Abstract
Background: SRY-related HMG-box 10 (SOX-10) is commonly expressed in triple negative breast cancer (TNBC). However, data on the biological significance of SOX-10 expression is limited. Therefore, we investigated immunhistological SOX-10 expression in TNBC and correlated the results with genetic alterations and clinical data. Methods: A tissue microarray including 113 TNBC cases was stained by SOX-10. Immunohistological data of AR, BCL2, CD117, p53 and Vimentin was available from a previous study. Semiconductor-based panel sequencing data including commonly altered breast cancer genes was also available from a previous investigation. SOX-10 expression was correlated with clinicopathological, immunohistochemical and genetic data. Results: SOX-10 was significantly associated with CD117 and Vimentin, but not with AR expression. An association of SOX-10 with BCL2, EGFR or p53 staining was not observed. SOX-10-positive tumors harbored more often TP53 mutations but less frequent mutations of PIK3CA or alterations of the PIK3K pathway. SOX-10 expression had no prognostic impact either on disease-free, distant disease-free, or overall survival. Conclusions: While there might be a value of SOX-10 as a differential diagnostic marker to identify metastases of TNBC, its biological role remains to be investigated.
1. Introduction
SRY-related HMG-box 10 (SOX-10) is a recently described molecule that regulates Wnt/β-catenin signaling, contributes to stem/progenitor activity and induces a mesenchymal transition expression [1,2]. SOX-10 immunohistochemistry (IHC) is commonly positive in melanoma [3,4], but has also been described in benign adnexal skin tumors such as cylindroma and spiradenoma (uniformly positive) [5]; in schwannoma [4]; in tumors of myoepithelial origin [4]; and in a subset of carcinomas such as bladder [6], breast [7], gastric [8], hepatocellular [9], nasopharyngeal [10], ovarian [11], prostate [12], as well as salivary gland tumors [13,14], and squamous cell carcinoma of head and neck [4]. Positivity is usually restricted to a small subset of carcinomas (<10%), except for triple-negative breast cancer (TNBC), which may more frequently express SOX-10 [4]. However, little is known of the biology of SOX-10-positive or -negative TNBC, and studies investigating SOX-10 expression are limited by a relatively low number of cases, lack of genetic data or lack of survival data. Therefore, we investigated immunohistological SOX-10 expression in a large cohort including 113 TNBC previously characterized by clinical and molecular data.
2. Results
2.1. SOX-10 Positivity Is Associated with Low Tumor Size at First Diagnosis
Overall, 113 TNBC cases were analyzed. Of these, 109 (96%) were classified as no special type and four (4%) as invasive lobular carcinoma according to the 4th Edition of the World Health Classification of Tumors of the Breast [15]. The median age at first diagnosis was 53 (28–90) years. Thirty six (32%), 53 (47%), 10 (9%) and 7 (6%) of patients were diagnosed with clinical stage I, II, III and IV respectively. The histopathological evaluation revealed high grading (grade 3) in most patients (n = 96, 95%). Neoadjuvant chemotherapy was administered to 20 (18%) patients.
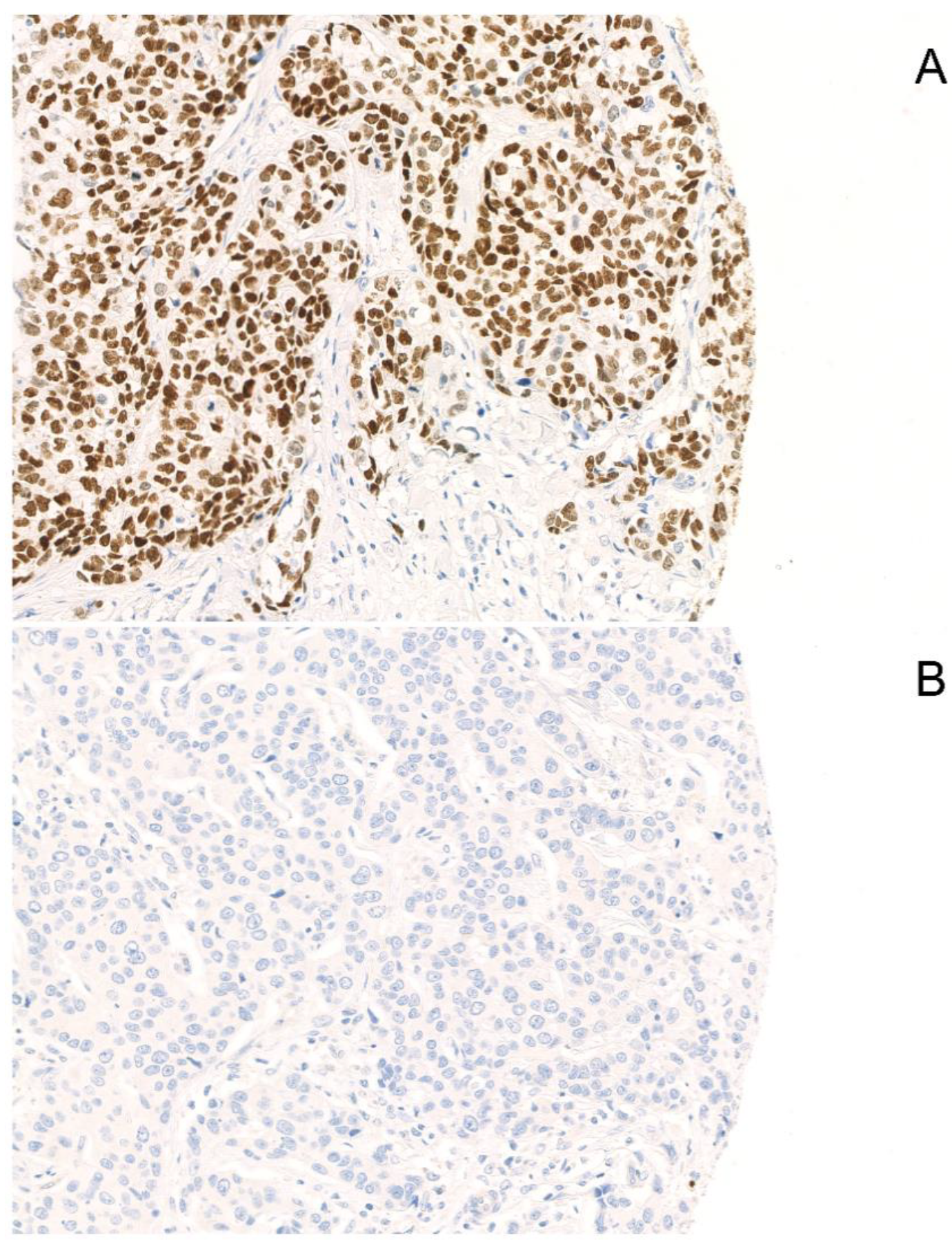
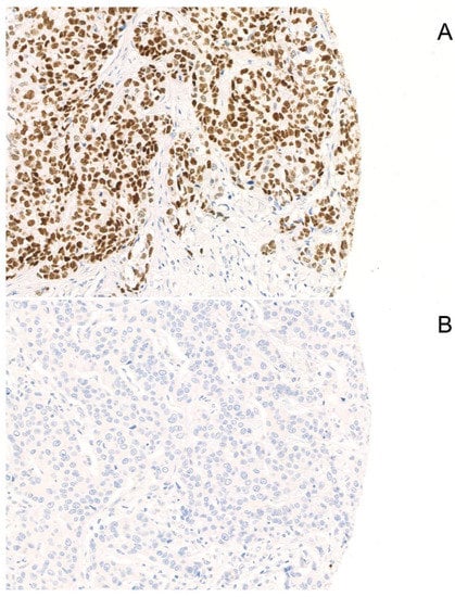
SOX-10 positivity was found in 46 (41%) patients, while 67 (59%) patients were negative. Typical examples of positive and negative staining are displayed in Figure 1.
Figure 1.
Examples of SOX-10-positive and -negative staining. A typical example of positive (A) and negative (B) nuclear staining of SOX-10 is displayed (Magnification: 200×).
Comparing patients’ clinical characteristics at first diagnosis, statistically significant difference was identified regarding tumor size. In particular, SOX-10 positivity was associated with a higher proportion of pT1 tumors (n = 24, 52%), compared to SOX-10-negative cases (n = 22, 33%, p = 0.039). Patients’ characteristics for the overall cohort and regarding SOX-10 expression are shown in Table 1.
Table 1.
Patients characteristics for the overall cohort and with regard to SOX-10 expression.
2.2. SOX-10-Positive Cases Show a Higher Proportion of CD117 and Vimentin Positivity
IHC evaluation of other antigens (androgen receptor (AR), B-cell lymphoma 2 (BCL2), cluster of differentiation (CD)117, epidermal growth factor receptor (EGFR), p53 and Vimentin) was performed in order to identify antigen patterns associated with SOX-10 positivity or negativity.
AR positivity was rare, and was found in 8 (7%) patients only. BCL2 and CD117 were identified in 16 (14%) and 18 (16%) cases, respectively. In the whole cohort, 40 (35%) patients were positive for EGFR. p53 overexpression (or absence) was identified in 56 (50%) patients. Vimentin positivity was found in 44 (39%) patients.
Interestingly, differences in CD117 and vimentin expression were found regarding SOX-10 expression. The proportion of CD117 positive cases was significantly higher in SOX-10-positive cases (n = 12, 26%), compared to SOX-10-negative cases (n = 6, 9%, p = 0.012). Similarly, the proportion of vimentin positive cases was significantly higher in SOX-10-positive cases (n = 31, 67%), compared to SOX-10-negative cases (n = 13, 19%, p < 0.001). IHC characteristics with regard to SOX-10 expression are displayed in Table 2.
Table 2.
Immunohistochemical characteristics with regard to SOX-10 expression.
2.3. Higher Proportion of TP53 Mutations and Lower Proportion of PIK3K Pathway Alterations in SOX-10-Positive Patients
Data from sequencing analysis with regard to mutations/alterations in TP53; PIK3CA; as well as PIK3K-, cell cycle- and MAPK-pathways was available for 73 patients. Overall, TP53 and PIK3CA mutations were found in 61 (84%) and 17 (23%) cases, respectively. Alterations in PIK3K-, cell cycle- and MAPK-pathways were evident in 20 (27%), 13 (18%) and 6 (8%) patients, respectively. Interestingly, the proportion of TP53 mutations was higher in SOX-10-positive cases (n = 32, 97%), compared to SOX-10-negative cases (n = 29, 73%, p = 0.005). On the contrary, PIK3K pathway alterations, including PIK3CA mutations, were less frequent in SOX-10-positive (n = 3, 9%) than -negative cases (n = 17, 43%, p = 0.001). An overview on molecular genetic characteristics is given in Table 3.
Table 3.
Molecular genetic characteristics with regard to SOX-10 expression.
2.4. Survival Analysis
To evaluate the prognostic significance of SOX-10, survival analyses were performed. Sixty (53%) of 113 analyzed patients experienced a relapse. Twenty five (42%) of these occurred in SOX-10-positive and 35 (58%) in SOX-10-negative patients, respectively. The median disease-free survival (DFS) was 49 and 47 months in SOX-10-positive and -negative patients. Neither in univariate (Hazard ratio (HR) 1.041, CI95 0.622–1.743, p = 0.874, Figure 2A) nor in multivariate (HR 1.168, CI95 0.692–1.970, p = 0.562, Table 4) analysis was a statistically significant difference with regard to DFS was observed between SOX-10-positive and -negative patients.
Figure 2.
Survival analysis with regard to SOX-10 status. The figure shows Kaplan–Meier curves for (A) disease-free survival (DFS), (B) distant disease-free survival (DDFS), and (C) overall survival (OS) for SOX-10-positive and -negative patients. HR, Hazard ratio; CI, confidence interval; SOX-10, SRY-related HMG-box 10.
Table 4.
Multivariate survival analysis.
Distant recurrence of disease was observed in 43 (38%) of patients. Seventeen (37%) distant relapses occurred in SOX-10-positive and 26 (39%) in SOX-10-negative patients, respectively. The median distant disease-free survival (DDFS) was 78 and 102 months in SOX-10-positive and -negative patients, respectively. Neither on univariate (HR 1.027, CI95 0.557–1.028, p = 0.928, Figure 2B) nor on multivariate (HR 1.078, CI95 0.574–2.023, p = 0.815, Table 4) analysis a statistically significant difference with regard to DDFS was observed between SOX-10-positive and -negative patients.
Overall, 25 (22%) deaths occurred. Nine (20%) patients died in the SOX-10-positive and 16 (24%) in SOX-10-negative subgroup, respectively. The median overall survival (OS) was 78 in SOX-10-positive and not reached in SOX-10-negative patients. Neither in univariate (HR 0.845, CI95 0.379–1.880, p = 0.684, Figure 2C) nor multivariate (HR 0.865, CI95 0.380–1.969, p = 0.730, Table 4) analysis was a statistically significant difference regarding OS observed between SOX-10-positive and -negative patients.
The only variable with prognostic relevance on multivariate analysis was clinical stage at first diagnosis. Higher stage was a parameter for poor prognosis regarding DFS, DDFS and OS. Neither age nor grading was statistically relevant for outcome in the investigated cohort (Table 4). Including neoadjuvant chemotherapy as an additional variable into the multivariate survival analysis did not significantly change the results and was not a statistically significant predictor for DFS, DDFS or OS.
3. Discussion
In the present study, we evaluated 113 TNBC cases, which was among the largest TNBC cohort analyzing SOX-10 immunohistological expression to date. Overall, we found SOX-10 positivity in 41% of TNBC, which was within the reported range of 38–67% [16,17,18].
Regarding clinical variables SOX-10 showed a tendency towards smaller tumors in the current analysis. Although more SOX-10-positive pT1 tumors were observed than pT2 tumors, in prior studies, this difference was not significant, which may have been due to the limited sample size in other investigations [16]. As in other studies, no association was identified regarding age, nodal involvement or other clinicopathological variables [16].
We correlated SOX-10 expression with immunohistochemical staining results previously acquired and observed that SOX-10-positive tumors do not label with AR, which has also been observed by other investigators [16]. SOX-10 was associated with Vimentin and CD117 expression, both markers that have been linked to worse survival in TNBC [19,20]. The co-expression of SOX-10 and Vimentin support the idea that SOX-10-positive tumors have a mesenchymal phenotype [21]. No association between SOX-10 and BCL2, EGFR and p53 was observed in our study. Lack of an association between SOX-10 and EGFR is in line with the literature, while BCL2 and p53 were not studied in this context [16].
Immunohistochemical SOX-10 expression has not been linked to genetic alterations in TNBC so far. In this context, it is important to note that TP53 mutations are more common in TNBC than luminal or HER2 phenotypes supporting the role of TP53 mutations as the key genetic event in this population [22]. Moreover, alterations of the PIK3 pathway are common findings, with frequencies reported in TNBC of up to 30%, composed mainly of PIK3CA mutations (approximately 22%) [23,24]. BRCA gene mutations, which are also frequently observed in TNBC, were not included in our panel [25]. Therefore, we could not correlate SOX-10 expression with the BRCA mutational status. We observed a higher proportion of TP53 mutations and a lower proportion of PIK3K pathway alterations in SOX-10-positive tumors. However, the significance of this finding remains to be investigated. When interpreting the results of immunohistochemical SOX-10 expression, it is important to note that point mutations and copy number aberrations of the SOX-10 gene in form of amplifications and homozygous deletions have been reported in breast cancer and may lead to overexpression and lack of expression of SOX-10 [26]. Thus, a negative staining result may not necessarily indicate that alterations on the genetic level of SOX-10 are absent.
As in previous studies, an effect of SOX-10 expression on OS, DDFS or DFS could not be demonstrated [16,18,27].
Recent evidence suggests a potential role of SOX-10 in the differential diagnostic context to identify metastatic TNBC [28]. GATA binding protein 3 (GATA3) is a commonly used sensitive marker to identify mammary origin of metastatic TNBC. In this regard, SOX-10 has been reported to be commonly positive in GATA3-negative TNBC metastases [28]. The combination of SOX-10 and GATA3 yielded a sensitivity of about 60% for the identification of TNBC in a recent study investigating >1800 cases [29]. The combination of GATA3 and SOX-10 staining has been proven to be useful to identify mammary origin in several previous studies [30,31,32,33].
4. Materials and Methods
4.1. Patient Characteristics
Our tissue cohort consisted of 113 cases of TNBC samples. Diagnoses were made according to the World Health Organization classification of tumors of the breast [15]. Negative estrogen-, progesteron and human epidermal growth factor receptor 2 (HER2/(neu)) receptor status of the tumors was defined according to current guidelines recommendations from the American Society of Clinical Oncology/College of American Pathologists [34,35]. The samples were provided by the tissue bank of the National Center for Tumor Diseases (NCT, Heidelberg, Germany) in accordance with the local regulations and the approval of the ethics committee of the University of Heidelberg (#2463 and #S315-2020). All patients were diagnosed and treated between 2003 and 2006. Clinicopathological characteristics of the cohort are summarized in Table 1.
4.2. Immunohistochemistry
Immunohistochemical staining was performed as previously described [36]. In brief, slides were deparaffinized, pre-treated with an antigen retrieval buffer and stained using an automated device. All antibody stainings were carried out on a Ventana Benchmark Ultra (Roche, Rotkreuz, Switzerland). The antibody and staining characteristics are shown in Supplementary Table S1. Immunohistochemical stains other than SOX-10 were available from a previous study [37]. Among them are AR, BCL2, CD117 and the mesenchymal intermediary filament vimentin, which have all been reported in subgroups of TNBC [37].
4.3. Semiconductor-Based Panel Sequencing
Sequencing was performed as previously described using a custom-made breast cancer panel in combination with multiplex polymerase chain reaction-based Ion Torrent AmpliSeqTM technology (Thermo Fisher scientific, Waltham, MA, USA) [24]. Results from these analyses were previously published [24]. Genes included in the breast cancer panel are outlined in Supplementary Table S2. TP53 and PIK3CA were analyzed as single genes. PIK3CA mutations, PIK3CA amplifications, PTEN mutations, PIK3R1 mutations and AKT1 mutations were combined as PIK3K-pathway alterations. RB mutations, RB deletions, CDKN2A mutations, CDKN1B mutations and CDK4 mutations were combined as molecular alterations of the cell cycle pathway. Finally, MAP2K4 amplifications, HER2 mutations, EGFR mutations and KRAS mutations were combined as MAPK-pathway alterations. As no alterations in other genes were detected in our cohort, only the previously mentioned genes/subgroups were further analyzed.
4.4. Statistical Analysis
Statistical analysis was performed with R (v. 3.6.0, R Development Core Team, 2008). For descriptive statistics, data are presented as absolute numbers and percentages, and as the median and range. For comparison of categorical variables, Chi-square test in cases of 2 × 2 contingency tables or its extension in cases of 2x > 2 contingency tables were used. To identify differences among groups in cases of continuous variables, a two-sided independent t-test was performed. Survival was calculated and plotted using Kaplan–Meier survival analysis. To calculate the differences between the survival curves, a log-rank test was used. The Cox proportional hazard model and the Breslow method were applied for multivariate analysis. A p value < 0.05 was considered significant.
5. Conclusions
In summary, SOX-10 was significantly associated with CD117 and Vimentin, but not with AR expression. SOX-10-positive tumors harbored more often TP53 mutations but fewer frequent mutations of PIK3CA or alterations of the PIK3K pathway. SOX-10 expression had no prognostic impact either on DFS, DDFS or OS. Additional research is needed to understand the biological role of SOX-10 in TNBC.
Supplementary Materials
The following are available online at https://www.mdpi.com/1422-0067/21/17/6407/s1.
Author Contributions
Data curation, S.A. and H.-P.S.; Formal analysis, K.K., S.A., W.W., H.-P.S. and M.K.; Investigation, S.A. and M.K.; Methodology, K.K., C.F., J.K., G.M., W.W. and H.-P.S.; Project administration, H.-P.S.; Resources, C.F., J.H., J.K., G.M., S.A., W.W. and M.K.; Supervision, H.-P.S.; Validation, M.K.; Visualization, K.K.; Writing—original draft, M.K.; Writing—review & editing, K.K., C.F., J.H., J.K., G.M., S.A., W.W. and H.-P.S. All authors have read and agreed to the published version of the manuscript.
Funding
This research received no external funding.
Acknowledgments
We thank Christiane Zgorzelski for excellent technical assistance. The authors received no specific funding for this work. Tissue samples were provided by the tissue bank of the National Center for Tumor Diseases (NCT, Heidelberg, Germany) in accordance with the regulations of the tissue bank and the approval of the ethics committee of Heidelberg University.
Conflicts of Interest
The authors declare no conflict of interest.
References
- Tudrej, K.B.; Czepielewska, E.; Kozlowska-Wojciechowska, M. SOX10-MITF pathway activity in melanoma cells. Arch. Med. Sci. 2017, 13, 1493–1503. [Google Scholar] [CrossRef] [PubMed]
- Gambichler, T.; Petig, A.L.; Stockfleth, E.; Stucker, M. Expression of SOX10, ABCB5 and CD271 in melanocytic lesions and correlation with survival data of patients with melanoma. Clin. Exp. Dermatol. 2016, 41, 709–716. [Google Scholar] [CrossRef] [PubMed]
- Plaza, J.A.; Bonneau, P.; Prieto, V.; Sangueza, M.; Mackinnon, A.; Suster, D.; Bacchi, C.; Estrozi, B.; Kazakov, D.; Kacerovska, D.; et al. Desmoplastic melanoma: An updated immunohistochemical analysis of 40 cases with a proposal for an additional panel of stains for diagnosis. J. Cutan. Pathol. 2016, 43, 313–323. [Google Scholar] [CrossRef] [PubMed]
- Miettinen, M.; McCue, P.A.; Sarlomo-Rikala, M.; Biernat, W.; Czapiewski, P.; Kopczynski, J.; Thompson, L.D.; Lasota, J.; Wang, Z.; Fetsch, J.F. Sox10—A marker for not only schwannian and melanocytic neoplasms but also myoepithelial cell tumors of soft tissue: A systematic analysis of 5134 tumors. Am. J. Surg. Pathol. 2015, 39, 826–835. [Google Scholar] [CrossRef] [PubMed]
- Lezcano, C.; Ho, J.; Seethala, R.R. Sox10 and DOG1 Expression in Primary Adnexal Tumors of the Skin. Am. J. Dermatopathol. 2017, 39, 896–902. [Google Scholar] [CrossRef]
- Yin, H.; Qin, C.; Zhao, Y.; Du, Y.; Sheng, Z.; Wang, Q.; Song, Q.; Chen, L.; Liu, C.; Xu, T. SOX10 is over-expressed in bladder cancer and contributes to the malignant bladder cancer cell behaviors. Clin. Transl. Oncol. 2017, 19, 1035–1044. [Google Scholar] [CrossRef]
- Nelson, E.R.; Sharma, R.; Argani, P.; Cimino-Mathews, A. Utility of Sox10 labeling in metastatic breast carcinomas. Hum. Pathol. 2017, 67, 205–210. [Google Scholar] [CrossRef]
- Kato, M.; Nishihara, H.; Hayashi, H.; Kimura, T.; Ishida, Y.; Wang, L.; Tsuda, M.; Tanino, M.A.; Tanaka, S. Clinicopathological evaluation of Sox10 expression in diffuse-type gastric adenocarcinoma. Med. Oncol. 2017, 34, 8. [Google Scholar] [CrossRef]
- Zhou, D.; Bai, F.; Zhang, X.; Hu, M.; Zhao, G.; Zhao, Z.; Liu, R. SOX10 is a novel oncogene in hepatocellular carcinoma through Wnt/beta-catenin/TCF4 cascade. Tumour Biol. J. Int. Soc. Oncodev. Biol. Med. 2014, 35, 9935–9940. [Google Scholar] [CrossRef]
- Zhao, Y.; Liu, Z.G.; Tang, J.; Zou, R.F.; Chen, X.Y.; Jiang, G.M.; Qiu, Y.F.; Wang, H. High expression of Sox10 correlates with tumor aggressiveness and poor prognosis in human nasopharyngeal carcinoma. OncoTargets Ther. 2016, 9, 1671–1677. [Google Scholar] [CrossRef]
- Kwon, A.Y.; Heo, I.; Lee, H.J.; Kim, G.; Kang, H.; Heo, J.H.; Kim, T.H.; An, H.J. Sox10 expression in ovarian epithelial tumors is associated with poor overall survival. Virchows Arch. Int. J. Pathol. 2016, 468, 597–605. [Google Scholar] [CrossRef] [PubMed]
- Zhong, W.D.; Qin, G.Q.; Dai, Q.S.; Han, Z.D.; Chen, S.M.; Ling, X.H.; Fu, X.; Cai, C.; Chen, J.H.; Chen, X.B.; et al. SOXs in human prostate cancer: Implication as progression and prognosis factors. BMC Cancer 2012, 12, 248. [Google Scholar] [CrossRef] [PubMed]
- Ivanov, S.V.; Panaccione, A.; Nonaka, D.; Prasad, M.L.; Boyd, K.L.; Brown, B.; Guo, Y.; Sewell, A.; Yarbrough, W.G. Diagnostic SOX10 gene signatures in salivary adenoid cystic and breast basal-like carcinomas. Br. J. Cancer 2013, 109, 444–451. [Google Scholar] [CrossRef] [PubMed]
- Hsieh, M.S.; Lee, Y.H.; Chang, Y.L. SOX10-positive salivary gland tumors: A growing list, including mammary analogue secretory carcinoma of the salivary gland, sialoblastoma, low-grade salivary duct carcinoma, basal cell adenoma/adenocarcinoma, and a subgroup of mucoepidermoid carcinoma. Hum. Pathol. 2016, 56, 134–142. [Google Scholar] [CrossRef] [PubMed]
- Lebeau, A.; Kriegsmann, M.; Burandt, E.; Sinn, H.P. Invasive breast cancer: The current WHO classification. Der Pathol. 2014, 35, 7–17. [Google Scholar] [CrossRef] [PubMed]
- Harbhajanka, A.; Chahar, S.; Miskimen, K.; Silverman, P.; Harris, L.; Williams, N.; Varadan, V.; Gilmore, H. Clinicopathological, immunohistochemical and molecular correlation of neural crest transcription factor SOX10 expression in triple-negative breast carcinoma. Hum. Pathol. 2018, 80, 163–169. [Google Scholar] [CrossRef]
- Cimino-Mathews, A.; Subhawong, A.P.; Elwood, H.; Warzecha, H.N.; Sharma, R.; Park, B.H.; Taube, J.M.; Illei, P.B.; Argani, P. Neural crest transcription factor Sox10 is preferentially expressed in triple-negative and metaplastic breast carcinomas. Hum. Pathol. 2013, 44, 959–965. [Google Scholar] [CrossRef]
- Pomp, V.; Leo, C.; Mauracher, A.; Korol, D.; Guo, W.; Varga, Z. Differential expression of epithelial-mesenchymal transition and stem cell markers in intrinsic subtypes of breast cancer. Breast Cancer Res. Treat. 2015, 154, 45–55. [Google Scholar] [CrossRef]
- Yamashita, N.; Tokunaga, E.; Kitao, H.; Hisamatsu, Y.; Taketani, K.; Akiyoshi, S.; Okada, S.; Aishima, S.; Morita, M.; Maehara, Y. Vimentin as a poor prognostic factor for triple-negative breast cancer. J. Cancer Res. Clin. Oncol. 2013, 139, 739–746. [Google Scholar] [CrossRef]
- Thike, A.A.; Iqbal, J.; Cheok, P.Y.; Chong, A.P.; Tse, G.M.; Tan, B.; Tan, P.; Wong, N.S.; Tan, P.H. Triple negative breast cancer: Outcome correlation with immunohistochemical detection of basal markers. Am. J. Surg. Pathol. 2010, 34, 956–964. [Google Scholar] [CrossRef]
- Rastelli, F.; Biancanelli, S.; Falzetta, A.; Martignetti, A.; Casi, C.; Bascioni, R.; Giustini, L.; Crispino, S. Triple-negative breast cancer: Current state of the art. Tumori J. 2010, 96, 875–888. [Google Scholar] [CrossRef]
- Cancer Genome Atlas Network. Comprehensive molecular portraits of human breast tumours. Nature 2012, 490, 61–70. [Google Scholar] [CrossRef] [PubMed]
- Balko, J.M.; Giltnane, J.M.; Wang, K.; Schwarz, L.J.; Young, C.D.; Cook, R.S.; Owens, P.; Sanders, M.E.; Kuba, M.G.; Sanchez, V.; et al. Molecular profiling of the residual disease of triple-negative breast cancers after neoadjuvant chemotherapy identifies actionable therapeutic targets. Cancer Discov. 2014, 4, 232–245. [Google Scholar] [CrossRef] [PubMed]
- Kriegsmann, M.; Endris, V.; Wolf, T.; Pfarr, N.; Stenzinger, A.; Loibl, S.; Denkert, C.; Schneeweiss, A.; Budczies, J.; Sinn, P.; et al. Mutational profiles in triple-negative breast cancer defined by ultradeep multigene sequencing show high rates of PI3K pathway alterations and clinically relevant entity subgroup specific differences. Oncotarget 2014, 5, 9952–9965. [Google Scholar] [CrossRef] [PubMed]
- Greenup, R.; Buchanan, A.; Lorizio, W.; Rhoads, K.; Chan, S.; Leedom, T.; King, R.; McLennan, J.; Crawford, B.; Kelly Marcom, P.; et al. Prevalence of BRCA mutations among women with triple-negative breast cancer (TNBC) in a genetic counseling cohort. Ann. Surg. Oncol. 2013, 20, 3254–3258. [Google Scholar] [CrossRef]
- Cerami, E.; Gao, J.; Dogrusoz, U.; Gross, B.E.; Sumer, S.O.; Aksoy, B.A.; Jacobsen, A.; Byrne, C.J.; Heuer, M.L.; Larsson, E.; et al. The cBio cancer genomics portal: An open platform for exploring multidimensional cancer genomics data. Cancer Discov. 2012, 2, 401–404. [Google Scholar] [CrossRef]
- Riemenschnitter, C.; Teleki, I.; Tischler, V.; Guo, W.; Varga, Z. Stability and prognostic value of Slug, Sox9 and Sox10 expression in breast cancers treated with neoadjuvant chemotherapy. Springerplus 2013, 2, 695. [Google Scholar] [CrossRef]
- Tozbikian, G.H.; Zynger, D.L. A combination of GATA3 and SOX10 is useful for the diagnosis of metastatic triple negative breast Cancer. Hum. Pathol. 2018. [Google Scholar] [CrossRef]
- Jamidi, S.K.; Hu, J.; Aphivatanasiri, C.; Tsang, J.Y.; Poon, I.K.; Li, J.J.; Chan, S.K.; Cheung, S.Y.; Tse, G.M. SOX10 as a sensitive marker for triple negative breast cancer. Histopathology 2020. [Google Scholar] [CrossRef]
- Laurent, E.; Begueret, H.; Bonhomme, B.; Veillon, R.; Thumerel, M.; Velasco, V.; Brouste, V.; Hoppe, S.; Fournier, M.; Grellety, T.; et al. SOX10, GATA3, GCDFP15, Androgen Receptor, and Mammaglobin for the Differential Diagnosis Between Triple-negative Breast Cancer and TTF1-negative Lung Adenocarcinoma. Am. J. Surg. Pathol. 2019, 43, 293–302. [Google Scholar] [CrossRef] [PubMed]
- Aphivatanasiri, C.; Li, J.; Chan, R.; Jamidi, S.K.; Tsang, J.Y.; Poon, I.K.; Shao, Y.; Tong, J.; To, K.F.; Chan, S.K.; et al. Combined SOX10 GATA3 is most sensitive in detecting primary and metastatic breast cancers: A comparative study of breast markers in multiple tumors. Breast Cancer Res. Treat. 2020. [Google Scholar] [CrossRef] [PubMed]
- Qazi, M.S.; McGregor, S.M. Combined use of SOX10 and GATA3 in mammary carcinoma. Pathol. Res. Pract. 2020, 216, 152801. [Google Scholar] [CrossRef]
- Yoon, E.C.; Wilson, P.; Zuo, T.; Pinto, M.; Cole, K.; Harigopal, M. High frequency of p16 and SOX10 coexpression but not androgen receptor expression in triple-negative breast cancers. Hum. Pathol. 2020, 102, 13–22. [Google Scholar] [CrossRef] [PubMed]
- Hammond, M.E.; Hayes, D.F.; Dowsett, M.; Allred, D.C.; Hagerty, K.L.; Badve, S.; Fitzgibbons, P.L.; Francis, G.; Goldstein, N.S.; Hayes, M.; et al. American Society of Clinical Oncology/College Of American Pathologists guideline recommendations for immunohistochemical testing of estrogen and progesterone receptors in breast cancer. J. Clin. Oncol. Off. J. Am. Soc. Clin. Oncol. 2010, 28, 2784–2795. [Google Scholar] [CrossRef] [PubMed]
- Wolff, A.C.; Hammond, M.E.; Hicks, D.G.; Dowsett, M.; McShane, L.M.; Allison, K.H.; Allred, D.C.; Bartlett, J.M.; Bilous, M.; Fitzgibbons, P.; et al. Recommendations for human epidermal growth factor receptor 2 testing in breast cancer: American Society of Clinical Oncology/College of American Pathologists clinical practice guideline update. Arch. Pathol. Lab. Med. 2014, 138, 241–256. [Google Scholar] [CrossRef]
- Kriegsmann, M.; Muley, T.; Harms, A.; Tavernar, L.; Goldmann, T.; Dienemann, H.; Herpel, E.; Warth, A. Differential diagnostic value of CD5 and CD117 expression in thoracic tumors: A large scale study of 1465 non-small cell lung cancer cases. Diagn. Pathol. 2015, 10, 210. [Google Scholar] [CrossRef]
- Elsawaf, Z.; Sinn, H.P.; Rom, J.; Bermejo, J.L.; Schneeweiss, A.; Aulmann, S. Biological subtypes of triple-negative breast cancer are associated with distinct morphological changes and clinical behaviour. Breast 2013, 22, 986–992. [Google Scholar] [CrossRef]
© 2020 by the authors. Licensee MDPI, Basel, Switzerland. This article is an open access article distributed under the terms and conditions of the Creative Commons Attribution (CC BY) license (http://creativecommons.org/licenses/by/4.0/).

