Nanoconfined Chlorine-Substituted Monomethine Cyanine Dye with a Propionamide Function Based on the Thiazole Orange Scaffold—Use of a Fluorogenic Probe for Cell Staining and Nucleic Acid Visualization
Abstract
1. Introduction
2. Results and Discussion
2.1. Synthesis
2.2. Quantum Chemical Computations
2.3. Photophysical Properties
2.4. Circular Dichroism
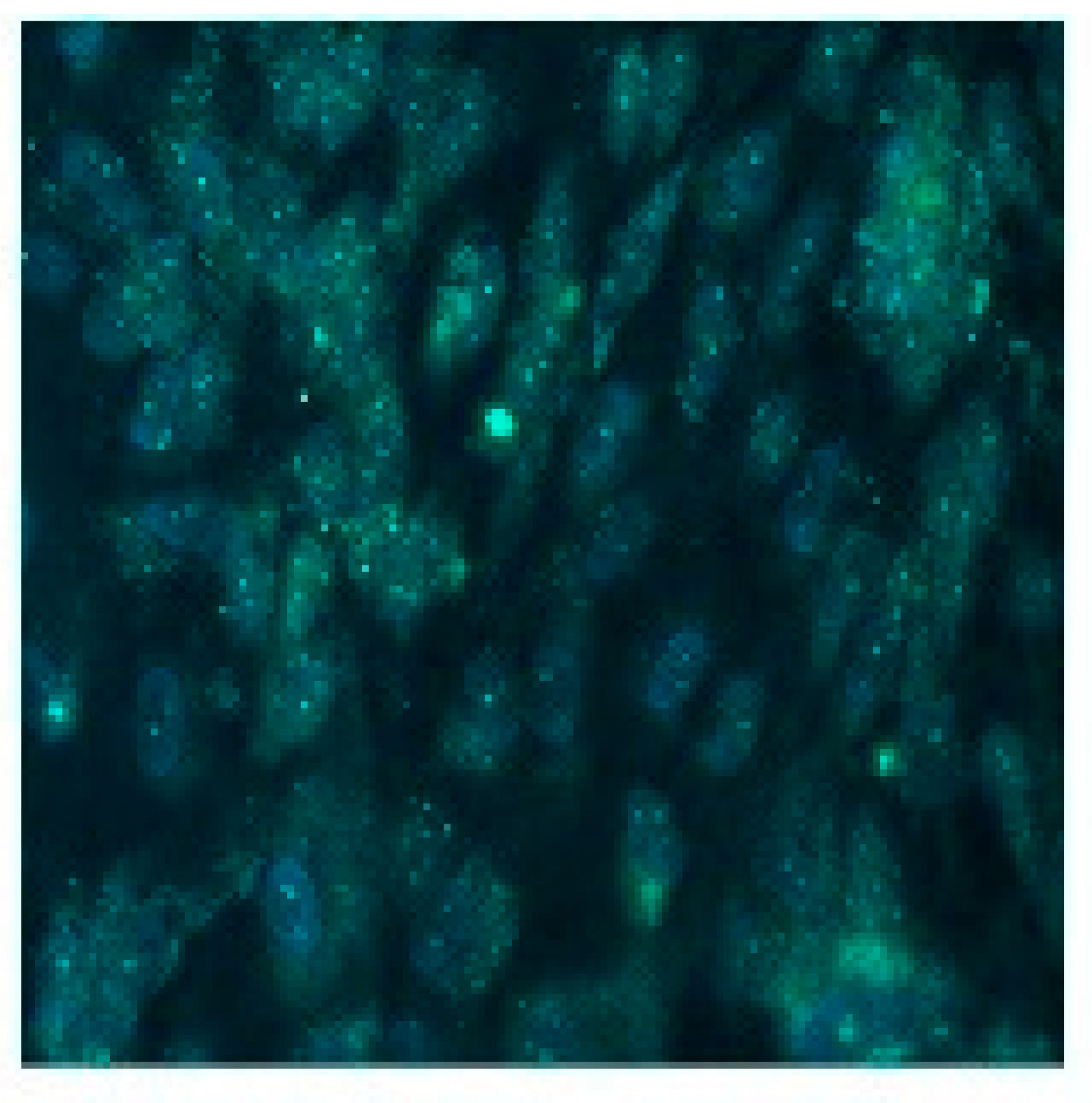
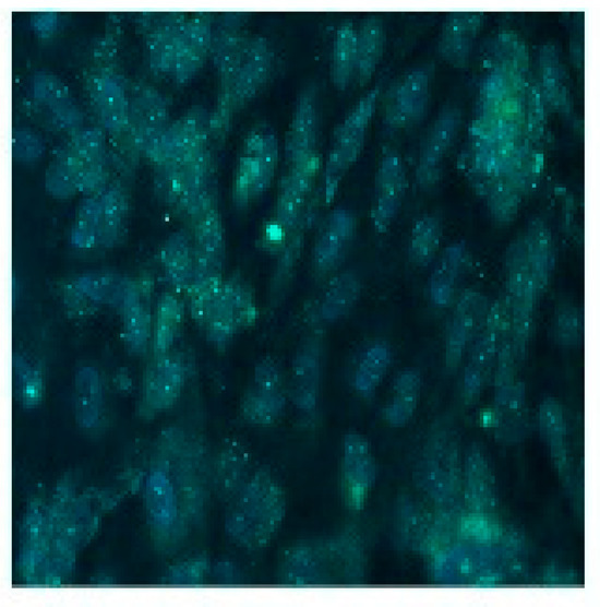
2.5. Cellular Dye Uptake and Distribution of R9 when Loaded on CellInject
2.5.1. Cellular Toxicity of CellInject Placebo and Dye-Loaded Particles
2.5.2. HeLa Kyoto Cell Line
2.5.3. Human Mesenchymal Stem Cells (MSCs)
3. Experimental Part
3.1. General
3.2. Synthesis of 1-(3-Amino-3-oxopropyl)-7-chloro-4-((3-(3-(pyridin-1-ium-1-Yl)propyl)benzo[d]thiazol-2(3H)-ylidene)methyl)quinolin-1-ium iodide (R9)
3.3. Cell Isolation and Culturing
4. Conclusions
Supplementary Materials
Author Contributions
Funding
Institutional Review Board Statement
Informed Consent Statement
Data Availability Statement
Acknowledgments
Conflicts of Interest
References
- Johnson, I.; Spence, M.T.Z. The Molecular Probes Handbook: A Guide to Fluorescent Probes and Labeling Technologies; Life Technologies: Carlsbad, CA, USA, 2010. [Google Scholar]
- Deligeorgiev, T.; Vasilev, A. Functional Dyes. Kim, S.-H., Ed.; Elsevier: Amsterdam, The Netherlands, 2006; Chapter 4; p. 137. [Google Scholar]
- Kurutos, A.; Nikodinovic-Runic, J.; Veselinovic, A.; Veselinović, J.B.; Kamounah, F.S.; Tatjana, I.-T. RNA-Targeting Low-Molecular-Weight Fluorophores for Nucleoli Staining: Synthesis, In Silico Modelling and Cellular Imaging. New J. Chem. 2021, 45, 12818–12829. [Google Scholar] [CrossRef]
- Tumir, L.; Crnolatac, I.; Deligeorgiev, T.; Vasilev, A.; Kaloyanova, S.; Grabar, M.; Tomić, S.; Mišković, K.; Glavaš-Obrovac, L.; Piantanida, I. Kinetic Differentiation between Homo- and Alternating AT DNA by Sterically Restricted Phosphonium Dyes. Chem. Eur. J. 2012, 18, 3859–3864. [Google Scholar] [CrossRef] [PubMed]
- Zarkov, A.; Vasilev, A.; Deligeorgiev, T.; Stoynov, S.; Nedelcheva-Veleva, M. Novel Fluorescent Dyes for Single DNA Molecule Techniques. Mol. Imaging 2013, 12, 90–99. [Google Scholar] [CrossRef] [PubMed]
- Crnolatac, I.; Tumir, L.; Lesev, N.; Vasilev, A.; Deligeorgiev, T.; Miskovic, K.; Glavas-Obrovac, L.; Vugrek, O.; Piantanida, I. Probing the Structural Properties of DNA/RNA Grooves with Sterically Restricted Phosphonium Dyes: Screening of Dye Cytotoxicity and Uptake. ChemMedChem 2013, 8, 1093–1103. [Google Scholar] [CrossRef]
- Kurutos, A.; Ilic-Tomic, T.; Kamounah, F.S.; Vasilev, A.A.; Nikodinovic-Runicb, J. Non-Cytotoxic Photostable Monomethine Cyanine Platforms: Combined Paradigm of Nucleic Acid Staining and In Vivo Imaging. J. Photochem. Photobiol. A Chem. 2020, 397, 112598. [Google Scholar] [CrossRef]
- Mikulin, I.; Ljubić, I.; Piantanida, I.; Vasilev, A.; Mondeshki, M.; Kandinska, M.; Uzelac, L.; Martin-Kleiner, I.; Kralj, M.; Tumir, L.-M. Polycationic Monomeric and Homodimeric Asymmetric Monomethine Cyanine Dyes with Hydroxypropyl Functionality-Strong Affinity Nucleic Acids Binders. Biomolecules 2021, 11, 1075. [Google Scholar] [CrossRef]
- Kandinska, M.I.; Cheshmedzhieva, D.V.; Kostadinov, A.; Rusinov, K.; Rangelov, M.; Todorova, N.; Ilieva, S.; Ivanov, D.P.; Videva, V.; Lozanov, V.S.; et al. Tricationic Asymmetric Monomeric Monomethine Cyanine Dyes with Chlorine and Trifluoromethyl Functionality—Fluorogenic Nucleic Acids Probes. J. Mol. Liq. 2021, 342, 117501. [Google Scholar] [CrossRef]
- Tatikolov, A.S. Polymethine Dyes as Spectral-Fluorescent Probes for Biomacromolecules. J. Photochem. Photobiol. C Photochem. Rev. 2012, 13, 55–90. [Google Scholar] [CrossRef]
- Mhlanga, M.M.; Vargas, D.Y.; Fung, C.W.; Kramer, F.R.; Tyagi, S. tRNA-Linked Molecular Beacons for Imaging mRNAs in the Cytoplasm of Living Cells. Nucleic Acids Res. 2005, 33, 1902–1912. [Google Scholar] [CrossRef]
- Zhou, B.-J.; Liu, W.-M.; Zhang, H.-Y.; Wu, J.-S.; Liu, S.; Xu, H.-T.; Wang, P.-F. Imaging of Nucleolar RNA in Living Cells Using a Highly Photostable Deep-Red Fluorescent Probe. Biosens. Bioelectron. 2015, 68, 189–196. [Google Scholar] [CrossRef]
- Liu, Y.; Zhang, W.-J.; Sun, Y.-M.; Song, G.-F.; Miao, F.; Guo, F.-Q.; Tian, M.-G.; Yu, X.-Q.; Sun, J.-Z. Two-Photon Fluorescence Imaging of RNA in Nucleoli and Cytoplasm in Living Cells Based on Low Molecular Weight Probes. Dye. Pigment. 2014, 103, 191–201. [Google Scholar] [CrossRef]
- Song, G.-F.; Sun, Y.-M.; Liu, Y.; Wang, X.-K.; Chen, M.-L.; Miao, F.; Zhang, W.-J.; Yu, X.-Q.; Jin, J.-L. Low Molecular Weight Fluorescent Probes with Good Photostability for Imaging RNA-rich Nucleolus and RNA in Cytoplasm in Living Cells. Biomaterials 2014, 35, 2103–2112. [Google Scholar] [CrossRef] [PubMed]
- Li, Q.; Kim, Y.Y.; Namm, J.S.; Kulkarni, A.; Rosania, G.R.; Ahn, Y.-H.; Chang, Y.-T. RNA-Selective, Live Cell Imaging Probes for Studying Nuclear Structure and Function. Chem. Biol. 2006, 13, 615–623. [Google Scholar] [CrossRef] [PubMed]
- Faverie, R.A.; Guedin, A.; Bedrat, A.; Yatsunyk, L.A.; Mergny, J.L. Thioflavin T as a Fluorescence Light-Up Probe for G4 Formation. Nucleic Acids Res. 2014, 42, e65. [Google Scholar] [CrossRef]
- Jenning, V.; Gohla, S. Encapsulation of Retinoids in Solid Lipid Nanoparticles (SLN). J. Microencapsul. 2001, 18, 149–158. [Google Scholar] [CrossRef]
- Lu, Y.-J.; Deng, Q.; Hu, D.-P.; Wang, Z.-Y.; Huang, B.-H.; Du, Z.-Y.; Fang, Y.-X.; Wong, W.-L.; Zhang, K.; Chow, C.-F. A Molecular Fluorescent Dye for Specific Staining and Imaging of RNA in Live Cells: A Novel Ligand Integration from Classical Thiazole Orange and Styryl Compounds. Chem. Commun. 2015, 51, 15241–15244. [Google Scholar] [CrossRef]
- Frisch, M.J.; Trucks, G.W.; Schlegel, H.B.; Scuseria, G.E.; Robb, M.A.; Cheeseman, J.R.; Scalmani, G.; Barone, V.; Petersson, G.A.; Nakatsuji, H.; et al. Gaussian 16 Revision 16.A.03; Gaussian, Inc.: Wallingford, CT, USA, 2016. [Google Scholar]
- Ilieva, S.; Kandinska, M.; Vasilev, A.; Cheshmedzhieva, D. Theoretical Modeling of Absorption and Fluorescent Characteristics of Cyanine Dyes. Photochem 2022, 2, 202–216. [Google Scholar] [CrossRef]
- Nikolova, V.; Cheshmedzhieva, D.; Ilieva, S.; Galabov, B. Atomic Charges in Describing Properties of Aromatic Molecules. J. Org. Chem. 2019, 84, 1908–1915. [Google Scholar] [CrossRef]
- Berdnikova, D.V.; Sosnin, N.I.; Fedorova, O.A.; Ihmels, H. Governing the DNA-Binding Mode of Styryl Dyes by the Length of their Alkyl Substituents—From Intercalation to Major Groove Binding. Org. Biomol. Chem. 2018, 16, 545–554. [Google Scholar] [CrossRef]
- Kurutos, A.; Orehovec, I.; Tomašić Paić, A.; Crnolatac, I.; Horvat, L.; Gadjev, N.; Piantanida, I.; Deligeorgiev, T. New Series of Non-toxic DNA Intercalators, Mitochondria Targeting Fluorescent Dyes. Dyes Pigment. 2018, 148, 452–459. [Google Scholar] [CrossRef]
- Rehman, S.U.; Sarwar, T.; Husain, M.A.; Ishqi, H.M.; Tabish, M. Studying Non-Covalent Drug-DNA Interactions. Arch. Biochem. Biophys. 2015, 576, 49–60. [Google Scholar] [CrossRef] [PubMed]
- Wheelhouse, R.T.; Sun, D.; Han, H.; Han, F.X.; Hurley, L.H. Cationic Porphyrins as Telomerase Inhibitors: The Interaction of Tetra-(N-methyl-4-pyridyl)porphine with Quadruplex DNA. J. Am. Chem. Soc. 1998, 120, 3261–3262. [Google Scholar] [CrossRef]
- Wei, C.Y.; Jia, G.Q.; Yuan, J.L.; Feng, Z.C.; Li, C. A Spectroscopic Study on the Interactions of Porphyrin with G- quadruplex DNAs. Biochemistry 2006, 45, 6681–6691. [Google Scholar] [CrossRef] [PubMed]
- Sun, Y.; Ji, F.; Liu, R.; Lin, J.; Xu, Q.; Gao, C. Interaction Mechanism of 2-Aminobenzothiazole with Herring sperm DNA. J. Lumin. 2012, 132, 507–512. [Google Scholar] [CrossRef]
- Bhattacharjee, S.; Sengupta, P.K.; Bhowmik, S. Exploring the Preferential Interaction of Quercetin with VEGF Promoter G-Quadruplex DNA and Construction of a pH-Dependent DNA-Based Logic Gate. RSC Adv. 2017, 7, 37230–37240. [Google Scholar] [CrossRef]
- Horakova, E.; Vyskocil, V.; Barek, J. Interaction Study of Methyl Violet 2B with DNA and Voltammetric Determination of DNA in Aqueous Solutions. Monatsh. Chem. 2016, 147, 119–126. [Google Scholar] [CrossRef]
- Šmidlehner, T.; Piantanida, I.; Pescitelli, G. Polarization Spectroscopy Methods in the Determination of Interactions of Small Molecules with Nucleic Acids—Tutorial. Beilstein J. Org. Chem. 2018, 14, 84–105. [Google Scholar] [CrossRef]
- Garbett, N.; Ragazzon, P.; Chaires, J. Circular Dichroism to Determine Binding Mode and Affinity of Ligand–DNA Interactions. Nat. Protoc. 2007, 2, 3166–3172. [Google Scholar] [CrossRef]
- Larsson, A.; Carlsson, C.; Jonsson, M.; Albinsson, B. Characterization of the Binding of the Fluorescent Dyes YO and YOYO to DNA by Polarized Light Spectroscopy. J. Am. Chem. Soc. 1994, 116, 8459–8465. [Google Scholar] [CrossRef]
- Zakrzewski, W.; Dobrzynski, M.; Szymonowicz, M.; Rybak, Z. Stem cells: Past, Present, and Future. Stem. Cell Res. Ther. 2019, 10, 1–22. [Google Scholar] [CrossRef]
- Saleh, M.; Shamsasanjan, K.; Movassaghpourakbari, A.; Akbarzadehlaleh, P.; Molaeipour, Z. The Impact of Mesenchymal Stem Cells on Differentiation of Hematopoietic Stem Cells. Adv. Pharm. Bull. 2015, 5, 299–305. [Google Scholar] [CrossRef] [PubMed][Green Version]
- Gan, L.; Liu, Y.; Cui, D.; Pan, Y.; Zheng, L.; Wan, M. Dental Tissue-Derived Human Mesenchymal Stem Cells and Their Potential in Therapeutic Application. Stem Cells Int. 2020, 8864572–8864589. [Google Scholar] [CrossRef] [PubMed]
- Couble, M.L.; Farges, J.C.; Bleicher, F.; Perrat-Mabillon, B.; Boudeulle, M.; Magloire, H. Odontoblast Differentiation of Human Dental Pulp Cells in Explant Cultures. Calcif. Tissue Int. 2000, 66, 129–138. [Google Scholar] [CrossRef] [PubMed]
- Ishkitiev, N.; Yaegaki, K.; Kozhuharova, A.; Tanaka, T.; Okada, M.; Mitev, V.; Fukada, M.; Imai, T. Pancreatic Differentia-tion of Human Dental Pulp CD117+ Stem Cells. Regen. Med. 2013, 8, 597–612. [Google Scholar] [CrossRef]
- Ishkitiev, N.; Yaegaki, K.; Imai, T.; Tanaka, T.; Fushimi, N.; Mitev, V.; Okada, M.; Tominaga, S.O.; Ishikawa, H. Novel Management of Acute or Secondary Biliary Liver Conditions Using Hepatically Differentiated Human Dental Pulp Cells. Tissue Eng. Part A 2015, 21, 586–593. [Google Scholar] [CrossRef]
- Sonoyama, W.; Liu, Y.; Yamaza, T.; Tuan, R.S.; Wang, S.; Shi, S.; Huang, G.T. Characterization of the Apical Papilla and its Residing Stem Cells from Human Immature Permanent Teeth: A Pilot Study. J. Endod. 2008, 34, 166–171. [Google Scholar] [CrossRef]
- Tzachev, C.T. Solid Lipid Nanoparticle for Intracellular Release of Active Substances and Method for Production the Same. WO2019116062, 20 June 2019. [Google Scholar]
- Tzachev, C.T. Mucoadhesive Dispersion Nanoparticle System and Method for Production the Same. U.S. Patent 12036329(B2), 19 March 2020. [Google Scholar]










| Dye | |||
|---|---|---|---|
| Exp | TDPBE0/6-31+G(d,p) | TDHFS/6-31+G(d,p) | |
| R9 | 2.43 a | 2.79 (0.9750) | 2.50 (0.8128) |
| qNBO | qMK | qHirsh | EPN | |
|---|---|---|---|---|
| N1 | −0.3881 | −0.0647 | 0.0087 | −18.0424 |
| N2 | −0.3537 | −0.0296 | 0.0289 | −18.0671 |
| N3 | −0.3041 | 0.2441 | 0.0745 | −17.9657 |
| N4 | −0.8568 | −1.0267 | −0.1151 | −18.1692 |
| Sample | Abs λmax (nm), (ε (L·mol−1·cm−1)) | Fl λmax (nm) | IFl (cps) | ΔI = IFl/I0 |
|---|---|---|---|---|
| R9 neat | 510 (50,540) | 541 | 1.1 × 105 | - |
| R9—dsDNA | 518 (37,700) | 541 | 9.4 × 106 | 85 |
| R9—RNA | 514 (37,210) | 541 | 1.5 × 107 | 136 |
Disclaimer/Publisher’s Note: The statements, opinions and data contained in all publications are solely those of the individual author(s) and contributor(s) and not of MDPI and/or the editor(s). MDPI and/or the editor(s) disclaim responsibility for any injury to people or property resulting from any ideas, methods, instructions or products referred to in the content. |
© 2024 by the authors. Licensee MDPI, Basel, Switzerland. This article is an open access article distributed under the terms and conditions of the Creative Commons Attribution (CC BY) license (https://creativecommons.org/licenses/by/4.0/).
Share and Cite
Ishkitiev, N.; Micheva, M.; Miteva, M.; Gaydarova, S.; Tzachev, C.; Lozanova, V.; Lozanov, V.; Cheshmedzhieva, D.; Kandinska, M.; Ilieva, S.; et al. Nanoconfined Chlorine-Substituted Monomethine Cyanine Dye with a Propionamide Function Based on the Thiazole Orange Scaffold—Use of a Fluorogenic Probe for Cell Staining and Nucleic Acid Visualization. Molecules 2024, 29, 6038. https://doi.org/10.3390/molecules29246038
Ishkitiev N, Micheva M, Miteva M, Gaydarova S, Tzachev C, Lozanova V, Lozanov V, Cheshmedzhieva D, Kandinska M, Ilieva S, et al. Nanoconfined Chlorine-Substituted Monomethine Cyanine Dye with a Propionamide Function Based on the Thiazole Orange Scaffold—Use of a Fluorogenic Probe for Cell Staining and Nucleic Acid Visualization. Molecules. 2024; 29(24):6038. https://doi.org/10.3390/molecules29246038
Chicago/Turabian StyleIshkitiev, Nikolay, Maria Micheva, Marina Miteva, Stefaniya Gaydarova, Christo Tzachev, Vesela Lozanova, Valentin Lozanov, Diana Cheshmedzhieva, Meglena Kandinska, Sonia Ilieva, and et al. 2024. "Nanoconfined Chlorine-Substituted Monomethine Cyanine Dye with a Propionamide Function Based on the Thiazole Orange Scaffold—Use of a Fluorogenic Probe for Cell Staining and Nucleic Acid Visualization" Molecules 29, no. 24: 6038. https://doi.org/10.3390/molecules29246038
APA StyleIshkitiev, N., Micheva, M., Miteva, M., Gaydarova, S., Tzachev, C., Lozanova, V., Lozanov, V., Cheshmedzhieva, D., Kandinska, M., Ilieva, S., Gargallo, R., Baluschev, S., Stoynov, S., Dyankova-Danovska, T., Nedelcheva-Veleva, M., Landfester, K., Mihaylova, Z., & Vasilev, A. (2024). Nanoconfined Chlorine-Substituted Monomethine Cyanine Dye with a Propionamide Function Based on the Thiazole Orange Scaffold—Use of a Fluorogenic Probe for Cell Staining and Nucleic Acid Visualization. Molecules, 29(24), 6038. https://doi.org/10.3390/molecules29246038

