RETRACTED: Hepatoprotective Effects of Biochanin A on Thioacetamide-Induced Liver Cirrhosis in Experimental Rats
Abstract
1. Introduction
2. Results
2.1. Acute Toxicity Study
2.2. Body Weight, Liver Weight, and Liver Index
2.3. Gross and Histopathological Examinations of the Liver
2.4. Massson’s Trichrome Staining
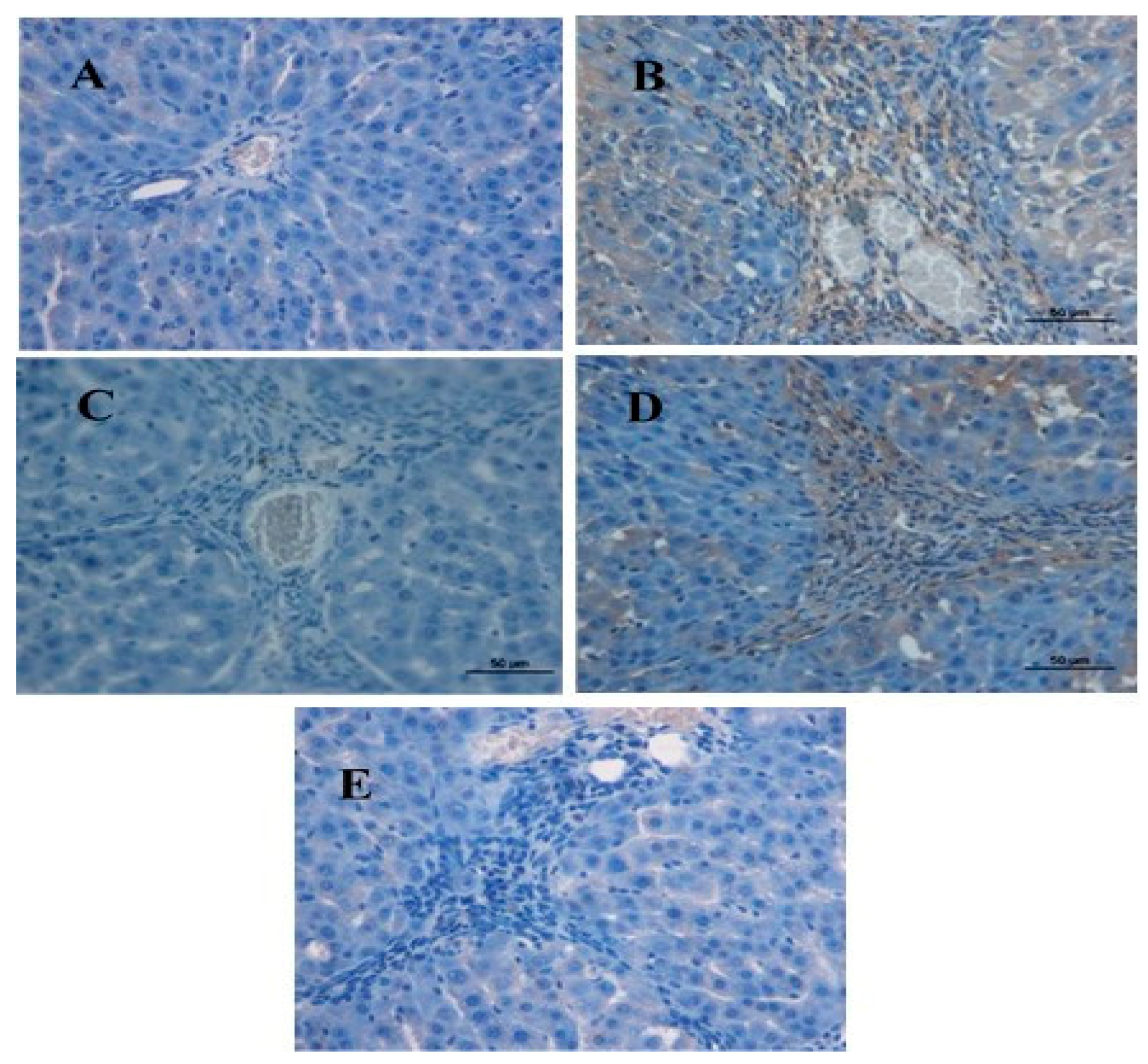
2.5. Immunohistochemical Stain of Liver Sections
2.6. Hepatic Antioxidant Enzymes and Malondialdehyde
2.7. Effect of BCAon Biochemical Markers
3. Discussion
4. Materials and Methods
4.1. Drugs and Chemicals
4.2. Thioacetamide Preparation
4.3. Silymarin Preparation
4.4. Acute Toxicity Study
4.5. Experimental Animals for Cirrhosis
4.6. Hepatoprotective Activity
4.7. Body Weight Assessment and Liver Weight Index
4.8. Gross and Histopathology Studies
4.9. Immunohistochemistry
4.10. Biochemical Parameters for Liver Function
4.11. Liver Tissue Homogenate for Endogenous Enzymes
4.12. Data Analysis
5. Conclusions
Author Contributions
Funding
Institutional Review Board Statement
Informed Consent Statement
Data Availability Statement
Conflicts of Interest
References
- Antar, S.A.; Ashour, N.A.; Marawan, M.E.; Al-Karmalawy, A.A. Fibrosis: Types, Effects, Markers, Mechanisms for Disease Progression, and Its Relation with Oxidative Stress, Immunity, and Inflammation. Int. J. Mol. Sci. 2023, 24, 4004. [Google Scholar]
- Bachar, S.C.; Bachar, R.; Jannat, K.; Jahan, R.; Rahmatullah, M. Chapter Seven—Hepatoprotective natural products. In Annual Reports in Medicinal Chemistry; Sarker, S.D., Nahar, L., Eds.; Academic Press: Cambridge, MA, USA, 2020; pp. 207–249. [Google Scholar]
- Aslam, A.; Kwo, P.Y. Epidemiology and Disease Burden of Alcohol Associated Liver Disease. J. Clin. Exp. Hepatol. 2023, 13, 88–102. [Google Scholar] [CrossRef]
- El-Fadaly, A.A.; Afifi, N.A.; El-Eraky, W.; Salama, A.; Abdelhameed, M.F.; El-Rahman, S.S.A.; Ramadan, A. Fisetin alleviates thioacetamide-induced hepatic fibrosis in rats by inhibiting Wnt/β-catenin signaling pathway. Immunopharmacol. Immunotoxicol. 2022, 44, 355–366. [Google Scholar] [CrossRef]
- Alshawsh, M.A.; Abdulla, M.A.; Ismail, S.; Amin, Z.A. Hepatoprotective effects of Orthosiphon stamineus extract on thioacetamide-induced liver cirrhosis in rats. Evid.-Based Complement. Altern. Med. 2011, 2011, 103039. [Google Scholar] [CrossRef]
- Roehlen, N.; Crouchet, E.; Baumert, T.F. Liver Fibrosis: Mechanistic Concepts and Therapeutic Perspectives. Cells 2020, 9, 875. [Google Scholar]
- Kisseleva, T.; Brenner, D. Molecular and cellular mechanisms of liver fibrosis and its regression. Nat. Rev. Gastroenterol. Hepatol. 2021, 18, 151–166. [Google Scholar] [CrossRef]
- El-Gendy, Z.A.; El-Marasy, S.A.; Ahmed, R.F.; El-Batran, S.A.; Abd El-Rahman, S.S.; Ramadan, A.; Youssef, S.A.H. Hepatoprotective effect of Saccharomyces Cervisciae Cell Wall Extract against thioacetamide-induced liver fibrosis in rats. Heliyon 2021, 7, e07159. [Google Scholar] [CrossRef]
- Mousa, A.A.; El-Gansh, H.A.I.; Eldaim, M.A.A.; Mohamed, M.A.E.-G.; Morsi, A.H.; El Sabagh, H.S. Protective effect of Moringa oleifera leaves ethanolic extract against thioacetamide-induced hepatotoxicity in rats via modulation of cellular antioxidant, apoptotic and inflammatory markers. Environ. Sci. Pollut. Res. 2019, 26, 32488–32504. [Google Scholar] [CrossRef]
- Al-Attar, A.M.; Al-Rethea, H.A. Chemoprotective effect of omega-3 fatty acids on thioacetamide induced hepatic fibrosis in male rats. Saudi J. Biol. Sci. 2017, 24, 956–965. [Google Scholar]
- Al-Medhtiy, M.H.; Jabbar, A.A.; Shareef, S.H.; Ibrahim, I.A.A.; Alzahrani, A.R.; Abdulla, M.A. Histopathological evaluation of Annona muricata in TAA-induced liver injury in rats. Processes 2022, 10, 1613. [Google Scholar] [CrossRef]
- Yoshiji, H.; Nagoshi, S.; Akahane, T.; Asaoka, Y.; Ueno, Y.; Ogawa, K.; Kawaguchi, T.; Kurosaki, M.; Sakaida, I.; Shimizu, M. Evidence-based clinical practice guidelines for liver cirrhosis 2020. J. Gastroenterol. 2021, 56, 593–619. [Google Scholar] [CrossRef] [PubMed]
- Li, H. Advances in anti hepatic fibrotic therapy with Traditional Chinese Medicine herbal formula. J. Ethnopharmacol. 2020, 251, 112442. [Google Scholar] [CrossRef] [PubMed]
- Feng, Z.-J.; Lai, W.-F. Chemical and Biological Properties of Biochanin A and Its Pharmaceutical Applications. Pharmaceutics 2023, 15, 1105. [Google Scholar] [CrossRef]
- Sundaresan, A.; Radhiga, T.; Deivasigamani, B. Biological activity of biochanin A: A review. Asian J. Pharm. Pharmacol. 2018, 4, 1–5. [Google Scholar] [CrossRef]
- Yan, J.; Qiu, P.; Zhang, X.; Zhang, Y.; Mi, L.; Peng, C.; Pan, X.; Peng, F. Biochanin A from chinese medicine: An isoflavone with diverse pharmacological properties. Am. J. Chin. Med. 2021, 49, 1623–1643. [Google Scholar] [CrossRef]
- Breikaa, R.M.; Algandaby, M.M.; El-Demerdash, E.; Abdel-Naim, A.B. Biochanin A protects against acute carbon tetra-chloride-induced hepatotoxicity in rats. Biosci. Biotechnol. Biochem. 2013, 77, 909–916. [Google Scholar] [CrossRef] [PubMed]
- Li, P.; Li, M.; Lou, X.; Zhao, B.; Ma, Q.; Bian, Y.; Mi, X. Evaluation of Hypoglycemic Activity and Sub-Acute Toxicity of the Novel Biochanin A–Chromium (III) Complex. Molecules 2022, 27, 5786. [Google Scholar] [CrossRef]
- Al-Attar, A.M. Hematological and biochemical investigations on the effect of curcumin and Thymoquinone in male mice exposed to Thioacetamide. Saudi J. Biol. Sci. 2022, 29, 660–665. [Google Scholar] [CrossRef]
- Alkreathy, H.M.; Esmat, A. Lycorine Ameliorates Thioacetamide-Induced Hepatic Fibrosis in Rats: Emphasis on Antioxidant, Anti-Inflammatory, and STAT3 Inhibition Effects. Pharmaceuticals 2022, 15, 369. [Google Scholar] [CrossRef]
- Zargar, S.; Wani, T.A.; Alamro, A.A.; Ganaie, M.A. Amelioration of thioacetamide-induced liver toxicity in Wistar rats by rutin. Int. J. Immunopathol. Pharmacol. 2017, 30, 207–214. [Google Scholar] [CrossRef]
- Rizzo, C.C.; de Castro, O.; Junior, S.; Sankarankutty, A.K.; Menegazzo, L.A.G.; Granato, R.G. Repercussões sistêmicas da icterícia obstrutiva. Medicina 1997, 30, 173–182. [Google Scholar] [CrossRef]
- Fändriks, L. Roles of the gut in the metabolic syndrome: An overview. J. Intern. Med. 2017, 281, 319–336. [Google Scholar] [CrossRef] [PubMed]
- Court, F.; Wemyss-Holden, S.; Dennison, A.; Maddern, G. The mystery of liver regeneration. Br. J. Surg. 2002, 89, 1089–1095. [Google Scholar] [CrossRef] [PubMed]
- Liedtke, C.; Luedde, T.; Sauerbruch, T.; Scholten, D.; Streetz, K.; Tacke, F.; Tolba, R.; Trautwein, C.; Trebicka, J.; Weiskirchen, R. Experimental liver fibrosis research: Update on animal models, legal issues and translational aspects. Fibrogenesis Tissue Repair 2013, 6, 19. [Google Scholar] [CrossRef] [PubMed]
- Tsai, M.-Y.; Yang, W.-C.; Lin, C.-F.; Wang, C.-M.; Liu, H.-Y.; Lin, C.-S.; Lin, J.-W.; Lin, W.-L.; Lin, T.-C.; Fan, P.-S.; et al. The Ameliorative Effects of Fucoidan in Thioacetaide-Induced Liver Injury in Mice. Molecules 2021, 26, 1937. [Google Scholar] [CrossRef]
- Hu, C.; Zhao, L.; Tao, J.; Li, L. Protective role of melatonin in early-stage and end-stage liver cirrhosis. J. Cell. Mol. Med. 2019, 23, 7151–7162. [Google Scholar] [CrossRef]
- ElBaset, M.A.; Salem, R.S.; Ayman, F.; Ayman, N.; Shaban, N.; Afifi, S.M.; Esatbeyoglu, T.; Abdelaziz, M.; Elalfy, Z.S. Effect of Empagliflozin on Thioacetamide-Induced Liver Injury in Rats: Role of AMPK/SIRT-1/HIF-1α Pathway in Halting Liver Fibrosis. Antioxidants 2022, 11, 2152. [Google Scholar] [CrossRef]
- Aslam, A.; Sheikh, N.; Shahzad, M.; Saeed, G.; Fatima, N.; Akhtar, T. Quercetin ameliorates thioacetamide-induced hepatic fibrosis and oxidative stress by antagonizing the Hedgehog signaling pathway. J. Cell. Biochem. 2022, 123, 1356–1365. [Google Scholar] [CrossRef]
- El-Marasy, S.A.; El Awdan, S.A.; Abd-Elsalam, R.M. Protective role of chrysin on thioacetamide-induced hepatic encephalopathy in rats. Chem.-Biol. Interact. 2019, 299, 111–119. [Google Scholar] [CrossRef]
- Shaker, M.E.; Eisa, N.H.; Elgaml, A.; El-Mesery, A.; El-Shafey, M.; El-Dosoky, M.; El-Mowafy, M.; El-Mesery, M. Ingestion of mannose ameliorates thioacetamide-induced intrahepatic oxidative stress, inflammation and fibrosis in rats. Life Sci. 2021, 286, 120040. [Google Scholar] [CrossRef]
- Hussein, R.M.; Anwar, M.M.; Farghaly, H.S.; Kandeil, M.A. Gallic acid and ferulic acid protect the liver from thioacetamide-induced fibrosis in rats via differential expression of miR-21, miR-30 and miR-200 and impact on TGF-β1/Smad3 signaling. Chem.-Biol. Interact. 2020, 324, 109098. [Google Scholar] [CrossRef] [PubMed]
- Zaghloul, R.A.; Zaghloul, A.M.; El-Kashef, D.H. Hepatoprotective effect of Baicalin against thioacetamide-induced cirrhosis in rats: Targeting NOX4/NF-κB/NLRP3 inflammasome signaling pathways. Life Sci. 2022, 295, 120410. [Google Scholar] [CrossRef] [PubMed]
- El-Maadawy, W.H.; Seif el-Din, S.H.; Ezzat, S.M.; Hammam, O.A.; Safar, M.M.; Saleh, S.; El-Lakkany, N.M. Rutin Ameliorates Hepatic Fibrosis via Targeting Hepatic Stellate Cells’ Activation, Proliferation and Apoptosis. J. Herbs Spices Med. Plants 2021, 27, 322–341. [Google Scholar] [CrossRef]
- El-Lakkany, N.M.; El-Maadawy, W.H.; El-Din, S.H.S.; Saleh, S.; Safar, M.M.; Ezzat, S.M.; Mohamed, S.H.; Botros, S.S.; Demerdash, Z.; Hammam, O.A. Antifibrotic effects of gallic acid on hepatic stellate cells: In vitro and in vivo mechanistic study. J. Tradit. Complement. Med. 2019, 9, 45–53. [Google Scholar] [CrossRef]
- Elnfarawy, A.A.; Nashy, A.E.; Abozaid, A.M.; Komber, I.F.; Elweshahy, R.H.; Abdelrahman, R.S. Vinpocetine attenuates thioacetamide-induced liver fibrosis in rats. Hum. Exp. Toxicol. 2021, 40, 355–368. [Google Scholar] [CrossRef]
- Algandaby, M.M. Antifibrotic effects of crocin on thioacetamide-induced liver fibrosis in mice. Saudi J. Biol. Sci. 2018, 25, 747–754. [Google Scholar] [CrossRef]
- Ezhilarasan, D. Molecular mechanisms in thioacetamide-induced acute and chronic liver injury models. Environ. Toxicol. Pharmacol. 2023, 99, 104093. [Google Scholar] [CrossRef]
- Li, S.; Hong, M.; Tan, H.-Y.; Wang, N.; Feng, Y. Insights into the Role and Interdependence of Oxidative Stress and Inflammation in Liver Diseases. Oxidative Med. Cell. Longev. 2016, 2016, 4234061. [Google Scholar] [CrossRef]
- Li, S.; Tan, H.Y.; Wang, N.; Cheung, F.; Hong, M.; Feng, Y. The potential and action mechanism of polyphenols in the treatment of liver diseases. Oxidative Med. Cell. Longev. 2018, 2018, 8394818. [Google Scholar] [CrossRef]
- Radwan, A.M.; Fatoh, S.A.; Massoud, A.; Tousson, E. Effectiveness of curcumin nanoparticles in rat liver fibrosis caused by thioacetamide. Environ. Toxicol. 2023. online ahead of print. [Google Scholar] [CrossRef]
- Munteanu, I.G.; Apetrei, C. Analytical Methods Used in Determining Antioxidant Activity: A Review. Int. J. Mol. Sci. 2021, 22, 3380. [Google Scholar] [CrossRef]
- Polimati, H.; Pragada, R.R.; Thuan, N.H.; Tatipamula, V.B. Chapter 8—Hepatoprotective potential of bioflavonoids. In Studies in Natural Products Chemistry; ur Atta, R., Ed.; Elsevier: Amsterdam, The Netherlands, 2022; pp. 259–285. [Google Scholar]
- Yahya, S.; Shalaby, R.; Mannaa, F.A.; Abdel-Wahhab, K.G.; Mohamed, N.R.; Shabana, M.; Elwakeel, S.H. Hepatoprotective effects of chitosan on thioacetamide induced liver toxicity in male albino rats. Biointerface Res. Appl. Chem 2021, 11, 14490–14505. [Google Scholar]
- Ibrahim, S.A.; Mohamed, M.Z.; El-Tahawy, N.F.; Abdelrahman, A.M. Antifibrotic effects of bezafibrate and pioglitazone against thioacetamide-induced liver fibrosis in albino rats. Can. J. Physiol. Pharmacol. 2021, 99, 313–320. [Google Scholar] [CrossRef]
- Thilagavathi, R.; Begum, S.S.; Varatharaj, S.D.; Balasubramaniam, A.k.; George, J.S.; Selvam, C. Recent insights into the hepatoprotective potential of medicinal plants and plant-derived compounds. Phytother. Res. 2023, 37, 2102–2118. [Google Scholar] [CrossRef] [PubMed]
- Salama, S.; Kue, C.S.; Mohamad, H.; Omer, F.; Ibrahim, M.Y.; Abdulla, M.; Ali, H.; Mariod, A.; Jayash, S.N. Hepatoprotective potential of a novel quinazoline derivative in thioacetamide-induced liver toxicity. Front. Pharmacol. 2022, 13, 943340. [Google Scholar] [CrossRef] [PubMed]
- Abood, W.N.; Bradosty, S.W.; Shaikh, F.K.; Salehen, N.A.; Farghadani, R.; Agha, N.F.S.; Al-Medhtiy, M.H.; Kamil, T.D.A.; Agha, A.S.; Abdulla, M.A. Garcinia mangostana peel extracts exhibit hepatoprotective activity against thioacetamide-induced liver cirrhosis in rats. J. Funct. Foods 2020, 74, 104200. [Google Scholar] [CrossRef]
- Ibrahim, M.Y.; Hashim, N.M.; Mohan, S.; Abdulla, M.A.; Abdelwahab, S.I.; Arbab, I.A.; Yahayu, M.; Ali, L.Z.; Ishag, O.E. α-Mangostin from Cratoxylum arborescens: An in vitro and in vivo toxicological evaluation. Arab. J. Chem. 2015, 8, 129–137. [Google Scholar] [CrossRef]
- Ibrahim, M.Y.; Hashim, N.M.; Omer, F.A.A.; Abubakar, M.S.; Mohammed, H.A.; Salama, S.M.; Jayash, S.N. Potential Antitumor Effect of α-Mangostin against Rat Mammary Gland Tumors Induced by LA7 Cells. Int. J. Mol. Sci. 2023, 24, 10283. [Google Scholar] [CrossRef]
- Jabbar, A.A.; Alamri, Z.Z.; Abdulla, M.A.; Salehen, N.A.; Al Sinawi, Z.S.A.; Alfaifi, S.M. Hepatoprotective effects of Gynura procumbens against thioacetamide-induced cirrhosis in rats: Targeting inflammatory and oxidative stress signalling pathways. Heliyon 2023, 9, e19418. [Google Scholar] [CrossRef]
- Shareef, S.H.; Juma, A.S.; Agha, D.N.; Alzahrani, A.R.; Ibrahim, I.A.A.; Abdulla, M.A. Hepatoprotective Effect of Alpinetin on Thioacetamide-Induced Liver Fibrosis in Sprague Dawley Rat. Appl. Sci. 2023, 13, 5243. [Google Scholar] [CrossRef]





| Biochemical Parameters | Gender | Control | BCA 20 mg/kg | BCA 200 mg/kg |
|---|---|---|---|---|
| LFT | ||||
| ALP (IU/L) | Male Female | 79 ± 1.72 62 ± 1.43 | 80.15 ± 1.64 61 ± 2.00 | 81 ± 1.30 63 ± 1.44 |
| ALT (IU/L) | Male Female | 40 ± 1.14 54 ± 3.26 | 42.29 ± 1.72 55 ± 1.25 | 41 ± 1.57 56 ± 1.43 |
| AST (IU/L) | Male Female | 60 ± 2.36 57 ± 0.21 | 62.16 ± 2.31 58 ± 2.67 | 59 ± 1.44 59 ± 0.00 |
| T. Bilirubin (µmol/L) | Male Female | 3.32 ± 1.10 5 ± 2.71 | 3.41 ± 1.25 5 ± 1.90 | 3.53 ± 1.37 5 ± 2.11 |
| T. Protein (g/L) | Male Female | 52 ± 1.64 33 ± 1.64 | 49.32 ± 1.52 30 ± 0.63 | 51.84 ± 2.31 31 ± 2.08 |
| Albumin (g/L) | Male Female | 34 ± 2.32 22 ± 4.22 | 33.34 ± 1.47 23 ± 0.18 | 35.29 ± 1.36 25 ± 0.79 |
| RFT | ||||
| Sodium mmol/L | Male Female | 122 ± 1.23 84 ± 1.30 | 123.25 ± 1.42 85 ± 1.56 | 123.12 ± 1.17 85 ± 1.10 |
| Potassium mmol/L | Male Female | 7 ± 2.39 5 ± 0.22 | 7.42 ± 1.23 5 ± 1.19 | 7.89 ± 2.47 5 ± 1.38 |
| Chloride mmol/L | Male Female | 88 ± 1.13 61 ± 2.26 | 87.3 ± 1.02 62 ± 0.15 | 87.22 ± 1.43 61 ± 2.63 |
| Urea mmol/L | Male Female | 6.21 ± 1.20 4 ± 0.02 | 6.37 ± 1.54 3 ± 0.92 | 5.99 ± 1.23 3 ± 1.29 |
| Creatinine µmol/L | Male Female | 62.27 ± 1.44 44 ± 2.27 | 61.12 ±1.33 42 ±3.30 | 61.52 ± 1.57 43 ± 2.14 |
| Treatment | Initial Body Weight (g) | Final Body Weight (g) | Liver Weight (g) | Liver Index (LW/BW %) |
|---|---|---|---|---|
| Normal control | 255 ± 31.22 | 473 ± 4.85 | 13 ± 3.14 | 3 ± 0.25 |
| TAA control | 260 ± 26.61 | 313 ± 36.12 * | 16 ± 2.23 * | 5 ± 0.12 * |
| Silymarin (50 mg/kg) + TAA | 257 ± 24.38 | 485 ± 19.87 ** | 14 ± 1.48 ** | 3 ± 0.14 ** |
| BCA 25 mg/kg + TAA | 250 ± 4.25 | 430 ± 13.63 ** | 15 ± 1.23 ** | 4 ± 0.52 ** |
| BCA50 mg/kg + TAA | 256 ± 6.72 | 467 ± 8.74 ** | 15 ± 1.72 ** | 4 ± 0.8 ** |
| Treatment | Liver PCNA Stain | Liver Mitotic Index |
|---|---|---|
| Normal control | 0.00 | 0.00 |
| TAA control | 42 ± 5.62 * | 87.21 ± 3.21 * |
| Silymarin (50 mg/kg) + TAA | 2.15 ± 0.36 ** | 33.11 ± 2.51 ** |
| BCA 25 mg/kg + TAA | 3.27 ± 0.89 ** | 47.19 ± 3.43 ** |
| BCA 50 mg/kg + TAA | 4.19 ± 8.74 ** | 34.13 ± 2.37 ** |
| Treatment | MDA nmol/min/mg Protein | SOD U/mg Protein | CAT nmol/min/mg Protein | GPx nmol/min/mg Protein |
|---|---|---|---|---|
| Normal control | 2.13 ± 0.05 | 26.13 ± 0.61 | 81.52 ± 2.84 | 371.42 ± 14.62 |
| TAA control | 10.24 ± 0.14 * | 15.31 ± 1.82 * | 34.71 ± 1.13 * | 278.54 ± 7.51 * |
| Silymarin (50 mg/kg) + TAA | 3.01 ± 0.20 ** | 24.45 ± 1.03 ** | 84.65 ± 0.24 ** | 353.77 ± 3.87 ** |
| BCA 25 mg/kg + TAA | 1.52 ± 0.12 ** | 19.25 ± 0.37 ** | 49.00 ± 4.51 ** | 310.59 ± 4.52 ** |
| BCA 50 mg/kg + TAA | 3.13 ± 1.46 ** | 24.70 ± 1.65 ** | 80.85 ± 5.14 ** | 349.30 ± 0.24 ** |
| Treatment | ALP (IU/L) | ALT (IU/L) | AST (IU/L) | GGT (IU/L) |
|---|---|---|---|---|
| Normal control | 55.12 ± 1.44 | 28.22 ± 1.51 | 53.32 ± 1.24 | 3.71 ± 0.23 |
| TAA control | 196.84 ± 5.62 * | 126.64 ± 2.31 * | 163.27 ± 8.91 * | 14.64 ± 0.72 * |
| Silymarin (50 mg/kg) + TAA | 57.85 ± 3.21 ** | 33.56 ± 1.48 ** | 59.76 ± 4.81 ** | 5.27 ± 0.28 ** |
| BCA 25 mg/kg + TAA | 75.42 ± 1.82 ** | 70.66 ± 4.23 ** | 78.83 ± 2.75 ** | 9.27 ± 1.62 *** |
| BCA50mg/kg + TAA | 55.06 ± 1.52 ** | 32.43 ± 1.59 ** | 63.75 ± 3.15 ** | 3.42 ± 0.41 ** |
Disclaimer/Publisher’s Note: The statements, opinions and data contained in all publications are solely those of the individual author(s) and contributor(s) and not of MDPI and/or the editor(s). MDPI and/or the editor(s) disclaim responsibility for any injury to people or property resulting from any ideas, methods, instructions or products referred to in the content. |
© 2023 by the authors. Licensee MDPI, Basel, Switzerland. This article is an open access article distributed under the terms and conditions of the Creative Commons Attribution (CC BY) license (https://creativecommons.org/licenses/by/4.0/).
Share and Cite
Ibrahim, M.Y.; Alamri, Z.Z.; Juma, A.S.M.; Hamood, S.A.; Shareef, S.H.; Abdulla, M.A.; Jayash, S.N. RETRACTED: Hepatoprotective Effects of Biochanin A on Thioacetamide-Induced Liver Cirrhosis in Experimental Rats. Molecules 2023, 28, 7608. https://doi.org/10.3390/molecules28227608
Ibrahim MY, Alamri ZZ, Juma ASM, Hamood SA, Shareef SH, Abdulla MA, Jayash SN. RETRACTED: Hepatoprotective Effects of Biochanin A on Thioacetamide-Induced Liver Cirrhosis in Experimental Rats. Molecules. 2023; 28(22):7608. https://doi.org/10.3390/molecules28227608
Chicago/Turabian StyleIbrahim, Mohamed Yousif, Zaenah Zuhair Alamri, Ameena S. M. Juma, Sarah Ashour Hamood, Suhayla Hamad Shareef, Mahmood Ameen Abdulla, and Soher Nagi Jayash. 2023. "RETRACTED: Hepatoprotective Effects of Biochanin A on Thioacetamide-Induced Liver Cirrhosis in Experimental Rats" Molecules 28, no. 22: 7608. https://doi.org/10.3390/molecules28227608
APA StyleIbrahim, M. Y., Alamri, Z. Z., Juma, A. S. M., Hamood, S. A., Shareef, S. H., Abdulla, M. A., & Jayash, S. N. (2023). RETRACTED: Hepatoprotective Effects of Biochanin A on Thioacetamide-Induced Liver Cirrhosis in Experimental Rats. Molecules, 28(22), 7608. https://doi.org/10.3390/molecules28227608

