Norlignans and Phenolics from Curculigo capitulata and Their Neuroprotection Against Glutamate-Induced Oxidative Injury in SH-SY5Y Cells
Abstract
1. Introduction
2. Results
2.1. Structural Elucidation of the Isolated Compounds
2.2. Neuroprotective Activity of Compounds (1–26)
2.3. Effects of Compound 3 on Glutamate-Induced Intracellular LDH, SOD and ROS Release in SH-SY5Y Cells
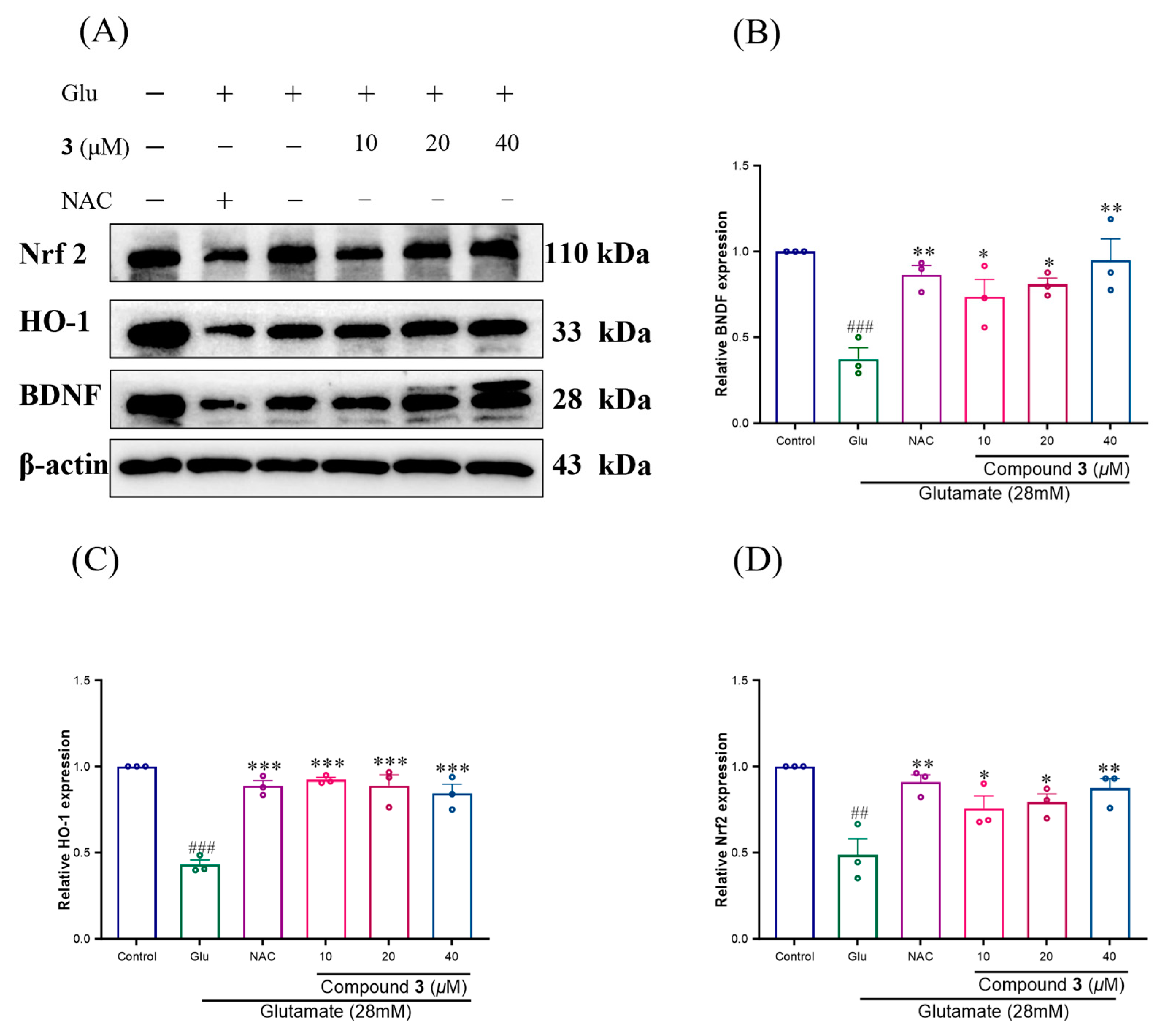
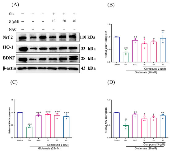
2.4. Effects of Compound 3 on the Nrf2/HO-1 and BDNF Downregulation Induced by Glutamate in SH-SY5Y Cells
3. Discussion
4. Conclusions
5. Materials and Methods
5.1. General Experimental Procedures
5.2. Plant Material
5.3. Extraction and Isolation
5.4. Spectroscopic Data
5.5. ECD Calculations
5.6. Cell Lines and Cell Culture
5.7. Cell Viability Assay
5.8. Determination of SOD and LDH in Cultured Cells
5.9. Western Blot Analysis
5.10. Flow Cytometry
Supplementary Materials
Author Contributions
Funding
Institutional Review Board Statement
Informed Consent Statement
Data Availability Statement
Conflicts of Interest
References
- Hou, Y.; Dan, X.; Babbar, M.; Wei, Y.; Hasselbalch, S.G.; Croteau, D.L.; Bohr, V.A. Ageing as a risk factor for neurodegenerative disease. Nat. Rev. Neurol. 2019, 15, 565–581. Available online: https://www.nature.com/articles/s41582-019-0244-7 (accessed on 23 March 2024). [CrossRef] [PubMed]
- Wakabayashi, K.; Mori, F.; Tanji, K.; Orimo, S.; Takahashi, H. Involvement of the peripheral nervous system in synucleinopathies, tauopathies and other neurodegenerative proteinopathies of the brain. Acta Neuropathol. 2010, 120, 1–12. [Google Scholar] [CrossRef] [PubMed]
- Sheldon, A.L.; Robinson, M.B. The role of glutamate transporters in neurodegenerative diseases and potential opportunities for intervention. Neurochem. Int. 2007, 51, 6–7. [Google Scholar] [CrossRef] [PubMed]
- Talantova, M.; Sanz-Blasco, S.; Zhang, X.; Xia, P.; Akhtar, M.W.; Okamoto, S.-I.; Dziewczapolski, G.; Nakamura, T.; Cao, G.; Pratt, A.E.; et al. Aβ induces astrocytic glutamate release, extrasynaptic NMDA receptor activation, and synaptic loss. Proc. Natl. Acad. Sci. USA 2013, 110, E2518–E2527. [Google Scholar] [CrossRef]
- Wang, J.; Wang, F.; Mai, D.; Qu, S. Molecular Mechanisms of Glutamate Toxicity in Parkinson’s Disease. Front. Neurosci. 2020, 14, 585584. [Google Scholar] [CrossRef] [PubMed]
- Greenwood, S.M.; Connolly, C.N. Dendritic and mitochondrial changes during glutamate excitotoxicity. Neuropharmacology 2007, 53, 891–898. [Google Scholar] [CrossRef]
- Lipton, S.A. Pathologically activated therapeutics for neuroprotection. Nat. Rev. Neurosci. 2007, 8, 803–808. [Google Scholar] [CrossRef]
- Mattson, M.P. Apoptosis in neurodegenerative disorders. Nat. Rev. Mol. Cell Biol. 2000, 1, 120–130. [Google Scholar] [CrossRef]
- Poljsak, B.; Šuput, D.; Milisav, I. Achieving the Balance between ROS and Antioxidants: When to Use the Synthetic Antioxidants. Oxidative Med. Cell. Longev. 2013, 2013, 956792. [Google Scholar] [CrossRef]
- Vongthip, W.; Nilkhet, S.; Boonruang, K.; Sukprasansap, M.; Tencomnao, T.; Baek, S.J. Neuroprotective mechanisms of luteolin in glutamate-induced oxidative stress and autophagy-mediated neuronal cell death. Sci. Rep. 2024, 14, 7707. [Google Scholar] [CrossRef]
- Johnson, J.A.; Johnson, D.A.; Kraft, A.D.; Calkins, M.J.; Jakel, R.J.; Vargas, M.R.; Chen, P.C. The Nrf2-ARE Pathway: An Indicator and Modulator of Oxidative Stress in Neurodegeneration. Ann. N. Y. Acad. Sci. 2008, 1147, 61–69. [Google Scholar] [CrossRef] [PubMed]
- Petri, S.; Körner, S.; Kiaei, M. Nrf2/ARE Signaling Pathway: Key Mediator in Oxidative Stress and Potential Therapeutic Target in ALS. Neurol. Res. Int. 2012, 2012, 878030. [Google Scholar] [CrossRef] [PubMed]
- Hwang, Y.P.; Jeong, H.G. The coffee diterpene kahweol induces heme oxygenase-1 via the PI3K and p38/Nrf2 pathway to protect human dopaminergic neurons from 6-hydroxydopamine-derived oxidative stress. FEBS Lett. 2008, 582, 2655–2662. [Google Scholar] [CrossRef] [PubMed]
- Nie, Y.; Dong, X.; He, Y.; Yuan, T.; Han, T.; Rahman, K.; Qin, L.; Zhang, Q. Medicinal plants of genus Curculigo: Traditional uses and a phytochemical and ethnopharmacological review. J. Ethnopharmacol. 2013, 147, 547–563. [Google Scholar] [CrossRef] [PubMed]
- Wang, Y.; Li, J.; Li, N. Phytochemistry and Pharmacological Activity of Plants of Genus Curculigo: An Updated Review Since 2013. Molecules 2021, 26, 3396. [Google Scholar] [CrossRef]
- Li, H.; Wu, K.; Zhang, Y.; Li, N.; Wang, K. Crassifoside H ameliorates depressant behavior in chronic unpredictable mild stress rats by improving HPA axis dysfunction and inhibiting inflammation in hippocampus. Trop. J. Pharm. Res. 2020, 19, 1693–1699. [Google Scholar] [CrossRef]
- Li, J.; He, P.; Zhang, J.; Li, N. Orcinol glucoside improves the depressive-like behaviors of perimenopausal depression mice through modulating activity of hypothalamic-pituitary-adrenal/ovary axis and activating BDNF-TrkB-CREB signaling pathway. Phytother. Res. 2021, 35, 5795–5807. [Google Scholar] [CrossRef]
- Wang, X.; Zhang, M.; Zhang, D.; Wang, X.; Cao, H.; Zhang, Q.; Yan, C. Structural elucidation and anti-osteoporosis activities of polysaccharides obtained from Curculigo orchioides. Carbohydr. Polym. 2019, 203, 292–301. [Google Scholar] [CrossRef]
- Xia, L.; Liang, S.; Wen, H.; Tang, J.; Huang, Y. Anti-tumor effect of polysaccharides from rhizome of Curculigo orchioides Gaertn on cervical cancer. Trop. J. Pharm. Res. 2016, 15, 1731–1737. [Google Scholar] [CrossRef]
- Zhang, Y.; Ge, J.; Wang, F.; Liu, F.; Shi, C.; Li, N. Crassifoside H improve the depressive-like behavior of rats under chronic unpredictable mild stress: Possible involved mechanisms. Brain Res. Bull. 2017, 135, 77–84. [Google Scholar] [CrossRef]
- Wang, Y.; Liu, Z.; Wei, J.; Di, L.; Wang, S.; Wu, T.; Li, N. Norlignans and phenolics from genus Curculigo protect corticosterone-injured neuroblastoma cells SH-SY5Y by inhibiting endoplasmic reticulum stress-mitochondria pathway. J. Ethnopharmacol. 2022, 296, 115430. [Google Scholar] [CrossRef] [PubMed]
- Gao, Y.; Yu, A.; Li, G.; Hai, P.; Li, Y.; Liu, J.; Wang, F. Hexacyclic monoterpenoid indole alkaloids from Rauvolfia verticillata. Fitoterapia 2015, 107, 44–48. [Google Scholar] [CrossRef] [PubMed]
- Kutrzeba, L.M.; Ferreira, D.; Zjawiony, J.K. Salvinorins J from Salvia divinorum: Mutarotation in the Neoclerodane System. J. Nat. Prod. 2009, 72, 1361–1363. [Google Scholar] [CrossRef] [PubMed]
- Sy, L.K.; Brown, G.D. Labdane Diterpenoids from Alpinia chinensis. J. Nat. Prod. 1997, 60, 904–908. [Google Scholar] [CrossRef]
- Li, N.; Chen, J.J.; Zhou, J. Four New Phenolic Compounds from Curculigo crassifolia (Hypoxidaceae). Helv. Chim. Acta 2004, 87, 845–850. [Google Scholar] [CrossRef]
- Li, N.; Zhu, C.C.; Wang, K.J.; Hu, J.M. Two Novel Norlignan Derivatives from Curculigo breviscapa. Z. Naturforschung B 2014, 65, 79–82. [Google Scholar] [CrossRef]
- Zhu, C.C.; Wang, K.J.; Wang, Z.; Li, N. Chemical Constituents from Rhizomes of Curculigo breviscapa. Bull. Korean Chem. Soc. 2010, 31, 224–226. [Google Scholar] [CrossRef][Green Version]
- Wang, K.J.; Zhu, C.C.; Di, L.; Li, N.; Zhao, Y. New norlignan derivatives from Curculigo capitulata. Fitoterapia 2010, 81, 869–872. [Google Scholar] [CrossRef]
- Li, N.; Wang, T.M.; Wang, K.J.; Zhao, Y.X. Norlignans from Rhizomes of Curculigo sinensis. Helv. Chim. Acta 2010, 93, 724–728. [Google Scholar] [CrossRef]
- Park, H.B.; Lee, K.H.; Kim, K.H.; Lee, K.; Noh, H.J.; Choi, S.U.; Lee, K.R. Lignans from the Roots of Berberis amurensis. Nat. Prod. Sci. 2009, 15, 17–21. Available online: https://koreascience.kr/article/JAKO200914852871173.pdf (accessed on 25 March 2024).
- Wang, K.J.; Li, N.; Wang, H. New Acetylenic Norlignan Compounds from Rhizomes of Curculigo crassifolia. Molecules 2008, 13, 1696–1701. [Google Scholar] [CrossRef]
- Li, N.; Tan, N.H.; Zhou, J. A New Lignan Glycoside from Curculigo capitulata. Acta Bot. Yunnanica 2003, 6, 711–715. [Google Scholar] [CrossRef]
- Koolen, H.H.F.; Pral, E.M.F.; Alfieri, S.C.; Marinho, J.V.N.; Serain, A.F.; Hernández-Tasco, A.J.; Andreazza, N.L.; Salvador, M.J. Antiprotozoal and antioxidant alkaloids from Alternanthera littoralis. Phytochemistry 2017, 134, 106–113. [Google Scholar] [CrossRef] [PubMed]
- Ge, L.; Xie, Q.; Wei, X.; Li, Y.; Shen, W.; Hu, Y.; Yao, J.; Wang, S.; Du, X.; Zeng, X. Five undescribed plant-derived bisphenols from Artemisia capillaris aerial parts: Structure elucidation, anti-hepatoma activities and plausible biogenetic pathway. Arab. J. Chem. 2023, 16, 104580. [Google Scholar] [CrossRef]
- Pal, P.P.; Begum, S.A.; Basha, A.S.; Araya, H.; Fujimoto, Y. A New Lignan (Polonilignan) and Inhibitors of Nitric Oxide Production from Penicillium polonicum, an Endophytic Fungi of Piper nigrum. Chem. Biodivers. 2023, 20, e202200840. [Google Scholar] [CrossRef] [PubMed]
- Akbaba, Y.; Türker Balaydın, H.; Göksu, S.; Şahin, E.; Menzek, A. Total Synthesis of the Biologically Active, Naturally Occurring 3,4-Dibromo-5-[2-bromo-3,4-dihydroxy-6-(methoxymethyl)benzyl]benzene-1,2-diol and Regioselective O-Demethylation of Aryl Methyl Ethers. Helv. Chim. Acta 2010, 93, 1127–1135. [Google Scholar] [CrossRef]
- Di, L.; Wang, K.J.; Zhu, C.C.; Li, N. Chemical Constituents from Rhizomes of Curculigo capitulata. Bull. Korean Chem. Soc. 2010, 31, 2999–3002. [Google Scholar] [CrossRef]
- Yue, J.M.; Xu, J.; Zhao, Y.; Sun, H.; Lin, Z.W. Chemical Components from Ceratostigma willmottianum. J. Nat. Prod. 1997, 60, 1031–1033. [Google Scholar] [CrossRef]
- Zhang, T.H.; Zhang, S.; Lan, W.; Yue, F.X. Quantitative Extraction of p-Coumaric Acid and Ferulic Acid in Different Gramineous Materials and Structural Changes of Residual Alkali Lignin. J. Renew. Mater. 2023, 11, 555–566. [Google Scholar] [CrossRef]
- Jha, H.C.; Zilliken, F.; Offermann, W.; Breitmaier, E. Carbon-13 nmr shifts and C—H coupling constants of deoxybenzoins and related acetophenones. Can. J. Chem. 1981, 4, 2266–2282. [Google Scholar] [CrossRef]
- Tagashira, M.; Ohtake, Y. A New Antioxidative 1,3-Benzodioxole from Melissa officinalis. Planta Medica 1998, 64, 555–558. [Google Scholar] [CrossRef]
- Uttara, B.; Singh, A.V.; Zamboni, P.; Mahajan, R.T. Oxidative stress and neurodegenerative diseases: A review of upstream and downstream antioxidant therapeutic options. Curr. Neuropharmacol. 2009, 7, 65–74. [Google Scholar] [CrossRef]
- Maher, P.; Schubert, D. Signaling by reactive oxygen species in the nervous system. Cell. Mol. Life Sci. 2000, 57, 1287–1305. [Google Scholar] [CrossRef]
- Ishii, T.; Itoh, K.; Takahashi, S.; Sato, H.; Yanagawa, T.; Katoh, Y.; Bannai, S.; Yamamoto, M. Transcription Factor Nrf2 Coordinately Regulates a Group of Oxidative Stress-Inducible Genes in Macrophages. J. Biol. Chem. 2000, 275, 16023–16029. [Google Scholar] [CrossRef] [PubMed]
- Itoh, K.; Chiba, T.; Takahashi, S.; Ishii, T.; Igarashi, K.; Katoh, Y.; Oyake, T.; Hayashi, N.; Satoh, K.; Hatayama, F.I.; et al. An Nrf2/small Maf heterodimer mediates the induction of phase II detoxifying enzyme genes through antioxidant response elements. Biochem. Biophys. Res. Commun. 1997, 236, 313–322. [Google Scholar] [CrossRef] [PubMed]
- Rössler, O.G.; Bauer, I.; Chung, H.-Y.; Thiel, G. Glutamate-induced cell death of immortalized murine hippocampal neurons: Neuroprotective activity of heme oxygenase-1, heat shock protein 70, and sodium selenite. Neurosci. Lett. 2004, 362, 253–257. [Google Scholar] [CrossRef] [PubMed]
- Satoh, T.; Baba, M.; Nakatsuka, D.; Ishikawa, Y.; Aburatani, H.; Furuta, K.; Ishikawa, T.; Hatanaka, H.; Suzuki, M.; Watanabe, Y. Role of heme oxygenase-1 protein in the neuroprotective effects of cyclopentenone prostaglandin derivatives under oxidative stress. Eur. J. Neurosci. 2003, 17, 2249–2255. [Google Scholar] [CrossRef] [PubMed]
- Nagahara, A.H.; Merrill, D.A.; Coppola, G.; Tsukada, S.; Schroeder, B.E.; Shaked, G.M.; Wang, L.; Blesch, A.; Kim, A.; Conner, J.M.; et al. Neuroprotective effects of brain-derived neurotrophic factor in rodent and primate models of Alzheimer’s disease. Nat. Med. 2009, 15, 331–337. [Google Scholar] [CrossRef]
- Tapia Arancibia, L.; Aliaga, E.; Silhol, M.; Arancibia, S. New insights into brain BDNF function in normal aging and Alzheimer disease. Brain Res. Rev. 2008, 59, 201–220. [Google Scholar] [CrossRef]

), HMBC (
) correlations of compounds 1–7.










| Position | 1 | 2 | 3 | |||
|---|---|---|---|---|---|---|
| δC | δH (J in Hz) | δC | δH (J in Hz) | δC | δH (J in Hz) | |
| 1 | 71.79 | 4.10 (1H, s) | 79.74 | 4.75 (1H, d, 5.0 Hz) | 80.44 | 3.86 (1H, s) |
| 2 | 81.19 | 4.61 (1H, d, 8.1Hz) | 76.09 | 4.86 (1H, ddd, 7.5, 5.0, 1.8Hz) | 76.88 | 4.83(1H, d, 7.8Hz) |
| 3 | 26.26 | 2.24 (1H, m); 1.58 (1H, m) | 23.15 | 2.19 (1H, m); 2.03 (1H, m) | 26.39 | 2.26 (1H, m); 1.57 (1H, m) |
| 4 | 38.51 | 2.21 (1H, m); 2.16 (1H, m) | 39.60 | 2.26 (2H, m) | 38.51 | 2.22 (1H, m); 2.15 (1H, m) |
| 5 | 86.44 | 87.39 | 86.57 | |||
| 1′ | 125.73 | 126.39 | 123.06 | |||
| 2′ | 115.65 | 6.79 (1H, s) | 114.91 | 6.82 (1H, s) | 117.86 | 6.74 (1H, s) |
| 3′ | 145.89 | 145.33 | 145.96 | |||
| 4′ | 145.53 | 145.01 | 145.47 | |||
| 5′ | 112.83 | 6.08 (1H, s) | 112.89 | 5.99 (1H, s) | 112.83 | 6.09 (1H, s) |
| 6′ | 136.79 | 136.63 | 137.49 | |||
| 1″ | 135.58 | 135.68 | 135.41 | |||
| 2″ | 116.34 | 6.97 (1H, d, 2.1 Hz) | 116.20 | 6.87 (1H, d, 2.0 Hz) | 116.28 | 6.93 (1H, d, 2.1 Hz) |
| 3″ | 145.98 | 145.91 | 145.98 | |||
| 4″ | 145.96 | 145.94 | 146.33 | |||
| 5″ | 117.71 | 6.78 (1H, d, 8.1 Hz) | 115.62 | 6.77 (1H, d, 8.2 Hz) | 115.64 | 6.78 (1H, d, 8.1 Hz) |
| 6″ | 120.26 | 6.89 (1H, dd, 8.1, 2.1Hz) | 120.10 | 6.80, dd (8.2, 2.0) | 120.17 | 6.85, dd (8.1, 2.1) |
| -OCH3 | 57.56 | 3.54 (3H, s) | 56.23 | 3.53 (3H, s) | ||
| Position | 4 | |
|---|---|---|
| δC | δH (J in Hz) | |
| 1 | 118.65 | |
| 2 | 130.47 | |
| 3 | 107.75 | 7.02 (1H, s) |
| 4 | 144.5 | |
| 5 | 146.82 | |
| 6 | 107.38 | 6.54 (1H, s) |
| 7 | 148.89 | |
| 8 | 120.67 | |
| 9 | 196.14 | |
| 1′ | 113.95 | |
| 2′ | 156.96 | |
| 3′ | 100.14 | 6.27(1H, d, 2.3 Hz) |
| 4′ | 155.92 | |
| 5′ | 107.75 | 6.24 (1H, d, 2.5Hz) |
| 6′ | 138.71 | |
| 1″ | 129.58 | |
| 2″ | 145.07 | |
| 3″ | 116.72 | 7.30 (1H, d, 2.1 Hz) |
| 4″ | 150.95 | |
| 5″ | 123.55 | 7.17 (1H, dd,8.3,2.1Hz) |
| 6″ | 115.23 | 6.86 (1H, d, 8.3 Hz) |
| 7″ | 134.64 | |
| 8″ | 115.32 | 6.92 (1H, s) |
| -CH3 | 19.85 | 1.77 (3H, s) |
| Position | 5a | 5b | ||
|---|---|---|---|---|
| δC | δH (J in Hz) | δC | δH (J in Hz) | |
| 1 | ||||
| 2 | 107.46 | 5.69 (1H, dd, 6.7, 3.4 Hz) | 107.31 | 5.86 (1H, dd, 7.1, 4.6 Hz) |
| 3 | 45.3 | 4.87 (1H, d, 3.4 Hz) | 48.6 | 4.25 (1H, d, 4.6 Hz) |
| 4 | 134.19 | 133.16 | ||
| 5 | 108.26 | 6.00 (1H, d, 2.0 Hz) | 107.68 | 5.90 (1H, d, 2.1 Hz) |
| 6 | 157.5 | 156.92 | ||
| 7 | 94.14 | 6.02 (1H, d, 2.5 Hz) | 93.85 | 5.92 (1H, d, 2.1 Hz) |
| 8 | 159.25 | 159.4 | ||
| 9 | 118.51 | 119.07 | ||
| 1′ | 115.77 | 115.37 | ||
| 2′ | 155.99 | 156.57 | ||
| 3′ | 99.83 | 6.19 (1H, d, 2.5 Hz) | 101.09 | 6.02 (1H, d, 2.5 Hz) |
| 4′ | 156.27 | 155.93 | ||
| 5′ | 109.7 | 5.94 (1H, d, 2.5 Hz) | 108.14 | 6.08 (1H, d, 2.4 Hz) |
| 6′ | 138.29 | 137.68 | ||
| 4-CH3 | 17.49 | 1.72 (3H, s) | 17.49 | 1.67 (3H, s) |
| 6′-CH3 | 18.76 | 1.62(3H, s) | 20.59 | 2.27 (3H, s) |
| Position | 6 | 7 | ||
|---|---|---|---|---|
| δC | δH (J in Hz) | δC | δH (J in Hz) | |
| 1 | 181.38 | 181.71 | ||
| 3 | 53.46 | 5.16 (1H, dd, 8.2, 5.8 Hz) | 50.38 | 5.37 (1H, dd, 9.3, 5.2 Hz) |
| 4 | 27.14 | 2.23 (1H, m); 2.40 (1H, m) | 26.95 | 2.26 (1H, m); 2.43 (1H, m) |
| 5 | 32.3 | 2.43 (1H, m); 2.56 (1H, m) | 32.24 | 2.36 (1H, m); 2.62 (1H, m) |
| 1′ | 118.4 | 112.9 | ||
| 2′ | 158.3 | 157.8 | ||
| 3′ | 102.19 | 6.15 (1H, d, 2.4 Hz) | 108.71 | 6.13 (1H, s) |
| 4′ | 158.7 | 157.8 | ||
| 5′ | 109.91 | 6.10 (1H, d, 2.4 Hz) | 108.71 | 6.13 (1H, s) |
| 6′ | 139.29 | 140.27 | ||
| CH3 | 20.35 | 2.26 (3H, s) | 21.34 | 2.14 (3H, s) |
Disclaimer/Publisher’s Note: The statements, opinions and data contained in all publications are solely those of the individual author(s) and contributor(s) and not of MDPI and/or the editor(s). MDPI and/or the editor(s) disclaim responsibility for any injury to people or property resulting from any ideas, methods, instructions or products referred to in the content. |
© 2024 by the authors. Licensee MDPI, Basel, Switzerland. This article is an open access article distributed under the terms and conditions of the Creative Commons Attribution (CC BY) license (https://creativecommons.org/licenses/by/4.0/).
Share and Cite
Wang, X.; Ma, W.; Wang, Y.; Ren, F.; Wang, K.; Li, N. Norlignans and Phenolics from Curculigo capitulata and Their Neuroprotection Against Glutamate-Induced Oxidative Injury in SH-SY5Y Cells. Molecules 2024, 29, 5648. https://doi.org/10.3390/molecules29235648
Wang X, Ma W, Wang Y, Ren F, Wang K, Li N. Norlignans and Phenolics from Curculigo capitulata and Their Neuroprotection Against Glutamate-Induced Oxidative Injury in SH-SY5Y Cells. Molecules. 2024; 29(23):5648. https://doi.org/10.3390/molecules29235648
Chicago/Turabian StyleWang, Xueru, Wei Ma, Ying Wang, Fucai Ren, Kaijin Wang, and Ning Li. 2024. "Norlignans and Phenolics from Curculigo capitulata and Their Neuroprotection Against Glutamate-Induced Oxidative Injury in SH-SY5Y Cells" Molecules 29, no. 23: 5648. https://doi.org/10.3390/molecules29235648
APA StyleWang, X., Ma, W., Wang, Y., Ren, F., Wang, K., & Li, N. (2024). Norlignans and Phenolics from Curculigo capitulata and Their Neuroprotection Against Glutamate-Induced Oxidative Injury in SH-SY5Y Cells. Molecules, 29(23), 5648. https://doi.org/10.3390/molecules29235648

