Fabrication and Cytotoxicity of Gemcitabine-Functionalized Magnetite Nanoparticles
Abstract
:1. Introduction
2. Results and Discussion
2.1. Nanoparticle Synthesis
2.2. Structural Characterization
2.2.1. X-ray Diffraction Analysis
2.2.2. Thermogravimetric Analysis
2.2.3. Scanning Electron Microscopy
2.2.4. Transmission Electron Microscopy
2.3. Interaction with Biologic Media
2.3.1. Dynamic Light Scattering and Zeta Potential
2.3.2. Release Kinetics
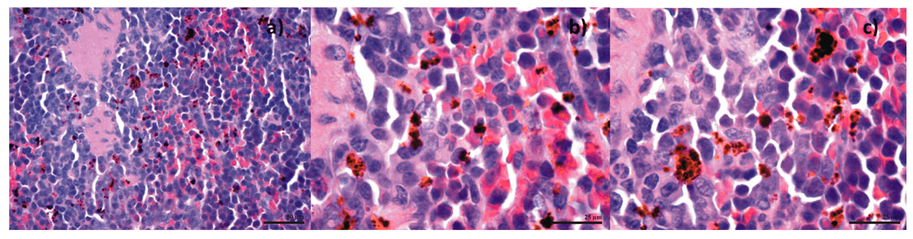
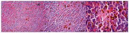
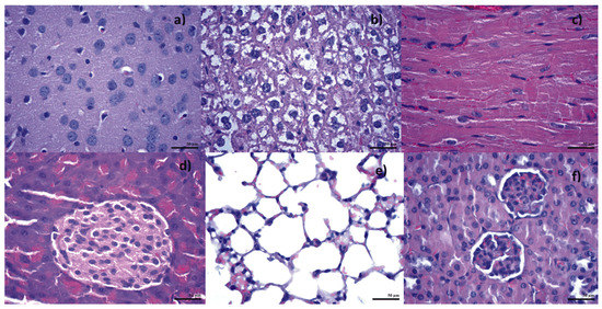
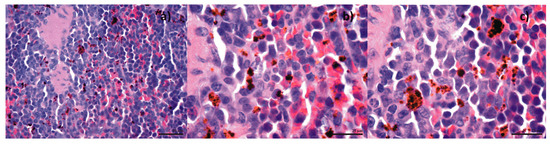
2.4. Biologic Evaluation
3. Materials and Methods
3.1. Nanoparticle Synthesis
3.2. Structural Characterization
3.2.1. X-ray Diffraction
3.2.2. Thermogravimetric Analysis
3.2.3. Scanning Electron Microscopy and Energy Dispersive X-ray Spectroscopy
3.2.4. Transmission Electron Microscopy, High Resolution Transmission Electron Microscopy and Selected Area Electron Diffraction
3.3. Interaction with Biologic Media
3.3.1. Dynamic Light Scattering and Zeta Potential Measurements
3.3.2. Release Kinetics
3.4. Biological Evaluation
3.4.1. In Vitro Studies
Cytotoxicity Assay
Cell Morphology and Cytoskeleton Evaluation
Scanning Electron Microscopy and Energy Dispersive X-ray Spectroscopy
Scanning Transmission Electron Microscopy and Energy Dispersive X-ray Spectroscopy
Hemolysis Assay
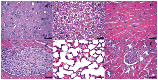
3.4.2. In Vivo Biodistribution Studies
3.4.3. Statistics
4. Conclusions
Acknowledgments
Author Contributions
Conflicts of Interest
References
- Plunkett, W.; Huang, P.; Xu, Y.Z.; Heinemann, V.; Grunewald, R.; Gandhi, R. Gemcitabine: Metabolism, mechanism of action, and self-potentiation. Semin. Oncol. 1995, 22 (Suppl. S11), 3–10, PubMed: 7481842. [Google Scholar]
- Toschi, L.; Finocchiaro, G.; Bartolini, S.; Gioia, V.; Cappuzzo, F. Role of gemcitabine in cancer therapy. Future Oncol. 2005, 1, 7–17. [Google Scholar] [CrossRef] [PubMed]
- Bae, Y.B.; Park, K. Targeted drug delivery to tumors: Myths, reality and possibility. J. Controll. Release 2011, 153, 198–205. [Google Scholar] [CrossRef]
- Popescu, R.C.; Grumezescu, A.M. Magnetite Nanostructures with Applications in Cancer Therapy. Curr. Proteom. 2014, 11, 128–138. [Google Scholar] [CrossRef]
- Mou, X.; Ali, Z.; Li, S.; He, N. Applications of Magnetic Nanoparticles in Targeted Drug Delivery System. J. Nanosci. Nanotechnol. 2015, 15, 54–62. [Google Scholar] [CrossRef] [PubMed]
- Greish, K. Enhanced permeability and retention effect for selective targeting of anticancer nanomedicine: Are we there yet? Drug Discov. Today Technol. 2012, 9, e161–e166. [Google Scholar] [CrossRef] [PubMed]
- Neha, M.; Asfer, M.; Anwar, M.; Kumar, A.; Samim, M.; Talegaonkar, S.; Ahmad, F.J. Rhodamine-loaded, cross-linked, carboxymethyl cellulose sodium-coated super-paramagnetic iron oxide nanoparticles: Development and in vitro localization study for magnetic drug-targeting applications. Colloids Surf. A Physicochem. Eng. Asp. 2015, 481, 51–62. [Google Scholar] [CrossRef]
- Silva, A.K.A.; Luciani, N.; Gazeau, F.; Aubertin, K.; Bonneau, S.; Chauvierre, C.; Letourneur, D.; Wilhelm, C. Combining magnetic nanoparticles with cell derived microvesicles for drug loading and targeting. Nanomedicine 2015, 11, 645–655. [Google Scholar] [CrossRef] [PubMed]
- Zhou, Z.; Sun, Y.; Shen, J.; Wei, J.; Yu, C.; Kong, B.; Liu, W.; Yang, H.; Yang, S.; Wang, W. Iron/iron oxide core/shell nanoparticles for magnetic targeting MRI and near-infrared photothermal therapy. Biomaterials 2014, 35, 7470–7478. [Google Scholar] [CrossRef] [PubMed]
- Agiotis, L.; Theodorakos, I.; Samothrakitis, S.; Papazoglou, S.; Zergioti, I.; Raptis, Y.S. Magnetic manipulation of superparamagnetic nanoparticles in a microfluidic system for drug delivery applications. J. Magn. Magn. Mater. 2016, 401, 956–964. [Google Scholar] [CrossRef]
- Jiang, Q.L.; Zheng, S.W.; Hong, R.Y.; Deng, S.M.; Guo, L.; Hu, R.L.; Gao, B.; Huang, M.; Cheng, L.F.; Liu, G.H.; et al. Folic acid-conjugated Fe3O4 magnetic nanoparticles for hyperthermia and MRI in vitro and in vivo. Appl. Surf. Sci. 2014, 307, 224–233. [Google Scholar] [CrossRef]
- Li, Z.; Liu, S.; Wang, S.; Qiang, L.; Yang, T.; Wang, H.; Möhwald, H.; Cui, X. Synthesis of folic acid functionalized redox-responsive magnetic proteinous microcapsules for targeted drug delivery. J. Colloid Int. Sci. 2015, 450, 325–331. [Google Scholar] [CrossRef] [PubMed]
- Huang, X.; Yi, C.; Fan, Y.; Zhang, Y.; Zhao, L.; Liang, Z.; Pan, J. Magnetic Fe3O4 nanoparticles grafted with single-chain antibody (scFv) and docetaxel loaded β-cyclodextrin potential for ovarian cancer dual-targeting therapy. Mater. Sci. Eng. C Biol. Appl. 2014, 42, 325–332. [Google Scholar] [CrossRef] [PubMed]
- Yang, X.; Hong, H.; Grailer, J.J.; Rowland, I.J.; Javadi, A.; Hurley, S.A.; Xiao, Y.; Yang, Y.; Zhang, Y.; Nickles, R.J.; et al. cRGD-functionalized, DOX-conjugated, and 64Cu-labeled superparamagnetic iron oxide nanoparticles for targeted anticancer drug delivery and PET/MR imaging. Biomaterials 2011, 32, 4151–4160. [Google Scholar] [CrossRef] [PubMed]
- Viota, J.L.; Carazo, A.; Munoz-Gamez, J.A.; Rudzka, K.; Gómez-Sotomayor, R.; Ruiz-Extremera, A.; Salmerón, J.; Delgado, A.V. Functionalized magnetic nanoparticles as vehicles for the delivery of the antitumor drug gemcitabine to tumor cells. Physicochemical in vitro evaluation. Mater. Sci. Eng. C Mater. Biol. Appl. 2013, 33, 1183–1192. [Google Scholar] [CrossRef] [PubMed]
- Li, H.; Ke, F.; An, Y.; Hou, X.; Zhang, H.; Lin, M.; Zhang, D. Gemcitabine-loaded magnetic albumin nanospheres for cancer chemohyperthermia. J. Nanopart. Res. 2013, 15, 1513. [Google Scholar] [CrossRef]
- Wang, L.; An, Y.; Yuan, C.; Zhang, H.; Liang, C.; Ding, F.; Gao, Q.; Zhang, D. GEM-loaded magnetic albumin nanospheres modified with cetuximab for simultaneous targeting, magnetic resonance imaging, and double-targeted thermochemotherapy of pancreatic cancer cells. Int. J. Nanomed. 2014, 10, 2507–2519. [Google Scholar] [CrossRef] [PubMed]
- Massart, R. Preparation of aqueous magnetic liquids in alkaline and acidic media. IEEE trans. Magn. 1981, 17, 1247–1248. [Google Scholar] [CrossRef]
- Mayti, D.; Agrawal, D.C. Synthesis of Iron Oxide Nanoparticles under Oxidizing Environment and Their Stabilization in Aqueous and Non-Aqueous Media. J. Magn. Magn. Mater. 2007, 308, 46–55. [Google Scholar] [CrossRef]
- Jiang, W.; Lai, K.L.; Hu, H.; Zeng, X.-B.; Lan, F.; Liu, F.; Liu, K.-X.; Wu, Y.; Gu, Z.-W. The effect of [Fe3+]/[Fe2+] molar ratio and iron salts concentration on the properties of superparamagnetic iron oxide nanoparticles in the water/ethanol/toluene system. J. Nanopart. Res. 2011, 13, 5135. [Google Scholar] [CrossRef]
- Malik, M.A.; Wani, M.Y.; Hashim, M.A. Microemulsion method: A novel route to synthesize organic and inorganic nanomaterials: 1st Nano Update. Arabian J. Chem. 2012, 5, 397–417. [Google Scholar] [CrossRef]
- Voicu, G.; Crica, L.E.; Fufa, O.; Moraru, L.I.; Popescu, R.C.; Purcel, G.; Stoilescu, M.C.; Grumezescu, A.M.; Bleotu, C.; Holban, A.M.; et al. Magnetite nanostructures functionalized with cytostatic drugs exhibit great anti-tumoral properties without application of high amplitude alternating magnetic fields. Rom. J. Morphol. Embryol. 2014, 55, 357362. [Google Scholar]
- Zhang, J.-M.; Zhai, S.-R.; Zhai, B.; An, Q.-D.; Tian, G. Crucial factors affecting the physicochemical properties of sol-gel produced Fe3O4@SiO2–NH2 core-shell nanomaterials. J. Sol-Gel Sci. Technol. 2012, 64, 347–357. [Google Scholar] [CrossRef]
- Villa, S.; Paola Riani, P.; Locardi, F.; Fabio Canepa, F. Functionalization of Fe3O4 NPs by Silanization: Use of Amine (APTES) and Thiol (MPTMS) Silanes and Their Physical Characterization. Materials 2016, 9, 826. [Google Scholar] [CrossRef]
- Li, B.; Cao, H.; Shao, J.; Qu, M. Enhanced anode performances of the Fe3O4-Carbon-rGO three dimensional composite in lithium ion batteries. Chem. Commun. 2011, 47, 10374–10376. [Google Scholar] [CrossRef] [PubMed]
- Grumezescu, V.; Andronescu, E.; Holban, A.M.; Mogoantă, L.; Mogoşanu, G.D.; Grumezescu, A.M.; Stănculescu, A.; Socol, G.; Iordache, F.; Maniu, H.; et al. MAPLE fabrication of thin films based on kanamycin functionalized magnetite nanoparticles with anti-pathogenic properties. Appl. Surf. Sci. 2015, 336, 188–195. [Google Scholar] [CrossRef]
- Sitthichai, S.; Pilapong, C.; Thongtem, T.; Thongtem, S. CMC-coated Fe3O4 nanoparticles as new MRI probes for hepatocellular carcinoma. Appl. Surf. Sci. 2015, 356, 972–977. [Google Scholar] [CrossRef]
- Moore, T.L.; Rodriguez-Lorenzo, L.; Hirsch, V.; Balog, S.; Dominic Urban, D.; Jud, C.; Rothen-Rutishauser, B.; Lattuada, M.; Petri-Fink, A. Nanoparticle colloidal stability in cell culture media and impact on cellular interactions. Chem. Soc. Rev. 2015, 44, 6287–6305. [Google Scholar] [CrossRef] [PubMed]
- Ahlberg, S.; Antonopulos, A.; Diendorf, J.; Dringen, R.; Epple, M.; Flöck, R.; Goedecke, W.; Graf, C.; Haberl, N.; Helmlinger, J.; et al. PVP-Coated, negatively charged silver nanoparticles: A multi-center study of their physicochemical characteristics, cell culture and in vivo experiments. Beilstein. J. Nanotechnol. 2014, 5, 1944–1965. [Google Scholar] [CrossRef] [PubMed]
- Yu, S.-M.; Laromaine, A.; Roig, A. Enhanced stability of superparamagnetic iron oxide nanoparticles in biological media using a pH adjusted—BSA adsorption protocol. J. Nanopart. Res. 2014, 16, 2484. [Google Scholar] [CrossRef]
- Wiogo, H.; Lim, M.; Bulmus, V.; Gutiérrez, L.; Woodward, R.C.; Amal, R. Insight into Serum Protein Interactions with Functionalized Magnetic Nanoparticles in Biological Media. Langmuir 2012, 28, 4346–4356. [Google Scholar] [CrossRef] [PubMed]
- Sabuncu, A.C.; Grubbs, J.; Qian, S.; Abdel-Fattah, T.F.; Stacey, M.W.; Beskok, A. Probing nanoparticle interactions in cell culture media. Colloids Surf. B Biointerfaces 2012, 95, 96–102. [Google Scholar] [CrossRef] [PubMed]
- Li, W.-M.; Chiang, C.-S.; Huang, W.-C.; Su, C.-W.; Chiang, M.-Y.; Chen, J.-Y.; Chen, S.-Y. Amifostine-conjugated pH-sensitive calcium phosphate-covered magnetic-amphiphilic gelatin nanoparticles for controlled intracellular dual drug release for dual-targeting in HER-2-overexpressing breast cancer. J. Controll. Release 2015, 220, 107–118. [Google Scholar] [CrossRef] [PubMed]
- Popescu, R.C.; Andronescu, E.; Grumezescu, A.M. In vivo evaluation of Fe3O4 nanoparticles. Rom. J. Morphol. Embryol. 2014, 55 (Suppl. S3), 1013–1018. [Google Scholar] [PubMed]
- Mahdavi, M.; Ahmad, M.B.; Haron, M.J.; Namvar, F.; Nadi, B.; Rahman, M.Z.A.; Amin, J. Synthesis, Surface Modification and Characterisation of Biocompatible Magnetic Iron Oxide Nanoparticles for Biomedical Applications. Molecules 2013, 18, 7533–7548. [Google Scholar] [CrossRef] [PubMed]
- Chen, D.Z.; Tang, Q.S.; Li, X.D.; Zhou, X.J.; Zhang, J.; Xue, W.Q.; Xiang, J.Y.; Guo, C.Q. Biocompatibility of magnetic Fe3O4 nanoparticles and their cytotoxic effect on MCF-7 cells. Int. J. Nanomed. 2012, 7, 4973–4982. [Google Scholar] [CrossRef] [PubMed]
- Parsian, M.; Unsoy, G.; Mutlu, P.; Yalcin, S.; Tezcaner, A.; Gunduz, U. Loading of Gemcitabine on chitosan magnetic nanoparticles increases the anti-cancer efficacy of the drug. Eur. J. Pharmacol. 2016, 784, 121–128. [Google Scholar] [CrossRef] [PubMed]
- Arias, J.L.; Reddy, L.H.; Couvreur, P. Fe3O4/chitosan nanocomposite for magnetic drug targeting to cancer. J. Mater. Chem. 2012, 22, 7622–7632. [Google Scholar] [CrossRef]
- Mini, E.; Nobili, S.; Caciagli, B.; Landini, I.; Mazzei, T. Cellular pharmacology of gemcitabine. Ann. Oncol. 2006, 17, v7–v12. [Google Scholar] [CrossRef] [PubMed]
- Sabella, S.; Carney, R.P.; Brunetti, V.; Malvindi, M.A.; Al-Juffali, N.; Vecchio, G.; Janes, S.M.; Bakr, O.M.; Cingolani, R.; Stellacci, F.; et al. A general mechanism for intracellular toxicity of metal-containing nanoparticles. Nanoscale 2014, 6, 7052–7061. [Google Scholar] [CrossRef] [PubMed]
- Cottin, S.; Ghani, K.; de Campos-Lima, P.O.; Caruso, M. Gemcitabine intercellular diffusion mediated by gap junctions: New implications for cancer therapy. Mol. Cancer 2010, 9, 141. [Google Scholar] [CrossRef] [PubMed]
- Wu, Q.; Wang, R.; Yang, Q.; Hou, X.; Chen, S.; Hou, Y.; Chen, C.; Yang, Y.; Miele, L.; Sarkar, F.H.; et al. Chemoresistance to gemcitabine in hepatoma cells induces epithelial-mesenchymal transition and involves activation of PDGF-D pathway. Oncotarget 2014, 4, 1999–2009. [Google Scholar] [CrossRef] [PubMed]
- Matsumoto, K.; Nagahara, T.; Okano, J.; Murawaki, Y. The growth inhibition of hepatocellular and cholangiocellular carcinoma cells by gemcitabine and the roles of extracellular signal-regulated and checkpoint kinases. Oncol. Rep. 2008, 20, 863–872. [Google Scholar] [CrossRef] [PubMed]
- Hristoforou, E.; Samara, A.; Ferraro, A.; Mamalis, A.G.; Zhu, X. Over-hyperthermia using magnetic Fe nanoparticles. Biointerface Res. Appl. Chem. 2016, 6, 1792–1796. [Google Scholar]
- Orynbayeva, Z.; Sensenig, R.; Polyak, B. Metabolic and structural integrity of magnetic nanoparticle-loaded primary endot helial cells for targeted cell therapy. Nanomedicine 2015, 10, 1555–1568. [Google Scholar] [CrossRef] [PubMed]
- Panariti, A.; Miserocchi, G.; Rivolta, I. The effect of nanoparticle uptake on cellular behavior: Disrupting or enabling functions? Nanotechnol. Sci. Appl. 2012, 5, 87–100. [Google Scholar] [CrossRef] [PubMed]
- Paszek, E.; Czyz, J.; Woźnicka, O.; Jakubiak, D.; Wojnarowicz, J.; Łojkowski, W.; Stępień, E. Zinc Oxide Nanoparticles Impair the Integrity of Human Umbilical Vein Endothelial Cell Monolayer In Vitro. J. Biomed. Nanotechnol. 2012, 8, 957–967. [Google Scholar] [CrossRef] [PubMed]
- Wu, W.; Chen, B.; Cheng, J.; Wang, J.; Xu, W.; Liu, L.; Xia, G.; Wei, H.; Wang, X.; Yang, M.; et al. Biocompatibility of Fe3O4/DNR magnetic nanoparticles in the treatment of hematologic malignancies. Int. J. Nanomed. 2010, 5, 1079–1084. [Google Scholar] [CrossRef]
- Macías-Martínez, B.I.; Cortés-Hernández, D.A.; Zugasti-Cruz, A.; Cruz-Ortíz, B.R.; Múzquiz-Ramos, E.M. Heating ability and hemolysis test of magnetite nanoparticles obtained by a simple co-precipitation method. J. Appl. Res. Technol. 2016, 14, 239–244. [Google Scholar] [CrossRef]
- Hallaj-Nezhadi, S.; Dass, C.R.; Lotfipour, F. Intraperitoneal delivery of nanoparticles for cancer gene therapy. Future Oncol. 2013, 9, 59–68. [Google Scholar] [CrossRef] [PubMed]
- Christman, K.; Kelsen, D.; Saltz, L.; Tarassoff, P.G. Phase II trial of gemcitabine in patients with advanced gastric cancer. Cancer 1994, 73, 5–7. [Google Scholar] [CrossRef] [PubMed]
- Lorusso, D.; Ferrandina, G.; Fruscella, E.; Marini, L.; Adamo, V.; Scambia, G. Gemcitabine in epithelial ovarian cancer treatment: Current role and future perspectives. Int. J. Gynecol. Cancer 2005, 15, 1002–1013. [Google Scholar] [CrossRef] [PubMed]
- Jung, C.; Kaul, M.G.; Bruns, O.T.; Dučić, T.; Freund, B.; Heine, M.; Reimer, R.; Meents, A.; Salmen, S.C.; Weller, H.; et al. Intraperitoneal injection improves the uptake of nanoparticle-labeled high-density lipoprotein to atherosclerotic plaques compared with intravenous injection: A multimodal imaging study in ApoE knockout mice. Circ. Cardiovasc. Imaging 2014, 7, 303–311. [Google Scholar] [CrossRef] [PubMed]
- Nabiyouni, G.; Julaee, M.; Ghanbari, D.; Aliabadi, P.C.; Safaie, N. Room temperature synthesis and magnetic property studies of Fe3O4 nanoparticles prepared by a simple precipitation method. J. Ind. Eng. Chem. 2015, 21, 599–603. [Google Scholar] [CrossRef]
- Istrate, C.M. Interaction of functionalized nanoparticles with cell membranes. Biointerface Res. Appl. Chem. 2014, 4, 895–901. [Google Scholar]
- Semkina, A.; Abakumov, M.; Grinenko, N.; Abakumov, A.; Skorikov, A.; Mironova, E.; Davydova, G.; Majouga, A.G.; Nukolova, N.; Kabanov, A.; et al. Core–shell–corona doxorubicin-loaded superparamagnetic Fe3O4 nanoparticles for cancer theranostics. Colloids Surf. B Biointerfaces 2015, 136, 1073–1080. [Google Scholar] [CrossRef] [PubMed]
- Congli, W.; Huang, L.; Song, S.; Saif, B.; Zhou, Y.; Dong, C.; Shuang, S. Targeted delivery and pH-responsive release of stereoisomeric anti-cancer drugs using β-cyclodextrin assemblied Fe3O4 nanoparticles. Appl. Surf. Sci. 2015, 357, 2077–2086. [Google Scholar] [CrossRef]
- Ding, Y.; Shen, S.Z.; Sun, H.; Sun, K.; Liu, F.; Qi, Y.; Yan, J. Design and construction of polymerized-chitosan coated Fe3O4 magnetic nanoparticles and its application for hydrophobic drug delivery. Mater. Sci. Eng. C Mater. Biol. Appl. 2015, 48, 487–498. [Google Scholar] [CrossRef] [PubMed]
- Li, G.; Cao, L.; Zhou, Z.; Chen, Z.; Huang, Y.; Zhao, Y. Rapamycin loaded magnetic Fe3O4/carboxymethylchitosan nanoparticles as tumor-targeted drug delivery system: Synthesis and in vitro characterization. Colloids Surf. B Biointerfaces 2015, 128, 379–388. [Google Scholar] [CrossRef] [PubMed]
- Barick, K.C.; Singh, S.; Bahadur, D.; Lawande, M.A.; Patkar, D.P.; Hassan, P.A. Carboxyl decorated Fe3O4 nanoparticles for MRI diagnosis and localized hyperthermia. J. Colloid Interface Sci. 2014, 418, 120–125. [Google Scholar] [CrossRef] [PubMed]
- Jerina, M.; Pradhan, L.; Ningthoujam, R.S.; Vatsa, R.K.; Bahadur, D.; Tyagi, A.K. Enhanced specific absorption rate in silanol functionalized Fe3O4 core-shell nanoparticles: Study of Fe leaching in Fe3O4 and hyperthermia in L929 and HeLa cells. Colloids Surf. B Biointerfaces 2014, 122, 396–403. [Google Scholar] [CrossRef]
- Feuser, P.E.; dos Santos Bubniak, L.; dos Santos Silva, M.C.; da Cas Viegas, A.; Castilho Fernandes, A.; Ricci-Junior, E.; Nele, M.; Tedesco, A.C.; Sayer, C.; Hermes de Araújo, P.H. Encapsulation of magnetic nanoparticles in poly(methyl methacrylate) by miniemulsion and evaluation of hyperthermia in U87MG cells. Eur. Polym. J. 2015, 68, 355–365. [Google Scholar] [CrossRef]
- Jadhav, N.V.; Prasad, A.I.; Kumar, A.; Mishra, R.; Dhara, S.; Babu, K.R.; Prajapat, C.L.; Misra, N.L.; Ningthoujam, R.S.; Pandey, B.N.; et al. Synthesis of oleic acid functionalized Fe3O4 magnetic nanoparticles and studying their interaction with tumor cells for potential hyperthermia applications. Colloids Surf. B Biointerfaces 2013, 108, 158–168. [Google Scholar] [CrossRef] [PubMed]
- Sadhasivam, S.; Savitha, S.; Wu, C.-J.; Lin, F.-H.; Stobiński, L. Carbon encapsulated iron oxide nanoparticles surface engineered with polyethylene glycol-folic acid to induce selective hyperthermia in folate over expressed cancer cells. Int J. Pharm. 2015, 480, 8–14. [Google Scholar] [CrossRef] [PubMed]
- Song, X.; Luo, X.; Zhang, Q.; Zhu, A.; Ji, L.; Yan, C. Preparation and characterization of biofunctionalized chitosan/Fe3O4 magnetic nanoparticles for application in liver magnetic resonance imaging. J. Magn. Magn. Mater. 2015, 388, 116–122. [Google Scholar] [CrossRef]
- Sohn, C.-H.; Park, S.P.; Choi, S.H.; Park, S.-H.; Kim, S.; Xu, L.; Kim, S.H.; Hur, J.A.; Choi, J.; Choi, T.H. MRI molecular imaging using GLUT1 antibody-Fe3O4 nanoparticles in the hemangioma animal model for differentiating infantile hemangioma from vascular malformation. Nanomedicine 2015, 11, 127–135. [Google Scholar] [CrossRef] [PubMed]
- Roy, K.; Kanwar, R.K.; Kanwar, J.R. LNA aptamer based multi-modal, Fe3O4-saturated lactoferrin (Fe3O4-bLf) nanocarriers for triple positive (EpCAM, CD133, CD44) colon tumor targeting and NIR, MRI and CT imaging. Biomaterials 2015, 71, 84–99. [Google Scholar] [CrossRef] [PubMed]
- Mihailescu, D.E.; Grumezescu, A.M.; Balaure, P.C.; Mogosanu, D.E.; Traistaru, V. Magnetic scaffold for drug targeting: Evaluation of cephalosporins controlled release profile. Biointerface Res. Appl. Chem. 2011, 1, 191–195. [Google Scholar]
- Mihailescu, D.E.; Grumezescu, A.M.; Mogosanu, D.E.; Traistaru, V.; Balaure, P.C.; Buteica, A. Hybrid inorganic/organic nanomaterial for controlled cephalosporins release. Biointerface Res. Appl. Chem. 2011, 1, 191–195. [Google Scholar]
- Velusamy, P.; Chia-Hung, S.; Shritama, A.; Kumar, G.V.; Jeyanthi, V.; Pandian, K. Synthesis of oleic acid coated iron oxide nanoparticles and its role in anti-biofilm activity against clinical isolates of bacterial pathogens. J. Taiwan Inst. Chem. Eng. 2015, 59, 450–456. [Google Scholar] [CrossRef]
- Chifiriuc, M.C.; Grumezescu, A.M.; Andronescu, E.; Ficai, A.; Cotar, A.I.; Grumezescu, V.; Bezirtzoglou, E.; Lazar, V.; Radulescu, R. Water dispersible magnetite nanoparticles influence the efficacy of antibiotics against planktonic and biofilm embedded Enterococcus faecalis cells. Anaerobe 2013, 22, 14–19. [Google Scholar] [CrossRef] [PubMed]
- Grumezescu, A.M.; Saviuc, C.; Holban, A.M.; Hristu, R.; Croitoru, C.; Stanciu, G.; Chifiriuc, C.; Mihailescu, D.; Balaure, P.; Lazar, V. Magnetic chistosan for drug targeting and in vitro drug delivery response. Biointerface Res. Appl. Chem. 2011, 1, 160–165. [Google Scholar]
- Cotar, A.I.; Grumezescu, A.M.; Huang, K.-S.; Voicu, G.; Chifiriuc, C.M.; Radulescu, R. Magnetite nanoparticles influence the efficacy of antibiotic against biofilm embedded Staphylococcus aureus cells. Biointerface Res. Appl. Chem. 2013, 3, 559–565. [Google Scholar]
Sample Availability: Not available. |
























© 2017 by the authors. Licensee MDPI, Basel, Switzerland. This article is an open access article distributed under the terms and conditions of the Creative Commons Attribution (CC BY) license (http://creativecommons.org/licenses/by/4.0/).
Share and Cite
Popescu, R.C.; Andronescu, E.; Vasile, B.Ș.; Truşcă, R.; Boldeiu, A.; Mogoantă, L.; Mogoșanu, G.D.; Temelie, M.; Radu, M.; Grumezescu, A.M.; et al. Fabrication and Cytotoxicity of Gemcitabine-Functionalized Magnetite Nanoparticles. Molecules 2017, 22, 1080. https://doi.org/10.3390/molecules22071080
Popescu RC, Andronescu E, Vasile BȘ, Truşcă R, Boldeiu A, Mogoantă L, Mogoșanu GD, Temelie M, Radu M, Grumezescu AM, et al. Fabrication and Cytotoxicity of Gemcitabine-Functionalized Magnetite Nanoparticles. Molecules. 2017; 22(7):1080. https://doi.org/10.3390/molecules22071080
Chicago/Turabian StylePopescu, Roxana Cristina, Ecaterina Andronescu, Bogdan Ștefan Vasile, Roxana Truşcă, Adina Boldeiu, Laurențiu Mogoantă, George Dan Mogoșanu, Mihaela Temelie, Mihai Radu, Alexandru Mihai Grumezescu, and et al. 2017. "Fabrication and Cytotoxicity of Gemcitabine-Functionalized Magnetite Nanoparticles" Molecules 22, no. 7: 1080. https://doi.org/10.3390/molecules22071080
APA StylePopescu, R. C., Andronescu, E., Vasile, B. Ș., Truşcă, R., Boldeiu, A., Mogoantă, L., Mogoșanu, G. D., Temelie, M., Radu, M., Grumezescu, A. M., & Savu, D. (2017). Fabrication and Cytotoxicity of Gemcitabine-Functionalized Magnetite Nanoparticles. Molecules, 22(7), 1080. https://doi.org/10.3390/molecules22071080

