Antioxidants Isolated from Elaeagnus umbellata (Thunb.) Protect against Bacterial Infections and Diabetes in Streptozotocin-Induced Diabetic Rat Model
Abstract
:1. Introduction
2. Materials and Methods
2.1. Chemicals and Reagents
2.2. Plant Material Collection
2.3. Extraction, Fractionation and Isolation of Morin
2.4. Structural Confirmation and Characterization of Isolated Compounds
2.5. DPPH (2,2-Diphenyl-1-picrylhydrazyl) Free Radical Scavenging Test Assay
2.6. ABTS (2,2′-Azinobis-3-ethylbenzothiazoline-6-sulfonic acid) Free Radical Scavenging Test Assay
2.7. In Vitro α-Amylase Inhibition Assay
2.8. In Vitro α-Glucosidase Inhibition Assay
2.9. Evaluation of the Antimicrobial Activity
2.9.1. Bacterial Strains
2.9.2. Preparation of Standard Bacterial Suspension
2.9.3. Antibacterial Susceptibility Test (Disc Diffusion Method)
2.9.4. Determination of Minimum Inhibitory Concentration of Isolated Compounds
2.10. In Vivo Studies
2.10.1. Animals
2.10.2. Study design
2.10.3. Acute Toxicity Study
2.10.4. Induction of Diabetes in Experimental Animals
2.10.5. Collection of Blood and Estimation of Biochemical Parameters
2.10.6. Measurement of Antioxidant Enzymes Activities and Oxidative Stress Markers in Pancreas Tissues
2.10.7. Quantification of Intracellular ROS Level in Pancreas Tissue
2.10.8. Histopathological Assessment
2.11. Statistical Analysis
3. Results
3.1. In Vitro Free Radical Scavenging Potential of Isolated Compounds (Morin, Phloroglucinol, and 1-Hexyl Benzene)
3.2. In Vitro α-Amylase Enzyme Inhibitory Studies of Isolated Compounds (Morin, Phloroglucinol, 1-Hexyl Benzene)
3.3. In Vitro α-Glucosidase Enzyme Inhibitory Studies of Isolated Compounds (Morin, Phloroglucinol, 1-Hexyl Benzene)
3.4. Determination of Zone of Inhibitions
3.5. Determination of Minimum Inhibitory Concentrations (MICs)
3.6. In Vivo Antidiabetic Potential of Morin
3.6.1. Effect of Morin on Blood Glycemia
3.6.2. Effects of Morin on Body Weight in Diabetic Rats
3.6.3. Effect of Various Treatments on Liver and Renal Functions in STZ-Induced Diabetic Rats
3.6.4. Effect of Various Treatments on Serum Lipid Profile and Hb1c Level in Diabetic Rats
3.6.5. Effect of Various Treatments on Lipid Peroxidation and Reduced GSH Level
3.6.6. Effect of Various Treatments on Glutathione Peroxidase Level
3.6.7. Effect of Various Treatments on Intracellular ROS Level
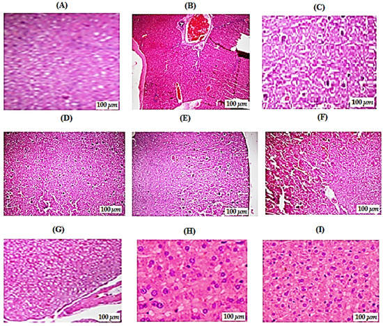
3.6.8. Effect of Various Treatments on Pancreas Histopathology in STZ-Induced Diabetic Rats
4. Discussion
5. Conclusions
Supplementary Materials
Author Contributions
Funding
Institutional Review Board Statement
Informed Consent Statement
Data Availability Statement
Acknowledgments
Conflicts of Interest
Abbreviations
| Me-Ext | Hydromethanolic extract |
| Hex.Ext | n-hexane extract fraction |
| Chf-Ext | Chloroform extract fraction |
| EtAc-Ext | Ethyl acetate extract fraction |
| But.Ext | n-Butanol extract fraction |
| Aq.Ext | Aqueous extract fraction |
| DPPH | 2,2-diphenyl-1-picrylhydrazyl |
| ABTS | 2,2′-azinobis-3-ethylbenzothiazoline-6-sulfonic acid |
| Rt | Retention time |
| SEM | Standard error mean |
| ROS | Reactive oxygen species |
| DM | Diabetes mellitus |
| AD | Alzheimer’s disease |
| T2D | Type 2 diabetes |
| UVAD | Ultraviolet array detector |
| HFD | High-fat diet |
| STZ | Streptozotocin |
| DNSA | 3, 5-dinitrosalicylic acid |
| TC | Total cholesterol |
| TG | Triglycerides |
| LDL | Low density lipoproteins |
| HDL | High density lipoprotein |
| SGPT | Serum glutamate pyruvate transaminase |
| SGOT | Serum glutamate oxaloacetate transaminase |
| ALP | Serum alkaline phosphatase |
| HbA1c | Glycosylated hemoglobin |
| TBARS | Thiobarbituric acid reactive substance |
| MDA | Malondialdehyde |
| GPx | Glutathione peroxidase |
| BHT | Butylated hydroxytoluene |
| GSH | Reduced glutathione |
| DTNB | 5, 5′-dithiobis-(2-nitro-benzoic acid) |
| FTIR | Fourier transform infrared-spectroscopy |
| i.p. | Intraperitoneal |
| IC50 | Minimum inhibitory concentration |
| ANOVA | Analysis of variance |
| NMR | Nuclear magnetic resonance |
| p.o. | Per oral |
| C13NMR | Carbon-13 nuclear magnetic resonance |
| EI-MS | Electron ionization mass spectrometry |
| OECD | Organization for Economic Cooperation and Development |
| ARRIVE | Animal Research: Reporting of In Vivo Experiments. |
References
- Checa, J.; Aran, J.M. Reactive oxygen species: Drivers of physiological and pathological processes. J. Inflamm. Res. 2020, 13, 1057. [Google Scholar] [CrossRef]
- Gulcin, İ. Antioxidants and antioxidant methods: An updated overview. Arch. Toxicol. 2020, 94, 651–715. [Google Scholar] [CrossRef] [PubMed] [Green Version]
- García-Sánchez, A.; Miranda-Díaz, A.G.; Cardona-Muñoz, E.G. The Role of Oxidative Stress in Physiopathology and Pharmacological Treatment with Pro- and Antioxidant Properties in Chronic Diseases. Oxid. Med. Cell. Longev. 2020, 2020, 2082145. [Google Scholar] [CrossRef]
- Campbell, J.E.; Newgard, C.B. Mechanisms controlling pancreatic islet cell function in insulin secretion. Nat. Rev. Mol. Cell Biol. 2021, 22, 142–158. [Google Scholar] [CrossRef]
- Scheen, M.; Giraud, R.; Bendjelid, K. Stress hyperglycemia, cardiac glucotoxicity, and critically ill patient outcomes current clinical and pathophysiological evidence. Physiol. Rep. 2021, 9, e14713. [Google Scholar] [CrossRef] [PubMed]
- Alshayban, D.; Joseph, R. Health-related quality of life among patients with type 2 diabetes mellitus in Eastern Province, Saudi Arabia: A cross-sectional study. PLoS ONE. 2020, 15, e0227573. [Google Scholar]
- Engler, C.; Leo, M.; Pfeifer, B.; Juchum, M.; Chen-Koenig, D.; Poelzl, K.; Schoenherr, H.; Vill, D.; Oberdanner, J.; Eisendle, E.; et al. Long-term trends in the prescription of antidiabetic drugs: Real-world evidence from the Diabetes Registry Tyrol 2012–2018. BMJ Open Diabetes Res. Care 2020, 8, e001279. [Google Scholar] [CrossRef] [PubMed]
- Murugan, P. Antidiabetic effect on some medicinal plants. Int. J. Curr. Res. 2021, 10, 3392–3395. [Google Scholar]
- Bento, C.; Gonçalves, A.C.; Silva, B.; Silva, L.R. Peach (Prunus Persica): Phytochemicals and Health Benefits. Food Rev. Int. 2020, 1–32. [Google Scholar] [CrossRef]
- Nazir, N.; Zahoor, M.; Ullah, R.; Ezzeldin, E.; Mostafa, G.A. Curative Effect of Catechin Isolated from Elaeagnus umbellata Thunb. Berries for Diabetes and Related Complications in Streptozotocin-Induced Diabetic Rats Model. Molecules. 2021, 26, 137. [Google Scholar] [CrossRef]
- Nazir, N.; Zahoor, M.; Nisar, M. A Review on Traditional Uses and Pharmacological Importance of Genus Elaeagnus Species. Bot. Rev. 2020, 86, 1–34. [Google Scholar] [CrossRef]
- WHO; Omdi, S.; Salud, O. The World Health Report 2001: Mental Health: New Understanding; World Health Organization: Geneva, Switzerland; New Hope, PA, USA, 2001. [Google Scholar]
- Nazir, N.; Zahoor, M.; Nisar, M.; Khan, I.; Karim, N.; Abdel-Halim, H.; Ali, A. Phytochemical analysis and antidiabetic potential of Elaeagnus umbellata (Thunb.) in streptozotocin-induced diabetic rats: Pharmacological and computational approach. BMC Complement. Altern. Med. 2018, 18, 332. [Google Scholar] [CrossRef]
- Collenette, S. National Commission for Wildlife Conservation and Development; Wildflowers of Saudi Arabia: Riyadh, Saudi Arabia, 1999. [Google Scholar]
- Nazir, N.; Zahoor, M.; Uddin, F.; Nisar, M. Chemical composition, in vitro antioxidant, anticholinesterase, and antidiabetic potential of essential oil of Elaeagnus umbellata Thunb. BMC Complement. Med Ther. 2021, 21, 73. [Google Scholar] [CrossRef]
- Nazir, N.; Zahoor, M.; Nisar, M.; Karim, N.; Latif, A.; Ahmad, S.; Uddin, Z. Evaluation of neuroprotective and anti-amnesic effects of Elaeagnus umbellata Thunb. On scopolamine-induced memory impairment in mice. BMC Complement. Med. Ther. 2020, 20, 143. [Google Scholar] [CrossRef]
- Jiang, B.; Geng, Q.; Li, T.; Mohammad Firdous, S.; Zhou, X. Morin attenuates STZ-induced diabetic retinopathy in experimental animals. Saudi J. Biol. Sci. 2020, 27, 2139–2142. [Google Scholar] [CrossRef]
- Razavi, T.; Kouhsari, S.M.; Abnous, K. Morin Exerts Anti-Diabetic Effects in Human HepG2 Cells Via Down-Regulation of miR-29a. Exp. Clin. Endocrinol. Diabetes 2019, 127, 615–622. [Google Scholar] [CrossRef] [PubMed]
- Olayinka, E.T.; Ore, A.; Adeyemo, O.A.; Ola, O.S. The role of flavonoid antioxidant, morin in improving procarbazine-induced oxidative stress on testicular function in rat. Porto Biomed. J. 2019, 4. [Google Scholar] [CrossRef]
- Hrelia, S.; Angeloni, C. New Mechanisms of Action of Natural Antioxidants in Health and Disease. Antioxidants 2020, 9, 344. [Google Scholar] [CrossRef] [PubMed] [Green Version]
- Khameneh, B.; Iranshahy, M.; Soheili, V.; Fazly Bazzaz, B.S.F. Review on plant antimicrobials: A mechanistic viewpoint. Antimicrob. Resist. Infect. Control 2019, 8, 118. [Google Scholar] [CrossRef] [PubMed] [Green Version]
- Rayan, M.; Abu-Farich, B.; Basha, W.; Rayan, A.; Abu-Lafi, S. Correlation between Antibacterial Activity and Free-Radical Scavenging: In-Vitro Evaluation of Polar/Non-Polar Extracts from 25 Plants. Processes 2020, 8, 117. [Google Scholar] [CrossRef] [Green Version]
- Minhas, F.A.; Rehaman, H.U.; Yasin, A.; Awan, Z.I.; Ahmed, N. Antimicrobial activities of the leaves and roots of Elaeagnus umbellata Thunb. Afr. J. Biotechnol. 2013, 12, 6754–6760. [Google Scholar]
- Manandhar, S.; Luitel, S.; Dahal, R.K. In Vitro Antimicrobial Activity of Some Medicinal Plants against Human Pathogenic Bacteria. J. Trop. Med. 2019, 2019, 5. [Google Scholar] [CrossRef] [PubMed] [Green Version]
- Brand-Williams, W.; Cuvelier, M.; Berset, C.L.W.T. Use of a free radical method to evaluate antioxidant activity. LWT Food Sci. Technol. 1995, 28, 25–30. [Google Scholar] [CrossRef]
- Re, R.; Pellegrini, N.; Proteggente, A.; Pannala, A.; Re, Y.M. Antioxidant activity applying an improved FBTS radical cation decolorization assay. Free Rad. Biol. Med. 1999, 26, 7–1231. [Google Scholar] [CrossRef]
- Ranilla, L.G.; Kwon, Y.I.; Apostolidis, E.; Shetty, K. Phenolic compounds, antioxidant activity and in vitro inhibitory potential against key enzymes relevant for hyperglycemia and hypertension of commonly used medicinal plants, herbs and species in Latin America. Bioresour. Technol. 2010, 101, 4676–4689. [Google Scholar] [CrossRef]
- Okunji, C.O.; Okeke, C.N.; Gugnani, H.C.; Iwu, M.M. An antifungal saponin from fruit pulp of Dracaena manni. Int. J. Crude Drug Res. 1990, 28, 193–199. [Google Scholar] [CrossRef]
- Arends, S.R.; Canino, M.A.; Mendes, R.; Scangarella-Oman, N.E.; Flamm, R.K. Comparison of minimum inhibitory concentration results for gepotidacin obtained using agar dilution and broth microdilution methods. Diagn. Microbiol. Infect. Dis. 2020, 98, 115107. [Google Scholar] [CrossRef] [PubMed]
- Sharma, B.; Salunke, R.; Balomajumder, C.; Daniel, S.; Roy, P. Anti-diabetic potential of alkaloid rich fraction from Capparis decidua on diabetic mice. J. Ethnopharmacol. 2010, 127, 457–462. [Google Scholar] [CrossRef]
- Gopalakrishnan, V.; Iyyam Pillai, S.; Subramanian, S.P. Synthesis, Spectral Characterization, and Biochemical Evaluation of Antidiabetic Properties of a New Zinc-Diosmin Complex Studied in High Fat Diet Fed-Low Dose Streptozotocin Induced Experimental Type 2 Diabetes in Rats. Biochem. Res. Int. 2015, 2015, 11. [Google Scholar] [CrossRef] [Green Version]
- Nagappa, A.N.; Thakurdesai, P.A.; VenkatRao, N.V.; Singh, J. Antidiabetic activity of Terminaliacatappa Linn fruits. J. Ethnopharmacol. 2003, 88, 45–50. [Google Scholar] [CrossRef]
- Pillay, S.P. Pilot study involving the use of point-of-care glycated haemoglobin (HbA1c) testing for screening and monitoring of diabetes mellitus in the public healthcare sector in KwaZulu-Natal. J. Endocrinol. Metabol. Diabetes S. Afr. 2020, 25, 1–7. [Google Scholar] [CrossRef]
- Ellman, G.L. Tissue sulfhydryl groups. Arch. Biochem. Biophys. 1959, 82, 70–77. [Google Scholar] [CrossRef]
- Fraga, C.G.; Leibovitz, B.E.; Toppel, A.L. Lipid peroxidation measured as TBARS in tissue slices. Characterisation and comparison with homogenate and microsome. Free Radic. Biol. Med. 1988, 4, 155–161. [Google Scholar] [CrossRef]
- Rotruck, J.T.; Pope, A.L.; Ganther, H.E.; Swanson, A.B.; Hafeman, D.G.; Hoekstra, W. Selenium: Biochemical role as a component of glutathione peroxidase. Science 1973, 179, 588–590. [Google Scholar] [CrossRef] [PubMed]
- Shawky, L.M.; Morsi, A.A.; El Bana, E.; Hanafy, S.M. The Biological Impacts of Sitagliptin on the Pancreas of a Rat Model of Type 2 Diabetes Mellitus: Drug Interactions with Metformin. Biology 2019, 9, 6. [Google Scholar] [CrossRef] [Green Version]
- Jain, K.; Desai, N.; Sharma, K.; Marwal, A. Development and screening of byproduct for its secondary metabolites, antioxidant and anti-diabetic potential from anthracnose-infected fruits of pomegranate: A sustainable approach. 3 Biotech 2021, 11, 74. [Google Scholar] [CrossRef]
- Annadurai, P.; Annadurai, V.; Yongkun, M.; Pugazhendhi, A.; Dhandayuthapani, K. Phytochemical composition, antioxidant and antimicrobial activities of Plecospermum spinosum Trecul. Process Biochem. 2021, 100, 107–116. [Google Scholar] [CrossRef]
- Mohammed, M.J.; Anand, U.; Altemimi, A.B.; Tripathi, V.; Guo, Y.; Pratap-Singh, A. Phenolic Composition, Antioxidant Capacity and Antibacterial Activity of White Wormwood (Artemisia herba-alba). Plants 2021, 10, 164. [Google Scholar] [CrossRef] [PubMed]
- Mechchate, H.; Es-safi, I.; Louba, A.; Alqahtani, A.S.; Nasr, F.A.; Noman, O.M.; Farooq, M.; Alharbi, M.S.; Alqahtani, A.; Bari, A.; et al. In Vitro Alpha-Amylase and Alpha-Glucosidase Inhibitory Activity and In Vivo Antidiabetic Activity of Withania frutescens L. Foliar Extract. Molecules 2021, 26, 293. [Google Scholar] [CrossRef] [PubMed]
- Lo, H.C.; Hsu, T.H.; Lee, C.H. Extracellular Polysaccharopeptides from Fermented Turkey Tail Medicinal Mushroom, Trametes versicolor (Agaricomycetes), Mitigate Oxidative Stress, Hyperglycemia, and Hyperlipidemia in Rats with Type 2 Diabetes Mellitus. Int. J. Med. Mushrooms 2020, 22. [Google Scholar] [CrossRef] [PubMed]
- Dzydzan, O.; Brodyak, I.; Sokół-Łętowska, A.; Kucharska, A.Z.; Sybirna, N. Loganic acid, an iridoid glycoside extracted from Cornus mas L. fruits, reduces of carbonyl/oxidative stress biomarkers in plasma and restores antioxidant balance in leukocytes of rats with streptozotocin-induced diabetes mellitus. Life 2020, 10, 349. [Google Scholar] [CrossRef]
- Rashid, U.; Khan, M.R.; Sajid, M. Antioxidant, anti-inflammatory and hypoglycemic effects of Fagonia olivieri DC on STZ-nicotinamide induced diabetic rats—In vivo and in vitro study. J. Ethnopharmacol. 2019, 242, 112038. [Google Scholar] [CrossRef] [PubMed]
- Banerjee, A.; Singh, S.; Prasad, S.K.; Kumar, S.; Banerjee, O.; Seal, T.; Mukherjee, S.; Maji, B.K. Protective efficacy of Tinospora sinensis against streptozotocin induced pancreatic islet cell injuries of diabetic rats and its correlation to its phytochemical profiles. J. Ethnopharmacol. 2020, 248, 112356. [Google Scholar] [CrossRef]
- Moharir, G.; Naikawadi, A.A.; Patil, J.; Bhixavatimath, P.; Bharatha, A. Effect of Vitamin Don Blood Sugar, HbA1c and Serum Insulin Levels in Streptozotocin-Induced Diabetic Rats. Maedica 2020, 15, 327–331. [Google Scholar] [PubMed]
- Thilagam, E.; Chidambaram, K.; Raviteja, C.; Vahana, T.; Vasudevan, P.; Garrido, G. Anti-hyperglycemic and hypolipidemic effects of Saraca asoca (Roxb.) Wild. flowers in alloxan-treated diabetic rats. J. Pharm. Pharmacogn. Res. 2020, 9, 58–68. [Google Scholar]
- Ghaeni Pasavei, A.; Mohebbati, R.; Jalili-Nik, M.; Mollazadeh, H.; Ghorbani, A.; Nosrati Tirkani, A.; Taraz Jamshidi, S.; Hashemy, S.I.; Heidarian Miri, H.; Soukhtanloo, M. Effects of Rhus coriaria L. hydroalcoholic extract on the lipid and antioxidant profile in high fat diet-induced hepatic steatosis in rats. Drug Chem. Toxicol. 2021, 44, 75–83. [Google Scholar] [CrossRef] [PubMed]
- Woldekidan, S.; Mulu, A.; Ergetie, W.; Teka, F.; Meressa, A.; Tadele, A.; Abebe, A.; Gemechu, W.; Gemeda, N.; Ashebir, R.; et al. Evaluation of Antihyperglycemic Effect of Extract of Moringa stenopetala (Baker f.) Aqueous Leaves on Alloxan-Induced Diabetic Rats. Diabetes Metab. Syndr. Obes. Targets Ther. 2021, 14, 185–192. [Google Scholar] [CrossRef]
- Zhang, J.; Anshul, F.; Malhotra, D.K.; Jaume, J.; Dworkin, L.D.; Gong, R. Microdose Lithium Protects against Pancreatic Islet Destruction and Renal Impairment in Streptozotocin-Elicited Diabetes. Antioxidants 2021, 10, 138. [Google Scholar] [CrossRef] [PubMed]
- Fagbohun, O.F.; Awoniran, P.O.; Babalola, O.O.; Agboola, F.K.; Msagati, T.A.M. Changes in the biochemical, hematological and histopathological parameters in STZ-Induced diabetic rats and the ameliorative effect of Kigelia africana fruit extract. Heliyon 2020, 6, e03989. [Google Scholar] [CrossRef] [PubMed]







| Group | Group Category | Treatment Given | Route |
|---|---|---|---|
| Group I | Normal control | Normal saline 8 mL/kg | p.o. |
| Group II | Diabetic control | STZ (50 mg/kg) + normal saline | i.p. |
| Group III | Positive control | STZ (50 mg/kg) + glibenclamide (5 mg/kg) | i.p./p.o. |
| Group IV | Compound treated group | STZ (50 mg/kg) + morin (2 mg/kg) | i.p./p.o. |
| Group V | Compound treated group | STZ (50 mg/kg) + morin (5 mg/kg) | i.p/p.o. |
| Group VI | Compound treated group | STZ (50 mg/kg) + morin (10 mg/kg) | i.p./p.o. |
| Group VII | Compound treated group | STZ (50 mg/kg) + morin (15 mg/kg) | i.p./p.o. |
| Group VIII | Compound treated group | STZ (50 mg/kg) + morin (30 mg/kg) | i.p./p.o. |
| Group IX | Compound treated group | STZ (50 mg/kg) + morin (50 mg/kg) | i.p./p.o. |
| S. No | Sample | Concentration (µg/mL) | % DPPH Scavenging | DPPH IC50 (µg/mL) | % ABTS Scavenging | ABTS IC50 (µg/mL) |
|---|---|---|---|---|---|---|
| Mean ± SEM | Mean ± SEM | |||||
| 1 | Morin | 1000 | 88 ± 1.1 ns | 37 | 88 ± 1.0 ns | 40 |
| 500 | 83 ± 0.5 ns | 80 ± 1.0 ns | ||||
| 250 | 76 ± 1.0 * | 75 ± 0.5 ns | ||||
| 125 | 68 ± 1.2 *** | 64 ± 1.2 ** | ||||
| 62.5 | 59 ± 1.3 *** | 57 ± 1.4 *** | ||||
| 31.05 | 54 ± 0.5 *** | 45 ± 0.5 *** | ||||
| 2 | Phloroglucinol | 1000 | 67 ± 0.4 *** | 105 | 64 ± 1.1 *** | 112 |
| 500 | 57 ± 1.0 *** | 51 ± 0.5 *** | ||||
| 250 | 51 ± 1.0 *** | 45 ± 1.0 *** | ||||
| 125 | 40 ± 0.5 *** | 39 ± 1.2 *** | ||||
| 62.5 | 36 ± 1.1 *** | 33 ± 0.5 *** | ||||
| 31.05 | 32 ± 0.5 *** | 25 ± 1.0 *** | ||||
| 3 | 1-Hexyl benzene | 1000 | 59 ± 1.5 *** | 118 | 55 ± 1.1 *** | 129 |
| 500 | 53 ± 2.1 *** | 47 ± 2.2 *** | ||||
| 250 | 46 ± 0.5 *** | 39 ± 1.5 *** | ||||
| 125 | 40 ± 1.1 *** | 31 ± 1.0 *** | ||||
| 62.5 | 35 ± 0.4 *** | 26 ± 0.5 *** | ||||
| 31.05 | 28 ± 1.1 *** | 19 ± 1.4 *** | ||||
| 4 | Ascorbic acid | 1000 | 91 ± 0.5 | 29 | 90 ± 0.5 | 32 |
| 500 | 86 ± 1.0 | 84 ± 1.1 | ||||
| 250 | 80 ± 0.4 | 78 ± 0.5 | ||||
| 125 | 77 ± 0.4 | 70 ± 0.5 | ||||
| 62.5 | 73 ± 0.5 | 64 ± 1.0 | ||||
| 31.05 | 69 ± 0.4 | 56 ± 1.1 |
| Sample | Concentration (µg/mL) | % α-Amylase Inhibition | α-Amylase IC50 (µg/mL) | % α-Glucosidase Inhibition | α-Glucosidase IC50 (µg/mL) |
|---|---|---|---|---|---|
| Mean ± SEM | Mean ± SEM | ||||
| Morin | 1000 | 75 ± 1.5 *** | 55 | 79 ± 1.0 ** | 40 |
| 500 | 67 ± 1.4 *** | 66 ± 0.4 *** | |||
| 250 | 60 ± 0.5 ** | 59 ± 1.4 ** | |||
| 125 | 54 ± 1.4 ** | 52 ± 0.5 *** | |||
| 62.5 | 44 ± 2.1 *** | 48 ± 0.3 *** | |||
| 31.05 | 37 ± 1.1 ** | 42 ± 1.4 *** | |||
| Phloroglucinol | 1000 | 63 ± 0.5 *** | 95 | 55 ± 2.1 *** | 110 |
| 500 | 55 ± 1.1 *** | 48 ± 0.5 *** | |||
| 250 | 42 ± 0.4 *** | 43 ± 0.4 *** | |||
| 125 | 39 ± 1.5 *** | 37 ± 1.5 *** | |||
| 62.5 | 32 ± 1.4 *** | 30 ± 1.4 *** | |||
| 31.05 | 29 ± 1.0 *** | 27 ± 1.0 *** | |||
| 1-Hexyl benzene | 1000 | 55 ± 1.5 *** | 115 | 58 ± 2.1 *** | 105 |
| 500 | 49 ± 2.1 *** | 50 ± 1.2 *** | |||
| 250 | 44 ± 0.5 *** | 45 ± 0.5 *** | |||
| 125 | 37 ± 1.4 *** | 39 ± 1.1 *** | |||
| 62.5 | 28 ± 2.1 *** | 32 ± 0.4 *** | |||
| 31.05 | 22 ± 1.1 *** | 28 ± 1.2 *** | |||
| Standard acarbose | 1000 | 90 ± 0.5 | 25 | 89 ± 0.5 | 28 |
| 500 | 83 ± 0.5 | 82 ± 0.4 | |||
| 250 | 75 ± 1.1 | 77 ± 1.0 | |||
| 125 | 69 ± 0.5 | 71 ± 0.5 | |||
| 62.5 | 62 ± 0.5 | 68 ± 0.5 | |||
| 31.05 | 48 ± 0.4 | 60 ± 0.4 |
| S. No | Bacterial Strains | Zone of Inhibition (mm) | |||
|---|---|---|---|---|---|
| Morin (µg/mL) | Phloroglucinol (µg/mL) | 1-Hexyl Benzene (µg/mL) | Imipenem (µg/mL) (Positive) | ||
| 1 | Escherichia coli | 19 ± 1.1 ** | 15 ± 0.3 *** | 9.3 ± 1.1 *** | 33 ± 0.2 |
| 2 | Bacillus cereus | 17 ± 0.1 ** | 13 ± 1.2 *** | 8.5 ± 0.1 *** | 30 ± 0.5 |
| 3 | Salmonella typhi | 16 ± 1.2 *** | 12 ± 1.1 *** | 7.4 ± 1.2 *** | 33 ± 0.1 |
| 4 | Klebsiella pneumonia | 15 ± 0.5 *** | 11 ± 0.5 *** | 6.3 ± 0.5 *** | 29 ± 0.5 |
| 5 | Pseudomonas aeruginosa | 14 ± 0.5 *** | 10 ± 1.1 *** | 5.5 ± 0.5 *** | 27 ± 1.1 |
| 6 | Proteus mirabilis | 11 ± 1.5 *** | 7.5 ± 0.2 *** | 4.5 ± 1.5 *** | 30 ± 0.5 |
| 7 | Staphylococcus aureus | 13 ± 0.4 *** | 9.5 ± 2.1 *** | 3.4 ± 0.4 *** | 25 ± 0.3 |
| S. No | Bacterial Strains | Minimum Inhibitory Concentrations (µg/mL) | |||
|---|---|---|---|---|---|
| Morin | Phloroglucinol | 1-Hexyl Benzene | Ampicillin | ||
| 1 | Escherichia coli | 25 ± 1.1 *** | 80 ± 1.4 *** | 95 ± 2.1 *** | 1.0 ± 0.1 |
| 2 | Bacillus cereus | 21 ± 1.2 *** | 105 ± 1.6 *** | 135 ± 1.5 *** | 1.6 ± 0.0 |
| 3 | Salmonella typhi | 28 ± 1.0 *** | 175 ± 2.0 *** | 112 ± 1.6 *** | 1.8 ± 0.1 |
| 4 | Klebsiella pneumonia | 30 ± 1.4 *** | 166 ± 1.5 *** | 178 ± 2.2 *** | 1.9 ± 1.2 |
| 5 | Pseudomonas aeruginosa | 44 ± 1.5 *** | 180 ± 2.1 *** | 200 ± 1.5 *** | 1.2 ± 0.5 |
| 6 | Proteus mirabilis | 55 ± 1.4 *** | 205 ± 1.5 *** | 250 ± 1.2 *** | 1.9 ± 1.1 |
| 7 | Staphylococcus aureus | 68 ± 1.3 *** | 192 ± 2.3 *** | 205 ± 2.1 *** | 1.4 ± 0.5 |
Publisher’s Note: MDPI stays neutral with regard to jurisdictional claims in published maps and institutional affiliations. |
© 2021 by the authors. Licensee MDPI, Basel, Switzerland. This article is an open access article distributed under the terms and conditions of the Creative Commons Attribution (CC BY) license (https://creativecommons.org/licenses/by/4.0/).
Share and Cite
Nazir, N.; Zahoor, M.; Nisar, M.; Khan, I.; Ullah, R.; Alotaibi, A. Antioxidants Isolated from Elaeagnus umbellata (Thunb.) Protect against Bacterial Infections and Diabetes in Streptozotocin-Induced Diabetic Rat Model. Molecules 2021, 26, 4464. https://doi.org/10.3390/molecules26154464
Nazir N, Zahoor M, Nisar M, Khan I, Ullah R, Alotaibi A. Antioxidants Isolated from Elaeagnus umbellata (Thunb.) Protect against Bacterial Infections and Diabetes in Streptozotocin-Induced Diabetic Rat Model. Molecules. 2021; 26(15):4464. https://doi.org/10.3390/molecules26154464
Chicago/Turabian StyleNazir, Nausheen, Muhammad Zahoor, Mohammad Nisar, Imran Khan, Riaz Ullah, and Amal Alotaibi. 2021. "Antioxidants Isolated from Elaeagnus umbellata (Thunb.) Protect against Bacterial Infections and Diabetes in Streptozotocin-Induced Diabetic Rat Model" Molecules 26, no. 15: 4464. https://doi.org/10.3390/molecules26154464
APA StyleNazir, N., Zahoor, M., Nisar, M., Khan, I., Ullah, R., & Alotaibi, A. (2021). Antioxidants Isolated from Elaeagnus umbellata (Thunb.) Protect against Bacterial Infections and Diabetes in Streptozotocin-Induced Diabetic Rat Model. Molecules, 26(15), 4464. https://doi.org/10.3390/molecules26154464

