Identification of O-glycosylated Proteins That Are Aberrantly Excreted in the Urine of Patients with Early Stage Ovarian Cancer
Abstract
:1. Introduction
2. Results
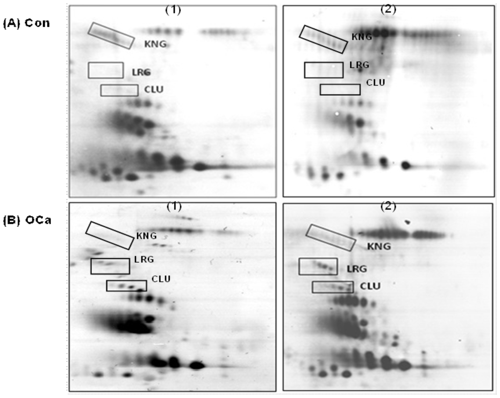
2.1. Image Analysis of O-glycosylated Protein Profiles
2.2. Competitive ELISA
3. Discussion
4. Experimental Section
4.1. Urine Samples and Processing
4.2. Isolation of CGB Lectin
4.3. Two-Dimensional Electrophoresis
4.4. Western Blotting and Lectin Detection
4.5. Image Analysis
4.6. MALDI-ToF Mass Spectrometry
4.7. Competitive ELISA
5. Conclusions
Acknowledgments
Conflict of Interest
References
- Lukanova, A.; Kaaks, R. Endogenous hormones and ovarian cancer: Epidemiology and current hypotheses. Cancer Epidemiol. Biomark. Prev 2005, 14, 98–107. [Google Scholar]
- Havrilesky, L.J.; Sanders, G.D.; Kulasingam, S.; Myers, E.R. Reducing ovarian cancer mortality through screening: Is it possible, and can we afford it? Gynecol. Oncol 2008, 111, 179–187. [Google Scholar]
- Menon, U. Ovarian cancer screening. Can. Med. Assoc. J 2004, 171, 323–324. [Google Scholar]
- Gupta, D.; Lis, C.G. Role of CA-125 in predicting ovarian cancer survival–A review of the epidemiology literature. J. Ovarian Res. 2009, 2. [Google Scholar] [CrossRef]
- Abdul-Rahman, P.S.; Lim, B.K.; Hashim, O.H. Expression of high abundance proteins in sera of patients with endometrial and cervical cancers: Analysis using 2-DE with silver staining and lectin detection methods. Electrophoresis 2007, 28, 1989–1996. [Google Scholar]
- Jayapalan, J.J.; Ng, K.L.; Razack, A.H.A.; Hashim, O.H. Identification of potential complementary serum biomarkers to differentiate prostate cancer from benign prostatic hyperplasia using gel- and lectin-based proteomics analyses. Electrophoresis 2012, 33, 1855–1862. [Google Scholar] [Green Version]
- Mu, A.K.W.; Lim, B.K.; Hashim, O.H.; Shuib, A.S. Detection of differential levels of proteins in the urine of patients with endometrial cancer: Analysis using two-dimensional gel electrophoresis and O-glycan binding lectin. Int. J. Mol. Sci 2012, 13, 9489–9501. [Google Scholar]
- Hashim, O.H.; Gendeh, G.S.; Nik Jaafar, M.I. Comparative analyses of IgA1 binding lectins from seeds of six distinct clones of Artocarpus integer. Biochem. Mol. Biol. Int 1993, 29, 69–76. [Google Scholar]
- Rahman, M.A.; Karsani, S.A.; Othman, I.; Rahman, P.S.A.; Hashim, O.H. Galactose binding lectin from the seeds of champedak (Artocarpus integer): Sequences of its subunits and interactions with human serum O-glycosylated glycoproteins. Biochem. Biophys. Res. Commun 2002, 295, 1007–1013. [Google Scholar]
- Chen, Y.; Lim, B.K.; Peh, S.C.; Abdul-Rahman, P.S.; Hashim, O.H. Profiling of serum and tissue high abundance acute-phase proteins of patients with epithelial and germ line ovarian carcinoma. Proteome Sci. 2008, 6. [Google Scholar] [CrossRef]
- Boylan, K.L.M.; Andersen, J.D.; Andersen, L.B.; Higgins, L.A.; Skubitz, A.P.N. Quantitative proteomic analysis by iTRAQ for the identification of candidate biomarkers in ovarian cancer serum. Proteome Sci. 2010, 8. [Google Scholar] [CrossRef]
- Andersen, J.D.; Boylan, K.L.M.; Jemmerson, R.; Geller, M.A.; Misemer, B.; Harrington, K.M.; Weivoda, S.; Witthuhn, B.A.; Argenta, P.; Vogel, R.I.; et al. Leucine-rich alpha-2-glycoprotein-1 is upregulated in sera and tumors of ovarian cancer patients. J. Ovarian Res. 2010, 3. [Google Scholar] [CrossRef]
- Rizzi, F.; Bettuzzi, S. Clusterin (CLU) and prostate cancer. Adv. Cancer Res 2009, 105, 1–19. [Google Scholar]
- Doustjalali, S.R.; Yusof, R.; Yip, C.H.; Looi, L.M.; Pillay, B.; Hashim, O.H. Aberrant expression of acute-phase reactant proteins in sera and breast lesions from patients with malignant and benign breast tumours. Electrophoresis 2004, 25, 2392–2401. [Google Scholar]
- Shannan, B.; Seifert, M.; Boothman, D.A.; Tilgen, W.; Reichrath, J. Clusterin and DNA repair: A new function in cancer for a key player in apoptosis and cell cycle control. J. Mol. Histol 2006, 37, 183–188. [Google Scholar]
- Takagaki, Y.; Kitamura, N.; Nakanishi, S. Cloning and sequence analysis of cDNAs for human high molecular weight and low molecular weight prekininogens. Primary structures of two human prekininogens. J. Biol. Chem 1985, 260, 8601–8609. [Google Scholar]
- Liu, Y.; Cao, D.J.; Sainz, I.M.; Guo, Y.L.; Colman, R.W. The inhibitory effect of HKa in endothelial cell tube formation is mediated by disrupting the uPAuPAR complex and inhibiting its signalling and internalization. Am. J. Physiol. Cell Physiol 2008, 295, 257–267. [Google Scholar]
- Roeise, O.; Sivertsen, S.; Ruud, T.E.; Bouma, B.N.; Stadaas, J.O.; Aasen, A.O. Studies on components of the contact phase system in patients with advanced gastrointestinal cancer. Cancer 1990, 65, 1355–1359. [Google Scholar]
- Abdullah-Soheimi, S.S.; Lim, B.K.; Hashim, O.H.; Shuib, A.S. Patients with ovarian carcinoma excrete different altered levels of urine CD59, kininogen-1 and fragments of inter-alpha-trypsin inhibitor heavy chain H4 and albumin. Proteome Sci. 2010, 8. [Google Scholar] [CrossRef]
- Benjamini, Y.; Hochberg, Y. Controlling the false discovery rate: A practical and powerful approach to multiple testing. J. R. Stat. Soc. B 1995, 57, 331–341. [Google Scholar]
- Shevchenko, A.; Wilm, M.; Vorm, O.; Mann, M. Mass spectrometric sequencing of proteins silver-stained polyacrylamide gels. Anal. Chem 1996, 68, 850–858. [Google Scholar]
- Seriramalu, R.; Pang, W.W.; Jayapalan, J.J.; Mohamed, E.; Abdul-Rahman, P.S.; Hashim, O.H. Application of champedak mannose-binding lectin in the glycoproteomic profiling of serum samples unmasks reduced expression of alpha-2 macroglobulin and complement factor B in patients with nasopharyngeal carcinoma. Electrophoresis 2010, 31, 2388–2395. [Google Scholar]
- Delahunty, C.; Yates, J.R. Protein identification using 2D-LC-MS/MS. Methods 2005, 35, 209–210. [Google Scholar]
- Reddington, J.J.; Reddington, G.M.; MacLachlan, N.J. A competitive ELISA for detection of antibodies to the group antigen of bluetongue virus. J. Vet. Diagn. Invest 1991, 3, 144–147. [Google Scholar]


| Protein entry name | Protein name | Accession number # | Nominal mass (kDa)/pI | MOWSE protein score | Sequence coverage (%) |
|---|---|---|---|---|---|
| LRG | Leucine-rich alpha-2-glycoprotein | P02750 | 38/6.45 | 149 | 10 |
| § CLU | Clusterin | P10909 | 52/5.89 | 25 | 11 |
| O-Glycosylated protein | Mean %vol ± SEM | p | Fold changes | |
|---|---|---|---|---|
| Control | OCa | |||
| LRG | 0.120 ± 0.077 | 2.06 ± 0.298 | 0.000004 | +17.17 |
| CLU | 0.105 ± 0.080 | 1.821 ± 0.356 | 0.0001 | +17.34 |
| KNG | 10.135 ± 2.163 | 1.638 ± 0.505 | 0.004 | −6.19 |
| OCa patient | Stage | Age | Late menopause | Previous pregnancy | Early puberty | Blood creatinine |
|---|---|---|---|---|---|---|
| 1 | I | 48 | No | Yes | No | Normal |
| 2 | I | 56 | No | Yes | No | Normal |
| 3 | I | 62 | No | Yes | No | Normal |
| 4 | I | 70 | No | Yes | No | Normal |
| 5 | I | 81 | No | Yes | No | Normal |
| 6 | II | 46 | No | Yes | No | Normal |
| 7 | II | 54 | No | Yes | No | Normal |
| 8 | II | 68 | No | Yes | No | Normal |
| 9 | II | 47 | No | Yes | No | Normal |
© 2013 by the authors; licensee MDPI, Basel, Switzerland This article is an open access article distributed under the terms and conditions of the Creative Commons Attribution license (http://creativecommons.org/licenses/by/3.0/).
Share and Cite
Mu, A.K.-W.; Lim, B.-K.; Hashim, O.H.; Shuib, A.S. Identification of O-glycosylated Proteins That Are Aberrantly Excreted in the Urine of Patients with Early Stage Ovarian Cancer. Int. J. Mol. Sci. 2013, 14, 7923-7931. https://doi.org/10.3390/ijms14047923
Mu AK-W, Lim B-K, Hashim OH, Shuib AS. Identification of O-glycosylated Proteins That Are Aberrantly Excreted in the Urine of Patients with Early Stage Ovarian Cancer. International Journal of Molecular Sciences. 2013; 14(4):7923-7931. https://doi.org/10.3390/ijms14047923
Chicago/Turabian StyleMu, Alan Kang-Wai, Boon-Kiong Lim, Onn Haji Hashim, and Adawiyah Suriza Shuib. 2013. "Identification of O-glycosylated Proteins That Are Aberrantly Excreted in the Urine of Patients with Early Stage Ovarian Cancer" International Journal of Molecular Sciences 14, no. 4: 7923-7931. https://doi.org/10.3390/ijms14047923
APA StyleMu, A. K.-W., Lim, B.-K., Hashim, O. H., & Shuib, A. S. (2013). Identification of O-glycosylated Proteins That Are Aberrantly Excreted in the Urine of Patients with Early Stage Ovarian Cancer. International Journal of Molecular Sciences, 14(4), 7923-7931. https://doi.org/10.3390/ijms14047923
