Abstract
Mast Cells (MCs) play a role in immune responses and more recently MCs have been involved in tumoral angiogenesis. In particular MCs can release tryptase, a potent in vivo and in vitro pro-angiogenic factor via proteinase-activated receptor-2 (PAR-2) activation and mitogen-activated protein kinase (MAPK) phosphorylation. MCs can release tryptase following c-Kit receptor activation. Nevertheless, no data are available concerning the relationship among MCs Density Positive to Tryptase (MCDPT) and Microvascular Density (MVD) in both primary gastric cancer tissue and loco-regional lymph node metastases. A series of 75 GC patients with stage T2–3N2–3M0 (by AJCC for Gastric Cancer Seventh Edition) undergone to radical surgery were selected for the study. MCDPT and MVD were evaluated by immunohistochemistry and by image analysis system and results were correlated each to other in primary tumor tissue and in metastatic lymph nodes harvested. Furthermore, tissue parameters were correlated with important clinico-pathological features. A significant correlation between MCDPT and MVD was found in primary gastric cancer tissue and lymph node metastases. Pearson t-test analysis (r ranged from 0.74 to 0.79; p-value ranged from 0.001 to 0.003). These preliminary data suggest that MCDPT play a role in angiogenesis in both primary tumor and in lymph node metastases from GC. We suggest that MCs and tryptase could be further evaluated as novel targets for anti-angiogenic therapies.
1. Introduction
Mast Cells (MCs) can play a role in tumor angiogenesis and their involvement has been demonstrated in several animal and human malignancies [1,2]. MCs can secrete classical pro-angiogenic factors, including Vascular Endothelial Growth Factor (VEGF), Fibroblast Growth Factor-2 (FGF-2), Thymidine Phosphorylase (TP) as well as tryptase, a non-classical pro-angiogenetic factor [3,4,5,6,7]. From them, Tryptase is the most abundant factor contained in MCs secretory granules and it can be released by several mechanisms including c-Kit receptor activation. Interestingly, it has been demonstrated that tryptase induces in vitro endothelial cell (ECs) proliferation in a matrigel assay and displayed in vivo capillary growth in the chick embryo chorioallantoic membrane, which was suppressed by tryptase inhibitors [8]. From a biological point of view, the signalling induced by tryptase can be mediated via protease-activated receptor-2 (PAR-2) expressed on ECs, that in turn lead to ECs proliferation forming angiogenesis [9,10,11,12,13,14,15,16,17,18,19,20,21,22,23,24,25,26,27].
So far, few data have been published on the relationship among MCs density positive to tryptase (MCDPT), and microvascular density (MVD) in both primary gastric cancer (GC) tissue and loco-regional lymph node metastases (LRLNM) [6,28,29,30,31,32].
In GC, the presence of lymph node metastases is one of the most important determinants of prognosis and tumor node metastases (TNM) is the most commonly used staging system [33].
In this pilot study, we analyzed by immunohistochemistry and image analysis system MCDPT and MVD in both primary GC tumor tissue (PGCTT) and LRLNM from 75 patients undergoing radical surgery. The correlation between the studied parameters and the main clinico-pathological features has been also performed.
2. Results
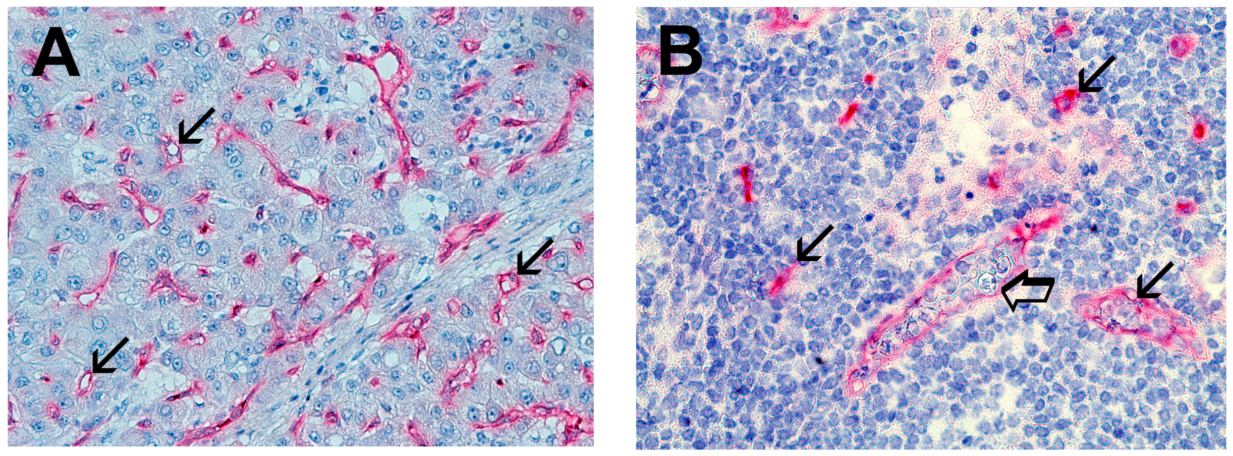
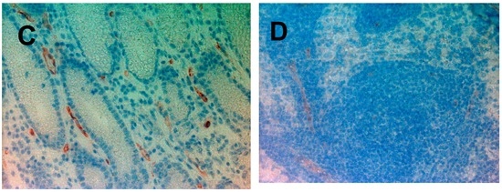
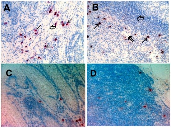
Immunohistochemical staining by using the antibodies anti-tryptase showed red-brown positive to tryptase MCs. MCs showed round or ovoidal shape and heterogeneous size also. In Figure 1, single small arrows indicate single red-brown immunostained MCs in: A, primary gastric cancer tissue; B, metastatic lymph node; C, adjacent normal gastric tissue and D, normal lymph node. In particular, in Figure 1A, several immunostained MCs near blood vessel, with a perivascular position, are visible with the blood vessel indicated by a big arrow. MCDPT (Figure 1A–D, respectively) was assessed counting each single immunostained mast cell clearly separated each to other at 40× magnification. With special reference to the microvessels, they were identified by the primary anti-CD34 antibody and as red immunostained structure often presenting a small lumen but sometime without a clearly visible lumen. Interestingly, the blue stained nucleus of endothelium was often distinguished in the context of the red immunostained endothelium. In detail, in Figure 2, small arrows indicates microvessels: A, in primery gastric cancer tissue; B, in metastatic lymph node; C, in adjacent normal gastric tissue and D, in normal lymph node. MVD was detected counting each single immunostained endothelial cell or each immunostained endothelial cell clearly separated from adjacent microvessels, tumor cells, and other connective tissue elements.
Figure 1.
(A) Primary gastric cancer tissue section immunostained with the anti-tryptase antibody. Single arrows indicate single red stained mast cells. Big arrow indicates a blood microvessel with a red blood cell in its lumen. Magnification 40× (0.19 mm2 area); (B) Lymph node metastases from primary gastric cancer tissue section immunostained with the anti-tryptase antibody. Single arrows indicate single red stained mast cells. The big arrow indicates residual lymphocytes, double arrow indicates a single microvessel. Magnification 40× (0.19 mm2 area); (C) Adjacent normal gastric tissue section immunostained with the anti-tryptase antibody; and (D) Normal lymph node section immunostained with the anti-tryptase antibody.

Figure 2.
(A) Primary gastric cancer tissue section immunostained with the anti-CD34 antibody. Single arrows indicate single red stained microvessels. Magnification 40× (0.19 mm2 area); (B) Lymph node metastases from primary gastric cancer tissue section immunostained with the anti-CD34 antibody. Single arrows indicate single red stained microvessels. The big arrow indicates blood vessels containing many metastatic gastric cancer cells. Magnification 40× (0.19 mm2 area); (C) Adjacent normal gastric tissue section immunostained with the anti-CD34 antibody; and (D) Normal lymph node section immunostained with the anti-CD34 antibody.
In LRLNM, the mean value of MCDPT was: 10.18 ± 4.66 in T2N2M0, 12.52 ± 3.32 T2N3M0, 11.89 ± 4.46 in T3N2M0, 13.20 ± 4.95 in T3N3M0. The mean value of MVD was: 23.37 ± 9.07 in T2N2M0, 24.08 ± 8.11 T2N3M0, 24.75 ± 8.59 in T3N2M0, 25.03 ± 8.98 in T3N3M0.
According to the AJCC classification, the mean value ± standard deviation regarding MCDPT and MVD in PGCTT and LRLNM are reported in Table 1. In PGCTT the mean value of MCDPT was: 12.47 ± 4.32 in T2N2M0, 11.67 ± 3.79 in T2N3M0, 13.23 ± 3.92 in T3N2M0, 14.44 ± 4.72 in T3N3M0. The mean value of MVD was: 27.34 ± 8.97 in T2N2M0, 28.22 ± 9.12 in T2N3M0, 28.23 ± 8.88 in T3N2M0, 28.45 ± 9.31 in T3N3M0.
Table 1.
MCDPT and MVD means ± standard deviations as a function of GC tumor tissue, respectively.
As control cases, far from inflammation, the mean value of MCDPT and MVD in adjacent normal gastric tissue was 4.12 ± 3.10 and 10.40 ± 7.95, respectively. In normal lymph nodes, the mean value of MCDPT and MVD was 5.14 ± 2.63 and 9.39 ± 2.17, respectively.
Based on the obtained data, we showed that tryptase positive mast cells increase between normal tissue and tumor tissue and this correlation also holds for blood vessels.
With special regard to tumor tissue and lymph node metastases, a significant correlation was found between MCDPT and MVD in PGCTT (r = 0.74, p = 0.003) and LRLNM (r = 0.79, p = 0.001) (Figure 3). No correlation concerning MCDPT, MVD, and patient sex was found.
Figure 3.
Correlation between MCDPT and MVD in PGCTT (r = 0.74, p = 0.003) and LRLNM (r = 0.79, p = 0.001).
3. Discussion
A large body of evidence supports the central role of angiogenesis in GC development and progression but few data regarding the role of MCs in GC angiogenesis have been published [34,35,36]. In particular, in a study performed by Mukherjee et al. [37], the authors studied MCs density in tissue from patients with gastric ulcers and in tissue from GC patients. In the above study the histochemical method of toluidine blue was employed to identify and count MCs density. Data from this study indicated that MCs density in benign gastric ulcers and in cancers was much higher than the control and correlated with angiogenesis.
Ribatti et al. [30] studied tumor samples from GC patients by mean of immunohistochemistry employing anti-tryptase and anti-chymase antibodies to stain MCs. In this study, a correlation between MVD and tryptase and chymase-positive MCs was found suggesting the involvement of MCs in neovascularization.
Recent published pilot data from our group indicated that MCDPT may induce angiogenesis in bone metastases from gastric cancer patients suggesting that MCDPT is able to stimulate angiogenesis in both primary tumor tissue and metastatic tumor site [21].
To this regard, it is important to underline that MCs can stimulate neovascularization releasing mainly tryptase stored in their secretory granules [38,39].
In the tumor microenvironment, MCs can be activated in different ways including c-kit receptor stimulation and phosphorylation by its ligand the stem cell factor, IgE-dependent mechanism mediated by T lymphocytes-MCs interaction and other microenvironmental stimuli [40,41]. After activation, intensive or piecemeal degranulation of secretory granules occurs depending on MCs activation mechanism, and MCs derived tryptase is released in tumor microenvironment stimulating angiogenesis [7,42,43,44,45,46]. In a pre-clinical model tryptase induces in vitro ECs proliferation in a matrigel assay and displayed in vivo capillary growth in the chick embryo chorioallantoic membrane, which was suppressed by tryptase inhibitors. Tryptase is an agonist of PAR-2 in vascular ECs that stimulates their proliferation. Signaling via PAR-2 on ECs elicits activation of the major members of the MAPK phosphorylation family and contributes to proliferation of ECs and angiogenesis [23,24,25,26,27,28,29,30,31,32,47,48,49,50,51].
Our data demonstrated an association between MCDPT and MVD supporting the central role of tryptase as a main pro-angiogenic factor in PGCTT and interestingly also in LRLNM [52,53,54,55,56].
Our results agree with very recent published research from Micu et al. [57]. These authors demonstrated the positive correlations between the density of tryptase positive mast cells and that of new blood vessels in primary gastric cancer tissue. Interestingly, in the above research, new blood vessels were identified with the anti-CD105 antibody, the marker of endoglin, that is preferentially and selectively expressed on the new blood vessels.
Further studies could be performed employing the anti-CD105 antibody, as a more specific marker of tumor angiogenesis in both primary gastric cancer tissue and lymph node metastasis also to confirm our data obtained with the anti-CD34 pan-endothelial marker. From an anatomical point of view, obtained results indicated that MCDPT are located in a perivascular position. For this reason, we think that some of MCs degranulation products, like tryptases, stay in the stroma of the tumor microenvironment, others go through blood and lymphatic vessels with metastatic dissemination effects.
Based on this background, will be possible to design clinical trials with novel anti-angiogenetic therapies targeting MCs degranulation by mean of c-Kit-R tyrosine kinase inhibitors (e.g., masitinib) or inhibiting tryptase by mean of gabexate mesilate or nafamostat mesilate [58,59,60,61,62,63]. Finally, MCDPT could be evaluated as a possible predictive biomarker able to select patients candidable to novels anti-angiogenic strategies.
4. Materials and Methods
4.1. Study Population
A series of 75 GC patients diagnosed with preoperative gastric endoscopy were selected to undergo curative resection. The surgical approaches used were open total and sub-total gastrectomy with D2 lymph node dissection. Patients were staged as T2–3N2–3M0 (by AJCC for Gastric Cancer Seventh Edition) according to the American Joint Committee on Cancer Seventh Edition (AJCC-TNM) classification [33,64,65]. None had distant metastases on computed tomography (CT) of the thorax, abdomen, and pelvis. All patients in this study had adenocarcinomas. The clinico-pathological features of the patients are summarized in Table 2. Full ethical approval and signed consent from individual patients was obtained. The study was conducted in accordance with the Declaration of Helsinki, and the protocol was approved by the Ethics Committee of the “Mater Domini” Hospital, “Magna Graecia” University, Catanzaro (2011.61; 13 December 2011).
Table 2.
Clinico-pathological features of patients (n = 75).
4.2. Immunohistochemistry
For the evaluation of MCDPT and MVD a three-layer biotin-avidin-peroxidase system was utilized [66]. Briefly, 6 μm-thick serial sections of formalin-fixed and paraffin-embedded tumor samples, adjacent normal gastric tissue, lymph node metastases, and normal lymph node were cut. Sections were first deparaffinized and then, for antigen retrieval, sections were microwaved at 500 W for 10 min, after which endogenous peroxidase activity was blocked with 3% hydrogen peroxide solution [21]. Tumor sections were incubated with the following primary antibodies: anti-tryptase (clone AA1; Dako, Glostrup, Denmark) diluted 1:100 for 1 h at room temperature (for MCs identification) and anti-CD34 antibody (QB-END 10; Bio-Optica, Milan, Italy) diluted 1:50 for 1 h at room temperature as a pan-endothelial marker. The bound antibody was visualized using a biotinylated secondary antibody, an avidin-biotin peroxidase complex and liquid permanent red (LPS, K0640, Dako). Nuclear counterstaining was performed with Gill’s haematoxylin No.2 (Polysciences, Warrington, PA, USA). The primary antibody was omitted in negative controls.
4.3. Morphometrical Assay
Light microscopy integrated with an image analysis system (AXIO, Scope A1, ZEISS, Gottingen, Germany) was utilized [65]. In sections of primary tumor tissue, lymph node metastases, adjacent gastric normal tissue, and normal lymph nodes, immunostained areas (hot spots) were selected at 10× magnification. Next, MCDPT (Figure 1A–D, respectively) was assessed counting each single immunostained mast cell clearly separated each to other at 40 × magnification. With special regard to MVD, we considered a microvessel each single immunostained endothelial cell or each immunostained endothelial cell with or without a lumen, clearly separated from adjacent microvessels, tumor cells, and other connective tissue elements (Figure 2A–D, respectively) at 40× magnification. To define the evaluated microscopic fields at 40× magnification (ocular lens 10× and objective lens 40×), the corresponding 0.19 mm2 area for each field was measured by semi-automated modality using the program of the above image analysis system.
4.4. Statistical Analysis
Mean values ± Standard Deviation (SD) of all the evaluated tissue parameters are reported in Table 1. Correlations between MCDPT and MVD were calculated using Pearson’s (r) analysis. Correlations among all the analyzed parameters and the main clinico-pathological features listed in Table 2 were performed by the Chi-square test (χ2). p < 0.05 was considered significant. All statistical analyses were performed with the SPSS statistical software package (SPSS, Inc., Chicago, IL, USA).
Author Contributions
Michele Ammendola and Girolamo Ranieri conceived and designed the study; Rosario Sacco, Giuseppe Sammarco, and Michele Ammendola, performed the surgery: Cosmo Damiano Gadaleta, Mihai Oltean, Maria Luposella, and Giovambattista De Sarro analyzed the data; Valeria Zuccalà, Rosa Patruno, Pietro Gadaleta, Nicola Zizzo, and Girolamo Ranieri contributed reagents/materials/analysis tools and immunohistochemistry. All authors composed and reviewed the manuscript.
Conflicts of Interest
All authors declare that they have no sponsorship or funding arrangements and conflicts of interest in the research.
References
- Gulubova, M.; Vlaykova, T. Prognostic significance of mast cell number and microvascular density for the survival of patients with primary colorectal cancer. J. Gastroenterol. Hepatol. 2009, 24, 265–275. [Google Scholar] [CrossRef] [PubMed]
- Marech, I.; Ammendola, M.; Sacco, R.; Capriuolo, G.S.; Patruno, R.; Rubini, R.; Luposella, M.; Zuccalà, V.; Savino, E.; Gadaleta, C.D.; et al. Serum tryptase, mast cells positive to tryptase and microvascular density evaluation in early breast cancer patients: Possible translational significance. BMC Cancer 2014, 14, 534. [Google Scholar] [CrossRef] [PubMed]
- Marech, I.; Ammendola, M.; Gadaleta, C.; Zizzo, N.; Oakley, C.; Gadaleta, C.D.; Ranieri, G. Possible biological and translational significance of mast cells density in colorectal cancer. World J. Gastroenterol. 2014, 20, 8910–8920. [Google Scholar] [PubMed]
- Ammendola, M.; Sacco, R.; Sammarco, G.; Donato, G.; Montemurro, S.; Ruggieri, E.; Patruno, R.; Marech, I.; Cariello, M.; Vacca, A.; et al. Correlation between serum tryptase, mast cells positive to tryptase and microvascular density in colo-rectal cancer patients: Possible biological-clinical significance. PLoS ONE 2014, 9, e99512. [Google Scholar] [CrossRef] [PubMed]
- Ammendola, M.; Sacco, R.; Sammarco, G.; Donato, G.; Zuccalà, V.; Romano, R.; Luposella, M.; Patruno, R.; Vallicelli, C.; Verdecchia, G.M.; et al. Mast Cells Positive to Tryptase and c-Kit Receptor Expressing Cells Correlates with Angiogenesis in Gastric Cancer Patients Surgically Treated. Gastroenterol. Res. Pract. 2013, 2013, 703163. [Google Scholar] [CrossRef] [PubMed]
- Ammendola, M.; Sacco, R.; Donato, G.; Zuccalà, V.; Russo, E.; Luposella, M.; Vescio, G.; Rizzuto, A.; Patruno, R.; de Sarro, G.; et al. Mast cell positivity to tryptase correlates with metastatic lymph nodes in gastrointestinal cancer patients treated surgically. Oncology 2013, 85, 111–116. [Google Scholar] [CrossRef] [PubMed]
- Marech, I.; Leporini, C.; Ammendola, M.; Porcelli, M.; Gadaleta, C.D.; Russo, E.; de Sarro, G.; Ranieri, G. Classical and non-classical proangiogenic factors as a target of antiangiogenic therapy in tumor microenvironment. Cancer Lett. 2015, 380, 216–226. [Google Scholar] [CrossRef] [PubMed]
- Ribatti, D.; Ranieri, G.; Nico, B.; Benagiano, V.; Crivellato, E. Tryptase and chymase are angiogenic in vivo in the chorioallantoic membrane assay. Int. J. Dev. Biol. 2011, 55, 99–102. [Google Scholar] [CrossRef] [PubMed]
- Blair, R.J.; Meng, H.; Marchese, M.J.; Ren, S.; Schwartz, L.B.; Tonnesen, M.G.; Gruber, B.L. Human mast cells stimulate vascular tube formation. Tryptase is a novel, potent angiogenic factor. J. Clin. Investig. 1997, 99, 2691–2700. [Google Scholar] [CrossRef] [PubMed]
- Stack, M.S.; Johnson, D.A. Human mast cell tryptase activates single-chain urinary-type plasminogen activator (pro-urokinase). J. Biol. Chem. 1994, 269, 9416–9419. [Google Scholar] [PubMed]
- Fajardo, I.; Pejler, G. Human mast cell β-tryptase is a gelatinase. J. Immunol. 2003, 171, 1493–1499. [Google Scholar] [CrossRef] [PubMed]
- Itoh, Y.; Sendo, T.; Oishi, R. Physiology and pathophysiology of proteinase-activated receptors (PARs): Role of tryptase/PAR-2 in vascular endothelial barrier function. J. Pharmacol. Sci. 2005, 97, 14–19. [Google Scholar] [CrossRef] [PubMed]
- Rickard, A.; Portell, C.; Kell, P.J.; Vinson, S.M.; McHowat, J. Protease-activated receptor stimulation activates a Ca2+-independent phospholipase A2 in bladder microvascular endothelial cells. Am. J. Physiol. Ren. Physiol. 2005, 288, F714–F721. [Google Scholar] [CrossRef] [PubMed]
- Matej, R.; Mandàkovà, P.; Netikovà, I.; Poucková, P.; Olejár, T. Proteinase-activated receptor-2 expression in breast cancer and the role of trypsin on growth and metabolism of breast cancer cell line MDA MB-231. Physiol. Res. 2007, 56, 475–484. [Google Scholar] [PubMed]
- Morris, D.R.; Ding, Y.; Ricks, T.K.; Gullapalli, A.; Wolfe, B.L.; Trejo, J. Protease-activated receptor-2 is essential for factor VIIa and Xa-induced signaling, migration, and invasion of breast cancer cells. Cancer Res. 2006, 66, 307–314. [Google Scholar] [CrossRef] [PubMed]
- Ammendola, M.; Leporini, C.; Marech, I.; Gadaleta, C.D.; Scognamillo, G.; Sacco, R.; Sammarco, G.; de sarro, G.; Russo, E.; Ranieri, G. Targeting mast cells tryptase in tumor microenvironment: A potential antiangiogenetic strategy. BioMed Int. Res. 2014, 2014, 154702. [Google Scholar] [CrossRef] [PubMed]
- Ammendola, M.; Sacco, R.; Sammarco, G.; Donato, G.; Zuccalà, V.; Luposella, M.; Patruno, R.; Marech, I.; Montemurro, S.; Zizzo, N.; et al. Mast cells density positive to tryptase correlates with angiogenesis in pancreatic ductal adenocarcinoma patients having undergone surgery. Gastroenterol. Res. Pract. 2014, 2014, 951957. [Google Scholar] [CrossRef] [PubMed]
- Donato, G.; Conforti, F.; Camastra, C.; Ammendola, M.; Donato, A.; Renzulli, A. The role of mast cell tryptases in cardiac myxoma: Histogenesis and development of a challenging tumor. Oncol. Lett. 2014, 8, 379–383. [Google Scholar] [PubMed]
- Ammendola, M.; Zuccalà, V.; Patruno, R.; Russo, E.; Luposella, M.; Amorosi, A.; Vescio, G.; Sammarco, G.; Montemurro, S.; de Sarro, G.; et al. Tryptase-positive mast cells and angiogenesis in keloids: A new possible post-surgical target for prevention. Updat. Surg. 2013, 65, 53–57. [Google Scholar] [CrossRef] [PubMed]
- Ranieri, G.; Ammendola, M.; Patruno, R.; Celano, G.; Zito, F.A.; Montemurro, S.; Rella, A.; di Lecce, V.; Gadaleta, C.D.; de Sarro, G.; et al. Tryptase-positive mast cells correlate with angiogenesis in early breast cancer patients. Int. J. Oncol. 2009, 35, 115–120. [Google Scholar] [CrossRef] [PubMed]
- Ammendola, M.; Marech, I.; Sammarco, G.; Zuccalà, V.; Luposella, M.; Zizzo, N.; Patruno, R.; Crovace, A.; Ruggieri, E.; Zito, A.F.; et al. Infiltrating mast cells correlate with angiogenesis in bone metastases from gastric cancer patients. Int. J. Mol. Sci. 2015, 16, 3237–3250. [Google Scholar] [CrossRef] [PubMed]
- Ribatti, D.; Ranieri, G. Tryptase, a novel angiogenic factor stored in mast cell granules. Exp. Cell Res. 2015, 332, 157–162. [Google Scholar] [CrossRef] [PubMed]
- Malfettone, A.; Silvestris, N.; Saponaro, C.; Ranieri, G.; Russo, A.; Caruso, S.; Popescu, O.; Simone, G.; Paradiso, A.; Mangia, A. High density of tryptase-positive mast cells in human colorectal cancer: A poor prognostic factor related to protease-activated receptor 2 expression. J. Cell. Mol. Med. 2013, 17, 1025–1037. [Google Scholar] [CrossRef] [PubMed]
- Soreide, K.; Janssen, E.A.; Körner, H.; Baak, J.P. Trypsin in colorectal cancer: Molecular biological mechanisms of proliferation, invasion, and metastasis. J. Pathol. 2006, 209, 147–156. [Google Scholar] [CrossRef] [PubMed]
- Darmoul, D.; Marie, J.C.; Devaud, H.; Gratio, V.; Laburthe, M. Initiation of human colon cancer cell proliferation by trypsin acting at protease-activated receptor-2. Br. J. Cancer 2001, 85, 772–779. [Google Scholar] [CrossRef] [PubMed]
- Uusitalo-Jarvinen, H.; Kurokawa, T.; Mueller, B.M.; Andrade-Gordon, P.; Friedlander, M.; Ruf, W. Role of protease activated receptor 1 and 2 signaling in hypoxia-induced angiogenesis. Arterioscler. Thromb. Vasc. Biol. 2007, 27, 1456–1462. [Google Scholar] [CrossRef] [PubMed]
- Liu, Y.; Mueller, B.M. Protease-activated receptor-2 regulates vascular endothelial growth factor expression in MDA-MB-231 cells via MAPK pathways. Biochem. Biophys. Res. Commun. 2006, 344, 1263–1270. [Google Scholar] [CrossRef] [PubMed]
- Yano, H.; Kinuta, M.; Tateishi, H.; Nakano, Y.; Matsui, S.; Monden, T.; Okamura, J.; Sakai, M.; Okamoto, S. Mast cell infiltration around gastric cancer cells correlates with tumor angiogenesis and metastasis. Gastric Cancer 1999, 2, 26–32. [Google Scholar] [CrossRef] [PubMed]
- Sedda, S.; Marafini, I.; Caruso, R.; Pallone, F.; Monteleone, G. Proteinase activated-receptors-associated signaling in the control of gastric cancer. World J. Gastroenterol. 2014, 20, 11977–11984. [Google Scholar] [CrossRef] [PubMed]
- Ribatti, D.; Guidolin, D.; Marzullo, A.; Nico, B.; Annese, T.; Benagiano, V.; Crivellato, E. Mast cells and angiogenesis in gastric carcinoma. Int. J. Exp. Pathol. 2010, 91, 350–356. [Google Scholar] [CrossRef] [PubMed]
- Wang, G.J.; Wang, Y.B.; Li, D.N.; Deng, B.B. Expression of protease-activated receptor-2 in human gastric stromal tumor and its clinic-pathological significance. Hepatogastroenterology 2013, 60, 2125–2128. [Google Scholar] [PubMed]
- Zhang, C.; Gao, G.R.; Lv, C.G.; Zhang, B.L.; Zhang, Z.L.; Zhang, X.F. Protease-activated receptor-2 induces expression of vascular endothelial growth factor and cyclooxygenase-2 via the mitogen-activated protein kinase pathway in gastric cancer cells. Oncol. Rep. 2012, 28, 1917–1923. [Google Scholar] [CrossRef] [PubMed]
- Washington, K. 7th Edition of the AJCC Cancer Staging Manual: Stomach. Ann. Surg. Oncol. 2010, 17, 3077–3079. [Google Scholar] [CrossRef] [PubMed]
- Geng, Y.; Chen, X.; Qiu, J.; Zhou, Y.; Wang, J.; Liu, L.; Shao, Y.; Yin, Y. Human epidermal growth factor receptor-2 expression in primary and metastatic gastric cancer. Int. J. Clin. Oncol. 2014, 19, 303–311. [Google Scholar] [CrossRef] [PubMed]
- Wang, X.; Chen, X.; Fang, J.; Yang, C. Overexpression of both VEGF-A and VEGF-C in gastric cancer correlates with prognosis, and silencing of both is effective to inhibit cancer growth. Int. J. Clin. Exp. Pathol. 2013, 6, 586–597. [Google Scholar] [PubMed]
- Zhao, Y.; Wu, K.; Cai, K.; Zhai, R.; Tao, K.; Wang, G.; Wang, J. Increased numbers of gastric-infiltrating mast cells and regulatory T cells are associated with tumor stage in gastric adenocarcinoma patients. Oncol. Lett. 2012, 4, 755–758. [Google Scholar] [PubMed]
- Mukherjee, S.; Bandyopadhyay, G.; Dutta, C.; Bhattacharya, A.; Karmakar, R.; Barui, G. Evaluation of endoscopic biopsy in gastric lesions with a special reference to the significance of mast cell density. Indian J. Pathol. Microbiol. 2009, 52, 20–24. [Google Scholar] [CrossRef] [PubMed]
- Bhattacharyya, S.P.; Drucker, I.; Reshef, T.; Kirshenbaum, A.S.; Metcalfe, D.D.; Mekori, Y.A. Activated T lymphocytes induce degranulation and cytokine production by human mast cells following cell-to-cell contact. J. Leukoc. Biol. 1998, 63, 337–341. [Google Scholar] [PubMed]
- Marech, I.; Ammendola, M.; Sacco, R.; Sammarco, G.; Zuccalà, V.; Zizzo, N.; Leporini, C.; Luposella, M.; Patruno, R.; Filippelli, G.; et al. Tumor-associated macrophages correlate with microvascular bed extension in colorectal cancer patients. J. Cell. Mol. Med. 2016, 20, 1373–1380. [Google Scholar] [CrossRef] [PubMed]
- Ammendola, M.; Patruno, R.; Sacco, R.; Marech, I.; Sammarco, G.; Zuccalà, V.; Luposella, M.; Zizzo, N.; Gadaleta, C.; Porcelli, M.; et al. Mast cells positive to tryptase and tumor-associated macrophages correlate with angiogenesis in locally advanced colorectal cancer patients undergone to surgery. Expert Opin. Ther. Targets 2016, 20, 533–540. [Google Scholar] [CrossRef] [PubMed]
- Patruno, R.; Marech, I.; Zizzo, N.; Ammendola, M.; Nardulli, P.; Gadaleta, C.; Introna, M.; Capriuolo, G.; Rubini, R.A.; Ribatti, D.; et al. C-Kit expression, angiogenesis, and grading in canine mast cell tumor: A unique model to study c-Kit driven human malignancies. BioMed Res. Int. 2014, 2014, 730246. [Google Scholar] [CrossRef] [PubMed]
- De Souza Junior, D.A.; Santana, A.C.; da Silva, E.Z.; Oliver, C.; Jamur, M.C. The Role of Mast Cell Specific Chymases and Tryptases in Tumor Angiogenesis. BioMed Res. Int. 2015, 2015, 142359. [Google Scholar] [CrossRef] [PubMed]
- Wasiuk, A.; de Vries, V.C.; Hartmann, K.; Roers, A.; Noelle, R.J. Mast cells as regulators of adaptive immunity to tumors. Clin. Exp. Immunol. 2009, 155, 140–146. [Google Scholar] [CrossRef] [PubMed]
- Norrby, K. Mast cells and angiogenesis. APMIS 2002, 111, 355–371. [Google Scholar] [CrossRef]
- Visciano, C.; Prevete, N.; Liotti, F.; Marone, G. Tumor-Associated Mast Cells in Thyroid Cancer. Int. J. Endocrinol. 2015, 2015, 705169. [Google Scholar] [CrossRef] [PubMed]
- Marone, G.; Varricchi, G.; Loffredo, S.; Granata, F. Mast cells and basophils in inflammatory and tumor angiogenesis and lymphangiogenesis. Eur. J. Pharmacol. 2015, 778, 146–151. [Google Scholar] [CrossRef] [PubMed]
- Loffredo, S.; Staiano, R.I.; Granata, F.; Genovese, A.; Marone, G. Immune cells as a source and target of angiogenic and lymphangiogenic factors. Chem. Immunol. Allergy 2014, 99, 15–36. [Google Scholar] [PubMed]
- Zhang, X.; Wang, W.; Mize, G.J.; Takayama, T.K.; True, L.D.; Vessella, R.L. Protease-activated receptor 2 signaling up regulates angiogenic growth factors in renal cell carcinoma. Exp. Mol. Pathol. 2013, 94, 91–97. [Google Scholar] [CrossRef] [PubMed]
- Rasmussen, J.G.; Riis, S.E.; Frobert, O.; Yang, S.; Kastrup, J.; Zachar, V.; Simonsen, U.; Fink, T. Activation of protease-activated receptor 2 induces VEGF independently of HIF-1. PLoS ONE 2012, 7, e46087. [Google Scholar] [CrossRef] [PubMed]
- Chang, L.H.; Pan, S.L.; Lai, C.Y.; Tsai, A.C.; Teng, C.M. Activated PAR-2 regulates pancreatic cancer progression through ILK/HIF-α-induced TGF-α expression and MEK/VEGF-A-mediated angiogenesis. Am. J. Pathol. 2013, 183, 566–575. [Google Scholar] [CrossRef] [PubMed]
- Ammendola, M.; Sacco, R.; Sammarco, G.; Piardi, T.; Zuccalà, V.; Patruno, R.; Zullo, A.; Zizzo, N.; Nardo, B.; Marech, I.; et al. Mast Cells positive to tryptase, endothelial cells positive to protease-activated receptor-2, and microvascular density correlate among themselves in hepatocellular carcinoma patients who have undergone surgery. Onco. Targets Ther. 2016, 9, 4465–4471. [Google Scholar] [PubMed]
- Hirakawa, S. From tumor lymphangiogenesis to lymphvascular niche. Cancer Sci. 2009, 100, 983–989. [Google Scholar] [CrossRef] [PubMed]
- Wissman, C.; Detmar, M. Pathways targeting tumor lymphangiogenesis. Clin. Cancer Res. 2006, 12, 6865–6868. [Google Scholar] [CrossRef] [PubMed]
- Liu, X.; Cai, H.; Shi, Y.; Wang, Y. Prognsotic factors in patients with node-negative gastric cancer: A single center experience from China. J. Gastrointest. Surg. 2012, 16, 1123–1127. [Google Scholar] [CrossRef] [PubMed]
- Sjo, O.H.; Merok, M.A.; Svindland, A.; Nesbakken, A. Prognostic impact of lymph node harvest and lymph node ratio in patients with colon cancer. Dis. Colon Rectum 2012, 55, 307–315. [Google Scholar] [CrossRef] [PubMed]
- Nam, E.S.; Kim, D.H.; Jang, G.T.; Park, H.R.; Kim, J.R.; Shin, H.S. Correlation of Mast Cell Densities, Angiogenesis and Vascular Endothelial Growth Factor in Proper Muscle Gastric Carcinomas. Cancer Res. Treat. 2002, 34, 41–45. [Google Scholar] [CrossRef] [PubMed]
- Micu, G.V.; Staniceanu, F.; Sticalru, L.C.; Popp, C.G.; Bastian, A.E.; Gramada, E.; Pop, G.; Mateescu, R.B.; Rimbaş, M.; Archip, B.; et al. Correlations between the density of tryptase positive mast cells (DMTC) and that of new blood vessels (CD105+) in patients with gastric cancer. Rom. J. Intern. Med. 2016, 54, 113–120. [Google Scholar] [PubMed]
- Ammendola, M.; Sacco, R.; Sammarco, G.; Luposella, M.; Patruno, R.; Gadaleta, C.D.; de Sarro, G.; Ranieri, G. Mast Cell-Targeted Strategies in Cancer Therapy. Transfus Med. Hemother. 2016, 43, 109–113. [Google Scholar] [CrossRef] [PubMed]
- Erba, F.; Fiorucci, L.; Pascarella, S.; Menegatti, E.; Ascenzi, P.; Ascoli, F. Selective inhibition of human mast cell tryptase by gabexate mesylate, an antiproteinase drug. Biochem. Pharmacol. 2001, 61, 271–276. [Google Scholar] [CrossRef]
- Mori, S.; Itoh, Y.; Shinohata, R.; Sendo, T.; Oishi, R.; Nishibori, M. Nafamostat mesilate is an extremely potent inhibitor of human tryptase. J. Pharmacol. Sci. 2003, 92, 420–423. [Google Scholar] [CrossRef] [PubMed]
- Humbert, M.; Castéran, N.; Letard, S.; Hanssens, K.; Iovanna, J.; Finetti, P.; Bertucci, F.; Bader, T.; Mansfield, C.D.; Moussy, A.; et al. Masitinib combined with standard gemcitabine chemotherapy: in vitro and in vivo studies in human pancreatic tumor cell lines and ectopic mouse model. PLoS ONE 2010, 5, e9430. [Google Scholar] [CrossRef] [PubMed]
- Marech, I.; Patruno, R.; Zizzo, N.; Gadaleta, C.; Introna, M.; Zito, A.F.; Gadaleta, C.D.; Ranieri, G. Masitinib (AB1010), from canine tumor model to human clinical development: Where we are? Crit. Rev. Oncol. Hematol. 2013, 91, 98–111. [Google Scholar] [CrossRef] [PubMed]
- Deplanque, G.; Demarchi, M.; Hebbar, M.; Flynn, P.; Melichar, B.; Atkins, J.; Nowara, E.; Moyé, L.; Piquemal, D.; Ritter, D.; et al. A randomized, placebo-controlled phase III trial of masitinib plus gemcitabine in the treatment of advanced pancreatic cancer. Ann. Oncol. 2015, 26, 1194–1200. [Google Scholar] [CrossRef] [PubMed]
- Tamura, S.; Takeno, A.; Miki, H. Lymph node dissection in curative gastrectomy for advanced gastric cancer. Int. J. Surg. Oncol. 2011, 2011, 748745. [Google Scholar] [CrossRef] [PubMed]
- Verlato, G.; Giacopuzzi, S.; Bencivenga, M.; Morgagni, P.; de Manzoni, G. Problems faced by evidence-based medicine in evaluating lymphadenectomy for gastric cancer. World J. Gastroenterol 2014, 20, 12883–12891. [Google Scholar] [CrossRef] [PubMed]
- Ranieri, G.; Grammatica, L.; Patruno, R.; Zito, A.F.; Valerio, P.; Iacobellis, S.; Gadaleta, C.; Gasparini, G.; Ribatti, D. A possible role of thymidine phosphorylase expression and 5-fluorouracil increased sensitivity in oropharyngeal cancer patients. J. Cell. Mol. Med. 2007, 11, 362–368. [Google Scholar] [CrossRef] [PubMed]
© 2016 by the authors; licensee MDPI, Basel, Switzerland. This article is an open access article distributed under the terms and conditions of the Creative Commons Attribution (CC-BY) license (http://creativecommons.org/licenses/by/4.0/).