Enhancement of Physicochemical and Functional Properties of Chicken Breast Protein Through Polyphenol Conjugation: A Novel Ingredient for Protein Supplements
Abstract
1. Introduction
2. Results and Discussion
2.1. Confirmation and Characterization of Protein–Polyphenol Conjugate
2.1.1. Sulfhydryl Content and Turbidity
2.1.2. Zeta-Potential
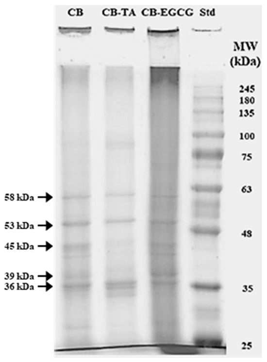
2.1.3. Protein SDS-PAGE
2.1.4. FTIR
2.2. Technological Properties
2.2.1. WHC and OAC
2.2.2. Emulsifying Capacity (EAI and ESI)
2.2.3. Color Characteristic
2.3. Functional Properties
2.3.1. Antioxidant Capacity
2.3.2. In Vitro Digestibility
3. Materials and Methods
3.1. Preparation of Chicken Breast Protein-Polyphenol Conjugates
3.2. Confirmation and Characterization of Chicken Breast Protein–Polyphenol Conjugates
3.2.1. Determination of Sulfhydryl Groups
3.2.2. Turbidity Measurement
3.2.3. Zeta Potential
3.2.4. Sodium Dodecyl Sulfate–Polyacrylamide Gel Electrophoresis (SDS-PAGE)
3.2.5. Fourier Transform Infrared Spectroscopy (FTIR)
3.3. Color Characteristics of Chicken Breast Protein-Polyphenol Conjugates
3.4. Technological Properties of Chicken Breast Protein–Polyphenol Conjugates
3.4.1. Water-Holding Capacity (WHC) and Oil Absorption Capacity (OAC)
3.4.2. Emulsifying Properties
3.5. Antioxidant Properties of Chicken Breast Protein–Polyphenol Conjugates
3.5.1. 1,1-Diphenyl-2-Picrylhydrazyl (DPPH) Radical Scavenging Activity
3.5.2. Ferric-Reducing Antioxidant Power (FRAP)
3.6. In Vitro Digestibility Assessment
3.7. Statistical Analysis
4. Conclusions
Author Contributions
Funding
Institutional Review Board Statement
Informed Consent Statement
Data Availability Statement
Conflicts of Interest
References
- Samal, J.R.K.; Samal, I.R. Protein Supplements: Pros and Cons. J. Diet. Suppl. 2017, 14, 365–371. [Google Scholar] [CrossRef] [PubMed]
- Chapman, I.; Oberoi, A.; Giezenaar, C.; Soenen, S. Rational Use of Protein Supplements in the Elderly—Relevance of Gastrointestinal Mechanisms. Nutrients 2021, 13, 1227. [Google Scholar] [CrossRef] [PubMed]
- Fortune Business Insights. Protein Supplements Market Size, Share, Growth. Available online: https://www.fortunebusinessinsights.com/protein-supplements-market-106511 (accessed on 7 October 2024).
- Godfray, H.C.J.; Aveyard, P.; Garnett, T.; Hall, J.W.; Key, T.J.; Lorimer, J.; Pierrehumbert, R.T.; Scarborough, P.; Springmann, M.; Jebb, S.A. Meat consumption, health, and the environment. Science 2018, 361, eaam5324. [Google Scholar] [CrossRef]
- Font-i-Furnols, M. Meat Consumption, Sustainability and Alternatives: An Overview of Motives and Barriers. Foods 2023, 12, 2144. [Google Scholar] [CrossRef]
- Lee, S.; Jo, K.; Jeong, H.G.; Jeong, S.K.; Park, J.I.; Yong, H.I.; Choi, Y.S.; Jung, S. Higher Protein Digestibility of Chicken Thigh than Breast Muscle in an In Vitro Elderly Digestion Model. Food Sci. Anim. Resour. 2023, 43, 305–318. [Google Scholar] [CrossRef] [PubMed]
- Lee, K.H.; Ra, S.J.; Kang, S.G.; Moon, J.Y.; Lee, H.J. Development of elderly diet food using chicken breast meat. Korean J. Food Nutr. 2016, 29, 37–42. [Google Scholar] [CrossRef][Green Version]
- Ramanan, M.; Sinha, S.; Sudarshan, K.; Aidhen, I.S.; Doble, M. Inhibition of the Enzymes in the Leukotriene and Prostaglandin Pathways in Inflammation by 3-Aryl Isocoumarins. Eur. J. Med. Chem. 2016, 124, 428–434. [Google Scholar] [CrossRef]
- Guo, A.; Xiong, Y.L. Myoprotein–Phytophenol Interaction: Implications for Muscle Food Structure-Forming Properties. Compr. Rev. Food Sci. Food Saf. 2021, 20, 2801–2824. [Google Scholar] [CrossRef] [PubMed]
- Quan, T.H.; Benjakul, S.; Sae-leaw, T.; Balange, A.K.; Maqsood, S. Protein–Polyphenol Conjugates: Antioxidant Property, Functionalities, and Their Applications. Trends Food Sci. Technol. 2019, 91, 507–517. [Google Scholar] [CrossRef]
- Dufour, C.; Loonis, M.; Delosière, M.; Buffière, C.; Hafnaoui, N.; Santé-Lhoutellier, V.; Rémond, D. The Matrix of Fruit & Vegetables Modulates the Gastrointestinal Bioaccessibility of Polyphenols and Their Impact on Dietary Protein Digestibility. Food Chem. 2018, 240, 314–322. [Google Scholar] [PubMed]
- Xu, Y.; Han, M.; Huang, M.; Xu, X. Enhanced heat stability and antioxidant activity of myofibrillar protein-dextran conjugate by the covalent adduction of polyphenols. Food Chem. 2021, 352, 129376. [Google Scholar] [CrossRef] [PubMed]
- Xu, Y.; Li, Y.; Huang, M.; Xu, L.; Xu, X.; Zhou, G. Role of polyphenols conjugation to glycated myofibrillar protein in manipulating the emulsifying behaviors of flaxseed oil emulsion. LWT 2024, 201, 116284. [Google Scholar] [CrossRef]
- Tan, C.; Xu, Q.D.; Chen, N.; He, Q.; Sun, Q.; Zeng, W.C. Cross-linking effects of EGCG on myofibrillar protein from common carp (Cyprinus carpio) and the action mechanism. J. Food Biochem. 2022, 46, e14416. [Google Scholar] [CrossRef] [PubMed]
- Ozdal, T.; Capanoglu, E.; Altay, F. A review on protein–phenolic interactions and associated changes. Food Res. Int. 2013, 51, 954–970. [Google Scholar] [CrossRef]
- Tantra, R.; Schulze, P.; Quincey, P. Effect of nanoparticle concentration on zeta-potential measurement results and reproducibility. Particuology 2010, 8, 279–285. [Google Scholar] [CrossRef]
- Kamble, S.; Agrawal, S.; Cherumukkil, S.; Sharma, V.; Jasra, R.V.; Munshi, P. Revisiting zeta potential, the key feature of interfacial phenomena, with applications and recent advancements. ChemistrySelect 2022, 7, e202103084. [Google Scholar] [CrossRef]
- Gerzhova, A.; Mondor, M.; Benali, M.; Aider, M. Study of total dry matter and protein extraction from canola meal as affected by the pH, salt addition and use of zeta-potential/turbidimetry analysis to optimize the extraction conditions. Food Chem. 2016, 201, 243–252. [Google Scholar] [CrossRef]
- Shahidi, F.; Dissanayaka, C.S. Phenolic-protein interactions: Insight from in-silico analyses—A review. Food Prod. Process. Nutr. 2023, 5, 2. [Google Scholar] [CrossRef]
- Huang, Y.; Zhang, X.; Suo, H. Interaction between β-lactoglobulin and EGCG under high-pressure by molecular dynamics simulation. PLoS ONE 2021, 16, e0255866. [Google Scholar] [CrossRef]
- Mudalal, S.; Babini, E.; Cavani, C.; Petracci, M. Quantity and functionality of protein fractions in chicken breast fillets affected by white striping. Poult. Sci. 2014, 93, 2108–2116. [Google Scholar] [CrossRef]
- Ali, S.; Zhang, W.; Rajput, N.; Khan, M.A.; Li, C.B.; Zhou, G.H. Effect of multiple freeze-thaw cycles on the quality of chicken breast meat. Food Chem. 2015, 173, 808–814. [Google Scholar] [CrossRef]
- Yee, N.; Benning, L.G.; Phoenix, V.R.; Ferris, F.G. Characterization of metal–cyanobacteria sorption reactions: A combined macroscopic and infrared spectroscopic investigation. Environ. Sci. Technol. 2004, 38, 775–782. [Google Scholar] [CrossRef]
- Jia, Z.; Zheng, M.; Tao, F.; Chen, W.; Huang, G.; Jiang, J. Effect of covalent modification by (−)-epigallocatechin-3-gallate on physicochemical and functional properties of whey protein isolate. LWT Food Sci. Technol. 2016, 66, 305–310. [Google Scholar] [CrossRef]
- Carton, I.; Bocker, U.; Ofstad, R.; Sørheim, O.; Kohler, A. Monitoring secondary structural changes in salted and smoked salmon muscle myofiber proteins by FT-IR microspectroscopy. J. Agric. Food Chem. 2009, 57, 3563–3570. [Google Scholar] [CrossRef]
- Li, M.; Ritzoulis, C.; Du, Q.; Liu, Y.; Ding, Y.; Liu, W.; Liu, J. Recent progress on protein-polyphenol complexes: Effect on stability and nutrients delivery of oil-in-water emulsion system. Front. Nutr. 2021, 8, 765589. [Google Scholar] [CrossRef] [PubMed]
- Park, E.; Shin, M.; Lee, H. Surface modification and medical formulation technology using adhesion of plant tannic Acid. J. Adhes. Interface 2019, 20, 71–75. [Google Scholar]
- Chen, Y.; Hu, J.; Yi, X.; Ding, B.; Sun, W.; Yan, F.; Li, Z. Interactions and emulsifying properties of ovalbumin with tannic acid. LWT 2018, 95, 282–288. [Google Scholar] [CrossRef]
- Liu, F.; Ma, C.; Gao, Y.; McClements, D.J. Food-grade covalent complexes and their application as nutraceutical delivery systems: A review. Compr. Rev. Food Sci. Food Saf. 2017, 16, 76–95. [Google Scholar] [CrossRef]
- Fan, Y.; Liu, Y.; Gao, L.; Zhang, Y.; Yi, J. Oxidative stability and in vitro digestion of menhaden oil emulsions with whey protein: Effects of EGCG conjugation and interfacial cross-linking. Food Chem. 2018, 265, 200–207. [Google Scholar] [CrossRef]
- Feng, Y.; Jin, C.; Lv, S.; Zhang, H.; Ren, F.; Wang, J. Molecular mechanisms and applications of polyphenol-protein complexes with antioxidant properties: A review. Antioxidants 2023, 12, 1577. [Google Scholar] [CrossRef] [PubMed]
- Li, J.; Shi, W.; Sun, Y.; Qin, Z.; Zheng, S.; Liang, S.; Zhang, H. Fabrication, characterization, and oxidation resistance of gelatin/egg white protein cryogel-templated oleogels through apple polyphenol crosslinking. Int. J. Biol. Macromol. 2024, 277, 134077. [Google Scholar] [CrossRef] [PubMed]
- Chen, C.; Yang, H.; Yang, X.; Ma, Q. Tannic acid: A crosslinker leading to versatile functional polymeric networks: A review. RSC Adv. 2022, 12, 7689–7711. [Google Scholar] [CrossRef]
- Zhong, Y.; Ma, C.M.; Shahidi, F. Antioxidant and antiviral activities of lipophilic epigallocatechin gallate (EGCG) derivatives. J. Funct. Foods 2012, 4, 87–93. [Google Scholar] [CrossRef]
- Belščak-Cvitanović, A.; Durgo, K.; Huđek, A.; Bačun-Družina, V.; Komes, D. Overview of polyphenols and their properties. In Polyphenols: Properties, Recovery, and Applications; Woodhead Publishing: Sawston, CA, USA, 2018; pp. 3–44. [Google Scholar]
- Wang, Y.; Deng, N.; Wen, S.; Wang, X.; Huang, X.; Xia, A. The mechanism study of enhanced antioxidant capacity: Intermolecular hydrogen bonds between epigallocatechin gallate and theanine in tea. LWT 2023, 189, 115523. [Google Scholar] [CrossRef]
- Feng, J.; Cai, H.; Wang, H.; Li, C.; Liu, S. Improved oxidative stability of fish oil emulsion by grafted ovalbumin-catechin conjugates. Food Chem. 2018, 241, 60–69. [Google Scholar] [CrossRef] [PubMed]
- Wen, W.; Li, S.; Wang, J. The effects of tea polyphenol on chicken protein digestion and the mechanism under thermal processing. Foods 2023, 12, 2905. [Google Scholar] [CrossRef] [PubMed]
- Stojadinovic, M.; Radosavljevic, J.; Ognjenovic, J.; Vesic, J.; Prodic, I.; Stanic-Vucinic, D.; Velickovic, T.C. Binding affinity between dietary polyphenols and β-lactoglobulin negatively correlates with the protein susceptibility to digestion and total antioxidant activity of complexes formed. Food Chem. 2013, 136, 1263–1271. [Google Scholar] [CrossRef] [PubMed]
- Jiang, L.; Liu, Y.; Li, L.; Qi, B.; Ju, M.; Xu, Y.; Sui, X. Covalent conjugates of anthocyanins to soy protein: Unravelling their structure features and in vitro gastrointestinal digestion fate. Food Res. Int. 2019, 120, 603–609. [Google Scholar] [CrossRef]
- Pomsang, P.; Phumsombat, P.; Borompichaichartkul, C. Characterisation of Chicken Breast and Soy Proteins Glycated with Konjac Glucomannan Hydrolysate. Int. J. Food Sci. Technol. 2024, 59, 8917–8925. [Google Scholar] [CrossRef]
- Han, L.; Peng, X.; Cheng, Y.; Zhu, Y.; Huang, Y.; Zhang, S.; Qi, B. Effects of Catechin Types Found in Tea Polyphenols on the Structural and Functional Properties of Soybean Protein Isolate–Catechin Covalent Complexes. LWT 2023, 173, 114336. [Google Scholar] [CrossRef]
- Fu, J.J.; Sun, C.; Xu, X.B.; Zhou, D.Y.; Song, L.; Zhu, B.W. Improving the functional properties of bovine serum albumin-glucose conjugates in natural deep eutectic solvents. Food Chem. 2020, 328, 127122. [Google Scholar] [CrossRef] [PubMed]
- Wang, J.S.; Wang, A.B.; Zang, X.P.; Tan, L.; Xu, B.Y.; Chen, H.H.; Ma, W.H. Physicochemical, functional and emulsion properties of edible protein from avocado (Persea americana Mill.) oil processing by-products. Food Chem. 2019, 288, 146–153. [Google Scholar] [CrossRef] [PubMed]
- Laemmli, U.K. Cleavage of structural proteins during the assembly of the head of bacteriophage T4. Nature 1970, 227, 680–685. [Google Scholar] [CrossRef] [PubMed]
- King, D.A.; Hunt, M.C.; Barbut, S.; Claus, J.R.; Cornforth, D.P.; Joseph, P.; Kim, Y.H.; Lindahl, G.; Mancini, R.A.; Nair, M.N.; et al. American Meat Science Association Guidelines for Meat Color Measurement. Meat Muscle Biol. 2023, 6, 1–81. [Google Scholar] [CrossRef]
- Zhu, K.; Kanu, P.J.; Claver, I.P.; Zhu, K.; Qian, H.; Zhou, H. A Method for Evaluating Hunter Whiteness of Mixed Powders. Adv. Powder Technol. 2009, 20, 123–126. [Google Scholar] [CrossRef]
- He, Z.; Chen, J.; Moser, S.E.; Jones, O.G.; Ferruzzi, M.G. Interaction of β-casein with (−)-epigallocatechin-3-gallate assayed by fluorescence quenching: Effect of thermal processing temperature. Int. J. Food Sci. Technol. 2016, 51, 342–348. [Google Scholar] [CrossRef]
- Acosta-Domínguez, L.; Cocotle-Ronzón, Y.; Alamilla-Beltrán, L.; Hernandez-Martinez, E. Effect of a cryogenic treatment in the microstructure, functional and flow properties of soy protein isolate. Food Hydrocoll. 2021, 119, 106871. [Google Scholar] [CrossRef]
- Chen, N.; Yang, H.; Sun, Y.; Niu, J.; Liu, S. Purification and identification of antioxidant peptides from walnut (Juglans regia L.) protein hydrolysates. Peptides 2012, 38, 344–349. [Google Scholar] [CrossRef] [PubMed]
- Othman, A.; Ismail, A.; Ghani, N.A.; Adenan, I. Antioxidant capacity and phenolic content of cocoa beans. Food Chem. 2007, 100, 1523–1530. [Google Scholar] [CrossRef]
- Bornhorst, G.M.; Paul Singh, R. Gastric digestion in vivo and in vitro: How the structural aspects of food influence the digestion process. Annu. Rev. Food Sci. Technol. 2014, 5, 111–132. [Google Scholar] [CrossRef]






| Trait | CB | CB-TA | CB-EGCG | Significance of p Value |
|---|---|---|---|---|
| CIE L* (lightness) | 85.80 ± 0.23 a | 84.50 ± 0.08 b | 81.55 ± 0.07 c | <0.001 |
| CIE a* (redness) | 2.67 ± 0.02 a | 2.25 ± 0.02 c | 2.40 ± 0.01 b | <0.001 |
| CIE b* (yellowness) | 22.30 ± 0.08 b | 21.22 ± 0.01 c | 25.03 ± 0.02 a | <0.001 |
| Chroma | 23.45 ± 0.08 b | 21.34 ± 0.01 c | 25.14 ± 0.02 a | <0.001 |
| Hue angle | 83.47 ± 0.06 b | 83.95 ± 0.05 b | 84.52 ± 0.03 a | <0.001 |
| Whiteness index | 72.59 ± 0.18 a | 73.63 ± 0.04 a | 68.81 ± 0.03 b | <0.001 |
| CB | CB-TA | CB-EGCG | Significance of p Value |
|---|---|---|---|
| 56.77 ± 0.06 | 56.27 ± 2.37 | 57.37 ± 2.07 | 0.771 |
Disclaimer/Publisher’s Note: The statements, opinions and data contained in all publications are solely those of the individual author(s) and contributor(s) and not of MDPI and/or the editor(s). MDPI and/or the editor(s) disclaim responsibility for any injury to people or property resulting from any ideas, methods, instructions or products referred to in the content. |
© 2025 by the authors. Licensee MDPI, Basel, Switzerland. This article is an open access article distributed under the terms and conditions of the Creative Commons Attribution (CC BY) license (https://creativecommons.org/licenses/by/4.0/).
Share and Cite
Son, W.-Y.; Hwang, J.; Park, J.-H.; Kim, J.-H.; Ahmad, R.; Kim, K.-S.; Kim, H.-W. Enhancement of Physicochemical and Functional Properties of Chicken Breast Protein Through Polyphenol Conjugation: A Novel Ingredient for Protein Supplements. Molecules 2025, 30, 448. https://doi.org/10.3390/molecules30030448
Son W-Y, Hwang J, Park J-H, Kim J-H, Ahmad R, Kim K-S, Kim H-W. Enhancement of Physicochemical and Functional Properties of Chicken Breast Protein Through Polyphenol Conjugation: A Novel Ingredient for Protein Supplements. Molecules. 2025; 30(3):448. https://doi.org/10.3390/molecules30030448
Chicago/Turabian StyleSon, Woo-Young, Jun Hwang, Ju-Hyo Park, Ji-Han Kim, Raise Ahmad, Kyeong-Soo Kim, and Hyun-Wook Kim. 2025. "Enhancement of Physicochemical and Functional Properties of Chicken Breast Protein Through Polyphenol Conjugation: A Novel Ingredient for Protein Supplements" Molecules 30, no. 3: 448. https://doi.org/10.3390/molecules30030448
APA StyleSon, W.-Y., Hwang, J., Park, J.-H., Kim, J.-H., Ahmad, R., Kim, K.-S., & Kim, H.-W. (2025). Enhancement of Physicochemical and Functional Properties of Chicken Breast Protein Through Polyphenol Conjugation: A Novel Ingredient for Protein Supplements. Molecules, 30(3), 448. https://doi.org/10.3390/molecules30030448

