Rapid Authentication of the Herbal Medicine Plant Species Aralia continentalis Kitag. and Angelica biserrata C.Q. Yuan and R.H. Shan Using ITS2 Sequences and Multiplex-SCAR Markers
Abstract
:1. Introduction
2. Results
2.1. Analysis of Sequences and Phylogenetic Relationships
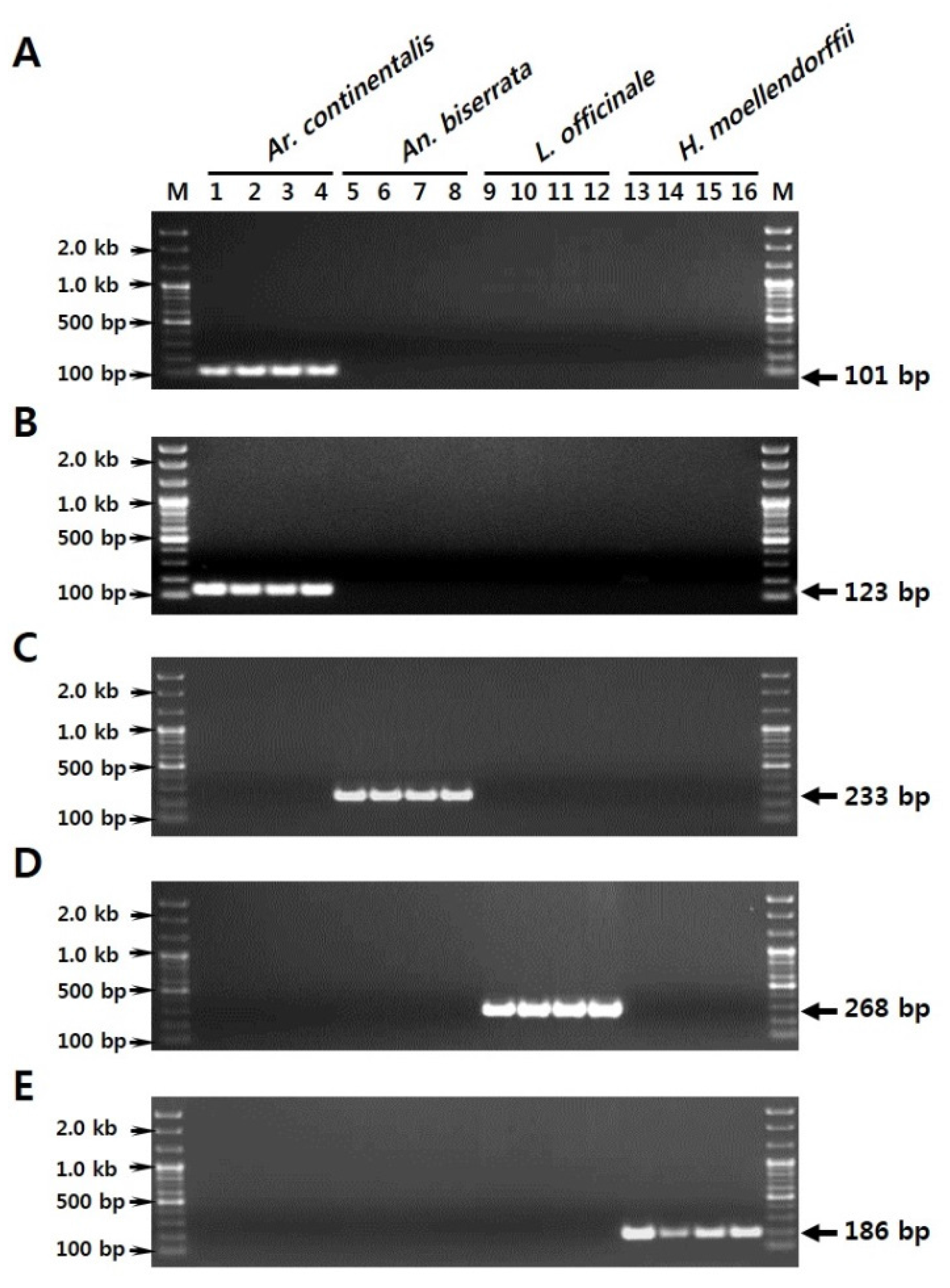
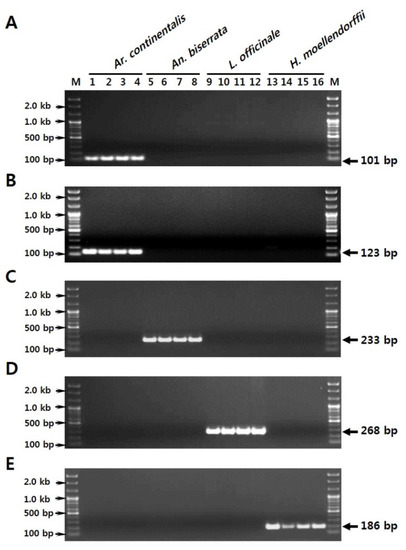
2.2. Development of Species-Specific SCAR Markers
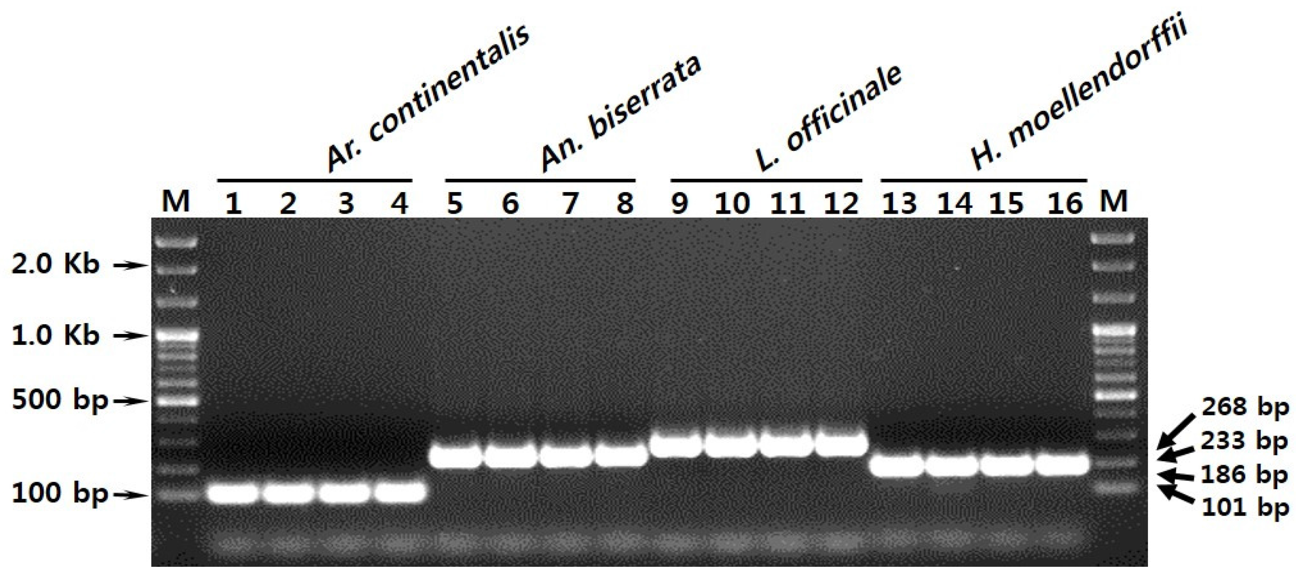
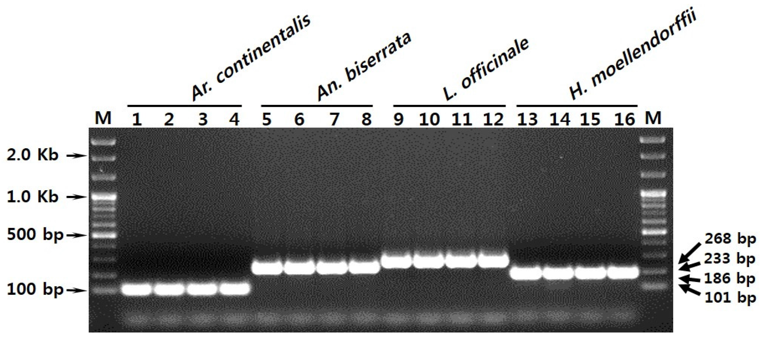
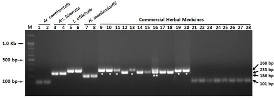
2.3. Development of a Multiplex-SCAR Method for Authentication of Herbal Medicine
3. Discussion
4. Materials and Methods
4.1. Plant and Herbal Medicine Materials
4.2. Preparation of Genomic DNA
4.3. PCR Amplification of ITS2
4.4. Nucleotide Sequence and Phylogenetic Analysis and Development of SCAR Markers
4.5. Development of the Multiplex-SCAR Assay
5. Conclusions
Supplementary Materials
Acknowledgments
Author Contributions
Conflicts of Interest
References
- Dan, B.; Steven, C.; Erich, S.; Andrew, G. Chinese Herbal Medicine Matria Medica, 3rd ed.; Eastland Press: Washington, DC, USA, 2004; pp. 323–326. [Google Scholar]
- The Korea Food and Drug Administration. The Korean Pharmacophoeia, 11th ed.; Korea Food and Drug Administration: Seoul, Korea, 2014; Volume 2, pp. 31–32. (In Korean) [Google Scholar]
- Defining Dictionary for Medicinal Herbs in Korea Institute of Oriental Medicine. Available online: http://boncho.kiom.re.kr/codex/ (accessed on 10 January 2016). (In Korean)
- Mei, Z.; Zhang, C.; Khan, M.A.; Zhu, Y.; Tania, M.; Luo, P.; Fu, J. Efficiency of improved RAPD and ISSR markers in assessing genetic diversity and relationships in Angelica sinensis (Oliv.) Diels varieties of China. Electron. J. Biotechnol. 2015, 18, 96–102. [Google Scholar]
- Yuan, Q.J.; Zhang, B.; Jiang, D.; Zhang, W.J.; Lin, T.Y.; Wang, N.H.; Chiou, S.J.; Huang, L.Q. Identification of species and materia medica within Angelica L, (Umbelliferae) based on phylogeny inferred from DNA barcodes. Mol. Ecol. Resour. 2015, 15, 358–371. [Google Scholar] [CrossRef] [PubMed]
- Choo, B.K.; Moon, B.C.; Ji, Y.; Kim, B.B.; Choi, G.; Yoon, T.; Kim, H.K. Development of SCAR markers for the dicrimination of three species of medicinal plants, Angelica decursiva (Peucedanum decursivum), Peucedanum praeruptorum and Anthricus sylestris, based on the internal transcribed spacer (ITS) sequence and random amplified polymorphic DNA (RAPD). Biol. Pharm. Bull. 2009, 32, 24–30. [Google Scholar] [PubMed]
- Shucher, N.J.; Carles, M.C. Genome-based approaches to the authentication of medicinal plants. Planta Med. 2008, 74, 603–623. [Google Scholar] [CrossRef] [PubMed]
- Heubl, G. New aspects of DNA-based authentication of Chinese medicinal plants by molecular biological techniques. Planta Med. 2010, 76, 1963–1974. [Google Scholar] [CrossRef] [PubMed]
- Ganie, S.H.; Upadhyay, P.; Das, S.; Sharma, M.P. Authentication of medicinal plants by DNA markers. Plant Gene 2015, 4, 83–99. [Google Scholar] [CrossRef]
- Ali, M.A.; Gyulai, G.; Hidvegi, N.; Kerti, B.; Al Hemaid, F.M.A.; Pandey, A.K.; Lee, J.K. The changing epitome of species identification DNA barcoding. Saudi J. Biol. Sci. 2014, 21, 204–231. [Google Scholar]
- Hollingsworth, P.M.; Graham, S.W.; Little, D.P. Choosing and using a plant DNA barcode. PLoS ONE 2011, 6, e19254. [Google Scholar] [CrossRef] [PubMed]
- Sun, Y.L.; Park, W.G.; Kwon, O.W.; Hong, S.K. Ribosomal DNA internal transcribed spacer 1 and internal transcribed spacer 2 regions as targets for molecular identification of medically important Zanthoxylum schinifolium. Afr. J. Biotechnol. 2010, 9, 4461–4673. [Google Scholar]
- Lam, K.Y.C.; Chan, G.K.L.; Xin, G.Z.; Xu, H.; Ku, C.F.; Chen, J.P.; Yao, P.; Lin, H.Q.; Dong, T.T.X.; Tsim, K.W.K. Authentication of Cordyceps sinensis by DNA analyses: Comparison of ITS sequence analysis and RAPD-derived molecular markers. Molecules 2015, 20, 22454–22462. [Google Scholar] [CrossRef] [PubMed]
- Ji, S.G.; Huo, K.K.; Wang, J.; Pan, S.L. A molecular phylogenetic study of Huperziaceae based on chloroplast rbcL and psbA-trnH sequences. J. Syst. Evol. 2008, 46, 213–219. [Google Scholar]
- Guo, X.R.; Wang, X.G.; Su, W.H.; Zhang, G.F.; Zhou, R. DNA barcodes for discrimination the medicinal plant Scutllaria baicalensis (Lamiaceae) and its adulterants. Biol. Pharm. Bull. 2011, 34, 1198–1203. [Google Scholar] [CrossRef] [PubMed]
- Wong, K.L.; But, P.P.H.; Shaw, P.C. Evaluation of seven DNA barcodes for differentiating closely related medicinal Gentiana species and their adulterants. Chin. Med. 2014, 8, 16. [Google Scholar] [CrossRef] [PubMed]
- Vassou, S.L.; Kusuma, G.; Parani, M. DNA barcoding for species identification from dried and powered plant parts: A case study with authentication of the raw drug market samples of Sida cordifolia. Gene 2015, 559, 86–93. [Google Scholar] [CrossRef] [PubMed]
- Shiba, M.; Kondo, K.; Miki, E.; Yamaji, H.; Morota, T.; Terabayashi, S.; Takeda, S.; Sasaki, H.; Myamoto, K.I.; Aburada, M. Identification of medicinal Atractylodes based on ITS sequences of nrDNA. Biol. Pharm. Bull. 2006, 29, 315–320. [Google Scholar] [CrossRef] [PubMed]
- Chao, Z.; Seng, W.P.; Liao, J.; Liu, L.; Liang, Z.B.; Li, X.L. DNA barcoding Chinese medicinal Bupleurum. Phytomedicine 2014, 21, 1767–1773. [Google Scholar] [CrossRef] [PubMed]
- Kuzmina, M.L.; Johnson, K.L.; Barron, H.R.; Hebert, P.D.N. Identification of the vascular plants of Churchill, Manitoba, using a DNA barcode library. BMC Ecol. 2012, 12, 25. [Google Scholar] [CrossRef] [PubMed]
- Paran, I.; Michelmore, R.W. Development of reliable PCR-based markers linked to downy resistance genes in lettuce. Theor. Appl. Genet. 1993, 85, 985–993. [Google Scholar] [CrossRef] [PubMed]
- Kiran, U.; Khan, S.; Mirza, K.J.; Ram, M.; Abdin, M.Z. SCAR markers: A potential tool for authentication of herbal drugs. Fitoterapia 2010, 811, 969–976. [Google Scholar] [CrossRef] [PubMed]
- Yadav, A.; Ahmad, J.; Chaudhary, A.A.; Ahmad, A. Development of sequence characterized amplified region (SCAR) marker for the authentication of Bacopa monnieri (L.) Wettst. Eur. J. Med. Plants 2012, 2, 186–198. [Google Scholar] [CrossRef] [PubMed]
- Xin, G.Z.; Lam, Y.C.; Maiwulanjiang, M.; Chan, G.K.L.; Zhu, K.Y.; Tang, W.L.; Dong, T.T.X.; Shi, Z.Q.; Li, P.; Tsim, K.W.K. Authentication of Bulbus Fritillarae Cirrhosae by RAPD-derived DNA markers. Molecules 2014, 19, 3450–3459. [Google Scholar] [CrossRef] [PubMed]
- Moon, B.C.; Ji, Y.; Lee, Y.M.; Kang, Y.M.; Kim, H.K. Authentication of Akebia quinata DECNE. from its common adulterant medicinal plant species based on the RAPD-derived SCAR markers and multiplex-PCR. Genes Genom. 2015, 37, 23–32. [Google Scholar] [CrossRef]
- Williams, J.G.; Kubelik, A.R.; Livak, K.J.; Rafalski, J.A.; Tingey, S.V. DNA polymorphisms amplified by arbitrary primers are useful as genetic markers. Nucleic Acids Res. 1990, 18, 6531–6535. [Google Scholar] [CrossRef] [PubMed]
- Vos, P.; Hogers, R.; Bleeker, M.; Reijans, M.; van de Lee, T.; Hornes, M.; Frijters, A.; Pot, J.; Peleman, J.; Kuiper, M. AFLP: A new technique for DNA fingerprinting. Nucleic Acids Res. 1995, 23, 4407–4414. [Google Scholar] [CrossRef] [PubMed]
- Nakamura, S.; Masuda, T.; Mochizuki, A.; Konishi, K.; Tokumaru, S.; Ueno, K.; Yamaguchi, T. Primer design for identifying economically important Liriomyhza species (Diptera: Agromyzidae) by multiplex PCR. Mol. Ecol. Resour. 2013, 13, 96–102. [Google Scholar] [CrossRef] [PubMed]
- Chen, S.; Yao, H.; Han, J. Validation of the ITS2 region as a novel DNA barcode for identifying medicinal plant species. PLoS ONE 2010, 5, e8613. [Google Scholar] [CrossRef] [PubMed]
- White, T.J.; Bruns, T.; Lee, S.; Taylor, J. PCR Protocols: A Guide to Methods and Applications; Academic Press: New York, NY, USA, 1990; pp. 315–322. [Google Scholar]
- Hall, T.A. BioEdit: An User-Friendly Biological Sequence Alignment Editor and Analysis Program for Windows 95/98/NT. Nucl. Acid Symp. 1999, 41, 95–98. Available online: http://brownlab.mbio.ncsu.edu/JWB/papers/1999Hall1.pdf (accessed on 4 January 2016). [Google Scholar]
- Kimura, M. A simple method for estimating evolutionary rates of base substitutions through comparative studies of nucleotide sequences. J. Mol. Evol. 1980, 16, 111–120. [Google Scholar] [CrossRef] [PubMed]
- Tamura, K.; Stecher, G.; Peterson, D.; Filipski, A.; Kumar, S. MEGA6: Molecular evolutionary genetics analysis version 6.0. Mol. Biol. Evol. 2013, 30, 2725–2729. [Google Scholar] [CrossRef] [PubMed]
- Sample Availability: Samples of the Aralia continentalis, Angelica biserrata, L. officinale, and H. moellendorffii and commercial herbal medicines are available from the authors and the herbarium of KIOM.




| Name | Habitat Information | Voucher Number | Lane in Gel | |
|---|---|---|---|---|
| Scientific Name | Herbal Name | |||
| Aralia continentalis Kitag. = Aralia cordata var. continentalis (Kigag.) Y.C. Chu | Araliae Continentalis Radix | Jusan, Boryeong, Chungnam, Korea | KIOM201301006224 | 1 |
| Janggye, Jangsu, Jeonbuk, Korea | KIOM201201004852 | 2 | ||
| Antu County, Jilin province, China | KIOM201201005561 | 3 | ||
| Ulleung, Gyeongbuk, Korea | KIOM2013KR05-36 | 4 | ||
| Angelica biserrata C.Q. Yuan & R.H. Shan = Angelica pubescens f. biserrata R.H. Shan & C.Q. Yuan | Angelicae Pubescentis Radix | Badong, Enshi, Hubei, China | KIOM200801001319 | 5 |
| Badong, Enshi, Hubei, China | KIOM200801001320 | 6 | ||
| Badong, Enshi, Hubei, China | KIOM200801001321 | 7 | ||
| Badong, Enshi, Hubei, China | KIOM200801001483 | 8 | ||
| Levisticum officinale W.D.J. Koch | -1 | Lanzhou, Gansu, China | KIOM2011CN02-19 | 9 |
| Lanzhou, Gansu, China | KIOM2011CN02-20 | 10 | ||
| Lanzhou, Gansu, China | KIOM2011CN02-21 | 11 | ||
| Lanzhou, Gansu, China | KIOM2011CN02-22 | 12 | ||
| Heracleum moellendorffii Hance | -1 | Punggi Yeongju, Gyeongbuk, Korea | KIOM201101003889 | 13 |
| Seolcheon, Muju, Jeonbuk, Korea | KIOM200901002079 | 14 | ||
| Mupung, Muju, Jeonbuk, Korea | KIOM200801001576 | 15 | ||
| Jeoksang, Muju, Jeonbuk, Korea | KIOM200801001227 | 16 | ||
| Species | Constant Length (bp) | Aligned Length (bp) | Intra-Species Variability | Inter-Species Variability | Species-Specific Marker Nucleotide | |
|---|---|---|---|---|---|---|
| Indels | Substitutions | |||||
| Ar. continentalis | 391 | 394 | 0.0000 ± 0.0000 | 0.2634 ± 0.0104 | 3 | 51 |
| An. biserrata | 388 | 394 | 0.0063 ± 0.0115 | 0.1586 ± 0.0830 | 2 | 12 |
| L. officinale | 390 | 394 | 0.0000 ± 0.0000 | 0.1519 ± 0.0811 | 0 | 10 |
| H. moellendorffii | 389 | 394 | 0.0034 ± 0.0013 | 0.1550 ± 0.0693 | 0 | 15 |
| Nucleotide Position | 80 | 90 | 100 | 111 | 112 | 113 | 115 | 116 | 121 | 123 | 128 | 129 | 130 | 134 | 137 | 138 | 139 | 141 | 142 | 143 | 144 | 145 | 146 | 148 | 149 | 150 |
|---|---|---|---|---|---|---|---|---|---|---|---|---|---|---|---|---|---|---|---|---|---|---|---|---|---|---|
| Ar. continentalis | C | T | C | G | C | G | C | - | C | C | C | C | G | T | C | T | C | T | G | G | G | G | - | T | C | G |
| An. biserrata | T | C | T | · | T | A | T | · | A | A | A | G | T | A | T | - | G | G | A | A | G | T | T | · | G | C |
| L. officinale | T | · | T | A | T | C | T | T | A | A | A | · | T | · | T | C | G | G | · | A | G | C | T | · | G | C |
| H. moellendorffii | T | · | T | C | A | C | T | · | A | A | A | · | A | · | T | T | G | G | · | A | A | C | T | C | G | T |
| Nucleotide position | 151 | 154 | 155 | 156 | 157 | 161 | 166 | 167 | 168 | 178 | 180 | 181 | 184 | 185 | 186 | 187 | 190 | 191 | 199 | 200 | 204 | 205 | 212 | 218 | 220 | 224 |
| Ar. continentalis | G | C | A | G | A | G | T | A | C | G | G | T | C | A | C | C | G | C | C | C | T | G | C | G | C | C |
| An. biserrata | C | T | T | T | G | - | A | · | T | · | A | C | T | G | T | · | · | · | G | G | A | A | T | · | T | · |
| L. officinale | T | G | T | T | G | · | A | T | T | · | · | C | T | G | T | T | · | · | G | · | A | · | T | · | T | T |
| H. moellendorffii | T | T | T | T | G | · | A | · | T | A | · | C | T | C | T | · | A | T | A | A | A | · | T | T | T | · |
| Nucleotide position | 228 | 232 | 234 | 235 | 236 | 244 | 246 | 251 | 252 | 255 | 258 | 260 | 263 | 269 | 273 | 274 | 275 | 276 | 278 | 279 | 283 | 284 | 286 | 287 | 288 | |
| Ar. continentalis | A | C | A | G | T | G | T | A | G | T | T | C | A | T | G | T | G | A | C | C | G | C | A | G | C | |
| An. biserrata | G | · | T | - | C | · | A | G | A | C | · | G | T | C | A | A | T | C | T | · | A | T | T | T | A | |
| L. officinale | G | T | T | - | · | T | A | G | A | C | A | G | T | C | A | A | T | C | G | · | A | T | T | T | A | |
| H. moellendorffii | G | · | T | - | · | · | A | G | A | C | · | G | T | G | A | A | T | C | G | G | A | T | T | T | A | |
| Primer Direction | Primer Name | Primer Sequence (5′ → 3′) | Specificity (Species) | Amplicon Size (bp) |
|---|---|---|---|---|
| Forward | Ac_F1 | TCG TGC GGT GAC CCG TCG C | Ar. continentalis | 101 bp |
| Ac_F3 | GTT GTT AAA AGC CTT CTT CTC A | Ar. continentalis | 123 bp | |
| Ab_F | GTC ACA CCT GAG AAG TTG TGC C | An. biserrata | 233 bp | |
| Lo_F | CTG GGT GTC ACG CAT CAT CTT T | L. officinale | 268 bp | |
| Hm_F | ATG CCT TCT CGC ATG GTT GGC AA | H. moellendorffii | 186 bp | |
| Reverse | SCAR_R | AGC GGG TAG TCC CGC CTG AC | All four species |
© 2016 by the authors. Licensee MDPI, Basel, Switzerland. This article is an open access article distributed under the terms and conditions of the Creative Commons by Attribution (CC-BY) license ( http://creativecommons.org/licenses/by/4.0/).
Share and Cite
Kim, W.J.; Moon, B.C.; Yang, S.; Han, K.S.; Choi, G.; Lee, A.Y. Rapid Authentication of the Herbal Medicine Plant Species Aralia continentalis Kitag. and Angelica biserrata C.Q. Yuan and R.H. Shan Using ITS2 Sequences and Multiplex-SCAR Markers. Molecules 2016, 21, 270. https://doi.org/10.3390/molecules21030270
Kim WJ, Moon BC, Yang S, Han KS, Choi G, Lee AY. Rapid Authentication of the Herbal Medicine Plant Species Aralia continentalis Kitag. and Angelica biserrata C.Q. Yuan and R.H. Shan Using ITS2 Sequences and Multiplex-SCAR Markers. Molecules. 2016; 21(3):270. https://doi.org/10.3390/molecules21030270
Chicago/Turabian StyleKim, Wook Jin, Byeong Cheol Moon, Sungyu Yang, Kyeong Suk Han, Goya Choi, and A Yeong Lee. 2016. "Rapid Authentication of the Herbal Medicine Plant Species Aralia continentalis Kitag. and Angelica biserrata C.Q. Yuan and R.H. Shan Using ITS2 Sequences and Multiplex-SCAR Markers" Molecules 21, no. 3: 270. https://doi.org/10.3390/molecules21030270
APA StyleKim, W. J., Moon, B. C., Yang, S., Han, K. S., Choi, G., & Lee, A. Y. (2016). Rapid Authentication of the Herbal Medicine Plant Species Aralia continentalis Kitag. and Angelica biserrata C.Q. Yuan and R.H. Shan Using ITS2 Sequences and Multiplex-SCAR Markers. Molecules, 21(3), 270. https://doi.org/10.3390/molecules21030270

