Abstract
Background: Chiari-like malformation (CM), Syringomyelia (SM) and middle ear effusion (MEE) are frequently observed disorders in Cavalier King Charles Spaniels (CKCSs), Pomeranians, and less frequently the Griffon. There are a few reports in which small dogs have been identified as suffering from CM/SM. Methods: From all MRI centers based in the Netherlands, MRI scans for small dog breeds performed for various reasons over a period of 8 years were collected. Scans that enabled a CM and/or SM evaluation were included and evaluated. Results: In total, 177 MRI scans were included. CM could be evaluated in 163 out of 177 dogs. In 63 dogs, no CM was observed, while 100 dogs had CM. SM could be evaluated in 144 out of 177 dogs. No SM was seen in 56 dogs and SM was seen in 88 dogs. Both CM and SM were seen in high frequency in the Chihuahua, French Bulldog, Griffon, and Pug but did also occur in lower frequencies in various other small breed dogs and crosses. CM and/or SM does occur in various other small dog breeds and crosses suggesting that it is indeed a type-related disorders. As it can cause serious clinical signs breeders should be aware of the risk of CM/SM when breeding with these small dog breeds.
1. Introduction
Chiari-like malformation (CM, also called canine Chiari), Syringomyelia (SM) and middle ear effusion (MEE)—also termed primary secretory otitis media (PSOM)—are frequently seen disorders in the Cavalier King Charles Spaniel (CKCS) [,,,,]. CM is characterized by a decreased volume of the caudal fossa and caudal displacement of the caudal cerebellar vermis into or through the foramen magnum [,] and increased cerebellar volume []. Syringomyelia is defined as the presence of a fluid-filled cavity in the spinal cord (syrinx) and is believed to result from an abnormal CSF flow either related to hindbrain problems (CM) and/or the influence of the systolic/diastolic arterial pulse and CSF pulse in the subarachnoid space [,,,,,]. It is reported to occur in several other breeds, such as the Chihuahua [], Griffon [], Affenpinscher [], and Pomeranian [,], and one of the possible causes could be brachycephalism [,,,]. Brachycephalism is associated with several other welfare-diminishing abnormalities, other than CM/SM, such as respiratory, ocular and spinal problems [,,].
To reduce the incidence of CM/SM in the CKCS, the British Veterinary Association (BVA) and the Kennel Club (KC) published guidelines for the evaluation of MRI scans, as well as breeding advice. Just recently, our group investigated the effect of selective breeding against CM/SM, and we concluded that improvement is possible provided the breeding stock is screened using MRI and only dogs unaffected by SM are used []. Only in the Netherlands and Denmark are CKCS breeders obliged to screen their breeding stock for the presence of CM/SM []. In all other countries, it is only advised. Given the fact that CM/SM is a welfare-diminishing disorder, this is remarkable. In all other breeds that might be at risk to develop CM/SM, screening is either not performed or only advised in rare exceptions.
Within the CKCS, CM has a prevalence of 99% and 46% for SM [,,]. There are a few studies exploring CM/SM within the Griffon Bruxellois [,,]. However, it is difficult to obtain a true estimate of the prevalence as most studied populations are not randomly chosen. The first study investigating CM/SM within the Griffon Bruxellois included 56 dogs, of which 60.7% had CM and 37.5% had SM []. Recently, our group published a study investigating the presence of CM/SM within the Pomeranian dog breed [], and in a group of 796 dogs that were not randomly chosen, the prevalence was 54.9% for CM and 23.9% for SM. In this study, the dogs came from no less than 22 different countries, indicating that it is a global and not just a local problem []. As for most other small dog breeds at risk, little is known about the prevalence.
The goal of this study was to investigate the presence and frequency of CM/SM in small dog breeds that were scanned for various reasons over a period of eight years within the Netherlands. Our hypothesis is that these two disorders also occur in several other small dog breeds.
2. Materials and Methods
2.1. Inclusion Criteria
After obtaining informed consent, from all MRI centers located in The Netherlands, MRI scans of small dogs/breeds taken over a period of eight years were retrieved. For the definition of a small dog breed, the group classification of the Federation Cynologique International (FCI) was used. Included breeds were Bichons and related breeds, the Toy Poodle, small Belgian dogs (Griffon Bruxellois, Griffon Belge and Petit Brabançon, together called the Griffon), hairless dogs (Chinese crested dog), Tibetan breeds, the Chihuahua, the King Charles Spaniel, the Japanese Chin and Pekingese, the Continental Toy Spaniel and others, small Molossian-type Dogs (the French Bulldog, Pug and Boston terrier), and crosses and/or look-alikes, provided the bodyweight of the dog was less than 10 kg. For the analysis, the number of dogs of one specific breed was at least 5 dogs. All crosses and breeds with less than 5 dogs were grouped into one: various breeds and crosses.
All included MRI scans were obtained from dogs referred to the imaging center with neurological signs. The signs were variable and included para and or tetraparesis, para and/or tetraparalysis, pain and/or hyperaesthesia, or epileptic seizures. The MRI scans were taken of the head and/or spinal cord up to at least C6. This enables at least either a CM or SM or both CM/SM evaluation. For low-field MRI scans, this was at least a T1-weighted image (sagittal and transverse), and for the high-field MRI scans, this was at least a T2-weighted image (sagittal and transverse). The presence of CM was established using sagittal scans, while the presence of SM was measured using both sagittal and transverse scans. The exact width was measured on the transverse scans. The maximum slice thickness was 4 mm. In terms of positioning, the dog’s head and neck were in extension so that the skull base was approximately aligned with the floor of the vertebral canal through C1 and C2.
The MRI scans were obtained from seven different MRI centers: (1) Dierenkliniek den Heuvel-Best; (2) Anicura Veterinary MRI centrum Dordrecht; (3) Dierenkliniek Drachten; (4) Anicura Medical Centre for Animals MCD Amsterdam; (5) Department of Clinical Sciences, Utrecht University; (6) IVC Evidensia Referral Hospital Waalwijk and (7) IVC Evidensia Referral Hospital Arnhem. The first four MRI centers used a low-field MRI scanner of 0.4 Tesla and the last three used a high=field scanner of 1.5 Tesla (Utrecht, The Netherland, Waalwijk & Arnhem).
All MR images were blinded and re-evaluated using the DICOM viewer graphical software Horos (https:/horosproject.org, v3.3.6) by all authors, independently of which the first is a European School of Advanced Veterinary Studies (ESAVS) Masters student in Neurology, the second is an ECVDI-trained resident, and the last an ECVN diplomate. All scans were evaluated using the BVA/KC scheme with one important adaptation as described recently []: SM was defined as absent if the central canal (CC) was not visible (SM0). If a fluid-filled cavity was visible, the dog was defined as affected with SM (SM+) and the exact diameter of the cavity (CCD) was measured on the transverse T1-weighted images as described earlier []. CM was defined as CM0 (= no Chiari-like malformation), CM1 (cerebellum indented (not round), cerebrospinal fluid (CSF) still visible between the cerebellum and occipital bone) and CM2 (cerebellum impacted into or herniated through the opening at the rear of the skull (the foramen magnum)) as described earlier []. To enable a comparison with the previous literature, the BVA/KC scheme classification is also reported. Middle ear effusion (MEE) was defined as a hyperintense signal in the right and/or left bullae on a T1 or T2-weighted image suggestive of fluid and/or material and scored as either present or absent. To avoid interobserver differences, as just recently described by our group [], the first two authors initially familiarized themselves with the current evaluations, as published earlier [,,], and evaluated—together with the last author—a number of MRI scans taken of Pomeranians and CKCS. After this training, the scans were independently evaluated. All observations were recorded in an excel file, and after evaluation, they were compared. If there were differences, the last author decided on the evaluation. Additional information included breed, sex, date of birth, weight and age of the dog at scanning. As for the crosses, they were all small dogs/toy breed look-alikes.
2.2. Exclusion Criteria
MRI scans were excluded if the breed or type of cross could not be established or if neither the head nor neck were scanned. Scans in which the dog was scanned on its back, the head/neck was too flexed, the slice thickness was >4 mm, there was a poor imaging quality, or there was a microchip artifact that prevented evaluation were all excluded. Next to this, two breeds were excluded from this study as they were already the subject of several larger running studies: the Pomeranian [,] and the CKCS [,]. In The Netherlands, all CKCS breeders are obliged to screen their CKCS prior to breeding []. An active screening program is in place to examine Pomeranians with or without clinical signs []. Including either one of these breeds would create a strong bias as they would be overrepresented.
2.3. Statistics
All statistical analyses were performed using SPSS version 29. Descriptive statistics were calculated for age, CCD (mean ± standard deviation (SD)), the exact numbers and frequency of CM, SM, MEE and the presence of SM in dogs without CM. A chi-square test was used to evaluate the presence of CM, SM, MEE and the presence of SM in dogs without CM in which the hypothesis was that CM and SM are not present in small dogs. The results were considered statistically significant if p < 0.05.
3. Results
3.1. MRI Scans
In total, 2000 MRI scans were taken from selected small dog breeds and crosses over a period of 8 years. From those, 1739 scans were excluded as neither CM nor SM could be evaluated. A large number were excluded because the scan only included, for instance, the thoraco-lumbar region or lumbosacral region. A smaller number of neck scans contained microchip artifacts that prevented the cervical spine from being evaluated, and a small number of scans were of poor quality or were incorrectly positioned, which prevented proper evaluation.
3.2. Excluding Diagnosis
In 84 out of 261 dogs, the MRI revealed a diagnosis that could explain the presence of CM/SM and, therefore, these dogs were excluded from further analysis (Table 1). The most frequent cervical diagnosis was intervertebral disc degeneration (IVDD) with prolapse or extrusion in 43 dogs. Meningoencephalomyelitis of Unknown Origin (MUO) was seen in 14 dogs and an extra- or intra-axial intracranial neoplasia was seen in 17 dogs. Other possible explanations were seen less frequently. IVDD was most frequently seen in the Dachshund (10 out 23 dogs) and various breeds/crosses (n = 16), while MUO was most frequently seen in French Bulldogs (n = 4), Chihuahuas (n = 6) and Yorkshire terriers (n = 3). An intracranial neoplasia was most frequently seen in the French Bulldog (n = 5), various breeds/crosses (n = 6) and the Maltese (n = 3) (Table 1).

Table 1.
List of diagnoses found on the MRI scans that excluded these dogs from further evaluation.
3.3. Included Dogs
CM could be evaluated in 163 out of 177 dogs. No CM was seen in 63 dogs, CM1 in 52 dogs and CM2 in 48 dogs (total 56%). SM could be evaluated in 144 out of 177 dogs. SM0 was seen in 56 dogs and SM+ in 88 dogs (total 50%).
Sixteen different breeds were included: the Chihuahua (25), Dachshund (11), French Bulldog (52), Griffon Bruxellois, Belge or Petit Brabaçon (23), Japanese Spaniel (5), Maltese (7), Pug (5), Yorkshire terrier (5) and various breeds of which just one dog was included and crosses (44). Of those, 99 were males, 76 were female and 2 were of unknown sex (Table 2).

Table 2.
CM/SM status for 8 breeds and the group of various breed/cross. CM0/SM+ stands for the number of dogs without CM but affected by SM. There was no statistically significant difference for breed and age. The hypothesis that CM or SM is not seen in any of these breeds had to be rejected. The difference for CM, SM and CDD was statistically significant. For the exact description of CM0, etc., please see the M&M section.
There was no statistically significant difference for breed and sex (p = 0.32) or breed and age (p = 0.318), meaning that sex and age were comparable for all breeds. However, there was a statistically significant difference for all breeds for CM (p < 0.001), SM (p = 0.003) and syrinx size (p = 0.003), meaning that CM1/CM2 and SM+ were present at a significantly higher rate in all breeds. CM was seen the most in the Chihuahua (75%), Griffon (96%), Maltese (83%), Pug (75%) and Yorkshire terrier (80%) breeds. CM and/or SM were only seen in one out of nine Dachshunds. SM was observed in all breeds, with the highest frequency in the Griffon (89%), French Bulldog (70%) and Chihuahua (62%). Only in the French Bulldog was there evidence of a high number of dogs being affected by SM and not CM. In all other breeds, CM and SM appeared to predominantly occur simultaneously (Table 2). In all breeds, SM was observed with an average syrinx size of 2.9 ± 2.4 mm (Mean ± SD), with the French Bulldog, Pug, Griffon and Chihuahua having larger syrinxes (Table 2). MEE was only seen in the French Bulldog, two Chihuahuas and four crosses. Figure 1 and Figure 2 are examples of two of the collected MRI images.

Figure 1.
Example of a T1-weighted MRI of an 8-year-old Chihuahua. Yellow arrow—dilatation of the 4th ventricle; orange arrow—Chiari-like malformation; purple and green arrow—a large syrinx with a diameter of 3.1 mm. Taken with a 1.5 T MRI scanner.

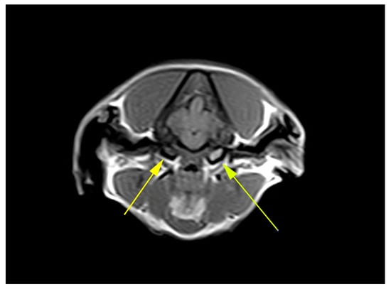
Figure 2.
Example of a T1-weighted MRI of a 3-year-old King Charles Spaniel. Yellow arrows—MEE. Taken with a 0.4 T MRI scanner.
4. Discussion
For the discussion of our findings, it is important to emphasize that SM, in this study, is defined as absent if the central canal (CC) was not visible (SM0). And if a fluid-filled cavity was visible, the dog was defined as affected with SM (SM+). In previous studies, SM was graded as SM0 if no fluid-filled cavity (or dilatation of the central canal (CCD)) was visible, SM1 if there was dilatation of the CCD up to 2 mm or less, and SM2 if there was dilatation of the CCD of more than 2 mm (Table 3) []. SM is a disorder which is not a normal phenotypic finding in dogs, and for this reason we used, like in a recently published study investigating the effect of MRI-based selection in the CKCS, the classification of absent or present (SM0 and SM+; Table 2) [].

Table 3.
The dogs were classified for SM using the BVA/KC scheme. SM0 means that there is no fluid-filled cavity/central canal visible, SM1 means that the dilatation is 2 mm or less and SM2 means that it is more than 2 mm.
In this group of small dog breeds, scanned because of the presence of neurological signs, CM and SM occurred in all breeds. It must be stressed that this is not a randomly chosen group of dogs, and all dogs included were scanned for a diagnostic reason. This is in contrast with a recently published study investigating the effect of MRI-based selection in the CKCS []. In this study, CKCSs are included without clinical signs. CKCS breeders are obligated to scan their dog prior to breeding []. And this study is also in contrast with studies focusing on the Pomeranian []. For the Pomeranian, we advertised to attract owners to the study. Half of the Pomeranians that were scanned did not show any clinical sign []. But in this group of small dogs, CM and SM was seen in all breeds. For the brachycephalic breeds, this was expected. There is an association of CM and brachycephaly [,]. The findings in the four typical brachycephalic breeds, the French bulldog, Chihuahua, Griffon, and Pug, are therefore not surprising. The presence of CM and SM in both the Chihuahua and Griffon has also been reported earlier [,,]. Reports on CM/SM in the French Bulldog or Pug are anecdotal. In 2012, the French Bulldog was actually used as a control group for a CKCS study [] but based on our findings, the French Bulldog is not a suitable control group for the CKCS. It appears to be one of the breeds with a high incidence of SM. And although the number of Pugs in this study was small, CM and/or SM appears to occur with similar frequencies as within the French bulldog. Both breeds are true flat-faced dogs. Officially, the Japanese spaniel is a brachycephalic breed, but in the five dogs included, the number of dogs affected with CM/SM was much lower compared to the other breeds. However, it should be mentioned that the number of included Japanese spaniels is small. This introduces a risk of under and/or overestimates. Of the other three breeds, the miniature Dachshund is officially a dolichocephalic breed, but even in this breed, CM and SM without apparent cause were observed. The two remaining breeds are mesocephalic: the Maltese dog and the Yorkshire terrier. But again, in both breeds, CM and SM was observed. CM/SM is apparently not a disorder typical for brachycephalic breeds but does occur in small mesocephalic and dolichocephalic breeds as well. All included breeds were classified officially by the FCI as companion and toy breed dogs.
The finding of SM without CM observed in the French Bulldog is of interest. No less than 10 French Bulldogs suffered from SM, while no CM was observed. Similar findings have been seen in the Griffon [] and Pomeranian []. Some Pomeranians are severely affected by SM and have minimal to absent CM []. Both breeds have, compared to for instance a Labrador retriever, a clearly different skull morphology. In which way the changed skull morphology has influenced the presence of CM and/or SM cannot be answered with our findings. In this study, we were not able to measure the skull index or cranial index [], and therefore we cannot draw firm conclusions as to why these dogs suffer from CM/SM. We can only conclude that they all have their size in common. These breeds are not the result of an evolutionary process. These breeds are the result of selective breeding. A recent study identified an ancestral IGF1 allele, which predisposes to small size, to be common in small-sized breeds and smaller wild canids. This variant, which regulates body size, is predominantly seen in toy breeds []. Humans created these dogs and CM/SM seems to be the result of our need to create small to extremely small dogs.
None of the other listed small dog breeds are screened for CM/SM prior to breeding in the Netherlands. If dogs of these breeds are presented with clinical signs of (phantom) scratching, paw licking, air licking, head rubbing, fear of being touched or spontaneous yelps, then CM and SM should be included in the differential list of possible causes.
MEE was predominantly seen in the French bulldog. Whether this was an otitis media or MEE, like seen in the CKCS [], cannot be concluded as no patient record was available for review from any of these dogs.
Although the exact reason for taking the MRI scan was unknown to us, none of the listed breeds, except for the Griffon, were screened for breeding in the Netherlands. In 84 out of 261 dogs, a diagnosis was found that could explain the existence of either the observed CM or SM. The findings in this study are in line with earlier publications. Intracranial tumors are frequently seen in French Bulldogs [,,] and the Maltese []. The Dachshund is predisposed to develop IVDD [] and MUO is often seen in breeds such as the Chihuahua and Yorkshire terrier [].
This study has limitations. First of all, despite including all MRI scans taken of small dog breeds at all of the Dutch MRI centers over a period of 8 years, the total number of dogs included in this study is still small. Second, to properly describe the cranial caudal fossa and foramen magnum, ideally a CT scan should be taken. However, a CT scan cannot be used to properly diagnose CM or SM []. This study investigated the prevalence of CM/SM using MRI, but it must be stressed that the skulls of the investigated breeds vary, and this could not be addressed using the available data in this study. Third, no patient records were available for the included dogs. Four, because the included dogs were not randomly chosen, this study does not qualify as a true prevalence study. But CM/SM apparently does occur in the examined breeds. And for this reason, breeders and breeding clubs are advised to perform incidence studies like in the CKCS and Pomeranian. And lastly, four clinics used a low-field MRI scanner and three used a high-field MRI scanner. It is possible that the MRI scans produced with the low-field MRI scanners missed small abnormalities that would have been noted when using a high-field MRI scanner.
5. Conclusions
Although this was not a randomly chosen group of dogs, CM and SM were seen in several small dogs/toy breeds. And interestingly, SM was seen in a number of dogs without CM and in a number of breeds that are not brachycephalic, suggesting that SM is not simply the result of an abnormal skull size. If a small dog/toy breed dog with clinical signs suggestive for CM/SM is presented for examination, both disorders should be included as possible differential diagnoses. And as CM/SM diminish a dogs quality of life, breeders of these breeds, should, as in the CKCS and Pomeranian, take preventive actions to assess the incidence and, if needed, reduce the presence of these disorders in these breeds.
Author Contributions
Conceptualization, P.J.J.M.; methodology, P.J.J.M.; validation, F.H., K.B.-S. and P.J.J.M.; formal analysis, P.J.J.M.; investigation, F.H., K.B.-S. and P.J.J.M.; data curation, F.H., K.B.-S. and P.J.J.M.; writing—original draft preparation, P.J.J.M.; writing—review and editing, F.H., K.B.-S. and P.J.J.M.; supervision, P.J.J.M.; project administration, P.J.J.M.; funding acquisition, F.H. and P.J.J.M. All authors have read and agreed to the published version of the manuscript.
Funding
This study received no external funding.
Institutional Review Board Statement
This study did not require ethical approval. Ethical review and approval were waived for this study due to the fact that it was a retrospective study on MRI scans that were previously produced from referred patients.
Informed Consent Statement
Informed consent was obtained from all owners. However, all data were produced anonymously and processed accordingly.
Data Availability Statement
The data used for this study can be shared upon request.
Acknowledgments
We wish to thank all seven MRI centers for their cooperation and enthusiastic support, as well as Pieter Limburg (DVM) for his help retrieving the MRI images.
Conflicts of Interest
The authors declare no conflicts of interest.
Abbreviations
BVA | British Veterinary Association |
CC | central canal |
CCD | central canal dilatation |
CM | Chiari-like malformation |
CKCS | Cavalier King Charles Spaniel |
CSF | cerebrospinal fluid |
ECVDI | European College of Veterinary Diagnostic Imaging |
ECVN | European College of Veterinary Neurology |
IVDD | intervertebral disc degeneration |
FCI | Federation Cynologique International |
KC | Kennel Club |
MEE | middle ear effusion |
MRI | Magnetic Resonance Imaging |
MUO | Meningoencephalomyelitis of Unknown Origin |
PSOM | primary secretory ititis media |
SM | Syringomyelia |
References
- Rusbridge, C. Persistent scratching in Cavalier King Charles spaniels. Vet. Rec. 1997, 141, 179. [Google Scholar] [PubMed]
- Rusbridge, C. Neurological diseases of the Cavalier King Charles spaniel. J. Small Anim. Pr. 2005, 46, 265–272. [Google Scholar] [CrossRef] [PubMed]
- Stern-Bertholtz, W.; Sjostrom, L.; Hakanson, N.W. Primary secretory otitis media in the Cavalier King Charles spaniel: A review of 61 cases. J. Small Anim. Pr. 2003, 44, 253–256. [Google Scholar] [CrossRef] [PubMed]
- Wijnrocx, K.; Van Bruggen, L.W.L.; Eggelmeijer, W.; Noorman, E.; Jacques, A.; Buys, N.; Janssens, S.; Mandigers, P.J.J. Twelve years of chiari-like malformation and syringomyelia scanning in Cavalier King Charles Spaniels in the Netherlands: Towards a more precise phenotype. PLoS ONE 2017, 12, e0184893. [Google Scholar] [CrossRef] [PubMed] [PubMed Central]
- Limpens, C.; Smits, V.T.M.; Fieten, H.; Mandigers, P.J.J. The effect of MRI-based screening and selection on the prevalence of syringomyelia in the Dutch and Danish Cavalier King Charles Spaniels. Front. Vet. Sci. 2024, 11, 1326621. [Google Scholar] [CrossRef] [PubMed] [PubMed Central]
- Rusbridge, C.; Greitz, D.; Iskandar, B.J. Syringomyelia: Current concepts in pathogenesis, diagnosis, and treatment. J. Vet. Intern. Med. 2006, 20, 469–479. [Google Scholar] [CrossRef]
- Driver, C.J.; Volk, H.A.; Rusbridge, C.; Van Ham, L.M. An update on the pathogenesis of syringomyelia secondary to Chiari-like malformations in dogs. Vet. J. 2013, 198, 551–559. [Google Scholar] [CrossRef] [PubMed]
- Shaw, T.A.; McGonnell, I.M.; Driver, C.J.; Rusbridge, C.; Volk, H.A. Increase in cerebellar volume in Cavalier King Charles Spaniels with Chiari-like malformation and its role in the development of syringomyelia. PLoS ONE 2012, 7, e33660. [Google Scholar] [CrossRef] [PubMed] [PubMed Central]
- Driver, C.J.; Watts, V.; Bunck, A.C.; Van Ham, L.M.; Volk, H.A. Assessment of cerebellar pulsation in dogs with and without Chiari-like malformation and syringomyelia using cardiac-gated cine magnetic resonance imaging. Vet. J. 2013, 198, 88–91. [Google Scholar] [CrossRef] [PubMed]
- Rusbridge, C.; Knowler, P. The Need for Head Space: Brachycephaly and Cerebrospinal Fluid Disorders. Life 2021, 11, 139. [Google Scholar] [CrossRef] [PubMed] [PubMed Central]
- Cirovic, S.; Rusbridge, C. Slosh Simulation in a Computer Model of Canine Syringomyelia. Life 2021, 11, 1083. [Google Scholar] [CrossRef] [PubMed] [PubMed Central]
- Kiviranta, A.M.; Rusbridge, C.; Lappalainen, A.K.; Junnila, J.J.T.; Jokinen, T.S. Persistent fontanelles in Chihuahuas. Part II: Association with craniocervical junction abnormalities, syringomyelia, and ventricular volume. J. Vet. Intern. Med./Am. Coll. Vet. Intern. Med. 2021, 35, 1848–1856. [Google Scholar] [CrossRef] [PubMed] [PubMed Central]
- Rusbridge, C.; Knowler, S.P.; Pieterse, L.; McFadyen, A.K. Chiari-like malformation in the Griffon Bruxellois. J. Small Anim. Pract. 2009, 50, 386–393. [Google Scholar] [CrossRef] [PubMed]
- Knowler, S.P.; Kiviranta, A.M.; McFadyen, A.K.; Jokinen, T.S.; La Ragione, R.M.; Rusbridge, C. Craniometric Analysis of the Hindbrain and Craniocervical Junction of Chihuahua, Affenpinscher and Cavalier King Charles Spaniel Dogs With and Without Syringomyelia Secondary to Chiari-Like Malformation. PLoS ONE 2017, 12, e0169898. [Google Scholar] [CrossRef] [PubMed] [PubMed Central]
- Santifort, K.M.; Carrera, I.; Bossens, K.; Mandigers, P.J.J. Phenotypic characterization of Pomeranians with or without Chiari-like malformation and syringomyelia. Front. Vet. Med. 2023, 10, 13. [Google Scholar] [CrossRef]
- Santifort, K.M.; Carrera, I.; Mandigers, P.J.J. Longitudinal assessment of syringomyelia in Pomeranians. Front. Vet. Sci. 2024, 11, 1364464. [Google Scholar] [CrossRef] [PubMed] [PubMed Central]
- Schmidt, M.J.; Volk, H.; Klingler, M.; Failing, K.; Kramer, M.; Ondreka, N. Comparison of closure times for cranial base synchondroses in mesaticephalic, brachycephalic, and Cavalier King Charles Spaniel dogs. Vet. Radiol. Ultrasound 2013, 54, 497–503. [Google Scholar] [CrossRef] [PubMed]
- Mitchell, T.J.; Knowler, S.P.; van den Berg, H.; Sykes, J.; Rusbridge, C. Syringomyelia: Determining risk and protective factors in the conformation of the Cavalier King Charles Spaniel dog. Canine Genet Epidemiol. 2014, 1, 9. [Google Scholar] [CrossRef] [PubMed] [PubMed Central]
- Schmidt, M.J.; Neumann, A.C.; Amort, K.H.; Failing, K.; Kramer, M. Cephalometric measurements and determination of general skull type of Cavalier King Charles Spaniels. Vet. Radiol. Ultrasound 2011, 52, 436–440. [Google Scholar] [CrossRef]
- Bertram, S.; Ter Haar, G.; De Decker, S. Congenital malformations of the lumbosacral vertebral column are common in neurologically normal French Bulldogs, English Bulldogs, and Pugs, with breed-specific differences. Vet. Radiol. Ultrasound 2019, 60, 400–408. [Google Scholar] [CrossRef] [PubMed]
- Sebbag, L.; Sanchez, R.F. The pandemic of ocular surface disease in brachycephalic dogs: The brachycephalic ocular syndrome. Vet. Ophthalmol. 2023, 26 (Suppl. S1), 31–46. [Google Scholar] [CrossRef] [PubMed]
- Mitze, S.; Barrs, V.R.; Beatty, J.A.; Hobi, S.; Beczkowski, P.M. Brachycephalic obstructive airway syndrome: Much more than a surgical problem. Vet. Q. 2022, 42, 213–223. [Google Scholar] [CrossRef] [PubMed] [PubMed Central]
- Parker, J.E.; Knowler, S.P.; Rusbridge, C.; Noorman, E.; Jeffery, N.D. Prevalence of asymptomatic syringomyelia in Cavalier King Charles spaniels. Vet. Rec. 2011, 168, 667. [Google Scholar] [CrossRef] [PubMed]
- Knowler, S.P.; McFadyen, A.K.; Rusbridge, C. Effectiveness of breeding guidelines for reducing the prevalence of syringomyelia. Vet. Rec. 2011, 169, 681. [Google Scholar] [CrossRef] [PubMed]
- Santifort, K.M.; Bellekom, S.; Carrera, I.; Mandigers, P.J.J. Craniocervical Morphometry in Pomeranians—Part I: Part I: Intra-Observer, Interobserver, and Intermodality (CT vs. MRI) Agreement. Animals 2024, 14, 1854. [Google Scholar] [CrossRef]
- Harcourt-Brown, T.R.; Campbell, J.; Warren-Smith, C.; Jeffery, N.D.; Granger, N.P. Prevalence of Chiari-like malformations in clinically unaffected dogs. J. Vet. Intern. Med./Am. Coll. Vet. Intern. Med. 2015, 29, 231–237. [Google Scholar] [CrossRef] [PubMed] [PubMed Central]
- Schmidt, M.J.; Kramer, M.; Ondreka, N. Comparison of the relative occipital bone volume between Cavalier King Charles spaniels with and without syringohydromyelia and French bulldogs. Vet. Radiol. Ultrasound 2012, 53, 540–544. [Google Scholar] [CrossRef] [PubMed]
- Plassais, J.; vonHoldt, B.M.; Parker, H.G.; Carmagnini, A.; Dubos, N.; Papa, I.; Bevant, K.; Derrien, T.; Hennelly, L.M.; Whitaker, D.T.; et al. Natural and human-driven selection of a single non-coding body size variant in ancient and modern canids. Curr. Biol. 2022, 32, 889–897e9. [Google Scholar] [CrossRef] [PubMed] [PubMed Central]
- Kishimoto, T.E.; Uchida, K.; Chambers, J.K.; Kok, M.K.; Son, N.V.; Shiga, T.; Hirabayashi, M.; Ushio, N.; Nakayama, H. A retrospective survey on canine intracranial tumors between 2007 and 2017. J. Vet. Med. Sci. 2020, 82, 77–83. [Google Scholar] [CrossRef] [PubMed] [PubMed Central]
- Miller, A.D.; Miller, C.R.; Rossmeisl, J.H. Canine Primary Intracranial Cancer: A Clinicopathologic and Comparative Review of Glioma, Meningioma, and Choroid Plexus Tumors. Front. Oncol. 2019, 9, 1151. [Google Scholar] [CrossRef] [PubMed] [PubMed Central]
- Song, R.B.; Vite, C.H.; Bradley, C.W.; Cross, J.R. Postmortem evaluation of 435 cases of intracranial neoplasia in dogs and relationship of neoplasm with breed, age, and body weight. J. Vet. Intern. Med./Am. Coll. Vet. Intern. Med. 2013, 27, 1143–1152. [Google Scholar] [CrossRef] [PubMed]
- Reunanen, V.L.J.; Jokinen, T.S.; Hytonen, M.K.; Junnila, J.J.T.; Lappalainen, A.K. Evaluation of intervertebral disc degeneration in young adult asymptomatic Dachshunds with magnetic resonance imaging and radiography. Acta Vet. Scand. 2023, 65, 42. [Google Scholar] [CrossRef] [PubMed] [PubMed Central]
- Goncalves, R.; De Decker, S.; Walmsley, G.; Maddox, T.W. Prognosis in meningoencephalitis of unknown origin in dogs: Risk factors associated with survival, clinical relapse, and long-term disability. J. Vet. Intern. Med./Am. Coll. Vet. Intern. Med. 2024, 38, 1583–1590. [Google Scholar] [CrossRef] [PubMed] [PubMed Central]
- Weber, S.M.; Hostnik, E.T.; Drost, W.T.; Hamlin, A.N.; Ledesma, M.A.; Timperman, L.; Hechler, A.C.; Cole, L.K. Comparison of high-field MRI and multidetector CT for grading Chiari-like malformation and syringomyelia in Cavalier King Charles Spaniels. Vet. Radiol. Ultrasound 2020, 61, 444–452. [Google Scholar] [CrossRef] [PubMed]
Disclaimer/Publisher’s Note: The statements, opinions and data contained in all publications are solely those of the individual author(s) and contributor(s) and not of MDPI and/or the editor(s). MDPI and/or the editor(s) disclaim responsibility for any injury to people or property resulting from any ideas, methods, instructions or products referred to in the content. |
© 2024 by the authors. Licensee MDPI, Basel, Switzerland. This article is an open access article distributed under the terms and conditions of the Creative Commons Attribution (CC BY) license (https://creativecommons.org/licenses/by/4.0/).