Design, Synthesis, and Biological Evaluation of Two Series of Novel A-Ring Fused Steroidal Pyrazines as Potential Anticancer Agents
Abstract
1. Introduction
2. Results
2.1. Chemistry
2.1.1. A-Ring Fused Steroidal Benzopyrazines 5a–5f and 10a–10o (Series 1)
2.1.2. A-Ring Fused Steroidal Pyrazinamides 12a–12o (Series 2)
2.2. Antiproliferative Activity
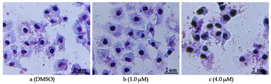
2.3. Morphological Detection of Cell Apoptosis
2.4. Cell Apoptosis Analysis
2.5. Cell Cycle Assay
2.6. The Molecular Docking
2.7. Preliminary Structure–Activity Relationship
3. Discussion
4. Materials and Methods
4.1. General
4.1.1. Synthesis of 4,4-dimethyl-3-oxo-pregnen-5-ene-17-carboxylate (3)
4.1.2. Synthesis of 4,4-dimethyl-2-hydroxy-3-oxo-pregnen-1,5-diene-17β-carboxylate (4)
4.1.3. General Procedure for the Preparation of Target Compounds 5a–5f
4.1.4. Synthesis of 4,4-dimethyl-2-hydroxy-3-oxo-pregnen-1,5-diene-20-ethylene ketal (8)
4.1.5. General Procedure for the Conversion of 8 to 9a–9o and 10a–10o
4.1.6. General Procedure for the Conversion of 8 to 11a–11o and 12a–12o
4.2. The X-ray Structure of Three Representative Compounds
4.3. In Vitro Cytotoxicity
4.4. Calculation of the Molecular Properties of All Derivatives
4.5. Giemsa Staining for the Detection of Morphological Features of Apoptosis
4.6. Cell Apoptosis Assay
4.7. Cell Cycle Assay
4.8. Molecular Docking Study
5. Conclusions
Supplementary Materials
Author Contributions
Funding
Acknowledgments
Conflicts of Interest
Abbreviations
| OPDs | o-Phenylenediamines |
| CCDC | Cambridge crystallographic data centre |
| EG | Ethylene glycol |
| (EtO)4Si | Tetraethyl orthosilicate |
| CCK8 | Cell counting kit-8 |
| MOE | Molecular operating environment |
| CYP17A1 | Cytochrome P450 17A1 |
| miLogP | LogP calculated by Molinspiration tool |
| TPSA | Topologic polar surface area |
References
- Salvador, J.A.R.; Carvalho, J.F.S.; Neves, M.A.C.; Silvestre, S.M.; Leitao, A.J.; Silva, M.M.C.; Melo, M. Anticancer steroids: linking natural and semi-synthetic compounds. Nat. Prod. Rep. 2013, 30, 324–374. [Google Scholar] [CrossRef]
- Baji, Á.; Gyovai, A.; Wölfling, J.; Minorics, R.; Ocsovszki, I.; Zupkó, I.; Frank, É. Microwave-assisted one-pot synthesis of steroid–quinoline hybrids and an evaluation of their antiproliferative activities on gynecological cancer cell lines. Rsc Adv. 2016, 6, 27501–27516. [Google Scholar] [CrossRef]
- Corona-Diaz, A.; Garcia-Merinos, J.P.; Ochoa, M.E.; Del Rio, R.E.; Santillan, R.; Rojas-Lima, S.; Morzycki, J.W.; Lopez, Y. TiCl4 catalyzed cleavage of (25R)-22-oxo-23-spiroketals. Synthesis of sapogenins with furostanol and pyranone E rings on the side chain. Steroids 2019, 152, 108488. [Google Scholar] [CrossRef]
- Kiss, A.; Wolfling, J.; Mernyak, E.; Frank, E.; Benke, Z.; Ashkan Senobar Tahaei, S.; Zupko, I.; Maho, S.; Schneider, G. Stereocontrolled synthesis of the four possible 3-methoxy and 3-benzyloxy-16-triazolyl-methyl-estra-17-ol hybrids and their antiproliferative activities. Steroids 2019, 108500. [Google Scholar] [CrossRef]
- Monier, M.; El-Mekabaty, A.; Abdel-Latif, D.; Dogru Mert, B.; Elattar, K.M. Heterocyclic steroids: Efficient routes for annulation of pentacyclic steroidal pyrimidines. Steroids 2019, 108548. [Google Scholar] [CrossRef]
- Yu, B.; Shi, X.-J.; Qi, P.-P.; Yu, D.-Q.; Liu, H.-M. Design, synthesis and biological evaluation of novel steroidal spiro-oxindoles as potent antiproliferative agents. J. Steroid Biochem. Mol. Biol. 2014, 141, 121–134. [Google Scholar] [CrossRef]
- Banday, A.H.; Mir, B.P.; Lone, I.H.; Suri, K.A.; Kumar, H.M.S. Studies on novel D-ring substituted steroidal pyrazolines as potential anticancer agents. Steroids 75, 805–809. [CrossRef]
- Banday, A.H.; Shameem, S.A.; Gupta, B.D.; Kumar, H.M.S. D-ring substituted 1,2,3-triazolyl 20-keto pregnenanes as potential anticancer agents: Synthesis and biological evaluation. Steroids 75, 801–804. [CrossRef]
- Li, J.; Zhao, X.; Li, L.; Yuan, Z.; Tan, F.; Shi, B.; Zhang, J. Design, synthesis and cytotoxic activity of a novel series of steroidal phenylpyrazoles. Steroids 2016, 107, 45–54. [Google Scholar] [CrossRef]
- Li, J.; Huo, H.; Guo, R.; Liu, B.; Li, L.; Dan, W.; Xiao, X.; Zhang, J.; Shi, B. Facile and efficient access to Androsten-17-(1’,3’,4’)-pyrazoles and Androst-17beta-(1’,3’,4’)-pyrazoles via Vilsmeier reagents, and their antiproliferative activity evaluation in vitro. Eur. J. Med. Chem. 2017, 130, 1–14. [Google Scholar] [CrossRef]
- Jiang, Q.W.; Chen, M.W.; Cheng, K.J.; Yu, P.Z.; Wei, X.; Shi, Z. Therapeutic potential of steroidal alkaloids in cancer and other diseases. Med. Res. Rev. 2016, 36, 119–143. [Google Scholar] [CrossRef] [PubMed]
- Mohareb, R.M.; Al-Omran, F. Reaction of pregnenolone with cyanoacetylhydrazine: Novel synthesis of hydrazide-hydrazone, pyrazole, pyridine, thiazole, thiophene derivatives and their cytotoxicity evaluations. Steroids 2012a, 77, 1551–1559. [Google Scholar] [CrossRef]
- Mohareb, R.M.; Wardakhan, W.W.; Elmegeed, G.A.; Ashour, R.M.S. Heterocyclizations of pregnenolone: Novel synthesis of thiosemicarbazone, thiophene, thiazole, thieno 2,3-b pyridine derivatives and their cytotoxicity evaluations. Steroids 2012b, 77, 1560–1569. [Google Scholar] [CrossRef] [PubMed]
- Mohareb, R.M.; El-Sayed, N.N.E.; Abdelaziz, M.A. The Knoevenagel reactions of pregnenolone with cyanomethylene reagents: synthesis of thiophene, thieno 2,3-b pyridine, thieno 3,2-d isoxazole derivatives of pregnenolone and their in vitro cytotoxicity towards tumor and normal cell lines. Steroids 2013, 78, 1209–1219. [Google Scholar] [CrossRef] [PubMed]
- Mohareb, R.M.; Abbas, N.S.; Abdelaziz, M.A. Heterocyclic ring extension of androstenedione: Synthesis and cytotoxicity of fused pyran, pyrimidine and thiazole derivatives. Steroids 2014a, 86, 45–55. [Google Scholar] [CrossRef] [PubMed]
- Mohareb, R.M.; Al-Omran, F.; Azzam, R.A. Heterocyclic ring extension of estrone: Synthesis and cytotoxicity of fused pyran, pyrimidine and thiazole derivatives. Steroids 2014b, 84, 46–56. [Google Scholar] [CrossRef]
- Ma, B.A.; Xiao, Z.Y.; Chen, Y.J.; Lei, M.; Meng, Y.H.; Guo, D.A.; Liu, X.; Hu, L.H. Synthesis and structure-activity relationships study of cytotoxic bufalin 3-nitrogen-containing-ester derivatives. Steroids 2013, 78, 508–512. [Google Scholar] [CrossRef]
- Terzić, N.; Opsenica, D.; Milić, D.; Tinant, B.; Smith, K.S.; Milhous, W.K.; Šolaja, B.A. Deoxycholic acid-derived tetraoxane antimalarials and antiproliferatives. J. Med.Chem. 2007, 50, 5118–5127. [Google Scholar] [CrossRef]
- Baji, A.; Kovacs, F.; Motyan, G.; Schneider, G.; Wolfling, J.; Sinka, I.; Zupko, I.; Ocsovszki, I.; Frank, E. Investigation of pH and substituent effects on the distribution ratio of novel steroidal ring D- and A-fused arylpyrazole regioisomers and evaluation of their cell-growth inhibitory effects in vitro. Steroids 2017, 126, 35–49. [Google Scholar] [CrossRef]
- Pettit, G.R.; Inoue, M.; Kamano, Y.; Herald, D.L.; Arm, C.; Dufresne, C.; Christie, N.D.; Schmidt, J.M.; Doubek, D.L.; Krupa, T.S. Isolation and structure of the powerful cell growth inhibitor cephalostatin. J. Am. Chem. Soc. 1988, 110, 2006–2007. [Google Scholar] [CrossRef]
- LaCour, T.G.; Guo, C.X.; Bhandaru, S.; Boyd, M.R.; Fuchs, P.L. Interphylal product splicing: The first total syntheses of cephalostatin 1, the north hemisphere of ritterazine G, and the highly active hybrid analogue, ritterostatin G(N)1(N). J. Am. Chem. Soc. 1998, 120, 692–707. [Google Scholar] [CrossRef]
- Nahar, L.; Sarker, S.D.; Turner, A.B.L.; Nahar, S.D. A review on synthetic and natural steroid dimers 1997–2006. Curr. Med. Chem 2007, 14, 1349–1370. [Google Scholar] [CrossRef] [PubMed]
- Dirsch, V.M.; Müller, I.M.; Eichhorst, S.T.; Pettit, G.R.; Kamano, Y.; Inoue, M.; Xu, J.P.; Ichihara, Y.; Wanner, G.; Vollmar, A.M. Cephalostatin 1 selectively triggers the release of Smac/DIABLO and subsequent apoptosis that is characterized by an increased density of the mitochondrial matrix. Cancer Res. 2003, 63, 8869–8876. [Google Scholar] [PubMed]
- Pettit, G.R.; Xu, J.P.; Chapuis, J.C.; Melody, N. The cephalostatins. Isolation, structure, and cancer cell growth inhibition of cephalostatin. J. Nat. Prod. 2015, 78, 1446–1450. [Google Scholar] [CrossRef] [PubMed]
- Barlaam, B.; Cosulich, S.; Delouvrie, B.; Ellston, R.; Fitzek, M.; Germain, H.; Green, S.; Hancox, U.; Harris, C.S.; Hudson, K.; et al. Discovery of 1-(4-(5-(5-amino-6-(5-tert-butyl-1,3,4-oxadiazol-2-yl)pyrazin-2-yl)-1-ethyl-1,2,4 -triazol-3-yl)piperidin-1-yl)-3-hydroxypropan-1-one (AZD8835): A potent and selective inhibitor of PI3Kalpha and PI3Kdelta for the treatment of cancers. Bioorg. Med. Chem. Lett. 2015, 25, 5155–5162. [Google Scholar] [CrossRef] [PubMed]
- Haddach, M.; Schwaebe, M.K.; Michaux, J.; Nagasawa, J.; O’Brien, S.E.; Whitten, J.P.; Pierre, F.; Kerdoncuff, P.; Darjania, L.; Stansfield, R.; et al. Discovery of CX-5461, the first direct and selective inhibitor of rna polymerase i, for cancer therapeutics. Acs Med. Chem. Lett. 2012, 3, 602–606. [Google Scholar] [CrossRef]
- Lao, K.; Sun, J.; Wang, C.; Lyu, W.; Zhou, B.; Zhao, R.; Xu, Q.; You, Q.; Xiang, H. Design, synthesis and biological evaluation of novel androsta-3,5-diene-3-carboxylic acid derivatives as inhibitors of 5α-reductase type 1 and 2. Steroids 2017, 124, 29–34. [Google Scholar] [CrossRef]
- Annand, J.R.; Bruno, P.A.; Mapp, A.K.; Schindler, C.S. Synthesis and biological evaluation of pharbinilic acid and derivatives as NF-kappaB pathway inhibitors. Chem. Commun. 2015, 51, 8990–8993. [Google Scholar] [CrossRef]
- Alonso, F.; Cirigliano, A.M.; Davola, M.E.; Cabrera, G.M.; Garcia Linares, G.E.; Labriola, C.; Barquero, A.A.; Ramirez, J.A. Multicomponent synthesis of 4,4-dimethyl sterol analogues and their effect on eukaryotic cells. Steroids 2014, 84, 1–6. [Google Scholar] [CrossRef]
- Fu, H.J.; Zhou, Y.R.; Bao, B.H.; Jia, M.X.; Zhao, Y.; Zhang, L.; Li, J.X.; He, H.L.; Zhou, X.M. Tryptophan hydroxylase 1 (Tph-1)-targeted bone anabolic agents for osteoporosis. J Med Chem 2014, 57, 4692–4709. [Google Scholar] [CrossRef]
- Zolottsev, V.A.; Zavarzin, I.V.; Shirinyan, V.Z.; Levina, I.S. Synthesis of E- and Z-isomeric progesterone 3-O-methyloximes. Russ. Chem. Bull. 2013, 62, 2086–2087. [Google Scholar] [CrossRef]
- Mao, S.W.; Chen, H.; Yu, L.F.; Lv, F.; Xing, Y.J.; Liu, T.; Xie, J.; Tang, J.; Yi, Z.; Yang, F. Novel 3,4-seco bile acid diamides as selective anticancer proliferation and migration agents. Eur. J. Med. Chem. 2016, 122, 574–583. [Google Scholar] [CrossRef] [PubMed]
- Molinspiration Cheminformatics. Available online: www.molinspiration.com (accessed on 9 January 2020).
- Tolmacheva, I.A.; Nazarov, A.V.; Eroshenko, D.V.; Grishko, V.V. Synthesis, cytotoxic evaluation, and molecular docking studies of the semi-synthetic “triterpenoid-steroid” hybrids. Steroids 2018, 140, 131–143. [Google Scholar] [CrossRef] [PubMed]
- Frimer, A.A.; Gilinsky-Sharon, P.; Hameiri, J.; Aljadeheff, G. Superoxide, tert-butoxide, and hydroxide-mediated autoxidation of 3-oxo-Δ4 steroids in aprotic media. J. Org. Chem. 1982, 47, 2818–2819. [Google Scholar] [CrossRef]
- Frimer, A.A.; Hameiri-Buch, J.; Ripshtos, S.; Gilinsky-Sharon, P. A facile two-step high-yield approach to 2-oxasteroids. Tetrahedron 1986, 42, 5693–5706. [Google Scholar] [CrossRef]
- Salvador, J.A.; Moreira, V.M.; Goncalves, B.M.; Leal, A.S.; Jing, Y. Ursane-type pentacyclic triterpenoids as useful platforms to discover anticancer drugs. Nat. Prod. Rep. 2012, 29, 1463–1479. [Google Scholar] [CrossRef]
- Lutfun Nahar, S.D.S. Steroid dimers: Chemistry and applications in drug design and delivery; John Wiley & Sons, Ltd: Leicester, UK, 2012; pp. 1–422. [Google Scholar] [CrossRef]
- Yu, B.; Shi, X.-J.; Zheng, Y.-F.; Fang, Y.; Zhang, E.; Yu, D.-Q.; Liu, H.-M. A novel [1,2,4] triazolo [1,5-α] pyrimidine-based phenyl-linked steroid dimer: Synthesis and its cytotoxic activity. Eur. J. Med. Chem. 2013, 69, 323–330. [Google Scholar] [CrossRef]
- Islam, M.K.; Kim, S.; Kim, H.K.; Kim, Y.H.; Lee, Y.M.; Choi, G.; Baek, A.R.; Sung, B.K.; Kim, M.; Cho, A.E.; et al. Synthesis and evaluation of Manganese(II)-based ethylenediaminetetraacetic acid-ethoxybenzyl conjugate as a highly stable hepatobiliary magnetic resonance imaging contrast agent. Bioconjug. Chem. 2018, 29, 3614–3625. [Google Scholar] [CrossRef]
- Song, Y.J.; Zhang, S.S.; Guo, X.L.; Sun, K.; Han, Z.P.; Li, R.; Zhao, Q.D.; Deng, W.J.; Xie, X.Q.; Zhang, J.W.; et al. Autophagy contributes to the survival of CD133+ liver cancer stem cells in the hypoxic and nutrient-deprived tumor microenvironment. Cancer Lett. 2013, 339, 70–81. [Google Scholar] [CrossRef]
- Mirza, M.B.; Elkady, A.I.; Al-Attar, A.M.; Syed, F.Q.; Mohammed, F.A.; Hakeem, K.R. Induction of apoptosis and cell cycle arrest by ethyl acetate fraction of Phoenix dactylifera L. (Ajwa dates) in prostate cancer cells. J. Ethnopharmacol. 2018, 218, 35–44. [Google Scholar] [CrossRef]
- Gu, H.L.; Li, N.; Dai, J.K.; Xi, Y.X.; Wang, S.J.; Wang, J.R. Synthesis and in vitro antitumor activity of novel bivalent beta-carboline-3-carboxylic acid derivatives with DNA as a potential target. Int. J. Mol. Sci. 2018, 19, 3179. [Google Scholar] [CrossRef]
- Song, Y.L.; Tian, C.P.; Yan, W.; Jiang, L.H.; Shen, L.Q. Design, synthesis and antitumor activity of steroidal pyridine derivatives based on molecular docking. Steroids 2019, 53–61. [Google Scholar] [CrossRef] [PubMed]
- Nikolić, A.R.; Petri, E.T.; Klisurić, O.R.; Ćelić, A.S.; Jakimov, D.S.; Djurendić, E.A.; Gaši, K.M.P.; Sakač, M.N. Synthesis and anticancer cell potential of steroidal 16,17-seco-16,17a-dinitriles: Identification of a selective inhibitor of hormone-independent breast cancer cells. Bioorganic Med. Chem. 2015, 23, 703–711. [Google Scholar] [CrossRef] [PubMed]








| Structures | No. | Substituents | Inhibitory Ratio (Mean% ± SD%)a | |||
|---|---|---|---|---|---|---|
| MCF-7 | PC-3 | HepG2 | THLE-2 | |||
![]() | 5a | R’ = O, R’’ = OH | 3.09 ± 1.05 | 25.13 ± 2.64 | 17.9 ± 1.16 | NAb |
| 10a | R’ = OH, R’’ = Me | 4.99 ± 3.09 | NA | 6.2 ± 5.25 | NA | |
| 5b | (R1 = R2 = H) | NA | 12.54 ± 12.90 | 7.24 ± 5.83 | 12.64 ± 1.22 | |
![]() | 5c | (R1 = Br, R2 = H) | 6.86 ± 7.46 | 20.73 ± 12.48 | NA | 12.53 ± 0.90 |
| 5d | (R1 = H, R2 = Br | 12.44 ± 0.30 | 40.20 ± 0.64 | NA | 2.39 ± 0.65 | |
| 5e | (R1= OH, R2 = H) | 6.57 ± 0.09 | NA | NA | NA | |
| 5f | (R1= H, R2 = OH) | 18.38 ± 13.06 | NA | 24.89 ± 2.30 | NA | |
| 10b | (R1 = R2 = H) | 9.95 ± 0.55 | 12.54 ± 12.90 | 7.24 ± 5.83 | 4.35 ± 2.27 | |
| 10c | (R1 = F, R2 = H) | 3.85 ± 1.97 | 24.87 ± 2.12 | NA | NA | |
| 10d | (R1 = H, R2 = F) | 21.17 ± 9.12 | 52.78 ± 0.86 | 22.39 ± 4.89 | NA | |
| 10e | (R1 = Cl, R2 = H) | NA | 44.77 ± 3.26 | 25.64 ± 2.51 | NA | |
| 10f | (R1 = H, R2 = Cl) | 23.87 ± 1.87 | 59.59 ± 1.29 | 32.57 ± 0.41 | NA | |
![]() | 10g | (R1 = Br, R2 = H) | NA | NA | 11.67 ± 2.56 | NA |
| 10h | (R1 = H, R2 = Br) | 21.25 ± 3.73 | 21.72 ± 1.27 | 13.08 ± 0.68 | 2.39 ± 0.07 | |
| 10i | (R1 = OH, R2 = H) | 17.92 ± 6.61 | 14.16 ± 0.87 | NA | NA | |
| 10j | (R1 = H, R2 = OH) | 18.6 ± 0.92 | 33.07 ± 0.34 | NA | NA | |
| 10k | (R1 = OMe, R2 = H) | 11.24 ± 0.49 | NA | 29.32 ± 5.38 | 3.54 ± 2.16 | |
| 10l | (R1 = H, R2 = OMe) | 41.63 ± 1.28 | 30.91 ± 1.74 | 33.30 ± 1.13 | 22.2 ± 2.72 | |
| 10m | (R1 = NO2, R2 = H) | 14.71 ± 0.25 | 15.98 ± 0.57 | 18.19 ± 7.46 | NA | |
| 10n | (R1 = H, R2 = NO2) | 19.98 ± 2.56 | 16.59 ± 3.72 | 18.72 ± 2.69 | NA | |
| 10o | (R1 = R2 = Cl) | NA | NA | NA | NDc | |
| 12a | (R = phenyl) | NA | 24.19 ± 0.94 | 12.54 ± 12.90 | NA | |
| 12b | (R = o-Me-Phenyl) | 8.12 ± 3.17 | 20.79 ± 7.04 | 15.23 ± 5.61 | 5.15 ± 1.79 | |
| 12c | (R = m-Me phenyl) | 3.57 ± 1.69 | 19.93 ± 0.43 | 7.02 ± 3.10 | NA | |
| 12d | (R = p-Me phenyl) | 24.96 ± 3.43 | 22.60 ± 2.25 | 16.29 ± 3.72 | 18.25 ± 6.76 | |
![]() | 12e | (R = o-F phenyl) | 3.28 ± 1.90 | 47.01 ± 3.47 | 17.61 ± 3.19 | 14.01 ± 1.47 |
| 12f | (R = m-F phenyl) | 0.80 ± 3.31 | 33.21 ± 4.68 | 12.79 ± 4.26 | NA | |
| 12g | (R = p-F phenyl) | 33.38 ± 5.35 | 66.76 ± 1.08 | NA | 17.63 ± 1.39 | |
| 12h | (R = o-Cl phenyl) | NA | 41.70 ± 4.79 | 21.95 ± 2.05 | NA | |
| 12i | (R = m-Cl phenyl) | 20.22 ± 0.52 | 35.91 ± 2.97 | 15.94 ± 2.93 | NA | |
| 12j | (R = p-Cl phenyl) | 24.88 ± 4.84 | 51.10 ± 1.02 | 23.05 ± 1.27 | NA | |
| 12k | (R = o-OMe phenyl) | 17.66 ± 1.01 | 32.85 ± 1.19 | 12.89 ± 0.43 | 4.71 ± 1.25 | |
| 12l | (R = m-OMe phenyl | 13.83 ± 2.32 | 26.88 ± 1.71 | 12.02 ± 1.67 | NA | |
| 12m | (R = p-OMe phenyl) | 19.99 ± 2.33 | 48.58 ± 0.08 | 20.27 ± 3.60 | 5.68 ± 1.90 | |
| 12n | (R = β- phenethyl) | 40.78 ± 1.72 | 74.91 ± 1.22 | 55.37 ± 1.00 | 19.31 ± 1.81 | |
| 12o | (R = cyclohexyl) | 15.08 ± 1.25 | NA | 24.05 ± 2.34 | NA | |
| 5-FUd | 47.90 ± 1.67 | 34.98 ± 1.46 | 47.72 ± 1.30 | 51.78 ± 0.69 | ||
| Compounds | PC-3 (IC50, μM)a | THLE-2 (IC50, μM) | SIb |
|---|---|---|---|
| 12g | 6.88 ± 0.04 | 14.69 | 2.14 |
| 12n | 0.93 ± 0.02 | 26.70 | 28.71 |
| 5-FU | 22.35 ± 0.41 | 12.86 | 0.58 |
| NO. | miLogPa | TPSAb | nONc | nOHNHd | Vole | NO. | miLogP | TPSA | nON | nOHNH | Vol |
|---|---|---|---|---|---|---|---|---|---|---|---|
| 5a | 5.25 | 63.08 | 4 | 1 | 370.66 | 12b | 7.27 | 75.11 | 5 | 2 | 504.42 |
| 10a | 5.74 | 46.01 | 3 | 1 | 385.06 | 12c | 7.29 | 75.11 | 5 | 2 | 504.42 |
| 5b | 6.75 | 63.08 | 4 | 1 | 414.65 | 12d | 7.31 | 75.11 | 5 | 2 | 504.42 |
| 5c, 5df | 7.54 | 63.08 | 4 | 1 | 432.54 | 12e | 6.98 | 75.11 | 5 | 2 | 492.79 |
| 5e, 5f | 6.25 | 83.31 | 5 | 2 | 422.67 | 12f | 7.01 | 75.11 | 5 | 2 | 492.79 |
| 10b | 7.24 | 46.01 | 3 | 1 | 429.06 | 12g | 7.03 | 75.11 | 5 | 2 | 492.79 |
| 10c,10d | 7.38 | 46.01 | 3 | 1 | 433.99 | 12h | 7.50 | 75.11 | 5 | 2 | 501.39 |
| 10e, 10f | 7.89 | 46.01 | 3 | 1 | 422.59 | 12i | 7.52 | 75.11 | 5 | 2 | 501.39 |
| 10g, 10h | 8.02 | 46.01 | 3 | 1 | 446.94 | 12j | 7.54 | 75.11 | 5 | 2 | 501.39 |
| 10i, 10j | 6.74 | 66.24 | 4 | 2 | 437.07 | 12k | 6.88 | 84.34 | 6 | 2 | 513.40 |
| 10k, 10l | 7.27 | 55.25 | 4 | 1 | 454.60 | 12l | 6.90 | 84.34 | 6 | 2 | 513.40 |
| 10m, 10n | 7.17 | 91.84 | 6 | 1 | 452.39 | 12m | 6.92 | 84.34 | 6 | 2 | 513.40 |
| 10o | 8.40 | 46.01 | 3 | 1 | 456.13 | 12n | 6.97 | 75.11 | 5 | 2 | 521.46 |
| 12a | 6.87 | 75.11 | 5 | 2 | 487.86 | 12o | 7.07 | 75.11 | 5 | 2 | 506.44 |
| Compounds | Concentration (μM) | Percentage of Cell Apoptosis (%) | |||
|---|---|---|---|---|---|
| Normal Living Cell | Early Apoptosis | Late Apoptosis | Necrosis | ||
| 12n | 0.2 | 89.20 | 0.76 | 7.90 | 2.15 |
| 1.0 | 73.17 | 4.55 | 19.07 | 3.21 | |
| 5.0 | 54.13 | 3.64 | 35.93 | 6.30 | |
| Control | 1% DMSO | 92.18 | 0.64 | 5.13 | 2.06 |
| Compounds | Concentration (μM) | Percentage of Cell Cycles (%) | ||
|---|---|---|---|---|
| G1 | S | G2/M | ||
| 12n | 0.2 | 46.65 | 37.26 | 16.09 |
| 1.0 | 23.03 | 30.78 | 46.19 | |
| 5.0 | 55.73 | 0.00 | 44.27 | |
| Control | 1% DMSO | 49.62 | 34.69 | 15.69 |
| PDB | Scores a | PDB | Scores | PDB | Scores |
|---|---|---|---|---|---|
| 6CIZ b | −11.72 | 3S7S c | −10.49 | 4NKX | −10.20 |
| 4NKZ | −11.02 | 4NKV | −10.36 | 3RUK | −10.08 |
| 5UYS | −10.81 | 4NKW | −10.32 | ||
| 6CIR | −10.52 | 6CHI | −10.30 |
| No. | Substituents | Scores | No. | Substituents | Scores |
|---|---|---|---|---|---|
| 5a | R’ = O, R’’ = OH | −8.65 | 10n | (R1 = H, R2 = NO2) | −10.66 |
| 5b | (R1 = R2 = H) | −9.60 | 10o | (R1 = R2 = Cl) | −10.44 |
| 5c | (R1 = Br, R2 = H) | −9.60 | 12a | (R = phenyl) | −11.03 |
| 15d | (R1 = H, R2 = Br | −9.75 | 12b | (R = o-Me-Phenyl) | −10.73 |
| 5e | (R1 = OH, R2 = H) | −9.63 | 12c | (R = m-Me phenyl) | −11.29 |
| 5f | (R1 = H, R2 = OH) | −9.64 | 12d | (R = p-Me phenyl) | −11.21 |
| 10a | R’ = OH, R’’ = Me | −8.96 | 12e | (R = o-F phenyl) | −10.56 |
| 10b | (R1 = R2 = H) | −9.68 | 12f | (R = m-F phenyl) | −10.71 |
| 10c | (R1 = F, R2 = H) | −9.80 | 12g | (R = p-F phenyl) | −11.16 |
| 10d | (R1 = H, R2 = F) | −9.81 | 12h | (R = o-Cl phenyl) | −10.99 |
| 10e | (R1 = Cl, R2 = H) | −10.06 | 12i | (R = m-Cl phenyl) | −10.80 |
| 10f | (R1 = H, R2 = Cl) | −10.17 | 12j | (R = p-Cl phenyl) | −11.00 |
| 10g | (R1 = Br, R2 = H) | −10.07 | 12k | (R = o-OMe phenyl) | −11.29 |
| 10h | (R1 = H, R2 = Br) | −10.14 | 12l | (R = m-OMe phenyl | −11.49 |
| 10i | (R1 = OH, R2 = H) | −9.97 | 12m | (R = p-OMe phenyl) | −11.32 |
| 10j | (R1 = H, R2 = OH) | −10.01 | 12n | (R = β- phenethyl) | −11.87 |
| 10k | (R1 = OMe, R2 = H) | −8.76 | 12o | (R = cyclohexyl) | −11.48 |
| 10l | (R1 = H, R2 = OMe) | −9.15 | Abiraterone acetate* | −8.91 | |
| 10m | (R1 = NO2, R2 = H) | −10.25 | |||
© 2020 by the authors. Licensee MDPI, Basel, Switzerland. This article is an open access article distributed under the terms and conditions of the Creative Commons Attribution (CC BY) license (http://creativecommons.org/licenses/by/4.0/).
Share and Cite
Wang, S.; Yuan, X.; Qian, H.; Li, N.; Wang, J. Design, Synthesis, and Biological Evaluation of Two Series of Novel A-Ring Fused Steroidal Pyrazines as Potential Anticancer Agents. Int. J. Mol. Sci. 2020, 21, 1665. https://doi.org/10.3390/ijms21051665
Wang S, Yuan X, Qian H, Li N, Wang J. Design, Synthesis, and Biological Evaluation of Two Series of Novel A-Ring Fused Steroidal Pyrazines as Potential Anticancer Agents. International Journal of Molecular Sciences. 2020; 21(5):1665. https://doi.org/10.3390/ijms21051665
Chicago/Turabian StyleWang, Shijun, Xiaorong Yuan, Hao Qian, Na Li, and Junru Wang. 2020. "Design, Synthesis, and Biological Evaluation of Two Series of Novel A-Ring Fused Steroidal Pyrazines as Potential Anticancer Agents" International Journal of Molecular Sciences 21, no. 5: 1665. https://doi.org/10.3390/ijms21051665
APA StyleWang, S., Yuan, X., Qian, H., Li, N., & Wang, J. (2020). Design, Synthesis, and Biological Evaluation of Two Series of Novel A-Ring Fused Steroidal Pyrazines as Potential Anticancer Agents. International Journal of Molecular Sciences, 21(5), 1665. https://doi.org/10.3390/ijms21051665





