Systemic Immune Effects of Titanium Dioxide Nanoparticles after Repeated Intratracheal Instillation in Rat
Abstract
:1. Introduction
2. Results
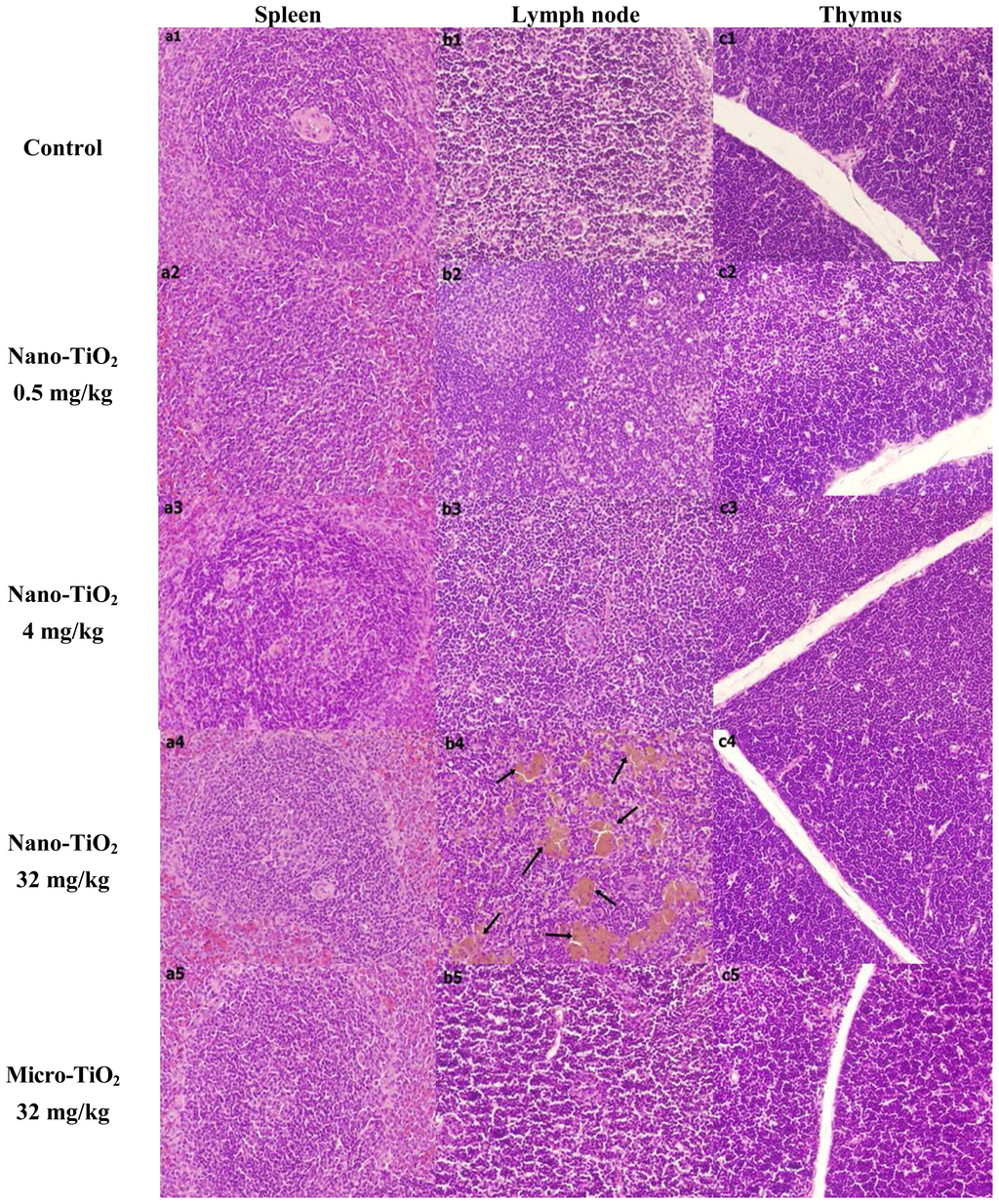
2.1. Histopathological Examination
2.2. Mitogen Stimulated Lymphocyte Proliferation Assay
2.3. Natural Killer (NK) Cell Activity Assay
2.4. Lymphocyte Population of Peripheral Blood
2.5. Cytokine Production in Blood
3. Discussion
4. Experimental Section
4.1. Preparation of Nano-TiO2
4.2. Animals and Treatment
4.3. Histopathological Examination
4.4. Preparation of Spleen-Derived Lymphocyte Populations
4.5. Mitogen Stimulated Lymphocyte Proliferation Assay
4.6. Natural Killer (NK) Cell Activity Assay
4.7. Lymphocyte Population Analyses in Blood
4.8. Cytokines Analyses in Blood
4.9. Statistical Analysis
5. Conclusions
Acknowledgments
- Author ContributionsConception and design: Geyu Liang, Yanyun Fu; Administrative support: Lihong Yin, Yuepu Pu; Animal experiment and data collection: Yanyun Fu, Yanqiu Zhang, Xuhong Chang, Yingjian Zhang, Shumei Ma, Jing Sui; Data analysis and drafting of manuscript: Geyu Liang, Yanyun Fu; Critical revisions/Supervision: Geyu Liang, Yanyun Fu, Lihong Yin, Yuepu Pu.
Conflicts of Interest
References
- Nel, A.; Xia, T.; Madler, L.; Li, N. Toxic potential of materials at the nanolevel. Science 2006, 311, 622–627. [Google Scholar]
- Chen, H.W.; Su, S.F.; Chien, C.T.; Lin, W.H.; Yu, S.L.; Chou, C.C.; Chen, J.J.; Yang, P.C. Titanium dioxide nanoparticles induce emphysema-like lung injury in mice. FASEB J 2006, 20, 2393–2395. [Google Scholar]
- Liu, R.; Yin, L.; Pu, Y.; Liang, G.; Zhang, J.; Su, Y.; Xiao, Z.; Ye, B. Pulmonary toxicity induced by three forms of titanium dioxide nanoparticles via intra-tracheal instillation in rats. Prog. Nat. Sci 2009, 19, 573–579. [Google Scholar]
- Halappanavar, S.; Jackson, P.; Williams, A.; Jensen, K.A.; Hougaard, K.S.; Vogel, U.; Yauk, C.L.; Wallin, H. Pulmonary response to surface-coated nanotitanium dioxide particles includes induction of acute phase response genes, inflammatory cascades, and changes in microRNAs: A toxicogenomic study. Environ. Mol. Mutagen 2011, 52, 425–439. [Google Scholar]
- Cui, Y.; Liu, H.; Ze, Y.; Zengli, Z.; Hu, Y.; Cheng, Z.; Cheng, J.; Hu, R.; Gao, G.; Wang, L.; et al. Gene expression in liver injury caused by long-term exposure to titanium dioxide nanoparticles in mice. Toxicol. Sci 2012, 128, 171–185. [Google Scholar]
- Liu, H.; Ma, L.; Liu, J.; Zhao, J.; Yan, J.; Hong, F. Toxicity of nano-anatase TiO2 to mice: Liver injury, oxidative stress. Toxicol. Environ. Chem 2010, 92, 175–186. [Google Scholar]
- Wang, J.; Zhou, G.; Chen, C.; Yu, H.; Wang, T.; Ma, Y.; Jia, G.; Gao, Y.; Li, B.; Sun, J.; et al. Acute toxicity and biodistribution of different sized titanium dioxide particles in mice after oral administration. Toxicol. Lett 2007, 168, 176–185. [Google Scholar]
- Chen, J.; Dong, X.; Zhao, J.; Tang, G. In vivo acute toxicity of titanium dioxide nanoparticles to mice after intraperitioneal injection. J. Appl. Toxicol 2009, 29, 330–337. [Google Scholar]
- Gui, S.; Zhang, Z.; Zheng, L.; Cui, Y.; Liu, X.; Li, N.; Sang, X.; Sun, Q.; Gao, G.; Cheng, Z.; et al. Molecular mechanism of kidney injury of mice caused by exposure to titanium dioxide nanoparticles. J. Hazard. Mater 2011, 195, 365–370. [Google Scholar]
- Ze, Y.; Hu, R.; Wang, X.; Sang, X.; Ze, X.; Li, B.; Su, J.; Wang, Y.; Guan, N.; Zhao, X.; et al. Neurotoxicity and gene-expressed profile in brain-injured mice caused by exposure to titanium dioxide nanoparticles. J. Biomed. Mater. Res 2014, 102, 470–478. [Google Scholar]
- Park, E.J.; Yi, J.; Chung, K.H.; Ryu, D.Y.; Choi, J.; Park, K. Oxidative stress and apoptosis induced by titanium dioxide nanoparticles in cultured BEAS-2B cells. Toxicol. Lett 2008, 180, 222–229. [Google Scholar]
- Zhao, J.; Bowman, L.; Zhang, X.; Vallyathan, V.; Young, S.H.; Castranova, V.; Ding, M. Titanium dioxide (TiO2) nanoparticles induce JB6 cell apoptosis through activation of the caspase-8/Bid and mitochondrial pathways. J. Toxicol. Environ. Health 2009, 72, 1141–1149. [Google Scholar]
- Wang, J.J.; Sanderson, B.J.; Wang, H. Cyto- and genotoxicity of ultrafine TiO2 particles in cultured human lymphoblastoid cells. Mutat. Res 2007, 628, 99–106. [Google Scholar]
- Li, Y.; Liu, R.; Liang, G.; Pu, Y.; Yin, L. Effect of the transbronnchial intoxication of TiO2 nanoparticles on immune function of pulmonary alveolar macrophages in rat. J. Environ. Occup. Med 2008, 25, 156–158. [Google Scholar]
- Liu, H.; Yang, D.; Zhang, H.; Yang, H.; Zhang, W.; Liu, L.; Lin, Z.; Yan, J.; Lin, B.; Xi, Z. Immunity toxic effects induced by three kinds of nanomaterials in rat. J. Prev. Med. Chin. PLA 2010, 28, 163–166. [Google Scholar]
- Liu, H.; Zhang, H.; Yang, D.; Yang, H.; Lin, Z.; Yan, J.; Lin, B.; Tian, L.; Huang, J.; Xi, Z. The effect of nanoparticles on T-lymphocyte populations of peripheral blood in rat. J. Environ. Occup. Med 2011, 29, 320–323. [Google Scholar]
- Sang, X.; Zheng, L.; Sun, Q.; Li, N.; Cui, Y.; Hu, R.; Gao, G.; Cheng, Z.; Cheng, J.; Gui, S. The chronic spleen injury of mice following long-term exposure to titanium dioxide nanoparticles. J. Biomed. Mater. Res 2012, 100, 894–902. [Google Scholar]
- Li, N.; Duan, Y.; Hong, M.; Zheng, L.; Fei, M.; Zhao, X.; Wang, J.; Cui, Y.; Liu, H.; Cai, J. Spleen injury and apoptotic pathway in mice caused by titanium dioxide nanoparticules. Toxicol. Lett 2010, 195, 161–168. [Google Scholar]
- Liu, R.; Zhang, X.; Pu, Y.; Yin, L.; Li, Y.; Zhang, X.; Liang, G.; Li, X.; Zhang, J. Small-sized titanium dioxide nanoparticles mediate immune toxicity in rat pulmonary alveolar macrophages in vivo. J. Nanosci. Nanotechnol. 2010, 10, 5161–5169. [Google Scholar]
- Van Ravenzwaay, B.; Landsiedel, R.; Fabian, E.; Burkhardt, S.; Strauss, V.; Ma-Hock, L. Comparing fate and effects of three particles of different surface properties: Nano-TiO2, pigmentary TiO2 and quartz. Toxicol. Lett 2009, 186, 152–159. [Google Scholar]
- Ambalavanan, N.; Stanishevsky, A.; Bulger, A.; Halloran, B.; Steele, C.; Vohra, Y.; Matalon, S. Titanium oxide nanoparticle instillation induces inflammation and inhibits lung development in mice. Am. J. Physiol 2013, 304, L152–L161. [Google Scholar]
- Eydner, M.; Schaudien, D.; Creutzenberg, O.; Ernst, H.; Hansen, T.; Baumgärtner, W.; Rittinghausen, S. Impacts after inhalation of nano- and fine-sized titanium dioxide particles: Morphological changes, translocation within the rat lung, and evaluation of particle deposition using the relative deposition index. Inhal. Toxicol 2012, 24, 557–569. [Google Scholar]
- Lee, S.; Kim, M.S.; Lee, D.; Kwon, T.K.; Khang, D.; Yun, H.S.; Kim, S.H. The comparative immunotoxicity of mesoporous silica nanoparticles and colloidal silica nanoparticles in mice. Int. J. Nanomed 2013, 8, 147–158. [Google Scholar]
- Park, E.J.; Yoon, J.; Choi, K.; Yi, J.; Park, K. Induction of chronic inflammation in mice treated with titanium dioxide nanoparticles by intratracheal instillation. Toxicology 2009, 260, 37–46. [Google Scholar]
- Wang, X.; Podila, R.; Shannahan, J.H.; Rao, A.M.; Brown, J.M. Intravenously delivered graphene nanosheets and multiwalled carbon nanotubes induce site-specific Th2 inflammatory responses via the IL-33/ST2 axis. Int. J. Nanomed 2013, 8, 1733–1748. [Google Scholar]
- Gustafsson, A.; Lindstedt, E.; Elfsmark, L.S.; Bucht, A. Lung exposure of titanium dioxide nanoparticles induces innate immune activation and long-lasting lymphocyte response in the Dark Agouti rat. J. Immunotoxicol 2011, 8, 111–121. [Google Scholar]
- Larsen, S.T.; Roursgaard, M.; Jensen, K.A.; Nielsen, G.D. Nano titanium dioxide particles promote allergic sensitization and lung inflammation in mice. Basic Clin. Pharmacol. Toxicol 2010, 106, 114–117. [Google Scholar]
- Chang, X.; Fu, Y.; Zhang, Y.; Tang, M.; Wang, B. Effects of Th1 and Th2 cells balance in pulmonary injury induced by nano titanium dioxide. Environ. Toxicol. Pharmacol 2013, 37, 275–283. [Google Scholar]
- Zárybnická, L.; Vávrová, J.; Havelek, R.; Tichý, A.; Pejchal, J.; Sinkorová, Z. Lymphocyte subsets and their H2AX phosphorylation in response to in vivo irradiation in rats. Int. J. Radiat. Biol 2013, 89, 110–117. [Google Scholar]






| Particle | Nano-TiO2 | Micro-TiO2 |
|---|---|---|
| supplier | Degussa | DK nano |
| size (nm) | 21 nm | 1–2 μm |
| crystalline form | 80% anatase/20% rutile | anatase |
| specific surface area (m2/g) | 50 | 18 |
| purity (%) | >99.5 | >99.9 |
| Z-Average (d.nm) | 195.2 | – |
| PDI * | 0.066 | – |
© 2014 by the authors; licensee MDPI, Basel, Switzerland This article is an open access article distributed under the terms and conditions of the Creative Commons Attribution license (http://creativecommons.org/licenses/by/3.0/).
Share and Cite
Fu, Y.; Zhang, Y.; Chang, X.; Zhang, Y.; Ma, S.; Sui, J.; Yin, L.; Pu, Y.; Liang, G. Systemic Immune Effects of Titanium Dioxide Nanoparticles after Repeated Intratracheal Instillation in Rat. Int. J. Mol. Sci. 2014, 15, 6961-6973. https://doi.org/10.3390/ijms15046961
Fu Y, Zhang Y, Chang X, Zhang Y, Ma S, Sui J, Yin L, Pu Y, Liang G. Systemic Immune Effects of Titanium Dioxide Nanoparticles after Repeated Intratracheal Instillation in Rat. International Journal of Molecular Sciences. 2014; 15(4):6961-6973. https://doi.org/10.3390/ijms15046961
Chicago/Turabian StyleFu, Yanyun, Yanqiu Zhang, Xuhong Chang, Yingjian Zhang, Shumei Ma, Jing Sui, Lihong Yin, Yuepu Pu, and Geyu Liang. 2014. "Systemic Immune Effects of Titanium Dioxide Nanoparticles after Repeated Intratracheal Instillation in Rat" International Journal of Molecular Sciences 15, no. 4: 6961-6973. https://doi.org/10.3390/ijms15046961
APA StyleFu, Y., Zhang, Y., Chang, X., Zhang, Y., Ma, S., Sui, J., Yin, L., Pu, Y., & Liang, G. (2014). Systemic Immune Effects of Titanium Dioxide Nanoparticles after Repeated Intratracheal Instillation in Rat. International Journal of Molecular Sciences, 15(4), 6961-6973. https://doi.org/10.3390/ijms15046961
