Hnf4α Is Involved in LC-PUFA Biosynthesis by Up-Regulating Gene Transcription of Elongase in Marine Teleost Siganus canaliculatus
Abstract
1. Introduction
2. Results
2.1. The Basic Structure of Rabbitfish Elovl5 Gene Promoter
2.2. Two Hnf4α Binding Sites Were Predicted in Rabbitfish Elovl5 Promoter
2.3. Overexpression of Hnf4α Increased Elvol5 Promoter Activity
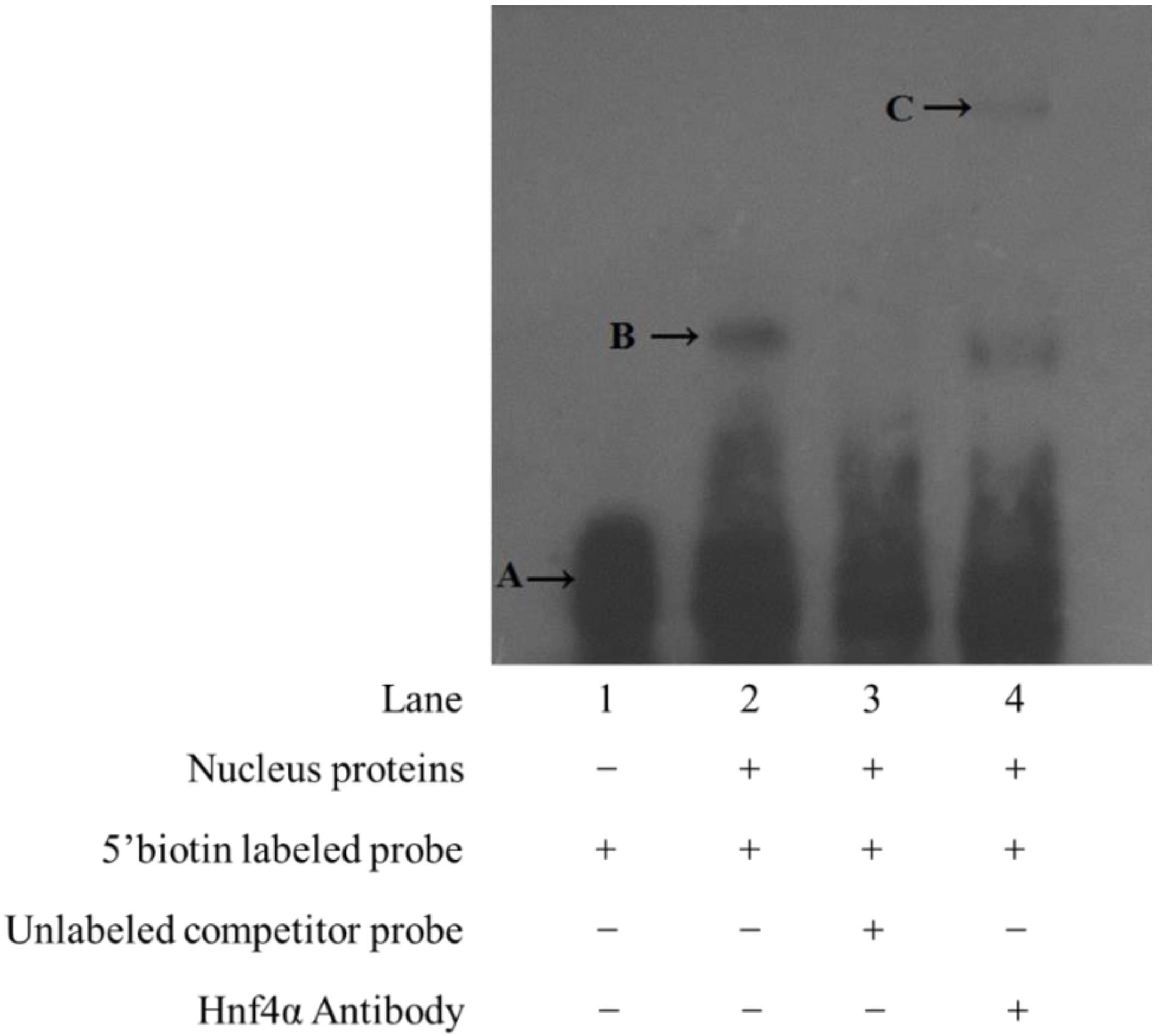
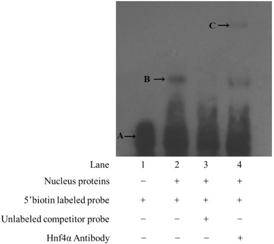
2.4. Electrophoretic Mobility Shift Assay
2.5. Overexpression of Hnf4α Enhanced Elvol5 Gene Expression and LC-PUFA Biosynthesis in SCHL Cells
2.6. Knockdown of Hnf4α Expression Reduced Elvol5 Expression in SCHL Cells
2.7. Intraperitoneal Injection of Hnf4α Agonists Increased Elvol5 and Δ4 Fad Expression and Fatty Acid Composition in Rabbitfish Liver
3. Discussions
4. Materials & Methods
4.1. Compliance with Ethical Standards
4.2. Cloning of 5′ Flanking Sequence of Rabbitfish Elovl5
4.3. Bioinformatics Analysis
4.4. Identification of Elovl5 Core Promoter through Progressive Deletion Mutation
4.5. Functional Identification of the Two-Candidate Hnf4α Elements
4.6. Electrophoretic Mobility Shift Assay (EMSA)
4.7. In Vitro mRNA Transcription of Rabbitfish Hnf4α
4.8. Transfection of Rabbitfish Hnf4α mRNA and siRNA into SCHL Cells
4.9. Quantitative RT-PCR Assay (Q-PCR)
4.10. Intraperitoneal Injection Experiments
4.11. Lipid Extraction and Analysis by Gas Chromatography-Mass Spectrometer (GC-MS)
4.12. Statistical Analysis
Author Contributions
Funding
Conflicts of Interest
Abbreviations
| ALA | α-linolenic acid (18:3n-3) |
| ARA | arachidonic acid (20:4n-6) |
| BHT | 2,6-butylated hydroxytoluene |
| DHA | docosahexaenoic acid (22:6n-3) |
| DMEM/F12 | dulbecco’s modified Eagle’s medium (DMEM)–F12 medium |
| Elovl | elongases of very long-chain fatty acids |
| EMSA | electrophoresis mobility shift assay |
| EPA | eicosapentaenoic acid (20:5n-3) |
| Fad | fatty acyl desaturases |
| FAME | fatty acid methyl esters |
| FBS | fetal bovine serum |
| FM | fish meal |
| FO | fish oil |
| GC-MS | Gas Chromatography-Mass Spectrometer |
| HEK293T cell | human embryonic kidney cell line |
| Hnf4α | hepatocyte nuclear factor 4α |
| NF-Y | nuclear factor Y |
| LA | linoleic acid |
| LC-MS | liquid chromatography coupled with tandem mass spectrometry |
| LC-PUFA | long-chain polyunsaturated fatty acids |
| LXR | liver X receptor |
| SCHL | Siganus canaliculatus hepatocytes cell line |
| siRNA | small interfering RNA |
| SRE | sterol regulatory element |
| SREBPs | sterol regulatory element binding proteins |
| TSS | transcription start site |
| VO | vegetable oil |
References
- Simopoulos, A.P. The importance of the ω-6/ω-3 fatty acid ratio in cardiovascular disease and other chronic diseases. Exp. Biol. Med. 2008, 233, 674–688. [Google Scholar] [CrossRef] [PubMed]
- Brouwer, I.A.; Geelen, A.; Katan, M.B. n-3 Fatty acids, cardiac arrhythmia and fatal coronary heart disease. Prog. Lipid Res. 2006, 45, 357–367. [Google Scholar] [CrossRef] [PubMed]
- Calder, P.C. Immunomodulation by ω-3 fatty acids. Prostaglandins Leukot. Essent. Fatty Acids 2007, 77, 327–335. [Google Scholar] [CrossRef] [PubMed]
- Calder, P.C. Polyunsaturated fatty acids and inflammatory processes: New twists in an old tale. Biochimie 2009, 91, 791–795. [Google Scholar] [CrossRef] [PubMed]
- Kromhout, D.; Yasuda, S.; Geleijnse, J.M.; Shimokawa, H. Fish oil and ω-3 fatty acids in cardiovascular disease: Do they really work? Eur. Heart J. 2011, 33, 436–443. [Google Scholar] [CrossRef] [PubMed]
- Tocher, D.R. ω-3 long-chain polyunsaturated fatty acids and aquaculture in perspective. Aquaculture 2015, 449, 94–107. [Google Scholar] [CrossRef]
- Sargent, J.R.; Tocher, D.R.; Bell, J.G. Fish Nutrition, 3rd ed.; Academic Press: Cambridge, MA, USA, 2002; pp. 181–257. [Google Scholar]
- Geay, F.; Wenon, D.; Mellery, J.; Tinti, E.; Mandiki, S.N.; Tocher, D.R.; Debier, C.; Larondelle, Y.; Kestemont, P. Dietary Linseed Oil Reduces Growth While Differentially Impacting LC-PUFA Synthesis and Accretion into Tissues in Eurasian Perch (Perca fluviatilis). Lipids 2015, 50, 1219–1232. [Google Scholar] [CrossRef] [PubMed]
- Castro, L.F.; Tocher, D.R.; Monroig, Ó. Long-chain polyunsaturated fatty acid biosynthesis in chordates: Insights into the evolution of Fads and Elovl gene repertoire. Prog. Lipid Res. 2016, 62, 25–40. [Google Scholar] [CrossRef] [PubMed]
- Brolinson, A. Regulation of Elovl and Fatty Acid Metabolism; Stockholm University Library: Stockholm, Sweden, 2009; pp. 12–20. [Google Scholar]
- Leaver, M.J.; Villeneuve, L.A.; Obach, A.; Jensen, L.; Bron, J.E.; Tocher, D.R.; Taggart, J.B. Functional genomics reveals increases in cholesterol biosynthetic genes and highly unsaturated fatty acid biosynthesis after dietary substitution of fish oil with vegetable oils in Atlantic salmon (Salmo salar). BMC Genom. 2008, 9, 299. [Google Scholar] [CrossRef] [PubMed]
- Vagner, M.; Santigosa, E. Characterization and modulation of gene expression and enzymatic activity of Δ-6 desaturase in teleosts: A review. Aquaculture 2011, 315, 131–143. [Google Scholar] [CrossRef]
- Zheng, X.Z.; Tocher, D.R.; Dickson, C.A.; Bell, J.G.; Teale, A.J. Effects of diets containing vegetable oil on expression of genes involved in highly unsaturated fatty acid biosynthesis in liver of Atlantic salmon (Salmo salar). Aquaculture 2004, 236, 467–483. [Google Scholar] [CrossRef]
- Zheng, X.Z.; Torstensen, B.E.; Tocher, D.R.; Dick, J.R.; Henderson, R.J.; Bell, J.G. Environmental and dietary influences on highly unsaturated fatty acid biosynthesis and expression of fatty acyl desaturase and elongase genes in liver of Atlantic salmon (Salmo salar). BBA Mol. Cell Biol. Lipids 2005, 1734, 13–24. [Google Scholar] [CrossRef] [PubMed]
- Torstensen, B.E.; Tocher, D.R. The effects of fish oil replacement on lipid metabolismof fish. In Fish Oil Replacement and Alternative Lipid Sources in Aquaculture Feeds; Turchini, G.M., Ng, W.-K., Tocher, D.R., Eds.; Taylor & Francis: Abingdon, UK, 2010. [Google Scholar]
- Turchini, G.M.; Ng, W.K.; Tocher, D.R. (Eds.) Fish oil replacement and alternative lipid sources in aquaculture feeds. Aquac. Int. 2010, 19, 595–596. [Google Scholar]
- Leaver, M.J.; Bautista, J.M.; Bjornsson, B.T.; Jonsson, E.; Krey, G.; Tocher, D.R.; Torstensen, B.E. Towards Fish Lipid Nutrigenomics: Current State and Prospects for Fin-Fish Aquaculture. Rev. Fish. Sci. 2008, 16, 73–94. [Google Scholar] [CrossRef]
- Thomassen, M.S.; Rein, D.; Berge, G.M.; Østbye, T.-K.; Ruyter, B. High dietary EPA does not inhibit ∆5 and ∆6 desaturases in Atlantic salmon (Salmo salar L.) fed rapeseed oil diets. Aquaculture 2012, 360–361, 78–85. [Google Scholar] [CrossRef]
- Karagianni, P.; Talianidis, I. Transcription factor networks regulating hepatic fatty acid metabolism. Biochim. Biophys. Acta 2015, 1851, 2–8. [Google Scholar] [CrossRef] [PubMed]
- Qin, Y.; Dalen, K.T.; Gustafsson, J.A.; Nebb, H.I. Regulation of hepatic fatty acid elongase 5 by LXRalpha-SREBP-1c. Biochim. Biophys. Acta 2009, 1791, 140–147. [Google Scholar] [CrossRef] [PubMed]
- Li, S.; Monroig, Ó.; Wang, T.; Yuan, Y.; Carlos Navarro, J.; Hontoria, F.; Liao, K.; Tocher, D.R.; Mai, K.; Xu, W.; et al. Functional characterization and differential nutritional regulation of putative Elovl5 and Elovl4 elongases in large yellow croaker (Larimichthys crocea). Sci. Rep. 2017, 7, 2303. [Google Scholar] [CrossRef] [PubMed]
- Minghetti, M.; Leaver, M.J.; Tocher, D.R. Transcriptional control mechanisms of genes of lipid and fatty acid metabolism in the Atlantic salmon (Salmo salar L.) established cell line, SHK-1. Biochim. Biophys. Acta 2011, 1811, 194–202. [Google Scholar] [CrossRef] [PubMed]
- Li, S.; Yuan, Y.; Wang, T.; Xu, W.; Li, M.; Mai, K.; Ai, Q. Molecular Cloning, Functional Characterization and Nutritional Regulation of the Putative Elongase Elovl5 in the Orange-Spotted Grouper (Epinephelus coioides). PLoS ONE 2016, 11, e0150544. [Google Scholar] [CrossRef] [PubMed]
- Zhang, M.; Li, C.C.; Li, F.; Li, H.; Liu, X.J.; Loor, J.J.; Kang, X.T.; Sun, G.R. Estrogen Promotes Hepatic Synthesis of Long-Chain Polyunsaturated Fatty Acids by Regulating ELOVL5 at Post-Transcriptional Level in Laying Hens. Int. J. Mol. Sci. 2017, 18, 1405. [Google Scholar] [CrossRef] [PubMed]
- Li, Y.; Hu, C.; Zheng, Y.; Xia, X.; Xu, W.; Wang, S.; Chen, W.; Sun, Z.; Huang, J. The effects of dietary fatty acids on liver fatty acid composition and Δ6-desaturase expression differ with ambient salinities in Siganus canaliculatus. Comp. Biochem. Physiol. B Biochem. Mol. Biol. 2008, 151, 183–190. [Google Scholar] [CrossRef] [PubMed]
- Li, Y.; Monroig, Ó.; Zhang, L.; Wang, S.; Zheng, X.; Dick, J.R.; You, C.; Tocher, D.R. Vertebrate fatty acyl desaturase with Δ4 activity. Proc. Natl. Acad. Sci. USA 2010, 107, 16840–16845. [Google Scholar] [CrossRef] [PubMed]
- Monroig, Ó.; Wang, S.; Zhang, L.; You, C.; Tocher, D.R.; Li, Y. Elongation of long-chain fatty acids in rabbitfish Siganus canaliculatus: Cloning, functional characterisation and tissue distribution of Elovl5- and Elovl4-like elongases. Aquaculture 2012, 350–353, 63–70. [Google Scholar] [CrossRef]
- Dong, Y.; Wang, S.; Chen, J.; Zhang, Q.; Liu, Y.; You, C.; Monroig, Ó.; Tocher, D.R.; Li, Y. Hepatocyte Nuclear Factor 4α (HNF4α) Is a Transcription Factor of Vertebrate Fatty Acyl Desaturase Gene as Identified in Marine Teleost Siganus canaliculatus. PLoS ONE 2016, 11, e0160361. [Google Scholar] [CrossRef] [PubMed]
- Dong, Y.; Zhao, J.; Chen, J.; Wang, S.; Liu, Y.; Zhang, Q.; You, C.; Monroig, Ó.; Tocher, D.R.; Li, Y. Cloning and characterization of Δ6/Δ5 fatty acyl desaturase (Fad) gene promoter in the marine teleost Siganus canaliculatus. Gene 2018, 647, 174–180. [Google Scholar] [CrossRef] [PubMed]
- Wang, S.; Chen, J.; Jiang, D.; Zhang, Q.; You, C.; Tocher, D.R.; Monroig, Ó.; Dong, Y.; Li, Y. Hnf4α is involved in the regulation of vertebrate LC-PUFA biosynthesis: Insights into the regulatory role of Hnf4α on expression of liver fatty acyl desaturases in the marine teleost Siganus canaliculatus. Fish. Physiol. Biochem. 2018, 44, 805–815. [Google Scholar] [CrossRef] [PubMed]
- Hayhurst, G.P.; Lee, Y.H.; Lambert, G.; Ward, J.M.; Gonzalez, F.J. Hepatocyte nuclear factor 4α (nuclear receptor 2A1) is essential for maintenance of hepatic gene expression and lipid homeostasis. Mol. Cell. Biol. 2001, 21, 1393–1403. [Google Scholar] [CrossRef] [PubMed]
- Lu, T.T.; Repa, J.J.; Mangelsdorf, D.J. Orphan nuclear receptors as eLiXiRs and FiXeRs of sterol metabolism. J. Biol. Chem. 2001, 276, 37735–37738. [Google Scholar] [CrossRef] [PubMed]
- Adamson, A.W.; Suchankova, G.; Rufo, C.; Nakamura, M.T.; Teran-Garcia, M.; Clarke, S.D.; Gettys, T.W. Hepatocyte nuclear factor-4α contributes to carbohydrate-induced transcriptional activation of hepatic fatty acid synthase. Biochem. J. 2006, 399, 285–295. [Google Scholar] [CrossRef] [PubMed]
- Carmona-Antonanzas, G.; Tocher, D.R.; Martinez-Rubio, L.; Leaver, M.J. Conservation of lipid metabolic gene transcriptional regulatory networks in fish and mammals. Gene 2014, 534, 1–9. [Google Scholar] [CrossRef] [PubMed]
- Nakamura, M.T.; Yudell, B.E.; Loor, J.J. Regulation of energy metabolism by long-chain fatty acids. Prog. Lipid Res. 2014, 53, 124–144. [Google Scholar] [CrossRef] [PubMed]
- Hertz, R.; Magenheim, J.; Berman, I.; Bar-Tana, J. Fatty acyl-CoA thioesters are ligands of hepatic nuclear factor-4α. Nature 1997, 392, 512–516. [Google Scholar]
- Lee, S.H.; Athavankar, S.; Cohen, T.; Piran, R.; Kiselyuk, A.; Levine, F. Identification of alverine and benfluorex as HNF4α activators. ACS Chem. Biol. 2013, 8, 1730–1736. [Google Scholar] [CrossRef] [PubMed]
- Sambrook, J.F.; Russell, D.W. Molecular cloning. In Cold Spring Harbor Protocols, 3rd ed.; Cold Spring Harbor Laboratory: New York, NY, USA, 2001; pp. 130–140. [Google Scholar]
- Liu, Y.; Zhang, Q.H.; Dong, Y.W.; You, C.H.; Wang, S.Q.; Li, Y.Q.; Li, Y.Y. Establishment of a hepatocyte line for studying biosynthesis of long-chain polyunsaturated fatty acids from a marine teleost, the white-spotted spinefoot Siganus canaliculatus. J. Fish. Biol. 2017, 91, 603–616. [Google Scholar] [CrossRef] [PubMed]
- Whelan, J.A.; Russell, N.B.; Whelan, M.A. A method for the absolute quantification of cDNA using real-time PCR. J. Immunol. Methods 2003, 278, 261–269. [Google Scholar] [CrossRef]
- Folch, J.; Lees, M.; Sloane Stanley, G.H. A simple method for the isolation and purification of total lipides from animal tissues. J. Biol. Chem. 1957, 226, 497–509. [Google Scholar] [PubMed]
- Berry, S. Lipid Analysis: Isolation, Separation, Identification and Structural Analysis of Lipids. Nutr. Bull. 2004, 29, 72–73. [Google Scholar] [CrossRef]








| TF | Software | Position | Predicted Site | Mutation Site |
|---|---|---|---|---|
| Hnf4α-1 | Comparison | +70 ~ +88 | ACCCACACTTTGTACTTCA | ACACTTTGTACT→× |
| Hnf4α-2 | TF binding ® | −84 ~ −64 | TGCAGGGCAATGGGCCGGT | GGCAATGGGCC→× |
| Main Fatty Acids | Groups | |
|---|---|---|
| Control | Overexpression of hnf4α | |
| 14:0 | 1.37 ± 0.11 | 1.26 ± 0.01 |
| 16:0 | 14.49 ± 0.21 | 14.54 ± 0.06 |
| 18:0 | 15.28 ± 0.40 | 14.89 ± 0.06 |
| 24:0 | 0.71 ± 0.04 | 0.75 ± 0.01 |
| 18:1n-9 | 21.39 ± 0.56 | 22.03 ± 0.17 |
| 24:1 | 1.23 ± 0.03 | 1.16 ± 0.17 |
| 18:2n-6 | 2.69 ± 0.06 | 2.79 ± 0.03 |
| 18:3n-6 | 0.58 ± 0.06 | 0.60 ± 0.04 |
| 20:2n-6 | 1.08 ± 0.06 a | 1.44 ± 0.05 b |
| 20:4n-6 (ARA) | 0.25 ± 0.02 | 0.35 ± 0.02 |
| 18:3n-3 | 2.41 ± 0.07 | 2.45 ± 0.04 |
| 18:4n-3 | 0.44 ± 0.02 | 0.52 ± 0.03 |
| 20:3n-3 | 4.95 ± 0.15 a | 5.33 ± 0.03 b |
| 20:5n-3 (EPA) | 2.97 ± 0.08 a | 3.28 ± 0.01 b |
| 22:5n-3 | 3.70 ± 0.03 a | 3.90 ± 0.01 b |
| 22:6n-3 (DHA) | 15.39 ± 0.43 a | 16.65 ± 0.04 b |
| ΣSFA | 31.73 ± 0.58 | 31.45 ± 0.06 |
| ΣMUFA | 22.81 ± 0.46 | 23.19 ± 0.10 |
| ΣLC-PUFA | 19.30 ± 0.59 a | 20.89 ± 0.04 b |
| 20:2n-6/18:2n-6 | 0.29 ± 0.00 a | 0.35 ± 0.01 b |
| 20:3n-3/18:3n-3 | 0.67 ± 0.00 a | 0.69 ± 0.00 b |
| Main Fatty Acids | 0.9% NaCl | DMSO | Alverine | Benfluorex |
|---|---|---|---|---|
| 14:0 | 64.57 ± 3.00 | 68.23 ± 6.92 | 63.33 ± 1.75 | 66.74 ± 2.42 |
| 16:0 | 665.83 ± 39.65 | 644.23 ± 66.56 | 644.91 ± 85.87 | 632.51 ± 23.44 |
| 18:0 | 135.08 ± 19.18 | 128.54 ± 5.02 | 129.51 ± 9.24 | 149.43 ± 31.85 |
| 20:0 | 11.36 ± 0.74 | 12.38 ± 0.63 | 13.16 ± 0.87 | 12.71 ± 0.46 |
| 24:0 | 5.47 ± 0.43 | 6.26 ± 1.44 | 6.99 ± 0.22 | 6.88 ± 1.66 |
| 16:1n-7 | 127.47 ± 8.56 | 144.49 ± 17.31 | 139.50 ± 5.31 | 137.02 ± 5.78 |
| 18:1n-9 | 498.35 ± 40.16 | 500.34 ± 18.62 | 540.13 ± 46.47 | 508.29 ± 23.00 |
| 20:1n-9 | 6.40 ± 0.81 | 8.07 ± 0.60 | 8.45 ± 1.71 | 8.22 ± 1.75 |
| 24:1 | 5.06 ± 0.64 | 5.49 ± 0.34 | 5.77 ± 0.08 | 5.04 ± 0.47 |
| 18:2n-6 | 166.67 ± 32.11 | 164.96 ± 17.76 | 189.71 ± 9.42 | 215.96 ± 6.42 |
| 18:3n-6 | 10.79 ± 1.13 | 11.28 ± 1.55 | 12.72 ± 1.47 | 14.36 ± 1.08 |
| 20:2n-6 | 10.95 ± 2.11 a | 11.91 ± 1.29 ab | 14.15 ± 1.29 ab | 18.61 ± 1.44 b |
| 20:4n-6 (ARA) | 5.81 ± 1.14 | 6.92 ± 0.39 | 9.17 ± 0.49 | 9.09 ± 1.10 |
| 22:2n-6 | 5.10 ± 0.74 | 5.66 ± 0.27 | 6.22 ± 0.43 | 6.72 ± 0.78 |
| 18:3n-3 | 56.06 ± 1.57 | 58.94 ± 3.93 | 66.39 ± 2.13 | 53.71 ± 3.11 |
| 18:4n-3 | 8.92 ± 1.44 | 12.38 ± 0.63 | 13.71 ± 0.82 | 11.44 ± 2.14 |
| 20:3n-3 | 20.89 ± 2.08 | 27.69 ± 2.82 | 27.07 ± 1.39 | 24.82 ± 4.33 |
| 20:5n-3 (EPA) | 12.89 ± 2.80 a | 15.72 ± 2.57 ab | 20.24 ± 1.03 ab | 21.74 ± 0.80 b |
| 22:5n-3 | 58.47 ± 14.38 | 64.67 ± 4.52 | 87.41 ± 7.27 | 84.19 ± 11.84 |
| 22:6n-3 (DHA) | 128.85 ± 32.08 a | 150.16 ± 17.21 ab | 228.95 ± 21.00 b | 184.21 ± 12.77 ab |
| ∑SFA | 695.5 ± 50.75 | 741.14 ± 31.12 | 703.99 ± 25.38 | 714.46 ± 54.49 |
| ∑MUFA | 638.70 ± 49.09 | 642.50 ± 35.66 | 688.79 ± 47.88 | 661.95 ± 17.77 |
| ∑LC-PUFA | 236.99 ± 54.82 a | 282.73 ± 20.30 a | 397.02 ± 32.44 b | 349.38 ± 22.93 ab |
| Subject | Primers | Nucleotide Sequence |
|---|---|---|
| PCR for 5′ flanking sequence cloning | AP1 | 5′-GTAATACGACTCACTATAGGGC-3′ |
| AP2 | 5′-ACTATAGGGCACGCGTGGT-3′ | |
| E5UA0 | 5′-CCAAACACGTCAAAGGCTAGAGAG-3′ | |
| E5UA1 | 5′-GTGAAGTACAAAGTGTGGGTGCAG-3′ | |
| pfu-PCR for deletion mutant construction | E5P0 | 5′-CGGGGTACCACCCGCAGTACAAGCAGGAC-3′ |
| E5P1 | 5′-CGGGGTACCGTCTGCTTTTAATCGTGTGTTCTGT-3′ | |
| E5P2 | 5′-CGGGGTACCATCCACAAGATGGCGGTATT-3′ | |
| E5P3 | 5′-CGGGGTACCGTGCACCTGAGGCTGTACAACT-3′ | |
| E5P4 | 5′-CGGGGTACCCTGTGATGCTACTCAAAGTTGCTGT-3′ | |
| SigE5UA1 | 5′-CCGCTCGAGGTGAAGTACAAAGTGTGGGTGCA-3′ | |
| EMSA for gel shift | BF (5′ biotinlabeled) | 5′-TCTGCACCCACACTTTGTACTTCACCTCG-3′ |
| BR (5′ biotinlabeled) | 5′-CGAGGTGAAGTACAAAGTGTGGGTGCAGA-3′ | |
| UF (5′ unlabeled) | 5′-TCTGCACCCACACTTTGTACTTCACCTCG-3′ | |
| UR (5′ unlabeled) | 5′-CGAGGTGAAGTACAAAGTGTGGGTGCAGA-3′ | |
| RNAi | NC-F | 5′-UUCUCCGAACGUGUCACGUTT-3′ |
| NC-R | 5′-ACGUGACACGUUCGGAGAATT-3′ | |
| siRNA-F | 5′-AGACUGUAAUUAGACGACAUCTT-3′ | |
| siRNA-R | 5′-GAUGUCGUCUAAUUACAGUCUTT-3′ | |
| Site-directed mutant construction | Elovl5-D3-M1-F | 5′-CGGCATCTCTGCACCCTCACCTCGAGGATATC-3′ |
| Elovl5-D3-M1-R | 5′-GATATCCTCGAGGTGAGGGTGCAGAGATGCCG-3′ | |
| Elovl5-D3-M2-F | 5′-TGCCACTCTCCTGCAGGGTCTGCGTGTTCCTC-3′ | |
| Elovl5-D3-M2-R | 5′-GAGGAACACGCAGACCCTGCAGGAGAGTGGCA-3′ | |
| Hnf4α mRNA construction | T7 promoter primer | 5′-TAATACGACTCACTATAGGG-3′ |
| Pa-Hnf4α | 5′-GAAGGAAAAGGCTTCGGAGGGTTGTTA-3′ | |
| Q-PCR detection for target gene expression | QS-Hnf4α | 5′-CCGACTCTACAGAGCATCACCTG-3′ |
| QA-Hnf4α | 5′-TCATTAGCAGAACCTCCGAGAAG-3′ | |
| QS-Elovl5 | 5′-GCACTCACCGTTGTGTATCT-3′ | |
| QA-Elovl5 | 5′-GCAGAGCCAAGCTCATAGAA-3′ | |
| QS-Δ4 Fad | 5′-GAACACCATTTGTTCCCGAG-3′ | |
| QA-Δ4 Fad | 5′-TTCAGTGCCCTGACGACG-3′ | |
| QS-18S rRNA | 5′-CGCCGAGAAGACGATCAAAC-3′ | |
| QA-18S rRNA | 5′-TGATCCTTCCGCAGGTTCAC-3′ |
© 2018 by the authors. Licensee MDPI, Basel, Switzerland. This article is an open access article distributed under the terms and conditions of the Creative Commons Attribution (CC BY) license (http://creativecommons.org/licenses/by/4.0/).
Share and Cite
Li, Y.; Zeng, X.; Dong, Y.; Chen, C.; You, C.; Tang, G.; Chen, J.; Wang, S. Hnf4α Is Involved in LC-PUFA Biosynthesis by Up-Regulating Gene Transcription of Elongase in Marine Teleost Siganus canaliculatus. Int. J. Mol. Sci. 2018, 19, 3193. https://doi.org/10.3390/ijms19103193
Li Y, Zeng X, Dong Y, Chen C, You C, Tang G, Chen J, Wang S. Hnf4α Is Involved in LC-PUFA Biosynthesis by Up-Regulating Gene Transcription of Elongase in Marine Teleost Siganus canaliculatus. International Journal of Molecular Sciences. 2018; 19(10):3193. https://doi.org/10.3390/ijms19103193
Chicago/Turabian StyleLi, Yuanyou, Xiaowei Zeng, Yewei Dong, Cuiying Chen, Cuihong You, Guoxia Tang, Junliang Chen, and Shuqi Wang. 2018. "Hnf4α Is Involved in LC-PUFA Biosynthesis by Up-Regulating Gene Transcription of Elongase in Marine Teleost Siganus canaliculatus" International Journal of Molecular Sciences 19, no. 10: 3193. https://doi.org/10.3390/ijms19103193
APA StyleLi, Y., Zeng, X., Dong, Y., Chen, C., You, C., Tang, G., Chen, J., & Wang, S. (2018). Hnf4α Is Involved in LC-PUFA Biosynthesis by Up-Regulating Gene Transcription of Elongase in Marine Teleost Siganus canaliculatus. International Journal of Molecular Sciences, 19(10), 3193. https://doi.org/10.3390/ijms19103193
