Multiple Skin Squamous Cell Carcinomas in Junctional Epidermolysis Bullosa Due to Altered Laminin-332 Function
Abstract
1. Introduction
2. Results
2.1. Patient Clinical Findings
2.2. Mutation Identification and Laminin-332 (LM332) mRNA and Protein Expression in Patient Primary Keratinocytes and Skin
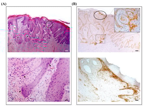
2.3. LM332 Expression in Patient Squamous Cell Carcinomas (SCCs)
3. Discussion
4. Materials and Methods
4.1. Patient Samples, Immunofluorescence, Molecular Analysis
4.2. LAMB3 mRNA Expression and LM332 Protein Analysis
4.3. Immunohistochemistry
5. Conclusions
Author Contributions
Funding
Acknowledgments
Conflicts of Interest
Abbreviations
| JEB | Junctional epidermolysis bullosa |
| JEB-GI | Junctional epidermolysis bullosa, generalized intermediate subtype |
| SCC | Squamous cell carcinoma |
| LM332 | Laminin-332 |
| ECM | Extracellular matrix |
Appendix A

References
- Rousselle, P.; Beck, K. Laminin 332 processing impacts cellular behavior. Cell Adh. Migr. 2013, 7, 122–134. [Google Scholar] [CrossRef] [PubMed]
- Matsui, C.; Wang, C.K.; Nelson, C.F.; Bauer, E.A.; Hoeffler, W.K. The assembly of laminin-5 subunits. J. Biol. Chem. 1995, 270, 23496–23503. [Google Scholar] [CrossRef] [PubMed]
- Has, C.; Nyström, A.; Saeidian, A.H.; Bruckner-Tuderman, L.; Uitto, J. Epidermolysis bullosa: Molecular pathology of connective tissue components in the cutaneous basement membrane zone. Matrix Biol. 2018, 71–72, 313–329. [Google Scholar] [CrossRef] [PubMed]
- Van den Bergh, F.; Eliason, S.L.; Giudice, G.J. Type XVII collagen (BP180) can function as a cell-matrix adhesion molecule via binding to laminin 332. Matrix Biol. 2011, 30, 100–108. [Google Scholar] [CrossRef]
- Nishie, W.; Kiritsi, D.; Nyström, A.; Hofmann, S.C.; Bruckner-Tuderman, L. Dynamic interactions of epidermal collagen XVII with the extracellular matrix: Laminin 332 as a major binding partner. Am. J. Pathol. 2011, 179, 829–837. [Google Scholar] [CrossRef]
- Nguyen, B.P.; Ryan, M.C.; Gil, S.G.; Carter, W.G. Deposition of laminin 5 in epidermal wounds regulates integrin signaling and adhesion. Curr. Opin. Cell Biol. 2000, 12, 554–562. [Google Scholar] [CrossRef]
- Miyazaki, K. Laminin-5 (laminin-332): Unique biological activity and role in tumor growth and invasion. Cancer Sci. 2006, 97, 91–98. [Google Scholar] [CrossRef]
- Marinkovich, M.P. Laminin 332 in squamous-cell carcinoma. Nat. Rev. Cancer 2007, 7, 370–380. [Google Scholar] [CrossRef]
- Tran, M.; Rousselle, P.; Nokelainen, P.; Tallapragada, S.; Nguyen, N.T.; Fincher, E.F.; Marinkovich, M.P. Targeting a tumor-specific laminin domain critical for human carcinogenesis. Cancer Res. 2008, 68, 2885–2894. [Google Scholar] [CrossRef]
- Rousselle, P.; Scoazec, J.Y. Laminin 332 in cancer: When the extracellular matrix turns signals from cell anchorage to cell movement. Semin. Cancer Biol. 2019. [Google Scholar] [CrossRef]
- Poulter, J.A.; El-Sayed, W.; Shore, R.C.; Kirkham, J.; Inglehearn, C.F.; Mighell, A.J. Whole-exome sequencing, without prior linkage, identifies a mutation in LAMB3 as a cause of dominant hypoplastic amelogenesis imperfecta. Eur. J. Hum. Genet. 2014, 22, 132–135. [Google Scholar] [CrossRef] [PubMed]
- Gostyńska, K.B.; Yan Yuen, W.; Pasmooij, A.M.; Stellingsma, C.; Pas, H.H.; Lemmink, H.; Jonkman, M.F. Carriers with functional null mutations in LAMA3 have localized enamel abnormalities due to haploinsufficiency. Eur. J. Hum. Genet. 2016, 25, 94–99. [Google Scholar] [CrossRef] [PubMed]
- McLean, W.H.; Irvine, A.D.; Hamill, K.J.; Whittock, N.V.; Coleman-Campbell, C.M.; Mellerio, J.E.; Ashton, G.S.; Dopping-Hepenstal, P.J.; Eady, R.A.; Jamil, T.; et al. An unusual N-terminal deletion of the laminin alpha3a isoform leads to the chronic granulation tissue disorder laryngo-onycho-cutaneous syndrome. Hum. Mol. Genet. 2003, 12, 2395–2409. [Google Scholar] [CrossRef] [PubMed]
- Condrat, I.; He, Y.; Cosgarea, R.; Has, C. Junctional Epidermolysis Bullosa: Allelic Heterogeneity and Mutation Stratification for Precision Medicine. Front. Med. (Lausanne) 2019, 5, 363. [Google Scholar] [CrossRef]
- Yuen, W.Y.; Jonkman, M.F. Risk of squamous cell carcinoma in junctional epidermolysis bullosa, non-Herlitz type: Report of 7 cases and a review of the literature. J. Am. Acad. Dermatol. 2011, 65, 780–789. [Google Scholar] [CrossRef]
- Montaudié, H.; Chiaverini, C.; Sbidian, E.; Charlesworth, A.; Lacour, J.P. Inherited epidermolysis bullosa and squamous cell carcinoma: A systematic review of 117 cases. Orphanet J. Rare. Dis. 2016, 11, 117. [Google Scholar] [CrossRef]
- Di Zenzo, G.; El Hachem, M.; Diociaiuti, A.; Boldrini, R.; Calabresi, V.; Cianfarani, F.; Fortugno, P.; Piccinni, E.; Zambruno, G.; Castiglia, D. A truncating mutation in the laminin-332α chain highlights the role of the LG45 proteolytic domain in regulating keratinocyte adhesion and migration. Br. J. Dermatol. 2014, 170, 1056–1064. [Google Scholar] [CrossRef]
- Elder, D.E.; Massi, D.; Scolyer, R.A.; Willemze, R. World Health Organization Classification of Skin Tumours, 4th ed.; IARC Press: Lyon, France, 2018. [Google Scholar]
- Condorelli, A.G.; Fortugno, P.; Cianfarani, F.; Proto, V.; Di Zenzo, G.; Didona, B.; Zambruno, G.; Castiglia, D. Lack of K140 immunoreactivity in junctional epidermolysis bullosa skin and keratinocytes associates with misfolded laminin epidermal growth factor-like motif 2 of the β3 short arm. Br. J. Dermatol. 2018, 178, 1416–1422. [Google Scholar] [CrossRef]
- Floeth, M.; Bruckner-Tuderman, L. Digenic junctional epidermolysis bullosa: Mutations in COL17A1 and LAMB3 genes. Am. J. Hum. Genet. 1999, 65, 1530–1537. [Google Scholar] [CrossRef]
- Hunter, I.; Schulthess, T.; Engel, J. Laminin chain assembly by triple and double stranded coiled-coil structure. J. Biol. Chem. 1992, 267, 6006–6011. [Google Scholar]
- Beck, K.; Dixon, T.W.; Engel, J.; Parry, D.A. Ionic interactions in the coiled-coil domain of laminin determine the specificity of chain assembly. J. Mol. Biol. 1993, 231, 311–323. [Google Scholar] [CrossRef] [PubMed]
- Kammerer, R.A.; Antonsson, P.; Schulthess, T.; Fauser, C.; Engel, J. Selective chain recognition in the C-terminal alpha-helical coiled-coil region of laminin. J. Mol. Biol. 1995, 250, 64–73. [Google Scholar] [CrossRef] [PubMed]
- Antonsson, P.; Kammerer, R.A.; Schulthess, T.; Hänisch, G.; Engel, J. Stabilization of the alpha-helical coiled-coil domain in laminin by C-terminal disulfide bonds. J. Mol. Biol. 1995, 250, 74–79. [Google Scholar] [CrossRef] [PubMed]
- Yamada, M.; Sekiguchi, K. Molecular basis of laminin-integrin interactions. Curr. Top. Membr. 2015, 76, 197–229. [Google Scholar] [PubMed]
- Waterman, E.A.; Sakai, N.; Nguyen, N.T.; Horst, B.A.; Veitch, D.P.; Dey, C.N.; Ortiz-Urda, S.; Khavari, P.A.; Marinkovich, M.P. A laminin-collagen complex drives human epidermal carcinogenesis through phosphoinositol-3-kinase activation. Cancer Res. 2007, 67, 4264–4270. [Google Scholar] [CrossRef] [PubMed]
- Russell, A.J.; Fincher, E.F.; Millman, L.; Smith, R.; Vela, V.; Waterman, E.A.; Dey, C.N.; Guide, S.; Weaver, V.M.; Marinkovich, M.P. α6β4 integrin regulates keratinocyte chemotaxis through differential GTPase activation and antagonism of α3β1 integrin. J. Cell Sci. 2003, 116, 3543–3556. [Google Scholar] [CrossRef] [PubMed]
- Mohr, E.B.; Lohmeyer, J.A.; Mikhaimer, N.C.; Mailander, P.F.; Schwarz, T.F.; Hauschild, A. Multiple squamous cell carcinomas in junctional epidermolysis bullosa: A surgical challenge. Dermatol. Surg. 2008, 34, 1131–1136. [Google Scholar] [CrossRef]
- Mallipeddi, R.; Keane, F.M.; McGrath, J.A.; Mayou, B.J.; Eady, R.A. Increased risk of squamous cell carcinoma in junctional epidermolysis bullosa. J. Eur. Acad. Dermatol. Venereol. 2004, 18, 521–526. [Google Scholar] [CrossRef]
- Weber, F.; Bauer, J.W.; Sepp, N.; Hogler, W.; Salmhofer, W.; Hintner, H.; Fritsch, P. Squamous cell carcinoma in junctional and dystrophic epidermolysis bullosa. Acta Derm. Venereol. 2001, 81, 189–192. [Google Scholar] [CrossRef]
- Condorelli, A.G.; Dellambra, E.; Logli, E.; Zambruno, G.; Castiglia, D. Epidermolysis bullosa-associated squamous cell carcinoma: From pathogenesis to therapeutic perspectives. Int. J. Mol. Biol. 2019, 20, 5707. [Google Scholar] [CrossRef]
- Föll, M.C.; Fahrner, M.; Gretzmeier, C.; Thoma, K.; Biniossek, M.L.; Kiritsi, D.; Meiss, F.; Schilling, O.; Nyström, A.; Kern, J.S. Identification of tissue damage, extracellular matrix remodeling and bacterial challenge as common mechanisms associated with high-risk cutaneous squamous cell carcinomas. Matrix Biol. 2018, 66, 1–21. [Google Scholar] [CrossRef] [PubMed]
- Posteraro, P.; De Luca, N.; Meneguzzi, G.; El Hachem, M.; Angelo, C.; Gobello, T.; Tadini, G.; Zambruno, G.; Castiglia, D. Laminin-5 mutational analysis in an Italian cohort of patients with junctional epidermolysis bullosa. J. Invest. Dermatol. 2004, 123, 639–648. [Google Scholar] [CrossRef] [PubMed]
- Castiglia, D.; Posteraro, P.; Spirito, F.; Pinola, M.; Angelo, C.; Puddu, P.; Meneguzzi, G.; Zambruno, G. Novel mutations in the LAMC2 gene in non-Herlitz junctional epidermolysis bullosa: Effects on laminin-5 assembly, secretion, and deposition. J. Invest. Dermatol. 2001, 117, 731–739. [Google Scholar] [CrossRef] [PubMed]
- Gagnoux-Palacios, L.; Vailly, J.; Durand-Clement, M.; Wagner, E.; Ortonne, J.P.; Meneguzzi, G. Functional re-expression of laminin-5 in laminin-gamma2-deficient human keratinocytes modifies cell morphology, motility, and adhesion. J. Biol. Chem. 1996, 271, 18437–18444. [Google Scholar] [CrossRef] [PubMed]
- Castori, M.; Floriddia, G.; De Luca, N.; Pascucci, M.; Ghirri, P.; Boccaletti, V.; El Hachem, M.; Zambruno, G.; Castiglia, D. Herlitz junctional epidermolysis bullosa: Laminin-5 mutational profile and carrier frequency in the Italian population. Br. J. Dermatol. 2008, 158, 38–44. [Google Scholar] [CrossRef] [PubMed]
- Ruzzi, L.; Pas, H.; Posteraro, P.; Mazzanti, C.; Didona, B.; Owaribe, K.; Meneguzzi, G.; Zambruno, G.; Castiglia, D.; D’Alessio, M. A homozygous nonsense mutation in type XVII collagen gene (COL17A1) uncovers an alternatively spliced mRNA accounting for an unusually mild form of non-Herlitz junctional epidermolysis bullosa. J. Invest. Dermatol. 2001, 116, 182–187. [Google Scholar] [CrossRef]




| Patient | Sex | Mutation (Protein Designation) | Expression of Mutant Protein (Skin IF) | Age (y) at First SCC | N° of SCCs | Localization | Differentiation in Histopathology | Metastasis | Ref. |
|---|---|---|---|---|---|---|---|---|---|
| 1 | M | LAMB3 p.Arg635*+p.Cys1171* | LM332 normal | 48 | 100 | Lower extremities | Well, moderately | No | This study |
| 2 | M | LAMA3 p.Leu1648Trpfs*32 (h) | LM332 slightly reduced | 42 | >20 | Lower extremities | Well, moderately | No | [17] |
| 3 | F | COL17A1 p.Ser1079Cysfs*26 (h) | COLXVII negative | 42 | 4 | Lower extremity | Well, moderately, poorly | Yes | [15] |
| 4 | M | LAMB3 p.Glu210Lys (h) | LM332 reduced | 48 | 2 | Lower extremity | Well, moderately | No | [15] |
| 5 | F | LAMB3 p.Leu11Profs*43+p.Glu210Lys | LM332 reduced | 61 | 2 | Lower extremity | Well | No | [15] |
| 6 | M | LAMB3 p.Glu210Lys+p.Arg635* | LM332 reduced | 28 | 9 | Lower extremity | Well, poorly | Yes | [15] |
| 7 | M | LAMB3 p.Leu11Profs*43+p.Gln834* | LM332 negative | 39 | >8 | Lower extremities | Well | No | [28] |
| 8 | M | LAMB3 p.Leu11Profs*43+p.Gln834* | LM332 negative | 32 | >4 | Lower extremities | Well | Yes | [28] |
| 9 | F | LAMB3 p.Arg635*+p.Thr350Pro | LM332 reduced | 70 | >6 | Sacrum, buttock | Well, moderately | No | [29] |
| 10 | M | COL17A1 p.Ser1300Cysfs*29 (h) | COLXVII negative | 58 | 1 | Lower extremity | Well | No | [30] |
© 2020 by the authors. Licensee MDPI, Basel, Switzerland. This article is an open access article distributed under the terms and conditions of the Creative Commons Attribution (CC BY) license (http://creativecommons.org/licenses/by/4.0/).
Share and Cite
Fortugno, P.; Condorelli, A.G.; Dellambra, E.; Guerra, L.; Cianfarani, F.; Tinaburri, L.; Proto, V.; De Luca, N.; Passarelli, F.; Ricci, F.; et al. Multiple Skin Squamous Cell Carcinomas in Junctional Epidermolysis Bullosa Due to Altered Laminin-332 Function. Int. J. Mol. Sci. 2020, 21, 1426. https://doi.org/10.3390/ijms21041426
Fortugno P, Condorelli AG, Dellambra E, Guerra L, Cianfarani F, Tinaburri L, Proto V, De Luca N, Passarelli F, Ricci F, et al. Multiple Skin Squamous Cell Carcinomas in Junctional Epidermolysis Bullosa Due to Altered Laminin-332 Function. International Journal of Molecular Sciences. 2020; 21(4):1426. https://doi.org/10.3390/ijms21041426
Chicago/Turabian StyleFortugno, Paola, Angelo Giuseppe Condorelli, Elena Dellambra, Liliana Guerra, Francesca Cianfarani, Lavinia Tinaburri, Vittoria Proto, Naomi De Luca, Francesca Passarelli, Francesca Ricci, and et al. 2020. "Multiple Skin Squamous Cell Carcinomas in Junctional Epidermolysis Bullosa Due to Altered Laminin-332 Function" International Journal of Molecular Sciences 21, no. 4: 1426. https://doi.org/10.3390/ijms21041426
APA StyleFortugno, P., Condorelli, A. G., Dellambra, E., Guerra, L., Cianfarani, F., Tinaburri, L., Proto, V., De Luca, N., Passarelli, F., Ricci, F., Zambruno, G., & Castiglia, D. (2020). Multiple Skin Squamous Cell Carcinomas in Junctional Epidermolysis Bullosa Due to Altered Laminin-332 Function. International Journal of Molecular Sciences, 21(4), 1426. https://doi.org/10.3390/ijms21041426

