Anti-Osteoporotic Effects of n-trans-Hibiscusamide and Its Derivative Alleviate Ovariectomy-Induced Bone Loss in Mice by Regulating RANKL-Induced Signaling
Abstract
:1. Introduction
2. Results
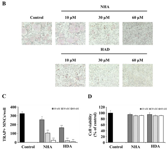
2.1. NHA and HAD Inhibit RANKL-Induced Osteoclast Differentiation
2.2. NHA and HAD Inhibit RANKL-Induced Osteoclast Differentiation-Related Gene Expression
2.3. NHA and HAD Inhibit RANKL-Induced Osteoclast Differentiation-Associated Signaling Molecules
2.4. NHA and HAD Alleviate OVX-Induced Bone Loss
2.5. NHA and HAD Downregulate Biochemical Markers of Osteoporosis in an OVX-Induced Bone Loss Model
3. Discussion
4. Materials and Methods
4.1. Reagents
4.2. Synthesis of NHA and HAD
4.3. Isolation of Bone Marrow Monocytes and the Differentiation of BMMs
4.4. In Vitro Osteoclastogenesis Assay
4.5. Cell Viability Assay
4.6. Western Blot Analysis
4.7. Quantitative Real-Time RT-PCR
4.8. Induction and Treatment of Osteoporosis
4.9. Micro-CT Measurements
4.10. Biochemical Analysis of Serum
4.11. Statistical Analysis
Author Contributions
Funding
Institutional Review Board Statement
Informed Consent Statement
Data Availability Statement
Conflicts of Interest
Sample Availability
References
- Tanaka, Y.; Nakayamada, S.; Okada, Y. Osteoblasts and osteoclasts in bone remodeling and inflammation. Curr. Drug Targets Inflamm. Allergy 2005, 4, 325–328. [Google Scholar] [CrossRef] [PubMed]
- Kogawa, M.; Findlay, D.M.; Anderson, P.H.; Ormsby, R.; Vincent, C.; Morris, H.A.; Atkins, G.J. Osteoclastic metabolism of 25 (OH)-vitamin D3: A potential mechanism for optimization of bone resorption. Endocrinology 2010, 151, 4613–4625. [Google Scholar] [CrossRef] [Green Version]
- Cray, J.J., Jr.; Khaksarfard, K.; Weinberg, S.M.; Elsalanty, M.; Yu, J.C. Effects of thyroxine exposure on osteogenesis in mouse calvarial pre-osteoblasts. PLoS ONE 2013, 8, e69067. [Google Scholar] [CrossRef] [PubMed] [Green Version]
- Cao, X. RANKL-RANK signaling regulates osteoblast differentiation and bone formation. Bone Res. 2018, 6, 35. [Google Scholar] [CrossRef] [PubMed] [Green Version]
- Udagawa, N.; Takahashi, N.; Yasuda, H.; Mizuno, A.; Itoh, K.; Ueno, Y.; Shinki, T.; Gillespie, M.T.; Martin, T.J.; Higashio, K.; et al. Osteoprotegerin produced by osteoblasts is an important regulator in osteoclast development and function. Endocrinology 2000, 141, 3478–3484. [Google Scholar] [CrossRef] [PubMed]
- Lee, N.K. RANK signaling pathways and key molecules inducing osteoclast differentiation. Biomed. Sci. Lett. 2017, 23, 295–302. [Google Scholar] [CrossRef] [Green Version]
- Park, J.H.; Lee, N.K.; Lee, S.Y. Current understanding of RANK signaling in osteoclast differentiation and maturation. Mol. Cells 2017, 40, 706. [Google Scholar]
- Kim, J.H.; Kim, N. Signaling pathways in osteoclast differentiation. Chonnam Med. J. 2016, 52, 12–17. [Google Scholar] [CrossRef] [Green Version]
- Wang, Q.; Zhao, Y.; Sha, N.; Zhang, Y.; Li, C.; Zhang, H.; Tang, D.; Lu, S.; Shi, Q.; Wang, Y.; et al. The systemic bone protective effects of Gushukang granules in ovariectomized mice by inhibiting osteoclastogenesis and stimulating osteoblastogenesis. J. Pharmacol. Sci. 2018, 136, 155–164. [Google Scholar] [CrossRef]
- Sözen, T.; Özışık, L.; Başaran, N.Ç. An overview and management of osteoporosis. Eur. J. Rheumatol. 2017, 4, 46. [Google Scholar] [CrossRef]
- Laird, E.; Ward, M.; McSorley, E.; Strain, J.J.; Wallace, J. Vitamin D and bone health; Potential mechanisms. Nutrients 2010, 2, 693–724. [Google Scholar] [CrossRef] [PubMed] [Green Version]
- Bhattarai, H.K.; Shrestha, S.; Rokka, K.; Shakya, R. Vitamin D, calcium, parathyroid hormone, and sex steroids in bone health and effects of aging. J. Osteoporos. 2020, 2020, 9324505. [Google Scholar] [CrossRef] [PubMed]
- Hanley, D.A.; Adachi, J.D.; Bell, A.; Brown, V. Denosumab: Mechanism of action and clinical outcomes. Int. J. Clin. Pract. 2012, 66, 1139–1146. [Google Scholar] [CrossRef] [PubMed] [Green Version]
- Diab, D.L.; Watts, N.B. Bisphosphonates in the treatment of osteoporosis. Endocrinol. Metab. Clin. 2012, 41, 487–506. [Google Scholar] [CrossRef]
- Zhang, N.; Zhang, Z.K.; Yu, Y.; Zhuo, Z.; Zhang, G.; Zhang, B.T. Pros and cons of denosumab treatment for osteoporosis and implication for RANKL aptamer therapy. Front. Cell Dev. Biol. 2020, 8, 325. [Google Scholar] [CrossRef]
- Kennel, K.A.; Drake, M.T. Adverse effects of bisphosphonates: Implications for osteoporosis management. Mayo Clin. Proc. 2009, 84, 632–638. [Google Scholar] [CrossRef] [Green Version]
- Hwang, J.T.; Kim, Y.; Jang, H.J.; Oh, H.M.; Lim, C.H.; Lee, S.W.; Rho, M.C. Study of the UV light conversion of feruloyl amides from Portulaca oleracea and their inhibitory effect on IL-6-induced STAT3 activation. Molecules 2016, 21, 865. [Google Scholar] [CrossRef]
- Atreya, R.; Neurath, M.F. Involvement of IL-6 in the pathogenesis of inflammatory bowel disease and colon cancer. Clin. Rev. Allergy Immunol. 2005, 28, 187–195. [Google Scholar] [CrossRef]
- Yoshizaki, K.; Murayama, S.; Ito, H.; Koga, T. The role of interleukin-6 in castleman disease. Hematol. Oncol. Clin. N. Am. 2018, 32, 23–36. [Google Scholar] [CrossRef]
- Laavola, M.; Leppänen, T.; Hämäläinen, M.; Vuolteenaho, K.; Moilanen, T.; Nieminen, R.; Moilanen, E. IL-6 in osteoarthritis: Effects of pine stilbenoids. Molecules 2019, 24, 109. [Google Scholar] [CrossRef] [Green Version]
- Mundy, G.R. Osteoporosis and inflammation. Nutr. Rev. 2007, 65, S147–S151. [Google Scholar] [CrossRef] [Green Version]
- Yang, Y.; Chung, M.R.; Zhou, S.; Gong, X.; Xu, H.; Hong, Y.; Jin, A.; Huang, X.; Zou, W.; Dai, Q.; et al. STAT3 controls osteoclast differentiation and bone homeostasis by regulating NFATc1 transcription. J. Biol. Chem. 2019, 294, 15395–15407. [Google Scholar] [CrossRef]
- Itoh, S.; Udagawa, N.; Takahashi, N.; Yoshitake, F.; Narita, H.; Ebisu, S.; Ishihara, K. A critical role for interleukin-6 family-mediated Stat3 activation in osteoblast differentiation and bone formation. Bone 2006, 39, 505–512. [Google Scholar] [CrossRef] [PubMed]
- Chiu, Y.H.; Ritchlin, C.T. DC-STAMP: A key regulator in osteoclast differentiation. J. Cell. Physiol. 2016, 231, 2402–2407. [Google Scholar] [CrossRef] [PubMed] [Green Version]
- Christensen, J.; Shastri, V.P. Matrix-metalloproteinase-9 is cleaved and activated by cathepsin K. BMC Res. Notes 2015, 8, 322. [Google Scholar] [CrossRef] [PubMed] [Green Version]
- Zhao, Q.; Wang, X.; Liu, Y.; He, A.; Jia, R. NFATc1: Functions in osteoclasts. Int. J. Biochem. Cell Biol. 2010, 42, 576–579. [Google Scholar] [CrossRef]
- Rosen, H.N.; Moses, A.C.; Garber, J.; Iloputaife, I.D.; Ross, D.S.; Lee, S.L.; Greenspan, S.L. Serum CTX: A new marker of bone resorption that shows treatment effect more often than other markers because of low coefficient of variability and large changes with bisphosphonate therapy. Calcif. Tissue Int. 2000, 66, 100–103. [Google Scholar] [CrossRef]
- Feng, X.; McDonald, J.M. Disorders of bone remodeling. Annu. Rev. Pathol. 2011, 6, 121–145. [Google Scholar] [CrossRef] [Green Version]
- Riggs, B.L. The mechanisms of estrogen regulation of bone resorption. J. Clin. Investig. 2000, 106, 1203–1204. [Google Scholar] [CrossRef] [Green Version]
- Ukon, Y.; Makino, T.; Kodama, J.; Tsukazaki, H.; Tateiwa, D.; Yoshikawa, H.; Kaito, T. Molecular-based treatment strategies for osteoporosis: A literature review. Int. J. Mol. Sci. 2019, 20, 2557. [Google Scholar] [CrossRef] [Green Version]
- Macías, I.; Alcorta-Sevillano, N.; Rodríguez, C.I.; Infante, A. Osteoporosis and the potential of cell-based therapeutic strategies. Int. J. Mol. Sci. 2020, 21, 1653. [Google Scholar] [CrossRef] [PubMed] [Green Version]
- Izawa, T.; Zou, W.; Chappel, J.C.; Ashley, J.W.; Feng, X.; Teitelbaum, S.L. c-Src links a RANK/αvβ3 integrin complex to the osteoclast cytoskeleton. Mol. Cell. Biol. 2012, 32, 2943–2953. [Google Scholar] [CrossRef] [PubMed] [Green Version]
- Moon, J.B.; Kim, J.H.; Kim, K.; Youn, B.U.; Ko, A.; Lee, S.Y.; Kim, N. Akt induces osteoclast differentiation through regulating the GSK3β/NFATc1 signaling cascade. J. Immunol. 2012, 188, 163–169. [Google Scholar] [CrossRef] [PubMed] [Green Version]
- Lee, K.; Seo, I.; Choi, M.H.; Jeong, D. Roles of mitogen-activated protein kinases in osteoclast biology. Int. J. Mol. Sci. 2018, 19, 3004. [Google Scholar] [CrossRef] [PubMed] [Green Version]
- Epple, H.; Cremasco, V.; Zhang, K.; Mao, D.; Longmore, G.D.; Faccio, R. Phospholipase Cγ2 modulates integrin signaling in the osteoclast by affecting the localization and activation of Src kinase. Mol. Cell. Biol. 2008, 28, 3610–3622. [Google Scholar] [CrossRef] [Green Version]
- Mao, D.; Epple, H.; Uthgenannt, B.; Novack, D.V.; Faccio, R. PLCγ2 regulates osteoclastogenesis via its interaction with ITAM proteins and GAB2. J. Clin. Investig. 2006, 116, 2869–2879. [Google Scholar] [CrossRef] [Green Version]
- Davidson, R.K.; Himes, E.R.; Takigawa, S.; Chen, A.; Horn, M.R.; Meijome, T.; Wallace, J.M.; Kacena, M.A.; Yokota, H.; Nguyen, A.V.; et al. The loss of STAT3 in mature osteoclasts has detrimental effects on bone structure. PLoS ONE 2020, 15, e0236891. [Google Scholar] [CrossRef]
- Wang, Z.; Wei, Y.; Lei, L.; Zhong, J.; Shen, Y.; Tan, J.; Xia, M.; Wu, Y.; Sun, W.; Chen, L. RANKL expression of primary osteoblasts is enhanced by an IL-17-mediated JAK2/STAT3 pathway through autophagy suppression. Connect. Tissue Res. 2021, 62, 411–426. [Google Scholar] [CrossRef]
- Kim, M.H.; Lim, H.J.; Bak, S.G.; Park, E.J.; Jang, H.J.; Lee, S.W.; Lee, S.; Lee, K.M.; Cheong, S.H.; Rho, M.C. Eudebeiolide B Inhibits Osteoclastogenesis and Prevents Ovariectomy-Induced Bone Loss by Regulating RANKL-Induced NF-κB, c-Fos and Calcium Signaling. Pharmaceuticals 2020, 13, 468. [Google Scholar] [CrossRef]






Publisher’s Note: MDPI stays neutral with regard to jurisdictional claims in published maps and institutional affiliations. |
© 2021 by the authors. Licensee MDPI, Basel, Switzerland. This article is an open access article distributed under the terms and conditions of the Creative Commons Attribution (CC BY) license (https://creativecommons.org/licenses/by/4.0/).
Share and Cite
Lim, H.J.; Park, E.-J.; Won, Y.-S.; Bak, S.G.; Cheong, S.H.; Lee, S.W.; Lee, S.; Lee, S.-J.; Rho, M.-C. Anti-Osteoporotic Effects of n-trans-Hibiscusamide and Its Derivative Alleviate Ovariectomy-Induced Bone Loss in Mice by Regulating RANKL-Induced Signaling. Molecules 2021, 26, 6820. https://doi.org/10.3390/molecules26226820
Lim HJ, Park E-J, Won Y-S, Bak SG, Cheong SH, Lee SW, Lee S, Lee S-J, Rho M-C. Anti-Osteoporotic Effects of n-trans-Hibiscusamide and Its Derivative Alleviate Ovariectomy-Induced Bone Loss in Mice by Regulating RANKL-Induced Signaling. Molecules. 2021; 26(22):6820. https://doi.org/10.3390/molecules26226820
Chicago/Turabian StyleLim, Hyung Jin, Eun-Jae Park, Yeong-Seon Won, Seon Gyeong Bak, Sun Hee Cheong, Seung Woong Lee, Soyoung Lee, Seung-Jae Lee, and Mun-Chual Rho. 2021. "Anti-Osteoporotic Effects of n-trans-Hibiscusamide and Its Derivative Alleviate Ovariectomy-Induced Bone Loss in Mice by Regulating RANKL-Induced Signaling" Molecules 26, no. 22: 6820. https://doi.org/10.3390/molecules26226820
APA StyleLim, H. J., Park, E.-J., Won, Y.-S., Bak, S. G., Cheong, S. H., Lee, S. W., Lee, S., Lee, S.-J., & Rho, M.-C. (2021). Anti-Osteoporotic Effects of n-trans-Hibiscusamide and Its Derivative Alleviate Ovariectomy-Induced Bone Loss in Mice by Regulating RANKL-Induced Signaling. Molecules, 26(22), 6820. https://doi.org/10.3390/molecules26226820

