Examining Emphysematous Pyelonephritis: A Case Study on Diagnosis and Outcomes
Abstract
1. Introduction
2. Case Presentation
2.1. Patient Symptom
2.2. Laboratory Test
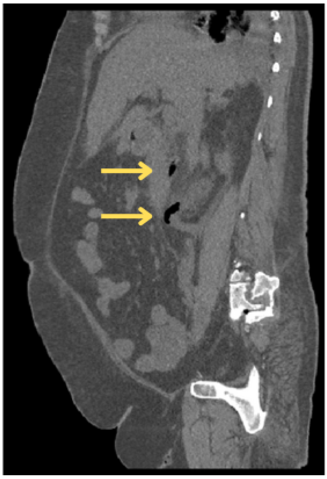
2.3. Diagnostic Findings
2.4. Treatment Plan and Outcome
3. Discussion
4. Conclusions
Author Contributions
Funding
Institutional Review Board Statement
Informed Consent Statement
Data Availability Statement
Conflicts of Interest
Abbreviations
| EPN | Emphysematous pyelonephritis |
| DM | Diabetes mellitus |
| IDF | International Diabetes Federation |
| KUB | Kidney–ureter–bladder |
| CBC | Complete blood count |
| CT | Computed tomography |
| CECT | Contrast-enhanced computed tomography |
| NECT | Non-contrast computed tomography |
References
- Gondal, M.N.; Cieslik, M.; Chinnaiyan, A.M. Integrated cancer cell-specific single-cell RNA-seq datasets of immune checkpoint blockade-treated patients. bioRxiv 2024. [Google Scholar] [CrossRef]
- Goyal, R.; Singhal, M.; Jialal, I. Type 2 Diabetes. [Updated 23 June 2023]. In StatPearls [Internet]; StatPearls Publishing: Treasure Island, FL, USA, 2024. Available online: https://www.ncbi.nlm.nih.gov/books/NBK513253/ (accessed on 28 October 2024).
- The IDF Diabetes Atlas. The International Diabetes Federation. 2021. Available online: https://idf.org/about-diabetes/diabetes-facts-figures/ (accessed on 4 December 2024).
- Rafiq, N.; Nabi, T.; Rasool, S.; Sheikh, R.Y. A prospective study of emphysematous pyelonephritis in patients with type 2 diabetes. Indian J. Nephrol. 2021, 31, 536–543. [Google Scholar] [PubMed]
- Chen, C.C.; Hsieh, M.S.; Hu, S.Y.; Huang, S.C.; Tsai, C.A.; Tsai, Y.C. Performance of scoring systems in predicting clinical outcomes of patients with emphysematous pyelonephritis: A 14-year hospital-based study. J. Clin. Med. 2022, 11, 7299. [Google Scholar] [CrossRef] [PubMed]
- Pontin, A.R.; Barnes, R.D.; Joffe, J.; Kahn, D. Emphysematous pyelonephritis in diabetic patients. Br. J. Urol. 1995, 75, 71–74. [Google Scholar] [CrossRef] [PubMed]
- Krishnamoorthy, S.; Zumla, A.; Sekar, H.; Muneer, A.; Thiruvengadam, G.; Kumaresan, N. Prognostic scoring system and risk stratification in patients with emphysematous pyelonephritis: An 11-year prospective study at a tertiary referral centre. BJU Int. 2021, 127, 418–427. [Google Scholar] [CrossRef] [PubMed]
- Bale, C.; Mhaske, S.; Purandare, V.B.; Kulkarni, A.; Chavan, A.; Vyas, N.; Purandare, B. Emphysematous pyelonephritis and diabetes mellitus: A clinical perspective. Chron. Diabetes Res. Pract. 2023, 2, 46–53. [Google Scholar] [CrossRef]
- Batirel, A.; Regmi, S.K.; Singh, P.; Mert, A.; Konety, B.R.; Kumar, R. Urological infections in the developing world: An increasing problem in developed countries. World J. Urol. 2020, 38, 2681–2691. [Google Scholar] [CrossRef]
- Nishikawara, M.; Harada, M.; Yamazaki, D.; Kakegawa, T.; Hashimoto, K.; Kamijo, Y. A case of emphysematous pyelonephritis in an older man with poorly controlled type 2 diabetes mellitus. CEN Case Rep. 2024, 13, 161–167. [Google Scholar] [CrossRef] [PubMed]
- Song, Y.; Shen, X. Diabetic ketoacidosis complicated by emphysematous pyelonephritis: A case report and literature review. BMC Urol. 2020, 20, 6. [Google Scholar] [CrossRef] [PubMed]
- Desai, R.; Batura, D. A systematic review and meta-analysis of risk factors and treatment choices in emphysematous pyelonephritis. Int. Urol. Nephrol. 2022, 54, 717–736. [Google Scholar] [CrossRef] [PubMed]
- Artinyan, E.; Dimov, N.; Vaysilova, M. Emphysematous Pyelonephritis in a Patient on SGLT2 Inhibitor Therapy: A Rare Clinical Case Report. Case Rep. Nephrol. Dial. 2024, 14, 81–87. [Google Scholar] [CrossRef]
- Farooqi, M.A.; Mahnoor, M.; Delgado, K.M.; Dahlgren, W.T.T.; Kang, C.U.; Farooqi, H.M.U. Focused Ultrasound as Targeted Therapy for Colorectal Cancer: A Comprehensive Review. Gastrointest. Disord. 2024, 6, 380–401. [Google Scholar] [CrossRef]
- Irfaan, A.M.; Shaikh, N.A.; Jamshaid, A.; Qureshi, A.H. Emphysematous Pyelonephritis: A single center review. Pak. J. Med. Sci. 2020, 36, S83. [Google Scholar] [CrossRef]
- Schutz, E.A.; Zabott, A.P.; Boaretto, R.B.B.; Toyama, G.; Morais, C.F.D.; Moroni, J.G.; Oliveira, C.S.D. Emphysematous pyelonephritis caused by C. glabrata. Braz. J. Nephrol. 2021, 44, 447–451. [Google Scholar] [CrossRef] [PubMed]
- Zahid, A.S.; Farooqi, H.M.U.; Ahsan, A.; Farooqi, M.A.; Kausar, F.; Muhammad, J.; Ahmad, A. Comparative analysis of antigenic strength and in vivo serum antibodies concentration of tetanus toxoid vaccine adsorbed in Pakistan. Saudi J. Biol. Sci. 2022, 29, 103337. [Google Scholar] [CrossRef]
- Arrambide-Herrera, J.G.; Robles-Torres, J.I.; Ocaña-Munguía, M.A.; Romero-Mata, R.; Gutiérrez-González, A.; Gómez-Guerra, L.S. Predictive factors for mortality and intensive care unit admission in patients with emphysematous pyelonephritis: 5-Year experience in a tertiary care hospital. Actas Urol. Esp. 2022, 46, 98–105. [Google Scholar] [CrossRef]
- Robles-Torres, J.I.; Castellani, D.; Trujillo-Santamaría, H.; Teoh, J.Y.C.; Tanidir, Y.; Campos-Salcedo, J.G.; Bravo-Castro, E.I.; Wroclawski, M.L.; Kumar, S.; Sanchez-Nuñez, J.E.; et al. Prognosis of extended-Spectrum-Beta-Lactamase-Producing agents in emphysematous pyelonephritis-results from a Large, multicenter series. Pathogens 2022, 11, 1397. [Google Scholar] [CrossRef]
- Farooqi, H.M.U.; Kim, K.H.; Kausar, F.; Muhammad, J.; Bukhari, H.; Choi, K.H. Frequency and molecular characterization of Staphylococcus aureus from placenta of mothers with term and preterm deliveries. Life 2022, 12, 257. [Google Scholar] [CrossRef]
- Chávez-Valencia, V.; Orizaga-de-La-Cruz, C.; Aguilar-Bixano, O.; Lagunas-Rangel, F.A. Coexistence of emphysematous cystitis and bilateral emphysematous pyelonephritis: A case report and review of the literature. CEN Case Rep. 2020, 9, 313–317. [Google Scholar] [CrossRef]
- Storey, B.; Nalavenkata, S.; Whitcher, S.; Blatt, A. Emphysematous pyelonephritis: A twelve-year review in a regional center. J. Urol. Surg. 2022, 9, 203–208. [Google Scholar] [CrossRef]
- Weintraub, M.D.; Winter, T.C., III. Emphysematous pyelonephritis in a diabetic patient. BMJ Case Rep. 2021, 14, e239416. [Google Scholar] [CrossRef]
- Barahimi, E.; Basham, A.; Evazi, E.; Hassaniazad, M.; Heidari, B.; Mazaheri, M. Concurrent emphysematous cystitis and emphysematous pyelonephritis in a patient with extrarenal pelvis. CEN Case Rep. 2024, 13, 149–153. [Google Scholar] [CrossRef] [PubMed]
- Kumar, M.; Tanwar, D.S.; Barwal, K.C.; Sharma, G.K.; Raina, P. Emphysematous Pyelonephritis: Nephrectomy is not necessary, a narrative review. J. Drug Deliv. Ther. 2024, 14, 168–174. [Google Scholar] [CrossRef]
- Kato, Y.; Ishii, S.; Goto, Y.; Nozaki, Y.; Kawamura, T.; Morino, G.; Hoshi, S.; Takahashi, G.; Obara, W. Emphysematous pyelonephritis diagnosed by acute changes detected via computed tomography: A case report. Clin. Case Rep. 2024, 12, e9211. [Google Scholar] [CrossRef]
- Hinkamp, C.A.; Keshvani, N. Emphasising classification in emphysematous pyelonephritis. Lancet 2020, 395, 1145. [Google Scholar] [CrossRef]
- Sherchan, R.; Hamill, R. Emphysematous Pyelonephritis. In StatPearls [Internet]; StatPearls Publishing: Treasure Island, FL, USA, 2024. [Google Scholar]
- Ngo, X.T.; Nguyen, T.T.; Dobbs, R.W.; Thai, M.S.; Vu, D.H.; Dinh, L.Q.V.; Quy, K.; Le, H.T.; Hoang, T.D.; Ngo, H.T.T.; et al. Prevalence and risk factors of mortality in emphysematous pyelonephritis patients: A meta-analysis. World J. Surg. 2022, 46, 2377–2388. [Google Scholar] [CrossRef]
- Billett, H.H. Hemoglobin and Hematocrit. Clinical Methods: The History, Physical, and Laboratory Examinations, 3rd ed.; Butterworths: Boston, MA, USA, 1990. Available online: https://www.ncbi.nlm.nih.gov/books/NBK259/ (accessed on 4 December 2024).
- National Heart, Lung, and Blood Institute. Thrombocytopenia. National Institutes of Health. Available online: https://www.nhlbi.nih.gov/health/thrombocytopenia (accessed on 5 December 2024).
- Cleveland Clinic. Alkaline Phosphatase (ALP). Available online: https://my.clevelandclinic.org/health/diagnostics/22029-alkaline-phosphatase-alp (accessed on 5 December 2024).
- World Health Organization. Indicator Metadata Registry: Blood Glucose Levels—Expected Values. Available online: https://www.who.int/data/gho/indicator-metadata-registry/imr-details/2380#:~:text=The%20expected%20values%20for%20normal,and%20monitoring%20glycemia%20are%20recommended (accessed on 5 December 2024).
- UNC Medical Center. Urinalysis, General & Microscopic. Available online: https://www.uncmedicalcenter.org/mclendon-clinical-laboratories/available-tests/urinalysis-general-microscopic/ (accessed on 5 December 2024).
- UCSF Health. Creatinine Blood Test. Available online: https://www.ucsfhealth.org/medical-tests/creatinine-blood-test#:~:text (accessed on 13 December 2024).
- Gite, V.A.; Shaw, V.; Agrawal, M.; Sankapal, P.; Maheshwari, M. Minimally invasive techniques as a first line approach in the management of emphysematous pyelonephritis—A single centre experience. J. Postgrad. Med. 2021, 67, 146–153. [Google Scholar] [CrossRef] [PubMed]
- Gondal, M.N.; Butt, R.N.; Shah, O.S.; Nasir, Z.; Hussain, R.; Khawar, H.; Tariq, M.; Faisal, A.; Chaudhary, S.U. In silico Drosophila Patient Model Reveals Optimal Combinatorial Therapies for Colorectal Cancer. bioRxiv 2020. [Google Scholar] [CrossRef]
- Gondal, M.N.; Butt, R.N.; Shah, O.S.; Sultan, M.U.; Mustafa, G.; Nasir, Z.; Hussain, R.; Khawar, H.; Qazi, R.; Tariq, M.; et al. A personalized therapeutics approach using an in silico drosophila patient model reveals optimal chemo-and targeted therapy combinations for colorectal cancer. Front. Oncol. 2021, 11, 692592. [Google Scholar] [CrossRef]
- Anik, G.; Kant, T.S.; Kumar, S.S.; Kunjan, K.; Arif, I.M.; Kumar, D.R. Management of emphysematous pyelonephritis with conservative and minimal invasive drainage—A case series. Int. J. Pure Med. Res. 2023, 8, 1–4. Available online: https://www.ijopmr.org/Uploaded/issues_pdf/2023/August/August_2023_1693047179_3500152.pdf (accessed on 4 December 2024).
- Dong, X.; You, S.; Zhang, H.; Wang, D.; Pan, W.; Zhang, B.; Huang, S.; Li, X.; Pang, J.; Ji, W. Venous gas caused by emphysematous pyelonephritis: A case report and review of literature. BMC Urol. 2022, 22, 154. [Google Scholar] [CrossRef]
- Wu, S.Y.; Shei-Dei Yang, S.; Chang, S.J.; Hsu, C.K. Emphysematous pyelonephritis: Classification, management, and prognosis. Tzu Chi Med. J. 2022, 34, 297–302. [Google Scholar] [CrossRef] [PubMed]
- Enríquez-León, A.J.; de Souza, T.D.; Aragão, F.T.S.; Braz, D.; Pereira, A.M.B.; Nogueira, L.P. Determination of the air void content of asphalt concrete mixtures using artificial intelligence techniques to segment micro-CT images. Int. J. Pavement Eng. 2022, 23, 3973–3982. [Google Scholar] [CrossRef]
- Rani, G.; Thakkar, P.; Verma, A.; Mehta, V.; Chavan, R.; Dhaka, V.S.; Sharma, R.K.; Vocaturo, E.; Zumpano, E. KUB-UNet: Segmentation of organs of urinary system from a KUB X-ray image. Comput. Methods Programs Biomed. 2022, 224, 107031. [Google Scholar] [CrossRef] [PubMed]
- Rauf, A.; Javed, S.; Chandrasekar, B.; Miah, S.; Lyttle, M.; Siraj, M.; Mukherjee, R.; McLeavy, C.M.; Alaaraj, H.; Hawkins, R. The use of artificial intelligence and deep learning reconstruction in urological computed tomography: Dose reduction at ghost level. Urol. Ann. 2023, 15, 417–423. [Google Scholar] [CrossRef]


| Class Label | Description |
|---|---|
| Class I | Gas in the pelvicalyceal system with normal renal parenchyma |
| Class II | Gas in renal parenchyma with no gas in the extrarenal space |
| Class III-A | Gas in the perinephric space, beyond the renal capsule but within Gerota’s fascia |
| Class III-B | Gas in the pararenal space |
| Class IV | Solitary or bilateral kidney |
| Parameter | Values | Normal Range |
|---|---|---|
| Hemoglobin (grams per deciliter) (g/dL) | 8.2 g/dL | 12–16 g/dL [30] |
| Platelet count (platelets per microliter) (mcL) | 54 mcL | 15–40 mcL [31] |
| Alkaline phosphatase (international units per liter) (IU/L) | 66 IU/L | 44–147 IU/L [32] |
| Glucose (milligrams per deciliter) (mg/dL) | 320 mg/dL | 70–100 mg/dL [33] |
| White blood cells (per high-power field (HPF)) | 10–12 HPF | male: 0–2 HPF, female: 0–5 HPF [34] |
| Serum Creatinine (milligrams per liter) (mg/L) | 2.5 mg/L | 0.7–1.3 mg/L [35] |
Disclaimer/Publisher’s Note: The statements, opinions and data contained in all publications are solely those of the individual author(s) and contributor(s) and not of MDPI and/or the editor(s). MDPI and/or the editor(s) disclaim responsibility for any injury to people or property resulting from any ideas, methods, instructions or products referred to in the content. |
© 2024 by the authors. Licensee MDPI, Basel, Switzerland. This article is an open access article distributed under the terms and conditions of the Creative Commons Attribution (CC BY) license (https://creativecommons.org/licenses/by/4.0/).
Share and Cite
Mahnoor, M.; Ali, S.A.; Nasir, S.; Azmat, M.; Farooqi, H.M.U. Examining Emphysematous Pyelonephritis: A Case Study on Diagnosis and Outcomes. Emerg. Care Med. 2024, 1, 454-460. https://doi.org/10.3390/ecm1040045
Mahnoor M, Ali SA, Nasir S, Azmat M, Farooqi HMU. Examining Emphysematous Pyelonephritis: A Case Study on Diagnosis and Outcomes. Emergency Care and Medicine. 2024; 1(4):454-460. https://doi.org/10.3390/ecm1040045
Chicago/Turabian StyleMahnoor, Mahnoor, Syeda Aina Ali, Saira Nasir, Moiz Azmat, and Hafiz Muhammad Umer Farooqi. 2024. "Examining Emphysematous Pyelonephritis: A Case Study on Diagnosis and Outcomes" Emergency Care and Medicine 1, no. 4: 454-460. https://doi.org/10.3390/ecm1040045
APA StyleMahnoor, M., Ali, S. A., Nasir, S., Azmat, M., & Farooqi, H. M. U. (2024). Examining Emphysematous Pyelonephritis: A Case Study on Diagnosis and Outcomes. Emergency Care and Medicine, 1(4), 454-460. https://doi.org/10.3390/ecm1040045

