Age- and Brain Region-Specific Changes of Glucose Metabolic Disorder, Learning, and Memory Dysfunction in Early Alzheimer’s Disease Assessed in APP/PS1 Transgenic Mice Using 18F-FDG-PET
Abstract
:1. Introduction
2. Results
2.1. Morris Water Maze (MWM) Results
2.2. Age- and Region-Specific Changes in Brain Glucose Metabolism
2.3. Correlation Analysis between Hippocampal SUVr (Relative Standardized Uptake Value) and MWM Parameters
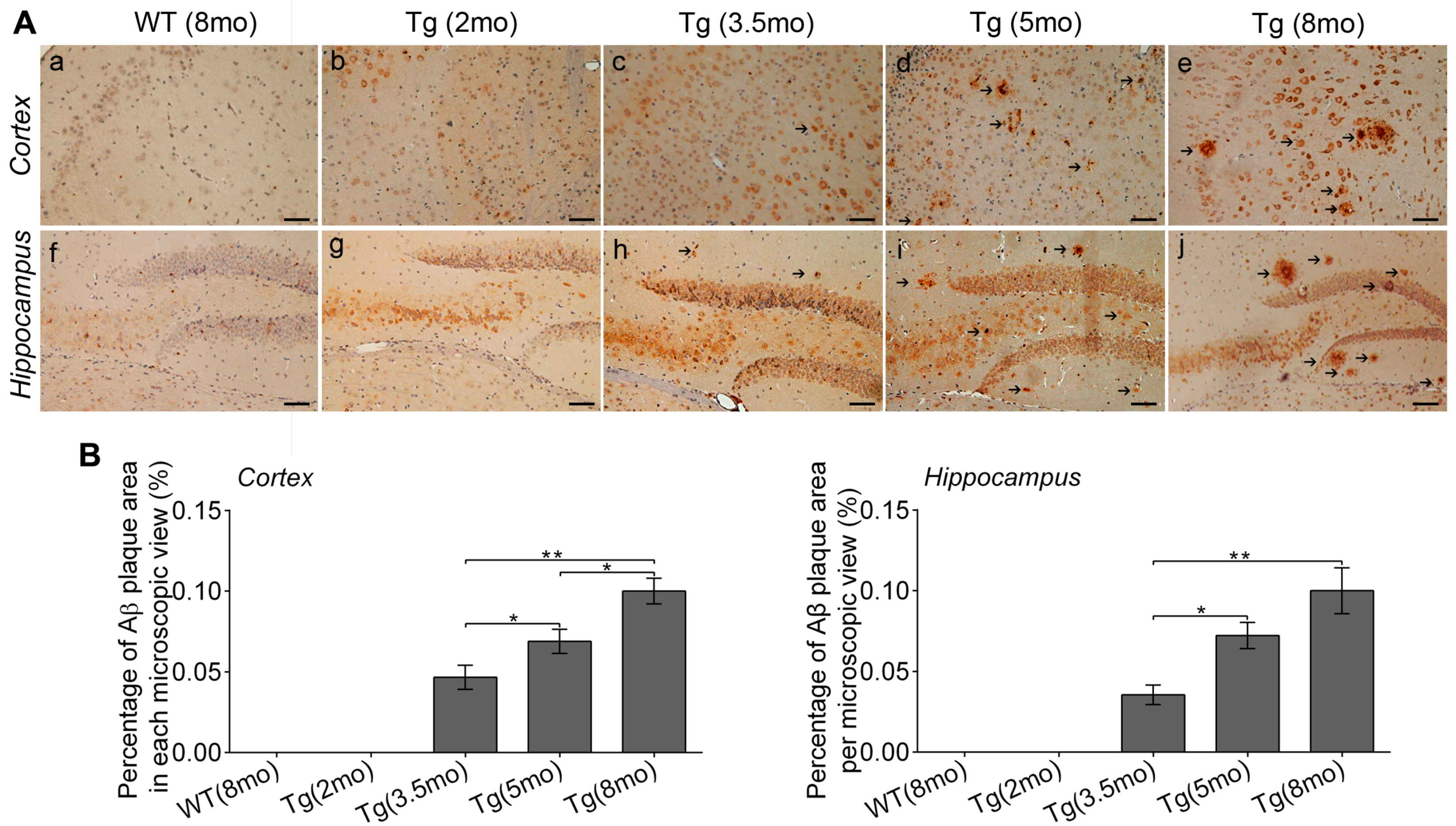
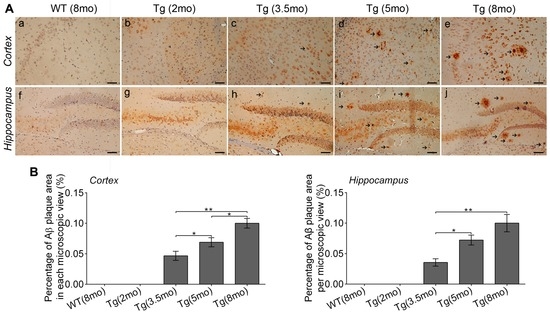
2.4. Histological Confirmation of Alzheimer’s Pathology
3. Discussion
4. Materials and Methods
4.1. Animals
4.2. MWM
4.3. MicroPET Imaging
4.4. PET Data Analysis
4.5. Immunohistochemical Analysis
4.6. Statistical Analysis
5. Conclusions
Acknowledgments
Author Contributions
Conflicts of Interest
Abbreviations
| AD | Alzheimer’s disease |
| FDG | fluorodeoxyglucose |
| APP | precursor protein |
| PS1 | presenilin 1 |
| Tg | transgenic |
| WT | wide-type |
| mo | month-old |
| MWM | morris water maze |
| SUV | standardized uptake value |
| ANOVA | analysis of variance |
References
- Li, X.Y.; Bao, X.J.; Wang, R.Z. Potential of neural stem cell-based therapies for Alzheimer’s disease. J. Neurosci. Res. 2015, 93, 1313–1324. [Google Scholar] [CrossRef] [PubMed]
- Herholz, K. Cerebral glucose metabolism in preclinical and prodromal Alzheimer’s disease. Expert Rev. Neurother. 2010, 10, 1667–1673. [Google Scholar] [CrossRef] [PubMed]
- Shokouhi, S.; Claassen, D.; Kang, H.; Ding, Z.; Rogers, B.; Mishra, A.; Riddle, W.R.; Alzheimer’s Disease Neuroimaging Initiative. Longitudinal progression of cognitive decline correlates with changes in the spatial pattern of brain 18F-FDG PET. J. Nucl. Med. 2013, 54, 1564–1569. [Google Scholar] [CrossRef] [PubMed]
- Zippo, A.G.; Castiglioni, I. Integration of 18FDG-PET metabolic and functional connectomes in the early diagnosis and prognosis of the Alzheimer’s disease. Curr. Alzheimer Res. 2015, 13, 487–497. [Google Scholar] [CrossRef]
- Xi, W.; Su, D.; Nie, B.; Yu, Y.; Shan, B.; Chen, Q.; Tian, M.; Zhang, H. 18F-FDG PET study reveals brain functional changes during attention in rats. J. Nucl. Med. 2013, 54, 1969–1973. [Google Scholar] [CrossRef] [PubMed]
- Palumbo, B.; Buresta, T.; Nuvoli, S.; Spanu, A.; Schillaci, O.; Fravolini, M.L.; Palumbo, I. Spect and pet serve as molecular imaging techniques and in vivo biomarkers for brain metastases. Int. J. Mol. Sci. 2014, 15, 9878–9893. [Google Scholar] [CrossRef] [PubMed]
- Verclytte, S.; Lopes, R.; Lenfant, P.; Rollin, A.; Semah, F.; Leclerc, X.; Pasquier, F.; Delmaire, C. Cerebral hypoperfusion and hypometabolism detected by arterial spin labeling mri and FDG-PET in early-onset Alzheimer’s disease. J. Neuroimaging 2015, 26, 207–212. [Google Scholar] [CrossRef] [PubMed]
- Poisnel, G.; Herard, A.S.; El Tayara, N.E.; Bourrin, E.; Volk, A.; Kober, F.; Delatour, B.; Delzescaux, T.; Debeir, T.; Rooney, T.; et al. Increased regional cerebral glucose uptake in an APP/PS1 model of Alzheimer’s disease. Neurobiol. Aging 2012, 33, 1995–2005. [Google Scholar] [CrossRef] [PubMed]
- Fiorenza, N.G.; Rosa, J.; Izquierdo, I.; Myskiw, J.C. Modulation of the extinction of two different fear-motivated tasks in three distinct brain areas. Behav. Brain Res. 2012, 232, 210–216. [Google Scholar] [CrossRef] [PubMed]
- Wang, Z. Characterizing early Alzheimer’s disease and disease progression using hippocampal volume and arterial spin labeling perfusion MRI. J. Alzheimer’s Dis. 2014, 42, S495–S502. [Google Scholar]
- Velez-Pardo, C.; Arellano, J.I.; Cardona-Gomez, P.; del Rio, M.J.; Lopera, F.; de Felipe, J. CA1 hippocampal neuronal loss in familial Alzheimer’s disease presenilin-1 E280A mutation is related to epilepsy. Epilepsia 2004, 45, 751–756. [Google Scholar] [CrossRef] [PubMed]
- Konsman, J.P. The Mouse Brain in Stereotaxic Coordinates, Second Section; Franklin, K.B.J., Paxinos, G., Eds.; Academic Press: New York, NY, USA, 2001; Volume 1, pp. 80–138. [Google Scholar]
- Hampel, H.; Prvulovic, D.; Teipel, S.; Jessen, F.; Luckhaus, C.; Frolich, L.; Riepe, M.W.; Dodel, R.; Leyhe, T.; Bertram, L.; et al. The future of Alzheimer’s disease: The next 10 years. Prog. Neurobiol. 2011, 95, 718–728. [Google Scholar] [CrossRef] [PubMed]
- Li, X.; Bao, X.; Wang, R. Experimental models of Alzheimer’s disease for deciphering the pathogenesis and therapeutic screening (Review). Int. J. Mol. Med. 2016, 37, 271–283. [Google Scholar] [CrossRef] [PubMed]
- Webster, S.J.; Bachstetter, A.D.; Nelson, P.T.; Schmitt, F.A.; van Eldik, L.J. Using mice to model Alzheimer’s dementia: An overview of the clinical disease and the preclinical behavioral changes in 10 mouse models. Front. Genet. 2014, 5. [Google Scholar] [CrossRef] [PubMed]
- Li, J.; Gu, L.; Feng, D.F.; Ding, F.; Zhu, G.; Rong, J. Exploring temporospatial changes in glucose metabolic disorder, learning, and memory dysfunction in a rat model of diffuse axonal injury. J. Neurotrauma 2012, 29, 2635–2646. [Google Scholar] [CrossRef] [PubMed]
- Platt, B.; Welch, A.; Riedel, G. FDG-PET imaging, EEG and sleep phenotypes as translational biomarkers for research in Alzheimer’s disease. Biochem. Soc. Trans. 2011, 39, 874–880. [Google Scholar] [CrossRef] [PubMed]
- Landau, S.M.; Lu, M.; Joshi, A.D.; Pontecorvo, M.; Mintun, M.A.; Trojanowski, J.Q.; Shaw, L.M.; Jagust, W.J.; Alzheimer’s Disease Neuroimaging Initiative. Comparing positron emission tomography imaging and cerebrospinal fluid measurements of beta-amyloid. Ann. Neurol. 2013, 74, 826–836. [Google Scholar] [CrossRef] [PubMed]
- Murray, M.E.; Przybelski, S.A.; Lesnick, T.G.; Liesinger, A.M.; Spychalla, A.; Zhang, B.; Gunter, J.L.; Parisi, J.E.; Boeve, B.F.; Knopman, D.S.; et al. Early Alzheimer’s disease neuropathology detected by proton MR spectroscopy. J. Neurosci. 2014, 34, 16247–16255. [Google Scholar] [CrossRef] [PubMed]
- Nicholson, R.M.; Kusne, Y.; Nowak, L.A.; LaFerla, F.M.; Reiman, E.M.; Valla, J. Regional cerebral glucose uptake in the 3XTG model of Alzheimer’s disease highlights common regional vulnerability across AD mouse models. Brain Res. 2010, 1347, 179–185. [Google Scholar] [CrossRef] [PubMed]
- Sancheti, H.; Patil, I.; Kanamori, K.; Diaz Brinton, R.; Zhang, W.; Lin, A.L.; Cadenas, E. Hypermetabolic state in the 7-month-old triple transgenic mouse model of Alzheimer’s disease and the effect of lipoic acid: A 13C-NMR study. J. Cereb. Blood Flow Metab. 2014, 34, 1749–1760. [Google Scholar] [CrossRef] [PubMed]
- Sun, Y.; Rong, X.; Lu, W.; Peng, Y.; Li, J.; Xu, S.; Wang, L.; Wang, X. Translational study of Alzheimer’s disease (AD) biomarkers from brain tissues in AβPP/PS1 mice and serum of AD patients. J. Alzheimer’s Dis. 2015, 45, 269–282. [Google Scholar]
- Jayasena, T.; Poljak, A.; Braidy, N.; Smythe, G.; Raftery, M.; Hill, M.; Brodaty, H.; Trollor, J.; Kochan, N.; Sachdev, P. Upregulation of glycolytic enzymes, mitochondrial dysfunction and increased cytotoxicity in glial cells treated with Alzheimer’s disease plasma. PLoS ONE 2015, 10, e0116092. [Google Scholar] [CrossRef] [PubMed]
- Aso, E.; Lomoio, S.; Lopez-Gonzalez, I.; Joda, L.; Carmona, M.; Fernandez-Yague, N.; Moreno, J.; Juves, S.; Pujol, A.; Pamplona, R.; et al. Amyloid generation and dysfunctional immunoproteasome activation with disease progression in animal model of familial Alzheimer’s disease. Brain Pathol. 2012, 22, 636–653. [Google Scholar] [CrossRef] [PubMed]
- Rojas, S.; Herance, J.R.; Gispert, J.D.; Abad, S.; Torrent, E.; Jimenez, X.; Pareto, D.; Perpina, U.; Sarroca, S.; Rodriguez, E.; et al. In vivo evaluation of amyloid deposition and brain glucose metabolism of 5XFAD mice using positron emission tomography. Neurobiol. Aging 2013, 34, 1790–1798. [Google Scholar] [CrossRef] [PubMed]
- Van den Hove, D.L.; Kenis, G.; Brass, A.; Opstelten, R.; Rutten, B.P.; Bruschettini, M.; Blanco, C.E.; Lesch, K.P.; Steinbusch, H.W.; Prickaerts, J. Vulnerability versus resilience to prenatal stress in male and female rats; implications from gene expression profiles in the hippocampus and frontal cortex. Eur. Neuropsychopharmacol. 2013, 23, 1226–1246. [Google Scholar] [CrossRef] [PubMed]
- Katafuchi, T.; Ifuku, M.; Mawatari, S.; Noda, M.; Miake, K.; Sugiyama, M.; Fujino, T. Effects of plasmalogens on systemic lipopolysaccharide-induced glial activation and β-amyloid accumulation in adult mice. Ann. N. Y. Acad. Sci. 2012, 1262, 85–92. [Google Scholar] [CrossRef] [PubMed]
- Kantarci, K.; Senjem, M.L.; Lowe, V.J.; Wiste, H.J.; Weigand, S.D.; Kemp, B.J.; Frank, A.R.; Shiung, M.M.; Boeve, B.F.; Knopman, D.S.; et al. Effects of age on the glucose metabolic changes in mild cognitive impairment. AJNR. Am. J. Neuroradiol. 2010, 31, 1247–1253. [Google Scholar] [CrossRef] [PubMed]
- Herholz, K.; Salmon, E.; Perani, D.; Baron, J.C.; Holthoff, V.; Frolich, L.; Schonknecht, P.; Ito, K.; Mielke, R.; Kalbe, E.; et al. Discrimination between Alzheimer dementia and controls by automated analysis of multicenter FDG PET. NeuroImage 2002, 17, 302–316. [Google Scholar] [CrossRef] [PubMed]
- Nieman, B.J.; de Guzman, A.E.; Gazdzinski, L.M.; Lerch, J.P.; Chakravarty, M.M.; Pipitone, J.; Strother, D.; Fryer, C.; Bouffet, E.; Laughlin, S.; et al. White and gray matter abnormalities after cranial radiation in children and mice. Int. J. Radiat. Oncol. Biol. Phys. 2015, 93, 882–891. [Google Scholar] [CrossRef] [PubMed]
- Scheef, L.; Spottke, A.; Daerr, M.; Joe, A.; Striepens, N.; Kolsch, H.; Popp, J.; Daamen, M.; Gorris, D.; Heneka, M.T.; et al. Glucose metabolism, gray matter structure, and memory decline in subjective memory impairment. Neurology 2012, 79, 1332–1339. [Google Scholar] [CrossRef] [PubMed]
- Ashraf, A.; Fan, Z.; Brooks, D.J.; Edison, P. Cortical hypermetabolism in mci subjects: A compensatory mechanism? Eur. J. Nucl. Med. Mol. Imaging 2015, 42, 447–458. [Google Scholar] [CrossRef] [PubMed]
- Dubois, A.; Herard, A.S.; Delatour, B.; Hantraye, P.; Bonvento, G.; Dhenain, M.; Delzescaux, T. Detection by voxel-wise statistical analysis of significant changes in regional cerebral glucose uptake in an APP/PS1 transgenic mouse model of Alzheimer’s disease. NeuroImage 2010, 51, 586–598. [Google Scholar] [CrossRef] [PubMed]
- Maier, F.C.; Wehrl, H.F.; Schmid, A.M.; Mannheim, J.G.; Wiehr, S.; Lerdkrai, C.; Calaminus, C.; Stahlschmidt, A.; Ye, L.; Burnet, M.; et al. Longitudinal PET-MRI reveals β-amyloid deposition and RCBF dynamics and connects vascular amyloidosis to quantitative loss of perfusion. Nat. Med. 2014, 20, 1485–1492. [Google Scholar] [CrossRef] [PubMed]
- Herholz, K.; Westwood, S.; Haense, C.; Dunn, G. Evaluation of a calibrated 18F-FDG PET score as a biomarker for progression in Alzheimer disease and mild cognitive impairment. J. Nucl. Med. 2011, 52, 1218–1226. [Google Scholar] [CrossRef] [PubMed]
- Doot, R.K.; Dunnwald, L.K.; Schubert, E.K.; Muzi, M.; Peterson, L.M.; Kinahan, P.E.; Kurland, B.F.; Mankoff, D.A. Dynamic and static approaches to quantifying 18F-FDG uptake for measuring cancer response to therapy, including the effect of granulocyte CSF. J. Nucl. Med. 2007, 48, 920–925. [Google Scholar] [CrossRef] [PubMed]
- Wang, H.; Liu, J.; Zong, Y.; Xu, Y.; Deng, W.; Zhu, H.; Liu, Y.; Ma, C.; Huang, L.; Zhang, L.; et al. MIR-106B aberrantly expressed in a double transgenic mouse model for Alzheimer’s disease targets TGF-β type II receptor. Brain Res. 2010, 1357, 166–174. [Google Scholar] [CrossRef] [PubMed]
- Zhang, L.; Liu, C.; Wu, J.; Tao, J.J.; Sui, X.L.; Yao, Z.G.; Xu, Y.F.; Huang, L.; Zhu, H.; Sheng, S.L.; et al. Tubastatin A/ACY-1215 improves cognition in Alzheimer’s disease transgenic mice. J. Alzheimer’s Dis. 2014, 41, 1193–1205. [Google Scholar]
- Zhang, W.; Gu, G.J.; Shen, X.; Zhang, Q.; Wang, G.M.; Wang, P.J. Neural stem cell transplantation enhances mitochondrial biogenesis in a transgenic mouse model of Alzheimer’s disease-like pathology. Neurobiol. Aging 2015, 36, 1282–1292. [Google Scholar] [CrossRef] [PubMed]
- Shin, J.; Tsui, W.; Li, Y.; Lee, S.Y.; Kim, S.J.; Cho, S.J.; Kim, Y.B.; Leon, M.J.D. Resting-state glucose metabolism level is associated with the regional pattern of amyloid pathology in Alzheimer’s disease. Int. J. Alzheimers Dis. 2011, 2011. [Google Scholar] [CrossRef] [PubMed]






| Mouse Type | Sex | Age (mo) | n | Weight (g) | PET Scan Completion (n) | Drop out Due to Death (n) |
|---|---|---|---|---|---|---|
| APP/PS1 | F | 2 | 9 | 18.3 ± 1.9 | 8 | 1 |
| F | 3.5 | 9 | 23.4 ± 2.2 | 9 | 0 | |
| F | 5 | 9 | 27.4 ± 3.2 | 9 | 0 | |
| F | 8 | 9 | 29.2 ± 3.9 | 7 | 2 | |
| WT | F | 2 | 9 | 18.8 ± 1.4 | 9 | 0 |
| F | 3.5 | 9 | 24.5 ± 1.8 | 9 | 0 | |
| F | 5 | 9 | 28.2 ± 2.6 | 9 | 0 | |
| F | 8 | 9 | 30.6 ± 3.5 | 8 | 1 |
© 2016 by the authors; licensee MDPI, Basel, Switzerland. This article is an open access article distributed under the terms and conditions of the Creative Commons Attribution (CC-BY) license (http://creativecommons.org/licenses/by/4.0/).
Share and Cite
Li, X.-Y.; Men, W.-W.; Zhu, H.; Lei, J.-F.; Zuo, F.-X.; Wang, Z.-J.; Zhu, Z.-H.; Bao, X.-J.; Wang, R.-Z. Age- and Brain Region-Specific Changes of Glucose Metabolic Disorder, Learning, and Memory Dysfunction in Early Alzheimer’s Disease Assessed in APP/PS1 Transgenic Mice Using 18F-FDG-PET. Int. J. Mol. Sci. 2016, 17, 1707. https://doi.org/10.3390/ijms17101707
Li X-Y, Men W-W, Zhu H, Lei J-F, Zuo F-X, Wang Z-J, Zhu Z-H, Bao X-J, Wang R-Z. Age- and Brain Region-Specific Changes of Glucose Metabolic Disorder, Learning, and Memory Dysfunction in Early Alzheimer’s Disease Assessed in APP/PS1 Transgenic Mice Using 18F-FDG-PET. International Journal of Molecular Sciences. 2016; 17(10):1707. https://doi.org/10.3390/ijms17101707
Chicago/Turabian StyleLi, Xue-Yuan, Wei-Wei Men, Hua Zhu, Jian-Feng Lei, Fu-Xing Zuo, Zhan-Jing Wang, Zhao-Hui Zhu, Xin-Jie Bao, and Ren-Zhi Wang. 2016. "Age- and Brain Region-Specific Changes of Glucose Metabolic Disorder, Learning, and Memory Dysfunction in Early Alzheimer’s Disease Assessed in APP/PS1 Transgenic Mice Using 18F-FDG-PET" International Journal of Molecular Sciences 17, no. 10: 1707. https://doi.org/10.3390/ijms17101707
APA StyleLi, X.-Y., Men, W.-W., Zhu, H., Lei, J.-F., Zuo, F.-X., Wang, Z.-J., Zhu, Z.-H., Bao, X.-J., & Wang, R.-Z. (2016). Age- and Brain Region-Specific Changes of Glucose Metabolic Disorder, Learning, and Memory Dysfunction in Early Alzheimer’s Disease Assessed in APP/PS1 Transgenic Mice Using 18F-FDG-PET. International Journal of Molecular Sciences, 17(10), 1707. https://doi.org/10.3390/ijms17101707
