Sign in to use this feature.

Years

Between: -

Subjects

remove_circle_outline
remove_circle_outline
remove_circle_outline
remove_circle_outline
remove_circle_outline
remove_circle_outline
remove_circle_outline
remove_circle_outline
remove_circle_outline

Journals

remove_circle_outline
remove_circle_outline
remove_circle_outline
remove_circle_outline
remove_circle_outline

Article Types

Countries / Regions

remove_circle_outline
remove_circle_outline

Search Results (713)

Search Parameters:
Keywords = panax

Order results
Result details
Results per page
Select all
Export citation of selected articles as:
18 pages, 2659 KB  
Article
Blackened Panax quinquefolius L. Saponins and Their Cytotoxic Effect on HepG2 Cells
by Yuanyuan Tian, Jiaqi Gao, Yongqi Liu and Rui Liu
Molecules 2026, 31(7), 1173; https://doi.org/10.3390/molecules31071173 - 1 Apr 2026
Viewed by 381
Abstract
In the present work, the blackening process of Panax quinquefolius L. (PQ) was systematically investigated at temperatures of 70–90 °C, relative humidities (RHs) of 70–85%, and treatment times of 0–14 days. Ginsenoside compositions and transformation pathways were analyzed by high-performance liquid chromatography (HPLC) [...] Read more.
In the present work, the blackening process of Panax quinquefolius L. (PQ) was systematically investigated at temperatures of 70–90 °C, relative humidities (RHs) of 70–85%, and treatment times of 0–14 days. Ginsenoside compositions and transformation pathways were analyzed by high-performance liquid chromatography (HPLC) and liquid chromatography coupled with ion trap time-of-flight tandem mass spectrometry (LC-IT-TOF-MS/MS). The results demonstrated that blackening treatment significantly increased total saponin content from 2.72% to 5.73% after being treated at 80 °C and 70% RH for 12 days, accompanied by the highest conversion efficiencies for newly generated ginsenosides Rk1 (8.89 mg/g) and Rg5 (17.69 mg/g). Furthermore, compared with untreated PQ saponins (PQS), the blackened PQ saponins treated under optimal conditions (BPQS) exhibited superior 1,1-diphenyl-2-picrylhydrazyl (DPPH) and 2,2′-azino-bis(3-ethylbenzothiazoline-6-sulfonic acid) cation (ABTS+) radical scavenging activities, with IC50 values of 0.2999 mg/mL and 0.2640 mg/mL, respectively, as well as stronger reducing power. Meanwhile, BPQS exhibited higher cytotoxicity toward HepG2 cells and effectively inhibited cell survival and proliferation by promoting the expression of apoptosis-related proteins, including caspase 3 and caspase 9. Our findings indicate that BPQS may be a functional ingredient suitable for use in dietary supplements and disease chemoprevention. Full article
Show Figures

Figure 1

22 pages, 8639 KB  
Article
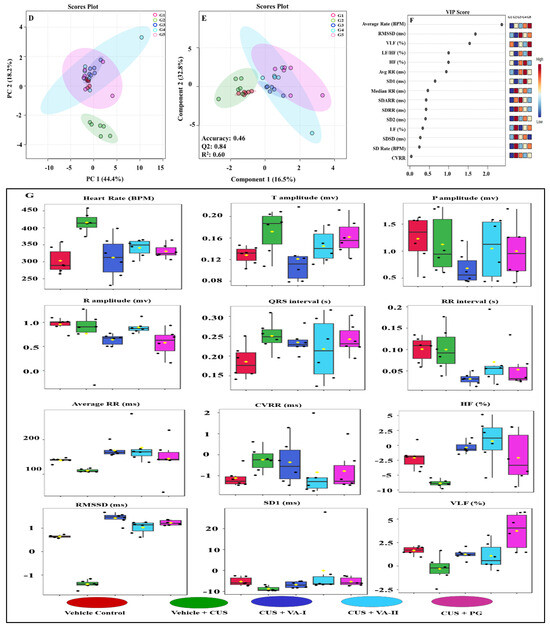
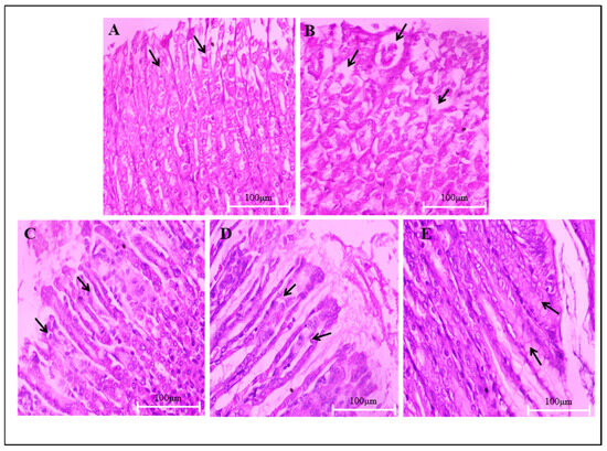
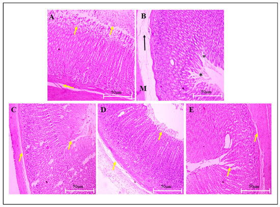
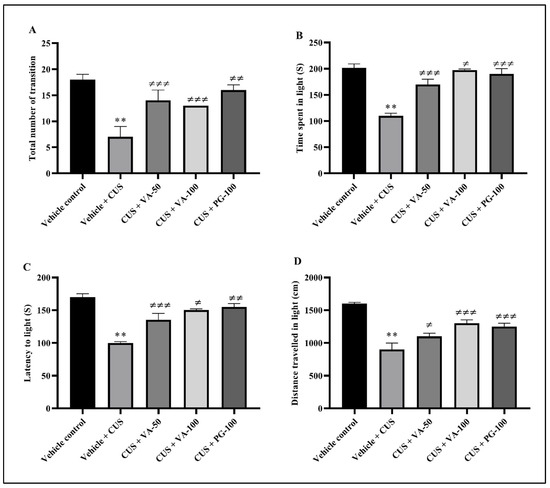
Ameliorative Effect of Valeric Acid Against Psychophysiological Chronic Unpredictable Stress
by Bindu Kumari, Gireesh Kumar Singh, Gyan Prakash Modi, Hitesh Harsukhbhai Chandpa, Ravi Bhushan Singh, Geeta Rai, Khushbu Priya and Dhananjay Kumar Singh
Biomedicines 2026, 14(4), 795; https://doi.org/10.3390/biomedicines14040795 - 31 Mar 2026
Viewed by 275
Abstract
Background: Chronic unpredictable stress triggers various pathological and metabolic alterations by modulating psychophysiological balance. Valeric acid (VA), a postbiotic material, has been reported to mitigate stress-induced behavioral changes in rodents. Objectives: To investigate the protective effect of valeric acid against chronic [...] Read more.
Background: Chronic unpredictable stress triggers various pathological and metabolic alterations by modulating psychophysiological balance. Valeric acid (VA), a postbiotic material, has been reported to mitigate stress-induced behavioral changes in rodents. Objectives: To investigate the protective effect of valeric acid against chronic unpredictable stress in a rodent model by assessing neuro-physiological alterations along with changes in biochemical parameters to confirm the possible mechanism. Methods: A 14-day chronic unpredictable stress (CUS) model in albino Wistar rats was developed to check the stress-induced changes using forced swim test, tail suspension test and sexual behavior observation. Quantification of IL-6, TNF-α, IL-1β, plasma corticosterone level and oxidative stress parameters were also done. Results: Findings revealed the protective effects of valeric acid against CUS, which reversed the depression caused by a forced swim and tail suspension test in rats. Proinflammatory and oxidative stress markers were significantly (p < 0.05) restored in CUS rats treated with valeric acid as compared with the vehicle control, which was comparable to the standard drug, Panax ginseng. Conclusions: The present study concludes that valeric acid demonstrated significant (p < 0.05) anti-stress effect by modulating both behavioral responses and stress-related biochemical modifications. Full article
(This article belongs to the Section Cell Biology and Pathology)
Show Figures

Graphical abstract

33 pages, 5068 KB  
Review
The Potential of Plant-Derived Foods to Treat Glaucoma: A Review
by Jinze Liu and Zhongmei He
Nutrients 2026, 18(7), 1080; https://doi.org/10.3390/nu18071080 - 27 Mar 2026
Viewed by 513
Abstract
Glaucoma, characterized by progressive retinal ganglion cell degeneration and optic nerve damage, is the leading cause of irreversible blindness worldwide. Multiple risk factors influence the pathogenesis and progression of glaucoma. Food-derived bioactive components have emerged as a new area of interest to overcome [...] Read more.
Glaucoma, characterized by progressive retinal ganglion cell degeneration and optic nerve damage, is the leading cause of irreversible blindness worldwide. Multiple risk factors influence the pathogenesis and progression of glaucoma. Food-derived bioactive components have emerged as a new area of interest to overcome the limitations of current standard treatments due to their antioxidant and anti-inflammatory activities and multi-target mechanisms. In this context, various plant-derived foods, such as Lycium barbarum, Ganoderma lucidum, Cryptotanshinone, Scutellaria baicalensis, Silybum marianum, Astragalus membranaceus, Ginkgo biloba, Panax ginseng, Crocus sativus, and resveratrol, have shown potential mechanisms for treating glaucoma. These bioactive components may address oxidative damage, neuroinflammation, and elevated intraocular pressure, which may be due to the modulation of multiple signaling pathways, including JAK2/STAT3, PI3K/AKT, MEK/ERK/CREB, cAMP/PKA/CREB, and others. However, further clinical trials are needed to validate dosage, bioavailability, and long-term safety. This review highlights the potential of bioactive components from plant-derived foods, offering a reference for further investigation into their effects on glaucoma. Full article
(This article belongs to the Section Phytochemicals and Human Health)
Show Figures

Graphical abstract

16 pages, 2790 KB  
Article
Selection, Isolation, and Characterization of Bacteriophage MA9V-3 from Chryseobacterium indologenes MA9
by Jinmei Chai, Qian Zhou, Yangjian Xiang, He Zou and Yunlin Wei
Viruses 2026, 18(4), 413; https://doi.org/10.3390/v18040413 - 27 Mar 2026
Viewed by 384
Abstract
Chryseobacterium indologenes MA9 is a causative agent of root rot disease in Panax notoginseng (P. notoginseng), with its high incidence being a major manifestation of continuous cropping barriers, severely hindering the sustainable development of the P. notoginseng industry. In this study, a [...] Read more.
Chryseobacterium indologenes MA9 is a causative agent of root rot disease in Panax notoginseng (P. notoginseng), with its high incidence being a major manifestation of continuous cropping barriers, severely hindering the sustainable development of the P. notoginseng industry. In this study, a novel lytic bacteriophage, MA9V-3, was isolated from wastewater, targeting C. indologenes MA9. The phage produced clear plaques, ranging from 1 to 3 mm in diameter, with a surrounding halo. Phage MA9V-3 achieved an adsorption rate of up to 80% after 30 min of contact with C. indologenes MA9, a latent period of approximately 40 min, and an average burst-size if 160 PFU/cell. Transmission electron microscopy revealed that phage MA9V-3 possesses an icosahedral head and a contractile tail, exhibiting a typical myovirus-like morphology. According to the latest ICTV taxonomy, MA9V-3 belongs to the class Caudoviricetes, and the phage’s biocontrol efficacy and inhibitory capacity were evaluated at different multiplicity of infection (MOI s). The results showed that the highest titer recorded at 1.6 × 1010 PFU/mL. Whole-genome sequencing revealed that MA9V-3 is a double-stranded circular DNA virus, with a genome length of 103,203 bp, GC content of 34.29%, and 150 open reading frames (ORFs), one of which is related to tRNA. Only 13 of these ORFs encode known functional sequences, likely due to the limited available gene data for such phages in the database, with additional details on hypothetical proteins yet to be uncovered. Comparative database analysis confirmed that the phage genome contains no antibiotic resistance or toxin-related genes. Phage therapy experiments were performed using MA9V-3 and two other phages screened in our laboratory. The experimental results showed that phage MA9V-3 may be a potential candidate for effectively controlling the infection of Panax notoginseng by C. indologenes MA9, and offering valuable insights into the potential application of phage therapy for managing bacterial plant diseases. Full article
(This article belongs to the Section Bacterial Viruses)
Show Figures

Figure 1

20 pages, 13290 KB  
Article
NGR1 Ameliorates Hepatocyte Steatosis and Mitochondrial Dysfunction Associated with the Restoration of NDUFS2
by Min Liu, Dongsheng Liu, Qian Zhang, Rui Zhang, Jiye Aa, Guangji Wang and Yuan Xie
Pharmaceuticals 2026, 19(4), 524; https://doi.org/10.3390/ph19040524 - 24 Mar 2026
Viewed by 273
Abstract
Background: Metabolic disorder-associated fatty liver disease (MASLD) is closely related to obesity and type 2 diabetes. Its pathogenesis involves many factors, including mitochondrial dysfunction, endoplasmic reticulum stress and intestinal flora disorders. Notoginsenoside R1 (NGR1) is a key bioactive component of Panax notoginseng. [...] Read more.
Background: Metabolic disorder-associated fatty liver disease (MASLD) is closely related to obesity and type 2 diabetes. Its pathogenesis involves many factors, including mitochondrial dysfunction, endoplasmic reticulum stress and intestinal flora disorders. Notoginsenoside R1 (NGR1) is a key bioactive component of Panax notoginseng. The purpose of this study was to investigate the therapeutic effect of notoginsenoside R1 (NGR1) on metabolic disorder-associated steatohepatitis (MASH) and its potential mechanism. Methods: Mice were fed a choline-deficient, L-amino acid-defined high-fat diet (CDAHFD) for 6 weeks and received NGR1 (50/100 mg/kg/day) in the last 3 weeks. The role of NGR1 was evaluated by developing metabolomics, proteomics and functional analysis. In addition, the effects of NGR1 on lipid droplet content, mitochondrial function and fatty acid oxidation in hepatocytes were also verified. Results: NGR1 improved MASH progression in CDAHFD-fed mice, significantly reduced liver triglyceride content from 31.2 ± 5.1 mmol/g to 20.5 ± 4.8 mg/g (p < 0.001), free fatty acid from 0.12 ± 0.03 mmol/g prot to 0.06 ± 0.028 mg/g (p < 0.001), TNF-α (p < 0.01), IL-1β (p < 0.001), α-SMA (p < 0.05) and Collagen1A1 levels (p < 0.01), as well as serum ALT and AST concentrations (p < 0.001), and alleviated hepatomegaly and lipid droplet accumulation. Metabolomics and proteomics analysis showed that NGR1 normalized liver metabolism in MASH mice and upregulated mitochondrial OXPHOS components, including NADH: ubiquinone oxidoreductase core subunit S2 (NDUFS2), and effectively reversed CDAHFD-induced mitochondrial dysfunction. Mitochondrial membrane potential and ATP production were restored. Conclusions: This study confirmed that NGR1 has significant therapeutic potential for MASH and improves mitochondrial function by upregulating NDUFS2. This study provides new insights for the future clinical treatment of MASH. Full article
(This article belongs to the Section Pharmacology)
Show Figures

Graphical abstract

26 pages, 727 KB  
Review
Gintonin as a Lysophosphatidic Acid-Enriched GPCR Ligand System: Molecular Architecture and Receptor Pharmacology in Panax ginseng
by Kyung-Hee Kim and Byong Chul Yoo
Biomolecules 2026, 16(3), 465; https://doi.org/10.3390/biom16030465 - 19 Mar 2026
Viewed by 335
Abstract
For decades, the pharmacological identity of Panax ginseng has been primarily attributed to triterpenoid saponins known as ginsenosides. However, accumulating evidence indicates that ginseng also contains a structurally distinct lipid–protein complex, termed gintonin, enriched in lysophosphatidic acid (LPA) species. Unlike ginsenosides, which predominantly [...] Read more.
For decades, the pharmacological identity of Panax ginseng has been primarily attributed to triterpenoid saponins known as ginsenosides. However, accumulating evidence indicates that ginseng also contains a structurally distinct lipid–protein complex, termed gintonin, enriched in lysophosphatidic acid (LPA) species. Unlike ginsenosides, which predominantly exert modulatory effects on membrane dynamics and intracellular kinase pathways, gintonin directly activates LPA G protein-coupled receptors (GPCRs), thereby inducing rapid phospholipase C (PLC) activation and intracellular Ca2+ mobilization. Biochemical analyses have identified major LPA species within the gintonin fraction, including C16:0, C18:0, and C18:1, stabilized within a proteinaceous matrix that may influence receptor engagement kinetics. Pharmacological studies demonstrate that gintonin preferentially activates LPA1 and LPA3 receptor subtypes, triggering downstream signaling cascades involving MAPK, PI3K/Akt, and Rho pathways. These receptor-mediated effects occur on a rapid temporal scale, distinguishing gintonin from the slower transcriptional and kinase-modulating actions of ginsenosides. In this review, we synthesize current evidence regarding the chemical architecture, receptor pharmacology, and signaling dynamics of gintonin and propose a dual signaling framework in which steroid-like saponins and lipid GPCR ligands represent complementary molecular axes within P. ginseng. Recognition of this layered signaling organization refines the molecular understanding of ginseng biology and highlights gintonin as a unique plant-derived GPCR ligand system. Full article
(This article belongs to the Section Lipids)
Show Figures

Figure 1

13 pages, 2942 KB  
Article
American Ginseng (Panax quinquefolius) Extracts (G1899) Ameliorate Immunosenescence via Regulation of T Cell Populations and Aging-Related Proteins in a Mouse Model Induced by D-Galactose and Tert-Butyl Hydroperoxide
by Ji-Hye Park, Jaehoon Lee, Chang Hwan Lee, Sun Hee Hyun and Seung-Ho Lee
Curr. Issues Mol. Biol. 2026, 48(3), 315; https://doi.org/10.3390/cimb48030315 - 16 Mar 2026
Viewed by 389
Abstract
Immunosenescence is characterized by an age-associated decline in immune function, particularly involving T-cell dysfunction, which increases susceptibility to infections and chronic diseases. This study investigated the anti-aging and immunomodulatory effects of American ginseng extract (G1899) using in vitro and in vivo models of [...] Read more.
Immunosenescence is characterized by an age-associated decline in immune function, particularly involving T-cell dysfunction, which increases susceptibility to infections and chronic diseases. This study investigated the anti-aging and immunomodulatory effects of American ginseng extract (G1899) using in vitro and in vivo models of aging. Cellular senescence was induced in HepG2 cells by D-galactose treatment, followed by exposure to G1899 (20 and 100 μg/mL). Senescence-associated markers were assessed to evaluate cellular aging. An aging mouse model was established in male C57BL/6 mice through intraperitoneal administration of D-galactose (500 mg/kg) and tert-butyl hydroperoxide (0.4 mmol/kg), and G1899 was orally administered at 400 mg/kg. Thymic immune cell subsets and aging-related protein expression were analyzed using flow cytometry and Western blotting. G1899 significantly reduced p21 expression and senescence-associated β-galactosidase activity in senescent HepG2 cells. In aging-induced mice, G1899 restored CD4+ and CD8+ T-cell populations, normalized naïve T-cell levels, and reduced anergic CD28-negative T cells. Furthermore, G1899 regulated the expression of key aging-related proteins, including FOXO1, Sirt1, p53, and CD38. These findings demonstrate that G1899 attenuates age-related immune alterations by restoring thymic T-cell homeostasis and regulating aging-associated molecular pathways. Full article
(This article belongs to the Section Biochemistry, Molecular and Cellular Biology)
Show Figures

Figure 1

21 pages, 1299 KB  
Review
System-Level, Molecular and Cellular Mechanisms of Selected Plant Adaptogens—A Review
by Sebastian Such, Czesław Puchalski, Łukasz Kogut and Grzegorz Zaguła
Nutrients 2026, 18(6), 931; https://doi.org/10.3390/nu18060931 - 16 Mar 2026
Viewed by 807
Abstract
Background/Objectives: Adaptogens are plant-derived substances that enhance the body’s nonspecific resistance to physical, chemical, biological, and psychological stressors by normalizing physiological functions. This article discusses the molecular mechanisms of action of seven key plant adaptogens—Rhodiola rosea, Schisandra chinensis, Withania [...] Read more.
Background/Objectives: Adaptogens are plant-derived substances that enhance the body’s nonspecific resistance to physical, chemical, biological, and psychological stressors by normalizing physiological functions. This article discusses the molecular mechanisms of action of seven key plant adaptogens—Rhodiola rosea, Schisandra chinensis, Withania somnifera, Eleutherococcus senticosus, Panax ginseng, Ocimum tenuiflorum, and Bacopa monnieri—in the context of chronic stress and lifestyle-related diseases. Methods: A review of the scientific literature is performed, including preclinical in vitro and in vivo studies, randomized placebo-controlled clinical trials, and studies employing network pharmacology analyses, molecular docking, and genomic techniques such as gene expression profiling. The interactions of active constituents with signaling pathways, molecular targets, and synergistic mechanisms were analyzed based on publications from the years 2010–2025. Results: Adaptogens exhibit pleiotropic activity: they regulate the HPA axis (Hypothalamic–Pituitary–Adrenal axis); induce Hsp70/Hsp16 expression; modulate SAPK/JNK, FOXO, and NF-κB pathways; and demonstrate antioxidant and mitoprotective effects. Specific mechanisms include: salidroside from R. rosea activating PI3K/Akt; schizandrin B from S. chinensis stimulating Hsp70; withanolides from W. somnifera inhibiting PDE4D; ginsenosides from P. ginseng suppressing FKBP51; and bacosides from B. monnieri enhancing acetylcholine synthesis. Clinical studies confirm reductions in cortisol levels (14–30%), decreased fatigue, and improved cognitive function without adverse effects. Conclusions: Understanding the molecular mechanisms of adaptogens supports their application in integrative medicine for the treatment of stress-related disorders, depression, anxiety, and neurodegenerative diseases. Further clinical studies are needed to optimize dosages and standardize extracts. Full article
(This article belongs to the Section Phytochemicals and Human Health)
Show Figures

Figure 1

25 pages, 2358 KB  
Review
Ginseng Promotes White Adipose Tissue Browning: A Network of Thermogenic Pathways and Gut Microbiota Modulation
by Luran Yang, Yueqiao Li, Jinghui Wang, Da Li, Yuguang He, Xinyu Miao, Mubai Sun, Honghong Niu, Zhengyang Luo, Mei Hua and Xinyan Zhou
Foods 2026, 15(6), 1037; https://doi.org/10.3390/foods15061037 - 16 Mar 2026
Viewed by 342
Abstract
Obesity is characterized by abnormal adipose tissue expansion and energy metabolism imbalance. Browning of white adipose tissue (WAT), wherein white adipocytes acquire thermogenic properties similar to brown adipose tissue, represents a key mechanism for increasing energy expenditure. Although ginseng (Panax ginseng C.A. [...] Read more.
Obesity is characterized by abnormal adipose tissue expansion and energy metabolism imbalance. Browning of white adipose tissue (WAT), wherein white adipocytes acquire thermogenic properties similar to brown adipose tissue, represents a key mechanism for increasing energy expenditure. Although ginseng (Panax ginseng C.A. Meyer) is widely recognized as a health-promoting botanical, its role in WAT browning has not been fully elucidated. This review summarizes evidence that ginseng and its bioactive components regulate major thermogenic pathways, including β-adrenergic/cyclic adenosine monophosphate-protein kinase (cAMP-PKA) signaling, AMP-activated protein kinase (AMPK), and the peroxisome proliferator-activated receptor γ (PPARγ)/coactivator 1α (PGC-1α) axis, thereby upregulating key markers such as uncoupling protein 1 (UCP1), PR domain containing 16 (PRDM16) and type II iodothyronine deiodinase (DIO2). These effects promote mitochondrial function and fatty acid oxidation, reduce lipogenesis, alleviate inflammation, and improve insulin sensitivity, collectively fostering a microenvironment conducive to browning. Furthermore, fermentation has been found to enhance the bioactivity and thermogenic efficacy of ginseng. Recent evidence indicates that gut microbiota and their metabolites—such as short-chain fatty acids, unsaturated fatty acids, and bile acids—play a notable role in ginseng-induced thermogenesis via receptors including G-protein-coupled receptor 41/43 (GPR41/43), takeda G-protein-coupled receptor 5 (TGR5), and farnesoid X receptor (FXR). These multi-organ interaction networks involving the gut–fat, gut–liver, and gut–brain axes reflect the role of ginseng in integrating systemic metabolism. In summary, this review discusses the multi-level regulatory network through which ginseng promotes WAT browning, providing a mechanistic basis for its potential application in body weight and metabolic health management. Full article
(This article belongs to the Topic Functional Foods and Nutraceuticals in Health and Disease)
Show Figures

Figure 1

18 pages, 11105 KB  
Article
The Effects of Compound Chinese Herbal Medicine on the Growth and Digestive and Immune Systems of Megalobrama amblycephala
by Xijing Ye, Yunsheng Zhang, Hu Xia, Huangjie Fan, Jiahui Hu, Yanan Gong, Rurou Fu, Fuyan Chen and Liangguo Liu
Animals 2026, 16(6), 925; https://doi.org/10.3390/ani16060925 - 15 Mar 2026
Viewed by 369
Abstract
Chinese herbal medicine is rich in active ingredients that can promote growth and enhance immune function. In this study, Lycium barbarum, Panax ginseng, Astragalus membranaceus and Phragmitis rhizoma were crushed and mixed to prepare a compound Chinese herbal medicine. The basic [...] Read more.
Chinese herbal medicine is rich in active ingredients that can promote growth and enhance immune function. In this study, Lycium barbarum, Panax ginseng, Astragalus membranaceus and Phragmitis rhizoma were crushed and mixed to prepare a compound Chinese herbal medicine. The basic feed of Megalobrama amblycephala was supplemented with 0 (control group), 1% (T1), 2% (T2) and 4% (T3) of this compound medicine. After raising for 90 days, in the T1 and T2 experimental groups, the length and width of intestinal villi and the activities of amylase, trypsin and lipase in the intestine were significantly higher than those in the control group. The weight gain rate and specific growth rates were highest and the feed coefficient was lowest in the T2 experimental group. In the control group, a large number of dilated hepatic sinusoids were detected, while this number significantly decreased in the T1 experimental group and they were not detected at all in the T2 and T3 experimental groups. The spleen and liver body indices were highest in the T2 experimental group. In all experimental groups, the Lys content and the activities of T-SOD, CAT, ACP, AKP and GSH-PX in serum were significantly higher than those of the control group. The expression of IgM, C3, TNF-ɑ and IL-1β in the head kidney; C3, TNF-ɑ and IL-1β in the spleen; C3 and IL-1β in the gills; IgM, C3 and IL-1β in liver; and IL-1β in the intestine was highest in the T2 experimental group. After challenge with Aeromonas hydrophila, the cumulative mortality rate of M. amblycephala was lowest in the T2 experimental group. The results of this study indicated that this compound Chinese herbal medicine could significantly enhance immunity, increase the activity of intestinal digestion-related enzymes and promote the growth of M. amblycephala. The appropriate addition amount of this compound Chinese herbal medicine in the basic feed of M. amblycephala was 2%. Full article
(This article belongs to the Special Issue Advances in Fish Immunology: Novel Strategies for Disease Prevention)
Show Figures

Figure 1

20 pages, 364 KB  
Review
Natural Extracts in Skin Repair and Wound Healing: Phytochemical Mechanisms and Dermopharmaceutical Perspectives
by Niki Tertipi, Vasiliki Sofia Grech, Eleni Sfyri, Eleni Andreou, Vasiliki Kefala and Efstathios Rallis
Molecules 2026, 31(6), 967; https://doi.org/10.3390/molecules31060967 - 13 Mar 2026
Viewed by 838
Abstract
Background: Skin repair and skin wound healing are tightly regulated biological processes that require coordinated control of inflammation, redox homeostasis, angiogenesis, and tissue remodelling. In this context, natural extracts are increasingly recognized as sources of chemically diverse phytochemicals capable of modulating defined molecular [...] Read more.
Background: Skin repair and skin wound healing are tightly regulated biological processes that require coordinated control of inflammation, redox homeostasis, angiogenesis, and tissue remodelling. In this context, natural extracts are increasingly recognized as sources of chemically diverse phytochemicals capable of modulating defined molecular signalling pathways that govern cutaneous repair. Methods: This review provides a mechanism-informed synthesis of current evidence by examining representative botanical sources, including Aloe vera, Centella asiatica, Curcuma longa, Calendula officinalis, and Panax ginseng, which have been extensively investigated in preclinical wound-healing models. Rather than providing an exhaustive catalogue of plant species or individual compounds, the analysis emphasizes how distinct phytochemical classes interact with conserved molecular pathways involved in skin repair. Results: Flavonoids, terpenoids, phenolic acids, alkaloids, and polysaccharides influence inflammatory signalling pathways, redox-sensitive pathways, growth factor-mediated responses, and cellular migration, thereby supporting phase-appropriate progression of wound healing. Recurrent modulation of NF-κB, TGF-β, VEGF, and Nrf2 signalling emerges as a central mechanistic theme. Advances in dermopharmaceutical formulation strategies, including hydrogels and lipid-based carriers, may enhance local delivery and stability of phytochemicals; however, their translational value remains dependent on chemical standardization and mechanistic validation. Conclusions: This review provides a mechanism-informed synthesis of current evidence, highlighting how phytochemical diversity, molecular signalling pathways, and dermopharmaceutical formulation strategies collectively shape the therapeutic potential of plant-derived extracts in cutaneous wound healing and may guide future mechanistic and translational research in phytochemical-based wound therapeutics. Full article
(This article belongs to the Special Issue Natural Extracts for Pharmaceutical Applications)
Show Figures

Figure 1

15 pages, 1253 KB  
Article
Antioxidant and Cytoprotective Effects of Fermented Panax ginseng Berry and Root Extracts
by Mihye Park and Sun Mee Lee
Fermentation 2026, 12(3), 148; https://doi.org/10.3390/fermentation12030148 - 12 Mar 2026
Viewed by 463
Abstract
The roots of Panax ginseng are well known for their bioactive properties, while its berries have recently attracted attention for their pharmacological potential. This study investigated whether fermentation with Lactiplantibacillus plantarum enhances the antioxidant properties of ginseng roots and berries and their protective [...] Read more.
The roots of Panax ginseng are well known for their bioactive properties, while its berries have recently attracted attention for their pharmacological potential. This study investigated whether fermentation with Lactiplantibacillus plantarum enhances the antioxidant properties of ginseng roots and berries and their protective effects against oxidative stress in vitro. Fermentation significantly increased total polyphenol, flavonoid, and saponin contents and promoted the conversion of major ginsenosides (ginsenoside Rg1, ginsenoside Rb1, and ginsenoside Rb2), which are relatively less bioavailable, into minor ginsenosides (ginsenoside Rh1, ginsenoside Rg2, and ginsenoside Rg3) with enhanced biological activity and bioavailability. Fermented extracts exhibited higher radical-scavenging activities in 2,2-diphenyl-1-picrylhydrazyl (DPPH), 2,2′-azino-bis(3-ethylbenzothiazoline-6-sulfonic acid) (ABTS), and ferric reducing antioxidant power (FRAP) assays than non-fermented extracts. In tert-butyl hydroperoxide (t-BHP)-stimulated Chang liver cells, fermented extracts reduced intracellular reactive oxygen species (ROS) generation, inhibited lipid peroxidation, restored the reduced glutathione/oxidized glutathione (GSH/GSSG) ratio, and enhanced antioxidant enzyme activities, including superoxide dismutase (SOD) and catalase (CAT). These results demonstrate that L. plantarum-mediated fermentation effectively enhances the antioxidant and cytoprotective potential of ginseng roots and berries, supporting their application as functional food ingredients. Full article
(This article belongs to the Section Probiotic Strains and Fermentation)
Show Figures

Figure 1

12 pages, 27905 KB  
Article
Knocking Down miR172f in the Hairy Roots of Grass Pea Increases β-ODAP Content and Induces Global Transcriptomic Reprogramming
by Xiaoning Liu, Xueping Zhang, Jianmeng Bai, Jiasheng Lv, Yingshan Jiang, Jiahui Zhan, Zhihong Yang, Rongze Han, Tingli You, Hao Ma, Ning Cao, Rongfang Lian, Shijun Wang, Yun Yue and Quanle Xu
Genes 2026, 17(3), 311; https://doi.org/10.3390/genes17030311 - 9 Mar 2026
Viewed by 354
Abstract
Background: There is an abundance of the neuroactive β-N-oxalyl-L-α,β-diaminopropionic acid (β-ODAP) in grass pea (Lathyrus sativus), pea (Pisum sativum), and several Chinese traditional herbs such as Panax notoginseng. It is well known for its dose- and context-dependent [...] Read more.
Background: There is an abundance of the neuroactive β-N-oxalyl-L-α,β-diaminopropionic acid (β-ODAP) in grass pea (Lathyrus sativus), pea (Pisum sativum), and several Chinese traditional herbs such as Panax notoginseng. It is well known for its dose- and context-dependent effects on its toxicological characteristics (inducing neurodegenerative neurolathyrism upon excessive consumption) or for its pharmacological effects (including neuroprotection and wound healing). Therefore, reducing β-ODAP levels improves the safety profile of β-ODAP-containing species for utilization, whereas increasing them facilitates their isolation and purification. LsBAHD3 acyltransferase, named after the first letter of BEAT benzylalcohol O-acetyltransferase (BEAT), anthocyanin O-hydroxycinnamoyltransferase (AHCT), anthranilate N-hydroxycinnamoyl/benzoyltransferase (HCBT), and deacetylvindoline 4-Oacetyltransferase (DAT), was proven to be β-ODAP synthetase. Methods: In this report, the interaction of miR172f with LsBAHD3 was investigated through bioinformatic analysis and transient co-expression assays in Nicotiana benthamiana. Functions of miR172f in β-ODAP biosynthesis were also investigated through knockdown in the hairy roots of L. sativus and via transcriptomic analysis. Results: The results suggest that the knockdown of miR172f in hairy roots of L. sativus increased β-ODAP content via targets to LsBAHD3. In this process, protein ubiquitination, cysteine and methionine metabolism, enzyme regulator activity, and so on were associated with β-ODAP biosynthesis. Conclusions: These results identify miR172f as a novel regulator of β-ODAP biosynthesis through targeting of LsBAHD3, offering new insight into the gene expression of β-ODAP synthetase and the genetic network governing β-ODAP biosynthesis in L. sativus. Full article
(This article belongs to the Special Issue Genetic and Molecular Mechanisms of Crop Resistance)
Show Figures

Figure 1

18 pages, 14410 KB  
Article
Integrative Mechanistic Investigation of the Anticancer Effects of Panax notoginseng in Colorectal Cancer
by Jaemoo Chun, Sarah Shin and Jeeyoun Jung
Molecules 2026, 31(5), 807; https://doi.org/10.3390/molecules31050807 - 28 Feb 2026
Viewed by 596
Abstract
Colorectal cancer (CRC) remains a leading cause of cancer-related mortality worldwide, necessitating the development of novel multi-targeted therapeutic agents. This study investigates the anticancer effects of Panax notoginseng extract (PNE) against CRC using an integrative approach of network pharmacology and experimental validation. Phytochemical [...] Read more.
Colorectal cancer (CRC) remains a leading cause of cancer-related mortality worldwide, necessitating the development of novel multi-targeted therapeutic agents. This study investigates the anticancer effects of Panax notoginseng extract (PNE) against CRC using an integrative approach of network pharmacology and experimental validation. Phytochemical profiling via LC–MS identified major ginsenosides, including Rb1, Rg1, and Rd. Network pharmacology analysis revealed potential targets such as Bcl-xL, STAT3/CDK1, and IL-2, which are associated with apoptosis, cell cycle regulation, and immune modulation, respectively. Experimental results demonstrated that PNE significantly inhibited the proliferation of HCT 116 and HT-29 CRC cells, induced G0/G1 phase arrest by modulating CDK4/6 and p21/p27, and promoted apoptosis by regulating BCL2 family proteins. Furthermore, PNE treatment suppressed tumor growth in a CT26-bearing syngeneic mouse model. These findings highlight that PNE exerts potent anticancer effects through multi-pathway modulation, suggesting its potential as a therapeutic candidate for CRC. Full article
Show Figures

Figure 1

20 pages, 2920 KB  
Review
Ginsenosides in Modern Pharmaceutics: Mechanisms, Applications, Challenges, and Perspectives
by Mingyang Sun, Youduan Li, Ming Zhu, Haoming Luo and Ye Teng
Biomolecules 2026, 16(3), 350; https://doi.org/10.3390/biom16030350 - 26 Feb 2026
Viewed by 760
Abstract
Ginsenosides are the primary bioactive constituents of Panax ginseng, exhibiting multiple pharmacological activities, including neuroprotection, antitumor effects, anti-aging properties, and metabolic regulation. In this review, the molecular mechanisms of ginsenosides in treating neurodegenerative diseases, cancer, and metabolic disorders are summarized, and the [...] Read more.
Ginsenosides are the primary bioactive constituents of Panax ginseng, exhibiting multiple pharmacological activities, including neuroprotection, antitumor effects, anti-aging properties, and metabolic regulation. In this review, the molecular mechanisms of ginsenosides in treating neurodegenerative diseases, cancer, and metabolic disorders are summarized, and the current status of clinical translational research on ginsenosides in advanced gastric cancer, breast cancer, stroke, and diabetes is introduced, incorporating critical evidence regarding safety assessments and potential toxicity risks. In addition, recent advances in biotransformation and modern preparation technologies are reviewed. Innovative solutions, including nanodelivery systems, structural modifications, and AI-driven formulation design, are systematically discussed to address the current issues, such as low oral bioavailability and limited blood–brain barrier permeability. The future development of ginsenosides continues to face several critical challenges, including a scarcity of high-quality clinical evidence, an incomplete understanding of their mechanisms of action, a dearth of long-term safety data, and variations in quality between batches. Full article
(This article belongs to the Special Issue Feature Papers in the Natural and Bio-Derived Molecules Section)
Show Figures

Graphical abstract

Back to TopTop