Magnetic Iron Oxide Nanoparticles for Multimodal Imaging and Therapy of Cancer
Abstract
:1. Introduction
2. Synthesis of Iron Oxide Nanoparticles
3. Imaging Techniques
4. Multimodal Strategies for Cancer Theranostics
4.1. MRI/Optical Imaging
4.2. MRI/CT Imaging
4.3. MRI/PET Imaging
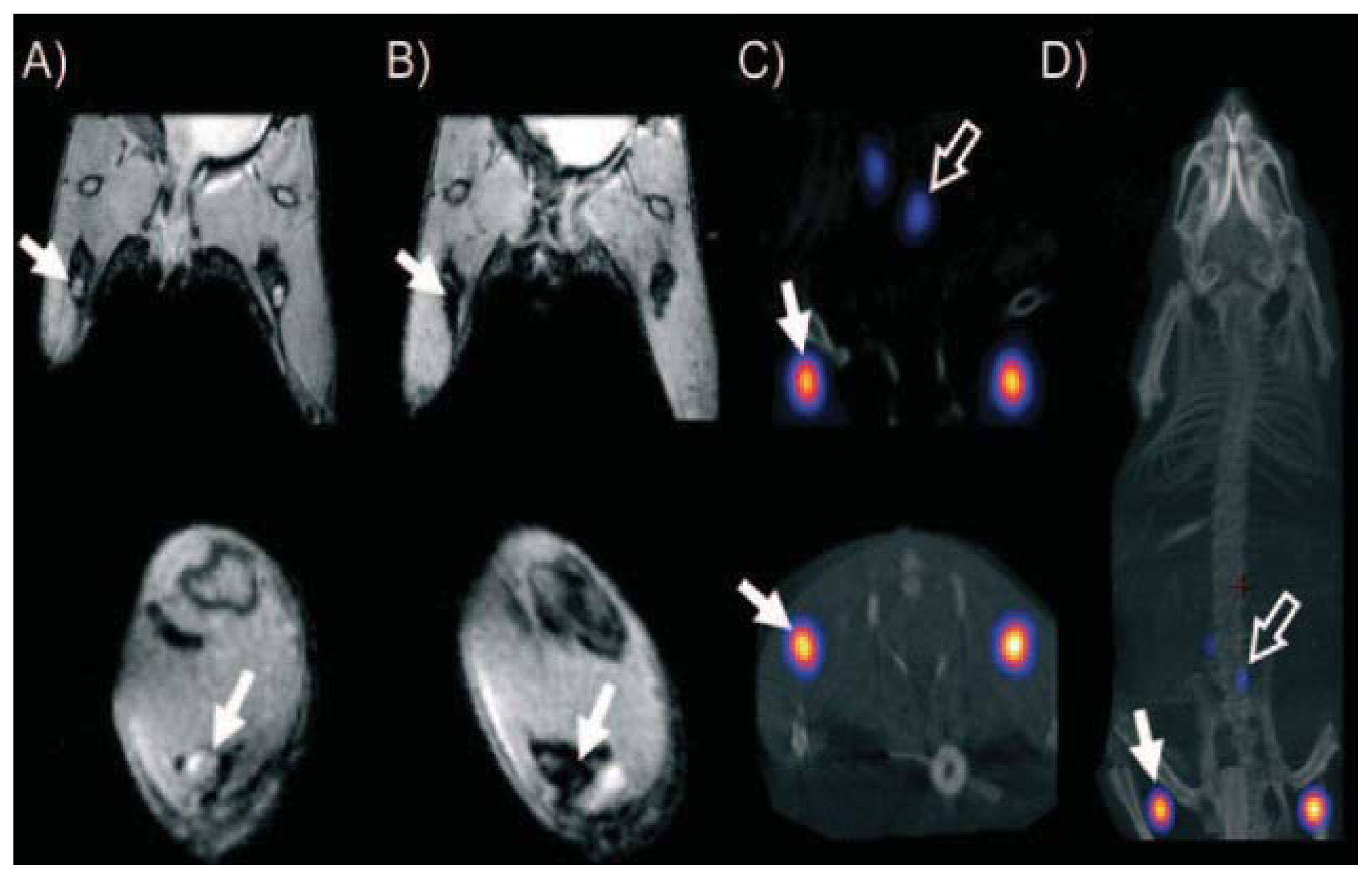
4.4. MRI/SPECT Imaging
5. Multifunctional Magnetic Nanoparticle for Cancer Theranostics
5.1. Drug Delivery
5.2. Gene Delivery
5.3. Hyperthermia
6. Conclusions
Acknowledgments
Conflict of Interest
References
- Na, H.B.; Song, I.C.; Hyeon, T. Inorganic nanoparticles for mri contrast agents. Adv. Mater 2009, 21, 2133–2148. [Google Scholar]
- Willmann, J.K.; van Bruggen, N.; Dinkelborg, L.M.; Gambhir, S.S. Molecular imaging in drug development. Nat. Rev. Drug Discov 2008, 7, 591–607. [Google Scholar]
- Kirui, D.K.; Khalidov, I.; Wang, Y.; Batt, C.A. Targeted near-ir hybrid magnetic nanoparticles for in vivo cancer therapy and imaging. Nanomed. Nanotechnol. Biol. Med 2012, 9, 702–711. [Google Scholar]
- Misri, R.; Meier, D.; Yung, A.C.; Kozlowski, P.; Hafeli, U.O. Development and evaluation of a dual-modality (mri/spect) molecular imaging bioprobe. Nanomed. Nanotechnol. Biol. Med 2012, 8, 1007–1016. [Google Scholar]
- Torres Martin de Rosales, R.; Tavare, R.; Glaria, A.; Varma, G.; Protti, A.; Blower, P.J. ((9)(9)m)tc-bisphosphonate-iron oxide nanoparticle conjugates for dual-modality biomedical imaging. Bioconjugate Chem. 2011, 22, 455–465. [Google Scholar]
- Jennings, L.E.; Long, N.J. ‘Two is better than one’ —Probes for dual-modality molecular imaging. Chem. Commun. (Camb.) 2009, 3511–3524. [Google Scholar]
- Heidt, T.; Nahrendorf, M. Multimodal iron oxide nanoparticles for hybrid biomedical imaging. NMR Biomed 2012, 26, 756–765. [Google Scholar]
- Yoo, D.; Lee, J.-H.; Shin, T.-H.; Cheon, J. Theranostic magnetic nanoparticles. Acc. Chem. Res 2011, 44, 863–874. [Google Scholar]
- Rosen, J.E.; Chan, L.; Shieh, D.B.; Gu, F.X. Iron oxide nanoparticles for targeted cancer imaging and diagnostics. Nanomed. Nanotechnol. Biol. Med 2012, 8, 275–290. [Google Scholar]
- Gu, F.X.; Karnik, R.; Wang, A.Z.; Alexis, F.; Levy-Nissenbaum, E.; Hong, S.; Langer, R.S.; Farokhzad, O.C. Targeted nanoparticles for cancer therapy. Nano Today 2007, 2, 14–21. [Google Scholar]
- Yu, M.K.; Park, J.; Jon, S. Targeting strategies for multifunctional nanoparticles in cancer imaging and therapy. Theranostics 2012, 2, 3–44. [Google Scholar]
- Nurunnabi, M.; Khatun, Z.; Moon, W.C.; Lee, G.; Lee, Y.K. Heparin based nanoparticles for cancer targeting and noninvasive imaging. Quant. Imaging Med. Surg 2012, 2, 219–226. [Google Scholar]
- Cai, W.; Chen, X. Nanoplatforms for targeted molecular imaging in living subjects. Small 2007, 3, 1840–1854. [Google Scholar]
- Yoo, M.K.; Kim, I.Y.; Kim, E.M.; Jeong, H.J.; Lee, C.M.; Jeong, Y.Y.; Akaike, T.; Cho, C.S. Superparamagnetic iron oxide nanoparticles coated with galactose-carrying polymer for hepatocyte targeting. J. Biomed. Biotechnol 2007, 2007, 94740. [Google Scholar]
- Thorek, D.L.; Chen, A.K.; Czupryna, J.; Tsourkas, A. Superparamagnetic iron oxide nanoparticle probes for molecular imaging. Ann. Biomed. Eng 2006, 34, 23–38. [Google Scholar]
- Jun, Y.W.; Lee, J.H.; Cheon, J. Chemical design of nanoparticle probes for high-performance magnetic resonance imaging. Angew. Chem. Int. Ed. Engl 2008, 47, 5122–5135. [Google Scholar]
- Lee, G.Y.; Qian, W.P.; Wang, L.; Wang, Y.A.; Staley, C.A.; Satpathy, M.; Nie, S.; Mao, H.; Yang, L. Theranostic nanoparticles with controlled release of gemcitabine for targeted therapy and mri of pancreatic cancer. ACS Nano 2013, 7, 2078–2089. [Google Scholar]
- Lamanna, G.; Kueny-Stotz, M.; Mamlouk-Chaouachi, H.; Ghobril, C.; Basly, B.; Bertin, A.; Miladi, I.; Billotey, C.; Pourroy, G.; Begin-Colin, S.; et al. Dendronized iron oxide nanoparticles for multimodal imaging. Biomaterials 2011, 32, 8562–8573. [Google Scholar]
- Lee, D.E.; Koo, H.; Sun, I.C.; Ryu, J.H.; Kim, K.; Kwon, I.C. Multifunctional nanoparticles for multimodal imaging and theragnosis. Chem. Soc. Rev 2012, 41, 2656–2672. [Google Scholar]
- Wang, Y.-X.; Hussain, S.; Krestin, G. Superparamagnetic iron oxide contrast agents: Physicochemical characteristics and applications in mr imaging. Eur. Radiol 2001, 11, 2319–2331. [Google Scholar]
- Liu, G.; Gao, J.; Ai, H.; Chen, X. Applications and potential toxicity of magnetic iron oxide nanoparticles. Small 2013, 9, 1533–1545. [Google Scholar]
- Zeng, L.; Ren, W.; Zheng, J.; Cui, P.; Wu, A. Ultrasmall water-soluble metal-iron oxide nanoparticles as t1-weighted contrast agents for magnetic resonance imaging. Phys. Chem. Chem. Phys 2012, 14, 2631–2636. [Google Scholar]
- Kumar, K.; Nightingale, A.M.; Krishnadasan, S.H.; Kamaly, N.; Wylenzinska-Arridge, M.; Zeissler, K.; Branford, W.R.; Ware, E.; deMello, A.J.; deMello, J.C. Direct synthesis of dextran-coated superparamagnetic iron oxide nanoparticles in a capillary-based droplet reactor. J. Mater. Chem 2012, 22, 4704. [Google Scholar]
- Osborne, E.A.; Atkins, T.M.; Gilbert, D.A.; Kauzlarich, S.M.; Liu, K.; Louie, A.Y. Rapid microwave-assisted synthesis of dextran-coated iron oxide nanoparticles for magnetic resonance imaging. Nanotechnology 2012, 23, 215602. [Google Scholar]
- Belaid, S.; Laurent, S.; Vermeech, M.; Elst, L.V.; Perez-Morga, D.; Muller, R.N. A new approach to follow the formation of iron oxide nanoparticles synthesized by thermal decomposition. Nanotechnology 2013, 24, 055705. [Google Scholar]
- Ling, D.; Hyeon, T. Chemical design of biocompatible iron oxide nanoparticles for medical applications. Small 2013, 9, 1450–1466. [Google Scholar]
- Gupta, A.K.; Gupta, M. Synthesis and surface engineering of iron oxide nanoparticles for biomedical applications. Biomaterials 2005, 26, 3995–4021. [Google Scholar]
- O’Farrell, A.; Shnyder, S.; Marston, G.; Coletta, P.; Gill, J. Non-invasive molecular imaging for preclinical cancer therapeutic development. Br. J. Pharmacol 2013, 169, 719–735. [Google Scholar] [Green Version]
- Hendee, W.R.; M.C. Magnetic resonance imaging. Part1-physical principles. West J. Med 1984, 141, 491–500. [Google Scholar]
- Ntziachristos, V.; Bremer, C.; Weissleder, R. Fluorescence imaging with near-infrared light: New technological advances that enable in vivo molecular imaging. Eur. Radiol 2003, 13, 195–208. [Google Scholar]
- Pierce, M.C.; Javier, D.J.; Richards-Kortum, R. Optical contrast agents and imaging systems for detection and diagnosis of cancer. Int. J. Cancer 2008, 123, 1979–1990. [Google Scholar]
- Shah, K.; Weissleder, R. Molecular optical imaging: Applications leading to the development of present day therapeutics. Neurotherapeutics 2005, 2, 215–225. [Google Scholar]
- Wang, H. Agents that induce pseudo-allergic reaction. Drug Discov. Ther 2011, 5, 211–219. [Google Scholar]
- Goldman, L.W. Principles of ct and ct technology. J. Nuclear Med. Technol 2007, 35, 115–128, ; quiz 129–130.. [Google Scholar]
- Hasebroock, K.M.; Serkova, N.J. Toxicity of mri and ct contrast agents. Expert Opin. Drug Metabol. Toxicol 2009, 5, 403–416. [Google Scholar]
- Giljohann, D.A.; Seferos, D.S.; Daniel, W.L.; Massich, M.D.; Patel, P.C.; Mirkin, C.A. Gold nanoparticles for biology and medicine. Angew. Chem. Int. Ed. Engl 2010, 49, 3280–3294. [Google Scholar]
- Cassidy, P.J.; Radda, G.K. Molecular imaging perspectives. J. R. Soc. Interface R. Soc 2005, 2, 133–144. [Google Scholar]
- Nahrendorf, M.; Zhang, H.; Hembrador, S.; Panizzi, P.; Sosnovik, D.E.; Aikawa, E.; Libby, P.; Swirski, F.K.; Weissleder, R. Nanoparticle pet-ct imaging of macrophages in inflammatory atherosclerosis. Circulation 2008, 117, 379–387. [Google Scholar]
- Sosnovik, D.E.; Nahrendorf, M.; Weissleder, R. Molecular magnetic resonance imaging in cardiovascular medicine. Circulation 2007, 115, 2076–2086. [Google Scholar]
- Park, J.H.; von Maltzahn, G.; Ruoslahti, E.; Bhatia, S.N.; Sailor, M.J. Micellar hybrid nanoparticles for simultaneous magnetofluorescent imaging and drug delivery. Angew. Chem. Int. Ed. Engl 2008, 47, 7284–7288. [Google Scholar]
- Josephson, L.; Kircher, M.F.; Mahmood, U.; Tang, Y.; Weissleder, R. Near-infrared fluorescent nanoparticles as combined mr/optical imaging probes. Bioconjugate Chem 2002, 13, 554–560. [Google Scholar]
- Cha, E.J.; Jang, E.S.; Sun, I.C.; Lee, I.J.; Ko, J.H.; Kim, Y.I.; Kwon, I.C.; Kim, K.; Ahn, C.H. Development of mri/nirf ‘activatable’ multimodal imaging probe based on iron oxide nanoparticles. J. Control. Release 2011, 155, 152–158. [Google Scholar]
- He, X.; Gao, J.; Gambhir, S.S.; Cheng, Z. Near-infrared fluorescent nanoprobes for cancer molecular imaging: Status and challenges. Trends Mol. Med 2010, 16, 574–583. [Google Scholar]
- Lee, H.; Yu, M.K.; Park, S.; Moon, S.; Min, J.J.; Jeong, Y.Y.; Kang, H.-W.; Jon, S. Thermally cross-linked superparamagnetic iron oxide nanoparticles: Synthesis and application as a dual imaging probe for cancer in vivo. J. Am. Chem. Soc 2007, 129, 12739–12745. [Google Scholar]
- Medarova, Z.; Pham, W.; Kim, Y.; Dai, G.; Moore, A. In vivo imaging of tumor response to therapy using a dual-modality imaging strategy. Int. J. Cancer 2006, 118, 2796–2802. [Google Scholar]
- Moore, A.; Medarova, Z.; Potthast, A.; Dai, G. In vivo targeting of underglycosylated muc-1 tumor antigen using a multimodal imaging probe. Cancer Res 2004, 64, 1821–1827. [Google Scholar]
- Wang, Y.X. Superparamagnetic iron oxide based mri contrast agents: Current status of clinical application. Quant. Imag. Med. Surg 2011, 1, 35–40. [Google Scholar]
- Kim, D.-K.; Kim, J.-W.; Jeong, Y.-Y.; Jon, S.-Y. Antibiofouling polymer coated gold@iron oxide nanoparticle (gion) as a dual contrast agent for ct and mri. Bull. Korean Chem. Soc 2009, 30, 1855–1857. [Google Scholar]
- Kim, D.; Yu, M.K.; Lee, T.S.; Park, J.J.; Jeong, Y.Y.; Jon, S. Amphiphilic polymer-coated hybrid nanoparticles as ct/mri dual contrast agents. Nanotechnology 2011, 22, 155101. [Google Scholar]
- Cherry, S.R. Multimodality imaging: Beyond pet/ct and spect/ct. Semin. Nuclear Med 2009, 39, 348–353. [Google Scholar]
- Yang, X.; Hong, H.; Grailer, J.J.; Rowland, I.J.; Javadi, A.; Hurley, S.A.; Xiao, Y.; Yang, Y.; Zhang, Y.; Nickles, R.J.; et al. Crgd-functionalized, dox-conjugated, and (6)(4)cu-labeled superparamagnetic iron oxide nanoparticles for targeted anticancer drug delivery and pet/mr imaging. Biomaterials 2011, 32, 4151–4160. [Google Scholar]
- Lee, H.Y.; Li, Z.; Chen, K.; Hsu, A.R.; Xu, C.; Xie, J.; Sun, S.; Chen, X. Pet/mri dual-modality tumor imaging using arginine-glycine-aspartic (rgd)-conjugated radiolabeled iron oxide nanoparticles. J. Nuclear Med 2008, 49, 1371–1379. [Google Scholar]
- Torres Martin de Rosales, R.; Tavare, R.; Paul, R.L.; Jauregui-Osoro, M.; Protti, A.; Glaria, A.; Varma, G.; Szanda, I.; Blower, P.J. Synthesis of 64cu(ii)-bis(dithiocarbamatebisphosphonate) and its conjugation with superparamagnetic iron oxide nanoparticles: In vivo evaluation as dual-modality pet-mri agent. Angew. Chem. Int. Ed. Engl 2011, 50, 5509–5513. [Google Scholar]
- Rimkus, G.; Gruttner, C.; Bremer-Streck, S.; Herrmann, K.H.; Krumbein, I.; Reichenbach, J.R.; Foerster, M.; Kaiser, W.A.; Hilger, I. Mvcam-1 specific iron oxide nanoparticles based probes for multimodal imaging purposes. Biomed. Technik. Biomed. Eng. 2012. [Google Scholar] [CrossRef]
- Madru, R.; Kjellman, P.; Olsson, F.; Wingardh, K.; Ingvar, C.; Stahlberg, F.; Olsrud, J.; Latt, J.; Fredriksson, S.; Knutsson, L.; et al. 99mtc-labeled superparamagnetic iron oxide nanoparticles for multimodality spect/mri of sentinel lymph nodes. J. Nuclear Med 2012, 53, 459–463. [Google Scholar]
- Santra, S.; Kaittanis, C.; Grimm, J.; Perez, J.M. Drug/dye-loaded, multifunctional iron oxide nanoparticles for combined targeted cancer therapy and dual optical/magnetic resonance imaging. Small 2009, 5, 1862–1868. [Google Scholar]
- Drake, P.; Cho, H.-J.; Shih, P.-S.; Kao, C.-H.; Lee, K.-F.; Kuo, C.-H.; Lin, X.-Z.; Lin, Y.-J. Gd-doped iron-oxide nanoparticles for tumour therapy via magnetic field hyperthermia. J. Mater. Chem 2007, 17, 4914. [Google Scholar]
- Silva, A.C.; Oliveira, T.R.; Mamani, J.B.; Malheiros, S.M.; Malavolta, L.; Pavon, L.F.; Sibov, T.T.; Amaro, E., Jr; Tannus, A.; Vidoto, E.L.; et al. Application of hyperthermia induced by superparamagnetic iron oxide nanoparticles in glioma treatment. Int. J. Nanomed. 2011, 6, 591–603. [Google Scholar]
- Zhao, Q.; Wang, L.; Cheng, R.; Mao, L.; Arnold, R.D.; Howerth, E.W.; Chen, Z.G.; Platt, S. Magnetic nanoparticle-based hyperthermia for head & neck cancer in mouse models. Theranostics 2012, 2, 113–121. [Google Scholar]
- Laurent, S.; Dutz, S.; Hafeli, U.O.; Mahmoudi, M. Magnetic fluid hyperthermia: Focus on superparamagnetic iron oxide nanoparticles. Adv. Colloid Interface Sci 2011, 166, 8–23. [Google Scholar]
- Lee, J.H.; Lee, K.; Moon, S.H.; Lee, Y.; Park, T.G.; Cheon, J. All-in-one target-cell-specific magnetic nanoparticles for simultaneous molecular imaging and sirna delivery. Angew. Chem. Int. Ed. Engl 2009, 48, 4174–4179. [Google Scholar]
- Quan, Q.; Xie, J.; Gao, H.; Yang, M.; Zhang, F.; Liu, G.; Lin, X.; Wang, A.; Eden, H.S.; Lee, S.; et al. Hsa coated iron oxide nanoparticles as drug delivery vehicles for cancer therapy. Mol. Pharm 2011, 8, 1669–1676. [Google Scholar]
- Yu, M.K.; Jeong, Y.Y.; Park, J.; Park, S.; Kim, J.W.; Min, J.J.; Kim, K.; Jon, S. Drug-loaded superparamagnetic iron oxide nanoparticles for combined cancer imaging and therapy in vivo. Angew. Chem. Int. Ed. Engl 2008, 47, 5362–5365. [Google Scholar]
- Xie, J.; Chen, K.; Huang, J.; Lee, S.; Wang, J.; Gao, J.; Li, X.; Chen, X. Pet/nirf/mri triple functional iron oxide nanoparticles. Biomaterials 2010, 31, 3016–3022. [Google Scholar]
- Dey, S.; Maiti, T.K. Superparamagnetic nanoparticles and rnai-mediated gene silencing: Evolving class of cancer diagnostics and therapeutics. J. Nanomater 2012, 2012, 1–15. [Google Scholar]
- Lim, J.; Clements, M.A.; Dobson, J. Delivery of short interfering ribonucleic acid-complexed magnetic nanoparticles in an oscillating field occurs via caveolae-mediated endocytosis. PLoS One 2012, 7. [Google Scholar] [CrossRef]
- Dobson, J. Gene therapy progress and prospects: Magnetic nanoparticle-based gene delivery. Gene Ther 2006, 13, 283–287. [Google Scholar]
- Waerzeggers, Y.; Monfared, P.; Viel, T.; Winkeler, A.; Voges, J.; Jacobs, A.H. Methods to monitor gene therapy with molecular imaging. Methods 2009, 48, 146–160. [Google Scholar]
- Chen, Y.; Wang, W.; Lian, G.; Qian, C.; Wang, L.; Zeng, L.; Liao, C.; Liang, B.; Huang, B.; Huang, K.; et al. Development of an mri-visible nonviral vector for sirna delivery targeting gastric cancer. Int. J. Nanomed 2012, 7, 359–368. [Google Scholar]
- Hoskins, C.; Min, Y.; Gueorguieva, M.; McDougall, C.; Volovick, A.; Prentice, P.; Wang, Z.; Melzer, A.; Cuschieri, A.; Wang, L. Hybrid gold-iron oxide nanoparticles as a multifunctional platform for biomedical application. J. Nanobiotechnol 2012, 10, 27. [Google Scholar]







| Method | Parameters | Reaction temperature (°C) | Reaction time | Solvent | Size (nm) | Yield |
|---|---|---|---|---|---|---|
| Thermal decomposition | Nitrogen atmosphere, reflux condition | 100–320 | Slow | Water | 1.5–8 | High |
| Co-precipitation | Ambient condition | 20–90 | Fast | Organic | 2–15 | High |
| Microemulsion | Ambient condition | 20–50 | Fast | Organic | 2–12 | Low |
| Modality | Advantages | Disadvantages |
|---|---|---|
| MRI | High spatial resolution | Low sensitivity |
| Good soft tissue contrast | Relatively long acquisition time | |
| Provides both anatomical and functional information | Requires expensive equipment | |
| PET | Provides biochemical information | Limited anatomical information |
| High sensitivity | Requires specialized equipment | |
| Three-dimensional imaging | Requires radio-nucleotide facilities | |
| Can monitor changes in tumour metabolism and drug biodistribution | Requires expensive equipment | |
| SPECT | Potential to detect multiple probes simultaneously in contrast to PET | Lower sensitivity than PET |
| Lower resolution | ||
| CT | High-sensitivity anatomical imaging | Limited functional information |
| Provides three-dimensional image | Poor soft tissue contrast | |
| Requires expensive equipment | ||
| Optical (BLI and fluorescent) | Wide applicability | Requires genetic manipulation of investigated cells |
| Simultaneously monitor several molecular events | Provides limited anatomical information | |
| Relatively inexpensive | ||
| Amenable to smaller research laboratories | Reduced sensitivity with increased imaging depth |
| Imaging modality | Types of nanoparticle | Pros | Cons | References |
|---|---|---|---|---|
| MRI/Optical | Cy5.5-SPIONCy5.5-CLIO-EPPT | Good anatomical detailing, and functional detailing of molecular event | Passive targeting | [44,45,54] |
| MRI/CT | GION, Hybrid Gold SPION | Good anatomical detailing | Poor functional imaging capability No tumor targeting | [48,49] |
| MRI/PET | 64Cu -crude-SPION, 64Cu -PASP-IO | High sensitivity | Different dosage of PET and MRI agents. | [51–53] |
| MRI/SPECT | 111 In -Bam-IO,99mTc-PEG-IO,99mTc-DPA-SPION | High sensitivity and functional information | - | [4,5,55] |
© 2013 by the authors; licensee MDPI, Basel, Switzerland This article is an open access article distributed under the terms and conditions of the Creative Commons Attribution license (http://creativecommons.org/licenses/by/3.0/).
Share and Cite
Thomas, R.; Park, I.-K.; Jeong, Y.Y. Magnetic Iron Oxide Nanoparticles for Multimodal Imaging and Therapy of Cancer. Int. J. Mol. Sci. 2013, 14, 15910-15930. https://doi.org/10.3390/ijms140815910
Thomas R, Park I-K, Jeong YY. Magnetic Iron Oxide Nanoparticles for Multimodal Imaging and Therapy of Cancer. International Journal of Molecular Sciences. 2013; 14(8):15910-15930. https://doi.org/10.3390/ijms140815910
Chicago/Turabian StyleThomas, Reju, In-Kyu Park, and Yong Yeon Jeong. 2013. "Magnetic Iron Oxide Nanoparticles for Multimodal Imaging and Therapy of Cancer" International Journal of Molecular Sciences 14, no. 8: 15910-15930. https://doi.org/10.3390/ijms140815910
APA StyleThomas, R., Park, I.-K., & Jeong, Y. Y. (2013). Magnetic Iron Oxide Nanoparticles for Multimodal Imaging and Therapy of Cancer. International Journal of Molecular Sciences, 14(8), 15910-15930. https://doi.org/10.3390/ijms140815910
