molecular Sciences 21, no. 8: 2800. https://doi.org/10.3390/ijms21082800
APA StyleWu, X., Yang, Y., Zhong, C., Guo, Y., Wei, T., Li, S., Lin, H., & Liu, X. (2020). Integration of ATAC-seq and RNA-seq Unravels Chromatin Accessibility during Sex Reversal in Orange-Spotted Grouper (Epinephelus coioides). International Journal of Molecular Sciences, 21(8), 2800. https://doi.org/10.3390/ijms21082800
