Abstract
A series of 1H-2,3-dihydroperimidine derivatives was designed, synthesized, and evaluated as a new class of inhibitors of protein tyrosine phosphatase 1B (PTP1B) with IC50 values in the micromolar range. Compounds 46 and 49 showed submicromolar inhibitory activity against PTP1B, and good selectivity (3.48-fold and 2.10-fold respectively) over T-cell protein tyrosine phosphatases (TCPTP). These results have provided novel lead compounds for the design of inhibitors of PTP1B as well as other PTPs.
1. Introduction
Reversible protein tyrosine phosphorylation is a key regulatory mechanism in eukaryotic cell physiology [1]. Dysregulation of protein tyrosine kinases (PTKs) and protein tyrosine phosphatases (PTPs) is linked to numerous human diseases, including cancer, diabetes, obesity, infection, autoimmune, and neuropsychiatric disorders [2,3]. Hence, PTKs and PTPs are emerging as high value targets for therapeutic intervention [3,4,5,6,7]. Consequently, many efforts have been made to target these enzymes with small molecules in order to develop new therapeutic agents. Notable success has been achieved in targeting signaling pathways regulated by protein tyrosine phosphorylation with more than a dozen of small molecule kinase inhibitors on the market [8]. However, the therapeutic benefits of modulating PTPs are still underexplored despite the fact that several PTPs have been identified as high value targets [9].
Protein tyrosine phosphatase 1B (PTP1B), an intracellular nonreceptor PTPase, has received much attention due to its pivotal role in type II diabetes and obesity as a negative regulator of the insulin signaling pathway by dephosphorylating the activated insulin receptor [10]. Studies from two different laboratories have shown PTP1B-knockout mice exhibit enhanced insulin sensitivity, improved glucose tolerance and resistance to diet-induced obesity [11,12]. In addition, several groups have demonstrated that overexpression of PTP1B is sufficient to drive tumorigenesis in mice, providing additional support for the use of PTP1B inhibitors for cancer therapy [13,14]. Therefore, PTP1B seems to be a potential target for the treatment of type 2 diabetes mellitus, obesity, and cancer. A variety of PTP1B inhibitors have been disclosed among academic and industrial laboratories [15,16,17]. Two compounds, ertiprotafib and trodusquemine, have progressed to clinical trials [18,19]. However, ertiprotafib was discontinued in phase II clinical trials due to a lack of efficacy and side effects [20]. There are two significant challenges to develop orally bioavailable, small molecular PTP1B inhibitors [15]: (1) it is difficult to design inhibitors that are specific for PTP1B due to the close homology with other PTPs, for example, T-cell protein tyrosine phosphatase (TCPTP) shares a structurally very similar active site with PTP1B and is about 80% homologous in the catalytic domain [21], and (2) many small molecules that bind with high affinity in active site are hydrophilic, and as a result they have poor cell permeability. Therefore, imminent development of potent and PTP1B specific inhibitor remains necessary.
In searching for novel PTP1B inhibitors, we identified 4-(2,3-dihydro-1H-perimidin-2-yl)benzoic acid (1) as a novel PTP1B inhibitor (IC50 = 8.34 ± 1.07 μM) through high throughput screening of our compound collection (Figure 1). This result provided us a chance to explore novel small molecule inhibitors of PTP1B. Herein, we designed, synthesized a series of 1H-2,3-dihydroperimidine derivatives, evaluated their inhibitory activities toward PTP1B , and elucidated the SARs. Selected compounds were also subjected to selectivity analyses to determine whether their biological properties made them suitable for further development.
Figure 1.
Chemical structure of hit compound 1.
2. Results and Discussion
2.1. Chemistry
2.1.1. Design of 1H-2,3-Dihydroperimidine Derivatives
Based on the structure of compound 1, 42 new 1H-2,3-dihydroperimidine derivatives (compounds 2–6, 8–19, 21–35, and 40–49, Table 1) were designed and synthesized. Replacing the carboxylic acid moiety in compound 1 with bromo-, hydroxyl-, fluoro-, cyano-, or amino groups, we obtained analogues 2–6 and 8. By coupling the carboxylic acid on compound 1 with a series of amino acids esters, compounds 10–14 were obtained. After saponification, we got the corresponding acid compounds 15–19. By replacing the amide bond in compounds 15–19 with an oxygen atom we got ether derivatives 20–25. Using amine derivative 8 as starting material, amide compounds 26–35 were obtained. We also synthesized compounds 40–49 by replacement of phenyl ring on compound 1 with pyridinyl ring.
2.1.2. Synthesis of 1H-2,3-Dihydroperimidine Derivatives
The coupling reactions of 1,8-diaminonaphthalene with various aldehydes were accomplished in the presence of a catalytic amount of Zn(OAc)2 to yield compounds 2–7 (Scheme 1) and 9 (Scheme 2) in 31%–55% yields [22]. After reduction of nitro compound 7, amine 8 was obtained in 89% yield. Compound 1 was obtained from compound 9 in 53% by saponification with lithium hydroxide in aqueous THF, followed by coupling with appropriate amino acid esters to yield compounds 10–14 in 35%–52% yield. After saponification with lithium hydroxide in aqueous THF, compounds 15–19 were obtained in 42%–55% yield (Scheme 2). Compounds 20–22 were prepared by alkylation of the phenol 5 with a series of bromo ethyl esters, followed by saponification with lithium hydroxide in aqueous THF to yield 23–25 in 35%–54% yield (Scheme 3). Amide compounds 26–29 were obtained in 35%–51% yield by acylation with ethyl chlorooxoacetate or various ethyl ester acids, followed by saponification with lithium hydroxide in aqueous THF to yield 30–33 in 35%–56% yield (Scheme 4). Compound 34 was prepared by coupling amine 8 with 3-((tert-butoxycarbonyl)amino)propanoic acid in the presence of EDCI and DMAP, followed by deprotection of the Boc group using TFA in CH2Cl2 to yield the amino compound 35 (Scheme 5). Scheme 6 describes the straightforward synthesis of the derivatives 40–49. Obtained from compound 36 in the presence of SOCl2 using MeOH as solvent, diester 37 was selectively reduced to compound 38 in the presence of NaBH4/CaCl2[23]. Compound 38 was transformed into aldehyde 39 using Dess-Martin periodinane in the presence of CH2Cl2, followed by coupling with naphthalene-1,8-diamine to yield compound 40, using similar conditions to those in Scheme 1. Then compounds 41–49 were obtained using similar conditions to those shown in Scheme 2.
Scheme 1.
Synthesis of Compounds 2–8.
Scheme 2.
Synthesis of Compounds 10–19.
Scheme 3.
Synthesis of Compounds 20–25.
Scheme 4.
Synthesis of Compounds 26-33.
Scheme 5.
Synthesis of Compounds 34–35.
Scheme 6.
Synthesis of Compounds 40–49.
2.2. Biological Activities
2.2.1. PTP1B Inhibitory Activities and Structure-Activity Relationships
The inhibitory activities of all the synthesized compounds against PTP1B were measured using p-nitrophenyl phosphate (pNPP) as substrate [24,25], and the results are detailed in Table 1. We initially prepared 2–6 and 8 by the route outlined in Scheme 1, in which we substituted the carboxylic acid group on the phenyl ring with bromo-, fluoro-, hydroxyl-, amino-, or cyano groups. We noticed that none of them showed more than 50% of enzyme inhibition against PTP1B at the concentration of 20 μg/mL. This result indicated the importance of the carboxylic acid for activity. As for compounds 9–14, ester compounds showed poor enzyme inhibitory activity at the concentration of 20 μg/mL. Saponification of ester compounds 9–14 to the corresponding acid compounds 1 and 15–19 dramatically improved PTP1B inhibitory activity. These results further confirmed that the acid group was important for PTP1B inhibitory activity. Among compound 1 and 16–19, compound 16 with an acetic acid moiety and compound 17 with a butanoic acid moiety showed three times less potency than compound 1. Compound 18 with a pentanoic acid moiety and compound 19 with a hexanoic acid moiety showed similar activity to compound 1. Compound 15 with a proline moie ty exhibited similar activity to compound 16. The results indicated that the distance between phenyl ring and carboxylic acid had some impact on the inhibitory activity. As for ether compounds 21–25, ester compounds 21 and 22 did not show inhibitory activity.
Compound 23 with an acetic acid moiety exhibited slightly better inhibitory activity than compound 1. However, compound 24 with butanoic acid moiety and compound 25 with pentanoic acid moiety showed no inhibitory activity. These results indicated that using O atom as linker between phenyl ring and carboxylic acid generally decreased the enzyme inhibitory activity and that the distance between carboxylic acid and phenyl ring impacted the enzyme inhibitory activity. As for amide compounds 26–33, ester compounds 27–29 did not show activity, however it was interesting that compound 26 with an ethyl 2-oxoacetate moiety showed six times more potent enzyme inhibitory activity than compound 1. Among acid compounds 30–33, compound 30 with a 2-oxoacetic acid moiety and compound 32 with a 4-oxobutanoic acid had no activity against PTP1B. Compound 31 with a 3-oxopropanoic acid and compound 33 with a 5-oxopentanoic acid showed similar activity to compound 1. Compound 34 and 35 showed no inhibitory activity against PTP1B.
Table 1.
PTP1B inhibitory activities of compounds 1–6, 8–19, 21–35 and 40–49.
| Comp | R1 | R2 | R3 | X | Inhibition(%) at 20 μg/mL | IC50(μM) a |
|---|---|---|---|---|---|---|
| 1 | COOH | H | H | CH | 98.63% | 8.34 ± 1.07 |
| 2 | Br | H | H | CH | 37.00% | NT b |
| 3 | H | Br | H | CH | 42.51% | NT |
| 4 | H | H | Br | CH | 17.52% | NT |
| 5 | OH | H | H | CH | 7.18% | NT |
| 6 | F | CN | H | CH | 31.58% | NT |
| 8 | NH2 | H | H | CH | 23.76% | NT |
| 9 | COOMe | H | H | CH | 15.27% | NT |
| 10 | ![]() | H | H | CH | 26.25% | NT |
| 11 | ![]() | H | H | CH | 4.81% | NT |
| 12 | ![]() | H | H | CH | 6.83% | NT |
| 13 | ![]() | H | H | CH | 28.48% | NT |
| 14 | ![]() | H | H | CH | 35.57% | NT |
| 15 | ![]() | H | H | CH | 84.21% | 20.23 ± 1.94 |
| 16 | ![]() | H | H | CH | 89.99% | 27.75 ± 5.45 |
| 17 | ![]() | H | H | CH | 73.13% | 22.21 ± 1.60 |
| 18 | ![]() | H | H | CH | 94.84% | 5.53 ± 0.54 |
| 19 | ![]() | H | H | CH | 95.35% | 7.82 ± 0.27 |
| 21 | ![]() | H | H | CH | 7.45% | NT |
| 22 | ![]() | H | H | CH | 2.04% | NT |
| 23 | ![]() | H | H | CH | 98.39% | 5.88 ± 0.25 |
| 24 | ![]() | H | H | CH | 10.48% | NT |
| 25 | ![]() | H | H | CH | 32.13% | NT |
| 26 | ![]() | H | H | CH | 91.76% | 1.27 ± 0.06 |
| 27 | ![]() | H | H | CH | 1.68% | NT |
| 28 | ![]() | H | H | CH | 29.69% | NT |
| 29 | ![]() | H | H | CH | 2.92% | NT |
| 30 | ![]() | H | H | CH | 0.51% | NT |
| 31 | ![]() | H | H | CH | 96.83% | 6.45 ± 0.42 |
| 32 | ![]() | H | H | CH | 29.95% | NT |
| 33 | ![]() | H | H | CH | 95.07% | 6.91 ± 1.17 |
| 34 | ![]() | H | H | CH | 12.61% | NT |
| 35 | ![]() | H | H | CH | 0.29% | NT |
| 40 | COOMe | H | H | N | 6.40% | NT |
| 41 | COOH | H | H | N | 96.62% | 10.82 ± 0.69 |
| 42 | ![]() | H | H | N | 42.12% | NT |
| 43 | ![]() | H | H | N | 4.67% | NT |
| 44 | ![]() | H | H | N | 4.74% | NT |
| 45 | ![]() | H | H | N | 10.75% | NT |
| 46 | ![]() | H | H | N | 99.47% | 0.66 ± 0.03 |
| 47 | ![]() | H | H | N | 98.47% | 15.24 ± 1.41 |
| 48 | ![]() | H | H | N | 91.47% | 3.56 ± 0.13 |
| 49 | ![]() | H | H | N | 99.40% | 0.59 ± 0.05 |
| OA c | - | - | - | - | - | 2.41 ± 0.35 |
a The pNPP assay. IC50 values were determined by regression analyses and expressed as means ± SD of three replications; b NT means not tested; c OA means oleanolic acid as positive control.
By replacing phenyl ring on compound 1 with a pyridinyl ring, ester compounds 40 and 42–45 did not show inhibitory activity. As for acid compounds, compound 41 showed similar activity to hit compound 1. Compound 46 with acetic acid moiety and compound 49 with a hexanoic acid moiety showed submicromolar inhibitory activity, about fourteen times more potent than compound 1. Compound 48 with a pentanoic acid moiety had inhibitory activity with IC50 of 3.56 ± 0.13 μM. Compound 47 with a butanoic acid moiety showed poorest inhibitory activity with IC50 of 15.24 ± 1.41 μM, about twenty-five times less potent than compounds 46 and 49. The results indicated that the distance between pyridinyl ring and carboxylic acid was important for enzyme inhibitory activity, and that the replacement of phenyl ring with a pyridinyl ring obviously impacted on the enzyme inhibition.
2.2.2. Selectivity against Other PTPs
In addition to potency improvements, we investigated the selectivity of three representative compounds, namely, 1, 46 and 49 against other PTPs (TCPTP, SHP-1, SHP-2, LAR). As shown in Table 2, homogeneous T-cell protein tyrosine phosphatase (TCPTP) inhibitory activities were investigated simultaneously by the same method [24,25]. Compounds 46 and 49 showed 3.48-fold and 2.10-fold greater selectivity for PTP1B than for TCPTP respectively, while hit compound 1 exhibited poor selectivity with 0.58-fold for PTP1B than for TCPTP. Besides TCPTP, we tested the inhibitory activity of these compounds on other three homogenous enzymes SHP-1, SHP-2, and LAR [25]. As shown in Table 2, we concluded that compounds 46 and 49 had no visible activities against LAR, and compound 46 possessed about 9-fold selectivity for PTP1B over SHP-1 and SHP-2, while 49 showed about 4-fold selectivity for PTP1B over SHP-1 and SHP-2.
Table 2.
The IC50 values of compounds 1, 46 and 49 against PTPs.
| Comp | IC50(μM) a | TCPTP/PTP1B | IC50(μM) a | |||
|---|---|---|---|---|---|---|
| PTP1B | TCPTP | SHP-1 | SHP-2 | LAR | ||
| 1 | 8.34 ± 1.07 | 4.83 ± 0.90 | 0.58 | 23.31 ± 2.03 | 31.21 ± 7.72 | NAb |
| 46 | 0.66 ± 0.03 | 2.30 ± 0.17 | 3.48 | 6.01 ± 0.20 | 5.95 ± 0.29 | NA |
| 49 | 0.59 ± 0.05 | 1.24 ± 0.12 | 2.10 | 2.72 ± 0.30 | 2.50 ± 0.22 | NA |
| PC c | 2.41 ± 0.35 | 5.14 ± 0.77 | 58.34 ± 1.96 | 36.65 ± 4.46 | 58.34 ± 1.96 | |
SHP-1, SH2-Containing Protein Tyrosine Phosphatase-1; SHP-2, SH2-Containing Protein Tyrosine Phosphatase-2; LAR, leukocyte antigen-related tyrosine phosphatase; a The pNPP substrate and 3-o-methylfluorescein phosphate (OMFP) substrate were utilized in PTP1B/TCPTP assay, and SHP-1/SHP-2/LAR assay, respectively; IC50 values were determined by regression analyses and expressed as means ± SD of three replications; b NA: No activity (compound inhibitory ratio lower than 50% at the dose of 20 μg/mL); c PC: positive control; Oleanolic acid was for PTP1B and TCPTP, Na3VO4was for SHP-1, SHP-2 and LAR.
2.2.3. Characterization of the Inhibitor on Enzyme Kinetics and Cellular Activity
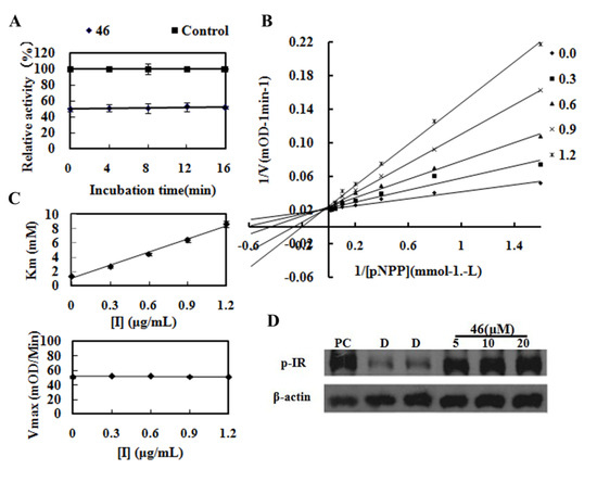
A kinetic study was performed in order to identify the inhibitory mechanism of compound 46 (Figure 2), using the reported enzyme kinetics assays [25].
As shown in Figure 2A, 46 demonstrated a fast-binding inhibition of PTP1B. The fast-binding inhibition of 46 toward PTP1B may also exclude that 46 is a nonspecific inhibitor, because nonspecific inhibitors always show time-dependent behavior and steep inhibition curve [26]. We further determined the inhibition modality of 46 which inhibited PTP1B with the characteristics typical of a competitive inhibitor, as indicated by increased km values and unchanged Vmax values when the inhibitor concentration was increased (Figure 2C). Meanwhile, the result of the Lineweaver-Burk plot confirmed 46 as a competitive inhibitor of PTP1B for intersecting at y-axis of a nest of lines with increased inhibitor concentration (Figure 2B). The results indicated that 46 binds the catalytic pocket of PTP1B and behaves as a competitor to the substrate.
Figure 2.
Characterization of 46 to PTP1B. (A) Fast-binding inhibition of PTP1B by 46;(B) Typical competitive inhibition of 46 shown by Lineweaver-Burk plot; (C) The initial velocity determined with various concentrations of pNPP at various fixed concentrations of 46; and (D) Effect of 46 on tyrosine phosphorylation of insulin receptor β in CHO/hIR cells.
To explore the effect of PTP1B inhibitor in vitro on insulin signaling, CHO cells overexpressing human insulin receptor (CHO/hIR) were treated in presence or absence of compound, then tyrosine phosphorylation level of insulin receptor (p-IR) was detected after stimulated by insulin. Compared with negative control of DMSO, compound 46 ranging from 5 µM to 20 µM greatly improved p-IR level. This result indicates that compound 46 shows well membrane permeability and could protect insulin pathway signaling on the cellular level (Figure 2D).
3. Experimental
3.1. Chemistry
All chemicals were reagent grade and used as purchased. All reactions were performed under an inert atmosphere of dry argon or nitrogen using distilled dry solvent. 1H (400 MHz) NMR spectra were recorded on a Bruker AVⅢ 400 MHz spectrometer. The chemical shifts were reported in (ppm) using the 7.26 signal of CDCl3 (1H-NMR) and the 2.50 signal of DMSO-d6 (1H-NMR) as internal standards and the 39.50 signal of DMSO-d6 (13C-NMR) as internal standards. ESI Mass spectra (MS) were obtained on a Waters Micromass Platform LCZ Mass Spectrometer. Melting points were recorded on YRT-3 melting point apparatus (Tianjin Reliant Instrument Co., Ltd., Tianjin, China) and were reported without correction.
3.1.1. Procedure for the Preparation of Compounds 2–7
To a stirred solution of 4-bromobenzaldehyde (421.8 mg, 2.28 mmol) in methanol (5 mL) was added a solution of naphthalene-1,8-diamine (300 mg, 1.90 mmol) in methanol (5 mL), followed by Zn(OAc)2·H2O (3.5 mg, 0.016 mmol). Then the mixture was stirred at room temperature for 16 h. The reaction mixture was filtered. The filter cake was washed with methanol, dried to get compound 2 (277 mg, 45%) as a brown solid, mp 138.9–142.3 °C. 1H-NMR (CDCl3) δ: 4.68 (brs, 2H), 5.45 (s, 1H), 6.54 (dd, J = 1.6 Hz, 6.4 Hz, 2H), 7.25(m, 4H), 7.52 (d, J = 8.4 Hz, 2H), 7.58 (d, J = 8.4 Hz, 2H); MS (ESI): m/z calcd. for C17H14BrN2[M+H]+ 325.0/327.0, found: 325.2/327.5.
2-(3-Bromophenyl)-2,3-dihydro-1H-perimidine (3). Yield = 48%, mp 161.7–163.3 °C; 1H-NMR (CDCl3) δ: 4.51 (brs, 2H), 5.44 (s, 1H), 6.54 (dd, J = 1.6 Hz, 6.8 Hz, 2H), 7.23–7.34 (m, 5H), 7.55–7.59 (m, 2H), 7.83 (s, 1H); MS (ESI): m/z calcd. for C17H14BrN2 [M+H]+ 325.0/327.0, found: 325.5/327.5.
2-(2-Bromophenyl)-2,3-dihydro-1H-perimidine (4). Yield = 46%, mp 130.4–131.0 °C;1H-NMR (CDCl3) δ: 4.62 (s, 2H), 5.94 (s, 1H), 6.58 (d, J = 7.2 Hz, 2H), 7.23–7.30 (m, 5H), 7.39 (t, J = 7.6 Hz, 1H), 7.61 (d, J = 8.0 Hz, 1H), 7.84 (dd, J = 1.2 Hz, 7.6 Hz, 1H); MS (ESI): m/z calcd. for C17H14BrN2 [M+H]+ 325.0/327.0, found: 325.4/327.7.
4-(2,3-Dihydro-1H-perimidin-2-yl)phenol (5). Yield = 52%, mp 148.1–152.2 °C; 1H-NMR (DMSO-d6) δ: 5.25 (s, 1H), 6.48 (d, J = 7.2 Hz, 2H), 6.62 (s, 2H), 6.82 (d, J = 8.0 Hz, 2H), 6.98 (d, J = 8.4 Hz, 2H), 7.14 (dd, J = 7.6 Hz, 8.0 Hz, 2H), 7.41(d, J = 8.4 Hz, 2H), 9.54 (s, 1H); MS (ESI): m/z calcd. for C17H15N2O[M+H]+ 263.1, found: 263.2.
5-(2,3-Dihydro-1H-perimidin-2-yl)-2-fluorobenzonitrile (6). Yield = 55%, mp 204.4–208.4 °C; 1H-NMR (DMSO-d6) δ: 5.44 (s, 1H), 6.50 (d, J = 7.6 Hz, 2H), 6.90 (s, 2H), 7.01(d, J = 7.6 Hz, 2H), 7.17 (dd, J = 7.6 Hz, 8.0 Hz, 2H), 7.60 (t, J = 9.2 Hz, 1H), 7.99 (dt, J = 2.4 Hz, 6.8 Hz, 1H), 8.14 (dd, J = 2.4 Hz, 6.4 Hz, 1H); MS (ESI): m/z calcd. forC18H13FN3[M+H]+ 290.1, found: 290.3.
2-(4-Nitrophenyl)-2,3-dihydro-1H-perimidine (7). Yield = 54%; 1H-NMR (DMSO-d6) δ: 5.50 (s, 1H), 6.52 (d, J = 7.2 Hz, 2H), 6.99 (s, 2H), 7.01 (d, J = 8.4 Hz, 2H), 7.18 (dd, J = 7.6 Hz, 8.0 Hz, 2H), 7.85 (d, J = 8.8 Hz, 2H), 8.28 (d, J = 8.8 Hz, 2H); MS (ESI): m/z calcd. for C17H14N3O2 [M+H]+ 292.1, found: 292.5.
3.1.2. Procedure for the Preparation of Compound 8
The mixture of compound 7 (100 mg, 0.34 mmol), iron (38.5 mg, 0.69 mmol) and NH4Cl (55.2 mg, 1.03 mmol) in the solution of ethanol (2 mL) and water (1 mL) was heated at 90 °C for 3 h. After filtration, the filter cake was washed with EtOAc, concentrated the filtrate, and dried to afford compound 8 (80 mg, 89%), mp 166.4–171.9 °C. 1H-NMR (DMSO-d6) δ: 5.17 (s, 1H), 6.47 (d, J = 8.0 Hz, 2H), 6.53 (s, 2H), 6.62 (d, J = 8.0 Hz, 2H), 6.96 (d, J = 8.0 Hz, 2H), 7.13 (dd, J = 7.6 Hz, 8.0 Hz, 2H), 7.26 (d, J = 8.0 Hz, 2H); MS (ESI): m/z calcd. for C17H16N3[M+H]+ 262.1, found: 262.1.
3.1.3. General Procedure for the Preparation of Derivatives 9–19
To a stirred solution of naphthalene-1,8-diamine(500 mg, 3.16 mmol)in methanol (10 mL) was added a solution of 4-formylbenzoic acid methyl ester (621.6 mg, 3.79 mmol) in methanol (5 mL), followed by Zn(OAc)2 (58.2 mg, 0.26 mmol). The mixture was stirred at room temperature for 16 h. After filtration, the filter cake was washed with methanol, dried to give compound 9 (300 mg, 31%), mp 165.0–168.2 °C. 1H-NMR (CDCl3) δ: 3.95 (s, 3H), 4.52 (s, 2H), 5.54 (s, 1H), 6.56 (dd, J = 1.6 Hz, 6.8 Hz, 2H), 7.24–7.30 (m, 4H), 7.72 (d, J = 8.0 Hz, 2H), 8.11 (d, J = 8.0 Hz, 2H); MS (ESI): m/z calcd. for C19H17N2O2 [M+H]+ 305.1, found: 305.2.
LiOH·H2O (43.5 mg, 0.99 mmol) was added to a solution of compound 9 (100 mg, 0.33 mmol) in THF (1 mL)/H2O (1 mL). The mixture was stirred at room temperature for 3 h. After removal of THF, the water layer was washed with EtOAc, and acidified with HCl (1 M) to pH = 2, filtered and dried to get compound 1 (50 mg, 53%), mp > 265 °C; 1H-NMR (DMSO-d6) δ: 5.45 (s, 1H), 6.51 (d, J = 7.2 Hz, 2H), 6.87 (s, 2H), 7.00 (d, J = 8.0 Hz, 2H), 7.17 (dd, J = 7.6 Hz, 8.0 Hz, 2H), 7.72 (d, J = 8.4 Hz, 2H), 7.99 (d, J = 8.0 Hz, 2H), 12.93 (brs, 1 H); MS (ESI): m/z calcd. forC18H15N2O2[M+H]+ 291.1, found: 291.0.
To a stirred solution of compound 1 (1.0 g, 3.4 mmol) in DMF (10 mL) was added methyl glycinate (0.3 g, 3.4 mmol), followed by EDCI (1.0 g, 5.2 mmol) and DMAP (0.04 g, 0.34 mmol). The mixture was stirred at 40 °C overnight. The reaction was diluted with EtOAc (100 mL), washed with water (200 mL × 3). The combined organic phases were then processed in the usual way and chromatographed (2:1 petroleum ether/EtOAc) to yield compound 11 (0.5 g, 40%), mp 193.3–198.7 °C; 1H-NMR (DMSO-d6) δ: 3.68 (s, 3H), 4.04 (d, J = 6.0 Hz, 2H), 5.44 (s, 1H), 6.51 (d, J = 7.6 Hz, 2H), 6.85 (s, 2H), 7.00 (d, J = 8.0 Hz, 2H), 7.17 (dd, J = 7.6 Hz, 8.0 Hz, 2H), 7.70 (d, J = 8.0 Hz, 2H), 7.92 (d, J = 8.4 Hz, 2H), 8.99 (t, J = 6.4 Hz, 1H); MS (ESI): m/z calcd. for C21H20N3O3 [M+H]+ 362.2, found: 362.1.
LiOH·H2O (69.8 mg, 1.66 mmol) was added to a solution of compound 11 (200 mg, 0.55 mmol) in THF (2 mL)/H2O (2 mL). The reaction was stirred at room temperature for 3 h. After removal of THF, the water layer was washed with EtOAc, acidified with HCl (1 M) to pH = 2, filtered and dried to afford compound 16 (80 mg, 42%), mp 85.4–90.3 °C;1H-NMR (DMSO-d6) δ: 3.93 (d, J = 6.0 Hz, 2H), 5.42 (s, 1H), 6.50 (d, J = 7.2 Hz, 2H), 6.83 (s, 2H), 6.98 (d, J = 8.0 Hz, 2H), 7.17 (t, J = 7.6 Hz, 2H), 7.68 (d, J = 8.4 Hz, 2H), 7.90 (d, J = 8.4 Hz, 2 H), 8.86 (t, J = 6.0 Hz, 1H), 12.60 (brs, 1H); 13C-NMR (DMSO-d6) δ: 41.2, 65.7, 104.4, 112.0, 115.3, 126.8, 127.2, 127.7, 133.9, 134.3, 142.7, 145.1, 166.7, 171.2; MS (ESI): m/z calcd. forC20H18N3O3[M+H]+ 348.1, found: 348.5.
Methyl 1-(4-(2,3-dihydro-1H-perimidin-2-yl)benzoyl)pyrrolidine-2-carboxylate (10). Yield = 41%, mp 171.3–176.0 °C; 1H-NMR (CDCl3) δ:1.93 (m, 1H), 2.04 (m, 2H), 2.34 (m, 1H), 3.55 (m, 1H), 3.64 (m, 1H), 3.80 (s, 3H), 4.53 (s, 2H), 4.69 (dd, J = 4.8 Hz, 8.4 Hz, 1H), 5.51 (s, 1H), 6.55 (d, J = 6.8 Hz, 2H), 7.27 (m, 4H), 7.65 (d, J = 8.0 Hz, 2H), 7.69 (d, J = 8.0 Hz, 2H); MS (ESI): m/z calcd. for C24H24N3O3 [M+H]+ 402.2, found: 401.7.
Ethyl 4-(4-(2,3-dihydro-1H-perimidin-2-yl)benzamido)butanoate (12). Yield = 35%, mp 128.6–132.5 °C; 1H-NMR (DMSO-d6) δ: 1.16 (t, J = 7.2 Hz, 3H), 1.78 (m, 2H), 2.35 (t, J = 7.2 Hz, 2H), 3.27 (m, 2H), 4.04 (q, J = 7.2 Hz, 2H), 5.42 (s, 1H), 6.49 (d, J = 8.0 Hz, 2H), 6.83 (s, 2H), 6.98 (d, J = 8.0 Hz, 2H), 7.15 (dd, J = 7.6 Hz, 8.0 Hz, 2H), 7.65 (d, J = 8.0 Hz, 2H), 7.87 (d, J = 8.0 Hz, 2H), 8.50 (t, J = 5.2 Hz, 1H); MS (ESI): m/z calcd. forC24H26N3O3 [M+H]+ 404.2, found: 404.0.
Ethyl 5-(4-(2,3-dihydro-1H-perimidin-2-yl)benzamido)pentanoate (13). Yield = 52%, mp 141.8–143.1 °C; 1H-NMR (DMSO-d6) δ: 1.17 (t, J = 7.2 Hz, 3H), 1.54 (m, 4H), 2.32 (t, J = 6.8 Hz, 2H), 3.26 (m, 2H), 4.04 (q, J = 7.2 Hz, 2H), 5.41 (s, 1H), 6.49 (d, J = 7.6 Hz, 2H), 6.83 (s, 2H), 6.98 (d, J = 8.0 Hz, 2H), 7.15 (dd, J = 7.6 Hz, 8.0 Hz, 2H), 7.65 (d, J = 8.0 Hz, 2H), 7.86 (d, J = 8.0 Hz, 2H), 8.48 (t, J = 5.2 Hz, 1H); MS (ESI): m/z calcd. for C25H28N3O3 [M+H]+ 418.2, found: 418.1.
Ethyl 6-(4-(2,3-dihydro-1H-perimidin-2-yl)benzamido)hexanoate (14), Yield = 48%, mp 145.8-147.4 °C; 1H-NMR (DMSO-d6) δ: 1.16 (t, J = 7.2 Hz, 3H), 1.23-1.34 (m, 2H), 1.48-1.57 (m, 4H), 2.28 (t, J = 7.2 Hz, 2H), 3.23(m, 2H), 4.04 (q, J = 7.2 Hz, 2H), 5.42 (s, 1H), 6.49 (d, J = 7.6 Hz, 2H), 6.83(s, 2H), 6.98 (d, J = 8.0 Hz, 2H), 7.15 (dd, J = 7.6 Hz, 8.0 Hz, 2H), 7.65 (d, J = 8.0 Hz, 2H), 7.86 (d, J = 8.0 Hz, 2H), 8.46 (t, J = 5.2 Hz, 1H); MS (ESI): m/z calcd. for C26H30N3O3 [M+H]+ 432.2, found: 432.2.
1-(4-(2,3-Dihydro-1H-perimidin-2-yl)benzoyl)pyrrolidine-2-carboxylic acid (15). Yield = 42%, mp 233.1–234.3 °C; 1H-NMR (DMSO-d6) δ: 1.91 (m, 4H), 2.29 (m, 2H), 4.42 (m, 1H), 5.42 (s, 1H), 6.51 (d, J = 8.0 Hz, 2H), 6.84 (s, 2H), 7.00 (d, J = 8.0 Hz, 2H), 7.16 (dd, J = 7.6 Hz, 8.0 Hz, 2H), 7.58 (d, J = 7.6 Hz, 2H), 7.67 (d, J = 8.0 Hz, 2H); MS (ESI): m/z calcd. for C23H22N3O3 [M+H]+ 388.2, found: 388.2.
4-(4-(2,3-Dihydro-1H-perimidin-2-yl)benzamido)butanoic acid (17). Yield = 55%, mp 99.7–103.3 °C; 1H-NMR (DMSO-d6) δ: 1.75 (m, 2H), 2.27 (m, 2H), 3.27 (m, 2H), 5.42 (s, 1H), 6.49 (d, J = 7.2 Hz, 2H), 6.83(s, 2H), 6.98 (d, J = 8.0 Hz, 2H), 7.15 (dd, J = 7.6 Hz, 8.0 Hz, 2H), 7.65 (d, J = 8.4 Hz, 2H), 7.87 (d, J = 8.0 Hz, 2H), 8.51 (t, J = 5.2 Hz, 1H); 13C-NMR (DMSO-d6) δ: 24.5, 31.2, 38.7, 65.7, 104.4, 112.4, 115.3, 126.8, 127.1, 127.6, 134.3, 134.6, 142.7, 144.8, 165.6, 174.2; MS (ESI): m/z calcd. for C22H22N3O3 [M+H]+ 376.2, found: 376.1.
5-(4-(2,3-Dihydro-1H-perimidin-2-yl)benzamido)pentanoic acid (18). Yield = 47%, mp 102.8–107.4 °C; 1H-NMR (DMSO-d6) δ: 1.55 (m, 4H), 2.22–2.28 (m, 2H), 3.25 (m, 2H), 5.42 (s, 1H), 6.50 (d, J = 7.2 Hz, 2H), 6.98 (d, J = 8.0 Hz, 2H), 7.15 (dd, J = 7.6 Hz, 8.0 Hz, 2H), 7.65 (d, J = 8.0 Hz, 2H), 7.87 (d, J = 8.0 Hz, 2H), 8.49 (t, J = 5.2 Hz, 1H); 13C-NMR (DMSO-d6) δ: 22.0, 28.6, 33.3, 38.8, 65.8, 104.7, 112.6, 115.6, 126.8, 127.0, 127.7, 134.3, 134.7, 142.4, 144.4, 165.7, 174.4; MS (ESI): m/z calcd. for C23H24N3O3 [M+H]+ 390.2, found: 390.1.
6-(4-(2,3-Dihydro-1H-perimidin-2-yl)benzamido)hexanoic acid (19). Yield = 50%, mp 90.8–91.9 °C; 1H-NMR (DMSO-d6) δ: 1.30 (m, 2H), 1.48–1.56 (m, 4H), 2.21 (t, J = 7.2 Hz, 2H), 3.24 (m, 2H), 5.41 (s, 1H), 6.49 (d, J = 8.0 Hz, 2H), 6.83 (s, 2H), 6.98 (d, J = 8.0 Hz, 2H), 7.15 (dd, J = 7.6 Hz, 8.0 Hz, 2H), 7.65 (d, J = 8.0 Hz, 2H), 7.86 (d, J = 8.4 Hz, 2H), 8.46 (t, J = 5.2 Hz, 1H);13C-NMR (DMSO-d6) δ: 24.2, 26.0, 28.8, 33.6, 39.0, 65.7, 104.4, 112.5, 115.3, 126.8, 127.0, 127.6, 134.3, 134.7, 142.7, 144.7, 165.7, 174.4; MS (ESI): m/z calcd. forC24H26N3O3 [M+H]+ 404.2, found: 404.5.
3.1.4. General Procedure for the Preparation of Derivatives 21–25
To a stirred solution of compound 5 (50 mg, 0.19 mmol) in DMF (2 mL) was added ethyl 4-bromobutyrate (44.6 mg, 0.23 mmol) and cesium carbonate (74.9 mg, 0.23 mmol). Then the resulting mixture was stirred at 40 °C overnight. The reaction was diluted with EtOAc (100 mL), washed with water (100 mL × 3). The organic phase was processed in the usual way and chromatographed (1:1 petroleum ether/EtOAc) to yield compound 21 (41 mg, 65%), mp 76.2–78.6 °C; 1H-NMR (DMSO-d6) δ: 1.18 (t, J = 7.2 Hz, 3H), 1.96 (t, J = 6.4 Hz , 2H), 2.45 (m, 2H), 4.00 (t, J = 6.4 Hz, 2H), 4.07 (q, J = 7.2 Hz, 2H), 5.29 (s, 1H), 6.47 (d, J = 7.2 Hz, 2H), 6.66 (s, 2H), 6.96 (d, J = 8.0 Hz, 4H), 7.13 (dd, J = 7.6 Hz, 8.0 Hz, 2H), 7.50 (d, J = 8.4 Hz, 2H); MS (ESI): m/z calcd. for C23H25N2O3 [M+H]+ 377.2, found: 377.6.
The mixture of LiOH·H2O (67.0 mg, 1.60 mmol) and compound 21 (200 mg, 0.53 mmol) in THF (2 mL) and H2O (2 mL) was stirred at room temperature for 3 h. After removal of THF, the water layer was washed with EtOAc, acidified with HCl (1 M) to pH 2, filtered and dried to yield compound 24 (100 mg, 54%), mp 126.3–130.9 °C; 1H-NMR (DMSO-d6) δ: 1.94 (m, 2H), 2.39 (t, J = 7.2 Hz, 2H), 4.02 (t, J = 7.2 Hz, 2H), 5.36 (s, 1H), 6.60 (d, J = 7.2 Hz, 2H), 7.00 (d, J = 8.8 Hz, 2H), 7.09 (d, J = 8.0 Hz, 2H), 7.20 (dd, J = 7.6 Hz, 8.0 Hz, 2H), 7.55 (d, J = 8.4 Hz, 2H); MS (ESI): m/z calcd. for C21H21N2O3 [M+H]+ 349.2, found: 349.3. The following compounds were similarly prepared:
Ethyl 5-[4-(2,3-dihydro-1H-perimidin-2-yl)phenoxy]pentanoate (22). Yield = 40%, mp 93.8–96.4 °C; 1H-NMR (DMSO-d6) δ: 1.18 (t, J = 7.2 Hz, 3H),1.65–1.72 (m, 4H), 2.37 (t, J = 7.2 Hz, 2H), 3.98 (t, J = 6.0 Hz, 2H), 4.06 (q, J = 7.2 Hz, 2H), 5.29 (s, 1H), 6.47 (d, J = 7.2 Hz, 2H), 6.67 (s, 2H), 6.96 (d, J = 8.0 Hz, 4H), 7.13 (dd, J = 7.6 Hz, 8.0 Hz, 2H), 7.51 (d, J = 8.4 Hz, 2H); MS (ESI): m/z calcd. for C24H27N2O3 [M+H]+ 391.2, found: 391.3.
2-[4-(2,3-Dihydro-1H-perimidin-2-yl)phenoxy]acetic acid (23). Yield = 35%, mp > 265 °C; 1H-NMR (DMSO-d6) δ: 4.33 (m, 2H), 5.27 (s, 1H), 6.47 (d, J = 7.6 Hz, 2H), 6.66 (s, 2H), 6.89 (d, J = 8.4 Hz, 2H), 6.97 (d, J = 8.0 Hz, 2H), 7.14 (dd, J = 7.6 Hz, 8.0 Hz, 2H), 7.47 (d, J = 8.8 Hz, 2H); 13C-NMR (DMSO-d6) δ: 66.1, 67.0, 104.2, 114.3, 115.1, 126.8, 128.2, 128.8, 135.0, 143.3, 152.2, 158.8, 160.9; MS (ESI): m/z calcd. for C19H17N2O3 [M+H]+ 321.1, found: 321.1.
5-[4-(2,3-Dihydro-1H-perimidin-2-yl)phenoxy]pentanoic acid (25). Yield = 50%, mp 165.9–167.8 °C; 1H-NMR (DMSO-d6) δ: 1.63–1.75 (m, 4H), 2.29 (t, J = 7.2 Hz, 2H), 3.99 (t, J = 6.4 Hz, 2H), 5.32 (s, 1H), 6.52 (d, J = 7.2 Hz, 2H), 7.01 (m, 4H), 7.16 (t, J = 7.6 Hz, 2H), 7.51 (d, J = 8.8 Hz, 2H); MS (ESI): m/z calcd. for C22H23N2O3 [M+H]+ 363.2, found: 363.3.
3.1.5. General Procedure for the Preparation of Derivatives 26–33
A mixture of compound 8 (50 mg, 0.19 mmol), succinic acid monoethyl ester (27.7 mg, 0.19 mmol), EDCI (55.2 mg, 28.7 mmol) and DMAP (2.3 mg, 0.019 mmol) in DMF (2 mL) was stirred at 40 °C overnight. The reaction mixture was diluted with EtOAc (100 mL), washed with water (50 mL × 3), the organic layer was then processed in the usual way and chromatographed (1:1 petroleum ether/EtOAc) to yield compound 28 (30 mg, 41%), mp 165.8–170.9 °C; 1H-NMR (DMSO-d6) δ: 1.18 (t, J = 7.2 Hz, 3H), 2.57–2.63 (m, 4H), 4.06 (q, J = 7.2 Hz, 2H), 5.29 (s, 1H), 6.48 (d, J = 8.0 Hz, 2H), 6.67 (s, 2H), 6.97 (d, J = 8.0 Hz, 2H), 7.14 (dd, J = 7.6 Hz, 8.0 Hz, 2H), 7.51 (d, J = 8.4 Hz, 2H), 7.61 (d, J = 8.4 Hz, 2H); MS (ESI): m/z calcd. for C23H24N3O3 [M+H]+ 390.2, found: 390.0.
A mixture of compound 28 (30 mg, 0.077 mmol) and LiOH·H2O (9.7 mg, 0.23 mmol) in THF (2 mL) and H2O (2 mL) was stirred at room temperature for 3 h. After removal of THF, the water layer was washed with EtOAc, acidified with HCl (1 M) to pH 2, filtered and dried to get compound 32 (15 mg, 54%), mp > 265 °C; 1H-NMR (DMSO-d6) δ: 2.50–2.56 (m, 4H), 5.29 (s, 1H), 6.48 (d, J = 8.0 Hz, 2H), 6.67 (s, 2H), 6.97 (d, J = 8.0 Hz, 2H), 7.14 (dd, J = 7.6 Hz, 8.0 Hz, 2H), 7.50 (d, J = 8.4 Hz, 2H), 7.61 (d, J = 8.4 Hz, 2H), 10.14 (s, 1H), 12.10 (brs, 1H); MS (ESI): m/z calcd. for C21H20N3O3 [M+H]+ 362.2, found: 362.2. The following compounds were similarly prepared:
Ethyl 2-{[4-(2,3-dihydro-1H-perimidin-2-yl)phenyl]amino}-2-oxoacetate (26). Yield = 41%, mp 132.3–135.5 °C; 1H-NMR (DMSO-d6) δ: 1.32 (t, J = 7.2 Hz, 3H), 4.31 (q, J = 7.2 Hz, 2H), 5.32 (s, 1H), 6.48 (d, J = 7.6 Hz, 2H), 6.73 (s, 2H), 6.97 (d, J = 8.0 Hz, 2H), 7.14 (dd, J =7.6 Hz, 8.0 Hz, 2H), 7.57 (d, J = 8.4 Hz, 2H), 7.77 (d, J = 8.8 Hz, 2H), 10.86 (s, 1H); 13C-NMR (DMSO-d6) δ:13.8, 62.4, 65.9, 104.3, 112.4, 115.2, 120.3, 126.8, 128.3, 134.4, 137.6, 138.1, 143.0, 155.6, 160.7; MS (ESI): m/z calcd. for C21H20N3O3 [M+H]+ 362.1, found: 362.0.
Ethyl 3-{[4-(2,3-dihydro-1H-perimidin-2-yl)phenyl]amino}-3-oxopropanoate (27). Yield = 51%, mp 158.2–160.7 °C; 1H-NMR (DMSO-d6) δ: 1.21 (t, J = 7.2 Hz, 3H), 3.47 (s, 2H), 4.12 (q, J = 7.2 Hz, 2H), 5.30 (s, 1H), 6.48 (d, J = 8.0 Hz, 2H), 6.69 (s, 2H), 6.97 (d, J = 8.0 Hz, 2H), 7.14 (dd, J = 7.6 Hz, 8.0 Hz, 2H), 7.53 (d, J = 8.0 Hz, 2H), 7.61 (d, J = 8.4 Hz, 2H); MS (ESI): m/z calcd. for C22H22N3O3 [M+H]+ 376.2, found: 375.6.
Ethyl 5-{[4-(2,3-dihydro-1H-perimidin-2-yl]phenyl)amino}-5-oxopentanoate (29). Yield = 35%, mp 139.9–142.5 °C; 1H-NMR (DMSO-d6) δ: 1.19 (t, J = 7.2 Hz, 3H), 1.84 (m, 2H), 2.36 (m, 4H), 4.06 (q, J = 7.2 Hz, 2H), 5.29 (s, 1H), 6.48 (d, J = 7.2 Hz, 2H), 6.67 (s, 2H) , 6.97 (d, J = 8.0 Hz, 2H), 7.14 (t, J = 7.6 Hz, 2H), 7.51 (d, J = 8.4 Hz, 2H), 7.62 (d, J = 8.4 Hz, 2H), 9.97 (s, 1H); MS (ESI): m/z calcd. for C24H26N3O3 [M+H]+ 404.3, found: 404.1.
2-{[4-(2,3-Dihydro-1H-perimidin-2-yl)phenyl]amino}-2-oxoacetic acid (30). Yield = 35%, mp > 265 °C; 1HNMR (400MHz, DMSO-d6) δ: 5.32 (s, 1H), 6.48 (d, J = 7.2 Hz, 2H), 6.73(s, 2H), 6.97 (d, J = 8.4 Hz, 2H), 7.14 (dd, J = 7.6 Hz, 8.0 Hz, 2H), 7.56 (d, J = 8.4 Hz, 2H), 7.78 (d, J = 8.4 Hz, 2H), 10.79 (s, 1H).
3-{[4-(2,3-Dihydro-1H-perimidin-2-yl)phenyl]amino}-3-oxopropanoic acid (31). Yield = 52%, mp 221.3–223.4 °C; 1H-NMR (DMSO-d6) δ: 3.37 (s, 2H), 5.32 (s, 1H), 6.51 (d, J = 7.2 Hz, 2H), 7.00 (d, J = 8.0 Hz, 2H), 7.15 (dd, J = 7.6 Hz, 8.0 Hz, 2H), 7.54 (d, J = 8.4 Hz, 2H), 7.62 (d, J = 8.4 Hz, 2H), 10.24 (s, 1H); 13C-NMR (DMSO-d6) δ: 43.9, 66.3, 105.1, 112.7, 115.9, 118.4, 118.7, 126.8, 128.5, 134.3, 139.3, 142.3, 164.6, 169.2; MS (ESI): m/z calcd. for C20H18N3O3 [M+H]+ 348.1, found: 348.0.
5-{[4-(2,3-Dihydro-1H-perimidin-2-yl)phenyl]amino}-5-oxopentanoic acid (33). Yield = 56%, mp > 265 °C; 1H-NMR (DMSO-d6) δ: 1.80 (m, 2H), 2.26–2.45 (m, 4H), 5.29 (s, 1H), 6.48 (d, J = 7.2 Hz, 2H), 6.97 (d, J = 8.0 Hz, 2H), 7.14 (dd, J = 7.6 Hz, 8.0 Hz, 2H),7.50 (d, J = 8.8 Hz, 2H), 7.62 (d, J = 8.8 Hz, 2H), 10.00 (s, 1H); MS (ESI): m/z calcd. for C22H22N3O3 [M+H]+ 376.2, found: 376.1.
3.1.6. Procedure for the Preparation of Compound 34 and 35
A mixture of compound 8 (100 mg, 0.38 mmol), 3-tert-butoxycarbonylaminopropionic acid (72 mg, 0.38 mmol), EDCI (110 mg, 57 mmol) and DMAP (4.6 mg, 0.038 mmol) in DMF (4 mL) was stirred at 40 °C overnight. The reaction mixture was diluted with EtOAc (100 mL), washed with water (50 mL × 3), the organic layer was then processed in the usual way and chromatographed (2:1 petroleum ether/EtOAc) to yield compound 34 (72 mg, 43%), mp 111.1–113.7 °C; 1H-NMR (DMSO-d6) δ: 1.38 (s, 9H), 2.48 (m, 2H), 3.21 (m, 2H), 5.29 (s, 1H), 6.48 (d, J = 7.2 Hz, 2H), 6.68 (s, 2H), 6.90 (m, 1H), 6.97 (d, J = 8.0 Hz, 2H), 7.14 (dd, J = 7.6 Hz, 8.0 Hz, 2H), 7.51 (d, J = 8.4 Hz, 2H), 7.62 (d, J = 8.4 Hz, 2H), 10.01 (s, 1H); MS (ESI): m/z calcd. for C25H29N4O3 [M+H]+ 433.2, found: 433.1.
Trifluoroacetic acid (1 mL) was added slowly to the solution of compound 34 (50 mg, 0.12 mmol) in DCM (5 mL) at 0 °C. After stirred at room temperature for 5 h, the solution was concentrated to yield compound 35 (26 mg, 67%), mp 239.7–241.2 °C; 1H-NMR (DMSO-d6) δ: 2.72 (m, 2H), 3.12 (m, 2H), 5.31 (s, 1H), 6.48 (d, J = 7.2 Hz, 2H), 6.69 (s, 2H), 6.97 (d, J = 7.6 Hz, 2H), 7.14 (dd, J = 7.6 Hz, 8.0 Hz, 2H), 7.53 (d, J = 8.4 Hz, 2H), 7.63 (d, J = 8.8 Hz, 2H), 7.80 (brs, 2H), 10.25 (s, 1H); MS (ESI): m/z calcd. for C20H21N4O [M+H]+ 333.2, found: 333.0.
3.1.7. Procedure for the Preparation of Compounds 40–49
SOCl2 (28.5 mL, 0.24 mol) was added slowly to a stirred solution of compound 36 (10 g, 59.9 mmol) in methanol (100 mL) at 0 °C. After the addition, the solution was stirred at 80 °C for 4 h and then concentrated via rotary evaporator to get compound 37 (11.4 g, 98%). NaBH4 (2.4 g, 64 mmol) was added dropwise to the mixture of compound 37 (5 g, 25.6 mmol) and CaCl2 (11.4 g, 102.6 mmol) in THF (25 mL)/EtOH (25 mL) at 0 °C. After completion, the reaction was quenched with water. The aqueous phase was extracted with EtOAc. The combined organic phases were then processed in the usual way and chromatographed (1:1 petroleum ether/EtOAc) to yield compound 38 (2.5 g, 58%). Dess-Martin periodinane (3.0 g, 7.2 mmol) was added slowly to the mixture of compound 38 (1.0 g, 6.0 mmol) in DCM (10 mL). The resulting mixture continued to stir at room temperature overnight. The reaction was quenched with water. The aqueous phase was extracted with EtOAc. The combined organic phases were then processed in the usual way and chromatographed (3:1 petroleum ether/EtOAc) to yield compound 39 (0.85 g, 86%). To a stirred solution of compound 39 (0.3 g, 1.82 mmol) in methanol (5 mL) was added a solution of naphthalene-1,8-diamine (0.24 g, 1.52 mmol) in methanol (5 mL). Then Zn(OAc)2 (0.028 g, 0.128 mmol) was added and the mixture was stirred at room temperature for 16 h. The reaction mixture was filtered, the filter cake was washed with methanol, dried to get compound 40 (125 mg, 27%), mp 92.3–94.8 °C. 1H-NMR (DMSO-d6) δ: 3.88 (s, 3H), 5.50 (s, 1H), 6.54 (d, J = 7.6 Hz, 2H), 6.98 (d, J = 8.0 Hz, 2H), 7.08 (s, 2H), 7.16 (dd, J = 7.6 Hz, 8.0 Hz, 2H), 7.67 (d, J = 8.0 Hz, 1H), 8.31 (dd, J = 2.0 Hz, 8.0 Hz, 1H), 9.08 (d, J = 2.0 Hz, 1H); MS (ESI): m/z calcd. for C18H16N3O2 [M+H]+ 306.1, found: 306.2.
LiOH·H2O (21.6 mg, 0.49 mmol) was added to a solution of compound 40 (50 mg, 0.16 mmol) in THF (2 mL) and H2O (1 mL), then the mixture was stirred at room temperature for 3 h. After removal of the THF, the water layer was washed with EtOAc, acidified with HCl (1 M) to pH 2, filtered and dried to yield compound 41 (20 mg, 43%), mp 100.7–101.3 °C. 1H-NMR (DMSO-d6) δ: 5.50 (s, 1H), 6.55 (d, J = 7.2 Hz, 2H), 6.98 (d, J = 8.0 Hz, 2H), 7.16 (dd, J = 7.6 Hz, 8.0 Hz, 2H), 7.66 (d, J = 8.0 Hz, 1H), 8.29 (dd, J = 2.0 Hz, 8.0 Hz, 1H), 9.07 (d, J = 1.2 Hz, 1H); 13C-NMR (DMSO-d6) δ: 66.2, 104.9, 112.3, 115.6, 121.0, 126.2, 127.0, 134.2, 138.1, 141.3, 149.4, 164.8, 165.9; MS (ESI): m/z calcd. for C17H14N3O2 [M+H]+ 292.1, found: 292.5.
To a stirred solution of compound 41 (500 mg, 1.72 mmol) in DMF (10 mL) was added methyl glycinate (230 mg, 2.6 mmol), followed by EDCI (500 mg, 2.5 mmol) and DMAP (21 mg, 0.17 mmol). The mixture was stirred at 40 °C overnight. The reaction was diluted with EtOAc (100 mL), washed with water (200 mL × 3). The combined organic phases were then processed in the usual way and chromatographed (2:1 petroleum ether/EtOAc) to yield compound 42 (249 mg, 40%), mp 183.6–184.7 °C. 1H-NMR (DMSO-d6) δ: 3.66 (s, 3H), 4.04 (d, J = 6.0 Hz, 2H), 5.49 (s, 1H), 6.55 (d, J = 7.2 Hz, 2H), 6.98 (d, J = 8.0 Hz, 2H), 7.04 (s, 2H), 7.16 (dd, J = 7.6 Hz, 8.0 Hz, 2H), 7.65 (d, J = 8.0 Hz, 1H), 8.21 (dd, J = 2.0 Hz, 8.0 Hz, 1H), 9.01 (d, J = 1.6 Hz, 1H), 9.19 (t, J = 5.6 Hz, 1H); MS (ESI): m/z calcd. for C20H19N4O3 [M+H]+ 363.1, found: 363.3.
LiOH·H2O (52 mg, 1.2mmol) was added to a solution of compound 42 (150 mg, 0.41 mmol) in THF (2 mL)/H2O (2 mL).The reaction was stirred at room temperature for 3 h. After removal of THF, the water layer was washed with EtOAc, acidified with HCl (1 M) to pH = 2, filtered and dried to get compound 46 (60 mg, 42%), mp 103.5–107.3 °C. 1H-NMR (DMSO-d6) δ: 3.95 (d, J = 6.0 Hz, 2H), 5.48 (s, 1H), 6.55 (d, J = 7.6 Hz, 2H), 6.98 (d, J = 8.4 Hz, 2H), 7.04 (s, 2H), 7.16 (dd, J = 7.6 Hz, 8.4 Hz, 2H), 7.65 (d, J = 8.4 Hz, 1H), 8.22 (dd, J = 2.0 Hz, 8.4 Hz, 1H), 9.01 (d, J = 1.6 Hz, 1H), 9.08 (t, J = 6.0 Hz, 1H), 12.68 (brs, 1H); 13C-NMR (DMSO-d6) δ: 41.2, 66.4, 104.6, 112.3, 115.4, 120.6, 127.0, 128.8, 134.2, 135.8, 141.7, 147.7, 163.7, 164.9, 171.0; MS (ESI): m/z calcd. for C19H17N4O3[M+H]+ 349.1, found: 349.3. The following compounds were similarly prepared:
Methyl 4-[6-(2,3-dihydro-1H-perimidin-2-yl)nicotinamido]butanoate (43). Yield = 52%, mp 100.1–105.4 °C; 1H-NMR (DMSO-d6) δ: 1.78 (m, 2H), 2.37 (t, J = 7.2 Hz, 2H), 3.28 (m, 2H), 3.57 (s, 3H), 5.47 (s, 1H), 6.54 (d, J = 7.2 Hz, 2H), 6.97 (d, J = 8.0 Hz, 2H), 7.03 (s, 2H), 7.15 (dd, J = 7.6 Hz, 8.0 Hz, 2H), 7.62 (d, J = 8.0 Hz, 1H), 8.17 (dd, J = 2.0 Hz, 8.0 Hz, 1H), 8.67 (t, J = 5.2 Hz, 1H), 8.97 (d, J = 1.6 Hz, 1H); MS (ESI): m/z calcd. for C22H23N4O3 [M+H]+ 391.2, found: 391.4.
Ethyl 5-[6-(2,3-dihydro-1H-perimidin-2-yl)nicotinamido]pentanoate (44). Yield = 60%, mp 109.4–113.5 °C; 1H-NMR (DMSO-d6) δ: 1.16 (t, J = 6.8 Hz, 3H), 1.54 (m, 4H), 2.32 (m, 2H), 3.26 (m, 2H), 4.03 (q, J = 6.8 Hz, 2H), 5.47 (s, 1H), 6.54 (d, J = 7.2 Hz, 2H), 6.97 (d, J = 8.0 Hz, 2H), 7.03 (s, 2H), 7.15 (dd, J = 7.6 Hz, 8.0 Hz, 2H), 7.62 (d, J = 8.4 Hz, 1H), 8.16 (dd, J= 2.0 Hz, 8.0 Hz, 1H), 8.65 (t, J = 5.6 Hz, 1H), 8.96 (d, J = 1.6 Hz, 1H); MS (ESI): m/z calcd. for C24H27N4O3 [M+H]+ 419.2, found: 419.1.
Ethyl 6-[6-(2,3-dihydro-1H-perimidin-2-yl)nicotinamido]hexanoate (45). Yield = 44%, mp 119.3–123.8 °C; 1H-NMR (DMSO-d6) δ: 1.15 (t, J = 7.2 Hz, 3H), 1.23–1.34 (m, 2H), 1.49–1.56 (m, 4H), 2.26–2.30 (m, 2H), 3.22–3.27 (m, 2H), 4.02 (q, J = 7.2 Hz, 2H), 5.47 (s, 1H), 6.45 (d, J = 7.2 Hz, 2H), 6.97 (d, J = 8.0 Hz, 2H), 7.03 (s, 2H), 7.15 (dd, J = 7.6 Hz, 8.0 Hz, 2H), 7.61 (d, J = 8.0 Hz, 1H), 8.16 (d, J = 2.0 Hz, 8.0 Hz, 1H), 8.62 (t, J = 5.6 Hz, 1H), 8.96 (d, J = 1.6 Hz, 1H); MS (ESI): m/z calcd. for C25H29N4O3 [M+H]+ 433.2, found: 433.2.
4-[6-(2,3-Dihydro-1H-perimidin-2-yl)nicotinamido]butanoic acid (47). Yield = 50%, mp 95.3–99.0 °C; 1H-NMR (DMSO-d6) δ: 1.72 (m, 2H), 2.21 (t, J = 6.8 Hz, 2H), 3.26 (m, 2H), 5.47 (s, 1H), 6.54 (d, J = 7.2 Hz, 2H), 6.97 (d, J = 8.4 Hz, 2H), 7.02 (s, 2H), 7.15 (t, J = 7.6 Hz, 2H), 7.61 (d, J = 8.4 Hz, 1H), 8.19 (dd, J = 1.6 Hz, 8.0 Hz, 1H), 8.99 (s, 1H), 9.33 (brs, 1H); 13C-NMR (DMSO-d6) δ: 24.6, 32.6, 39.2, 66.3, 104.6, 112.3, 115.4, 120.4, 126.9, 129.5, 134.2, 135.7, 141.7, 147.6, 163.3, 164.4, 175.0; MS (ESI): m/z calcd. for C21H21N4O3 [M+H]+ 377.2, found: 377.1.
5-[6-(2,3-Dihydro-1H-perimidin-2-yl)nicotinamido]pentanoic acid (48). Yield = 46%, mp 117.1–120.3 °C; 1H-NMR (DMSO-d6) δ: 1.54 (m, 4H), 2.24 (m, 2H), 3.25 (m, 2H), 5.47 (s, 1H), 6.54 (d, J = 7.2 Hz, 2H), 6.97 (d, J = 8.0 Hz, 2H), 7.02 (s, 2H), 7.15 (t, J = 7.6 Hz, 2H), 7.62 (d, J = 8.0 Hz, 1H), 8.17 (d, J = 8.0 Hz, 1H), 8.65 (t, J = 5.2 Hz, 1H), 8.97 (s, 1H), 12.03 (brs, 1H); 13C-NMR (DMSO-d6) δ: 22.1, 28.5, 33.4, 39.0, 66.3, 104.7, 112.4, 115.5, 120.6, 127.0, 129.5, 134.3, 135.8, 141.7, 147.6, 163.4, 164.6, 174.5; MS (ESI): m/z calcd. for C22H23N4O3 [M+H]+ 391.2, found: 391.4.
6-[6-(2,3-Dihydro-1H-perimidin-2-yl)nicotinamido]hexanoic acid (49). Yield = 48%, mp 86.7–88.4 °C; 1H-NMR (DMSO-d6) δ: 1.23–1.34 (m, 2H), 1.48–1.57 (m, 4H), 2.20 (t, J = 7.2 Hz, 2H), 3.24 (m, 2H), 5.48 (s, 1H), 6.55 (d, J = 7.2 Hz, 2H), 6.97 (d, J = 8.0 Hz, 2H), 7.15 (dd, J = 7.6 Hz, 8.0 Hz, 2H), 7.62 (d, J = 8.0 Hz, 1H), 8.17 (dd, J = 2.0 Hz, 8.0 Hz, 1H), 8.64 (t, J = 5.6 Hz, 1H), 8.96 (d, J = 1.6 Hz, 1H); 13C-NMR (DMSO-d6) δ:24.3, 26.1, 28.7, 33.7, 39.2, 66.3, 104.8, 112.2, 115.6, 120.3, 127.0, 128.6, 134.9, 135.9, 141.6, 147.8, 163.4, 164.5, 174.5; MS (ESI): m/z calcd. for C23H25N4O3 [M+H]+ 405.2, found: 405.3.
3.2. PTP1B and Related PTPs Biological Assay
A colorimetric assay to measure inhibition against PTP1B and TCPTP was performed in 96-well plates. Briefly, the tested compounds were solubilized in DMSO and serially diluted into concentrations for the inhibitory test. The assays were carried out in a final volume of 100 μL containing 50 mmol/L MOPS, pH 6.5, 2 mmol/L pNPP, 30 nmol/L GST-PTP1B or GST-TCPTP,and 2% DMSO, and the catalysis of pNPP was continuously monitored on a SpectraMax 340 microplate reader at 405 nm for 3 min at 30 °C. The IC50 value was calculated from the nonlinear curve fitting of the percent inhibition [inhibition (%)] vs. the inhibitor concentration using the Equation (1):
where k is the Hill coefficient. To study the inhibition on the other PTPase family members, SHP1, SHP2 and LAR were prepared and assays were performed according to procedures described previously [24,25]. Briefly, the enzymatic activity of the SHP1, SHP2 and LARwere determined at 30 °C by monitoring the dephosphorylation of substrate 3-o-methylfluorescein phosphate (OMFP), product was then detected at a 485 nm excitation wavelength and 530 nm emission wavelength by the EnVision multilabe plate reader (Perkin-Elmer Life Sciences, Boston, MA, USA). The assays were carried out in a final volume of 50 μL containing 50 mmol/L MOPS, pH 6.8, 10 μmol/L OMFP, 20 nmol/L recombinant enzyme, 2 mmol/L dithiothreitol , 1 mmol/L EDTA, and 2% DMSO. The initial rate of the dephosphorylation was presented by the early linear region of the enzymatic reaction kinetic curve, the inhibitory activity of the compound was continuously monitored.
Inhibition (%) = 100/[1 + (IC50/[I]k)]
3.3. Characterization of the Inhibitor on Enzyme Kinetics [25]
In the fast-binding inhibition experiment, PTP1B were preincubated with compounds (2% DMSO) on the ice for different times, and then add 10 μL mixture of enzyme and compounds to 90 μL assay system. To characterize the inhibitor of PTP1B, the assay was carried out in a 100 μL system containing 50 mmol/L MOPS, pH 6.5, 14 nmol/L PTP1B, pNPP in 2-fold dilution from 80 mmol/L, and different concentrations of the inhibitor. In the presence of the competitive inhibitor, the Michaelis-Menten equation is described as Equation (2):
where Km is the Michaelis constant, v is the initial rate, Vmax is the maximum rate, and [S] is the substrate concentration. The Ki value was obtained by the linear replot of apparent Km/Vmax (slope) from the primary reciprocal plot versus the inhibitor concentration [I] according to the equation Km/Vmax = 1 + [I]/Ki.
1/ν = [Kmax[S])] × (1 + [I]/Ki) + 1/Vmax)]
3.4. Cellular Activity of Compound 46
CHO/hIR cells were cultured in F12 nutrient medium including 10% (V/V) FBS, 100 units/mL penicillin and 100 μg/mL streptomycin with 5% CO2 at 37 °C. Cells were serum free starved for 2 h, and then treated with compounds for 3 h, followed with insulin (10 nM, Eli Lilly) for 10 min before harvested. Cells were rinsed twice with precooled 1× PBS and then lysed with 1× SDS loading buffer. Samples were heated at 100 °C for 15 min before electrophoresed with 8% SDS-polyarylamide gel under 80 to 120 volt voltage, and then transferred to nitrocellulose (NC) membranes. NC membranes were blocked for 2 h with 5% BSA (W/V) dissolved in TBST. The membranes incubated with primary antibodies overnight at 4 °C and secondary antibodies for 1 h at room temperature. The primary antibody p-Tyr (PY20) used was from Santa Cruz (Dallas, CA, USA) and β-actin from Sigma (St. Louis, MO, USA), secondary antibody was from Jackson Immuno Research (Philadelphia, PA, USA).
4. Conclusions
In conclusion, a series of 1H-2,3-dihydroperimidine derivatives were synthesized and identified as PTP1B inhibitors with IC50 in the micromolar range. After performing systematic SAR studies, we identified two compounds with IC50 values less than 1 μM. Among these, the representative compounds had no visible activities against receptor-like transmembrane LAR. Compound 46 possessed about 9-fold selectivity for PTP1B over SHP-1 and SHP-2, respectively. More importantly, compound 46 exhibited 3.48-fold selectivity for PTP1B over TCPTP, and cellular activity for protection of phosphorylation of IR. These results provide a possible opportunity for the development of novel PTP1B inhibitors with promising cell permeability, bioavailability, and improved pharmacological properties.
Acknowledgments
This work was supported by National Natural Science Foundation of China (81125023), the State Key Laboratory of Drug Research (SIMM1302KF-05) and the Fundamental Research Funds for the Central Universities (JUSRP1040).
Conflicts of Interest
The authors declare no conflict of interest.
References
- Hunter, T. Tyrosine phosphorylation: Thirty years and counting. Curr. Opin. Cell Biol. 2009, 21, 140–146. [Google Scholar]
- Zhang, Z.Y. Protein tyrosine phosphatases: Prospects for therapeutics. Curr. Opin. Chem. Biol. 2001, 5, 416–423. [Google Scholar] [CrossRef]
- Julien, S.G.; Dube, N.; Hardy, S.; Tremblay, M.L. Inside the human cancer tyrosine phosphatome. Nat. Rev. Cancer 2011, 11, 35–49. [Google Scholar] [CrossRef]
- Zhang, J.; Yang, P.L.; Gray, N.S. Targeting cancer with small molecule kinase inhibitors. Nat. Rev. Cancer 2009, 9, 28–39. [Google Scholar] [CrossRef]
- Knight, Z.A.; Lin, H.; Shokat, K.M. Targeting the cancer kinome through polypharmacology. Nat. Rev. Cancer 2010, 10, 130–137. [Google Scholar] [CrossRef]
- Kim, S.J.; Ryu, S.E. Structure and catalytic mechanism of human protein tyrosine phosphatome. BMB Rep. 2012, 45, 693–699. [Google Scholar] [CrossRef]
- Tonks, N.K. Protein tyrosine phosphatases-from housekeeping enzymes to master regulators of signal transduction. FEBS J. 2013, 280, 346–378. [Google Scholar] [CrossRef]
- Janne, P.A.; Gray, N.; Settleman, J. Factors underlying sensitivity of cancers to small-molecule kinase inhibitors. Nat. Rev. Drug. Discov. 2009, 8, 709–723. [Google Scholar] [CrossRef]
- He, Y.; Liu, S.; Menon, A.; Stanford, S.; Oppong, E.; Gunawan, A.M.; Wu, L.; Wu, D.J.; Barrios, A.M.; Bottini, N.; et al. A potent and selective small-molecule inhibitor for the lymphoid-specific tyrosine phosphatase (LYP), a target associated with autoimmune diseases. J. Med. Chem. 2013, 56, 4990–5008. [Google Scholar] [CrossRef]
- Moller, D.E. New drug targets for type 2 diabetes and the metabolic syndrome. Nature 2001, 414, 821–827. [Google Scholar] [CrossRef]
- Elchebly, M.; Payette, P.; Michaliszyn, E.; Cromlish, W.; Collins, S.; Loy, A.L.; Normandin, D.; Cheng, A.; Himms-Hagen, J.; Chan, C.C.; et al. Increased insulin sensitivity and obesity resistance in mice lacking the protein tyrosine phosphatase-1B gene. Science 1999, 283, 1544–1548. [Google Scholar] [CrossRef]
- Klaman, L.D.; Boss, O.; Peroni, O.D.; Kim, J.K.; Martino, J.L.; Zabolotny, J.M.; Moghal, N.; Lubkin, M.; Kim, Y.B.; Sharpe, A.H.; et al. Increased energy expenditure, decreased adiposity, and tissue-specific insulin sensitivity in protein-tyrosine phosphatase 1B-deficient mice. Mol. Cell Biol. 2000, 20, 5479–5489. [Google Scholar] [CrossRef]
- Lessard, L.; Stuible, M.; Tremblay, M.L. The two faces of PTP1B in cancer. Biochim. Biophys. Acta 2010, 1804, 613–619. [Google Scholar] [CrossRef]
- Yip, S.C.; Saha, S.; Chernoff, J. PTP1B: A double agent in metabolism and oncogenesis. Trends Biochem. Sci. 2010, 35, 442–449. [Google Scholar]
- He, R.; Zeng, L.F.; He, Y.; Zhang, S.; Zhang, Z.Y. Small molecule tools for functional interrogation of protein tyrosine phosphatases. FEBS J. 2013, 280, 731–750. [Google Scholar] [CrossRef]
- Sobhia, M.E.; Paul, S.; Shinde, R.; Potluri, M.; Gundam, V.; Kaur, A.; Haokip, T. Protein tyrosine phosphatase inhibitors: A patent review (2002–2011). Expert Opin. Ther. Pat. 2012, 22, 125–153. [Google Scholar] [CrossRef]
- Barr, A.J. Protein tyrosine phosphatases as drug targets: Strategies and challenges of inhibitor development. Future Med. Chem. 2010, 2, 1563–1576. [Google Scholar] [CrossRef]
- Erbe, D.V.; Wang, S.; Zhang, Y.L.; Harding, K.; Kung, L.; Tam, M.; Stolz, L.; Xing, Y.; Furey, S.; Qadri, A.; et al. Ertiprotafib improves glycemic control and lowers lipids via multiple mechanisms. Mol. Pharmacol. 2005, 67, 69–77. [Google Scholar] [CrossRef]
- Lantz, K.A.; Hart, S.G.; Planey, S.L.; Roitman, M.F.; Ruiz-White, I.A.; Wolfe, H.R.; McLane, M.P. Inhibition of PTP1B by trodusquemine (MSI-1436) causes fat-specific weight loss in diet-induced obese mice. Obesity 2010, 18, 1516–1523. [Google Scholar] [CrossRef]
- Dai, H.L.; Gao, L.X.; Yang, Y.; Li, J.Y.; Cheng, J.G.; Li, J.; Wen, R.; Peng, Y.Q.; Zheng, J.B. Discovery of di-indolinone as a novel scaffold for protein tyrosine phosphatase 1B inhibitors. Bioorg. Med. Chem. Lett. 2012, 22, 7440–7443. [Google Scholar] [CrossRef]
- Iversen, L.F.; Moller, K.B.; Pedersen, A.K.; Peters, G.H.; Petersen, A.S.; Andersen, H.S.; Branner, S.; Mortensen, S.B.; Moller, N.P. Structure determination of T cell protein-tyrosine phosphatase. J. Biol. Chem. 2002, 277, 19982–19990. [Google Scholar] [CrossRef]
- Belmonte, M.M.; Escudero-Adán, E.C.; Benet-Buchholz, J.; Haak, R.M.; Kleij, A.W. Facile synthesis of substituted Mono-, Di-, Tri- and Tetra-2-aryl-2,3-dihydro-1H-perimidines. Eur. J. Org. Chem. 2010, 4823–4831. [Google Scholar]
- Chong, H.S.; Torti, S.V.; Ma, R.; Torti, F.M.; Brechbiel, M.W. Synthesis and potent antitumor activities of novel 1,3,5-cis,cis-triaminocyclohexane N-pyridyl derivatives. J. Med. Chem. 2004, 47, 5230–5234. [Google Scholar] [CrossRef]
- Shi, L.; Yu, H.P.; Zhou, Y.Y.; Du, J.Q.; Shen, Q.; Li, J.Y.; Li, J. Discovery of a novel competitive inhibitor of PTP1B by high-throughput screening. Acta Pharmacol. Sin. 2008, 29, 278–284. [Google Scholar] [CrossRef]
- Zhang, W.; Hong, D.; Zhou, Y.; Zhang, Y.; Shen, Q.; Li, J.Y.; Hu, L.H.; Li, J. Ursolic acid and its derivative inhibit protein tyrosine phosphatase 1B, enhancing insulin receptor phosphorylation and stimulating glucose uptake. Biochim. Biophys. Acta 2006, 1760, 1505–1512. [Google Scholar]
- McGovern, S.L.; Helfand, B.T.; Feng, B.; Shoichet, B.K. A specific mechanism of nonspecific inhibition. J. Med. Chem. 2003, 46, 4265–4272. [Google Scholar] [CrossRef]
- Sample Availability: Samples of the compounds 1–6, 8–19, 21–35 and 40–49 are available from the authors.
© 2013 by the authors. Licensee MDPI, Basel, Switzerland. This article is an open access article distributed under the terms and conditions of the Creative Commons Attribution license ( http://creativecommons.org/licenses/by/3.0/).
































