Assessment of the Anti-Hyperglycaemic, Anti-Inflammatory and Antioxidant Activities of the Methanol Extract of Moringa Oleifera in Diabetes-Induced Nephrotoxic Male Wistar Rats
Abstract
:1. Introduction
2. Results and Discussion
2.1. Effect of Moringa oleifera on Kidney Weight, Relative Kidney Weight and Plasma Glucose Levels of Rats
2.2. Estimation of Antioxidant Capacity, Total Polyphenols, Flavonoids and Flavonols Content of Moringa oleifera Extracts
2.3. Determination of Serum Total Protein, Creatinine, Albumin and Globulin Concentrations
2.4. Effect of Lipid Peroxidation and Activities of Antioxidant Enzymes in the Kidneys
2.5. Effect of Moringa oleifera on Tumour Necrosis Factor (TNF-α) and Interleukin IL-6 in the Kidneys
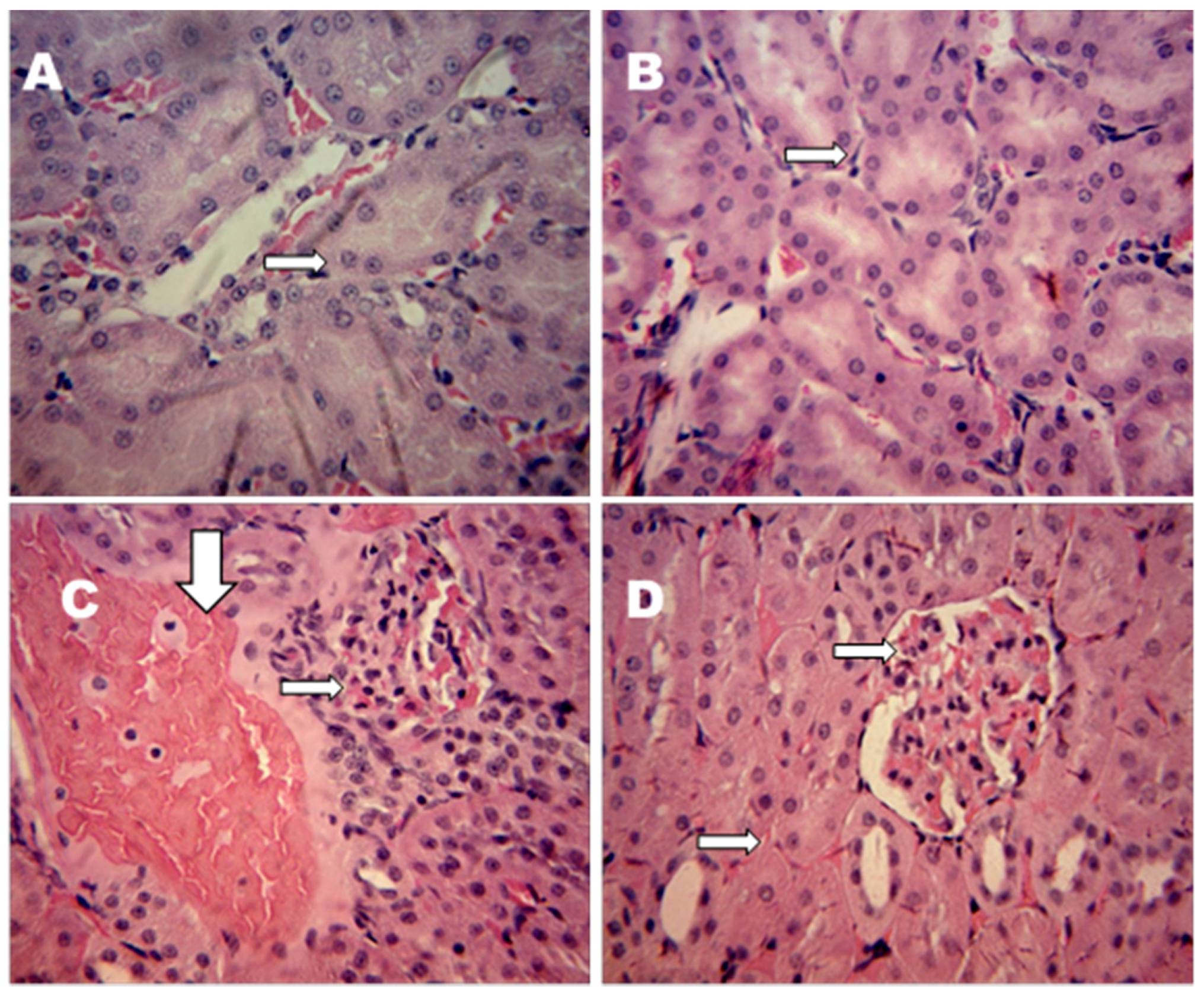
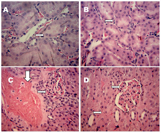
2.6. Effect of Moringa oleifera on Kidney Histopathology Annotations
3. Materials and Methods
3.1. Chemicals
3.2. Collection of Plant Material
Extract Preparation
3.3. Ethical Statement
3.4. Study Design
3.4.1. Experimental Animals
3.4.2. Induction of Diabetes
3.4.3. Treatment
3.4.4. Blood and Homogenate Preparation
3.5. Experimental Analysis
3.5.1. Relative Kidney Weight
3.5.2. Plasma Glucose Determination
3.6. Antioxidant Capacity of Moringa oleifera Methanolic Extracts
3.6.1. Oxygen Radical Absorbance Capacity (ORAC)
3.6.2. Ferric Reducing Antioxidant Power (FRAP)
3.6.3. Trolox Equivalence Antioxidant Capacity (TEAC)
3.7. Phytochemical Investigation: Total Polyphenol, Flavonoids and Flavonols Content of Moringa oleifera Extract
3.8. Serum Total Protein, Creatinine, Albumin and Globulin Determination
3.9. Lipid Peroxidation and Activities of Antioxidant Enzymes in the Kidneys
3.10. Determination of Tumour Necrotic Factor (TNF-α) and Interleukin (IL-6) in the Kidney
3.11. Kidney Histopathology
3.12. Statistical Analysis
4. Conclusions
Acknowledgments
Author Contributions
Conflicts of Interest
References
- Gupta, R.; Mathur, M.; Bajaj, V.K.; Katariya, P.; Yadav, S.; Kamal, R.; Gupta, R.S. Evaluation of antidiabetic and antioxidant activity of Moringa oleifera in experimental diabetes. J. Diabetes 2012, 4, 164–171. [Google Scholar] [CrossRef] [PubMed]
- Forbes, J.M.; Cooper, M.E. Mechanisms of diabetic complications. Physiol. Rev. 2013, 93, 137–188. [Google Scholar] [CrossRef] [PubMed]
- Matough, F.A.; Budin, S.B.; Hamid, Z.A.; Alwahaibi, N.; Mohamed, J. The role of oxidative stress and antioxidants in diabetic complications. Sult. Qaboos Univ. Med. J. 2012, 12, 5–18. [Google Scholar] [CrossRef]
- Mathers, C.D.; Loncar, D. Projections of global mortality and burden of disease from 2002 to 2030. PLoS Med. 2006, 3. [Google Scholar] [CrossRef] [PubMed]
- Donath, M.Y.; Shoelson, S.E. Type 2 diabetes as an inflammatory disease. Nat. Rev. Immunol. 2011, 11, 98–107. [Google Scholar] [CrossRef] [PubMed]
- Jaiswal, D.; Rai, P.K.; Mehta, S.; Chatterji, S.; Shukla, S.; Rai, D.K.; Sharma, G.; Sharma, B.; Watal, G. Role of Moringa oleifera in regulation of diabetes-induced oxidative stress. Asian Pac. J. Trop. Med. 2013, 6, 426–432. [Google Scholar] [CrossRef]
- Mimić-Oka, J.; Simić, D.V.; Simić, T.P. Free radicals in cardiovascular diseases. Med. Biol. 1999, 6, 11–22. [Google Scholar]
- McCune, L.M.; Johns, T. Antioxidant activity in medicinal plants associated with the symptoms of diabetes mellitus used by the Indigenous Peoples of the North American boreal forest. J. Ethnopharmacol. 2002, 82, 197–205. [Google Scholar] [CrossRef]
- Sharma, P.; Jha, A.B.; Dubey, R.S.; Pessarakli, M. Reactive oxygen species, oxidative damage, and antioxidative defense mechanism in plants under stressful conditions. J. Bot. 2012, 1–26. [Google Scholar] [CrossRef]
- Kowluru, R.A.; Chan, P.S. Oxidative stress and diabetic retinopathy. J. Diabetes Res. 2007. [Google Scholar] [CrossRef] [PubMed]
- Baynes, J.W. Role of oxidative stress in development of complications in diabetes. Diabetes 1991, 40, 405–412. [Google Scholar] [CrossRef] [PubMed]
- Halliwell, B. Oxidative stress and neurodegeneration: Where are we now? J. Neurochem. 2006, 97, 1634–1658. [Google Scholar] [CrossRef] [PubMed]
- Halliwell, B. Role of free radicals in the neurodegenerative diseases. Drugs Aging 2001, 18, 685–716. [Google Scholar] [CrossRef] [PubMed]
- Dandona, P.; Aljada, A.; Bandyopadhyay, A. Inflammation: The link between insulin resistance; obesity and diabetes. Trends Immunol. 2004, 25, 4–7. [Google Scholar] [CrossRef] [PubMed]
- Singh, V.P.; Bali, A.; Singh, N.; Jaggi, A.S. Advanced glycation end products and diabetic complications. Korean J. Physiol. Pharmacol. 2014, 18, 1–14. [Google Scholar] [CrossRef] [PubMed]
- Ansari, N.A.; Dash, D. Amadori glycated proteins-role in production of autoantibodies in diabetes mellitus and effect of inhibitors on non-enzymatic glycation. Aging Dis. 2013, 4, 50–56. [Google Scholar] [PubMed]
- Bonnefont-Rousselot, D. Glucose and reactive oxygen species. Curr. Opin. Clin. Nutr. Metab. Care 2002, 5, 561–568. [Google Scholar] [CrossRef] [PubMed]
- Gupta, R.; Dubey, D.K.; Kannan, G.M.; Flora, S.J.S. Concomitant administration of Moringa oleifera seed powder in the remediation of arsenic-induced oxidative stress in mouse. Cell Biol. Int. 2007, 31, 44–56. [Google Scholar] [CrossRef] [PubMed]
- Stohs, S.J.; Hartman, M.J. Review of the safety and efficacy of Moringa oleifera. Phyther. Res. 2015, 29, 796–804. [Google Scholar] [CrossRef] [PubMed]
- Hussain, S.; Malik, F.; Mahmood, S. An exposition of medicinal preponderance of Moringa oleifera (Lank). Pak. J. Pharm. Sci. 2014, 27, 397–403. [Google Scholar] [PubMed]
- Ajit, K.; Choudhary, B.K.; Bandyopadhyay, N.G. Comparative evaluation of hypoglycaemic activity of some Indian medicinal plants in alloxan diabetic rats. J. Ethnopharmacol. 2002, 84, 105–108. [Google Scholar]
- Rao, K.S.; Misra, S.H. Anti-inflammatory and anti-hepatotoxic activities of the rats of Moringa pterygosperma Geaertn. Indian J. Pharm. Sci. 1998, 60, 12–16. [Google Scholar]
- Soliman, G.Z.A. Anti-diabetic activity of dried Moringa oleifera leaves in normal and streptozotocin (STZ)-induced diabetic male rats. Indian J. Appl. Res. 2013, 3, 18–23. [Google Scholar] [CrossRef]
- Afshari, A.T.; Shirpoor, A.; Farshid, A.; Saadatian, R.; Rasmi, Y.; Saboory, E.; Ilkhanizadeh, B.; Allameh, A. The effect of ginger on diabetic nephropathy, plasma antioxidant capacity and lipid peroxidation in rats. Food Chem. 2007, 101, 148–153. [Google Scholar] [CrossRef]
- Kukreja, R.C.; Hess, M.L. The oxygen free radical system: From equations through membrane-protein interactions to cardiovascular injury and protection. Cardiovasc. Res. 1992, 26, 641–655. [Google Scholar] [CrossRef] [PubMed]
- Sena, L.A.; Chandel, N.S. Physiological roles of mitochondrial reactive oxygen species. Mol. Cell 2012, 48, 158–167. [Google Scholar] [CrossRef] [PubMed]
- Nasri, H.; Baradaran, A.; Shirzad, H.; Rafieian-Kopaei, M. New concepts in nutraceuticals as alternative for pharmaceuticals. Int. J. Prev. Med. 2014, 5, 1487–1499. [Google Scholar] [PubMed]
- Valko, M.; Leibfritz, D.; Moncol, J.; Cronin, M.T.; Mazur, M.; Telser, J. Free radicals and antioxidants in normal physiological functions and human disease. Int. J. Biochem. Cell Biol. 2007, 39, 44–84. [Google Scholar] [CrossRef] [PubMed]
- Al-malki, A.L.; El-Rabey, H.A. The antidiabetic effect of low doses of Moringa oleifera Lam. seeds on streptozotocin induced diabetes and diabetic nephropathy in male rats. BioMed Res. Int. 2015. [Google Scholar] [CrossRef] [PubMed]
- Fahey, J.W. Moringa oleifera: A review of the medical evidence for its nutritional, therapeutic, and prophylactic properties. Part 1. Trees Life J. 2005, 1, 1–5. [Google Scholar]
- Mehta, J.; Shukla, A.; Bukhariya, V.; Charde, R.; Road, R. The magic remedy of Moringa oleifera: An overview. Int. J. Biomed. Adv. Res. 2011, 2, 1–13. [Google Scholar] [CrossRef]
- Dièye, A.M.; Sarr, A.; Diop, S.N.; Ndiaye, M.; Sy, G.Y.; Diarra, M.; Faye, B. Medicinal plants and the treatment of diabetes in Senegal: Survey with patients. Fundam. Clin. Pharmacol. 2008, 22, 211–216. [Google Scholar] [CrossRef] [PubMed]
- Farooq, F.; Rai, M.; Tiwari, A.; Khan, A.A.; Farooq, S. Medicinal properties of Moringa oleifera: An overview of promising healer. J. Med. Plants Res. 2012, 6, 4368–4374. [Google Scholar]
- Luqman, S.; Srivastava, S.; Kumar, R.; Maurya, A.K.; Chanda, D. Experimental assessment of Moringa oleifera leaf and fruit for its antistress, antioxidant, and scavenging potential using in vitro and in vivo assays. Evid. Based Complement. Altern. Med. 2012. [Google Scholar] [CrossRef] [PubMed]
- Edoga, C.O.; Njoku, O.O.; Amadi, E.N.; Okeke, J.J. Blood sugar lowering effect of Moringa oleifera Lam in albino rats. Int. J. Sci. Technol. 2013, 3, 88–90. [Google Scholar]
- Singh, R.G.; Negi, P.S.; Radha, C. Phenolic composition, antioxidant and antimicrobial activities of free and bound phenolic extracts of Moringa oleifera seed flour. J. Funct. Foods 2013, 5, 1883–1891. [Google Scholar] [CrossRef]
- Siddhuraju, P.; Becker, K. Antioxidant properties of various solvent extracts of total phenolic constituents from three different agroclimatic origins of drumstick tree (Moringa oleifera Lam.) leaves. J. Agric. Food Chem. 2003, 51, 2144–2155. [Google Scholar] [CrossRef] [PubMed]
- Iwara, I.A.; Otu, E.A.; Efiong, E.E.; Igile, G.O.; Mgbeje, B.I.A.; Ebong, P.E. Evaluation of the nephroprotective effects of combined extracts of Vernonia amygdalina and Moringa oleifera in diabetes induced kidney injury in albino Wistar rats. Sch. J. Appl. Med. Sci. 2013, 1, 881–886. [Google Scholar]
- Koul, B.; Chase, N.J. Moringa oleifera Lam: Panacea to several maladies. J. Chem. Pharm. Res. 2015, 7, 687–707. [Google Scholar]
- Nishikawa, T.; Araki, E. Impact of mitochondrial ROS production in the pathogenesis of diabetes mellitus and its complications. Antioxid. Redox Signal. 2007, 9, 343–353. [Google Scholar] [CrossRef] [PubMed]
- Sharma, K.; Ziyadeh, F.N. Hyperglycemia and diabetic kidney disease: The case for transforming growth factor–β as a key mediator. Diabetes 1995, 44, 1139–1146. [Google Scholar] [CrossRef] [PubMed]
- Mbikay, M. Therapeutic potential of Moringa oleifera leaves in chronic hyperglycemia and dyslipidemia: A review. Front. Pharmacol. 2012, 3, 24. [Google Scholar] [CrossRef] [PubMed]
- Ezuruike, U.F.; Prieto, J.M. The use of plants in the traditional management of diabetes in Nigeria: Pharmacological and toxicological considerations. J. Ethnopharmacol. 2014, 155, 857–924. [Google Scholar] [CrossRef] [PubMed]
- Akbarzadeh, A.; Norouzian, D.; Mehrabi, M.R.; Jamshidi, S.; Farhangi, A.; Verdi, A.A. Induction of diabetes by streptozotocin in rats. Indian J. Clin. Biochem. 2007, 22, 60–64. [Google Scholar] [CrossRef] [PubMed]
- Novío, S.; Nfflçez, M.J.; Amigo, G.; Freire-garabal, M. Effects of fuoxetine on the oxidative status of peripheral blood leucocytes of restraint-stressed mice. Basic Clin. Pharmacol. Toxicol. 2011, 109, 365–371. [Google Scholar] [CrossRef] [PubMed]
- Ayepola, O.R.; Chegou, N.N.; Brooks, N.L.; Oguntibeju, O.O. Kolaviron, a Garcinia biflavonoid complex ameliorates hyperglycemia-mediated hepatic injury in rats via suppression of inflammatory responses. BMC Complement. Altern. Med. 2013, 13, 363–372. [Google Scholar] [CrossRef] [PubMed]
- Yassa, H.D.; Tohamy, A.F. Extract of Moringa oleifera leaves ameliorates streptozotocin-induced diabetes mellitus in adult rats. Acta Histochem. 2014, 116, 844–854. [Google Scholar] [CrossRef] [PubMed]
- Toma, A.; Makonnen, E.; Debella, A.; Tesfaye, B. Antihyperglycemic effect on chronic administration of Butanol fraction of ethanol extract of Moringa stenopetala leaves in alloxan induced diabetic mice. Asian Pac. J. Trop. Biomed. 2012, 2, 1606–1610. [Google Scholar] [CrossRef]
- American Diabetes Association. Diabetic nephropathy. Diabetes Care 1998, 21, 50–53. [Google Scholar]
- Navarro-González, J.F.; Mora-Fernández, C. The role of inflammatory cytokines in diabetic nephropathy. J. Am. Soc. Nephrol. 2008, 19, 433–442. [Google Scholar] [CrossRef] [PubMed]
- Vlassara, H.; Palace, M.R. Diabetes and advanced glycation end products. J. Intern. Med. 2002, 251, 87–101. [Google Scholar] [CrossRef] [PubMed]
- Thomas, R.; Kanso, A.; Sedor, J.R. Chronic kidney disease and its complications. Prim. Care 2008, 35, 329–344. [Google Scholar] [CrossRef] [PubMed]
- Rodríguez-Pérez, C.; Quirantes-Piné, R.; Fernández-Gutiérrez, A.; Segura-Carretero, A. Optimization of extraction method to obtain a phenolic compounds-rich extract from Moringa oleifera Lam leaves. Ind. Crops Prod. 2015, 66, 246–254. [Google Scholar] [CrossRef]
- Ayeleso, A.; Brooks, N.; Oguntibeju, O.O. Modulation of antioxidant status in streptozotocin-induced diabetic male Wistar rats following intake of red palm oil and/or rooibos. Asian Pac. J. Trop. Med. 2014, 7, 536–544. [Google Scholar] [CrossRef]
- Valdez-Solana, M.A.; Mejía-García, V.Y.; Téllez-Valencia, A.; García-Arenas, G.; Salas-Pacheco, J.; Alba-Romero, J.J.; Sierra-Campos, E. Nutritional content and elemental and phytochemical analyses of Moringa oleifera grown in mexico. J. Chem. 2015, 2015, 1–9. [Google Scholar] [CrossRef]
- Ndong, M.; Uehara, M.; Katsumata, S.I.; Suzuki, K. Effects of oral administration of Moringa oleifera lam on glucose tolerance in goto-kakizaki and Wistar rats. J. Clin. Biochem. Nutr. 2007, 40, 229–233. [Google Scholar] [CrossRef] [PubMed]
- Roopalatha, U.C.; Mala, V.N. Phytochemical analysis of successive reextracts of the leaves of Moringa oleifera lam. Int. J. Pharm. Pharm. Sci. 2013, 5, 1–6. [Google Scholar]
- Verma, A.R.; Vijayakumar, M.; Mathela, C.S.; Rao, C.V. In vitro and in vivo antioxidant properties of different fractions of Moringa oleifera leaves. Food Chem. Toxicol. 2009, 47, 2196–2201. [Google Scholar] [CrossRef] [PubMed]
- Alhakmani, F.; Kumar, S.; Khan, S.A. Estimation of total phenolic content, in-vitro antioxidant and anti-inflammatory activity of flowers of Moringa oleifera. Asian Pac. J. Trop. Biomed. 2013, 3, 623–627. [Google Scholar] [CrossRef]
- Kumar, B.; Gupta, S.K.; Nag, T.C.; Srivastava, S.; Saxena, R.; Jha, K.A.; Srinivasan, B.P. Retinal neuroprotective effects of quercetin in streptozotocin-induced diabetic rats. Exp. Eye Res. 2014, 125, 193–202. [Google Scholar] [CrossRef] [PubMed]
- Buckham Sporer, K.R.; Weber, P.S.; Burton, J.L.; Earley, B.; Crowe, M.A. Transportation of young beef bulls alters circulating physiological parameters that may be effective biomarkers of stress. J. Anim. Sci. 2008, 86, 1325–1334. [Google Scholar] [CrossRef] [PubMed]
- Santos, A.F.S.; Argolo, A.C.C.; Paiva, P.M.G.; Coelho, L.C.B.B. Antioxidant activity of Moringa oleifera tissue extracts. Phyther. Res. 2012, 26, 1366–1370. [Google Scholar] [CrossRef] [PubMed]
- Patel, D.; Kumar, R.; Laloo, D.; Hemalatha, S. Diabetes mellitus:An overview on its pharmacological aspects and reported medicinal plants having antidiabetic activity. Asian Pac. J. Trop. Biomed. 2012, 2, 411–420. [Google Scholar] [CrossRef]
- Smith, R.A.; Hartley, R.C.; Cocheme, H.M.; Murphy, M.P. Mitochondrial pharmacology. Trends Pharmacol. Sci. 2012, 33, 341–352. [Google Scholar] [CrossRef] [PubMed]
- Manohar, V.S.; Jayasree, T.; Kishore, K.K.; Rupa, L.M.; Dixit, R. Evaluation of hypoglycemic and antihyperglycemic effect of freshly prepared aqueous extract of Moringa oleifera leaves in normal and diabetic rabbits. J. Chem. Pharm. Res. 2012, 4, 249–253. [Google Scholar]
- Farombi, E.O.; Abolaji, A.O.; Adedara, I.A.; Maduako, I.; Omodanisi, I. Artemisinin induces hormonal imbalance and oxidative damage in the erythrocytes and uterus but not in the ovary of rats. Hum. Exp. Toxicol. 2015, 34, 83–92. [Google Scholar] [CrossRef] [PubMed]
- Naugler, W.E.; Karin, M. The wolf in sheep’s clothing: The role of interleukin-6 in immunity, inflammation and cancer. Trends Mol. Med. 2008, 14, 109–119. [Google Scholar] [CrossRef] [PubMed]
- Seca, A.M.L.; Grigore, A.; Pinto, D.C.G.; Silva, A.M.S. The genus Inula and their metabolites: From ethnopharmacological to medicinal uses. J. Ethnopharmacol. 2014, 154, 286–310. [Google Scholar] [CrossRef] [PubMed]
- Orellana-Gavaldà, J.M.; Herrero, L.; Malandrino, M.I.; Paneda, A.; Sol Rodríguez-Peña, M.; Petry, H.; Asins, G.; Van Deventer, S.; Hegardt, F.G.; Serra, D. Molecular therapy for obesity and diabetes based on a long-term increase in hepatic fatty-acid oxidation. Hepatology 2011, 53, 821–832. [Google Scholar] [CrossRef] [PubMed]
- Adisakwattana, S.; Ruengsamran, T.; Kampa, P.; Sompong, W. In vitro inhibitory effects of plant-based foods and their combinations on intestinal α-glucosidase and pancreatic α-amylase. BMC Complement. Altern. Med. 2012, 12. [Google Scholar] [CrossRef] [PubMed]
- Williams, M.D.; Nadler, J.L. Inflammatory mechanisms of diabetic complications. Curr. Diab. Rep. 2007, 7, 242–248. [Google Scholar] [CrossRef] [PubMed]
- Kandasamy, N.; Ashokkumar, N. Myricetin modulates streptozotocin-cadmium induced oxidative stress in long term experimental diabetic nephrotoxic rats. J. Funct. Foods 2013, 5, 1466–1477. [Google Scholar] [CrossRef]
- Ou, B.; Hampsch-Woodill, M.; Prior, R. Development and validation of an improved oxygen radical absorbance capacity assay using fluorescein as the fluorescent probe. J. Agric. Food Chem. 2001, 49, 4619–4626. [Google Scholar] [CrossRef] [PubMed]
- Benzie, I.F.F.; Strain, J.J. The ferric reducing ability of plasma (FRAP) as a measure of antioxidant power: The FRAP assay. Anal. Biochem. 1999, 239, 70–76. [Google Scholar] [CrossRef] [PubMed]
- Re, R.; Pellegrini, N.; Proteggente, A.; Pannala, A.; Yang, M.; Rice-Evans, C. Antioxidant activity applying an improved ABTS radical cation decolourization assay. Free Radic. Biol. Med. 1999, 26, 1231–1237. [Google Scholar] [CrossRef]
- Singleton, V.L.; Orthofer, R.; Lamuela-Raventós, R.M. Analysis of total phenols and other oxidation substrates and antioxidants by means of folin-ciocalteu reagent. Meth. Enzymol. 1999, 299, 152–178. [Google Scholar]
- Mazza, G.; Fuumoto, L.; Delaquis, P.; Girard, B.; Ewert, B. Anthocyanins, phenolics, and colour of Cabernet Frkanc, Merlot, and Pinot Noir wines from British Columbia. J. Agric. Food Chem. 1999, 47, 4009–4017. [Google Scholar] [CrossRef] [PubMed]
- Khoschsorur, G.A.; Winklhofer-Raab, B.M.; Rabl, H.; Auer, T.; Peng, Z.; Schau, R.J. Evaluation of a sensitive HPLC method for the determination of malondialdehyde, and application of the method to different biological materials. Chromatographia 2000, 52, 181–184. [Google Scholar] [CrossRef]
- Crosti, N.; Servidei, T.; Bajer, J.; Serra, A. Modification of the 6-hydroxydopamine technique for the correct determination of superoxide dismutase. J. Clin. Chem. Clin. Biochem. 1987, 25, 265–266. [Google Scholar] [PubMed]
- Aebi, H. Catalase in vitro. Meth. Enzymol. 1984, 105, 121–126. [Google Scholar] [PubMed]
- Asensi, M.J.; Sastre, V.; Pollardor, A.; Lloret, A.; Lehner, M.; Garcia-de-la Asuncion, J.; Viña, J. Ratio of reduced to oxidized glutathione as an indicator of oxidative stress status and DNA damage. Meth. Enzymol. 1999, 299, 267–277. [Google Scholar] [PubMed]
- Ellerby, L.M.; Bredesen, D.E. Measurement of cellular oxidation, reactive oxygen species, and antioxidant enzymes during apoptosis. Meth. Enzymol. 2000, 322, 413–421. [Google Scholar] [PubMed]
- Sample Availability: Samples of extracts are available from the authors.


| NC | NC + MO | DM | DM + MO | |
|---|---|---|---|---|
| Kidney weight (g) | 1.90 ± 0.17 | 1.80 ± 0.17 b | 2.38 ± 0.18 a | 2.13 ± 0.20 a,b |
| Relative kidney weight (g/100 g) | 0.60 ± 0.04 | 0.57 ± 0.03 b | 1.10 ± 0.08 a | 1.03 ± 0.08 a,b |
| Plasma glucose (mmol/L) | 8.42 ± 0.82 | 5.01 ± 0.53 a,b | 28.08 ± 1.12 a | 26.22 ± 0.61 a,b |
| MO Methanolic Extract | |
|---|---|
| ORAC (µmol TE/L) | 3652.14 ± 113.32 |
| FRAP (µmol AAE/L) | 1736 ± 3.08 |
| TEAC (µmol TE/L) | 96.09 ± 1.58 |
| Total polyphenol (mg GAE/L) | 2454.00 ± 17.54 |
| Flavonol (mg QE/L) | 297.23 ± 30.00 |
| Flavonoid (mg CE/L) | 148.70 ± 4.00 |
| Parameters | NC | NC + MO | DM | DM + MO |
|---|---|---|---|---|
| Total protein (g/L) | 53.86 ± 2.36 | 70.04 ± 6.05 a,b | 44.66 ± 6.92 a | 50.54 ± 1.76 |
| Creatinine (g/L) | 50.21 ± 0.81 | 49.31 ± 3.01 | 52.23 ± 2.05 | 51.06 ± 1.00 |
| Albumin (g/L) | 32.50 ± 0.89 | 39.36 ± 3.03 a,b | 27.55 ± 1.17 a | 29.69 ± 0.94 a |
| Globulin (g/L) | 22.98 ± 2.13 | 43.34 ± 3.89 a,b | 21.21 ± 0.79 | 26.06 ± 7.68 |
| NC | NC + MO | DM | DM + MO | |
|---|---|---|---|---|
| MDA (µmol/g) | 0.48 ± 0.04 | 0.43 ± 0.05 b | 0.72 ± 0.12 a | 0.54 ± 0.06 b |
| CAT (U/mg protein) | 0.42 ± 0.02 | 0.47 ± 0.01 b | 0.28 ± 0.06 a | 0.30 ± 0.05 ab |
| SOD (U/mg protein) | 1.01 ± 0.40 | 1.35 ± 0.11 ab | 0.78 ± 0.30 | 0.92 ± 0.0.1 |
| GSHt (µmol/g) | 2.00 ± 0.26 | 1.70 ± 0.28 | 1.67 ± 0.47 | 1.86 ± 0.0.24 |
| GPx (U/mg protein) | 1.29 ± 0.33 | 0.72 ± 0.23 a | 1.11 ± 0.40 | 0.87 ± 0.40 a |
© 2017 by the authors. Licensee MDPI, Basel, Switzerland. This article is an open access article distributed under the terms and conditions of the Creative Commons Attribution (CC BY) license ( http://creativecommons.org/licenses/by/4.0/).
Share and Cite
Omodanisi, E.I.; Aboua, Y.G.; Oguntibeju, O.O. Assessment of the Anti-Hyperglycaemic, Anti-Inflammatory and Antioxidant Activities of the Methanol Extract of Moringa Oleifera in Diabetes-Induced Nephrotoxic Male Wistar Rats. Molecules 2017, 22, 439. https://doi.org/10.3390/molecules22040439
Omodanisi EI, Aboua YG, Oguntibeju OO. Assessment of the Anti-Hyperglycaemic, Anti-Inflammatory and Antioxidant Activities of the Methanol Extract of Moringa Oleifera in Diabetes-Induced Nephrotoxic Male Wistar Rats. Molecules. 2017; 22(4):439. https://doi.org/10.3390/molecules22040439
Chicago/Turabian StyleOmodanisi, Elizabeth I., Yapo G. Aboua, and Oluwafemi O. Oguntibeju. 2017. "Assessment of the Anti-Hyperglycaemic, Anti-Inflammatory and Antioxidant Activities of the Methanol Extract of Moringa Oleifera in Diabetes-Induced Nephrotoxic Male Wistar Rats" Molecules 22, no. 4: 439. https://doi.org/10.3390/molecules22040439
APA StyleOmodanisi, E. I., Aboua, Y. G., & Oguntibeju, O. O. (2017). Assessment of the Anti-Hyperglycaemic, Anti-Inflammatory and Antioxidant Activities of the Methanol Extract of Moringa Oleifera in Diabetes-Induced Nephrotoxic Male Wistar Rats. Molecules, 22(4), 439. https://doi.org/10.3390/molecules22040439

