Effects of Silybum marianum L. Seed Extracts on Multi Drug Resistant (MDR) Bacteria
Abstract
1. Introduction
2. Results
2.1. Identification and Testing of the Antibiotic Sensitivity of Bacterial Isolates
2.2. Identification of MDR Bacterial Strains
2.3. Antibacterial Activity of Plant Extracts against MDR Bacteria
2.4. MICs of the Most Active Plant Extract against MDR Bacterial Isolates
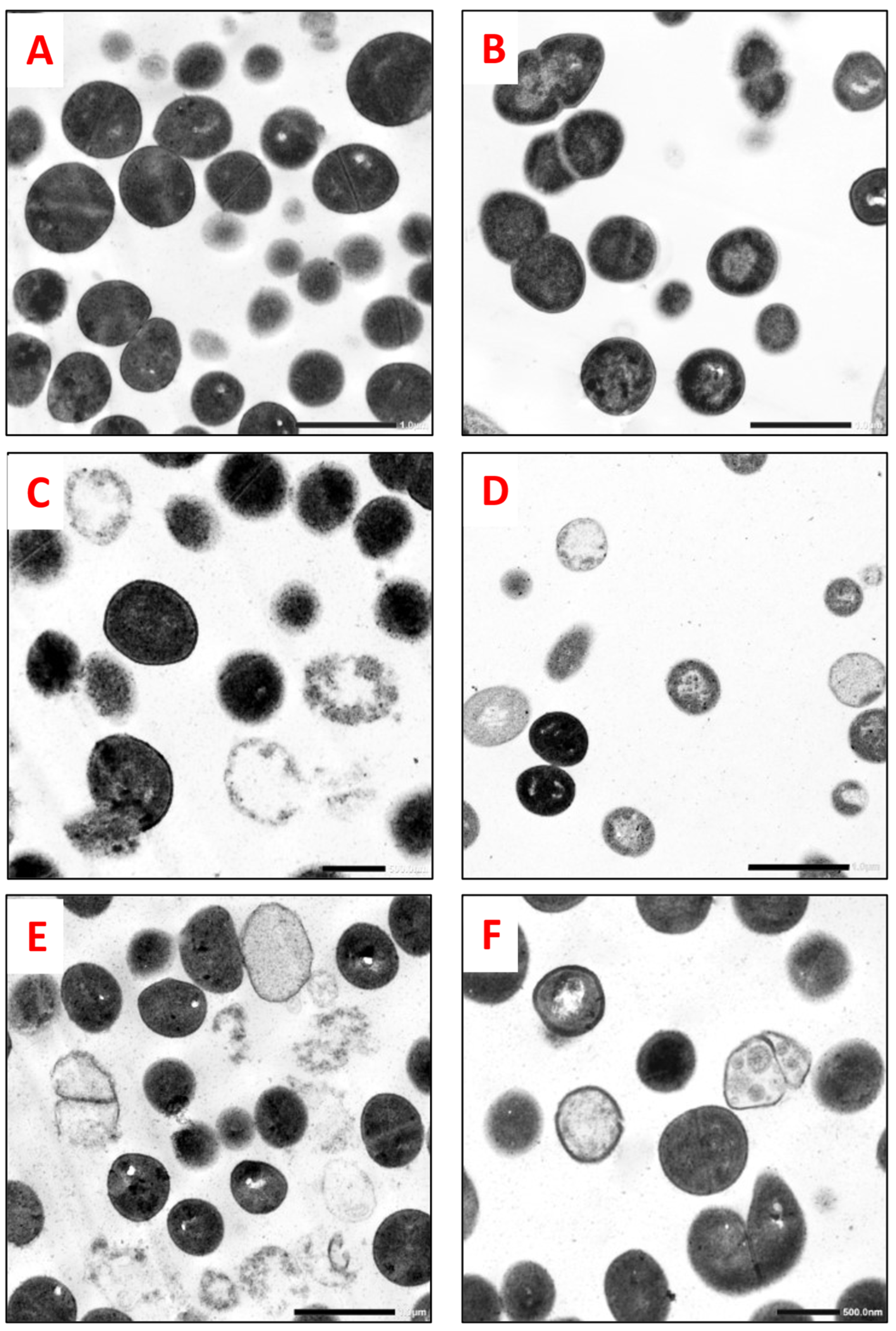
2.5. Effects of S. marianum Seed Ethanol Extract on the Cell Ultrastructure of MRSA and S. maltophilia via TEM
2.6. GC–MS
2.7. ADMET Analysis
3. Discussion
4. Materials and Methods
4.1. Bacteria Collection
4.2. Bacteria Identification
4.3. Preparation of Bacterial Suspension
4.4. Antibiotic Susceptibility Test
4.5. Plant Extract Preparation
4.5.1. Ethanol Extract
4.5.2. Acetone Extract
4.5.3. Cold Aqueous Extract
4.5.4. Hot Aqueous Extract
4.6. In Vitro Antibacterial Activity of Plant Extracts against MDR Bacteria
4.7. Determination of Minimum Inhibitory Concentrations and Minimum Bactericidal Concentrations
4.8. Effect of S. marianum Seed Ethanol Extract on Bacterial Strain Cell Ultrastructure via Transmission Electron Microscopy
4.9. Gas Chromatography–Mass Spectroscopy
4.10. Molecule Retrieval
4.11. The Pharmacokinetic and ADMET Prediction
4.12. Statistical Analysis
5. Conclusions
Supplementary Materials
Author Contributions
Funding
Institutional Review Board Statement
Informed Consent Statement
Data Availability Statement
Acknowledgments
Conflicts of Interest
References
- Landis, S.J. Chronic wound infection and antimicrobial use. Adv. Skin. Wound Care 2008, 21, 531–540. [Google Scholar] [CrossRef] [PubMed]
- Bowler, P.G.; Duerden, B.I.; Armstrong, D.G. Wound microbiology and associated approaches to wound management. Clin. Microbiol. Rev. 2001, 14, 244–269. [Google Scholar] [CrossRef] [PubMed]
- Sule, A.M.; Thanni, L.O.A.; Odu, O.A.S.; Olusanya, O. Bacterial pathogens associated with infected wounds in Ogun state University teaching hospital, sagamu, Nigeria. Afr. J. Clin. Exp. Microbiol. 2002, 3, 13–16. [Google Scholar] [CrossRef]
- Owens, C.D.; Stoessel, K. Surgical site infections: Epidemiology, microbiology and prevention. J. Hosp. Infect. 2008, 70, 3–10. [Google Scholar] [CrossRef] [PubMed]
- Siddiqui, A.R.; Bernstein, J.M. Chronic wound infection: Facts and controversies. Clin. Dermatol. 2010, 28, 519–526. [Google Scholar] [CrossRef] [PubMed]
- Dionigi, R.; Rovera, F.; Dionigi, G.; Imperatori, A.; Ferrari, A.; Dionigi, P.; Dominioni, L. Risk factors in surgery. J. Chemother. 2001, 13, 6–11. [Google Scholar] [CrossRef]
- Manikandan, C.; Amsath, A. Antibiotic susceptibility of bacterial strains isolated from wound infection patients in Pattukkottai, Tamilnadu, India. Int. J. Curr. Microbiol. Appl. Sci. 2013, 2, 195–203. [Google Scholar]
- Centers for Disease Control and Prevention. Antibiotic Resistance Threats in the United States; US Department of Health and Human Services: Atlanta, GA, USA, 2019.
- Laxminarayan, R.; Duse, A.; Wattal, C.; Zaidi, A.K.M.; Wertheim, H.F.L.; Sumpradit, N.; Vlieghe, E.; Hara, G.L.; Gould, I.M.; Goossens, H.; et al. Antibiotic resistance—The need for global solutions. Lancet Infect. Dis. 2013, 13, 1057–1098. [Google Scholar] [CrossRef]
- Ma, C.; Zhu, G.; Li, T.; Zhao, T. Chemical composition, antioxidant, antimicrobial and cholinesterase inhibitory activities of essential oils from the leaves and rhizomes of Acorus macrospadiceus (Yamamoto) F. N.Wei et Y. K. Li. J. Essent. Oil Bear. Plants 2021, 24, 1323–1332. [Google Scholar] [CrossRef]
- El-Sapagh, S.; El-Shenody, R.; Pereira, L.; Elshobary, M. Unveiling the Potential of Algal Extracts as Promising Antibacterial and Antibiofilm Agents against Multidrug-Resistant Pseudomonas aeruginosa: In Vitro and In Silico Studies including Molecular Docking. Plants 2023, 12, 3324. [Google Scholar] [CrossRef]
- Elshobary, M.E.; El-Shenody, R.A.; Ashour, M.; Zabed, H.M.; Qi, X. Antimicrobial and antioxidant characterization of bioactive components from Chlorococcum minutum. Food Biosci. 2020, 35, 100567. [Google Scholar] [CrossRef]
- Willyard, C. Drug-resistant bacteria ranked. Nature 2017, 543, 15. [Google Scholar] [CrossRef] [PubMed]
- Chandra, H.; Bishnoi, P.; Yadav, A.; Patni, B.; Mishra, A.P.; Nautiyal, A.R. Antimicrobial resistance and the alternative resources with special emphasis on plant-based antimicrobials-a review. Plants 2017, 6, 16. [Google Scholar] [CrossRef] [PubMed]
- Blair, J.; Webber, M.A.; Baylay, A.J.; Ogbolu, D.O.; Piddock, L.J. V Molecular mechanisms of antibiotic resistance. Nat. Rev. Microbiol. 2015, 13, 42–51. [Google Scholar] [CrossRef] [PubMed]
- Dan, M.M.; Sarmah, P.; Vana, D.R.; Dattatreya, A. Wound healing: Concepts and updates in herbal medicine. Int. J. Med. Res. Health Sci. 2018, 7, 170–181. [Google Scholar]
- Barakat, K.M.; Ismail, M.M.; Abou El Hassayeb, H.E.; El Sersy, N.A.; Elshobary, M.E. Chemical characterization and biological activities of ulvan extracted from Ulva fasciata (Chlorophyta). Rend. Lincei. Sci. Fis. E Nat. 2022, 33, 829–841. [Google Scholar] [CrossRef]
- Carvalho, R.S.; Carollo, C.A.; de Magalhães, J.C.; Palumbo, J.M.C.; Boaretto, A.G.; Nunes e Sá, I.C.; Ferraz, A.C.; de Lima, W.G.; de Siqueira, J.M.; Ferreira, J.M.S. Antibacterial and antifungal activities of phenolic compound-enriched ethyl acetate fraction from Cochlospermum regium (mart. Et. Schr.) Pilger roots: Mechanisms of action and synergism with tannin and gallic acid. S. Afr. J. Bot. 2018, 114, 181–187. [Google Scholar] [CrossRef]
- El-Sayed, H.S.; Elshobary, M.E.; Barakat, K.M.; Khairy, H.M.; El-Sheikh, M.A.; Czaja, R.; Allam, B.; Senousy, H.H. Ocean acidification induced changes in Ulva fasciata biochemistry may improve Dicentrarchus labrax aquaculture via enhanced antimicrobial activity. Aquaculture 2022, 560, 738474. [Google Scholar] [CrossRef]
- WHO. National Policy on Traditional Medicine and Regulation of Herbal Medicines: Report of a WHO Global Survey; World Health Organization: Geneva, Switzerland, 2005. [Google Scholar]
- Kirbag, S.; Zengin, F.; Kursat, M. Antimicrobial activities of extracts of some plants. Pak. J. Bot. 2009, 41, 2067–2070. [Google Scholar]
- Shakeri, A.; Hazeri, N.; Vlizadeh, J.; Ghasemi, A.; Tavallaei, F.Z. Phytochemical screening, antimicrobial and antioxidant activities of Anabasis aphylla extracts. Kragujev. J. Sci. 2012, 34, 71–78. [Google Scholar]
- Lahlah, Z.F.; Meziani, M.; Maza, A. Silymarin natural antimicrobial agent extracted from Silybum marianum. J. Acad. 2012, 2, 164–169. [Google Scholar]
- Ramasamy, K.; Agarwal, R. Multitargeted therapy of cancer by silymarin. Cancer Lett. 2008, 269, 352–362. [Google Scholar] [CrossRef] [PubMed]
- Ghosh, A.; Ghosh, T.; Jain, S. Silymarin-a review on the pharmacodynamics and bioavailability enhancement approaches. J. Pharm. Sci. Technol. 2010, 2, 348–355. [Google Scholar]
- Wagoner, J.; Negash, A.; Kane, O.J.; Martinez, L.E.; Nahmias, Y.; Bourne, N.; Owen, D.M.; Grove, J.; Brimacombe, C.; McKeating, J.A.; et al. Multiple effects of silymarin on the hepatitis C virus lifecycle. Hepatology 2010, 51, 1912–1921. [Google Scholar] [CrossRef]
- Polyak, S.J.; Ferenci, P.; Pawlotsky, J.-M. Hepatoprotective and antiviral functions of silymarin components in HCV infection. Hepatology 2013, 57, 1262–1271. [Google Scholar] [CrossRef] [PubMed]
- Safarpoor, M.; Ghaedi, M.; Asfaram, A.; Yousefi-Nejad, M.; Javadian, H.; Khafri, H.Z.; Bagherinasab, M. Ultrasound-assisted extraction of antimicrobial compounds from Thymus daenensis and Silybum marianum: Antimicrobial activity with and without the presence of natural silver nanoparticles. Ultrason. Sonochem. 2018, 42, 76–83. [Google Scholar] [CrossRef] [PubMed]
- Ali, B.S.M.; ElSayed, A.I.; Doheem, M.A.; Abo Eita, A.M.; Omar, A.A. Effect of milk thistle (Silybum marianum (L.) Gaertn) seed extract on bacterial activities and growth of human liver cancer cells. J. Biotechnol. Res. 2020, 6, 27–33. [Google Scholar] [CrossRef]
- Kim, S.; Westphal, V.; Srikrishna, G.; Mehta, D.P.; Peterson, S.; Filiano, J.; Karnes, P.S.; Patterson, M.C.; Freeze, H.H. Dolichol phosphate mannose synthase (DPM1) mutations define congenital disorder of glycosylation Ie (CDG-Ie). J. Clin. Investig. 2000, 105, 191–198. [Google Scholar] [CrossRef]
- Altarac, S.; Papeš, D. Use of D-mannose in prophylaxis of recurrent urinary tract infections (UTIs) in women. BJU Int. 2014, 113, 9–10. [Google Scholar] [CrossRef]
- Ranta, K.; Nieminen, K.; Ekholm, F.S.; Poláková, M.; Roslund, M.U.; Saloranta, T.; Leino, R.; Savolainen, J. Evaluation of immunostimulatory activities of synthetic mannose-containing structures mimicking the β-(1→2)-linked cell wall mannans of Candida albicans. Clin. Vaccine Immunol. 2012, 19, 1889–1893. [Google Scholar] [CrossRef]
- Kamel, M.M.; Ali, H.I.; Anwar, M.M.; Mohamed, N.A.; Soliman, A.M. Synthesis, antitumor activity and molecular docking study of novel Sulfonamide-Schiff’s bases, thiazolidinones, benzothiazinones and their C-nucleoside derivatives. Eur. J. Med. Chem. 2010, 45, 572–580. [Google Scholar] [CrossRef] [PubMed]
- Olajuyigbe, O.O.; Onibudo, T.E.; Coopoosamy, R.M.; Ashafa, A.O.T.; Afolayan, A.J. Bioactive compounds and in vitro antimicrobial activities of ethanol stem bark extract of Trilepisium madagascariense DC. Int. J. Pharmacol. 2018, 14, 901–912. [Google Scholar] [CrossRef]
- Duke, J.; Bogenschutz, M.J. Dr. Duke’s Phytochemical and Ethnobotanical Databases; USDA, Agricultural Research Service: Washington, DC, USA, 1994.
- Vinothkanna, A.; Manivannan, P.; Muralitharan, G.; Sekar, S. In silico probing of anti-arthritic potential of traditionally fermented ayurvedic polyherbal product balarishta reveals lupeol and desulphosinigrin as efficient interacting components with UREC. Int. J. Pharm. Pharm. Sci. 2014, 6, 469–475. [Google Scholar]
- Hussein, H.M. Analysis of trace heavy metals and volatile chemical compounds of Lepidium sativum using atomic absorption spectroscopy, gas chromatography-mass spectrometric and fourier-transform infrared spectroscopy. Res. J. Pharm. Biol. Chem. Sci. 2016, 7, 2529–2555. [Google Scholar]
- Hassan, S.H.; Ashour, M.; Soliman, A.A.F.; Hassanien, H.A.; Alsanie, W.F.; Gaber, A.; Elshobary, M.E. The potential of a new commercial seaweed extract in stimulating morphoagronomic and bioactive properties of Eruca vesicaria (L.) Cav. Sustianability 2021, 11, 4485. [Google Scholar] [CrossRef]
- Ashour, M.; Al-Souti, A.S.; Hassan, S.M.; Ammar, G.A.G.; Goda, A.M.A.S.; El-Shenody, R.; Abomohra, A.E.F.; El-Haroun, E.; Elshobary, M.E. Commercial Seaweed Liquid Extract as Strawberry Biostimulants and Bioethanol Production. Life 2023, 13, 85. [Google Scholar] [CrossRef]
- Ashour, M.; Hassan, S.M.; Elshobary, M.E.; Ammar, G.A.G.; Gaber, A.; Alsanie, W.F.; Mansour, A.T.; El-shenody, R. Impact of commercial seaweed liquid extract (Tam®) biostimulant and its bioactive molecules on growth and antioxidant activities of hot pepper (Capsicum annuum). Plants 2021, 10, 1045. [Google Scholar] [CrossRef]
- Poudel-Tandukar, K.; Nanri, A.; Matsushita, Y.; Sasaki, S.; Ohta, M.; Sato, M.; Mizoue, T. Dietary intakes of α-linolenic and linoleic acids are inversely associated with serum C-reactive protein levels among Japanese men. Nutr. Res. 2009, 29, 363–370. [Google Scholar] [CrossRef]
- Huang, C.B.; George, B.; Ebersole, J.L. Antimicrobial activity of n-6, n-7 and n-9 fatty acids and their esters for oral microorganisms. Arch. Oral. Biol. 2010, 55, 555–560. [Google Scholar] [CrossRef]
- Farvid, M.S.; Ding, M.; Pan, A.; Sun, Q.; Chiuve, S.E.; Steffen, L.M.; Willett, W.C.; Hu, F.B. Dietary linoleic acid and risk of coronary heart disease: A systematic review and meta-analysis of prospective cohort studies. Circulation 2014, 130, 1568–1578. [Google Scholar] [CrossRef]
- Park, S.Y.; Seetharaman, R.; Ko, M.J.; Kim, D.Y.; Kim, T.H.; Yoon, M.K.; Kwak, J.H.; Lee, S.J.; Bae, Y.S.; Choi, Y.W. Ethyl linoleate from garlic attenuates lipopolysaccharide-induced pro-inflammatory cytokine production by inducing heme oxygenase-1 in RAW264.7 cells. Int. Immunopharmacol. 2014, 19, 253–261. [Google Scholar] [CrossRef] [PubMed]
- Charakida, A.; Charakida, M.; Chu, A.C. Double-blind, randomized, placebo-controlled study of a lotion containing triethyl citrate and ethyl linoleate in the treatment of acne vulgaris. Br. J. Dermatol. 2007, 157, 569–574. [Google Scholar] [CrossRef] [PubMed]
- Ko, G.-A.; Cho, S.K. Ethyl linoleate inhibits α-MSH-induced melanogenesis through Akt/GSK3β/β-catenin signal pathway. Korean J. Physiol. Pharmacol. 2018, 22, 53–61. [Google Scholar] [CrossRef] [PubMed]
- Sultana, S.; Mawla, N.; Kawser, S.; Akhtar, N.; Ali, M.K. Current microbial isolates from wound swab and their susceptibility pattern in a private medical college hospital in Dhaka city. Delta Med. Coll. J. 2015, 3, 25–30. [Google Scholar] [CrossRef]
- Mohammed, A.; Seid, M.E.; Gebrecherkos, T.; Tiruneh, M.; Moges, F. Bacterial isolates and their antimicrobial susceptibility patterns of wound infections among inpatients and outpatients attending the university of Gondar Referral Hospital, Northwest Ethiopia. Int. J. Microbiol. 2017, 2017, 8953829. [Google Scholar] [CrossRef] [PubMed]
- Barrett, S.P.; Savage, M.A.; Rebec, M.P.; Guyot, A.; Andrews, N.; Shrimpton, S.B. Antibiotic sensitivity of bacteria associated with community-acquired urinary tract infection in Britain. J. Antimicrob. Chemother. 1999, 44, 359–365. [Google Scholar] [CrossRef]
- Brown, D.F.J.; Edwards, D.I.; Hawkey, P.M.; Morrison, D.; Ridgway, G.L.; Towner, K.J.; Wren, M.W.D. Guidelines for the laboratory diagnosis and susceptibility testing of methicillin-resistant Staphylococcus aureus (MRSA). J. Antimicrob. Chemother. 2005, 56, 1000–1018. [Google Scholar] [CrossRef] [PubMed]
- Ullah, K.; Ahmad, M.; Sharma, V.K.; Lu, P.; Harvey, A.; Zafar, M.; Sultana, S. Assessing the potential of algal biomass opportunities for bioenergy industry: A review. Fuel 2015, 143, 414–423. [Google Scholar] [CrossRef]
- Aldred, K.J.; Kerns, R.J.; Osheroff, N. Mechanism of quinolone action and resistance. Biochemistry 2014, 53, 1565–1574. [Google Scholar] [CrossRef]
- Atef, N.M.; Shanab, S.M.; Negm, S.I.; Abbas, Y.A. Evaluation of antimicrobial activity of some plant extracts against antibiotic susceptible and resistant bacterial strains causing wound infection. Bull. Natl. Res. Cent. 2019, 43, 144. [Google Scholar] [CrossRef]
- Gomatheswari, S.N.; Jeyamurugan, T. Bacteriological profile and the antibiotic susceptibility pattern of microorganisms isolated from pus/wound swab isolates in patients attending a tertiary care hospital in South India. Int. J. Curr. Microbiol. App Sci. 2017, 6, 1405–1413. [Google Scholar] [CrossRef]
- Kaye, K.S.; Engemann, J.J.; Fraimow, H.S.; Abrutyn, E. Pathogens resistant to antimicrobial agents: Epidemiology, molecular mechanisms, and clinical management. Infect. Dis. Clin. 2004, 18, 467–511. [Google Scholar] [CrossRef]
- Fraschini, F.; Demartini, G. Esposti. Pharmacology of silymarin. Clin. Drug Investig. 2002, 22, 51–65. [Google Scholar] [CrossRef]
- Mohammed, F.S.; Pehlivan, M.; Sevindik, M. Antioxidant, antibacterial and antifungal activities of different extracts of Silybum marianum collected from Duhok (Iraq). Int. J. Second. Metab. 2019, 6, 317–322. [Google Scholar] [CrossRef]
- Greenway, D.L.A.; Dyke, K.G.H. Mechanism of the inhibitory action of linoleic acid on the growth of Staphylococcus aureus. Microbiology 1979, 115, 233–245. [Google Scholar] [CrossRef]
- Morsi, H.H.; El-Sabbagh, S.M.; Mehesen, A.A.; Mohamed, A.D.; Al-Harbi, M.; Elkelish, A.; El-Sheekh, M.M.; Saber, A.A. Antibacterial activity of bioactive compounds extracted from the Egyptian untapped green algae Rhizoclonium hieroglyphicum. Water 2023, 15, 2030. [Google Scholar] [CrossRef]
- Rad, Z.M.; Nourafcan, H.; Mohebalipour, N.; Assadi, A.; Jamshidi, S. Effect of salicylic acid foliar application on phytochemical composition, antioxidant and antimicrobial activity of Silybum marianum. Iraqi J. Agric. Sci. 2021, 52, 63–69. [Google Scholar] [CrossRef]
- Xiong, G.; Wu, Z.; Yi, J.; Fu, L.; Yang, Z.; Hsieh, C.; Yin, M.; Zeng, X.; Wu, C.; Lu, A.; et al. ADMETlab 2.0: An integrated online platform for accurate and comprehensive predictions of ADMET properties. Nucleic Acids Res. 2021, 49, W5–W14. [Google Scholar] [CrossRef]
- Hoosain, F.G.; Choonara, Y.E.; Tomar, L.K.; Kumar, P.; Tyagi, C.; Toit, L.C.d.; Pillay, V. Bypassing P-glycoprotein drug efflux mechanisms: Possible applications in pharmacoresistant schizophrenia therapy. Biomed. Res. Int. 2015, 2015, 1–21. [Google Scholar] [CrossRef]
- Chukwuma, I.F.; Nworah, F.N.; Apeh, V.O.; Omeje, K.O.; Nweze, E.J.; Asogwa, C.D.; Ezeorba, T.P.C. Phytochemical characterization, functional nutrition, and anti-diabetic potentials of Leptadenia hastata (pers) decne leaves: In Silico and In Vitro studies. Bioinform. Biol. Insights 2022, 16, 1–17. [Google Scholar] [CrossRef]
- Snoussi, M.; Noumi, E.; Hajlaoui, H.; Bouslama, L.; Hamdi, A.; Saeed, M.; Alreshidi, M.; Adnan, M.; Al-Rashidi, A.; Aouadi, K.; et al. Phytochemical profiling of Allium subhirsutum L. aqueous extract with antioxidant, antimicrobial, antibiofilm, and anti-quorum sensing properties: In Vitro and in silico studies. Plants 2022, 11, 495. [Google Scholar] [CrossRef] [PubMed]
- Alreshidi, M.; Badraoui, R.; Adnan, M.; Patel, M.; Alotaibi, A.; Saeed, M.; Ghandourah, M.; Al-Motair, K.A.; Arif, I.A.; Albulaihed, Y.; et al. Phytochemical profiling, antibacterial, and antibiofilm activities of Sargassum sp. (brown algae) from the Red Sea: ADMET prediction and molecular docking analysis. Algal Res. 2023, 69, 102912. [Google Scholar] [CrossRef]
- Nishikawa, Y.; Hase, A.; Ogawasara, J.; Scotland, S.M.; Smith, H.R.; Kimura, T. Adhesion to and invasion of human colon carcinoma Caco-2 cells by Aeromonas strains. J. Med. Microbiol. 1994, 40, 55–61. [Google Scholar] [CrossRef] [PubMed]
- De Sousa, M.; Martins, C.H.Z.; Franqui, L.S.; Fonseca, L.C.; Delite, F.S.; Lanzoni, E.M.; Martinez, D.S.T.; Alves, O.L. Covalent functionalization of graphene oxide with d-mannose: Evaluating the hemolytic effect and protein corona formation. J. Mater. Chem. B 2018, 6, 2803–2812. [Google Scholar] [CrossRef] [PubMed]
- Piccini, M.; Leak, D.J.; Chuck, C.J.; Buchard, A. Polymers from sugars and unsaturated fatty acids: ADMET polymerisation of monomers derived from D-xylose, D-mannose and castor oil. Polym. Chem. 2020, 11, 2681–2691. [Google Scholar] [CrossRef]
- Oyeyemi, I.T.; Adewole, K.E.; Gyebi, G.A. In silico prediction of the possible antidiabetic and anti-inflammatory targets of Nymphaea lotus-derived phytochemicals and mechanistic insights by molecular dynamics simulations. J. Biomol. Struct. Dyn. 2023, 41, 12225–12241. [Google Scholar] [CrossRef]
- Helsinki Declaration of Helsinki History Website. Ethical Principles for Medical Research; Declaration of Helsinki; The JAMA Network: Helsinki, Finland, 2015. [Google Scholar]
- Cheesbrough, M. District Laboratory Practice in Tropical Countries; Cambridge University Press: Cambridge, UK, 2005; ISBN 9780521676304. [Google Scholar]
- Funke, G.; Funke-Kissling, P. Evaluation of the new VITEK 2 card for identification of clinically relevant gram-negative rods. J. Clin. Microbiol. 2004, 42, 4067–4071. [Google Scholar] [CrossRef] [PubMed]
- Funke, G.; Funke-Kissling, P. Performance of the new VITEK 2 GP card for identification of medically relevant gram-positive cocci in a routine clinical laboratory. J. Clin. Microbiol. 2005, 43, 84–88. [Google Scholar] [CrossRef]
- Huo, S.; Basheer, S.; Liu, F.; Elshobary, M.; Zhang, C.; Qian, J.; Xu, L.; Arslan, M.; Cui, F.; Zan, X.; et al. Bacterial intervention on the growth, nutrient removal and lipid production of filamentous oleaginous microalgae Tribonema sp. Algal Res. 2020, 52, 102088. [Google Scholar] [CrossRef]
- Tamura, K.; Stecher, G.; Kumar, S. MEGA11: Molecular Evolutionary Genetics Analysis Version 11. Mol. Biol. Evol. 2021, 38, 3022–3027. [Google Scholar] [CrossRef]
- Saitou, N.; Nei, M. The neighbor-joining method: A new method for reconstructing phylogenetic trees. Mol. Biol. Evol. 1987, 4, 406–425. [Google Scholar] [PubMed]
- Felsenstein, J. Confidence limits on phylogenies: An approach using the bootstrap. Evolution 1985, 39, 783–791. [Google Scholar] [CrossRef] [PubMed]
- Collee, J.G.; Mackie, T.J.; McCartney, J.E. Mackie & McCartney Practical Medical Microbiology; Churchill Livingstone: London, UK, 1996. [Google Scholar]
- Bauer, A.W.; Kirby, W.M.M.; Sherris, J.C.; Turck, M. Antibiotic susceptibility testing by a standardized single disk method. Am. J. Clin. Pathol. 1966, 45, 493–496. [Google Scholar] [CrossRef] [PubMed]
- Humphries, R.M.; Ambler, J.; Mitchell, S.L.; Castanheira, M.; Dingle, T.; Hindler, J.A.; Koeth, L.; Sei, K. CLSI methods development and standardization working group best practices for evaluation of antimicrobial susceptibility tests. J. Clin. Microbiol. 2021, 56, e019. [Google Scholar] [CrossRef] [PubMed]
- Abu-Al-Basal, M.A. In vitro and in vivo anti-microbial effects of Nigella sativa Linn. seed extracts against clinical isolates from skin wound infections. Am. J. Appl. Sci. 2009, 6, 1440–1447. [Google Scholar]
- Okigbo, R.N.; Omodamiro, O.D. Antimicrobial effect of leaf extracts of pigeon pea (Cajanus cajan (L.) Millsp.) on some human pathogens. J. Herbs. Spices Med. Plants 2007, 12, 117–127. [Google Scholar] [CrossRef]
- Okigbo, R.N.; Mmeka, E.C. Antimicrobial effects of three tropical plant extracts on Staphylococcus aureus, Escherichia coli and Candida albicans. Afr. J. Tradit. Complement. Altern. Med. 2008, 5, 226–229. [Google Scholar] [CrossRef][Green Version]
- Das, D.C.; De, S.; Das, M. Antibacterial activity and Phytochemical analysis of Cardanthera difformis Druce leaf extracts from West Bengal, India. Int. J. Phytomedicine 2013, 5, 446. [Google Scholar]
- Abou-Elkhair, E.; Fadda, H.; Abu-Mohsen, U. Antibacterial activity and Phytochemical analysis of some medicinal plants from Gaza Strip-Palestine. J. Al-Azhar Univ. 2010, 12, 45–54. [Google Scholar]
- Dimitrijević, D. Antioxidant and antimicrobial activity of different extracts from leaves and roots of Jovibarba heuffelii (Schott.) A. Löve and D. Löve. J. Med. Plants Res. 2012, 6, 4804–4810. [Google Scholar] [CrossRef]
- French, G.L. Bactericidal agents in the treatment of MRSA infections—The potential role of daptomycin. J. Antimicrob. Chemother. 2006, 58, 1107–1117. [Google Scholar] [CrossRef] [PubMed]
- Richards, R.M.E.; Cavill, R.H. Electron microscope study of effect of benzalkonium chloride and edetate disodium on cell envelope of Pseudomonas aeruginosa. J. Pharm. Sci. 1976, 65, 76–80. [Google Scholar] [CrossRef] [PubMed]
- Kim, S.; Chen, J.; Cheng, T.; Gindulyte, A.; He, J.; He, S.; Li, Q.; Shoemaker, B.A.; Thiessen, P.A.; Yu, B.; et al. PubChem 2023 update. Nucleic Acids Res. 2023, 51, D1373–D1380. [Google Scholar] [CrossRef] [PubMed]
- Daina, A.; Michielin, O.; Zoete, V. SwissADME: A free web tool to evaluate pharmacokinetics, drug-likeness and medicinal chemistry friendliness of small molecules. Sci. Rep. 2017, 7, 42717. [Google Scholar] [CrossRef]





| Gram Stain Test | Bacterial Isolate Code Number | Species * | Number (and Percentage) of Tested Antibiotics to Which the Isolate Showed: | |
|---|---|---|---|---|
| Resistance | Susceptibility | |||
| Gram-negative bacilli | NDL221 | E. coli | 8 (44.4%) | 10 (55.5%) |
| NDL222 | P. aeruginosa | 10 (55.5%) | 8 (44.4%) | |
| NDL223 | K. pneumoniae | 12 (66.7%) | 6 (33.3%) | |
| NDL224 | K. pneumoniae | 16 (88.9%) | 2 (11.1%) | |
| NDL225 | E. coli | 17 (94.4%) | 1 (5.5%) | |
| NDL226 | E. coli | 11 (61.1%) | 7 (38.9%) | |
| NDL227 | P. aeruginosa | 10 (55.5%) | 8 (44.4%) | |
| NDL228 | P. aeruginosa | 6 (33.3%) | 12 (66.7%) | |
| NDL229 | P. aeruginosa | 13 (72.2%) | 5 (27.8%) | |
| NDL2210 | S. maltophilia | 17 (94.4%) | 1 (5.5%) | |
| NDL2211 | P. aeruginosa | 7 (38.9%) | 11 (61.1%) | |
| NDL2212 | P. aeruginosa | 5 (27.8%) | 13 (72.2%) | |
| Gram-positive cocci | NDL2213 | S. aureus | 7 (58.3%) | 5 (41.7%) |
| NDL2214 | S. aureus | 4 (33.3%) | 8 (66.7%) | |
| NDL2215 | S. aureus | 0 (0.0%) | 12 (100.0%) | |
| NDL2216 | S. aureus | 8 (66.7%) | 4 (33.3%) | |
| NDL2217 | S. aureus | 1 (8.3%) | 11 (91.7%) | |
| NDL2218 | S. aureus | 2 (16.7%) | 10 (83.3%) | |
| NDL2219 | S. aureus | 0 (0.0%) | 12 (100.0%) | |
| NDL2220 | S. aureus | 10 (83.3%) | 2 (16.7%) | |
| NDL2221 | S. aureus | 4 (33.3%) | 8 (66.7%) | |
| NDL2222 | S. aureus | 4 (33.3%) | 8 (66.7%) | |
| NDL2223 | S. aureus | 9 (75.0%) | 3 (25.0%) | |
| NDL2224 | S. aureus | 7 (58.3%) | 5 (41.7%) | |
| NDL2225 | S. aureus | 5 (41.7%) | 7 (58.3%) | |
| NDL2226 | S. aureus | 0 (0.0%) | 12 (100.0%) | |
| NDL2227 | S. aureus | 3 (25.0%) | 9 (75.0%) | |
| NDL2228 | S. aureus | 0 (0.0%) | 12 (100.0%) | |
| NDL2229 | S. aureus | 6 (50.0%) | 6 (50.0%) | |
| NDL2230 | S. aureus | 2 (16.7%) | 10 (83.3%) | |
| Extracts of S. marianum | Inhibition Zone (mm) Recorded in Tests with: | |||
|---|---|---|---|---|
| MRSA | S. maltophilia | K. pneumoniae | E. coli | |
| Cold water | 0.00 ± 0.00 c# | 20.00 ± 2.00 b | 11.67 ± 1.15 b | 14.33 ± 0.58 b |
| Hot water | 0.00 ± 0.00 c | 0.00 ± 0.00 c | 0.00 ± 0.00 c | 0.00 ± 0.00 c |
| Ethanol | 33.67 ± 1.15 a | 34.33 ± 1.15 a | 25.00 ± 2.00 a | 21.00 ± 2.00 a |
| Acetone | 25.33 ± 1.53 b | 0.00 ± 0.00 c | 0.00 ± 0.00 c | 0.00 ± 0.00 c |
| DMSO (negative control) | 0.00 ± 0.00 c | 0.00 ± 0.00 c | 0.00 ± 0.00 c | 0.00 ± 0.00 c |
| Total mean | 11.80 ± 15.22 | 10.87 ± 14.58 | 7.33 ± 10.31 | 7.07 ± 9.25 |
| p value | 0.0001 *** | 0.0001 *** | 0.0001 *** | 0.0001 *** |
| F value | 1103.545 | 694.938 | 346.094 | 343.346 |
| Tested Bacteria | MIC (mg/mL) | MBC (mg/mL) |
|---|---|---|
| MRSA | 2.344 | 18.750 |
| S. maltophilia | 1.172 | 9.375 |
| K. pneumoniae | 2.344 | 37.500 |
| E. coli | 9.375 | 75.000 |
| Compound Name | Area % | Activity | References |
|---|---|---|---|
| d-Mannose | 4.332 | Essential food supplement for human health; beneficial effects on the immune system; treatment of urinary tract infections; antitumor agent; beneficial effects against metabolic syndrome; treatment of diabetes and intestinal diseases; and other biological activities | [30,31,32,33] |
| N-methyl-1-adamantaneacetamide | 1.876 | Antioxidant and antimicrobial activity | [34] |
| d-Mannitol, 1-decylsulfonyl-(sugar alcohol with sulfur) | 14.839 | Anticancer and antimicrobial activities | [35] |
| Desulfosinigrin | 0.83 | Antibacterial and antioxidant activities | [12,36,37] |
| 9,12-Octadecadienoic acid, methyl ester, (E,E)-(linolelaidic acid, methyl ester), or (methyl linolelaidate) | 0.616 | Antioxidant, antimicrobial, surfactant, hepatoprotective, antihistaminic, hypocholesterolemic, and antieczemic activities | [35,38,39,40] |
| 9,12-Octadecadienoic acid (Z,Z)-(linoleic acid) | 20 | Antimicrobial, anti-inflammatory, and antioxidant activities; decreases the rate of developing coronary heart disease; inhibits human breast cancer MCF-7 cells; prevents atherosclerosis, cancer, and hypertension; and improves immune function | [11,41,42,43] |
| 1,2-Benzenedicarboxylic acid, diisooctyl ester (diisooctyl phthalate) | 3.276 | Antimicrobial and antifouling agents | [35] |
| 1-Monolinoleoylglycerol trimethylsilyl ether | 3.097 | Antimicrobial, antioxidant, anti-inflammatory, antiarthritic, antiasthma, and diuretic activities | [35] |
| Linoleic acid ethyl ester (ethyl linoleate) (mandenol) | 9.596 | Antimicrobial and anti-inflammatory properties of wound healing; effective anti-acne agents used in cosmetics and skin care | [44,45,46] |
| 1 | 2 | 3 | 4 | 5 | 6 | 7 | 8 | 9 | |
|---|---|---|---|---|---|---|---|---|---|
| Physicochemical Properties | |||||||||
| Formula | C6H12O6 | C13H21NO | C16H34O7S | C10H17NO6S | C19H34O2 | C18H32O2 | C24H38O4 | C27H54O4Si2 | C20H36O2 |
| MW (g/mol) | 180.16 | 207.31 | 370.5 | 279.31 | 294.47 | 280.45 | 390.56 | 498.89 | 308.5 |
| #Heavy atoms | 12 | 15 | 24 | 18 | 21 | 20 | 28 | 33 | 22 |
| Fraction Csp3 | 1 | 0.92 | 1 | 0.7 | 0.74 | 0.72 | 0.67 | 0.81 | 0.75 |
| #Rotatable bonds | 1 | 3 | 15 | 5 | 15 | 14 | 16 | 22 | 16 |
| #H-bond acceptors | 6 | 1 | 7 | 7 | 2 | 2 | 4 | 4 | 2 |
| #H-bond donors | 5 | 1 | 5 | 5 | 0 | 1 | 0 | 0 | 0 |
| LogS (log mol/L) | −0.017 | −2.564 | −2.116 | −0.517 | −6.465 | −5.23 | −7.04 | −7.192 | −6.596 |
| LogD (log mol/L) | −2.139 | 2.709 | 1.038 | −0.695 | 4.646 | 3.58 | 5.345 | 6.399 | 4.803 |
| LogP (log mol/L) | −2.499 | 2.301 | 0.183 | −0.76 | 6.992 | 6.652 | 7.494 | 8.363 | 7.217 |
| Absorption parameters | |||||||||
| Pgp-inh | 0.001 | 0.035 | 0.003 | 0.003 | 0.001 | 0 | 0.968 | 0.258 | 0.001 |
| Pgp-sub | 0.098 | 0.001 | 0.024 | 0.001 | 0.028 | 0.002 | 0 | 0.005 | 0.013 |
| HIA | 0.899 | 0.006 | 0.938 | 0.912 | 0.007 | 0.01 | 0.001 | 0.005 | 0.003 |
| F(20%) | 0.054 | 0.002 | 0.996 | 0.728 | 0.008 | 0.009 | 0.988 | 0.008 | 0.008 |
| F (30%) | 0.944 | 0.002 | 0.972 | 0.997 | 0.775 | 0.549 | 0.956 | 0.033 | 0.729 |
| Caco-2 (log cm/s) | −5.318 | −4.62 | −5.778 | −5.598 | −4.551 | −4.733 | −4.655 | −4.811 | −4.526 |
| Distribution parameters | |||||||||
| BBB | 0.48 | 0.982 | 0.261 | 0.569 | 0.245 | 0.196 | 0.013 | 0.001 | 0.119 |
| PPB % | 12.50% | 59.27% | 74.81% | 45.91% | 96.84% | 98.39% | 97.63% | 100.90% | 97.29% |
| VDss (L/kg) | 0.395 | 0.879 | 0.616 | 0.401 | 2.926 | 0.626 | 1.445 | 2.796 | 2.707 |
| Metabolism parameters | |||||||||
| CYP1A2-inh | 0.01 | 0.159 | 0.016 | 0.02 | 0.941 | 0.235 | 0.134 | 0.424 | 0.939 |
| CYP1A2-sub | 0.046 | 0.314 | 0.092 | 0.031 | 0.179 | 0.171 | 0.178 | 0.605 | 0.166 |
| CYP2C19-inh | 0.01 | 0.815 | 0.006 | 0.017 | 0.569 | 0.086 | 0.699 | 0.435 | 0.601 |
| CYP2C19-sub | 0.15 | 0.138 | 0.226 | 0.059 | 0.064 | 0.066 | 0.06 | 0.488 | 0.058 |
| CYP2C9-inh | 0.001 | 0.506 | 0.001 | 0.002 | 0.6 | 0.43 | 0.36 | 0.66 | 0.637 |
| CYP2C9-sub | 0.16 | 0.613 | 0.693 | 0.584 | 0.947 | 0.988 | 0.878 | 0.905 | 0.937 |
| CYP2D6-inh | 0.002 | 0.501 | 0.001 | 0.001 | 0.167 | 0.006 | 0.116 | 0.054 | 0.337 |
| CYP2D6-sub | 0.133 | 0.295 | 0.028 | 0.129 | 0.139 | 0.086 | 0.022 | 0.262 | 0.098 |
| CYP3A4-inh | 0.004 | 0.435 | 0.007 | 0.009 | 0.692 | 0.085 | 0.254 | 0.678 | 0.608 |
| CYP3A4-sub | 0.01 | 0.168 | 0.027 | 0.019 | 0.065 | 0.019 | 0.088 | 0.096 | 0.068 |
| Excretion parameters | |||||||||
| CL (mL/min/kg) | 1.474 | 9.954 | 4.437 | 1.449 | 7.742 | 3.327 | 9.241 | 3.424 | 7.094 |
| Toxicity parameters | |||||||||
| hERG | 0.039 | 0.007 | 0.263 | 0.018 | 0.1 | 0.009 | 0.18 | 0.158 | 0.104 |
| H-HT | 0.046 | 0.689 | 0.023 | 0.074 | 0.011 | 0.013 | 0.003 | 0.01 | 0.004 |
| Carcinogenicity | 0.013 | 0.64 | 0.012 | 0.572 | 0.467 | 0.153 | 0.334 | 0.258 | 0.208 |
| Medicinal Chemistry | |||||||||
| Bioavailability Score | 0.55 | 0.55 | 0.55 | 0.55 | 0.55 | 0.85 | 0.55 | 0.55 | 0.55 |
| Synthetic Accessibility | 4.08 | 3.66 | 5.37 | 5.14 | 3.18 | 3.1 | 3.41 | 5.93 | 3.34 |
| Antibiotic Class | Antibiotic | Concentration μg/disc Potency | Chosen for Tests with: | |
|---|---|---|---|---|
| Gram-Negative Bacteria? | Gram-Positive Bacteria? | |||
| 1. Ansamycins | Rifampicin (RIF) | 5 | no | yes |
| 2. Aminoglycosides | Gentamicin (CN) | 10 | yes | yes |
| Amikacin (AK) | 30 | yes | no | |
| Tobramycin (TOB) | 10 | yes | no | |
| 3. Carbapenems | Imipenem (IPM) | 10 | yes | no |
| Meropenem (MEM) | 10 | yes | no | |
| 4. Cephalosporins | Cefepime (CPM) | 30 | yes | no |
| Cefotaxime (CTX) | 30 | yes | no | |
| Cefoxitin (FOX) | 30 | yes | yes | |
| Ceftazidime (CAZ) | 30 | yes | no | |
| 5. Folate pathway antagonists | Trimethoprim/Sulfamethoxazole (STX) | 1.25/23.75 | yes | yes |
| 6. Fluoroquinolones | Ciprofloxacin (CIP) | 5 | yes | yes |
| Levofloxacin (lE) | 5 | yes | yes | |
| 7. Macrolide | Azithromycin (AZM) | 15 | yes | yes |
| Erythromycin (E) | 15 | no | yes | |
| 8. Beta-lactam combination agents | Amoxicillin/Clavulanic Acid (AMC) | 20/10 | yes | no |
| Piperacillin/Tazobactam (PIT) | 100/10 | yes | no | |
| 9. Monobactam | Aztreonam (AT) | 30 | yes | no |
| 10. Phenicols | Chloramphenicol (C) | 30 | yes | yes |
| 11. Tetracyclines | Tetracycline (TE) | 30 | yes | yes |
| 12. Lincosamides | Clindmycin (CD) | 2 | no | yes |
| 13. Oxazolidinone | Linzolid (LZD) | 30 | no | yes |
Disclaimer/Publisher’s Note: The statements, opinions and data contained in all publications are solely those of the individual author(s) and contributor(s) and not of MDPI and/or the editor(s). MDPI and/or the editor(s) disclaim responsibility for any injury to people or property resulting from any ideas, methods, instructions or products referred to in the content. |
© 2023 by the authors. Licensee MDPI, Basel, Switzerland. This article is an open access article distributed under the terms and conditions of the Creative Commons Attribution (CC BY) license (https://creativecommons.org/licenses/by/4.0/).
Share and Cite
El-Sapagh, S.; Allam, N.G.; El-Sayed, M.N.E.-D.; El-Hefnawy, A.A.; Korbecka-Glinka, G.; Shala, A.Y. Effects of Silybum marianum L. Seed Extracts on Multi Drug Resistant (MDR) Bacteria. Molecules 2024, 29, 64. https://doi.org/10.3390/molecules29010064
El-Sapagh S, Allam NG, El-Sayed MNE-D, El-Hefnawy AA, Korbecka-Glinka G, Shala AY. Effects of Silybum marianum L. Seed Extracts on Multi Drug Resistant (MDR) Bacteria. Molecules. 2024; 29(1):64. https://doi.org/10.3390/molecules29010064
Chicago/Turabian StyleEl-Sapagh, Shimaa, Nanis G. Allam, Mohamed Nour El-Dein El-Sayed, Asmaa Ahmed El-Hefnawy, Grażyna Korbecka-Glinka, and Awad Y. Shala. 2024. "Effects of Silybum marianum L. Seed Extracts on Multi Drug Resistant (MDR) Bacteria" Molecules 29, no. 1: 64. https://doi.org/10.3390/molecules29010064
APA StyleEl-Sapagh, S., Allam, N. G., El-Sayed, M. N. E.-D., El-Hefnawy, A. A., Korbecka-Glinka, G., & Shala, A. Y. (2024). Effects of Silybum marianum L. Seed Extracts on Multi Drug Resistant (MDR) Bacteria. Molecules, 29(1), 64. https://doi.org/10.3390/molecules29010064

