Stable Expression of Basic Fibroblast Growth Factor in Chloroplasts of Tobacco
Abstract
:1. Introduction
2. Results
2.1. Construction of Expression Vector and Functional Verification

2.2. Tobacco Chloroplast Transformation and Homoplastomic Selection

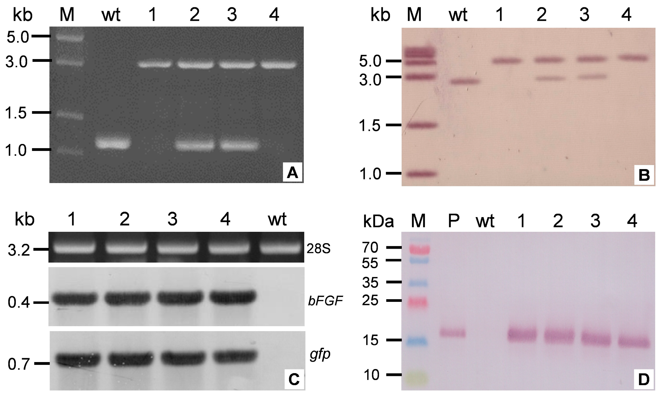
2.3. Molecular Characterization of T0 Transplastomic Plants

2.4. Measurement of bFGF and GFP Expression in T0 Transformed Plants by ELISA

3. Discussion
4. Materials and Methods
4.1. Plant Materials
4.2. Vector Construction for Chloroplast Transformation
4.3. Chloroplast Transformation and Homoplastomic Selection
4.4. Molecular Testing
4.5. Western Blot Assay
4.6. ELISA
Acknowledgments
Author Contributions
Conflicts of Interest
References
- Yamashita, T.; Yoshioka, M.; Itoh, N. Identification of a novel fibroblast growth factor, FGF-23, preferentially expressed in the ventrolateral thalamic nucleus of the brain. Biochem. Biophys. Res. Commun. 2000, 277, 494–498. [Google Scholar] [CrossRef] [PubMed]
- Gospodarowicz, D.; Bialecki, H.; Greenburg, G. Purification of the fibroblast growth factor activity from bovine brain. J. Biol. Chem. 1978, 253, 3736–3743. [Google Scholar] [PubMed]
- Lavandero, S.; Chappuzeau, A.; Sapag-Hagar, M.; Oka, T. In vivo and in vitro evidence of basic fibroblast growth factor action in mouse mammary gland development. FEBS Lett. 1998, 439, 351–356. [Google Scholar] [CrossRef]
- Akita, S.; Akino, K.; Imaizumi, T.; Hirano, A. A basic fibroblast growth factor improved the quality of skin grafting in burn patients. Burns 2005, 31, 855–858. [Google Scholar] [CrossRef] [PubMed]
- Zou, H.; Nie, X.H.; Zhang, Y.; Hu, M.; Zhang, Y.A. Effect of basic fibroblast growth factor on the proliferation, migration and phenotypic modulation of airway smooth muscle cells. Chin. Med. J. 2008, 121, 424–429. [Google Scholar] [PubMed]
- Xiong, N.; Yang, H.; Liu, L.; Xiong, J.; Zhang, Z.; Zhang, X.; Jia, M.; Huang, J.; Zhang, Z.; Mohamed, A.A.; Lin, Z.; Wang, T. bFGF promotes the differentiation and effectiveness of human bone marrow mesenchymal stem cells in a rotenone model for parkinson’s disease. Environ. Toxicol. Pharmacol. 2013, 36, 411–422. [Google Scholar] [CrossRef] [PubMed]
- Jia, X.; Tian, H.; Tang, L.; Zheng, L.; Zheng, L.; Yang, T.; Yu, B.; Wang, Z.; Lin, P.; Li, X.; et al. High-efficiency expression of TAT-bFGF fusion protein in Escherichia coli and the effect on hypertrophic scar tissue. PLoS ONE 2015, 10, e0117448. [Google Scholar] [CrossRef] [PubMed]
- Xie, J.X.; Feng, Y.; Yuan, J.M.; You, Z.D.; Lin, H.Y.; Lu, C.L.; Xu, J.J. Positive effects of bFGF modified rat amniotic epithelial cells transplantation on transected rat optic nerve. PLoS ONE 2015, 10, e0124713. [Google Scholar] [CrossRef] [PubMed]
- Gasparian, M.E.; Elistratov, P.A.; Drize, N.I.; Nifontova, I.N.; Dolgikh, D.A.; Kirpichnikov, M.P. Overexpression in Escherichia coli and purification of human fibroblast growth factor (FGF-2). Biochemistry. Biochemistry (Moscow) 2009, 74, 221–225. [Google Scholar] [CrossRef] [PubMed]
- Song, J.A.; Koo, B.K.; Chong, S.H.; Kwak, J.; Ryu, H.B.; Nguyen, M.T.; Vu, T.T.; Jeong, B.; Kim, S.W.; Choe, H. Expression and purification of biologically active human FGF2 containing the b’a’ domains of human PDI in Escherichia coli. Appl. Biochem. Biotechnol. 2013, 170, 67–80. [Google Scholar] [CrossRef] [PubMed]
- Kwong, K.W.; Ng, K.L.; Lam, C.C.; Wang, Y.Y.; Wong, W.K. Authentic human basic fibroblast growth factor produced by secretion in Bacillus subtilis. Appl. Microbiol. Biotechnol. 2013, 97, 6803–6811. [Google Scholar] [CrossRef] [PubMed]
- Barr, P.J.; Cousens, L.S.; Lee-Ng, C.T.; Medina-Selby, A.; Masiarz, F.R.; Hallewell, R.A.; Chamberlain, S.H.; Bradley, J.D.; Lee, D.; Steimer, K.S. Expression and processing of biologically active fibroblast growth factors in the yeast Saccharomyces cerevisiae. J. Biol. Chem. 1988, 263, 16471–16478. [Google Scholar] [PubMed]
- Mu, X.; Kong, N.; Chen, W.; Zhang, T.; Shen, M.; Yan, W. High-level expression, purification, and characterization of recombinant human basic fibroblast growth factor in Pichia pastoris. Protein Express. Purif. 2008, 59, 282–288. [Google Scholar] [CrossRef] [PubMed]
- Wu, X.; Kamei, K.; Sato, H.; Sato, S.I.; Takano, R.; Ichida, M.; Mori, H.; Hara, S. High-level expression of human acidic fibroblast growth factor and basic fibroblast growth factor in silkworm (Bombyx mori L.) using recombinant baculovirus. Protein Expr. Purif. 2001, 21, 192–200. [Google Scholar] [CrossRef] [PubMed]
- Ding, S.H.; Huang, L.Y.; Wang, Y.D.; Sun, H.C.; Xiang, Z.H. High-level expression of basic fibroblast growth factor in transgenic soybean seeds and characterization of its biological activity. Biotechnol. Lett. 2006, 28, 869–875. [Google Scholar] [CrossRef] [PubMed]
- An, N.; Ou, J.; Jiang, D.; Zhang, L.; Liu, J.; Fu, K.; Dai, Y.; Yang, D. Expression of a functional recombinant human basic fibroblast growth factor from transgenic rice seeds. Int. J. Mol. Sci. 2013, 14, 3556–3567. [Google Scholar] [CrossRef] [PubMed]
- Nausch, H.; Huckauf, J.; Koslowski, R.; Meyer, U.; Broer, I.; Mikschofsky, H. Recombinant production of human interleukin 6 in Escherichia coli. PLoS ONE 2013, 8, e54933. [Google Scholar] [CrossRef] [PubMed]
- Ahmad, N.; Mukhtar, Z. Green factories: Plastids for the production of foreign proteins at high levels. Gene Ther. Mol. Biol. 2013, 15, 14–29. [Google Scholar]
- Bock, R. Genetic engineering of the chloroplast: Novel tools and new applications. Curr. Opin. Biotechnol. 2014, 26, 7–13. [Google Scholar] [CrossRef] [PubMed]
- Sood, P.; Bhattacharya, A.; Sood, A. Problems and possibilities of monocot transformation. Biol. Plant. 2011, 55, 1–15. [Google Scholar] [CrossRef]
- Goldstein, D.A. Tempest in a tea pot: How did the public conversation on genetically modified crops drift so far from the facts? J. Med. Toxicol. 2014, 10, 194–201. [Google Scholar] [CrossRef] [PubMed]
- Daniell, H.; Singh, N.D.; Mason, H.; Streatfield, S.J. Plant-made vaccine antigens and biopharmaceuticals. Trends Plant Sci. 2009, 14, 669–679. [Google Scholar] [CrossRef] [PubMed]
- Lössl, A.G.; Waheed, M.T. Chloroplast-derived vaccines against human diseases: Achievements, challenges and scopes. Plant Biotechnol. J. 2011, 9, 527–539. [Google Scholar] [CrossRef] [PubMed]
- Lu, Y.; Rijzaani, H.; Karcher, D.; Ruf, S.; Bock, R. Efficient metabolic pathway engineering in transgenic tobacco and tomato plastids with synthetic multigene operons. Proc. Natl. Acad. Sci. USA 2013, 110, 623–632. [Google Scholar] [CrossRef] [PubMed]
- Wei, Z.; Liu, Y.; Lin, C.; Wang, Y.; Cai, Q.; Dong, Y.; Xing, S. Transformation of alfalfa chloroplasts and expression of green fluorescent protein in a forage crop. Biotechnol. Lett. 2011, 33, 2487–2494. [Google Scholar] [CrossRef] [PubMed]
- Kittiwongwattana, C.; Lutz, K.; Clark, M.; Maliga, P. Plastid marker gene excision by the phiC31 phage site-specific recombinase. Plant Mol. Biol. 2007, 64, 137–143. [Google Scholar] [CrossRef] [PubMed]
- Magee, A.M.; Horvath, E.M.; Kavanagh, T.A. Pre-screening plastid transgene expression in Escherichia coli may be unreliable as a predictor of expression levels in chloroplast-transformed plants. Plant Sci. 2004, 166, 1605–1611. [Google Scholar] [CrossRef]
- He, Y.; Ning, T.; Xie, T.; Qiu, Q.; Zhang, L.; Sun, Y.; Jiang, D.; Fu, K.; Yin, F.; Zhang, W.; et al. Large-scale production of functional human serum albumin from transgenic rice seeds. Proc. Natl. Acad. Sci. USA 2011, 108, 19078–19083. [Google Scholar] [CrossRef] [PubMed]
- Sil, B.; Jha, S. Plants: The future pharmaceutical factory. Am. J. Plant Sci. 2014, 5, 319–327. [Google Scholar] [CrossRef] [Green Version]
- Mikschofsky, H.; Broer, I. Feasibility of Pisum sativum as an expression system for pharmaceuticals. Transgenic Res. 2012, 21, 715–24. [Google Scholar] [CrossRef] [PubMed]
- Drake, M.P.; Vann, M.C.; Fisher, L.R. Influence of nitrogen application rate on the yield, quality, and chemical components of flue-cured tobacco, part II: Application method. Tob. Sci. 2015, 52, 26–34. [Google Scholar] [CrossRef]
- Apel, W.; Schulze, W.X.; Bock, R. Identification of protein stability determinants in chloroplasts. Plant J. 2010, 63, 636–650. [Google Scholar] [CrossRef] [PubMed]
- Zhou, F.; Badillo-Corona, J.A.; Karcher, D.; Gonzalez-Rabade, N.; Piepenburg, K.; Borchers, A.-M.I.; Maloney, A.P.; Kavanagh, T.A.; Gray, J.C.; Bock, R. High-level expression of HIV antigens from the tobacco and tomato plastid genomes. Plant Biotechnol. J. 2008, 6, 897–913. [Google Scholar] [CrossRef] [PubMed]
- Oey, M.; Lohse, M.; Kreikemeyer, B.; Bock, R. Exhaustion of the chloroplast protein synthesis capacity by massive expression of a highly stable protein antibiotic. Plant J. 2009, 57, 436–445. [Google Scholar] [CrossRef] [PubMed]
- Oey, M.; Lohse, M.; Scharff, L.B.; Kreikemeyer, B.; Bock, R. Plastid production of protein antibiotics against pneumonia via a new strategy for high-level expression of antimicrobial proteins. Proc. Natl. Acad. Sci. USA 2009, 106, 6579–6584. [Google Scholar] [CrossRef] [PubMed]
- Kuersten, S.; Goodwin, E.B. The power of the 3’ UTR: Translational control and development. Nat. Rev. Genet. 2003, 4, 626–637. [Google Scholar] [CrossRef] [PubMed]
- Mertens, N.; Remaut, E.; Fiers, W. Increased stability of phage T7g10 mRNA is mediated by either a 5’- or a 3’-terminal stem-loop structure. Biol. Chem. 1996, 377, 811–817. [Google Scholar] [PubMed]
- Tengood, J.E.; Ridenour, R.; Brodsky, R.; Russell, A.J.; Little, S.R. Sequential delivery of basic fibroblast growth factor and platelet-derived growth factor for angiogenesis. Tissue Eng. Part A 2011, 17, 1181–1189. [Google Scholar] [CrossRef] [PubMed]
- Marblestone, J.G.; Edavettal, S.C.; Lim, T.; Lim, P.; Zuo, X.; Butt, T.R. Comparison of SUMO fusion technology with traditional gene fusion systems: Enhanced expression and solubility with SUMO. Protein Sci. 2006, 15, 182–189. [Google Scholar] [CrossRef] [PubMed]
- Wang, Y.P.; Wei, Z.Y.; Zhang, Y.Y.; Lin, C.J.; Zhong, X.F.; Wang, Y.L.; Ma, J.Y.; Ma, J.; Xing, S.C. Chloroplast-expressed MSI-99 in tobacco improves disease resistance and displays inhibitory effect against rice blast fungus. Int. J. Mol. Sci. 2015, 16, 4628–4641. [Google Scholar] [CrossRef] [PubMed]
- Murray, M.G.; Thompson, W.F. Rapid isolation of high molecular weight plant DNA. Nucleic Acids Res. 1980, 8, 4321–4325. [Google Scholar] [CrossRef] [PubMed]
- Wirth, S.; Calamante, G.; Mentaberry, A.; Bussmann, L.; Lattanzi, M.; Barañao, L.; Bravo-Almonacid, F. Expression of active human epidermal growth factor (hEGF) in tobacco plants by integrative and non-integrative systems. Mol. Breed. 2004, 13, 23–35. [Google Scholar] [CrossRef]
© 2015 by the authors; licensee MDPI, Basel, Switzerland. This article is an open access article distributed under the terms and conditions of the Creative Commons by Attribution (CC-BY) license (http://creativecommons.org/licenses/by/4.0/).
Share and Cite
Wang, Y.-P.; Wei, Z.-Y.; Zhong, X.-F.; Lin, C.-J.; Cai, Y.-H.; Ma, J.; Zhang, Y.-Y.; Liu, Y.-Z.; Xing, S.-C. Stable Expression of Basic Fibroblast Growth Factor in Chloroplasts of Tobacco. Int. J. Mol. Sci. 2016, 17, 19. https://doi.org/10.3390/ijms17010019
Wang Y-P, Wei Z-Y, Zhong X-F, Lin C-J, Cai Y-H, Ma J, Zhang Y-Y, Liu Y-Z, Xing S-C. Stable Expression of Basic Fibroblast Growth Factor in Chloroplasts of Tobacco. International Journal of Molecular Sciences. 2016; 17(1):19. https://doi.org/10.3390/ijms17010019
Chicago/Turabian StyleWang, Yun-Peng, Zheng-Yi Wei, Xiao-Fang Zhong, Chun-Jing Lin, Yu-Hong Cai, Jian Ma, Yu-Ying Zhang, Yan-Zhi Liu, and Shao-Chen Xing. 2016. "Stable Expression of Basic Fibroblast Growth Factor in Chloroplasts of Tobacco" International Journal of Molecular Sciences 17, no. 1: 19. https://doi.org/10.3390/ijms17010019
APA StyleWang, Y.-P., Wei, Z.-Y., Zhong, X.-F., Lin, C.-J., Cai, Y.-H., Ma, J., Zhang, Y.-Y., Liu, Y.-Z., & Xing, S.-C. (2016). Stable Expression of Basic Fibroblast Growth Factor in Chloroplasts of Tobacco. International Journal of Molecular Sciences, 17(1), 19. https://doi.org/10.3390/ijms17010019

