Prognostic Significance of Stromal Periostin Expression in Non-Small Cell Lung Cancer
Abstract
1. Introduction
2. Results
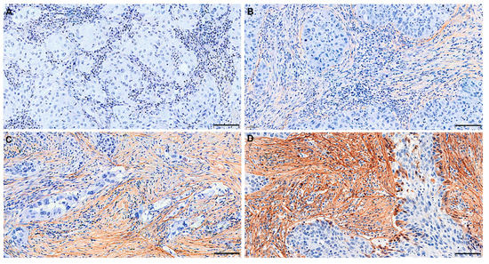
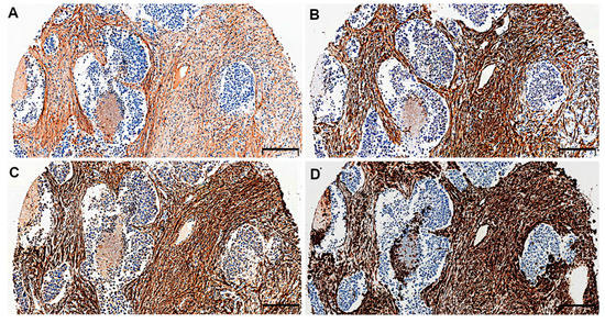
2.1. Immunohistochemical POSTN Expression in NSCLC
2.2. Relationship between Immunohistochemical POSTN Expression in NSCLC and the Clinicopathological Data of Patients
2.3. Associations between POSTN and TTF-1, p63, and D2-40 Expression Levels and Cancer Cell Proliferation
2.4. Prognostic Significance of POSTN Expression in NSCLC
2.5. Immunofluorescence
2.6. Laser Capture Microdissection and Real-Time PCR
3. Discussion
4. Materials and Methods
4.1. Patient Cohort
4.2. Construction of Tissue Microarrays (TMA)
4.3. TMA Immunohistochemistry (IHC)
4.4. Evaluation of IHC Reactions
4.5. Laser Capture Microdissection (LCM)
4.6. Real-Time PCR
4.7. Confocal Microscopy
4.8. Statistical Analysis
5. Conclusions
Author Contributions
Funding
Conflicts of Interest
References
- Li, D.; Du, X.L.; Ren, Y.; Liu, P.; Li, S.; Yang, J.; Lv, M.; Chen, L.; Wang, X.; Li, E.; et al. Comparative analysis of clinicopathologic features of, treatment in, and survival of americans with lung or bronchial cancer. PLoS ONE 2016, 11, e156617. [Google Scholar] [CrossRef]
- Bray, F.; Ferlay, J.; Soerjomataram, I.; Siegel, R.L.; Torre, L.A.; Jemal, A. Global cancer statistics 2018: GLOBOCAN estimates of incidence and mortality worldwide for 36 cancers in 185 countries. CA Cancer J. Clin. 2018, 68, 394–424. [Google Scholar] [CrossRef]
- Testa, U.; Castelli, G.; Pelosi, E. Lung Cancers: Molecular Characterization, Clonal Heterogeneity and Evolution, and Cancer Stem Cells. Cancers 2018, 10, 248. [Google Scholar] [CrossRef]
- Bender, E. Epidemiology: The dominant malignancy. Nature 2014, 513, 2011–2012. [Google Scholar] [CrossRef]
- Goldstraw, P.; Ball, D.; Jett, J.R.; Le Chevalier, T.; Lim, E.; Nicholson, A.G.; Shepherd, F.A. Non-small-cell lung cancer. Lancet 2011, 378, 1727–1740. [Google Scholar] [CrossRef]
- Nitsche, U.; Stangel, D.; Pan, Z.; Schlitter, A.M.; Esposito, I.; Regel, I.; Raulefs, S.; Friess, H.; Kleeff, J.; Erkan, M. Periostin and tumor-stroma interactions in non-small cell lung cancer. Oncol. Lett. 2016, 12, 3804–3810. [Google Scholar] [CrossRef][Green Version]
- Okazaki, T.; Tamai, K.; Shibuya, R.; Nakamura, M.; Mochizuki, M.; Yamaguchi, K.; Abe, J.; Takahashi, S.; Sato, I.; Kudo, A.; et al. Periostin is a negative prognostic factor and promotes cancer cell proliferation in non-small cell lung cancer. Oncotarget 2018, 9, 31187–31199. [Google Scholar] [CrossRef]
- Chen, L.; Qin, Y.; Zhang, T.; Ding, N.; Chen, Y.; Zhang, Z.; Guo, C. Clinical significance of cancer-associated fibroblasts and their correlation with microvessel and lymphatic vessel density in lung adenocarcinoma. J. Clin. Lab. Anal. 2019, 33, e22832. [Google Scholar] [CrossRef]
- Sun, W.; Fu, S. Role of cancer-associated fibroblasts in tumor structure, composition and the microenvironment in ovarian cancer (Review). Oncol. Lett. 2019, 18, 2173–2178. [Google Scholar] [CrossRef]
- Murakami, D.; Takamori, S.; Kawahara, A.; Mitsuoka, M.; Kashihara, M.; Yoshiyama, K.; Matsumoto, R.; Yokoyama, S.; Fujimoto, K.; Kawaguchi, A.; et al. Periostin expression in non-small cell lung cancer: Clinical significance. Kurume Med. J. 2017, 64, 13–20. [Google Scholar] [CrossRef] [PubMed]
- Lu, P.; Weaver, V.M.; Werb, Z. The extracellular matrix: A dynamic niche in cancer progression. J. Cell Biol. 2012, 196, 395–406. [Google Scholar] [CrossRef] [PubMed]
- González-González, L.; Alonso, J. Periostin: A matricellular protein with multiple functions in cancer development and progression. Front. Oncol. 2018, 8, 225. [Google Scholar] [CrossRef] [PubMed]
- Conway, S.J.; Izuhara, K.; Kudo, Y.; Litvin, J.; Markwald, R.; Ouyang, G.; Arron, J.R.; Holweg, C.T.J.; Kudo, A. The role of periostin in tissue remodeling across health and disease. Cell. Mol. Life Sci. 2014, 71, 1279–1288. [Google Scholar] [CrossRef] [PubMed]
- Ratajczak-Wielgomas, K.; Dziegiel, P. The role of periostin in neoplastic processes. Folia Histochem. Cytobiol. 2015, 53, 120–132. [Google Scholar] [CrossRef]
- Xu, X.; Chang, W.; Yuan, J.; Han, X.; Tan, X.; Ding, Y.; Luo, Y.; Cai, H.; Liu, Y.; Gao, X.; et al. Periostin expression in intra-tumoral stromal cells is prognostic and predictive for colorectal carcinoma via creating a cancersupportive niche. Oncotarget 2016, 7, 798–813. [Google Scholar] [CrossRef] [PubMed]
- Morra, L.; Moch, H. Periostin expression and epithelial-mesenchymal transition in cancer: A review and an update. Virchows Arch. 2011, 459, 465–475. [Google Scholar] [CrossRef] [PubMed]
- Ruan, K.; Bao, S.; Ouyang, G. The multifaceted role of periostin in tumorigenesis. Cell. Mol. Life Sci. 2009, 66, 2219–2230. [Google Scholar] [CrossRef]
- Li, G.; Jin, R.; Norris, R.A.; Zhang, L.; Yu, S.; Wu, F.; Markwald, R.R.; Nanda, A.; Conway, S.J.; Smyth, S.S.; et al. Periostin mediates vascular smooth muscle cell migration through the integrins ανβ3 and ανβ5 and focal adhesion kinase (FAK) pathway. Atherosclerosis 2010, 208, 358–365. [Google Scholar] [CrossRef]
- Liu, Y.; Huang, Z.; Cui, D.; Ouyang, G. The Multiaspect Functions of Periostin in Tumor Progression. In Advances in Experimental Medicine and Biology; Springer New York LLC: New York, NY, USA, 2019; Volume 1132, pp. 125–136. [Google Scholar]
- Cui, D.; Huang, Z.; Liu, Y.; Ouyang, G. The multifaceted role of periostin in priming the tumor microenvironments for tumor progression. Cell. Mol. Life Sci. 2017, 74, 4287–4291. [Google Scholar] [CrossRef]
- Gillan, L.; Matei, D.; Fishman, D.A.; Gerbin, C.S.; Karlan, B.Y.; Chang, D.D. Periostin secreted by epithelial ovarian carcinoma is a ligand for αVβ3 and αVβ5 integrins and promotes cell motility. Cancer Res. 2002, 62, 5358–5364. [Google Scholar]
- Ratajczak-Wielgomas, K.; Grzegrzolka, J.; Piotrowska, A.; Gomulkiewicz, A.; Witkiewicz, W.; Dziegiel, P. Periostin expression in cancer-associated fibroblasts of invasive ductal breast carcinoma. Oncol. Rep. 2016, 36, 2745–2754. [Google Scholar] [CrossRef] [PubMed]
- Ratajczak-Wielgomas, K.; Grzegrzolka, J.; Piotrowska, A.; Matkowski, R.; Wojnar, A.; Rys, J.; Ugorski, M.; Dziegiel, P. Expression of periostin in breast cancer cells. Int. J. Oncol. 2017. [Google Scholar] [CrossRef] [PubMed]
- Bao, S.; Ouyang, G.; Bai, X.; Huang, Z.; Ma, C.; Liu, M.; Shao, R.; Anderson, R.M.; Rich, J.N.; Wang, X.F. Periostin potently promotes metastatic growth of colon cancer by augmenting cell survival via the Akt/PKB pathway. Cancer Cell 2004, 5, 329–339. [Google Scholar] [CrossRef]
- Kudo, Y.; Ogawa, I.; Kitajima, S.; Kitagawa, M.; Kawai, H.; Gaffney, P.M.; Miyauchi, M.; Takata, T. Periostin Promotes Invasion and Anchorage-Independent Growth in the Metastatic Process of Head and Neck Cancer. Cancer Res 2006, 66, 6928–6963. [Google Scholar] [CrossRef] [PubMed]
- Baril, P.; Gangeswaran, R.; Mahon, P.C.; Caulee, K.; Kocher, H.M.; Harada, T.; Zhu, M.; Kalthoff, H.; Crnogorac-Jurcevic, T.; Lemoine, N.R. Periostin promotes invasiveness and resistance of pancreatic cancer cells to hypoxia-induced cell death: Role of the β4 integrin and the PI3k pathway. Oncogene 2007, 26, 2082–2094. [Google Scholar] [CrossRef]
- Hong, L.Z.; Wei, X.W.; Chen, J.F.; Shi, Y. Overexpression of periostin predicts poor prognosis in non-small cell lung cancer. Oncol. Lett. 2013, 6, 1595–1603. [Google Scholar] [CrossRef]
- Osmani, L.; Askin, F.; Gabrielson, E.; Li, Q.K. Current WHO guidelines and the critical role of immunohistochemical markers in the subclassification of non-small cell lung carcinoma (NSCLC): Moving from targeted therapy to immunotherapy. Semin. Cancer Biol. 2018, 52, 103–109. [Google Scholar] [CrossRef]
- Roma-Rodrigues, C.; Mendes, R.; Baptista, P.V.; Fernandes, A.R. Targeting tumor microenvironment for cancer therapy. Int. J. Mol. Sci. 2019, 20, 840. [Google Scholar] [CrossRef]
- Li, M.; Li, C.; Li, D.; Xie, Y.; Shi, J.; Li, G.; Guan, Y.; Li, M.; Zhang, P.; Peng, F.; et al. Periostin, a stroma-associated protein, correlates with tumor invasiveness and progression in nasopharyngeal carcinoma. Clin. Exp. Metastasis 2012, 29, 865–877. [Google Scholar] [CrossRef]
- Erkan, M.; Kleeff, J.; Gorbachevski, A.; Reiser, C.; Mitkus, T.; Esposito, I.; Giese, T.; Büchler, M.W.; Giese, N.A.; Friess, H. Periostin Creates a Tumor-Supportive Microenvironment in the Pancreas by Sustaining Fibrogenic Stellate Cell Activity. Gastroenterology 2007, 132, 1447–1464. [Google Scholar] [CrossRef]
- Soltermann, A.; Tischler, V.; Arbogast, S.; Braun, J.; Probst-Hensch, N.; Weder, W.; Moch, H.; Kristiansen, G. Prognostic significance of epithelial-mesenchymal and mesenchymal-epithelial transition protein expression in non-small cell lung cancer. Clin. Cancer Res. 2008, 14, 7430–7437. [Google Scholar] [CrossRef]
- Kikuchi, Y.; Kashima, T.G.; Nishiyama, T.; Shimazu, K.; Morishita, Y.; Shimazaki, M.; Kii, I.; Horie, H.; Nagai, H.; Kudo, A.; et al. Periostin is expressed in pericryptal fibroblasts and cancer-associated fibroblasts in the colon. J. Histochem. Cytochem. 2008, 56, 753–764. [Google Scholar] [CrossRef]
- Kikuchi, Y.; Kunita, A.; Iwata, C.; Komura, D.; Nishiyama, T.; Shimazu, K.; Takeshita, K.; Shibahara, J.; Kii, I.; Morishita, Y.; et al. The niche component periostin is produced by cancer-associated fibroblasts, supporting growth of gastric cancer through ERK activation. Am. J. Pathol. 2014, 184, 859–870. [Google Scholar] [CrossRef]
- Underwood, T.J.; Hayden, A.L.; Derouet, M.; Garcia, E.; Noble, F.; White, M.J.; Thirdborough, S.; Mead, A.; Clemons, N.; Mellone, M.; et al. Cancer-associated fibroblasts predict poor outcome and promote periostin-dependent invasion in oesophageal adenocarcinoma. J. Pathol. 2015, 235, 466–477. [Google Scholar] [CrossRef]
- Ryner, L.; Guan, Y.; Firestein, R.; Xiao, Y.; Choi, Y.; Rabe, C.; Lu, S.; Fuentes, E.; Huw, L.Y.; Lackner, M.R.; et al. Upregulation of periostin and reactive stroma is associated with primary chemoresistance and predicts clinical outcomes in epithelial ovarian cancer. Clin. Cancer Res. 2015, 21, 2941–2951. [Google Scholar] [CrossRef]
- Choi, K.U.; Yun, J.S.; Lee, I.H.; Heo, S.C.; Shin, S.H.; Jeon, E.S.; Choi, Y.J.; Suh, D.S.; Yoon, M.S.; Kim, J.H. Lysophosphatidic acid-induced expression of periostin in stromal cells: Prognoistic relevance of periostin expression in epithelial ovarian cancer. Int. J. Cancer 2011, 128, 332–342. [Google Scholar] [CrossRef]
- Qin, X.; Yan, M.; Zhang, J.; Wang, X.; Shen, Z.; Lv, Z.; Li, Z.; Wei, W.; Chen, W. TGFβ3-mediated induction of Periostin facilitates head and neck cancer growth and is associated with metastasis. Sci. Rep. 2016, 6, 20587. [Google Scholar] [CrossRef]
- Wang, H.; Wang, Y.; Jiang, C. Stromal protein periostin identified as a progression associated and prognostic biomarker in glioma via inducing an invasive and proliferative phenotype. Int. J. Oncol. 2013, 42, 1716–1724. [Google Scholar] [CrossRef][Green Version]
- Kim, C.J.; Sakamoto, K.; Tambe, Y.; Inoue, H. Opposite regulation of epithelial-to-mesenchymal transition and cell invasiveness by periostin between prostate and bladder cancer cells. Int. J. Oncol. 2011, 38, 1759–1766. [Google Scholar] [CrossRef]
- Morra, L.; Rechsteiner, M.; Casagrande, S.; Von Teichman, A.; Schraml, P.; Moch, H.; Soltermann, A. Characterization of periostin isoform pattern in non-small cell lung cancer. Lung Cancer 2012, 76, 183–190. [Google Scholar] [CrossRef]
- Takanami, I.; Abiko, T.; Koizumi, S. Expression of periostin in patients with non-small cell lung cancer: Correlation with angiogenesis and lymphangiogenesis. Int. J. Biol. Markers 2008, 23, 182–186. [Google Scholar] [CrossRef] [PubMed]
- Detterbeck, F.C.; Boffa, D.J.; Kim, A.W.; Tanoue, L.T. The Eighth Edition Lung Cancer Stage Classification. Chest 2017, 151, 193–203. [Google Scholar] [PubMed]
- Remmele, W. Recommendation for uniform definition of an immunoreactive score (IRS) for immunohistochemical estrogen receptor detection (ER-ICA) in breast cancer tissue. Pathologe 1987, 8, 138–140. [Google Scholar]
- Dziegiel, P.; Salwa-Zurawska, W.; Zurawski, J.; Wojnar, A.; Zabel, M. Prognostic significance of augmented metallothionein (MT) expression correlated with Ki-67 antigen expression in selected soft tissue sarcomas. Histol. Histopathol. 2005, 20, 83–89. [Google Scholar] [CrossRef]










| A | ||||||||
| Overall Survival (OS) | ||||||||
| Clinicopathological Parameters | NSCLC | |||||||
| Univariate Analysis | Multivariate Analysis | |||||||
| p-Value | HR (95% HR CI) | p-Value | HR (95% HR CI) | |||||
| Age (<62 vs. >62) | 0.0002 | 1.39 (1.17–1.66) | 0.0001 | 1.41 (1.18–1.69) | ||||
| POSTN CAFs (low vs. high) | <0.0001 | 1.15 (1.12–1.18) | <0.0001 | 1.12 (1.09–1.15) | ||||
| Ki-67 (median) | 0.11 | 1.15 (0.97–1.37) | - | - | ||||
| Chronic obstructive pulmonary disease | 0.08 | 1.17 (0.98–1.39) | - | - | ||||
| Hypertension | 0.57 | 1.05 (0.88–1.25) | - | - | ||||
| Coronary artery disease | 0.02 | 1.60 (1.07–2.39) | 0.02 | 1.64 (1.09–2.45) | ||||
| Smoking history | 0.29 | 1.01 (0.99–1.03) | - | - | ||||
| Stage (I vs. II-IV) | <0.0001 | 2.21 (1.84–2.64) | 0.01 | 1.42 (1.10–1.84) | ||||
| Grade (G1 vs. G2-G3) | 0.49 | 0.88 (0.61–1.27) | - | - | ||||
| Tumour size (T1–T2 vs. T3–T4) | <0.0001 | 1.92 (1.60–2.29) | 0.0008 | 1.44 (1.16–1.79) | ||||
| Lymph nodes involvement (N0 vs. N+) | <0.0001 | 1.84 (1.54–2.19) | 0.0005 | 1.48 (1.19–1.85) | ||||
| pM | 0.12 | 1.89 (0.84–4.23) | - | - | ||||
| B | ||||||||
| Overall Survival (OS) | ||||||||
| Clinicopathological Parameters | SCC | AC | ||||||
| Univariate Analysis | Multivariate Analysis | Univariate Analysis | Multivariate Analysis | |||||
| p-Value | HR (95% HR CI) | p-Value | HR (95% HR CI) | p-Value | HR (95% HR CI) | p-Value | HR (95% HR CI) | |
| Age (<62 vs. >62) | 0.05 | 1.32 (1.01–1.73) | 0.03 | 1.35 (1.02–1.79) | 0.03 | 1.36 (1.03–1.79) | 0.003 | 1.53 (1.15–2.02) |
| POSTN CAFs (low vs. high) | 0.0007 | 1.62 (1.23–2.14) | 0.001 | 1.58 (1.20–3.28) | <0.0001 | 1.22 (1.16–1.27) | <0.0001 | 1.21 (1.15–1.27) |
| Ki-67 (median) | 0.53 | 0.92 (0.70–1.20) | - | - | 0.04 | 1.37 (1.02–1.83) | 0.21 | - |
| Chronic obstructive pulmonary disease | 0.44 | 1.11 (0.85–1.46) | - | - | 0.23 | 1.18 (0.90–1.56) | - | - |
| Hypertension | 0.73 | 1.05 (0.81–1.37) | - | - | 0.33 | 0.87 (0.66–1.15) | - | - |
| Coronary artery disease | 0.73 | 1.05 (0.81–1.37) | - | - | 0.13 | 1.88 (0.83–4.24) | - | - |
| Smoking history | 0.37 | 1.01 (0.99–1.03) | - | - | 0.03 | 1.52 (1.04–2.23) | 0.12 | 1.36 (0.92–2.01) |
| Stage (I vs. II-IV) | <0.0001 | 1.83 (1.38–2.44) | 0.13 | 1.38 (0.91–2.09) | <0.0001 | 2.44 (1.84–3.23) | 0.43 | 1.18 (0.78–1.78) |
| Grade (G1 vs. G2-G3) | 0.31 | 1.48 (0.70–3.14) | - | - | 0.15 | 0.71 (0.45–1.13) | - | - |
| Tumour size (T1-T2 vs. T3-T4) | 0.0001 | 1.75 (1.33–2.31) | 0.02 | 1.50 (1.07–2.11) | <0.0001 | 2.16 (1.62–2.88) | 0.01 | 1.56 (1.11–2.19) |
| Lymph nodes involvement (N0 vs. N+) | 0.07 | 1.47 (1.11–1.93) | 0.16 | 1.28 (0.91–1.81) | <0.0001 | 2.25 (1.70–2.98) | 0.0001 | 2.04 (1.41–2.95) |
| pM | 0.03 | 9.4405 (1.29–68,82) | 0.12 | 5.01 (0.67–3.68) | 0.88 | 1.09 (0.35–3.42) | - | - |
| Characteristics | NSCLC (N = 700) | AC (N = 330) | SCC (N = 370) | ||||||
|---|---|---|---|---|---|---|---|---|---|
| POSTN Expression by CAFs | POSTN Expression by CAFs | POSTN Expression by CAFs | |||||||
| Low | High | Chi2 Test p-Value | Low | High | p-Value | Low | High | Chi2 Test p-Value | |
| n (%) | n (%) | n (%) | n (%) | n (%) | n (%) | ||||
| Age | |||||||||
| ≤63 | 182 (26%) | 194 (27.7%) | 0.76 | 101 (30.6%) | 89 (27%) | 0.33 | 81 (21.9%) | 105 (28.4%) | 0.99 |
| >63 | 158 (22.6%) | 166 (23.7%) | 78 (23.6%) | 62 (18.8%) | 80 (21.6%) | 104 (28.1%) | |||
| Tumour size | |||||||||
| pT1 | 97 (13.9%) | 75 (10.7%) | 0.03 | 52 (15.8%) | 27 (8.2%) | 0.03 | 45 (12.2%) | 48 (13%) | 0.27 |
| pT2–pT4 | 243 (34.7%) | 285 (40.7%) | 127 (38.5%) | 124 (37.6%) | 116 (31.4%) | 161 (43.6%) | |||
| Grade | |||||||||
| G1 | 37 (5.3%) | 5 (0.7%) | <0.0001 | 31 (9.4%) | 1 (0.3%) | <0.0001 | 6 (1.6%) | 6 (1.6%) | 0.15 |
| G2 | 247 (35.3%) | 271 (38.7%) | 111 (33.6%) | 106 (32.1%) | 136 (36.8%) | 165 (44.6%) | |||
| G3 | 53 (7.6%) | 87 (12.4%) | 35 (10.6%) | 46 (13.9%) | 18 (4.9%) | 39 (10.5%) | |||
| Lymph node involvement | |||||||||
| pN0 | 238 (34%) | 211 (30.1%) | 0.005 | 126 (38.2%) | 83 (25.2%) | 0.02 | 112 (30.3%) | 128 (34.6%) | 0.1 |
| pN1, N2 | 102 (14.6%) | 149 (21.3%) | 53 (16.1%) | 68 (20.6%) | 49 (13.2%) | 81 (21.9%) | |||
| Stage | |||||||||
| I | 149 (21.3%) | 105 (15%) | 0.0001 | 83 (25.2%) | 40 (12.1%) | 0.0006 | 65 (17.6%) | 66 (17.8%) | 0.1 |
| II-IV | 191 (27.3%) | 255 (36.4%) | 96 (29.1%) | 111 (33.6%) | 95 (25.7%) | 144 (38.9%) | |||
© 2020 by the authors. Licensee MDPI, Basel, Switzerland. This article is an open access article distributed under the terms and conditions of the Creative Commons Attribution (CC BY) license (http://creativecommons.org/licenses/by/4.0/).
Share and Cite
Ratajczak-Wielgomas, K.; Kmiecik, A.; Grzegrzołka, J.; Piotrowska, A.; Gomulkiewicz, A.; Partynska, A.; Pawelczyk, K.; Nowinska, K.; Podhorska-Okolow, M.; Dziegiel, P. Prognostic Significance of Stromal Periostin Expression in Non-Small Cell Lung Cancer. Int. J. Mol. Sci. 2020, 21, 7025. https://doi.org/10.3390/ijms21197025
Ratajczak-Wielgomas K, Kmiecik A, Grzegrzołka J, Piotrowska A, Gomulkiewicz A, Partynska A, Pawelczyk K, Nowinska K, Podhorska-Okolow M, Dziegiel P. Prognostic Significance of Stromal Periostin Expression in Non-Small Cell Lung Cancer. International Journal of Molecular Sciences. 2020; 21(19):7025. https://doi.org/10.3390/ijms21197025
Chicago/Turabian StyleRatajczak-Wielgomas, Katarzyna, Alicja Kmiecik, Jedrzej Grzegrzołka, Aleksandra Piotrowska, Agnieszka Gomulkiewicz, Aleksandra Partynska, Konrad Pawelczyk, Katarzyna Nowinska, Marzenna Podhorska-Okolow, and Piotr Dziegiel. 2020. "Prognostic Significance of Stromal Periostin Expression in Non-Small Cell Lung Cancer" International Journal of Molecular Sciences 21, no. 19: 7025. https://doi.org/10.3390/ijms21197025
APA StyleRatajczak-Wielgomas, K., Kmiecik, A., Grzegrzołka, J., Piotrowska, A., Gomulkiewicz, A., Partynska, A., Pawelczyk, K., Nowinska, K., Podhorska-Okolow, M., & Dziegiel, P. (2020). Prognostic Significance of Stromal Periostin Expression in Non-Small Cell Lung Cancer. International Journal of Molecular Sciences, 21(19), 7025. https://doi.org/10.3390/ijms21197025

