Direct Binding of Cisplatin to p22phox, an Endoplasmic Reticulum (ER) Membrane Protein, Contributes to Cisplatin Resistance in Oral Squamous Cell Carcinoma (OSCC) Cells
Abstract
1. Introduction
2. Results
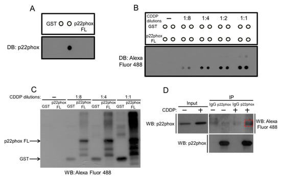
2.1. Cell-Free and Cell-Based CDDP Binding to p22phox Protein
2.2. Mapping of the CDDP-Binding Domain in p22phox Protein
2.3. Identification of the Potential p22phox-CDDP Interaction Sites in the GA-30 Domain
2.4. Disruption of the CDDP-p22phox Binding Sites in the GA-30 Domain Resensitizes OSCC Cells to CDDP-Induced Cytotoxicity and Apoptosis
2.5. p22phox Protein Exhibits Binding Specificity to the Platinum Drugs
3. Discussion
4. Materials and Methods
4.1. Establishment and Culture of p22phox Wild-Type and Mutant Stable Lines
4.2. Production of GST-p22phox Recombinant Proteins
4.3. CDDP-p22phox Recombinant Protein Binding Assay
4.4. CDDP-p22phox Peptide Binding Assay
4.5. Detection of CDDP-Peptide Binding by LC–MS/MS
4.6. Cell Survival Assay
4.7. Western Blot Analysis
5. Conclusions
Author Contributions
Funding
Acknowledgments
Conflicts of Interest
References
- Specenier, P.M.; Vermorken, J.B. Current concepts for the management of head and neck cancer: Chemotherapy. Oral Oncol. 2009, 45, 409–415. [Google Scholar] [CrossRef] [PubMed]
- Azuma, M.; Harada, K.; Tamatani, T.; Motegi, K.; Ashida, Y.; Sato, M. Potentiation of induction of apoptosis by sequential treatment with cisplatin followed by 5-fluorouracil in human oral cancer cells. Int. J. Oncol. 2004, 24, 1449–1455. [Google Scholar] [PubMed]
- Andreadis, C.; Vahtsevanos, K.; Sidiras, T.; Thomaidis, I.; Antoniadis, K.; Mouratidou, D. 5-Fluorouracil and cisplatin in the treatment of advanced oral cancer. Oral Oncol. 2003, 4, 380–385. [Google Scholar] [CrossRef]
- Hiraishi, Y.; Wada, T.; Nakatani, K.; Tojyo, I.; Matsumoto, T.; Kiga, N.; Negoro, K.; Fujita, S. EGFR inhibitor enhances cisplatin sensitivity of oral squamous cell carcinoma cell lines. Pathol. Oncol. Res. 2008, 14, 39–43. [Google Scholar] [CrossRef]
- Takaoka, S.; Iwase, M.; Uchida, M.; Yoshiba, S.; Kondo, G.; Watanabe, H.; Ohashi, M.; Nagumo, M.; Shintani, S. Effect of combining epidermal growth factor receptor inhibitors and cisplatin on proliferation and apoptosis of oral squamous cell carcinoma cells. Int. J. Oncol. 2007, 30, 1469–1476. [Google Scholar] [CrossRef][Green Version]
- Galluzzi, L.; Vitale, I.; Michels, J.; Brenner, C.; Szabadkai, G.; Harel-Bellan, A.; Castedo, M.; Kroemer, G. Systems biology of cisplatin resistance: Past, present and future. Cell Death Dis. 2014, 5, e1257. [Google Scholar] [CrossRef]
- Sooriyaarachchi, M.; Narendran, A.; Gailer, J. Comparative hydrolysis and plasma protein binding of cis-platin and carboplatin in human plasma in vitro. Metallomics 2011, 3, 49–55. [Google Scholar] [CrossRef]
- Arnesano, F.; Nardella, M.I.; Natile, G. Platinum drugs, copper transporters and copper chelators. Coord. Chem. Rev. 2018, 374, 254–260. [Google Scholar] [CrossRef]
- Karasawa, T.; Sibrian-Vazquez, M.; Strongin, R.M.; Steyger, P.S. Identification of cisplatin-binding proteins using agarose conjugates of platinum compounds. PLoS ONE 2013, 8, e66220. [Google Scholar] [CrossRef]
- Zhao, T.; King, F.L. Direct determination of the primary binding site of cisplatin on cytochrome c by mass spectrometry. J. Am. Soc. Mass Spectrom. 2009, 20, 1141–1147. [Google Scholar] [CrossRef]
- Hung, C.C.; Chien, C.Y.; Chiang, W.F.; Lin, C.S.; Hour, T.C.; Chen, H.R.; Wang, L.F.; Ko, J.Y.; Chang, C.H.; Chen, J.Y.F. p22phox confers resistance to cisplatin, by blocking its entry into the nucleus. Oncotarget 2015, 6, 4110–4125. [Google Scholar] [CrossRef] [PubMed]
- Hung, C.C.; Chien, C.Y.; Chu, P.Y.; Wu, Y.J.; Lin, C.S.; Huang, C.J.; Chan, L.P.; Wang, Y.Y.; Yuan, S.S.F.; Hour, T.C.; et al. Differential resistance to platinum-based drugs and 5-fluorouracil in p22phox-overexpressing oral squamous cell carcinoma: Implications of alternative treatment strategies. Head Neck 2017, 39, 1621–1630. [Google Scholar] [CrossRef] [PubMed]
- Meijles, D.N.; Howlin, B.J.; Li, J.M. Consensus in silico computational modelling of the p22phox subunit of the NADPH oxidase. Comput. Bio. Chem. 2012, 39, 6–13. [Google Scholar] [CrossRef] [PubMed]
- Li, H.; Zhao, Y.; Phillips, H.I.; Qi, Y.; Lin, T.Y.; Sadler, P.J.; O’Connor, P.B. Mass spectrometry evidence for cisplatin as a cross-linking reagent. Anal. Chem. 2011, 83, 5369–5376. [Google Scholar] [CrossRef] [PubMed]
- Tanley, S.W.; Helliwell, J.R. Structural dynamics of cisplatin binding to histidine in a protein. Struct. Dyn. 2014, 1, 034701. [Google Scholar] [CrossRef] [PubMed]
- Gonzalez, V.M.; Fuertes, M.A.; Alonso, C.; Perez, J.M. Is cisplatin-induced cell death always produced by apoptosis? Mol. Pharm. 2001, 59, 657–663. [Google Scholar] [CrossRef]
- Kato, R.; Sato, T.; Kanamori, M.; Miyake, M.; Fujimoto, A.; Ogawa, K.; Kobata, D.; Fujikawa, T.; Wada, Y.; Mitsuishi, R.; et al. A novel analytical method of cisplatin using the HPLC with a naphthylethyl group bonded with silica gel (πNAP) column. Bio. Phar. Bull. 2017, 40, 290296. [Google Scholar] [CrossRef]
- Andersson, A.; Ehrsson, H. Stability of cisplatin and its monohydrated complex in blood, plasma and ultrafiltrate-implications for quantitative analysis. J. Phar. Biomed. Anal. 1995, 13, 639–644. [Google Scholar] [CrossRef]
- Seflova, J.; Cechova, P.; Stenclova, T.; Sebela, M.; Kubala, M. Identification of cisplatin-binding sites on the large cytoplasmic loop of the Na+/K+-ATPase. J. Enzym. Inhib. Med. Chem. 2018, 33, 701–706. [Google Scholar] [CrossRef]
- Wu, Z.; Lou, Y.; Jin, W.; Liu, Y.; Lu, L.; Chen, Q.; Xie, Y.; Lu, G. Relationship of the p22phox (CYBA) gene polymorphism C242T with risk of coronary artery disease: A meta-analysis. PLoS ONE 2013, 8, e70885. [Google Scholar] [CrossRef]
- Mehranpour, P.; Wang, S.S.; Blanco, R.R.; Li, W.; Song, Q.; Lassegue, B.; Dikalov, S.I.; Austin, H.; Zafari, A.M. The C242T CYBA polymorphism as a major determinant of NADPH oxidase activity in patients with cardiovascular disease. Cardiovasc. Hematol. Agents Med. Chem. 2009, 7, 251–259. [Google Scholar] [CrossRef] [PubMed]
- Takahashi, K.; Kanazawa, H.; Akiyama, Y.; Tazaki, S.; Takahara, M.; Muto, T.; Tanzawa, H.; Sato, K.I. Establishment and characterization of a cell line (SAS) from poorly differentiated human squamous cell carcinoma of the tongue. J. Jpn. Stomatol. Soc. 1989, 38, 20–28. [Google Scholar]
- Schagger, H.; von Jagow, G. Tricine-sodium dodecyl sulfate-polyacrylamide gel electrophoresis for the separation of proteins in the range from 1 to 100 kDa. Anal. Biochem. 1987, 166, 368–379. [Google Scholar] [CrossRef]
- Moltgen, S.; Piumatti, E.; Massafra, G.M.; Metzger, S.; Jaehde, U.; Kalayda, G.V. Cisplatin protein binding partners and their relevance for platinum drug sensitivity. Cells 2020, 9, 1322. [Google Scholar] [CrossRef]
Sample Availability: Samples of the compounds are not available from the authors. |





© 2020 by the authors. Licensee MDPI, Basel, Switzerland. This article is an open access article distributed under the terms and conditions of the Creative Commons Attribution (CC BY) license (http://creativecommons.org/licenses/by/4.0/).
Share and Cite
Hung, C.-C.; Li, F.-A.; Liang, S.-S.; Wang, L.-F.; Lin, I.-L.; Chiu, C.-C.; Lee, C.-H.; Chen, J.Y.-F. Direct Binding of Cisplatin to p22phox, an Endoplasmic Reticulum (ER) Membrane Protein, Contributes to Cisplatin Resistance in Oral Squamous Cell Carcinoma (OSCC) Cells. Molecules 2020, 25, 3815. https://doi.org/10.3390/molecules25173815
Hung C-C, Li F-A, Liang S-S, Wang L-F, Lin I-L, Chiu C-C, Lee C-H, Chen JY-F. Direct Binding of Cisplatin to p22phox, an Endoplasmic Reticulum (ER) Membrane Protein, Contributes to Cisplatin Resistance in Oral Squamous Cell Carcinoma (OSCC) Cells. Molecules. 2020; 25(17):3815. https://doi.org/10.3390/molecules25173815
Chicago/Turabian StyleHung, Chih-Chang, Fu-An Li, Shih-Shin Liang, Ling-Feng Wang, I-Ling Lin, Chien-Chih Chiu, Chiu-Hsien Lee, and Jeff Yi-Fu Chen. 2020. "Direct Binding of Cisplatin to p22phox, an Endoplasmic Reticulum (ER) Membrane Protein, Contributes to Cisplatin Resistance in Oral Squamous Cell Carcinoma (OSCC) Cells" Molecules 25, no. 17: 3815. https://doi.org/10.3390/molecules25173815
APA StyleHung, C.-C., Li, F.-A., Liang, S.-S., Wang, L.-F., Lin, I.-L., Chiu, C.-C., Lee, C.-H., & Chen, J. Y.-F. (2020). Direct Binding of Cisplatin to p22phox, an Endoplasmic Reticulum (ER) Membrane Protein, Contributes to Cisplatin Resistance in Oral Squamous Cell Carcinoma (OSCC) Cells. Molecules, 25(17), 3815. https://doi.org/10.3390/molecules25173815

