Temperature Responsive Polymer Conjugate Prepared by “Grafting from” Proteins toward the Adsorption and Removal of Uremic Toxin
Abstract
:1. Introduction
2. Results and Discussion
2.1. Synthesis of BSA-CTA
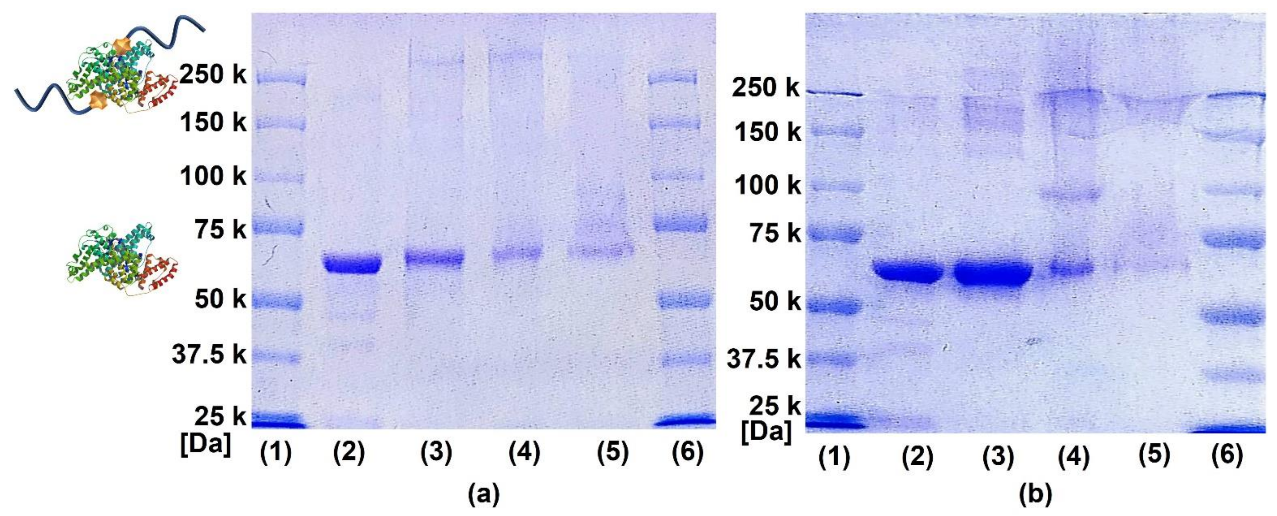
2.2. Synthesis of BSA-PNIPAAm Conjugates
2.3. Thempretaure-Responsive Phase Transition Behavior
2.4. Temprature-Responsive Aggregation Behavior
2.5. Thermal Precipitation and Recovery of BSA-PNIPAAm
2.6. Evaluation of Indoxyl Sulfate (IS) Adsorption Capacity
3. Materials and Methods
3.1. Materials
3.2. Synthesis of BSA-CTA
3.3. BSA-PNIPAAm Conjugates Adjustment Conditions Investigation
3.4. BSA-PNIPAAm Conjugates Monomer Ratios and Introduced CTA Groups Investigation
3.5. SDS-PAGE Measurement
3.6. Lower Critical Solution Temperature Measurement
3.7. DLS Measurement
3.8. BSA Recovery Ratio Evaluation
3.9. The BCA Method
3.10. Indoxyl Sulfate (IS) Adsorption Capacity Evaluation
3.11. GPC and NMR Measurements
4. Conclusions
Supplementary Materials
Author Contributions
Funding
Institutional Review Board Statement
Informed Consent Statement
Data Availability Statement
Acknowledgments
Conflicts of Interest
Sample Availability
References
- Wright, T.A.; Page, R.C.; Konkolewicz, D. Polymer conjugation of proteins as a synthetic post-translational modification to impact their stability and activity. Polym. Chem. 2019, 10, 434–454. [Google Scholar] [CrossRef]
- Cobo, I.; Li, M.; Sumerlin, B.S.; Perrier, S. Smart hybrid materials by conjugation of responsive polymers to biomacromolecules. Nat. Mater. 2015, 14, 143–159. [Google Scholar] [CrossRef] [PubMed]
- Heskins, M.; Guillet, J.E. Solution properties of poly(N-isopropylacrylamide). J. Macromol. Sci. Part A—Pure Appl. Chem. 1968, 2, 1441–1455. [Google Scholar] [CrossRef]
- Hoffman, J.M.; Ebara, M.; Lai, J.J.; Hoffman, A.S.; Folch, A.; Stayton, P.S. A helical flow, circular microreactor for separating and enriching “smart” polymer–antibody capture reagents. Lab Chip 2010, 10, 3130–3138. [Google Scholar] [CrossRef] [PubMed]
- Chen, J.P.; Yang, H.J.; Hoffman, A.S. Polymerprotein conjugates I. Effect of protein conjugation on the cloud point of poly (N-isopropylacrylamide). Biomaterials 1990, 11, 625–630. [Google Scholar] [CrossRef]
- Chen, J.P.; Yang, H.J.; Hoffman, A.S. Polymer-protein conjugates II. Affinity precipitation separation of human immunogammaglobulin by a poly(N-isopropylacrylamide)-protein A conjugates. Biomaterials 1990, 11, 631–634. [Google Scholar] [CrossRef]
- Chen, G.H.; Hoffman, A.S. Synthesis of carboxylated poly (NIPAAm) oligomers and its application to form thermoreversible polymer-enzyme conjugates. Polym. Prepr. 1992, 33, 468–469. [Google Scholar]
- Chen, G.H.; Hoffman, A.S. Preparation and properties of thermoreversible, phase-separating enzyme−oligo(N-isopropylacrylamide) conjugates. Bioconjug. Chem. 1993, 4, 509–514. [Google Scholar] [CrossRef]
- Ding, Z.; Chen, G.; Hoffman, A.S. Synthesis and purification of thermally sensitive oligomer−enzyme conjugates of poly(N-isopropylacrylamide)-trypsin. Bioconjug. Chem. 1996, 7, 121–125. [Google Scholar] [CrossRef]
- Takei, Y.G.; Aoki, T.; Sanui, K.; Ogata, N.; Okano, T.; Sakurai, Y. Temperature-responsive bioconjugates. 1. Synthesis of temperature-responsive oligomers with reactive end groups and their coupling to biomolecules. Bioconjug. Chem. 1993, 4, 42–46. [Google Scholar] [CrossRef]
- Takei, Y.G.; Matsukata, M.; Aoki, T.; Sanui, K.; Ogata, N.; Kikuchi, A.; Sakurai, Y.; Okano, T. Temperature-responsive bioconjugates. 3. Antibody—poly (N-isopropylacrylamide) conjugates for temperature-modulated precipitations and affinity bioseparation. Bioconjug. Chem. 1994, 5, 577–582. [Google Scholar] [CrossRef] [PubMed]
- Chilkoti, A.; Tan, P.H.; Stayton, P.S. Site-directed mutagenesis studies of the high-affinity streptavidin-biotin complex: Contributions of tryptophan residues 79, 108, and 120. Proc. Natl. Acad. Sci. USA 1995, 92, 1754–1758. [Google Scholar] [CrossRef] [Green Version]
- Fong, R.B.; Ding, Z.; Long, C.J.; Hoffman, A.S.; Stayton, P.S. Thermoprecipitation of streptavidin via oligonucleotide-mediated self-assembly with poly(N-isopropylacrylamide). Bioconjug. Chem. 1999, 10, 720–725. [Google Scholar] [CrossRef] [PubMed]
- Kulkarni, S.; Schilli, C.; Müller, A.H.E.; Hoffman, A.S.; Stayton, P.S. Reversible meso-scale smart polymer−protein particles of controlled sizes. Bioconjug. Chem. 2004, 15, 747–753. [Google Scholar] [CrossRef]
- Stayton, P.S.; Shimoboji, T.; Long, C.; Chilkoti, A.; Ghen, G.; Harris, J.M.; Hoffman, A.S. Control of protein-ligand recognition using a stimuli-responsive polymer. Nature 1995, 378, 472–474. [Google Scholar] [CrossRef] [PubMed]
- Ding, Z.; Long, C.J.; Hayashi, Y.; Bulmus, E.V.; Hoffman, A.S.; Stayton, P.S. Temperature control of biotin binding and release with a streptavidin-poly (N-isopropyl acrylamide) site-specific conjugate. Bioconjug. Chem. 1999, 10, 395–400. [Google Scholar] [CrossRef] [PubMed]
- Bulmus, V.; Ding, Z.; Long, C.J.; Stayton, P.S.; Hoffman, A.S. Site-specific polymer-streptavidin bioconjugate for pH-controlled binding and triggered release of biotin. Bioconjug. Chem. 2000, 11, 78–83. [Google Scholar] [CrossRef]
- Phan, J.C.; Nehilla, B.J.; Srinivasan, S.; Coombs, R.W.; Woodrow, K.A.; Lai, J.J. Human immunodeficiency virus (HIV) separation and enrichment via the combination of antiviral lectin recognition and a thermoresponsive reagent system. Pharm. Res. 2016, 33, 2411–2420. [Google Scholar] [CrossRef] [PubMed]
- Boyer, C.; Liu, J.; Bulmus, V.; Davis, T.P.; Barner-Kowollik, C.; Stenzel, M.H. Direct synthesis of well-defined heterotelechelic polymers for bioconjugations. Macromolecules 2008, 41, 5641–5650. [Google Scholar] [CrossRef]
- Li, M.; De, P.; Gondi, S.R.; Sumerlin, B.S. Responsive Polymer-Protein Bioconjugates prepared by RAFT polymerization and copper-catalyzed azide-alkyne click chemistry. Macromol. Rapid Commun. 2008, 29, 1172–1176. [Google Scholar] [CrossRef]
- Pan, P.; Fujita, M.; Ooi, W.Y.; Sudesh, K.; Takarada, T.; Goto, A. DNA-functionalized thermoresponsive bioconjugates synthesized via ATRP and click chemistry. Polymer 2011, 52, 895–900. [Google Scholar] [CrossRef]
- Hironaka, K.; Yoshihara, E.; Nabil, A.; Lai, J.J.; Kikuchi, A.; Ebara, M. Conjugation of antibody with temperature-responsive polymer via in situ click reaction to enable biomarker enrichment for increased diagnostic sensitivity. Biomater. Sci. 2021, 9, 4870–4879. [Google Scholar] [CrossRef] [PubMed]
- Nabil, A.; Yoshihara, E.; Hironaka, K.; Hassan, A.A.; Shiha, G.; Ebara, M. Temperature responsive smart polymer for enabling affinity enrichment of current coronavirus (SARS-CoV-2) to improve its diagnostic sensitivity. Comput. Struct. Biotechnol. J. 2021, 19, 3609–3617. [Google Scholar] [CrossRef]
- De, P.; Li, M.; Gondi, S.R.; Sumerlin, B.S. Temperature-regulated activity of responsive polymer-protein conjugates prepared by grafting-from via RAFT polymerization. J. Am. Chem. Soc. 2008, 130, 11288–11289. [Google Scholar] [CrossRef] [PubMed]
- Li, H.; Bapat, A.P.; Li, M.; Sumerlin, B.S. Protein conjugation of thermoresponsive amine-reactive polymers prepared by RAFT. Polym. Chem. 2011, 2, 323–327. [Google Scholar] [CrossRef]
- Li, H.; Li, M.; Yu, X.; Bapat, A.P.; Sumerlin, B.S. Block copolymer conjugates prepared by sequentially grafting from proteins via RAFT. Polym. Chem. 2011, 2, 1531–1535. [Google Scholar] [CrossRef]
- Zhong, W.; Hou, W.; Liu, Y.; Liu, L.; Zhao, H. Biosurfaces fabricated by polymerization-induced surface self-assembly. Langmuir 2020, 36, 12649–12657. [Google Scholar] [CrossRef]
- Cai, Y.; Yu, Q.; Zhao, H. Electrostatic assisted fabrication and dissociation of multi-componentproteinosomes. J. Colloid Interface Sci. 2020, 576, 90–98. [Google Scholar] [CrossRef]
- Theodorou, A.; Liarou, E.; Haddleton, D.M.; Stavrakaki, I.G.; Skordalidis, P.; Whitfield, R.; Anastasaki, A.; Velonia, K. Protein-polymer bioconjugates via a versatile oxygen tolerant photoinduced controlled radical polymerization approach. Nat. Commun. 2020, 11, 1486. [Google Scholar] [CrossRef] [Green Version]
- Ebara, M.; Hoffman, J.M.; Hoffman, A.S.; Stayton, P.S.; La, J.J. A photo-induced nanoparticle separation in microchannels via pH-sensitive surface traps. Langmuir 2013, 29, 5388–5393. [Google Scholar] [CrossRef] [Green Version]
- Ebara, M.; Hoffman, J.M.; Hoffman, A.S.; Stayton, P.S. Switchable surface traps for injectable bead-based chromatography in PDMS microfluidic channels. Lab Chip 2006, 6, 843–848. [Google Scholar] [CrossRef] [PubMed]
- Viaene, L.; Annaert, P.; de Loor, H.; Poesen, R.; Evenepoel, P.; Meijers, B. Albumin is the main plasma binding protein for indoxyl sulfate and p-cresyl sulfate. Biopharm. Drug Dispos. 2013, 34, 165–175. [Google Scholar] [CrossRef]
- Namekawa, K.; Schreiber, M.T.; Aoyagi, T.; Ebara, M. Fabrication of zeolite–polymer composite nanofibers for removal of uremic toxins from kidney failure patients. Biomater. Sci. 2014, 2, 674–679. [Google Scholar] [CrossRef]
- Sasaki, M.; Liu, Y.; Ebara, M. Zeolite composite nanofiber mesh for indoxyl sulfate adsorption toward wearable blood purification devices. Fibers 2021, 9, 37. [Google Scholar] [CrossRef]
- Saliba, F. The Molecular Adsorbent Recirculating System (MARS®) in the intensive care unit: A rescue therapy for patients with hepatic failure. Crit. Care 2006, 10, 118. [Google Scholar] [CrossRef] [PubMed]
- Verbeke, L.; Nevens, F.; Laleman, W. Acute-on-chronic liver failure—Linking the gut, liver and systemic circulation. Crit. Care 2011, 15, 233. [Google Scholar] [CrossRef] [PubMed] [Green Version]








| Sample Name | BSA (μmol) | NHS-CTA (μmol) | Abs. (310 nm/280 nm) * | Fluorescence Intensity ×103 (495 nm) ** |
|---|---|---|---|---|
| BSA-CTA 0 | 1 | 0 | 0 | 21.5 |
| BSA-CTA 5 | 1 | 5 | 0.1014 | 14.8 |
| BSA-CTA 10 | 1 | 10 | 0.1017 | 13.9 |
| BSA-CTA 50 | 1 | 50 | 0.1052 | 13.8 |
| Sample Name | Molar Ratio | |
|---|---|---|
| CTA/BSA | Monomer/CTA | |
| BSA-CTA5-PNIPAAm400 (B/C5/PN400) | 5 | 400 |
| BSA-CTA5-PNIPAAm800 (B/C5/PN800) | 5 | 800 |
| BSA-CTA5-PNIPAAm1600 (B/C5/PN1600) | 5 | 1600 |
| BSA-CTA2-PNIPAAm800 (B/C2/PN800) | 2 | 800 |
| BSA-CTA10-PNIPAAm800 (B/C10/PN800) | 10 | 800 |
| HSA-CTA5-PNIPAAm800 (H/C5/PN800) | 5 | 800 |
| Sample Name | Size (nm) | PdI |
|---|---|---|
| BSA-CTA5-PNIPAAm400 (B/C5/PN400) | 170 | 0.04 |
| BSA-CTA5-PNIPAAm800 (B/C5/PN800) | 250 | 0.20 |
| BSA-CTA5-PNIPAAm1600 (B/C5/PN1600) | 1280 | 0.04 |
| BSA-CTA2-PNIPAAm800 (B/C2/PN800) | 3000 | 0.13 |
| BSA-CTA10-PNIPAAm800 (B/C10/PN800) | 920 | 0.19 |
Publisher’s Note: MDPI stays neutral with regard to jurisdictional claims in published maps and institutional affiliations. |
© 2022 by the authors. Licensee MDPI, Basel, Switzerland. This article is an open access article distributed under the terms and conditions of the Creative Commons Attribution (CC BY) license (https://creativecommons.org/licenses/by/4.0/).
Share and Cite
Yoshihara, E.; Sasaki, M.; Nabil, A.; Iijima, M.; Ebara, M. Temperature Responsive Polymer Conjugate Prepared by “Grafting from” Proteins toward the Adsorption and Removal of Uremic Toxin. Molecules 2022, 27, 1051. https://doi.org/10.3390/molecules27031051
Yoshihara E, Sasaki M, Nabil A, Iijima M, Ebara M. Temperature Responsive Polymer Conjugate Prepared by “Grafting from” Proteins toward the Adsorption and Removal of Uremic Toxin. Molecules. 2022; 27(3):1051. https://doi.org/10.3390/molecules27031051
Chicago/Turabian StyleYoshihara, Erika, Makoto Sasaki, Ahmed Nabil, Michihiro Iijima, and Mitsuhiro Ebara. 2022. "Temperature Responsive Polymer Conjugate Prepared by “Grafting from” Proteins toward the Adsorption and Removal of Uremic Toxin" Molecules 27, no. 3: 1051. https://doi.org/10.3390/molecules27031051
APA StyleYoshihara, E., Sasaki, M., Nabil, A., Iijima, M., & Ebara, M. (2022). Temperature Responsive Polymer Conjugate Prepared by “Grafting from” Proteins toward the Adsorption and Removal of Uremic Toxin. Molecules, 27(3), 1051. https://doi.org/10.3390/molecules27031051

