Anti-Inflammatory Activity of Essential Oil from Zingiber ottensii Valeton in Animal Models
Abstract
:1. Introduction
2. Results
2.1. Effect of Zingiber ottensii (ZO) Essential Oil on Ethyl Phenylpropiolate (EPP)-Induced Ear Edema in Rats
2.2. Effect of ZO Essential Oil on Carrageenan-Induced Hind Paw Edema in Rats
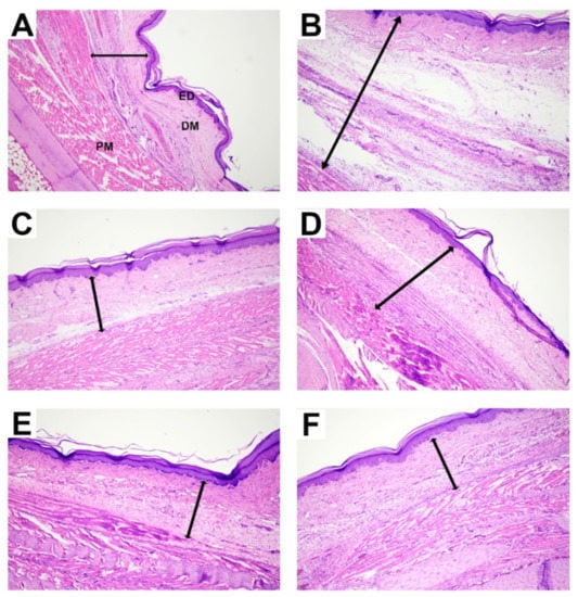
2.3. Effect of ZO Essential Oil on Carrageenan-Induced Hind Paw Edema in Rats: Histopathological Changes
2.4. Effect of ZO Essential Oil on Carrageenan-Induced Hind Paw Edema in Rats: Immunofluorescence Detection of COX-2 Expression
2.5. Effect of ZO Essential Oil on Carrageenan-Induced Hind Paw Edema in Rats: The PGE2 Level in Rat Serum
2.6. Effect of ZO Essential Oil on Carrageenan-Induced Hind Paw Edema in Rats: Immunofluorescence Detection of TNF-α Expression
3. Discussion
4. Materials and Methods
4.1. Plant Materials and Extraction of Zingiber ottensii (ZO) Valeton Essential Oil
4.2. Laboratory Animal Care and Maintenance
4.3. Ethyl Phenylpropiolate-Induced Rat Ear Edema
4.4. Carrageenan-Induced Rat Hind Paw Edema
4.5. Determination of PGE2 Level in Rat Serum
4.6. Histopathological Examination of Rat Paw Tissue
4.7. Immunofluorescence Study for COX-2 and Pro-Inflammatory Cytokine TNF-α Expression in Rat Paw Tissue
4.8. Statistical Analysis
5. Conclusions
Author Contributions
Funding
Institutional Review Board Statement
Informed Consent Statement
Data Availability Statement
Acknowledgments
Conflicts of Interest
References
- Yoon, J.H.; Baek, S.J. Molecular targets of dietary polyphenols with anti-inflammatory properties. Yonsei Med. J. 2005, 46, 585–596. [Google Scholar] [CrossRef] [PubMed] [Green Version]
- Chen, L.; Deng, H.; Cui, H.; Fang, J.; Zuo, Z.; Deng, J.; Li, Y.; Wang, X.; Zhao, L. Inflammatory responses and inflammation-associated diseases in organs. Oncotarget 2017, 9, 7204–7218. [Google Scholar] [CrossRef] [PubMed] [Green Version]
- Kotas, M.E.; Medzhitov, R. Homeostasis, inflammation, and disease susceptibility. Cell 2015, 160, 816–827. [Google Scholar] [CrossRef] [PubMed] [Green Version]
- Wei, W.C.; Sung, P.J.; Duh, C.Y.; Chen, B.W.; Sheu, J.H.; Yang, N.S. Anti-inflammatory activities of natural products isolated from soft corals of Taiwan between 2008 and 2012. Mar. Drugs 2013, 11, 4083–4126. [Google Scholar] [CrossRef] [PubMed] [Green Version]
- Abd-Allah, A.A.M.; El-Deen, N.; Mohamed, W.A.M.; Naguib, F.M. Mast cells and pro-inflammatory cytokines roles in assessment of grape seeds extract anti-inflammatory activity in rat model of carrageenan-induced paw edema. Iran. J. Basic. Med. Sci. 2018, 21, 97–107. [Google Scholar]
- Kulbe, P.S.B.; Sharma, P.; Tiwari, T.K. NSAIDs related gastrointestinal side effects and their management: An updated review. Int. J. Pharm. Pharm. Sci. 2016, 5, 657–675. [Google Scholar]
- Maniar, K.H.; Jones, I.A.; Gopalakrishna, R.; Vangsness, C.T., Jr. Lowering side effects of NSAID usage in osteoarthritis: Recent attempts at minimizing dosage. Expert Opin. Pharmacother. 2018, 19, 93–102. [Google Scholar] [CrossRef]
- Rayar, A.-M.; Lagarde, N.; Ferroud, C.; Zagury, J.-F.; Montes, M.; Sylla, M. Update on COX-2 Selective Inhibitors: Chemical Classification, Side Effects and their Use in Cancers and Neuronal Diseases. Curr. Top. Med. Chem. 2017, 17, 2835–2856. [Google Scholar] [CrossRef]
- Ibrahim, H.; Khalid, N.; Hussin, K. Cultivated Gingers of Peninsular Malaysia: Utilization, Profiles and Micropropagation. Gard. Bull. Singap. 2007, 59, 71–88. [Google Scholar]
- Ghosh, S.M.; Majumder, P.B.; Sen Mandi, S. Species specific AFLP markers for identification of Zingiber officinale, Z. montanum and Z. zerumbet (zingiberaceae). Genet. Mole. Res. 2011, 10, 218–229. [Google Scholar] [CrossRef]
- Pushpanathan, T.; Jebanesan, A.; Govindarajan, M. The essential oil of Zingiber offcinalis Linn (Zingiberaceae) as a mosquito larvicidal and repellent agent against the filarial vector Culex quinquefasciatus Say (Diptera: Culicidae). Parasitol. Res. 2008, 102, 1289–1291. [Google Scholar] [CrossRef]
- Srivastava, K.C.; Mustafa, T. Ginger (Zingiber officinale) in rheumatism and musculoskeletal disorders. Med. Hypotheses. 1992, 39, 342–348. [Google Scholar] [CrossRef]
- Zammel, N.; Saeed, M.; Bouali, N.; Elkahoui, S.; Alam, J.M.; Rebai, T.; Kausar, M.A.; Adnan, M.; Siddiqui, A.J.; Badraoui, R. Antioxidant and Anti-Inflammatory Effects of Zingiber officinale roscoe and Allium subhirsutum: In Silico, Biochemical and Histological Study. Foods 2021, 10, 1383. [Google Scholar] [CrossRef]
- Panyajai, P.; Chueahongthong, F.; Viriyaadhammaa, N.; Nirachonkul, W.; Tima, S.; Chiampanichayakul, S.; Anuchapreeda, S.; Okonogi, S. Anticancer activity of Zingiber ottensii essential oil and its nanoformulations. PLoS ONE 2022, 24, e0262335. [Google Scholar] [CrossRef]
- Thitinarongwate, W.; Mektrirat, R.; Nimlamool, W.; Khonsung, P.; Pikulkaew, S.; Okonogi, S.; Kunanusorn, P. Phytochemical and Safety Evaluations of Zingiber ottensii Valeton Essential Oil in Zebrafish Embryos and Rats. Toxics 2021, 9, 102. [Google Scholar] [CrossRef]
- Thubthimthed, S.; Limsiriwong, P.; Rerk-am, U.; Suntorntanasat, T. Chemical composition and cytotoxic activity of the essential oil of Zingiber ottensii. Acta Horti. 2005, 675, 107–109. [Google Scholar] [CrossRef]
- Tiengburanatam, N.; Boonmee, A.; Sangvanich, P.; Karnchanatat, A. A novel α-glucosidase inhibitor protein from the rhizomes of Zingiber ottensii valeton. Appl. Biochem. Biotechnol. 2010, 162, 1938–1951. [Google Scholar] [CrossRef]
- Karnchanatat, A.; Tiengburanatam, N.; Boonmee, A.; Puthong, S.; Sangvanich, P. Zingipain, a cysteine protease from Zingiber ottensii Valeton rhizomes with antiproliferative activities against fungi and human malignant cell lines. Prep. Biochem. Bio Technol. 2011, 41, 138–153. [Google Scholar] [CrossRef]
- Ruttanapattanakul, J.; Wikan, N.; Chinda, K.; Jearanaikulvanich, T.; Krisanuruks, N.; Muangcha, M.; Okonogi, S.; Potikanond, S.; Nimlamool, W. Essential Oil from Zingiber ottensii Induces Human Cervical Cancer Cell Apoptosis and Inhibits MAPK and PI3K/AKT Signaling Cascades. Plants 2021, 10, 1419. [Google Scholar] [CrossRef]
- Chantaranothai, C.; Palaga, T.; Karnchanatat, A.; Sangvanich, P. Inhibition of nitric oxide production in the macrophage-like RAW 264.7 cell line by protein from the rhizomes of Zingiberaceae plants. Prep. Biochem. Biotechnol. 2013, 43, 60–78. [Google Scholar] [CrossRef]
- Hussein, S.Z.; Mohd Yusoff, K.; Makpol, S.; Mohd Yusof, Y.A. Gelam honey attenuates carrageenan-induced rat paw inflammation via NF-κB pathway. PLoS ONE 2013, 8, e72365. [Google Scholar] [CrossRef] [Green Version]
- Libby, P. Inflammatory mechanisms: The molecular basis of inflammation and disease. Nutr. Rev. 2007, 65, 140–146. [Google Scholar] [CrossRef]
- Ou, Z.; Zhao, J.; Zhu, L.; Huang, L.; Ma, Y.; Ma, C.; Luo, C.; Zhu, Z.; Yuan, Z.; Wu, J.; et al. Anti-inflammatory effect and potential mechanism of betulinic acid on λ-carrageenan-induced paw edema in mice. Biomed. Pharmacother. 2019, 118, 109347. [Google Scholar] [CrossRef]
- Pingsusaen, P.; Kunanusorn, P.; Khonsung, P.; Chiranthanut, N.; Panthong, A.; Rujjanawate, C. Investigation of anti-inflammatory, antinociceptive and antipyretic activities of Stahlianthus involucratus rhizome ethanol extract. J. Ethnopharmacol. 2015, 13, 199–206. [Google Scholar] [CrossRef]
- Karim, N.; Khan, I.; Khan, W.; Khan, I.; Khan, A.; Halim, S.A.; Khan, H.; Hussain, J.; Al-Harrasi, A. Anti-nociceptive and Anti-inflammatory Activities of Asparacosin A Involve Selective Cyclooxygenase 2 and Inflammatory Cytokines Inhibition: An in-vitro, in-vivo, and in-silico Approach. Front. Immuno. 2019, 10, 581. [Google Scholar] [CrossRef] [Green Version]
- Lopes, A.J.O.; Vasconcelos, C.C.; Pereira, F.A.N.; Silva, R.H.M.; Queiroz, P.F.D.S.; Fernandes, C.V.; Garcia, J.B.S.; Ramos, R.M.; Rocha, C.Q.D.; Lima, S.T.D.J.R.M.; et al. Anti-Inflammatory and Antinociceptive Activity of Pollen Extract Collected by Stingless Bee Melipona fasciculata. Int. J. Mol. Sci. 2019, 20, 4512. [Google Scholar] [CrossRef] [Green Version]
- Giuliano, F.; Warner, T.D. Origins of prostaglandin E2: Involvements of cyclooxygenase (COX)-1 and COX-2 in human and rat systems. J. Pharmacol. Exp. Ther. 2002, 303, 1001–1006. [Google Scholar] [CrossRef] [Green Version]
- Ma, H.; Wang, F.; Jiang, J.; Cheng, L.; Zhang, H.; Zhang, G. In vivo anti-inflammatory activity of Liquidambar formosana Hance infructescence extract. Trop. J. Pharm. Res. 2017, 16, 2403–2410. [Google Scholar] [CrossRef]
- Rocha, A.C.; Fernandes, E.S.; Quintão, N.L.; Campos, M.M.; Calixto, J.B. Relevance of tumour necrosis factor-alpha for the inflammatory and nociceptive responses evoked by carrageenan in the mouse paw. Br. J. Pharmacol. 2006, 148, 688–695. [Google Scholar] [CrossRef] [Green Version]
- Cuzzocrea, S.; Sautebin, L.; De Sarro, G.; Costantino, G.; Rombolà, L.; Mazzon, E.; Ialenti, A.; De Sarro, A.; Ciliberto, G.; Di Rosa, M.; et al. Role of IL-6 in the pleurisy and lung injury caused by carrageenan. J. Immunol. 1999, 163, 5094–5104. [Google Scholar]
- Kalantari, K.; Moniri, M.; Boroumand Moghaddam, A.; Abdul Rahim, R.; Bin Ariff, A.; Izadiyan, Z.; Mohamad, R. A Review of the Biomedical Applications of Zerumbone and the Techniques for Its Extraction from Ginger Rhizomes. Molecules 2017, 22, 1645. [Google Scholar] [CrossRef] [PubMed] [Green Version]
- De Freitas Souza, C.; Baldissera, M.; Silva, L.; Geihs, M.; Baldisserotto, B. Is monoterpene terpinen-4-ol the compound responsible for the anesthetic and antioxidant activity of Melaleuca alternifolia essential oil (tea tree oil) in silver catfish? Aquaculture 2018, 486, 217–223. [Google Scholar] [CrossRef]
- Valente, J.; Zuzarte, M.; Gonçalves, M.J.; Lopes, M.C.; Cavleiro, C.; Salgueiro, L.; Cruz, M.T. Antifungal, antioxidant and anti-inflammatory activities of Oenanthe crocata L. essential oil. Food. Chem. Toxicol. 2013, 62, 349–354. [Google Scholar] [CrossRef] [PubMed]
- Bang, J.S.; Oh, D.H.; Choi, H.M.; Sur, B.-J.; Lim, S.-J.; Kim, J.Y.; Yang, H.-I.; Yoo, M.C.; Hahm, D.-H.; Kim, K.S. Anti-inflammatory and antiarthritic effects of piperine in human interleukin 1beta-stimulated fibroblast-like synoviocytes and in rat arthritis models. Arthritis Res. Ther. 2009, 11, R49. [Google Scholar] [CrossRef] [Green Version]
- Park, S.M.; Lee, T.H.; Zhao, R.; Kim, Y.S.; Jung, J.Y.; Park, C.A.; Jegal, K.H.; Ku, S.K.; Kim, J.K.; Lee, C.W.; et al. Amelioration of inflammatory responses by Socheongryong-Tang, a traditional herbal medicine, in RAW 264. cells and rats. Int. J. Mol. Med. 2018, 41, 2771–2783. [Google Scholar]
- Zaqout, S.; Becker, L.L.; Kaindl, A.M. Immunofluorescence Staining of Paraffin Sections Step by Step. Front. Neuroanat. 2020, 14, 582218. [Google Scholar] [CrossRef]








Publisher’s Note: MDPI stays neutral with regard to jurisdictional claims in published maps and institutional affiliations. |
© 2022 by the authors. Licensee MDPI, Basel, Switzerland. This article is an open access article distributed under the terms and conditions of the Creative Commons Attribution (CC BY) license (https://creativecommons.org/licenses/by/4.0/).
Share and Cite
Thitinarongwate, W.; Nimlamool, W.; Khonsung, P.; Mektrirat, R.; Kunanusorn, P. Anti-Inflammatory Activity of Essential Oil from Zingiber ottensii Valeton in Animal Models. Molecules 2022, 27, 4260. https://doi.org/10.3390/molecules27134260
Thitinarongwate W, Nimlamool W, Khonsung P, Mektrirat R, Kunanusorn P. Anti-Inflammatory Activity of Essential Oil from Zingiber ottensii Valeton in Animal Models. Molecules. 2022; 27(13):4260. https://doi.org/10.3390/molecules27134260
Chicago/Turabian StyleThitinarongwate, Wisit, Wutigri Nimlamool, Parirat Khonsung, Raktham Mektrirat, and Puongtip Kunanusorn. 2022. "Anti-Inflammatory Activity of Essential Oil from Zingiber ottensii Valeton in Animal Models" Molecules 27, no. 13: 4260. https://doi.org/10.3390/molecules27134260
APA StyleThitinarongwate, W., Nimlamool, W., Khonsung, P., Mektrirat, R., & Kunanusorn, P. (2022). Anti-Inflammatory Activity of Essential Oil from Zingiber ottensii Valeton in Animal Models. Molecules, 27(13), 4260. https://doi.org/10.3390/molecules27134260

