Involvement of Lhcb6 and Lhcb5 in Photosynthesis Regulation in Physcomitrella patens Response to Abiotic Stress
Abstract
1. Introduction
2. Results
2.1. Knock-Out of Lhcb6 or Lhcb5 Altered Chloroplast Organization and Lhc Proteins Accumulation
2.2. PSII Activity is Markedly Reduced in Mutants under High-Light Treatment
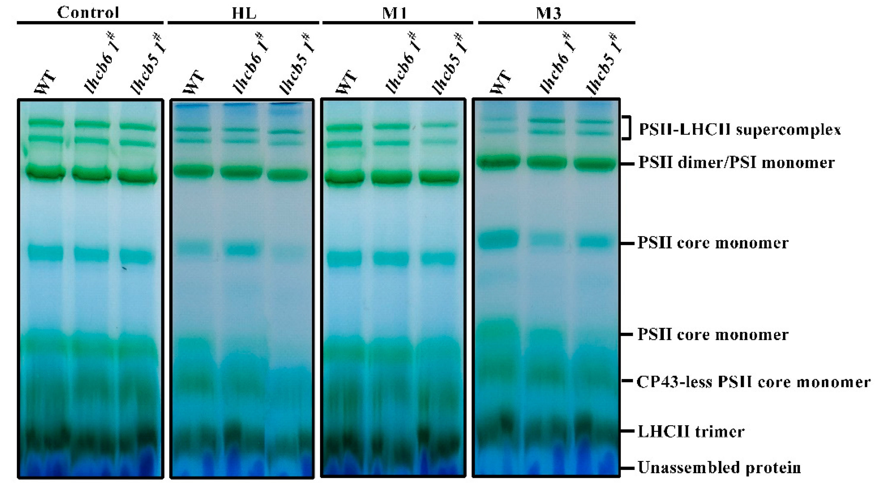
2.3. PSII Complexes Accumulation Were Affected after High-Light Treatment
2.4. Growth Malformation Phenotype of Mutants
3. Discussion
4. Materials and Methods
4.1. Plant Materials and Treatments
4.2. Protoplast Transformation and Mutant Identification
4.3. Chlorophyll Content Measurement and EM Scanning
4.4. Fluorescence Spectrum Analysis
4.5. The Electron Transport Activity Analysis
4.6. Measurement of ΔpH
4.7. The Fluorescence and NPQ Measurement
4.8. BN-PAGE and Immunoblotting Analysis
4.9. Measurement of Growth Rate
4.10. Statistical Analysis
Supplementary Materials
Author Contributions
Funding
Acknowledgments
Conflicts of Interest
References
- Chen, Y.E.; Zhao, Z.Y.; Zhang, H.Y.; Zeng, X.Y.; Yuan, S. The significance of cp29 reversible phosphorylation in thylakoids of higher plants under environmental stresses. J. Exp. Bot. 2013, 64, 1167–1178. [Google Scholar] [CrossRef] [PubMed]
- Van Amerongen, H.; van Grondelle, R. Understanding the energy transfer function of lhcii, the major light-harvesting complex of green plants. J. Phys. Chem. B 2001, 105, 604–617. [Google Scholar] [CrossRef]
- Yakushevska, A.E.; Keegstra, W.; Boekema, E.J.; Dekker, J.P.; Andersson, J.; Jansson, S.; Ruban, A.V.; Horton, P. The structure of photosystem ii in arabidopsis: Localization of the cp26 and cp29 antenna complexes. Biochemistry 2003, 42, 608–613. [Google Scholar] [CrossRef] [PubMed]
- Dekker, J.P.; Boekema, E.J. Supramolecular organization of thylakoid membrane proteins in green plants. Biochim. Biophys. Acta, Bioenerg. 2005, 1706, 12–39. [Google Scholar] [CrossRef] [PubMed]
- Ruban, A.V.; Murchie, E.H. Assessing the photoprotective effectiveness of non-photochemical chlorophyll fluorescence quenching: A new approach. Biochim. Biophys. Acta, Bioenerg. 2012, 1817, 977–982. [Google Scholar] [CrossRef] [PubMed]
- Niyogi, K.K.; Truong, T.B. Evolution of flexible non-photochemical quenching mechanisms that regulate light harvesting in oxygenic photosynthesis. Curr. Opin. Plant Biol. 2013, 16, 307–314. [Google Scholar] [CrossRef] [PubMed]
- Depège, N.; Bellafiore, S.; Rochaix, J.-D. Role of chloroplast protein kinase stt7 in lhcii phosphorylation and state transition in chlamydomonas. Science 2003, 299, 1572–1575. [Google Scholar] [CrossRef] [PubMed]
- Li, X.P.; Gilmore, A.M.; Niyogi, K.K. Molecular and global time-resolved analysis of a psbs gene dosage effect on ph- and xanthophyll cycle-dependent nonphotochemical quenching in photosystem ii. J. Biol. Chem. 2002, 277, 33590–33597. [Google Scholar] [CrossRef] [PubMed]
- Chen, Y.E.; Yuan, S.; Du, J.B.; Xu, M.Y.; Zhang, Z.W.; Lin, H.H. Phosphorylation of photosynthetic antenna protein cp29 and photosystem II structure changes in monocotyledonous plants under environmental stresses. Biochemistry 2009, 48, 9757–9763. [Google Scholar] [CrossRef] [PubMed]
- Havaux, M.; Dall’Osto, L.; Cuine, S.; Giuliano, G.; Bassi, R. The effect of zeaxanthin as the only xanthophyll on the structure and function of the photosynthetic apparatus in arabidopsis thaliana. J. Biol. Chem. 2004, 279, 13878–13888. [Google Scholar] [CrossRef]
- Betterle, N.; Ballottari, M.; Baginsky, S.; Bassi, R. High light-dependent phosphorylation of photosystem ii inner antenna cp29 in monocots is stn7 independent and enhances nonphotochemical quenching. Plant Physiol. 2015, 167, 457–471. [Google Scholar] [CrossRef] [PubMed]
- Morosinotto, T.; Baronio, R.; Bassi, R. Dynamics of chromophore binding to lhc proteins in vivo and in vitro during operation of the xanthophyll cycle. J. Biol. Chem. 2002, 277, 36913–36920. [Google Scholar] [CrossRef] [PubMed]
- Crimi, M.; Dorra, D.; Bösinger, C.S.; Giuffra, E.; Holzwarth, A.R.; Bassi, R. Time-resolved fluorescence analysis of the recombinant photosystem ii antenna complex cp29. Eur. J. Biochem. 2001, 268, 260–267. [Google Scholar] [CrossRef] [PubMed]
- Dall’Osto, L.; Caffarri, S.; Bassi, R. A mechanism of nonphotochemical energy dissipation, independent from psbs, revealed by a conformational change in the antenna protein cp26. Plant Cell 2005, 17, 1217–1232. [Google Scholar] [CrossRef] [PubMed]
- van Oort, B.; Alberts, M.; de Bianchi, S.; Dall’Osto, L.; Bassi, R.; Trinkunas, G.; Croce, R.; van Amerongen, H. Effect of antenna-depletion in photosystem ii on excitation energy transfer in arabidopsis thaliana. Biophys. J. 2010, 98, 922–931. [Google Scholar] [CrossRef]
- Schaefer, D.G. Gene targeting in physcomitrella patens. Curr. Opin. Plant Biol. 2001, 4, 143–150. [Google Scholar] [CrossRef]
- Alboresi, A.; Gerotto, C.; Giacometti, G.M.; Roberto, B.; Morosinotto, T. Physcomitrella patens mutants affected on heat dissipation clarify the evolution of photoprotection mechanisms upon land colonization. Proc. Natl. Acad. Sci. USA 2010, 107, 11128–11133. [Google Scholar] [CrossRef]
- Alboresi, A.; Gerotto, C.; Cazzaniga, S.; Bassi, R.; Morosinotto, T. A red-shifted antenna protein associated with photosystem ii in physcomitrella patens. J. Biol. Chem. 2011, 286, 28978–28987. [Google Scholar] [CrossRef]
- Iwai, M.; Grob, P.; Iavarone, A.T.; Nogales, E.; Niyogi, K.K. A unique supramolecular organization of photosystem i in the moss physcomitrella patens. Nat. Plants 2018, 4, 904–909. [Google Scholar] [CrossRef]
- Gerotto, C.; Alboresi, A.; Giacometti, G.M.; Bassi, R.; Morosinotto, T. Role of psbs and lhcsr in physcomitrella patens acclimation to high light and low temperature. Plant Cell Environ. 2011, 34, 922–932. [Google Scholar] [CrossRef]
- Li, X.-P.; BjoÈrkman, O.; Shih, C.; Grossman, A.R.; Rosenquist, M.; Jansson, S.; Niyogi, K.K. A pigment-binding protein essential for regulation of photosynthetic light harvesting. Nature 2000, 403, 391–395. [Google Scholar] [CrossRef] [PubMed]
- De Bianchi, S.; Dall’Osto, L.; Tognon, G.; Morosinotto, T.; Bassi, R. Minor antenna proteins cp24 and cp26 affect the interactions between photosystem ii subunits and the electron transport rate in grana membranes of arabidopsis. Plant Cell 2008, 20, 1012–1028. [Google Scholar] [CrossRef] [PubMed]
- Andersson, J.; Walters, R.G.; Horton, P.; Jansson, S. Antisense inhibition of the photosynthetic antenna proteins cp29 and cp26: Implications for the mechanism of protective energy dissipation. Plant Cell 2001, 13, 1193–1204. [Google Scholar] [CrossRef] [PubMed]
- Armbruster, U.; Ruhle, T.; Kreller, R.; Strotbek, C.; Zuhlke, J.; Tadini, L.; Blunder, T.; Hertle, A.P.; Qi, Y.; Rengstl, B.; et al. The photosynthesis affected mutant68-like protein evolved from a psii assembly factor to mediate assembly of the chloroplast nad(p)h dehydrogenase complex in arabidopsis. Plant Cell 2013, 25, 3926–3943. [Google Scholar] [CrossRef] [PubMed]
- Zhang, L.; Duan, Z.; Zhang, J.; Peng, L. Biogenesis factor required for atp synthase 3 facilitates assembly of the chloroplast atp synthase complex. Plant Physiol. 2016, 171, 1291–1306. [Google Scholar] [CrossRef] [PubMed]
- Kovacs, L.; Damkjaer, J.; Kereiche, S.; Ilioaia, C.; Ruban, A.V.; Boekema, E.J.; Jansson, S.; Horton, P. Lack of the light-harvesting complex cp24 affects the structure and function of the grana membranes of higher plant chloroplasts. Plant Cell 2006, 18, 3106–3120. [Google Scholar] [CrossRef] [PubMed]
- Marin, A.; Passarini, F.; Croce, R.; van Grondelle, R. Energy transfer pathways in the cp24 and cp26 antenna complexes of higher plant photosystem ii: A comparative study. Biophys. J. 2010, 99, 4056–4065. [Google Scholar] [CrossRef] [PubMed]
- Marin, A.; Passarini, F.; van Stokkum, I.H.; van Grondelle, R.; Croce, R. Minor complexes at work: Light-harvesting by carotenoids in the photosystem ii antenna complexes cp24 and cp26. Biophys. J. 2011, 100, 2829–2838. [Google Scholar] [CrossRef]
- Alboresi, A.; Caffarri, S.; Nogue, F.; Bassi, R.; Morosinotto, T. In silico and biochemical analysis of physcomitrella patens photosynthetic antenna: Identification of subunits which evolved upon land adaptation. PLoS ONE 2008, 3, e2033. [Google Scholar] [CrossRef]
- Pinnola, A.; Dall’Osto, L.; Gerotto, C.; Morosinotto, T.; Bassi, R.; Alboresi, A. Zeaxanthin binds to light-harvesting complex stress-related protein to enhance nonphotochemical quenching in physcomitrella patens. Plant Cell 2013, 25, 3519–3534. [Google Scholar] [CrossRef]
- Ballottari, M.; Girardon, J.; Dall’osto, L.; Bassi, R. Evolution and functional properties of photosystem ii light harvesting complexes in eukaryotes. Biochim. Biophys. Acta 2012, 1817, 143–157. [Google Scholar] [CrossRef] [PubMed]
- Simionato, D.; Basso, S.; Zaffagnini, M.; Lana, T.; Marzotto, F.; Trost, P.; Morosinotto, T. Protein redox regulation in the thylakoid lumen: The importance of disulfide bonds for violaxanthin de-epoxidase. FEBS Lett. 2015, 589, 919–923. [Google Scholar] [CrossRef] [PubMed]
- Baker, N.R. Chlorophyll fluorescence: A probe of photosynthesis in vivo. Annu. Rev. Plant Biol. 2008, 59, 89–113. [Google Scholar] [CrossRef] [PubMed]
- Allen, D.J.; Ort, D.R. Impacts of chilling temperatures on photosynthesis in warm-climate plants. Trends Plant Sci. 2001, 6, 1360–1385. [Google Scholar] [CrossRef]
- Iwai, M.; Takizawa, K.; Tokutsu, R.; Okamuro, A.; Takahashi, Y.; Minagawa, J. Isolation of the elusive supercomplex that drives cyclic electron flow in photosynthesis. Nature 2010, 464, 1210–1213. [Google Scholar] [CrossRef] [PubMed]
- Takahashi, H.; Iwai, M.; Takahashi, Y.; Minagawa, J. Identification of the mobile light-harvesting complex ii polypeptides for state transitions in chlamydomonas reinhardtii. Proc. Natl. Acad. Sci. USA 2006, 103, 477–482. [Google Scholar] [CrossRef]
- Kargul, J.; Barber, J. Photosynthetic acclimation: Structural reorganisation of light harvesting antenna–role of redox-dependent phosphorylation of major and minor chlorophyll a/b binding proteins. FEBS J. 2008, 275, 1056–1068. [Google Scholar] [CrossRef]
- Peers, G.; Truong, T.B.; Ostendorf, E.; Busch, A.; Elrad, D.; Grossman, A.R.; Hippler, M.; Niyogi, K.K. An ancient light-harvesting protein is critical for the regulation of algal photosynthesis. Nature 2009, 462, 518–521. [Google Scholar] [CrossRef]
- Takahashi, S.; Badger, M.R. Photoprotection in plants: A new light on photosystem ii damage. Trends Plant Sci. 2011, 16, 53–60. [Google Scholar] [CrossRef]
- Ruban, A.V.; Johnson, M.P.; Duffy, C.D. The photoprotective molecular switch in the photosystem ii antenna. Biochim. Biophys. Acta 2012, 1817, 167–181. [Google Scholar] [CrossRef]
- Nishiyama, T.; Hiwatashi, Y.; Sakakibara, K.; Kato, M.; Hasebe, M. Tagged mutagenesis and gene-trap in the moss, physcomitrella patens by shuttle mutagenesis. DNA Res. 2000, 7, 9–17. [Google Scholar] [CrossRef] [PubMed]
- Cui, S.; Hu, J.; Guo, S.; Wang, J.; Cheng, Y.; Dang, X.; Wu, L.; He, Y. Proteome analysis of physcomitrella patens exposed to progressive dehydration and rehydration. J. Exp. Bot. 2012, 63, 711–726. [Google Scholar] [CrossRef] [PubMed]
- Minami, A.; Nagao, M.; Arakawa, K.; Fujikawa, S.; Takezawa, D. Abscisic acid-induced freezing tolerance in the moss physcomitrella patens is accompanied by increased expression of stress-related genes. J. Plant Physiol. 2003, 160, 475–483. [Google Scholar] [CrossRef] [PubMed]
- Wang, H.; Jin, S.; Chen, X.; Gen, X.; He, Y. Target deletion of the aaa atpase ppcdc48ii in physcomitrella patens results in freezing sensitivity after cold acclimation. Sci. China: Life Sci. 2012, 55, 150–157. [Google Scholar] [CrossRef] [PubMed]
- Xu, F.; Zhang, D.W.; Zhu, F.; Tang, H.; Lv, X.; Cheng, J.; Xie, H.F.; Lin, H.H. A novel role for cyanide in the control of cucumber (cucumis sativus l.) seedlings response to environmental stress. Plant Cell Environ. 2012, 35, 1983–1997. [Google Scholar] [CrossRef] [PubMed]
- Passarini, F.; Wientjes, E.; Hienerwadel, R.; Croce, R. Molecular basis of light harvesting and photoprotection in cp24: Unique features of the most recent antenna complex. J. Biol. Chem. 2009, 284, 29536–29546. [Google Scholar] [CrossRef] [PubMed]
- Jacoby, R.P.; Che-Othman, M.H.; Millar, A.H.; Taylor, N.L. Analysis of the sodium chloride-dependent respiratory kinetics of wheat mitochondria reveals differential effects on phosphorylating and non-phosphorylating electron transport pathways. Plant Cell Environ. 2016, 39, 823–833. [Google Scholar] [CrossRef]
- Kyle, D.; Ohad, I.; Arntzen, C. Membrane protein damage and repair: Selective loss of a quinone-protein function in chloroplast membranes. Proc. Natl. Acad. Sci. USA 1984, 81, 4070–4074. [Google Scholar] [CrossRef]
- Suorsa, M.; Regel, R.E.; Paakkarinen, V.; Battchikova, N.; Herrmann, R.G.; Aro, E.-M. Protein assembly of photosystem ii and accumulation of subcomplexes in the absence of low molecular mass subunits psbl and psbj. Eur. J. Biochem. 2003, 271, 96–107. [Google Scholar] [CrossRef]
- Casazza, A.P.; Tarantino, D.; Soave, C. Preparation and functional characterization of thylakoids from arabidopsis thaliana. Photosynth. Res. 2001, 68, 175–180. [Google Scholar] [CrossRef]
- Perroud, P.F.; Demko, V.; Johansen, W.; Wilson, R.C.; Olsen, O.A.; Quatrano, R.S. Defective kernel 1 (dek1) is required for three-dimensional growth in physcomitrella patens. New Phytol. 2014, 203, 794–804. [Google Scholar] [CrossRef] [PubMed]
- Cove, D.J.; Perroud, P.F.; Charron, A.J.; McDaniel, S.F.; Khandelwal, A.; Quatrano, R.S. Culturing the moss physcomitrella patens. Cold Spring Harbor Protocols 2009, 2009, pdb-prot5136. [Google Scholar] [CrossRef] [PubMed]






© 2019 by the authors. Licensee MDPI, Basel, Switzerland. This article is an open access article distributed under the terms and conditions of the Creative Commons Attribution (CC BY) license (http://creativecommons.org/licenses/by/4.0/).
Share and Cite
Peng, X.; Deng, X.; Tang, X.; Tan, T.; Zhang, D.; Liu, B.; Lin, H. Involvement of Lhcb6 and Lhcb5 in Photosynthesis Regulation in Physcomitrella patens Response to Abiotic Stress. Int. J. Mol. Sci. 2019, 20, 3665. https://doi.org/10.3390/ijms20153665
Peng X, Deng X, Tang X, Tan T, Zhang D, Liu B, Lin H. Involvement of Lhcb6 and Lhcb5 in Photosynthesis Regulation in Physcomitrella patens Response to Abiotic Stress. International Journal of Molecular Sciences. 2019; 20(15):3665. https://doi.org/10.3390/ijms20153665
Chicago/Turabian StylePeng, Xingji, Xingguang Deng, Xiaoya Tang, Tinghong Tan, Dawei Zhang, Baohui Liu, and Honghui Lin. 2019. "Involvement of Lhcb6 and Lhcb5 in Photosynthesis Regulation in Physcomitrella patens Response to Abiotic Stress" International Journal of Molecular Sciences 20, no. 15: 3665. https://doi.org/10.3390/ijms20153665
APA StylePeng, X., Deng, X., Tang, X., Tan, T., Zhang, D., Liu, B., & Lin, H. (2019). Involvement of Lhcb6 and Lhcb5 in Photosynthesis Regulation in Physcomitrella patens Response to Abiotic Stress. International Journal of Molecular Sciences, 20(15), 3665. https://doi.org/10.3390/ijms20153665
