Metagenomics Approach to the Intestinal Microbiome Structure and Abundance in High-Fat-Diet-Induced Hyperlipidemic Rat Fed with (−)-Epigallocatechin-3-Gallate Nanoparticles
Abstract
:1. Introduction
2. Materials and Methods
2.1. Preparation of EGCG@β-CD NPs
2.2. Characterisation of EGCG@β-CD NPs on Embedding Effect
2.2.1. Encapsulation Efficiency (EE)
2.2.2. The Particle Size, Polydispersity Index (PDI) and Zeta Potential
2.2.3. Scanning Electron Microscopy (SEM)
2.2.4. Fourier-Transform Infrared Spectroscopy (FT-IR)
2.2.5. X-ray Diffraction (XRD)
2.2.6. Molecular Docking
2.3. Animals Assay
2.3.1. Experimental Design
2.3.2. Sample Collection and Preparation
2.3.3. Biochemical Analysis and Histological Examination
2.4. Metagenomics Analysis
2.4.1. Library Construction and Sequencing
2.4.2. Metagenome Assembly
2.4.3. Gene Prediction and Abundance Analysis
2.4.4. Taxonomy Prediction
2.5. Statistical Analysis
3. Results
3.1. Characterisation of the EGCG@β-CD NPs on Size, PDI, EE and Zeta Potential
3.2. Characterisation of the EGCG@β-CD NPs on the Particle Morphology
3.3. Characterisation of the EGCG@β-CD NPs on FT-IR
3.4. Characterisation of the EGCG@β-CD NPs on XRD
3.5. Characterisation of the EGCG@β-CD NPs on Molecular Docking
3.6. Effect of EGCG@β-CD NPs on Body Weight, Food Intake, Weight Gain, Adiposity Index and Food Utilization in Rats Fed with High-Fat Diet
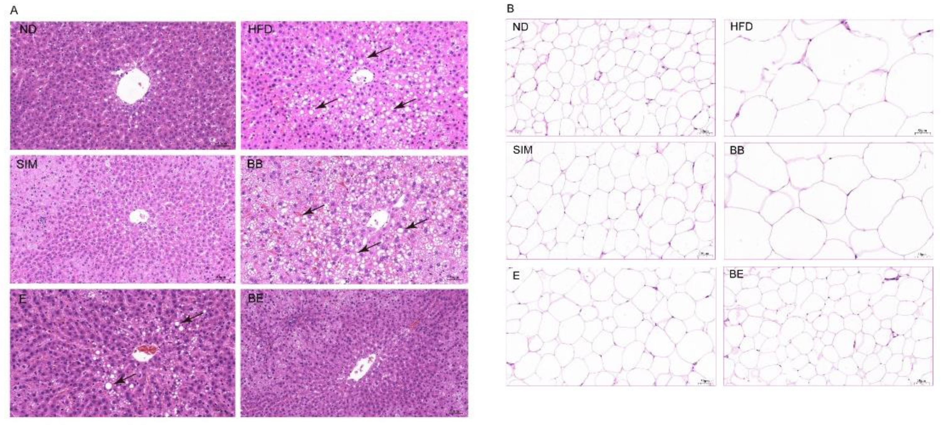
3.7. Effect of EGCG@β-CD NPs on Liver Injury in Rats Fed with High-Fat Diet
3.8. Effect of EGCG@β-CD NPs on Lipid Accumulation and Peroxidation in Rats Fed with High-Fat Diet
3.9. Influence of EGCG@β-CD NPs on Gut Microbiome Diversity in Rats Fed with High-Fat Diet
3.10. Effect of EGCG@β-CD NPs on the Bacterial Variety in Rats Fed with High-Fat Diet
3.11. LEfSe Analysis
4. Discussion
5. Conclusions
Author Contributions
Funding
Institutional Review Board Statement
Informed Consent Statement
Data Availability Statement
Conflicts of Interest
References
- Kim, E.-M.; Jeong, H.-J. Liposomes: Biomedical Applications. Chonnam Med. J. 2021, 57, 27–35. [Google Scholar] [CrossRef] [PubMed]
- Sharma, N.; Singhal, M.; Kumari, R.M.; Gupta, N.; Manchanda, R.; Syed, A.; Bahkali, A.H.; Nimesh, S. Diosgenin Loaded Polymeric Nanoparticles with Potential Anticancer Efficacy. Biomolecules 2020, 10, 1679. [Google Scholar] [CrossRef] [PubMed]
- de Barbosa, R.M.; Ribeiro, L.N.M.; Casadei, B.R.; da Silva, C.M.G.; Queiróz, V.A.; Duran, N.; de Araújo, D.R.; Severino, P.; de Paula, E. Solid Lipid Nanoparticles for Dibucaine Sustained Release. Pharmaceutics 2018, 10, 231. [Google Scholar] [CrossRef] [Green Version]
- Dhiman, N.; Awasthi, R.; Sharma, B.; Kharkwal, H.; Kulkarni, G.T. Lipid Nanoparticles as Carriers for Bioactive Delivery. Front. Chem. 2021, 9, 580118. [Google Scholar] [CrossRef] [PubMed]
- Yu, X.; Xiao, J.; Chen, S.; Yu, Y.; Ma, J.; Lin, Y.; Li, R.; Lin, J.; Fu, Z.; Zhou, Q.; et al. Metabolite signatures of diverse Camellia sinensis tea populations. Nat. Commun. 2020, 11, 5586. [Google Scholar] [CrossRef] [PubMed]
- Suganuma, M.; Saha, A.; Fujiki, H. New cancer treatment strategy using combination of green tea catechins and anticancer drugs. Cancer Sci. 2011, 102, 317–323. [Google Scholar] [CrossRef]
- Calzia, D.; Oneto, M.; Ravera, S.; Manni, L.; Bartolucci, M.; Caicci, F.; Diaspro, A.; Bianchini, P.; Degan, P.; Traverso, C.E.; et al. Effect of polyphenolic phytochemicals on ectopic oxidative phosphorylation in rod outer segments of bovine retina. Br. J. Pharmacol. 2015, 172, 3890–3903. [Google Scholar] [CrossRef] [PubMed] [Green Version]
- Shimizu, M.; Shirakami, Y.; Moriwaki, H. Targeting Receptor Tyrosine Kinases for Chemoprevention by Green Tea Catechin, EGCG. Int. J. Mol. Sci. 2008, 9, 1034–1049. [Google Scholar] [CrossRef] [Green Version]
- Safer, A.-M.; Leporatti, S.; Jose, J.; Soliman, M.S. Conjugation Of EGCG And Chitosan NPs As A Novel Nano-Drug Delivery System. Int. J. Nanomed. 2019, 14, 8033–8046. [Google Scholar] [CrossRef] [Green Version]
- Su, J.; Guo, Q.; Chen, Y.; Mao, L.; Gao, Y.; Yuan, F. Utilization of β-lactoglobulin-(−)-Epigallocatechin-3-gallate(EGCG) composite colloidal nanoparticles as stabilizers for lutein pickering emulsion. Food Hydrocoll. 2020, 98, 105293. [Google Scholar] [CrossRef]
- Gao, J.; Mao, Y.; Xiang, C.; Cao, M.; Ren, G.; Wang, K.; Ma, X.; Wu, D.; Xie, H. Preparation of β-lactoglobulin/gum arabic complex nanoparticles for encapsulation and controlled release of EGCG in simulated gastrointestinal digestion model. Food Chem. 2020, 354, 129516. [Google Scholar] [CrossRef] [PubMed]
- Zhang, L.; Chen, W.; Tu, G.; Chen, X.; Lu, Y.; Wu, L.; Zheng, D. Enhanced Chemotherapeutic Efficacy of PLGA-Encapsulated Epigallocatechin Gallate (EGCG) Against Human Lung Cancer. Int. J. Nanomed. 2020, 15, 4417–4429. [Google Scholar]
- Dai, W.; Ruan, C.; Zhang, Y.; Wang, J.; Han, J.; Shao, Z.; Sun, Y.; Liang, J. Bioavailability enhancement of EGCG by structural modification and nanodelivery: A review. J. Funct. Foods 2020, 65, 103732. [Google Scholar] [CrossRef]
- Crespo-Salgado, J.; Vehaskari, V.M.; Stewart, T.; Ferris, M.; Zhang, Q.; Wang, G.; Blanchard, E.E.; Taylor, C.M.; Kallash, M.; Greenbaum, L.A.; et al. Intestinal microbiota in pediatric patients with end stage renal disease: A Midwest Pediatric Nephrology Consortium study. Microbiome 2016, 4, 50. [Google Scholar] [CrossRef] [PubMed] [Green Version]
- Huang, H.; Ren, Z.; Gao, X.; Hu, X.; Zhou, Y.; Jiang, J.; Lu, H.; Yin, S.; Ji, J.; Zhou, L.; et al. Integrated analysis of microbiome and host transcriptome reveals correlations between gut microbiota and clinical outcomes in HBV-related hepatocellular carcinoma. Genome Med. 2020, 12, 102. [Google Scholar] [CrossRef] [PubMed]
- Chang, C.-J.; Lin, C.-S.; Lu, C.-C.; Martel, J.; Ko, Y.-F.; Ojcius, D.M.; Tseng, S.-F.; Wu, T.-R.; Chen, Y.-Y.M.; Young, J.D.; et al. Ganoderma lucidum reduces obesity in mice by modulating the composition of the gut microbiota. Nat. Commun. 2015, 6, 7489. [Google Scholar] [CrossRef] [PubMed] [Green Version]
- Shi, H.; Yu, Y.; Lin, D.; Zheng, P.; Zhang, P.; Hu, M.; Wang, Q.; Pan, W.; Yang, X.; Hu, T.; et al. β-glucan attenuates cognitive impairment via the gut-brain axis in diet-induced obese mice. Microbiome 2020, 8, 143. [Google Scholar] [CrossRef] [PubMed]
- Pomié, C.; Blasco-Baque, V.; Klopp, P.; Nicolas, S.; Waget, A.; Loubières, P.; Azalbert, V.; Puel, A.; Lopez, F.; Dray, C.; et al. Triggering the adaptive immune system with commensal gut bacteria protects against insulin resistance and dysglycemia. Mol. Metab. 2016, 5, 392–403. [Google Scholar] [CrossRef]
- Christ, G.J.; Saul, J.M.; Furth, M.E.; Andersson, K.-E. The Pharmacology of Regenerative Medicine. Pharmacol. Rev. 2013, 65, 1091–1133. [Google Scholar] [CrossRef] [PubMed] [Green Version]
- Quiroz, F.G.; Li, N.K.; Roberts, S.; Weber, P.; Dzuricky, M.; Weitzhandler, I.; Yingling, Y.G.; Chilkoti, A. Intrinsically disordered proteins access a range of hysteretic phase separation behaviors. Sci. Adv. 2019, 5, eaax5177. [Google Scholar] [CrossRef] [PubMed] [Green Version]
- Ishizu, T.; Kajitani, S.; Tsutsumi, H.; Yamamoto, H.; Harano, K. Diastereomeric difference of inclusion modes between (−)-epicatechin gallate, (−)-epigallocatechin gallate and (+)-gallocatechin gallate, with β-cyclodextrin in aqueous solvent. Magn. Resonance Chem. 2008, 46, 448–456. [Google Scholar] [CrossRef]
- Ishizu, T.; Kajitani, S.; Tsutsumi, H.; Sato, T.; Yamamoto, H.; Hirata, C. Configurational Studies of Complexes of Tea Catechins with Caffeine and Various Cyclodextrins. Planta Med. 2011, 77, 1099–1109. [Google Scholar] [CrossRef] [PubMed] [Green Version]
- Bochicchio, S.; Dalmoro, A.; Lamberti, G.; Barba, A.A. Advances in Nanoliposomes Production for Ferrous Sulfate Delivery. Pharmaceutics 2020, 12, 445. [Google Scholar] [CrossRef] [PubMed]
- Fenga, X.; Chen, Y.; Li, L.; Zhang, Y.; Zhang, L.; Zhang, Z. Preparation, evaluation and metabolites study in rats of novel amentoflavone-loaded TPGS/soluplus mixed nanomicelles. Drug Deliv. 2020, 27, 137–150. [Google Scholar] [CrossRef] [PubMed]
- Luo, R.; Liu, B.; Xie, Y.; Li, Z.; Huang, W.; Yuan, J.; He, G.; Chen, Y.; Pan, Q.; Liu, Y.; et al. Erratum: SOAPdenovo2: An empirically improved memory-efficient short-read de novo assembler. GigaScience 2015, 4, 30. [Google Scholar] [CrossRef] [PubMed] [Green Version]
- Nielsen, H.B.; Almeida, M.; Juncker, A.S.; Rasmussen, S.; Li, J.; Sunagawa, S.; Plichta, D.R.; Gautier, L.; Pedersen, A.G.; Chatelier, E.L.; et al. Identification and assembly of genomes and genetic elements in complex metagenomic samples without using reference genomes. Nat. Biotechnol. 2014, 32, 822–828. [Google Scholar] [CrossRef] [PubMed]
- Zeller, G.; Tap, J.; Voigt, A.Y.; Sunagawa, S.; Kultima, J.R.; Costea, P.I.; Amiot, A.; Böhm, J.; Brunett, F.; Habermann, N.; et al. Potential of fecal microbiota for early-stage detection of colorectal cancer. Mol. Syst. Biol. 2014, 10, 766. [Google Scholar] [CrossRef] [PubMed]
- Li, J.; Jia, H.; Cai, X.; Zhong, H.; Feng, Q.; Sunagawa, S.; Arumugam, M.; Kultima, J.R.; Prifti, E. An integrated catalog of reference genes in the human gut microbiome. Nat. Biotechnol. 2014, 32, 834–841. [Google Scholar] [CrossRef] [PubMed]
- Fu, L.; Niu, B.; Zhu, Z.; Wu, S.; Li, W. CD-HIT: Accelerated for clustering the next-generation sequencing data. Bioinformatics 2012, 28, 3150–3152. [Google Scholar] [CrossRef] [PubMed]
- Sunagawa, S.; Coelho, L.P.; Chaffron, S.; Kultima, J.R.; Labadie, K.; Salazar, G.; Djahanschiri, B.; Zeller, G.; Mende, D.R.; Alberti, A.; et al. Structure and function of the global ocean microbiome. Science 2015, 348, 1261359. [Google Scholar] [CrossRef] [Green Version]
- Qin, N.; Yang, F.; Li, A.; Prifti, E.; Chen, Y.; Shao, L.; Guo, J.; Chatelier, E.L.; Yao, J.; Wu, L.; et al. Alterations of the human gut microbiome in liver cirrhosis. Nature 2014, 513, 59–64. [Google Scholar] [CrossRef] [PubMed]
- Qin, J.; Li, Y.; Cai, Z.; Li, S.; Zhu, J.; Zhang, F.; Liang, S.; Zhang, W. A metagenome-wide association study of gut microbiota in type 2 diabetes. Nature 2012, 490, 55–60. [Google Scholar] [CrossRef] [PubMed]
- Oh, J.; Byrd, A.L.; Deming, C.; Conlan, S.; Program, N.C.S.; Kong, H.H.; Segre, J.A. Biogeography and individuality shape function in the human skin metagenome. Nature 2014, 514, 59–64. [Google Scholar] [CrossRef] [PubMed] [Green Version]
- Segata, N.; Izard, J.; Waldron, L.; Gevers, D.; Miropolsky, L.; Garrett, W.S.; Huttenhower, C. Metagenomic biomarker discovery and explanation. Genome Biol. 2011, 12, 1–18. [Google Scholar] [CrossRef] [PubMed] [Green Version]
- Shang, J.; Liao, M.; Jin, R.; Teng, X.; Li, H.; Xu, Y.; Zhang, L.; Liu, N. Molecular Properties of Flammulina velutipes Polysaccharide–Whey Protein Isolate (WPI) Complexes via Noncovalent Interactions. Foods 2021, 10, 1. [Google Scholar] [CrossRef] [PubMed]
- Fang, Z.; Ge, X.; Chen, X.; Xu, Y.; Yuan, W.; Ouyang, Y. Enhancement of sciatic nerve regeneration with dual delivery of vascular endothelial growth factor and nerve growth factor genes. J. Nanobiotechnol. 2020, 18, 2–14. [Google Scholar] [CrossRef] [Green Version]
- Ikeda, H.; Ohata, T.; Yukawa, M.; Fujisawa, M.; Aki, H. Difference in formation mechanism of inclusion complex between configuration isomers of gallate-type catechin and β-cyclodextrin. J. Therm. Anal. Calorim. 2019, 135, 2789–2795. [Google Scholar] [CrossRef]
- Luo, D.; Xu, J.; Chen, X.; Zhu, X.; Liu, S.; Li, J.; Xu, X.; Ma, X.; Zhao, J.; Ji, X. (−)-Epigallocatechin-3-gallate (EGCG) attenuates salt-induced hypertension and renal injury in Dahl salt-sensitive rats. Sci. Rep. 2020, 10, 4783. [Google Scholar] [CrossRef] [PubMed]
- Skuredina, A.A.; Le-Deygen, I.M.; Kudryashova, E.V. The Effect of Molecular Architecture of Sulfobutyl Etherβ-Cyclodextrin Nanoparticles on Physicochemical Properties of Complexes with Moxifloxacin. Colloid J. 2018, 80, 312–319. [Google Scholar] [CrossRef]
- Srinivasan, E.; Rajasekaran, R. Effect of β-cyclodextrin-EGCG complexion against aggregated a-synuclein through density functional theory and discrete molecular dynamics. Chem. Phys. Lett. 2019, 717, 38–46. [Google Scholar] [CrossRef]
- Manach, C.; Scalbert, A.; Morand, C.; Rémésy, C.; Jime´nez, L. Polyphenols: Food sources and bioavailability. Am. J. Clin. Nutr. 2004, 79, 727–747. [Google Scholar] [CrossRef] [Green Version]
- de Vos, P.; Faas, M.M.; Spasojevic, M.; Sikkema, J. Encapsulation for preservation of functionality and targeted delivery of bioactive food components. Int. Dairy J. 2010, 20, 292–302. [Google Scholar] [CrossRef]
- Ozdal, T.; Sela, D.A.; Xiao, J.; Boyacioglu, D.; Chen, F.; Capanoglu, E. The Reciprocal Interactions between Polyphenols and Gut Microbiota and Effects on Bioaccessibility. Nutrients 2016, 8, 78. [Google Scholar] [CrossRef] [PubMed]
- Cardona, F.; Andrés-Lacueva, C.; Tulipani, S.; Tinahones, F.J.; Queipo-Ortuño, M.I. Benefits of polyphenols on gut microbiota and implications in human health. J. Nutr. Biochem. 2013, 24, 1415–1422. [Google Scholar] [CrossRef] [PubMed] [Green Version]
- Cao, Y.; Zou, L.; Li, W.; Song, Y.; Zhao, G.; Hu, Y. Dietary quinoa (Chenopodium quinoa Willd.) polysaccharides ameliorate high-fat diet-induced hyperlipidemia and modulate gut microbiota. Int. J. Biol. Macromol. 2020, 163, 55–65. [Google Scholar] [CrossRef] [PubMed]
- Cani, P.D.; Amar, J.; Iglesias, M.A.; Poggi, M.; Knauf, C.; Bastelica, D.; Neyrinck, A.M.; Fava, F.; Tuohy, K.M.; Chabo, C.; et al. Metabolic Endotoxemia Initiates Obesity and Insulin Resistance. Diabetes 2007, 56, 1761–1772. [Google Scholar] [CrossRef] [Green Version]
- Cox, A.J.; West, N.P.; Cripps, A.W. Obesity, inflammation, and the gut microbiota. Lancet Diabetes Endocrinol. 2015, 3, 207–215. [Google Scholar] [CrossRef]
- He, C.; Cheng, D.; Peng, C.; Li, Y.; Zhu, Y.; Lu, N. High-Fat Diet Induces Dysbiosis of Gastric Microbiota Prior to Gut Microbiota in Association With Metabolic Disorders in Mice. Front. Microbiol. 2018, 9, 1–9. [Google Scholar] [CrossRef] [PubMed]
- Jiang, T.; Xu, C.; Liu, H.; Liu, M.; Wang, M.; Jiang, J.; Zhang, G.; Yang, C.; Huang, J.; Lou, Z. Linderae Radix Ethanol Extract Alleviates Diet-Induced Hyperlipidemia by Regulating Bile Acid Metabolism Through gut Microbiota. Front. Pharmacol. 2021, 12, 627920. [Google Scholar] [CrossRef] [PubMed]
- Cani, P.D.; de Vos, W.M. Next-Generation Beneficial Microbes: The Case of Akkermansia muciniphila. Front. in Microbiol. 2017, 8, 1–8. [Google Scholar] [CrossRef] [PubMed]
- Derrien, M.; Belzer, C.; de Vos, W.M. Akkermansia muciniphila and its role in regulating host functions. Microb. Pathog. 2017, 106, 171–181. [Google Scholar] [CrossRef] [PubMed] [Green Version]
- Huang, J.; Feng, S.; Liu, A.; Dai, Z.; Wang, H.; Reuhl, K.; Lu, W.; Yang, C.S. Green Tea Polyphenol EGCG Alleviates Metabolic Abnormality and Fatty Liver by Decreasing Bile Acid and Lipid Absorption in Mice. Mol. Nutr. Food Res. 2018, 62, 1700696. [Google Scholar] [CrossRef]
- Liu, X.; Zhao, K.; Jing, N.; Zhao, Y.; Yang, X. EGCG regulates fatty acid metabolism of high-fat diet-fed mice in association with enrichment of gut Akkermansia muciniphila. J. Funct. Foods 2020, 75, 104261. [Google Scholar] [CrossRef]
- Bliss, E.S.; Whiteside, E. The Gut-Brain Axis, the Human Gut Microbiota and Their Integration in the Development of Obesity. Front. Physiol. 2018, 9, 900. [Google Scholar] [CrossRef] [PubMed] [Green Version]
- Plovier, H.; Everard, A.; Druart, C.; Depommier, C.; Hul, M.V.; Geurts, L.; Chilloux, J.; Ottman, N.; Duparc, T.; Lichtenstein, L.; et al. A purified membrane protein from Akkermansia muciniphila or the pasteurized bacterium improves metabolism in obese and diabetic mice. Nat. Med. 2017, 23, 107–113. [Google Scholar] [CrossRef] [PubMed] [Green Version]
- Passel, M.W.J.V.; Kant, R.; Zoetendal, E.G.; Plugge, C.M.; Derrien, M.; Malfatti, S.A.; Chain, P.S.G.; Woyke, T.; Palva, A.; Vos, W.M.; et al. The Genome of Akkermansia muciniphila, a Dedicated Intestinal Mucin Degrader, and Its Use in Exploring Intestinal Metagenomes. PLoS ONE 2011, 6, e16876. [Google Scholar] [CrossRef] [PubMed] [Green Version]
- Gao, X.; Xie, Q.; Kong, P.; Liu, L.; Sun, S.; Xiong, B.; Huang, B.; Yan, L.; Sheng, J.; Xiang, H. Polyphenol- and caffeine-rich post-fermented Pu-er tea improves diet-induced metabolic syndrome by remodeling intestinal homeostasis in mice Running title: Gut microbes link Pu-er tea and metabolic syndrome. Infect. Immun. 2018, 86, e00601–17. [Google Scholar] [CrossRef] [PubMed] [Green Version]
- Liu, J.; Li, Y.; Yang, P.; Wan, J.; Chang, Q.; Wang, T.T.Y.; Lu, W.; Zhang, Y.; Wang, Q.; Yu, L.L. Gypenosides reduced the risk of overweight and insulin resistance in C57BL/6J mice through modulating adipose thermogenesis and gut microbiota. J. Agric. Food Chem. 2017, 65, 9237–9246. [Google Scholar] [CrossRef] [PubMed] [Green Version]
- Pierre, J.F.; Martinez, K.B.; Ye, H.; Nadimpalli, A.; Morton, T.C.; Yang, J.; Wang, Q.; Patno, N.; Chang, E.B.; Yin, D.P. Activation of bile acid signaling improves metabolic phenotypes in high-fat diet-induced obese mice. Am. J. Physiol. Gastrointest. Liver Physiol. 2016, 311, G286–G304. [Google Scholar] [CrossRef] [PubMed] [Green Version]
- Depommier, C.; Hul, M.V.; Everard, A.; Delzenne, N.M.; Vos, W.M.D.; Cani, P.D. Pasteurized Akkermansia muciniphila increases whole-body energy expenditure and fecal energy excretion in diet-induced obese mice. Gut Microbes 2020, 11, 1231–1245. [Google Scholar] [CrossRef] [PubMed] [Green Version]
- Huck, O.; Mulhal, H.; Rubin, G.; Kizelnik, Z.; Iyer, R.; Perpich, J.D.; Haque, N.; Cani, P.D.; de Vos, W.M.; Amar, S. Akkermansia muciniphila reduces Porphyromonas gingivalis-induced inflammation and periodontal bone destruction. J. Clin. Periodontol. 2020, 47, 202–212. [Google Scholar] [CrossRef] [PubMed]








| Parameters | ND | HFD | SIM | BB | E | BE |
|---|---|---|---|---|---|---|
| Serum levels | ||||||
| TC (mmol/L) | 3.71 ± 0.38 c | 6.42 ± 0.64 a | 4.35 ± 0.51 c | 5.88 ± 0.42 ab | 5.33 ± 0.57 b | 4.65 ± 0.51 bc |
| LDL-C (mmol/L) | 0.32 ± 0.126 b | 0.52 ± 0.07 a | 0.40 ± 0.03 b | 0.50 ± 0.05 ab | 0.45 ± 0.08 ab | 0.41 ± 0.03 b |
| HDL-C (mmol/L) | 0.68 ± 0.17 | 0.60 ± 0.26 | 0.65 ± 0.12 | 0.63 ± 0.39 | 0.70 ± 0.37 | 0.72 ± 0.26 |
| PL (ng/mL) | 9.2 ± 0.85 c | 13.83 ± 1.30 a | 9.9 ± 1.26 c | 12.34 ± 0.81 ab | 11.83 ± 1.03 b | 11.07 ± 1.17 bc |
| apo-A1 (ng/mL) | 8.26 ± 0.54 a | 4.96 ± 0.61 c | 7.67 ± 0.70 ab | 6.09 ± 0.58 bc | 5.75 ± 0.70 bc | 6.19 ± 0.92 b |
| Liver levels | ||||||
| TC (mmol/g prot) | 4.72 ± 0.76 c | 8.29 ± 0.72 a | 6.67 ± 1.19 b | 8.67 ± 0.93 a | 7.38 ± 1.37 ab | 5.96 ± 0.91 bc |
| TG (nmol/g prot) | 12.43 ± 1.68 c | 20.13 ± 4.94 b | 18.28 ± 2.33 b | 25.57 ± 1.88 a | 16.43 ± 1.86 bc | 11.00 ± 4.74 c |
| MDA (nmol/mg) | 0.64 ± 0.18 b | 1.32 ± 0.40 a | 0.81 ± 0.09 b | 1.03 ± 0.22 ab | 0.97 ± 0.22 b | 0.89 ± 0.10 b |
| SOD (U/mg) | 907.55 ± 65.04 a | 746.99 ± 36.24 b | 771.14 ± 90.13 b | 778.76 ± 110.84 b | 788.23 ± 40.75 b | 796.93 ± 60.36 b |
| CAT (U/mg) | 55.06 ± 7.62 a | 32.05 ± 4.95 b | 37.72 ± 8.10 b | 34.94 ± 7.00 b | 39.01 ± 9.87 b | 48.57 ± 2.66 ab |
| GSH-Px (U/mg) | 726.47 ± 156.15 a | 537.79 ± 57.00 b | 601.05 ± 124.67 ab | 564.52 ± 127.25 ab | 588.75 ± 127.44 ab | 663.50 ± 62.25 ab |
Publisher’s Note: MDPI stays neutral with regard to jurisdictional claims in published maps and institutional affiliations. |
© 2022 by the authors. Licensee MDPI, Basel, Switzerland. This article is an open access article distributed under the terms and conditions of the Creative Commons Attribution (CC BY) license (https://creativecommons.org/licenses/by/4.0/).
Share and Cite
Chen, Z.; Liu, B.; Gong, Z.; Huang, H.; Gong, Y.; Xiao, W. Metagenomics Approach to the Intestinal Microbiome Structure and Abundance in High-Fat-Diet-Induced Hyperlipidemic Rat Fed with (−)-Epigallocatechin-3-Gallate Nanoparticles. Molecules 2022, 27, 4894. https://doi.org/10.3390/molecules27154894
Chen Z, Liu B, Gong Z, Huang H, Gong Y, Xiao W. Metagenomics Approach to the Intestinal Microbiome Structure and Abundance in High-Fat-Diet-Induced Hyperlipidemic Rat Fed with (−)-Epigallocatechin-3-Gallate Nanoparticles. Molecules. 2022; 27(15):4894. https://doi.org/10.3390/molecules27154894
Chicago/Turabian StyleChen, Zhiyin, Baogui Liu, Zhihua Gong, Hua Huang, Yihui Gong, and Wenjun Xiao. 2022. "Metagenomics Approach to the Intestinal Microbiome Structure and Abundance in High-Fat-Diet-Induced Hyperlipidemic Rat Fed with (−)-Epigallocatechin-3-Gallate Nanoparticles" Molecules 27, no. 15: 4894. https://doi.org/10.3390/molecules27154894
APA StyleChen, Z., Liu, B., Gong, Z., Huang, H., Gong, Y., & Xiao, W. (2022). Metagenomics Approach to the Intestinal Microbiome Structure and Abundance in High-Fat-Diet-Induced Hyperlipidemic Rat Fed with (−)-Epigallocatechin-3-Gallate Nanoparticles. Molecules, 27(15), 4894. https://doi.org/10.3390/molecules27154894

