Immunoglobulin-Related Fibroinflammatory Diseases of Uncertain Etiology—Polarized Isotype Switching Connects an Ancient with a Contemporary Disease
Abstract
1. Introduction
2. B Cell Development
3. Immunoglobulin (Ig) Class Switching Recombination (CSR)
4. T Follicular Helper (Tfh) Cells
5. IgE
6. IgG4
7. Etiology
7.1. Genetic Predisposition
7.2. Etiological Propositions
7.2.1. Atopic and Allergic Antigenic Stimulation
7.2.2. Autoimmunity
7.2.3. Other Causes of Aberrant Antigenic Stimulation
8. Pathogenesis
8.1. KD
8.2. IgG4RD
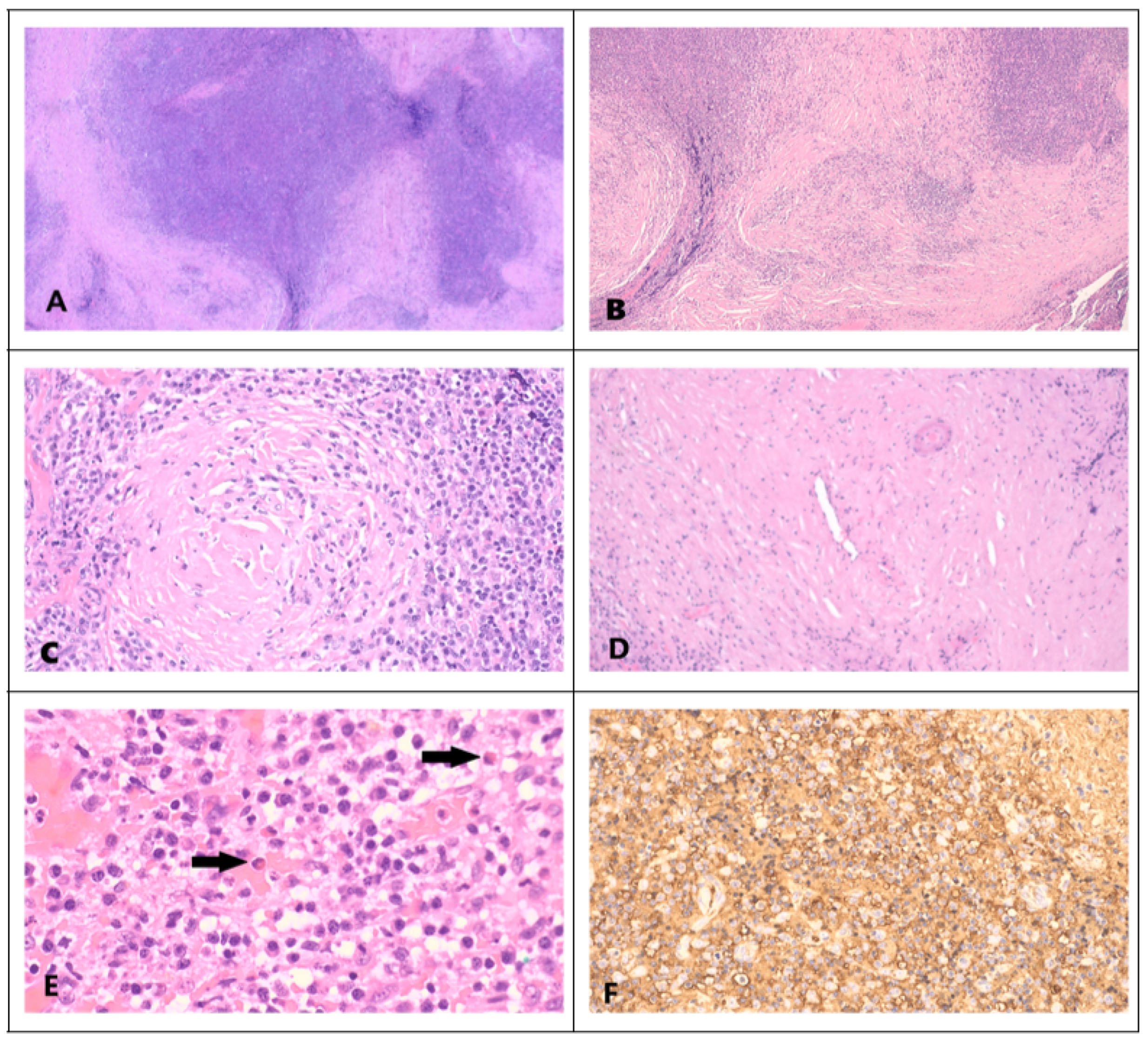
9. Clinicopathologic Features of Kimura Disease
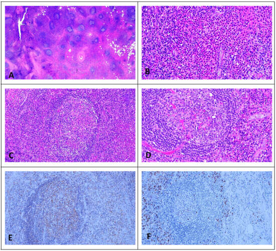
10. Clinicopathologic Features of IgG4-Related Disease
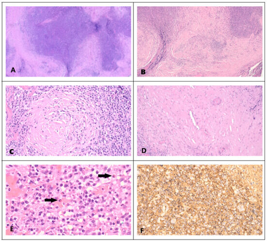
11. KDVs IgG4RD
11.1. Similarities and Overlapping Features
11.2. Differences
11.2.1. Epidemiology
Patient Age
Patient Sex
11.2.2. Anatomical Sites Involved
11.2.3. Storiform Fibrosis
11.2.4. Tissue Eosinophilia, Eosinophilic Abscess, GC Proteinaceous/IgE Deposits and GC Vascularization
12. Conclusions
Funding
Institutional Review Board Statement
Informed Consent Statement
Data Availability Statement
Acknowledgments
Conflicts of Interest
Abbreviations
| AID | Activation-induced cytidine deaminase |
| AP-1 | activation protein-1 |
| Batf | Basic leucine zipper transcription factor |
| Bcl6 | B-cell lymphoma 6 protein |
| BCR | B-cell receptor |
| BLys | B lymphocyte stimulator |
| CD40L | CD40 ligand |
| CLP | Common lymphoid progenitor cells |
| CSR | Class switching recombination |
| CTL | Cytotoxic T lymphocytes |
| CXCR5 | CX chemokine receptor 5 |
| EDN | Eosinophil-derived neurotoxin |
| EPX | Eosinophil peroxidase |
| Fc | Fragment crystallizable |
| GC | Germinal center |
| HC | Heavy chain |
| ICOS | Inducible T cell costimulator |
| IFN | Interferon |
| Ig | Immunoglobulin |
| IgG4RD | Immunoglobulin G4-related disease |
| IL | Interleukin |
| IL-1RA | IL-1 receptor antagonist |
| IRF4 | Interferon regulatory factor 4 |
| KD | Kimura disease |
| LC | Light chain |
| MBP | Major basic protein |
| PD-1 | Programmed cell death protein-1 |
| SHM | Somatic hypermutation |
| TD | T cell dependent |
| Tfh | T follicular helper |
| TGFB1 | Transforming growth factor B1 |
| Th2 | T helper 2 |
| TI | T cell independent |
| TNF | Tumor necrosis factor |
References
- Cresioli, S.; Correa, I.; Kargiannis, P.; Davies, A.M.; Sutton, B.J.; Nestle, F.O.; Karagiannis, S.N. IgG4 characteristics and functions in cancer immunity. Curr. Allergy Asthma Rep. 2016, 16, 7. [Google Scholar] [CrossRef] [PubMed]
- Ishizaka, K.; Ishizaka, T. Identification of gamma E-antibodies as a carrier of reaginic activity. J. Immunol. 1967, 99, 1187–1198. [Google Scholar] [CrossRef] [PubMed]
- Wang, X.; Ng, C.S.; Yin, W. A comparative study of Kimura’s disease and IgG4-related disease: Similarities, differences and overlapping features. Histopathology 2021, 79, 801–809. [Google Scholar] [CrossRef] [PubMed]
- Chen, H.; Thompson, L.D.R.; Auguilera, N.S.I.; Abbondanzo, S.L. Kimura’s disease. A clinicopathologic study of 21 cases. Am. J. Surg. Pathol. 2004, 28, 505–513. [Google Scholar] [CrossRef]
- Mahajan, V.S.; Mattoo, H.; Deshpande, V.; Pillai, S.S.; Stone, J.H. IgG4-related disease. Ann. Rev. Pathol. 2014, 9, 315–317. [Google Scholar] [CrossRef]
- Munemura, R.; Maehara, T.; Murakami, Y.; Koga, R.; Aoyagi, R.; Kaneko, N.; Doi, A.; Perugino, C.A.; Della-Torre, E.; Saeki, T.; et al. Distinct disease-specific Tfh cell populations in 2 different fibrotic diseases: IgG4-related disease and Kimura disease. J. Allergy Clin. Immunol. 2022, 150, 440–455. [Google Scholar] [CrossRef]
- Cheuk, W.; Chan, J.K.C. IgG4-related sclerosing disease. A critical appraisal of an evolving clinicopathologic entity. Adv. Anat. Pathol. 2010, 17, 303–332. [Google Scholar] [CrossRef]
- Kuo, T.T.; Chen, T.C.; Lee, L.Y.; Lu, P. IgG4-positive plasma cells in cutaneous Rosai-Dorfman disease: An additional immunohistochemical features and possible relationship to IgG4-related sclerosing disease. J. Cutan. Pathol. 2009, 36, 1069–1073. [Google Scholar] [CrossRef]
- Bedeir, A.S.; Lash, R.H.; Lash, J.G.; Ray, M.B. Significant increase in IgG4+ plasma cells in gastric biopsy specimens from patients with pernicious anemia. J. Clin. Pathol. 2010, 63, 999–1001. [Google Scholar] [CrossRef]
- Tian, W.; Yakirevich, E.M.A.; Matoso, A.; Gnepp, D. IgG4 (+) plasma cells in sclerosing variant of mucoepidermoid carcinoma. Am. J. Surg. Pathol. 2012, 36, 973–979. [Google Scholar] [CrossRef] [PubMed]
- Nishikori, A.; Nishimura, M.F.; Nishimura, Y.; Notohara, K.; Satou, A.; Moriyama, M.; Nakamura, S.; Sato, Y. Investigation of IgG4-positive cells in idiopathic multicentric Castleman disease and validation of the 2020 exclusion criteria for IgG4-related disease. Pathol. Int. 2022, 72, 43–52. [Google Scholar] [CrossRef]
- Sasaki, T.; Akiyama, M.; Kaneoko, Y.; Mori, T.; Yasuoka, H.; Suzuki, K.; Yamaoka, K.; Okamoto, S.; Takeuchi, T. Distinct features distinguishing IgG4-rated disease from multicentric Castleman’s disease. RMD Open 2017, 3, e000432. [Google Scholar] [CrossRef] [PubMed]
- Sasaki, T.; Akiyama, M.; Kanedo, Y.; Takeuchi, T. Immunoglobulin G4-related disease and idiopathic multicentric Castleman’s disease: Confusable immune-related disorders. Rheumatology 2022, 61, 490–501. [Google Scholar] [CrossRef] [PubMed]
- Kubo, S.; Kanada, R.; Nawata, A.; Miyazaki, Y.; Kawabe, A.; Hanami, K.; Nakatsuka, K.; Sato, K.; Nakayama, S.; Tanak, Y. Eosinophilic granulomatosis with polyangiitis exhibits T cell activation and IgG4 immune response in the tissue, comparison with IgG4-related disease. RMD Open 2022, 8, e002086. [Google Scholar] [CrossRef] [PubMed]
- Carruthers, M.N.; Park, S.; Slack, G.W.; Dalal, B.; Skinnider, B.F.; Schaeffer, D.F.; Dutz, J.P.; Law, J.K.; Donnellan, F.; Marquez, V.; et al. IgG4-related disease and lymphocyte variant hypereosinophilic syndrome: A comparative case series. Eur. J. Haematol. 2017, 98, 378–387. [Google Scholar] [CrossRef]
- Gong, F.; Zheng, T.; Zhou, P. T follicular helper cell subsets and the associated cytokine IL-21 in the pathogenesis and therapy of asthma. Front. Immunol. 2019, 10, 2918. [Google Scholar] [CrossRef]
- Boothe, D.W.; Tarbox, J.A.; Tarbox, M.B. Atopic dermatitis: Pathophysiology. In Management of Atopic Dermatitis. Advances in Experimental Medicine and Biology; Fortson, E., Feldman, S., Strowd, L., Eds.; Springer: Cham, Switzerland, 2017; Volume 1027. [Google Scholar]
- Tsui, D.Y.; Hung, K.H.; Chang, C.W.; Liu, K. Regulatory mechanisms of B cell responses and the implication in B cell-related disease. J. Biomed. Sci. 2019, 26, 64. [Google Scholar] [CrossRef]
- Chi, X.; Li, Y.; Qiu, X. V(D) J recombination, somatic hypermutation and class switch recombination of immunoglobulins: Mechanism and regulation. Immunology 2020, 160, 233–247. [Google Scholar] [CrossRef]
- Grados, A.; Ebbo, M.; Piperoglou, C.; Groh, M.; Regent, A.; Samson, M.; Terrier, B.; Loundou, A.; More, N.; Andia, S.; et al. T cell polarization toward TH2/THF2 and TH17/TFH17 in patients with IgG4-related disease. Front. Immunol. 2017, 8, 235. [Google Scholar] [CrossRef]
- Akiyama, M.; Yasuoka, H.; Yoshimoto, K.; Takeuchi, T. Interleukin-4 contributes to the shift of balance of IgG subclasses toward IgG4 in IgG4-related disease. Cytokine 2018, 110, 416–419. [Google Scholar] [CrossRef]
- Akiyama, M.; Alshahri, W.; Ishigaki, S.; Saito, K.; Kaneko, Y. The immunological pathogenesis og IgG4-related disease categorized by clinical characteristics. Immunol. Med. 2025, 48, 11–23. [Google Scholar] [CrossRef] [PubMed]
- Tarique, M.; Naz, H.; Suhail, M.; Turan, A.; Saini, C.; Muhammed, N.; Shankar, H.; Zughaibi, T.A.; Khan, T.H.; Khanna, N.; et al. Differential expression of programmed death 1 (PD-1) on various immune cells and its role in human leprosy. Front. Immunol. 2023, 14, 1138145. [Google Scholar] [CrossRef]
- Bacharier, L.B.; Jabara, H.; Geha, R.S. Molecular Mechanisms of Immunoglobulin E regulation. Arch. Allergy Immunol. 1998, 115, 257–269. [Google Scholar] [CrossRef]
- Stavnezer, J.; Guikema, J.E.J.; Schrader, C.E. Mechanism and regulation of class switch recombination. Ann. Rev. Immunol. 2000, 26, 261–292. [Google Scholar] [CrossRef]
- Duarte, J. Functional switching. Nat. Immunol. 2016, 17, S12. [Google Scholar] [CrossRef]
- Oudinet, C.; Braikia, F.; Dauba, A.; Khamlichi, A.A. Mechanism and regulation of class switch recombination by IgH transcriptional control elements. Adv. Immunol. 2020, 147, 89–137. [Google Scholar]
- Dauba, A.; Khamlichi, A.A. Long-range control of class switch recombination by transcriptional regulatory elements. Front. Immunol. 2021, 12, 738216. [Google Scholar] [CrossRef] [PubMed]
- Nurieva, R.I.; Chung, Y. Understanding the development and function of T follicular helper cells. Cell. Mol. Immunol. 2010, 7, 190–197. [Google Scholar] [CrossRef]
- Olatunde, A.C.; Hale, J.S.; Lamb, T.J. Cytokine-skewed Tfh cells: Functional consequences for B cell help. Trends Immunol. 2021, 42, 536–550. [Google Scholar] [CrossRef]
- Crotty, S. T follicular helper cell differentiation, function and roles in disease. Immunity 2014, 41, 529–542. [Google Scholar] [CrossRef]
- Read, K.A.; Powell, M.D.; Oestreich, K.J. T follicular helper cell programming by cytokine-mediated events. Immunology 2016, 149, 253–261. [Google Scholar] [CrossRef]
- Krishnaswamy, J.K.; Alsen, S.; Yrlid, U.; Eeisenbarth, S.C.; Williams, A. Determination of T follicular helper cell fate by dendritic cells. Front. Immunol. 2018, 9, 2169. [Google Scholar] [CrossRef]
- Crotty, S. T follicular helper cell biology: A decade of discovery and diseases. Immunity 2019, 50, 1132–1148. [Google Scholar] [CrossRef]
- Rosenwasser, L.J. Mechanisms of IgE inflammation. Curr. Allergy Asthma Rep. 2011, 11, 178–183. [Google Scholar] [CrossRef] [PubMed]
- Iype, J.; Fux, M. Basophils orchestrating eosinophils’ chemotaxis and function in allergic inflammation. Cells 2021, 10, 895. [Google Scholar] [CrossRef] [PubMed]
- Kampen, G.T.; Stafford, S.; Adachi, T.; Jinquan, T.; Quan, S.; Grant, J.A.; Skov, P.S.; Poulsen, L.K.; Alamm, R. Eotaxin induced degranulation and chemotaxis of eosinophils through the activation of ERK2 and P38 mitogen-activated protein kinases. Blood 2000, 95, 1911–1917. [Google Scholar] [CrossRef] [PubMed]
- Fettrelet, T.; Gigon, L.; Karaulov, A.; Yousefi, S.; Simon, H. The enigma of eosinophil degranulation. Int. J. Mol. Sci. 2021, 22, 7091. [Google Scholar] [CrossRef]
- Nirula, A.; Glaser, S.M.; Kalled, S.; Taylor, F.R. What is IgG4? A review of the biology of a unique immunoglobulin subtype. Curr. Opin. Rheumatol. 2011, 23, 119–124, Erratum in Curr. Opin. Rheumatol. 2011, 2, 227. [Google Scholar] [CrossRef]
- Aalberse, R.C.; Stapel, S.O.; Schumann, J.; Rispens, T. Immunoglobulin G4: An odd antibody. Clin. Exp. Allergy 2009, 39, 469–477. [Google Scholar] [CrossRef]
- Aalberse, R. The role of IgG antibodies in allergy and immunotherapy. Allergy 2011, 66 (Suppl. S95), 28–30. [Google Scholar] [CrossRef]
- Jeannin, P.; Lecoanet, S.; Delneste, Y.; Gauchat, J.F.; Bonnefoy, J.Y. IgE versus IgG4 production can be differentially regulated by IL-10. J. Immunol. 1999, 160, 3555–3561. [Google Scholar] [CrossRef]
- Wu, X.; Wang, A.; Zhang, S.; Wang, X.; Guo, P.; Zhu, W.; Jiao, Y.; Zhou, J.; Zhang, W.; Peng, L.; et al. Multiomic landscape of immune pathogenesis in Kimura’s disease. Iscience 2023, 26, 106559. [Google Scholar] [CrossRef]
- Watanabe, T.; Maruyama, M.; Ito, T.; Kanai, K.; Oguchi, T.; Muraki, T.; Hamano, H.; Arakura, N.; Ota, M.; Kawa, S.; et al. Two siblings with type 1 autoimmune pancreatitis. Intern Med. 2013, 52, 895–899. [Google Scholar] [CrossRef]
- Outschooru, I.M.; Talor, M.; Burek, C.L.; Hoffman, W.H.; Rose, N.R. Heritability analysis of IgG4 antibodies in autoimmune thyroid disease. Autoimmunity 2014, 47, 320–326. [Google Scholar] [CrossRef] [PubMed]
- Ishikawa, Y.; Terao, C. Genetic analysis of IgG4-related disease. Mod. Rheumatol. 2020, 30, 17–23. [Google Scholar] [CrossRef]
- Floreani, A.; Okazaki, K.; Uchida, K.; Gershwin, M.E. IgG4-related disease: Changing epidemiology and new thoughts on a multisystem disease. J. Transl. Autoimmun. 2021, 4, 100074. [Google Scholar] [CrossRef]
- Geha, R.S.; Jabara, H.H.; Brodeur, S.R. The regulation of immunoglobulin E class-switch recombination. Nat. Rev. Immunol. 2003, 3, 721–732. [Google Scholar] [CrossRef] [PubMed]
- Coffman, R.L.; Lebman, D.A.; Rothman, P. Mechanism and regulation of immunoglobulin isotype switching. In Advances in Immunology; Dixon, F.J., Ed.; Academic Press: Cambridge, MA, USA, 1993; Volume 54, pp. 229–270. [Google Scholar]
- Yanagihar, Y. Regulatory mechanism of immunoglobulin E synthesis by human B cells. Clin. Exp. Allergy Rev. 2006, 6, 101–105. [Google Scholar] [CrossRef]
- Choi, J.W.; Lee, M.H.; Fujii, T. Relationship between neutrophil gelatinase-associated lipocalin, eosinophil cationic protein, cytokines, and atopic sensitization in patients with allergic disease. BioMed Res. Int. 2022, 2022, 6564706. [Google Scholar] [CrossRef]
- Maehara, T.; Moriyama, M.; Nakashima, H.; Miyake, K.; Hayashida, J.; Tanaka, A.; Shinozaki, S.; Kubo, Y.; Nakamura, S. Interleukin-21 contributes to germinal centre formation and immunoglobulin G4 production in IgG4-related dacryoadenitis and sialoadenitis, so-called Mikulicz’s disease. Ann. Rheum. Dis. 2012, 71, 2011–2019. [Google Scholar] [CrossRef]
- Della-Torre, E.; Mattoo, H.; Mahajan, V.S.; Carruthers, M.; Pillai, S.; Stone, J.H. Prevalence of atopy, eosinophilia and IgE elevation in IgG4-related disease. Allergy 2014, 69, 269–272. [Google Scholar] [CrossRef] [PubMed]
- Mattoo, H.; Della-Torre, E.; Mahajan, V.S.; Stone, J.H. Circulating Th2 memory cells in IgG4-related disease are restricted to a defined subset of subjects with atopy. Allergy 2014, 69, 379–402. [Google Scholar] [CrossRef] [PubMed]
- Khan, S.; Gordins, P.; Durairaj, S. JAK inhibition as a therapeutic strategy for IgG4-RD. J. Investig. Allergol. Clin. Immunol. 2021, 31, 280–281. [Google Scholar] [CrossRef] [PubMed]
- Carballo, I.; Gonzalez-Quintela, A.; Sopena, B.; Vidal, C. Immunoglobulin G4-related disease: What an allergist should know. J. Investig. Allergol. Clin. Immunol. 2021, 31, 212–227. [Google Scholar] [CrossRef]
- Frulloni, L.; Lunardi, C.; Simmone, R.; Dolcino, M.; Scattolini, C.; Falconi, M.; Benini, L.; Vantini, I.; Corrocher, R.; Puccetti, A. Identification of a novel antibody associated with autoimmune pancreatitis. N. Eng. J. Med. 2009, 36, 2135–2142. [Google Scholar] [CrossRef]
- Nishimori, I.; Miyaji, E.; Morimoto, K.; Nagao, K.; Kamada, M.; Onishi, S. Serum antibodies to carbonic anhydrase IV in patients with autoimmune pancreatitis. Gut 2005, 54, 274–281. [Google Scholar] [CrossRef]
- Hubers, L.M.; Vos, H.; Schuurman, A.R.; Erken, R.; Oude Elferink, R.P.; Burgering, B.; van de Graff, S.F.J.; Beuers, U. Annexin A11 is targeted by IgG4 and IgG1antibodies in IgG4-related disease. Gut 2018, 67, 728–735. [Google Scholar] [CrossRef]
- Shiokawa, M.; Kodama, Y.; Sekiguchi, K.; Kuwada, T.; Tomono, T.; Kuriyama, K.; Yamazaki, H.; Morita, T.; Marui, S.; Sogabe, Y.; et al. Laminin 511 is a target antigen in autoimmune pancreatitis. Sci. Transl. Med. 2018, 10, eaaq0997. [Google Scholar] [CrossRef]
- Endo, T.; Takizawa, S.; Tanaka, S.; Takahashi, M.; Fujii, H.; Kamisawa, T.; Kobatashi, T. Amylase alpha-2A autoantibodies: Novel marker of autoimmune pancreatitis and fulminant type 1 diabetes. Diabetes 2009, 58, 732–737. [Google Scholar] [CrossRef]
- Perugino, C.A.; Al Salem, S.B.; Mattoo, H.; Della-Torre, E.; Mahajan, V.; Ganesh, G.; Allard-Chamard, H.; Wallace, Z.; Montesi, S.B.; Kreuzer, J.; et al. Identification of galectin-3 as an autoantigen in patients with IgG4-related disease. J. Allergy Clin. Immunol. 2019, 143, 736–745. [Google Scholar] [CrossRef]
- Mattoo, H.; Mahajan, V.S.; Machara, T.; Deshpande, V.; Della-Torre, E.; Wallace, Z.S.; Kulikova, M.; Drijvers, J.M.; Daccache, J.; Carruthers, M.N.; et al. Clonal expansion of CD4+ cytotoxic T lymphocytes in patients with IgG4-related disease. J. Allergy Clin. Immunol. 2016, 138, 825–838. [Google Scholar] [CrossRef] [PubMed]
- Asada, M.; Nishio, A.; Uchida, K.; Kido, M.; Ueno, S.; Uza, N.; Kiziya, K.; Inoue, S.; Kitamura, H.; Ohashi, S.; et al. Identification of a novel autoantibody against pancreatic secretory trypsin inhibitor in patients with autoimmune pancreatitis. Pancreas 2006, 33, 20–26. [Google Scholar] [CrossRef]
- Lohr, J.M.; Faissner, R.; Koczan, D.; Ofsky, R.; Kaderali, L.; Kleeff, J.; Bewerunge, P.; Bassi, C.; Brors, B.; Eilis, R.; et al. Autoantibodies against the exocrine pancreas in autoimmune pancreatitis: Gene and protein expression profiling and immunoassays identify pancreatic enzymes as a major target of the inflammatory process. Am. J. Gastroenterol. 2010, 105, 2060–2067. [Google Scholar] [CrossRef] [PubMed]
- Jarrell, J.A.; Baker, M.C.; Perugino, C.A.; Liu, H.; Bloom, M.S.; Maehara, T.; Wong, H.H.; Lanz, T.V.; Adamska, J.Z.; Kongpachith, S.; et al. Neutralizing anti-IL-1 receptor antagonist autoantibodies induce inflammatory and fibrotic mediators in IgG4-related disease. J. Allergy Clin. Immunol. 2022, 149, 358–368. [Google Scholar] [CrossRef]
- Sun, R.; Liu, Z.; Lu, H.; Peng, Y.; Li, J.; Nie, Y.; Li, J.; Peng, L.; Zhou, J.; Fei, Y.; et al. Potential impact of autoimmune disease family in IgG4-related disease: A retrospective cohort study. RMD Open 2023, 9, e002865. [Google Scholar] [CrossRef] [PubMed]
- Aoki, A.; Hirahara, K.; Kiuchi, M.; Nakayama, T. Eosinophils: Cells known for over 140 years with broad and new functions. Allergol. Int. 2021, 70, 3–8. [Google Scholar] [CrossRef]
- Kita, H.; Gleich, G. Eosinophils and IgE receptors: A continuing controversy. Blood 1997, 89, 3497–3501. [Google Scholar] [CrossRef]
- Pritam, P.; Manna, S.; Sahu, A.; Swain, S.S.; Ramchandani, S.; Bissoyi, S.; Panda, M.K.; Sing, Y.D.; Mohanta, Y.K.; Jit, B.P. Eosinophils: A central player in modulating pathological complexity in asthma. Allergol. Immunopathol. 2021, 49, 191–207. [Google Scholar] [CrossRef]
- Simon, H.-U. The eosinophil and its role in physiology and disease: News and views. Semin. Immunopathol. 2021, 43, 291–293. [Google Scholar] [CrossRef]
- Bozza, M.T.; Lintomen, L.; Kitoko, J.Z.; Paiva, C.N.; Olsen, P.C. The role of MIF on eosinophil biology and eosinophilic inflammation. Clin. Rev. Allergy Immunol. 2020, 58, 15–24. [Google Scholar] [CrossRef]
- Shiokawa, M.; Kodama, Y.; Kuriyama, K.; Yoshimura, K.; Tomono, T.; Morita, T.; Kakiuchi, N.; Matsumori, T.; Mima, A.; Nishikawa, Y.; et al. Pathogenicity of IgG in patients with IgG4-related disease. Gut 2016, 65, 1322–1332. [Google Scholar] [CrossRef] [PubMed]
- Jin, X.; Shi, T. Eosinophilic lymphogranuloma: A report of 7 cases similar to Mikulicz’s disease. Zhonghua Yixue Zhazhi 1937, 23, 681–699. (In Chinese) [Google Scholar]
- Kimura, T.; Yoshimura, S.; Ishikawa, E. On the unusual granulation combined with hyperplastic changes of lymphatic tissues. Trans. Soc. Pathol. Jpn. 1948, 37, 179–180. (In Japanese) [Google Scholar]
- Abuel-Haj, M.; Hurford, M.T. Kimura’s disease. Arch. Pathol. Lab Med. 2007, 131, 650–651. [Google Scholar] [CrossRef]
- Daaleman, T.P.; Woodroof, J. Kimura’s disease presenting as subcutaneous facial plaque in an African American. Cutis 2000, 66, 201–204. [Google Scholar]
- Li, T.-J.; Chen, X.-M.; Wang, S.-Z.; Fan, M.-W.; Semba, I.; Kitano, M. Kimura’s disease: A clinicopathologic study of 54 Chinese patients. Oral Med. Oral Pathol. Oral Radiol. Endodontol. 1996, 82, 549–555. [Google Scholar] [CrossRef]
- Hui, P.K.; Chan, J.K.C.; Ng, C.S.; Kung, I.T.; Gwi, E. Lymphadenopathy of Kimura’s disease. Am. J. Surg. Pathol. 1989, 1, 177–186. [Google Scholar] [CrossRef]
- Liu, Y.C.; Liu, S.C.; Xu, J.; Xu, X.C.; Wang, M.Y. An unusual case of systemic lymphadenopathy—Kimura’s disease. J. Inflamm. Res. 2023, 16, 701–705. [Google Scholar] [CrossRef] [PubMed]
- Yang, B.D.; Kiao, H.L.; Wang, M.H.; Long, Q.Y.; Zhong, L.L.; Liu, Z.M.; Cheng, X.C. Kimura’s disease successfully affecting multiple body parts: A case-based literature review. BMC Ophthalmol. 2022, 22, 154. [Google Scholar] [CrossRef]
- Liu, C.; Hu, W.; Chen, H.; Tang, Z.; Zeng, C.; Liu, Z.; Li, L. Clinical and pathological study of Kimura’s disease with renal involvement. J. Nephrol. 2008, 21, 517–525. [Google Scholar]
- Liu, L.; Cheng, Y.; Fang, Z.; Kong, J.P.; Wu, X.D.; Zhang, Z. Kimura’s disease or IgG4-related disease? A case-based review. Clin. Rheumatol. 2015, 34, 385–389. [Google Scholar] [CrossRef] [PubMed]
- Ma, X.R.; Xin, S.J.; Ouyang, T.X.; Ma, Y.T.; Chen, W.Y.; Chang, M.L. Successful treatment of Kimura’s disease with leflunomide and methylprednisolone: A case report. Int. J. Clin. Exp. Med. 2014, 7, 2219–2222. [Google Scholar]
- Nonaka, M.; Sakitani, E.; Yoshihara, T. Anti-IgE therapy to Kimura’s disease: A pilot study. Auris Nasus Larynx 2014, 41, 384–388. [Google Scholar] [CrossRef]
- Yang, B.; Yu, H.; Jia, M.; Yao, W.; Diao, R.; Li, B.; Wang, Y.; Li, T.; Ge, L.; Wang, H. Successful treatment of dupilumab in Kimura disease independent pf IgE: A case report with literature review. Front. Immnol. 2022, 13, 1084879. [Google Scholar] [CrossRef]
- Hamano, H.; Kawa, S.; Horiuchi, A.; Unno, H.; Furuya, N.; Akamatsu, T.; Fushima, M.; Nikaido, T.; Nakayama, K.; Usuda, T.; et al. High serum IgG4 concentrations in patients with sclerosing pancreatitis. N. Eng. J. Med. 2001, 344, 732–738. [Google Scholar] [CrossRef]
- Kamisawa, T.; Funata, N.; Hayashi, Y.; Eishi, Y.; Koike, M.; Tsuruta, K.; Okamoto, A.; Egawa, N.; Nakjima, H. A new clinicopathological entity of IgG4-related autoimmune disease. J. Gastroenterol. 2003, 38, 38982–38984. [Google Scholar] [CrossRef]
- Deshpande, V.; Zea, Y.; Chan, J.K.C.; Yi, E.E.; Sato, Y.; Yoshino, T.; Kloppel, G.; Heathcote, J.G.; Khosroshahi, A.; Ferry, J.A.; et al. Consensus statement on the pathology of IgG4-related disease. Mod. Pathol. 2012, 25, 1181–1192. [Google Scholar] [CrossRef]
- Umehara, H.; Okazaki, K.; Kawa, S.; Takahashi, H.; Goto, H.; Matsui, S.; Ishizaka, N.; Akamizu, T.; Sato, Y.; Kawano, M. The 2020 revised comprehensive diagnostic (RCD) criteria for IgG4-RD. Mod. Rheumatol. 2021, 31, 529–533. [Google Scholar] [CrossRef] [PubMed]
- Stone, J.H.; Zen, Y.; Deshpande, V. IgG4-related disease. N. Eng. J. Med. 2012, 366, 539–551. [Google Scholar] [CrossRef]
- Nehring, P.; Przybytkowski, A. Think twice before operating on a pancreatic mass: Could it be IgG4-related disease? Lancet 2020, 395, 816. [Google Scholar] [CrossRef]
- Saavedra-Perez, D.; Vaquero, E.C.; Ayuso, J.R.; Fernandez-Cruz, L. Autoimmune pancreatitis: A surgical dilemma. Cirugía Española (Engl. Ed.) 2014, 92, 645–653. [Google Scholar] [CrossRef] [PubMed]
- Cao, X.; Li, S.; Wan, J.; Yu, Z.; Dong, G.; Zhou, W. Effectiveness of tofacitinib monotherapy for patients with IgG4-RD or idiopathic retroperitoneal fibrosis. Clin. Exp. Rheumatol. 2024, 42, 1736–1743. [Google Scholar] [CrossRef]
- Kottler, D.; Barete, S.; Quereux, G.; Ingen-Housz-Oro, S.; Fraitag, S.; Ortonne, N.; Deschamps, L.; Rybojad, M.; Flageul, B.; Crickx, B.; et al. Retrospective multicentric study of 25 Kimura disease patients: Emphasis on therapeutics and shared features with cutaneous IgG4-related disease. Dermatology 2015, 231, 367–377. [Google Scholar] [CrossRef]
- Chang, S.Y.; Lee, C.C.; Chang, M.L.; Teng, W.C.; Hsiao, C.Y.; Yu, H.H.; Hsieh, M.J.; Chan, T.M. Comparison of clinical manifestations and pathology between Kimura disease and IgG4-related disease: A report of two cases and literature review. J. Clin. Med. 2022, 11, 6887. [Google Scholar] [CrossRef]
- Wallace, Z.S.; Naden, R.P.; Chari, S.; Choi, H.K.; Della-Torre, E.; Dicaire, J.; Hart, P.A.; Inoue, D.; Kawano, M.; Khosroshahi, A.; et al. The 2019 American College of Rheumatology/European League Against Rheumatism Classification Criteria for IgG4-related disease. Am. Rheum Dis. 2020, 79, 77–87. [Google Scholar] [CrossRef] [PubMed]
- Satou, A.; Notohara, K.; Zen, Y.; Nakamura, S.; Yoshino, T.; Okazaki, K.; Sato, Y. Clinicopathological differential diagnosis of IgG4-related disease: A historical review and a proposal of the criteria for excluding mimickers of IgG4-related diseases. Pathol. Int. 2020, 1, 391–402. [Google Scholar] [CrossRef] [PubMed]
- Wallace, Z.S.; Miles, G.; Smolkina, E.; Petruski-Ivleva, N.; Madziva, D.; Cook, C.; Fu, X.; Zhang, Y.; Stone, J.H.; Choi, H.K. Incidence, prevalence and mortality of IgG4-related disease in the USA: A claims-based analysis of commercially insured adults. Ann. Rheumat. Dis. 2023, 82, 957–962. [Google Scholar] [CrossRef]
- Mitsuhiro, A.; Katsuya, S.; Yamaoka, K.; Yasuoka, H.; Takeshita, M.; Kaneko, Y.; Kondo, H.; Kassai, Y.; Miyazaki, T.; Morita, R.; et al. Number of circulating follicular helper 2 T cells correlates with IgG4 and interleukin-4 levels and plasmablast numbers in IgG4-related disease. Arthritis Rheumatol. 2015, 65, 2476–2481. [Google Scholar] [CrossRef]


| IgG4RD | KD | |
|---|---|---|
| Etiology | ||
| R | NR |
| R | NR |
| R | R |
| Pathogenesis | ||
| Tfh 2, Tfh 17 cells | Tfh 13 cells |
| IgG4 | IgE |
| Pathology | ||
| Storiform | Collagenous “scar-like” |
| ++ | −/+ |
| −/+ | ++ |
| ++ | −/+ |
| −/+ | ++ |
Disclaimer/Publisher’s Note: The statements, opinions and data contained in all publications are solely those of the individual author(s) and contributor(s) and not of MDPI and/or the editor(s). MDPI and/or the editor(s) disclaim responsibility for any injury to people or property resulting from any ideas, methods, instructions or products referred to in the content. |
© 2025 by the author. Licensee MDPI, Basel, Switzerland. This article is an open access article distributed under the terms and conditions of the Creative Commons Attribution (CC BY) license (https://creativecommons.org/licenses/by/4.0/).
Share and Cite
Ng, C.S. Immunoglobulin-Related Fibroinflammatory Diseases of Uncertain Etiology—Polarized Isotype Switching Connects an Ancient with a Contemporary Disease. Lymphatics 2025, 3, 10. https://doi.org/10.3390/lymphatics3020010
Ng CS. Immunoglobulin-Related Fibroinflammatory Diseases of Uncertain Etiology—Polarized Isotype Switching Connects an Ancient with a Contemporary Disease. Lymphatics. 2025; 3(2):10. https://doi.org/10.3390/lymphatics3020010
Chicago/Turabian StyleNg, Chi Sing. 2025. "Immunoglobulin-Related Fibroinflammatory Diseases of Uncertain Etiology—Polarized Isotype Switching Connects an Ancient with a Contemporary Disease" Lymphatics 3, no. 2: 10. https://doi.org/10.3390/lymphatics3020010
APA StyleNg, C. S. (2025). Immunoglobulin-Related Fibroinflammatory Diseases of Uncertain Etiology—Polarized Isotype Switching Connects an Ancient with a Contemporary Disease. Lymphatics, 3(2), 10. https://doi.org/10.3390/lymphatics3020010

