Inhibition of Histone Deacetylase by Butyrate Protects Rat Liver from Ischemic Reperfusion Injury
Abstract
:1. Introduction
2. Results and Discussion
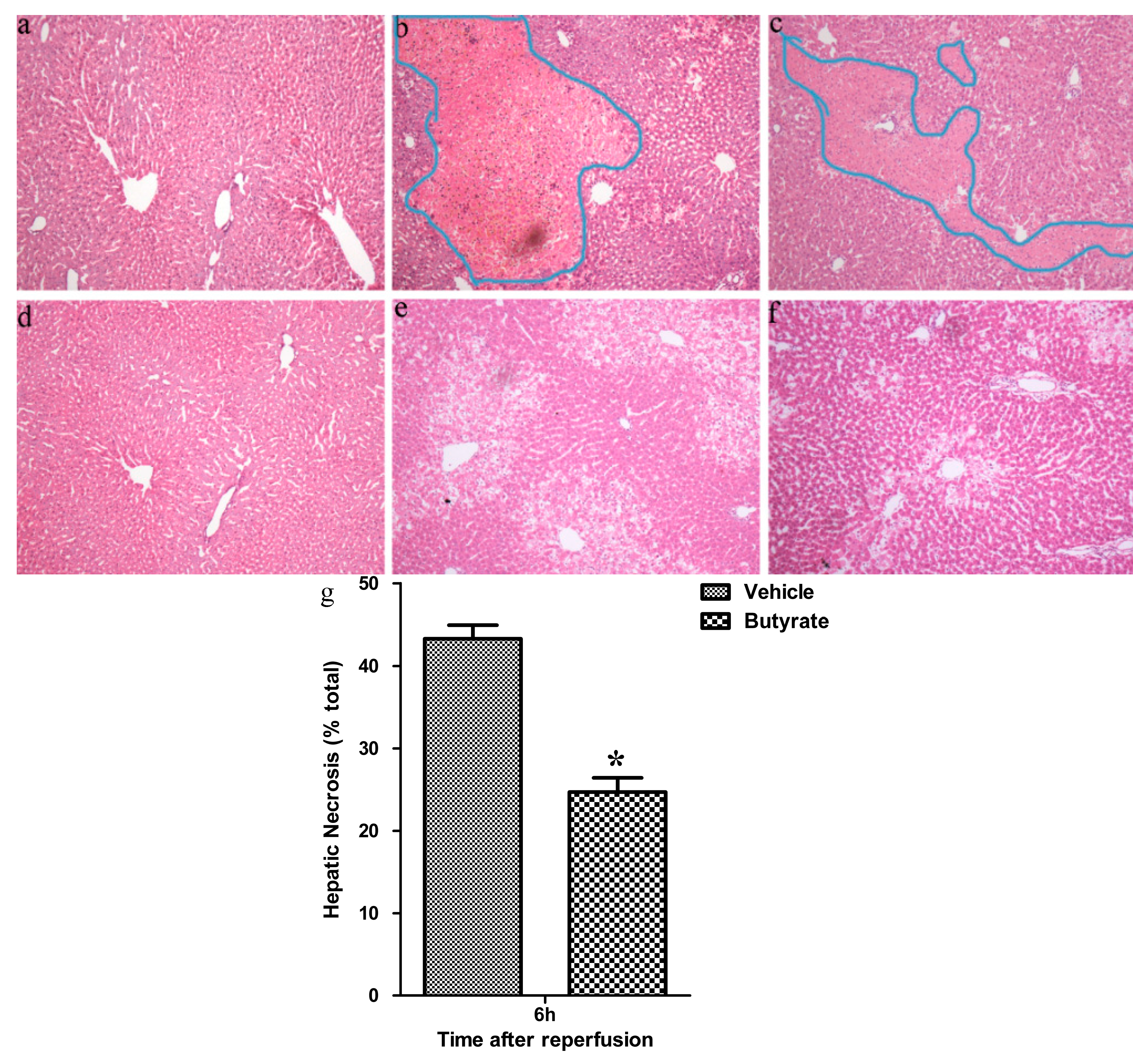
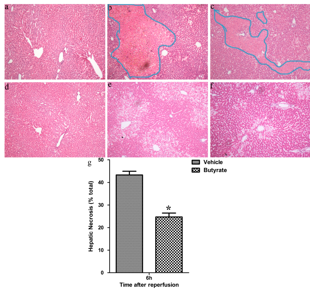
2.1. Butyrate Protects against Liver I/R Injury


2.2. Butyrate Decreases Liver I/R-Induced Inflammatory Cytokine Production and Neutrophil Infiltration

2.3. I/R Led to Reductions in Acetylated Histones
2.4. Butyrate Promoted Histone Acetylation and Hsp70 Expression

2.5. Discussion
3. Experimental Section
3.1. Animals
3.2. The Warm Hepatic I/R Model
3.3. Biochemical Examination
3.4. Histological Analysis
3.5. Western Blot
3.6. Statistical Analysis
4. Conclusions
Acknowledgments
Author Contributions
Conflicts of Interest
References
- Foley, D.P.; Fernandez, L.A.; Leverson, G.; Chin, L.T.; Krieger, N.; Cooper, J.T.; Shames, B.D.; Becker, Y.T.; Odorico, J.S.; Knechtle, S.J.; et al. Donation after cardiac death: The University of Wisconsin experience with liver transplantation. Ann. Surg. 2005, 242, 724–731. [Google Scholar]
- Reich, D.J.; Hong, J.C. Current status of donation after cardiac death liver transplantation. Curr. Opin. Organ Transplant. 2010, 15, 316–321. [Google Scholar]
- Tsung, A.; Sahai, R.; Tanaka, H.; Nakao, A.; Fink, M.P.; Lotze, M.T.; Yang, H.; Li, J.; Tracey, K.J.; Geller, D.A.; et al. The nuclear factor HMGB1 mediates hepatic injury after murine liver ischemia-reperfusion. J. Exp. Med. 2005, 201, 1135–1143. [Google Scholar]
- Wu, C.; Wang, P.; Rao, J.; Wang, Z.; Zhang, C.; Lu, L.; Zhang, F. Triptolide alleviates hepatic ischemia/reperfusion injury by attenuating oxidative stress and inhibiting NF-κB activity in mice. J. Surg. Res. 2011, 166, e205–e213. [Google Scholar]
- Formisano, L.; Noh, K.M.; Miyawaki, T.; Mashiko, T.; Bennett, M.V.; Zukin, R.S. Ischemic insults promote epigenetic reprogramming of mu opioid receptor expression in hippocampal neurons. Proc. Natl. Acad. Sci. USA 2007, 104, 4170–4175. [Google Scholar]
- Mehta, T.K.; Hoque, M.O.; Ugarte, R.; Rahman, M.H.; Kraus, E.; Montgomery, R.; Melancon, K.; Sidransky, D.; Rabb, H. Quantitative detection of promoter hypermethylation as a biomarker of acute kidney injury during transplantation. Transplant. Proc. 2006, 38, 3420–3426. [Google Scholar]
- Granger, A.; Abdullah, I.; Huebner, F.; Stout, A.; Wang, T.; Huebner, T.; Epstein, J.A.; Gruber, P.J. Histone deacetylase inhibition reduces myocardial ischemia-reperfusion injury in mice. FASEB J. 2008, 22, 3549–3560. [Google Scholar]
- Heightman, T.D. Therapeutic prospects for epigenetic modulation. Expert Opin. Ther. Targets 2011, 15, 729–740. [Google Scholar]
- Halili, M.A.; Andrews, M.R.; Sweet, M.J.; Fairlie, D.P. Histone deacetylase inhibitors in inflammatory disease. Curr. Top. Med. Chem. 2009, 9, 309–319. [Google Scholar]
- Cook, S.I.; Sellin, J.H. Review article: Short chain fatty acids in health and disease. Aliment. Pharmacol. Ther. 1998, 12, 499–507. [Google Scholar]
- Canani, R.B.; Costanzo, M.D.; Leone, L.; Pedata, M.; Meli, R.; Calignano, A. Potential beneficial effects of butyrate in intestinal and extraintestinal diseases. World J. Gastroenterol. 2011, 17, 1519–1528. [Google Scholar]
- Qiao, Y.L.; Qian, J.M.; Wang, F.R.; Ma, Z.Y.; Wang, Q.W. Butyrate protects liver against ischemia reperfusion injury by inhibiting nuclear factor κB activation in Kupffer cells. J. Surg. Res. 2014, 187, 653–659. [Google Scholar]
- Liu, B.; Qian, J.; Wang, Q.; Wang, F.; Ma, Z.; Qiao, Y. Butyrate protects rat liver against total hepatic ischemia reperfusion injury with bowel congestion. PLoS One 2014, 9, e106184. [Google Scholar]
- Kim, H.J.; Rowe, M.; Ren, M.; Hong, J.S.; Chen, P.S.; Chuang, D.M. Histone deacetylase inhibitors exhibit anti-inflammatory and neuroprotective effects in a rat permanent ischemic model of stroke: Multiple mechanisms of action. J. Pharmacol. Exp. Ther. 2007, 321, 892–901. [Google Scholar]
- Ma, Z.Y.; Qian, J.M.; Rui, X.H.; Wang, F.R.; Wang, Q.W.; Cui, Y.Y.; Peng, Z.H. Inhibition of matrix metalloproteinase-9 attenuates acute small-for-size liver graft injury in rats. Am. J. Transplant. 2010, 10, 784–795. [Google Scholar]
- Kuboki, S.; Schuster, R.; Blanchard, J.; Pritts, T.A.; Wong, H.R.; Lentsch, A.B. Role of heat shock protein 70 in hepatic ischemia-reperfusion injury in mice. Am. J. Physiol. Gastrointest. Liver Physiol. 2007, 292, G1141–G1149. [Google Scholar]
- Ren, M.; Leng, Y.; Jeong, M.; Leeds, P.R.; Chuang, D.M. Valproic acid reduces brain damage induced by transient focal cerebral ischemia in rats: Potential roles of histone deacetylase inhibition and heat shock protein induction. J. Neurochem. 2004, 89, 1358–1367. [Google Scholar]
- Chen, T.; Sun, H.; Lu, J.; Zhao, Y.; Tao, D.; Li, X.; Huang, B. Histone acetylation is involved in hsp70 gene transcription regulation in Drosophila melanogaster. Arch. Biochem. Biophys. 2002, 408, 171–176. [Google Scholar]
- Kamo, N.; Ke, B.; Ghaffari, A.A.; Shen, X.D.; Busuttil, R.W.; Cheng, G.; Kupiec-Weglinski, J.W. ASC/caspase-1/IL-1β signaling triggers inflammatory responses by promoting HMGB1 induction in liver ischemia/reperfusion injury. Hepatology 2013, 58, 351–362. [Google Scholar]
- Yang, X.J.; Seto, E. HATs and HDACs: From structure, function and regulation to novel strategies for therapy and prevention. Oncogene 2007, 26, 5310–5318. [Google Scholar]
- Cheung, P.; Allis, C.D.; Sassone-Corsi, P. Signaling to chromatin through histone modifications. Cell 2000, 103, 263–271. [Google Scholar]
- Marks, P.; Rifkind, R.A.; Richon, V.M.; Breslow, R.; Miller, T.; Kelly, W.K. Histone deacetylases and cancer: Causes and therapies. Nat. Rev. Cancer 2001, 1, 194–202. [Google Scholar]
- Evankovich, J.; Cho, S.W.; Zhang, R.; Cardinal, J.; Dhupar, R.; Zhang, L.; Klune, J.R.; Zlotnicki, J.; Billiar, T.; Tsung, A. High mobility group box 1 release from hepatocytes during ischemia and reperfusion injury is mediated by decreased histone deacetylase activity. J. Biol. Chem. 2010, 285, 39888–39897. [Google Scholar]
- Lv, L.; Sun, Y.; Han, X.; Xu, C.C.; Tang, Y.P.; Dong, Q. Valproic acid improves outcome after rodent spinal cord injury: Potential roles of histone deacetylase inhibition. Brain Res. 2011, 1396, 60–68. [Google Scholar]
- Zhao, Y.; Sun, H.; Lu, J.; Li, X.; Chen, X.; Tao, D.; Huang, W.; Huang, B. Lifespan extension and elevated hsp gene expression in Drosophila caused by histone deacetylase inhibitors. J. Exp. Biol. 2005, 208, 697–705. [Google Scholar]
- Ovakim, D.H.; Heikkila, J.J. Effect of histone deacetylase inhibitors on heat shock protein gene expression during Xenopus development. Genesis 2003, 36, 88–96. [Google Scholar]
© 2014 by the authors; licensee MDPI, Basel, Switzerland. This article is an open access article distributed under the terms and conditions of the Creative Commons Attribution license (http://creativecommons.org/licenses/by/4.0/).
Share and Cite
Sun, J.; Wu, Q.; Sun, H.; Qiao, Y. Inhibition of Histone Deacetylase by Butyrate Protects Rat Liver from Ischemic Reperfusion Injury. Int. J. Mol. Sci. 2014, 15, 21069-21079. https://doi.org/10.3390/ijms151121069
Sun J, Wu Q, Sun H, Qiao Y. Inhibition of Histone Deacetylase by Butyrate Protects Rat Liver from Ischemic Reperfusion Injury. International Journal of Molecular Sciences. 2014; 15(11):21069-21079. https://doi.org/10.3390/ijms151121069
Chicago/Turabian StyleSun, Jie, Qiujv Wu, Huiling Sun, and Yingli Qiao. 2014. "Inhibition of Histone Deacetylase by Butyrate Protects Rat Liver from Ischemic Reperfusion Injury" International Journal of Molecular Sciences 15, no. 11: 21069-21079. https://doi.org/10.3390/ijms151121069
APA StyleSun, J., Wu, Q., Sun, H., & Qiao, Y. (2014). Inhibition of Histone Deacetylase by Butyrate Protects Rat Liver from Ischemic Reperfusion Injury. International Journal of Molecular Sciences, 15(11), 21069-21079. https://doi.org/10.3390/ijms151121069
