Abstract
Gout is intimately associated with cardiovascular disease—especially in cases of an atherosclerosis origin, but also with others such as heart failure, atrial fibrillation, or aortic valve stenosis. Besides the common presence of vascular comorbidities in gout sufferers, the disease is—in itself—an independent cardiovascular risk factor, with disease events and mortality attributable to having this condition. This review aims to update the current knowledge regarding several grey areas of the gout–cardiovascular disease spectrum—particularly in terms of risk variations across sex or ancestries, potential monosodium urate crystal deposition in the artery tree as a pathogenic pathway, the efforts undertaken to assess risk estimations in the gout population, and recent controversies surrounding the effects of gout therapies on cardiovascular disease.
1. Introduction
Gout is the monosodium urate (MSU) crystal deposition disease. The experts from the Gout, Hyperuricemia, and Crystal-Associated Disease Network (G-CAN) have defined the disease as being present when MSU crystal deposition is accompanied by clinical manifestations such as flares, persistent arthritis, and/or tophi [1]. However, the transition from asymptomatic hyperuricemia to gout may be sometimes blurred—especially when MSU crystals are already formed [2]. The disease is clinically characterized by recurrent, self-limited episodes of joint inflammation, and in long-duration cases with insufficient or absent treatment, subcutaneous tophi and/or chronic arthritis. Moreover, patients with gout suffer from disabilities and an impaired quality of life, with higher scores (worse status) on several scales such as the Gout Assessment Questionnaire, Health Assessment Questionnaire–Disease Index, or the Short-Form 36 compared to controls—even during flare-free periods [3]. Hospitalizations due to gout have almost doubled in the last decades [4,5,6] and, more importantly, mortality rates in patients with gout greatly surpass those of the general population (all-cause standardized mortality ratio of 2.21) [7].
There is a close relationship between gout and cardiovascular diseases (CVD). Patients with gout present myriad comorbidities, in which cardiovascular risk factors such as hypertension, dyslipidemia, a smoking habit, obesity, diabetes mellitus, and chronic kidney disease [8,9,10,11,12,13] play a relevant role. Vascular diseases account for more than half of deaths among gout sufferers; indeed, for up to six points higher than the cardiovascular mortality of the general population, according to European data [7,14,15]. Interestingly, there is a bidirectional effect between gout and CVD; after a gout flare, the risk of cardiovascular events increases—especially in the short-term [16]. In addition, having gout worsens a patient’s prognosis following a cardiovascular event [17,18] or success rates following coronary revascularization [19]. Furthermore, gout flares are common during hospitalizations due to CVD [20]. Data also exists for other types of CVD not purely related to atherosclerosis, such as atrial fibrillation [21,22,23,24], heart failure [25,26], and aortic valve stenosis [27]. Pooled data from DATA-HF and DELIVER trials on dapagliflozin recently reported worse heart failure outcomes in the gout population [28].
Cardiovascular risk factors do not fully explain the increased incidence of CVD, as there remains a residual risk even after adjusting for those covariates. Accordingly, gout must be considered an independent cardiovascular risk factor—indicating that patients with gout have a heightened cardiovascular risk merely from suffering the condition. The risk associated with gout has been demonstrated for all forms of atherosclerotic CVD and their derived mortality rates [15,29,30,31,32,33,34,35,36,37,38,39,40,41,42,43,44], as shown in Table 1. In this sense, aggregate data show that the risk of gout patients dying due to CVD is 1.29-fold higher, and up to 1.42-fold higher for coronary disease-related deaths [36]. Compared to diabetes, gout shows an equivalent risk of leading to stroke—though less so for cases of myocardial infarction [45] or limb amputation [46]. Cardiovascular risk is heightened in cases of larger MSU crystal burden, such as patients with subcutaneous tophi [7,14,47,48] or with a large crystal load as assessed by ultrasound [49] or dual-energy computed tomography (DECT) [50]. Interestingly, the presence of a sonographic power-Doppler signal in tandem with crystal deposits—a surrogate marker of inflammation—was also associated with carotid atherosclerosis [49].
Table 1.
Published studies linking gout and the different forms of atherosclerotic cardiovascular disease.
Despite the established evidence, there are still numerous uncertainties and unsolved questions regarding the relationship between gout and CVD that merit discussion. Relevant topics such as gender and ethnic variations in risk impact, the mechanism underlying accelerated atherosclerosis, how cardiovascular risk may be estimated in gout patients, and whether gout therapies positively or negatively influence CVD all fall within the scope of this review.
2. Are There Differences According to Sex or Ancestry?
Gout mostly occurs in men, with some women developing gout after menopause—although in lower numbers than men. Several studies and our clinical practice experience have identified different comorbidity profiles when comparing men and women with gout [12,51,52]. Women suffering from gout are almost ten years older and more commonly present with heart failure, renal disease, hypertension, and/or obesity. Being older and having a greater use of diuretics partially explain these different comorbidity profiles—some of which are present at the time of the gout diagnosis, suggesting they may play a role in the disease’s pathogenesis. Only a few papers on gout-attributable CVD have included a sex comparison. Clarson and colleagues [36], using data from the UK Clinical Practice Research Datalink, noted higher risk ratios in women for any vascular disease, angina, stroke, and/or peripheral vascular disease, but not for myocardial infarction. Seminog and Goldacre observed a mildly increased risk of myocardial infarction in women, but found no differences with stroke [35]. In addition, De Vera et al. also found that women had a significantly higher risk of myocardial infarction—though only for non-fatal cases [39]. Conversely, Singh and Cleveland found a lower risk of myocardial infarction in older women compared to men treated via the Medicare system [37]. Some studies reported similar mortality rates in both sexes [31,32]. This is a complex scenario in which evaluating how gout impacts cardiovascular risk is challenging—especially when women might be underrepresented in the samples, as gout is less prevalent in this population. Further research primarily focused on sex-based differences in cardiovascular risk is needed.
Most studies cited in the previous section involved datasets of mostly white populations. Indeed, whether gout may differently impact groups of other ancestries has received scant critical attention to date. However, this is a crucial issue, as non-white populations are at risk of racial blindness in gout screening. African Americans in the US are less likely to be diagnosed with gout [53], despite a higher prevalence of metabolic syndrome, hypertension, and renal disease [54]. In New Zealand, being of Māori or Pacific Islander ethnicity, who are known to have higher and more severe rates of gout, were independent predictors of all-cause mortality in a gout cohort—although not for cardiovascular-related mortality [48]; however, these populations are at higher risk of CVD compared to whites, according to one recent report [55]. Furthermore, as shown in Mexican populations [56], those with tophaceous disease are usually found in low-income classes and more often use glucocorticoids (cheaper drugs), which likely worsens their cardiovascular risk.
3. How MSU Crystals May Foster Cardiovascular Risk?
Aside from comorbidities, two major contributors likely underlie this heightened cardiovascular risk [57]: hyperuricemic states and the inflammation driven by MSU crystal deposition. A pro-oxidate state has been reported in hyperuricemia, as uric acid formation by the enzyme xanthine oxidase (or xanthine dehydrogenase) leads to pro-oxidative species production, such as the peroxide anion. A higher presence of small, oxidized, low-density lipoprotein (LDL)-cholesterol particles has been described in hyperuricemic subjects; these particles are capable of penetrating the atheroma plaque and aggravating atherosclerosis. Moreover, murine models [58] and clinical data [59] confirm that hyperuricemia can lead to the onset of arterial hypertension—at least during the younger stages of life, probably through endothelial dysfunction. However, inflammation is the principal suspect linking gout and CVD, mirroring other inflammatory diseases [60,61,62]. MSU crystals can activate the NLRP3 inflammasome cascade, which in turn leads to the synthesis and production of interleukin (IL)-1beta and IL-18, the main cytokines in crystal-driven inflammation [63]. Interestingly, cholesterol crystals share the same inflammatory pathway in atheroma plaques [64]. The intensity of inflammation markedly fluctuates in patients with gout [65]. Beyond peaks of acute, clinical inflammation (gout flares), there can be persistent, subclinical inflammation during the inter-critical stage [66] that increases with greater crystal loads [67,68]—but this tends to decrease during urate-lowering therapies [69] or via the use of colchicine [70]. Apart from MSU crystal deposits, hyperuricemia itself plays a role in inflammation as well. Soluble urate can enhance the inflammatory response through multiple mechanisms in innate immune cells [71], while increased NLRP3 inflammasome expression has been noted in atheroma plaques from hyperuricemic patients [72].
An interesting debate concerns whether MSU crystals are able to form and deposit at atheroma plaques, where they could induce local inflammation and hypothetically worsen atherosclerosis. Xanthine oxidase activity is known to occur at plaques, which contributes to locally increased levels of uric acid—although some pathology papers have reported the presence of uric acid crystals based on birefringence and immunostaining [73,74]. DECT scans have detected color-coded MSU deposits in the vascular tree, along with calcified plaques [75,76,77]. Of note, subsequent scans during urate-lowering therapies have found no reduction in vascular deposits (the deposits have even grown), while musculoskeletal deposits do, in fact, diminish [77]. Such vascular deposits could not be later replicated using cadaveric donors who had suffered from gout [78]. Our group found the scattered presence of MSU-looking crystals in peripheral artery specimens using compensated polarized microscopy—although no relationship with patient serum urate levels was established [72]. This suggests that, should these MSU crystals exist in atheroma plaques, their presence might result from the local synthesis that follows increased cell necrosis and turnover, rather than deriving from hyperuricemia. The presence of MSU crystals at atheroma plaques warrants definitive confirmation—possibly using crystallographic techniques with a specificity high enough to identify MSU.
4. How Can We Gauge Cardiovascular Risk in Patients with Gout?
As cardiovascular risk levels vary across individuals, predicting the specific risk for any given patient with gout is vital to tailoring his/her clinical management—both from a cardiovascular perspective and in terms of gout. This aspect is especially relevant for people without established CVD. To this end, some risk assessment tools have been developed to simultaneously evaluate individual cardiovascular risk factors and assess the risk of developing CVD, including fatal events. Some tools largely used in primary care include the Framingham Heart Study (FHS) [79] and the Systematic Coronary Risk Evaluation (SCORE) [80], which has been recently updated as SCORE2 [81]. However, no validation studies have been performed in patients with gout. Data from other inflammatory diseases such as rheumatoid arthritis have pointed to risk underestimation [82], which has led to the development of specific risk calculators; for example, the ERS-RA [83]. Our group evaluated the performance of FHS and SCORE in detecting the presence of subclinical carotid atherosclerosis [13]. Both tools were only moderately accurate, with areas under the curve of 0.707 and 0.705, respectively. Both lacked sufficient sensitivity (22.5% and 49.0%) despite good specificity results (89.3% and 80.4%), suggesting the possibility that high-risk cardiovascular subjects can go undetected. Gamala and colleagues later reported that a substantial risk reclassification of gout patients can be achieved if they are classified as having inflammatory arthritis as per the Dutch-adapted SCORE [84]; however, longitudinal data is needed to validate this prediction.
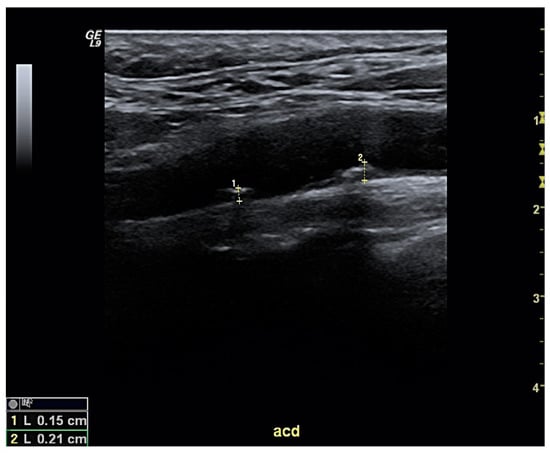
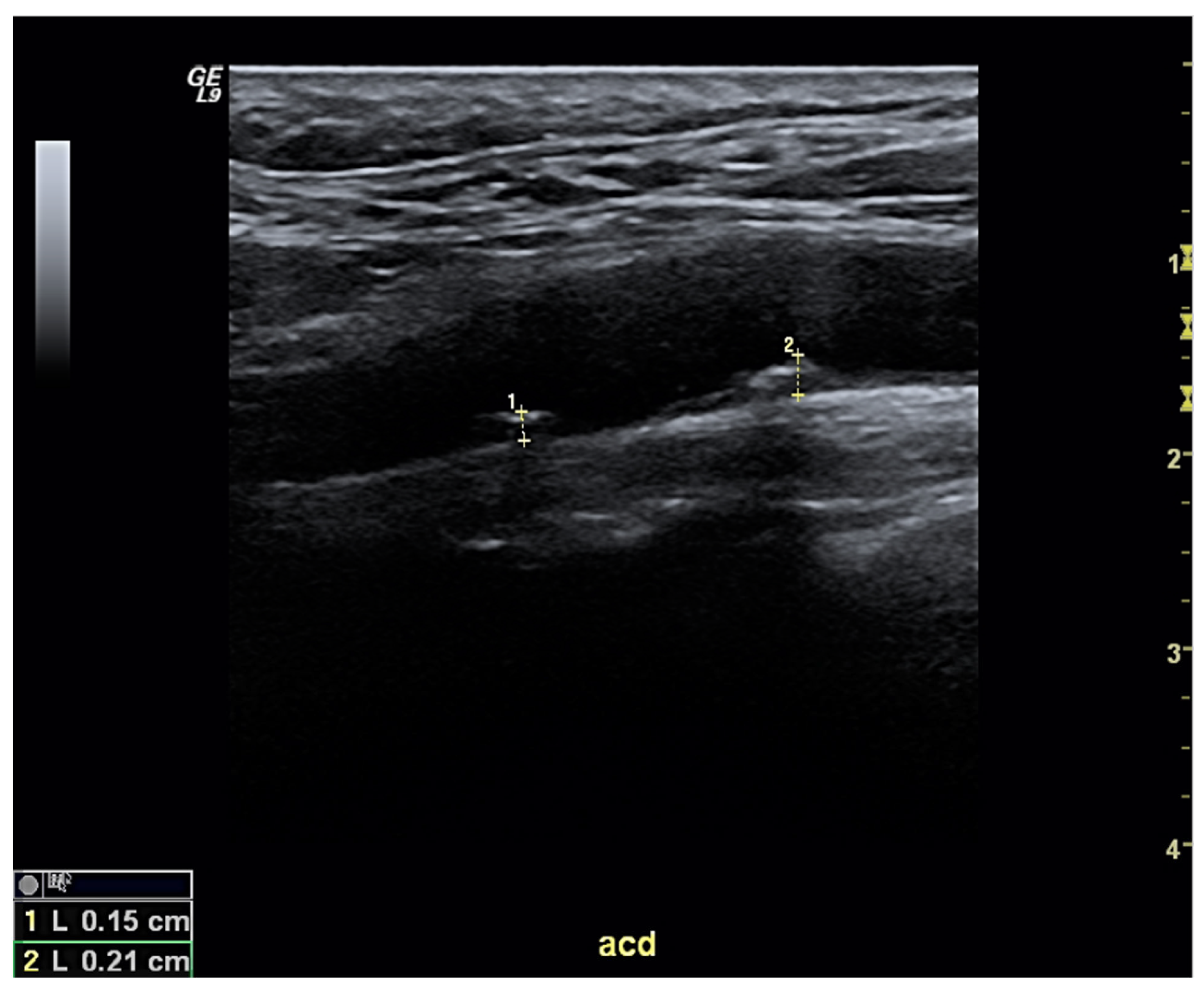
The screening for subclinical atherosclerosis using ultrasound is simple, accessible, and reliable—especially for carotid arteries (Figure 1), which carry prognostic consequences. The European cardiovascular guidelines recommend that the identification of subclinical atherosclerosis should prompt the physician to classify the patient as being in the highest cardiovascular risk category [85], since this factor independently predicts both coronary and cerebrovascular events [86,87]. On the other hand, the guidelines caution against making risk estimations based on intima-media thickness measurements. The reported prevalence of carotid atheroma plaques in patients with gout ranges from 29.1% to 59.2% [13,49,88,89,90,91]—percentages that vary depending on several factors (such as patient demographics and/or disease duration). In any case, the percentage is likely higher than in people without gout. Our group demonstrated that a cardiovascular screening strategy incorporating risk assessment tools and carotid ultrasound is capable of reclassifying the risk of more than half of new gout patients seen in rheumatology clinics, with two-thirds of them ultimately meeting the very-high risk level threshold [13].
Figure 1.
Ultrasound of right carotid artery, longitudinal view, in a patient with gout who had a moderate cardiovascular risk as assessed by scores. The exam revealed two atheroma plaques, mildly calcified, of 1.5 mm (1) and 2.1 mm (2) thickness. According to current European guidelines, this patient should be classified as having a very high cardiovascular risk and managed accordingly.
However, it is crucial to bear in mind that both risk assessment tools and carotid ultrasound are not applicable to high-risk subjects, as these individuals are already suffering from CVD, complicated diabetes mellitus, and/or advanced renal disease. Patients with tophaceous gout may be tentatively included in this group. Despite conflicting evidence surrounding its possible association with subclinical atherosclerosis [13,90,91], subcutaneous tophi are major predictors of subsequent all-cause and cardiovascular mortality—as previously mentioned. Standard guidelines offer no formal advice in this regard, and individual clinicians should perhaps consider whether, based on the cumulative data, these patients might benefit from preventive strategies for high-risk situations. These could include high-intensity statins or rigorous targeting of LDL-cholesterol or blood pressure [85], along with lower serum urate targets [92,93].
5. Can Gout Management Ameliorate Cardiovascular Risk?
As previously discussed, MSU crystal deposition likely plays a leading role in gout-driven CVD via persistent, subclinical inflammation and perhaps arterial accumulation. MSU crystal deposition can be reversed through the normalization of serum urate levels [94]; in fact, urate levels and previous gout duration are determinants for achieving a complete removal of such deposits [93,95]. Accordingly, MSU crystal dissolution by ULT should lower cardiovascular risk—although to date this outcome remains uncertain. The question of efficacy would need to be addressed through a clinical trial, but enrolling a group of untreated gout participants serving as controls would be unethical. Subsequently, research should focus on large datasets and population-based studies. To date, conflicting results have been published, with some studies showing the very real benefits of ULT in terms of cardiovascular risk [96,97,98], while others reported inconclusive findings [32,99,100,101] or a null effect [102,103,104]. These discrepancies can be explained, at least partially, by insufficient gout management in clinics—where many patients are not prescribed ULT, are insufficiently dosed, or whose serum urate levels are not properly monitored for dosing adjustments or adherence verification. Poor gout care has been repeatedly reported both for general practitioners [105,106] and rheumatologists [107,108], even in patients with established CVD [109]. Thus, derived data may not be sufficiently robust to draw any conclusions. One example of solid data is that published by Perez Ruiz and colleagues [110]; in their survival analysis of an inception gout cohort, the authors found that not achieving the urate target (below 6 mg/dL) was independently associated with a 2.39-fold higher risk of subsequent all-cause mortality, and a 2.37-fold higher risk of cardiovascular mortality. While more research using robust data is needed, their findings reinforce the importance of treating gout with a defined target [111], as well as for cardiovascular purposes.
In addition to serum urate control, anti-inflammatory therapies themselves may potentially prevent CVD in patients with gout. Atherosclerosis is a chronic inflammatory disease resulting from lipid accumulation at the arterial wall following endothelial dysfunction, the infiltration of macrophages and smooth muscle cells, and NLRP3 inflammasome activation by cholesterol crystals—leading to IL-1β and IL-18-mediated inflammation [112]. This inflammatory process aggravates atheroma plaques—thereby favoring its growth and eventual rupture. The innate immune system plays a key role in this process. In contrast, interfering with adaptive immunity has proven unsuccessful [113]. In this scenario, two gouty anti-inflammatory agents—colchicine [114,115,116] and IL-1β blocker canakinumab [117]—were shown to be effective at preventing CVD in trials. Compared to a placebo in patients with established CVD under standard preventive care, both agents significantly reduced the recurrence of major cardiovascular events—highlighting the beneficial impact anti-inflammatory approaches can have when attempting to lower the so-called residual inflammatory risk [118]. As gout was underrepresented, or was a reason for exclusion in these trials, findings should not be extrapolated to gouty patients. However, published observational data suggest that colchicine confers some cardiovascular benefits in this population [119,120,121,122]. Indeed, the data suggests that extended regimens of colchicine, beyond the common recommendation of 6 months [92], may be suitable for individuals at very high cardiovascular risk (based on our data, this would correspond to two-thirds of the patients treated at rheumatology clinics [13]). Nevertheless, evidence from randomized trials would be very welcome to confirm the effectiveness of this strategy. No cardiovascular data on canakinumab or other IL-1β blockers in gout patients is currently available.
6. Do the Cardiovascular Profiles of Xanthine Oxidase Inhibitors Differ?
In the pivotal APEX and FACT trials [123,124], participants receiving febuxostat showed a rate of 1.3 cardiovascular events per 100 patient-years—numerically higher than those administered allopurinol (0.3 events per 100 patient-years). Specifically, in APEX, the percentage of CVD was 2%, 2%, and <1% in those receiving febuxostat 80 mg/day, 120 mg/day, and 240 mg/day, respectively, while the percentage in those treated with allopurinol was <1% [123]. Already having a CVD (either coronary heart disease or heart failure) was the main predictor of vascular events during therapy. Though the later CONFIRMS trials showed no differences in terms of CVD—occurring in 5% of those treated with febuxostat 80 mg/day, 5% with febuxostat 120 mg/day, or 6% with allopurinol 300 mg/day [125]—initial data led regulatory agencies to require cardiovascular safety analyses through randomized trials conducted by the manufacturers.
The first available trial was the CARES study, which was carried out in the United States [126]. CARES was a non-inferiority safety trial involving patients with gout and established CVD (a minor percentage had conditions regarded as very-high risk, such as complicated diabetes). These patients were randomized to receive allopurinol 300 mg/day or febuxostat 40–80 mg/day. After enrolling and analyzing over 6000 participants, no differences in major cardiovascular events were noted. However, rates of all-cause mortality (not included in the primary composite outcome) and CVD mortality were significantly higher in the febuxostat group. These findings led the Food and Drug Administration (FDA) to issue a black warning to avoid the use of febuxostat in patients with high cardiovascular risk. However, the trial had an excessive drop-out rate (56.6%) and most events occurred during the drug-free stage [127], which constitutes a major limitation for a non-inferiority safety trial. As febuxostat achieved lower serum urate levels than allopurinol, a rebound peak after drug discontinuation might explain the reported deaths—although the evidence does not convincingly support such a conclusion [128]. Moreover, an imbalanced use of NSAIDs or low-dose aspirin and the absence of a non-treated group complicate the interpretation of the CARES trial results.
The European safety trial, known as the FAST study, was published in 2020 [129]. This trial had the same aim but utilized a different methodology. The authors enrolled gout patients aged 60 years or older on a stable dose of allopurinol (6 years was the average) and who presented with an additional cardiovascular risk factor. In all, while 33.4% had established CVD, recent cases or those with severe congestive heart failure were excluded. Allopurinol dosing was adjusted to a serum urate below 6 mg/dL, and participants were later randomized in order to continue treatment with adjusted allopurinol, or they received febuxostat 80 mg/day (increased later to 120 mg/day if the urate target was not met), with no blinding. Around 5700 participants were enrolled, with a good rate of study completion (86.2%) and with few discontinuing their visits (5.8%, excluding deaths). The authors found no differences in the occurrence rates of CVD during follow-up, with similar results for CVD-related deaths, and even a lower rate of all-cause mortality was noted in those treated with febuxostat.
The results of the FAST trial were reassuring and suggested that xanthine oxidase inhibitors had a similar cardiovascular profile for patients with gout. In addition, a recent head-to-head efficacy trial comparing febuxostat versus allopurinol, with doses adjusted to serum urate levels [130], found no differences in cardiovascular events during the study. Several recent observational studies have addressed this topic, with conflicting results [131,132,133,134]; these studies are limited by the risk of indication bias, as well as difficult confounder adjustments intended to avoid the effect of residuals. Most likely, aside from the controversy surrounding the cardiovascular consequences of gout therapies, the benefits they offer—especially in a CVD setting—should confirm their superiority.
7. What Is My Cardiovascular Approach in Clinical Practice?
A systematic cardiovascular assessment of any gout patient is essential from the initial visit. This assessment should include an interview to assess the patient’s history of CVD, including non-atherosclerotic disorders such as atrial fibrillation or heart valve lesions, as well as a physical exam to record blood pressure, body mass index, and subcutaneous tophi. Laboratory tests measuring fasting lipids and glucose, glycated haemoglobin, and the urinary albumin/creatinine ratio (a marker of target organ damage that can also indicate gouty renal disease [135]), is worthwhile. Based on the findings, cardiovascular risk should be estimated according to the patient’s CVD background, renal function, and risk assessment tools (FHS or SCORE). Patients may be classified as being at low, moderate, high, or very high risk; those at the moderate level are the best candidates for carotid ultrasound. If an atheroma plaque is found, intensive statin therapy should be undertaken, with the goal of lowering LDL-cholesterol levels below 70 mg/dL. It is important to liaise with allied specialists (e.g., cardiologists, nephrologists, endocrinologists, etc.) and any attendant nursing specialties in cases involving troublesome or difficult-to-manage comorbidities.
The cardiovascular care of any patient with gout should also include disease management with the goal of enhancing MSU crystal dissolution, reducing inflammation, and controlling hyperuricemia. Beginning urate-lowering agents even after the first flare should be recommended for all patients [92], with a urate target goal of around 4 mg/dL in most cases—although in severe cases (tophaceous disease, persistent arthritis, severe impairment, etc.) this should be set even lower. To enhance serum urate reduction, certain comorbidity therapies—such as losartan, calcium blockers, fenofibrate, or sodium–glucose trasporter-2 inhibitors—can be of help. Regarding loop diuretics and thiazides, in our experience they do not impede urate target goals [136]. Thus, one option would be to halt their use if deemed non-essential (e.g., arterial hypertension controlled with one or two drugs). Here, the strategy would involve long-term maintenance of urate levels in order to prevent new crystal formations. Preventive low-dose colchicine for longer than recommended periods (6 months) may be a good option for patients with established CVD or for those who are carrying a heavy crystal burden.
8. Pending Questions and Conclusions
Notable advances have occurred in the last decade that have bettered our understanding of the relationship between gout and CVD. Rather than being a mere bystander, gout is an independent cardiovascular risk factor associated with crystal-driven inflammation and hyperuricemia. Limited data suggest that gout has a similar cardiovascular impact on both men and women. Some disease features indicating a larger crystal burden, such as subcutaneous tophi, should be taken as markers of high risk. Ultrasound and DECT have helped establish a link between crystal deposits and atherosclerotic disease, and the former may prove useful as an estimator in clinical practice. The goal of crystal dissolution should be driven by urate-lowering therapies, which may also provide cardiovascular benefits—despite the conflicting data. Anti-inflammatory therapies could also help in this setting, mirroring data from patients with CVD. However, there are still some grey areas (Table 2) that must be properly addressed with further research. As CVD remains the primary cause of mortality in those with gout, these patients and their families would be very grateful indeed.
Table 2.
Pending and unresolved questions, as well as recommended research agendas for gout and cardiovascular disease.
Funding
The author’s work is funded by the Carlos III Health Institute (Acción Estratégica en Salud 2021, ref. PI21/00544; Contratos para Intensificación en el SNS 2022, ref. INT22/00023), co-funded by the European Union. The author would like to thank the Spanish Foundation of Rheumatology for providing medical writing/editorial assistance during the preparation of the manuscript (ref. FERBT2023).
Institutional Review Board Statement
Not applicable.
Informed Consent Statement
Not applicable.
Data Availability Statement
Not applicable.
Conflicts of Interest
The author declares speaking fees from Menarini and an ongoing research grant from Grunenthal.
References
- Bursill, D.; Taylor, W.J.; Terkeltaub, R.; Abhishek, A.; So, A.K.; Vargas-Santos, A.B.; Gaffo, A.L.; Rosenthal, A.; Tausche, A.-K.; Reginato, A.; et al. Gout, Hyperuricaemia and Crystal-Associated Disease Network (G-CAN) Consensus Statement Regarding Labels and Definitions of Disease States of Gout. Ann. Rheum. Dis. 2019, 78, 1592–1600. [Google Scholar] [CrossRef]
- Pascual, E.; Peral-Garrido, M.-L.; Andrés, M. Where Should We Set the Start of Gout? Jt. Bone Spine 2023, 90, 105509. [Google Scholar] [CrossRef]
- Chandratre, P.; Roddy, E.; Clarson, L.; Richardson, J.; Hider, S.L.; Mallen, C.D. Health-Related Quality of Life in Gout: A Systematic Review. Rheumatology 2013, 52, 2031–2040. [Google Scholar] [CrossRef] [PubMed]
- Lim, S.Y.; Lu, N.; Oza, A.; Fisher, M.; Rai, S.K.; Menendez, M.E.; Choi, H.K. Trends in Gout and Rheumatoid Arthritis Hospitalizations in the United States, 1993–2011. JAMA 2016, 315, 2345–2347. [Google Scholar] [CrossRef]
- Rai, S.K.; Aviña-Zubieta, J.A.; McCormick, N.; De Vera, M.A.; Lacaille, D.; Sayre, E.C.; Choi, H.K. Trends in Gout and Rheumatoid Arthritis Hospitalizations in Canada from 2000 to 2011. Arthritis Care Res. 2017, 69, 758–762. [Google Scholar] [CrossRef]
- Kiadaliri, A.A.; Englund, M. Temporal Trends and Regional Disparity in Rheumatoid Arthritis and Gout Hospitalizations in Sweden, 1998-2015. Clin. Rheumatol. 2018, 37, 825–830. [Google Scholar] [CrossRef]
- Disveld, I.J.M.; Zoakman, S.; Jansen, T.L.T.A.; Rongen, G.A.; Kienhorst, L.B.E.; Janssens, H.J.E.M.; Fransen, J.; Janssen, M. Crystal-Proven Gout Patients Have an Increased Mortality Due to Cardiovascular Diseases, Cancer, and Infectious Diseases Especially When Having Tophi and/or High Serum Uric Acid Levels: A Prospective Cohort Study. Clin. Rheumatol. 2019, 38, 1385–1391. [Google Scholar] [CrossRef]
- Annemans, L.; Spaepen, E.; Gaskin, M.; Bonnemaire, M.; Malier, V.; Gilbert, T.; Nuki, G. Gout in the UK and Germany: Prevalence, Comorbidities and Management in General Practice 2000–2005. Ann. Rheum. Dis. 2008, 67, 960–966. [Google Scholar] [CrossRef] [PubMed]
- Primatesta, P.; Plana, E.; Rothenbacher, D. Gout Treatment and Comorbidities: A Retrospective Cohort Study in a Large US Managed Care Population. BMC Musculoskelet. Disord. 2011, 12, 103. [Google Scholar] [CrossRef] [PubMed]
- Zhu, Y.; Pandya, B.J.; Choi, H.K. Comorbidities of Gout and Hyperuricemia in the US General Population: NHANES 2007-2008. Am. J. Med. 2012, 125, 679–687. [Google Scholar] [CrossRef]
- Kuo, C.-F.; Grainge, M.J.; Mallen, C.; Zhang, W.; Doherty, M. Comorbidities in Patients with Gout Prior to and Following Diagnosis: Case-Control Study. Ann. Rheum. Dis. 2016, 75, 210–217. [Google Scholar] [CrossRef] [PubMed]
- Richette, P.; Clerson, P.; Périssin, L.; Flipo, R.-M.; Bardin, T. Revisiting Comorbidities in Gout: A Cluster Analysis. Ann. Rheum. Dis. 2015, 74, 142–147. [Google Scholar] [CrossRef]
- Andrés, M.; Bernal, J.A.; Sivera, F.; Quilis, N.; Carmona, L.; Vela, P.; Pascual, E. Cardiovascular Risk of Patients with Gout Seen at Rheumatology Clinics Following a Structured Assessment. Ann. Rheum. Dis. 2017, 76, 1263–1268. [Google Scholar] [CrossRef]
- Perez-Ruiz, F.; Martínez-Indart, L.; Carmona, L.; Herrero-Beites, A.M.; Pijoan, J.I.; Krishnan, E. Tophaceous Gout and High Level of Hyperuricaemia Are Both Associated with Increased Risk of Mortality in Patients with Gout. Ann. Rheum. Dis. 2014, 73, 177–182. [Google Scholar] [CrossRef]
- Dehlin, M.; Sandström, T.Z.; Jacobsson, L.T. Incident Gout: Risk of Death and Cause-Specific Mortality in Western Sweden: A Prospective, Controlled Inception Cohort Study. Front. Med. 2022, 9, 802856. [Google Scholar] [CrossRef]
- Cipolletta, E.; Tata, L.J.; Nakafero, G.; Avery, A.J.; Mamas, M.A.; Abhishek, A. Association Between Gout Flare and Subsequent Cardiovascular Events Among Patients With Gout. JAMA 2022, 328, 440–450. [Google Scholar] [CrossRef]
- Krishnan, E.; Pandya, B.J.; Lingala, B.; Hariri, A.; Dabbous, O. Hyperuricemia and Untreated Gout Are Poor Prognostic Markers among Those with a Recent Acute Myocardial Infarction. Arthritis Res. Ther. 2012, 14, R10. [Google Scholar] [CrossRef]
- Ruiz-Simón, S.; Calabuig, I.; Gómez-Garberí, M.; Andrés, M. Gout Screening Identifies a Large Cardiovascular Population at Increased Risk of Mortality. J. Clin. Rheumatol. 2022, 28, 409–415. [Google Scholar] [CrossRef] [PubMed]
- Pagidipati, N.J.; Clare, R.M.; Keenan, R.T.; Chiswell, K.; Roe, M.T.; Hess, C.N. Association of Gout With Long-Term Cardiovascular Outcomes Among Patients With Obstructive Coronary Artery Disease. J. Am. Heart Assoc. 2018, 7, e009328. [Google Scholar] [CrossRef] [PubMed]
- Zleik, N.; Elfishawi, M.M.; Kvrgic, Z.; Michet, C.J.; Crowson, C.S.; Matteson, E.L.; Bongartz, T. Hospitalization Increases the Risk of Acute Arthritic Flares in Gout: A Population-Based Study over 2 Decades. J. Rheumatol. 2018, 45, 1188–1191. [Google Scholar] [CrossRef]
- Kuo, C.-F.; Grainge, M.J.; Mallen, C.; Zhang, W.; Doherty, M. Impact of Gout on the Risk of Atrial Fibrillation. Rheumatology 2016, 55, 721–728. [Google Scholar] [CrossRef] [PubMed][Green Version]
- Kuo, Y.-J.; Tsai, T.-H.; Chang, H.-P.; Chua, S.; Chung, S.-Y.; Yang, C.-H.; Lin, C.-J.; Wu, C.-J.; Hang, C.-L. The Risk of Atrial Fibrillation in Patients with Gout: A Nationwide Population-Based Study. Sci. Rep. 2016, 6, 32220. [Google Scholar] [CrossRef][Green Version]
- Kim, S.C.; Liu, J.; Solomon, D.H. Risk of Incident Atrial Fibrillation in Gout: A Cohort Study. Ann. Rheum. Dis. 2016, 75, 1473–1478. [Google Scholar] [CrossRef]
- Singh, J.A.; Cleveland, J.D. Gout and the Risk of Incident Atrial Fibrillation in Older Adults: A Study of US Medicare Data. RMD Open 2018, 4, e000712. [Google Scholar] [CrossRef]
- Krishnan, E. Gout and the Risk for Incident Heart Failure and Systolic Dysfunction. BMJ Open 2012, 2, e000282. [Google Scholar] [CrossRef]
- Colantonio, L.D.; Saag, K.G.; Singh, J.A.; Chen, L.; Reynolds, R.J.; Gaffo, A.; Plante, T.B.; Curtis, J.R.; Bridges, S.L.; Levitan, E.B.; et al. Gout Is Associated with an Increased Risk for Incident Heart Failure among Older Adults: The REasons for Geographic And Racial Differences in Stroke (REGARDS) Cohort Study. Arthritis Res. Ther. 2020, 22, 86. [Google Scholar] [CrossRef]
- Adelsheimer, A.; Shah, B.; Choy-Shan, A.; Tenner, C.T.; Lorin, J.D.; Smilowitz, N.R.; Pike, V.C.; Pillinger, M.H.; Donnino, R. Gout and Progression of Aortic Stenosis. Am. J. Med. 2020, 133, 1095–1100.e1. [Google Scholar] [CrossRef] [PubMed]
- Butt, J.H.; Docherty, K.F.; Claggett, B.L.; Desai, A.S.; Petersson, M.; Langkilde, A.M.; de Boer, R.A.; Hernandez, A.F.; Inzucchi, S.E.; Kosiborod, M.N.; et al. Association of Dapagliflozin Use with Clinical Outcomes and the Introduction of Uric Acid–Lowering Therapy and Colchicine in Patients with Heart Failure with and without Gout: A Patient-Level Pooled Meta-Analysis of DAPA-HF and DELIVER. JAMA Cardiol. 2023, 8, 386–393. [Google Scholar] [CrossRef]
- Choi, H.K.; Curhan, G. Independent Impact of Gout on Mortality and Risk for Coronary Heart Disease. Circulation 2007, 116, 894–900. [Google Scholar] [CrossRef] [PubMed]
- Kuo, C.-F.; See, L.-C.; Luo, S.-F.; Ko, Y.-S.; Lin, Y.-S.; Hwang, J.-S.; Lin, C.-M.; Chen, H.-W.; Yu, K.-H. Gout: An Independent Risk Factor for All-Cause and Cardiovascular Mortality. Rheumatology 2010, 49, 141–146. [Google Scholar] [CrossRef] [PubMed]
- Kuo, C.-F.; Yu, K.-H.; See, L.-C.; Chou, I.-J.; Tseng, W.-Y.; Chang, H.-C.; Shen, Y.-M.; Luo, S.-F. Elevated Risk of Mortality among Gout Patients: A Comparison with the National Population in Taiwan. Jt. Bone Spine 2011, 78, 577–580. [Google Scholar] [CrossRef]
- Stack, A.G.; Hanley, A.; Casserly, L.F.; Cronin, C.J.; Abdalla, A.A.; Kiernan, T.J.; Murthy, B.V.R.; Hegarty, A.; Hannigan, A.; Nguyen, H.T. Independent and Conjoint Associations of Gout and Hyperuricaemia with Total and Cardiovascular Mortality. QJM 2013, 106, 647–658. [Google Scholar] [CrossRef] [PubMed]
- Abbott, R.D.; Brand, F.N.; Kannel, W.B.; Castelli, W.P. Gout and Coronary Heart Disease: The Framingham Study. J. Clin. Epidemiol. 1988, 41, 237–242. [Google Scholar] [CrossRef]
- Krishnan, E.; Baker, J.F.; Furst, D.E.; Schumacher, H.R. Gout and the Risk of Acute Myocardial Infarction. Arthritis Rheumatol. 2006, 54, 2688–2696. [Google Scholar] [CrossRef]
- Seminog, O.O.; Goldacre, M.J. Gout as a Risk Factor for Myocardial Infarction and Stroke in England: Evidence from Record Linkage Studies. Rheumatology 2013, 52, 2251–2259. [Google Scholar] [CrossRef] [PubMed]
- Clarson, L.E.; Hider, S.L.; Belcher, J.; Heneghan, C.; Roddy, E.; Mallen, C.D. Increased Risk of Vascular Disease Associated with Gout: A Retrospective, Matched Cohort Study in the UK Clinical Practice Research Datalink. Ann. Rheum. Dis. 2015, 74, 642–647. [Google Scholar] [CrossRef]
- Singh, J.A.; Cleveland, J.D. Gout and the Risk of Myocardial Infarction in Older Adults: A Study of Medicare Recipients. Arthritis Res. Ther. 2018, 20, 109. [Google Scholar] [CrossRef]
- Huang, C.-L.; Wang, T.-W.; Chen, Y.-C.; Hu, J.-M.; Ku, P.-M.; Hsieh, C.-H.; Lee, C.-H.; Kuo, F.-C.; Lu, C.-H.; Su, C.-C.; et al. Gout as a Risk Factor for Acute Myocardial Infarction: Evidence from Competing Risk Model Analysis. J. Investig. Med. 2021, 69, 1161–1167. [Google Scholar] [CrossRef]
- De Vera, M.A.; Rahman, M.M.; Bhole, V.; Kopec, J.A.; Choi, H.K. Independent Impact of Gout on the Risk of Acute Myocardial Infarction among Elderly Women: A Population-Based Study. Ann. Rheum. Dis. 2010, 69, 1162–1164. [Google Scholar] [CrossRef] [PubMed]
- Kuo, C.-F.; Yu, K.-H.; See, L.-C.; Chou, I.-J.; Ko, Y.-S.; Chang, H.-C.; Chiou, M.-J.; Luo, S.-F. Risk of Myocardial Infarction among Patients with Gout: A Nationwide Population-Based Study. Rheumatology 2013, 52, 111–117. [Google Scholar] [CrossRef]
- Haddadin, F.; Arevalo, A.B.; Jabri, A.; Beydoun, H.; Fram, F.; Munoz Estrella, A.; Karim, S.; Virani, S.; Ali, Y. The Risk and Severity of Stroke in Patients with Atrial Fibrillation and Gout: A National Representative Database Study. J. Arrhythm. 2021, 37, 394–399. [Google Scholar] [CrossRef] [PubMed]
- Schlesinger, N.; Radvanski, D.C.; Cheng, J.Q.; Kostis, J.B. Erectile Dysfunction Is Common among Patients with Gout. J. Rheumatol. 2015, 42, 1893–1897. [Google Scholar] [CrossRef]
- Chen, Y.-F.; Lin, H.-H.; Lu, C.-C.; Hung, C.-T.; Lee, M.-H.; Hsu, C.-Y.; Chung, W.-S. Gout and a Subsequent Increased Risk of Erectile Dysfunction in Men Aged 64 and Under: A Nationwide Cohort Study in Taiwan. J. Rheumatol. 2015, 42, 1898–1905. [Google Scholar] [CrossRef] [PubMed]
- Abdul Sultan, A.; Mallen, C.; Hayward, R.; Muller, S.; Whittle, R.; Hotston, M.; Roddy, E. Gout and Subsequent Erectile Dysfunction: A Population-Based Cohort Study from England. Arthritis Res. Ther. 2017, 19, 123. [Google Scholar] [CrossRef]
- Singh, J.A.; Ramachandaran, R.; Yu, S.; Yang, S.; Xie, F.; Yun, H.; Zhang, J.; Curtis, J.R. Is Gout a Risk Equivalent to Diabetes for Stroke and Myocardial Infarction? A Retrospective Claims Database Study. Arthritis Res. Ther. 2017, 19, 228. [Google Scholar] [CrossRef] [PubMed]
- Mikuls, T.R.; Soto, Q.; Petro, A.; Helget, L.; Roul, P.; Sayles, H.; Cope, B.; Neogi, T.; LaMoreaux, B.; O’Dell, J.R.; et al. Comparison of Rates of Lower Extremity Amputation in Patients With and Without Gout in the US Department of Veterans Affairs Health System. JAMA Netw. Open 2022, 5, e2142347. [Google Scholar] [CrossRef]
- Chen, S.-Y.; Chen, C.-L.; Shen, M.-L. Severity of Gouty Arthritis Is Associated with Q-Wave Myocardial Infarction: A Large-Scale, Cross-Sectional Study. Clin. Rheumatol. 2007, 26, 308–313. [Google Scholar] [CrossRef]
- Vincent, Z.L.; Gamble, G.; House, M.; Knight, J.; Horne, A.; Taylor, W.J.; Dalbeth, N. Predictors of Mortality in People with Recent-Onset Gout: A Prospective Observational Study. J. Rheumatol. 2017, 44, 368–373. [Google Scholar] [CrossRef]
- Calabuig, I.; Martínez-Sanchis, A.; Andrés, M. Sonographic Tophi and Inflammation Are Associated With Carotid Atheroma Plaques in Gout. Front. Med. 2021, 8, 795984. [Google Scholar] [CrossRef]
- Marty-Ané, A.; Norberciak, L.; Andrès, M.; Houvenagel, E.; Ducoulombier, V.; Legrand, J.; Budzik, J.-F.; Pascart, T. Crystal Deposition Measured with Dual-Energy Computed Tomography: Association with Mortality and Cardiovascular Risks in Gout. Rheumatology 2021, 60, 4855–4860. [Google Scholar] [CrossRef]
- Harrold, L.R.; Yood, R.A.; Mikuls, T.R.; Andrade, S.E.; Davis, J.; Fuller, J.; Chan, K.A.; Roblin, D.; Raebel, M.A.; Worley, A.V.; et al. Sex Differences in Gout Epidemiology: Evaluation and Treatment. Ann. Rheum. Dis. 2006, 65, 1368–1372. [Google Scholar] [CrossRef] [PubMed]
- Rodríguez-Sosa, E.; De Miguel, E.; Borrás, F.; Andrés, M. Filling Gaps in Female Gout: A Cross-Sectional Study of Comorbidities in 192 037 Hospitalised Patients. RMD Open 2023, 9, e003191. [Google Scholar] [CrossRef] [PubMed]
- Krishnan, E. Gout in African Americans. Am. J. Med. 2014, 127, 858–864. [Google Scholar] [CrossRef]
- Tikly, M.; Bellingan, A.; Lincoln, D.; Russell, A. Risk Factors for Gout: A Hospital-Based Study in Urban Black South Africans. Rev. Rhum. Engl. Ed. 1998, 65, 225–231. [Google Scholar]
- Cai, K.; Wu, B.; Mehta, S.; Harwood, M.; Grey, C.; Dalbeth, N.; Wells, S.M.; Jackson, R.; Poppe, K. Association between Gout and Cardiovascular Outcomes in Adults with No History of Cardiovascular Disease: Large Data Linkage Study in New Zealand. BMJ Med. 2022, 1, e000081. [Google Scholar] [CrossRef]
- Vázquez-Mellado, J.; Cruz, J.; Guzmán, S.; Casasola-Vargas, J.; Lino, L.; Burgos-Vargas, R. Severe Tophaceous Gout. Characterization of Low Socioeconomic Level Patients from México. Clin. Exp. Rheumatol. 2006, 24, 233–238. [Google Scholar]
- Singh, J.A. When Gout Goes to the Heart: Does Gout Equal a Cardiovascular Disease Risk Factor? Ann. Rheum. Dis. 2015, 74, 631–634. [Google Scholar] [CrossRef] [PubMed]
- Mazzali, M.; Hughes, J.; Kim, Y.G.; Jefferson, J.A.; Kang, D.H.; Gordon, K.L.; Lan, H.Y.; Kivlighn, S.; Johnson, R.J. Elevated Uric Acid Increases Blood Pressure in the Rat by a Novel Crystal-Independent Mechanism. Hypertension 2001, 38, 1101–1106. [Google Scholar] [CrossRef]
- Kuwabara, M.; Niwa, K.; Hisatome, I.; Nakagawa, T.; Roncal-Jimenez, C.A.; Andres-Hernando, A.; Bjornstad, P.; Jensen, T.; Sato, Y.; Milagres, T.; et al. Asymptomatic Hyperuricemia Without Comorbidities Predicts Cardiometabolic Diseases: Five-Year Japanese Cohort Study. Hypertension 2017, 69, 1036–1044. [Google Scholar] [CrossRef]
- England, B.R.; Thiele, G.M.; Anderson, D.R.; Mikuls, T.R. Increased Cardiovascular Risk in Rheumatoid Arthritis: Mechanisms and Implications. BMJ 2018, 361, k1036. [Google Scholar] [CrossRef]
- Oliveira, C.B.; Kaplan, M.J. Cardiovascular Disease Risk and Pathogenesis in Systemic Lupus Erythematosus. Semin. Immunopathol. 2022, 44, 309–324. [Google Scholar] [CrossRef]
- Miller, I.M.; Ellervik, C.; Yazdanyar, S.; Jemec, G.B.E. Meta-Analysis of Psoriasis, Cardiovascular Disease, and Associated Risk Factors. J. Am. Acad. Dermatol. 2013, 69, 1014–1024. [Google Scholar] [CrossRef]
- So, A.K.; Martinon, F. Inflammation in Gout: Mechanisms and Therapeutic Targets. Nat. Rev. Rheumatol. 2017, 13, 639–647. [Google Scholar] [CrossRef]
- Duewell, P.; Kono, H.; Rayner, K.J.; Sirois, C.M.; Vladimer, G.; Bauernfeind, F.G.; Abela, G.S.; Franchi, L.; Nuñez, G.; Schnurr, M.; et al. NLRP3 Inflammasomes Are Required for Atherogenesis and Activated by Cholesterol Crystals. Nature 2010, 464, 1357–1361. [Google Scholar] [CrossRef]
- Terkeltaub, R. What Makes Gouty Inflammation so Variable? BMC Med. 2017, 15, 158. [Google Scholar] [CrossRef]
- Pascual, E. Persistence of Monosodium Urate Crystals and Low-Grade Inflammation in the Synovial Fluid of Patients with Untreated Gout. Arthritis Rheum. 1991, 34, 141–145. [Google Scholar] [CrossRef]
- Dalbeth, N.; Pool, B.; Gamble, G.D.; Smith, T.; Callon, K.E.; McQueen, F.M.; Cornish, J. Cellular Characterization of the Gouty Tophus: A Quantitative Analysis. Arthritis Rheum. 2010, 62, 1549–1556. [Google Scholar] [CrossRef]
- Nakayama, D.A.; Barthelemy, C.; Carrera, G.; Lightfoot, R.W.; Wortmann, R.L. Tophaceous Gout: A Clinical and Radiographic Assessment. Arthritis Rheum. 1984, 27, 468–471. [Google Scholar] [CrossRef]
- Okuda, C.; Koyama, H.; Tsutsumi, Z.; Yamamoto, A.; Kurajoh, M.; Moriwaki, Y.; Yamamoto, T. Serum CRP in Patients with Gout and Effects of Benzbromarone. Int. J. Clin. Pharmacol. Ther. 2011, 49, 191–197. [Google Scholar] [CrossRef]
- Pascual, E.; Castellano, J.A. Treatment with Colchicine Decreases White Cell Counts in Synovial Fluid of Asymptomatic Knees That Contain Monosodium Urate Crystals. J. Rheumatol. 1992, 19, 600–603. [Google Scholar]
- Joosten, L.A.B.; Crişan, T.O.; Bjornstad, P.; Johnson, R.J. Asymptomatic Hyperuricaemia: A Silent Activator of the Innate Immune System. Nat. Rev. Rheumatol. 2020, 16, 75–86. [Google Scholar] [CrossRef] [PubMed]
- Andrés, M.; Mendieta, L.; Argente-Del-Castillo, E.; Trigueros, M.; Miñano, A.; Pascual, E. Birefringent Crystals Deposition and Inflammasome Expression in Human Atheroma Plaques by Levels of Uricemia. Jt. Bone Spine 2022, 89, 105423. [Google Scholar] [CrossRef] [PubMed]
- Patetsios, P.; Song, M.; Shutze, W.P.; Pappas, C.; Rodino, W.; Ramirez, J.A.; Panetta, T.F. Identification of Uric Acid and Xanthine Oxidase in Atherosclerotic Plaque. Am. J. Cardiol. 2001, 88, 188–191. [Google Scholar] [CrossRef] [PubMed]
- Park, J.J.; Roudier, M.P.; Soman, D.; Mokadam, N.A.; Simkin, P.A. Prevalence of Birefringent Crystals in Cardiac and Prostatic Tissues, an Observational Study. BMJ Open 2014, 4, e005308. [Google Scholar] [CrossRef]
- Klauser, A.S.; Halpern, E.J.; Strobl, S.; Gruber, J.; Feuchtner, G.; Bellmann-Weiler, R.; Weiss, G.; Stofferin, H.; Jaschke, W. Dual-Energy Computed Tomography Detection of Cardiovascular Monosodium Urate Deposits in Patients with Gout. JAMA Cardiol. 2019, 4, 1019–1028. [Google Scholar] [CrossRef]
- Barazani, S.H.; Chi, W.-W.; Pyzik, R.; Chang, H.; Jacobi, A.; O’Donnell, T.; Fayad, Z.A.; Ali, Y.; Mani, V. Quantification of Uric Acid in Vasculature of Patients with Gout Using Dual-Energy Computed Tomography. World J. Radiol. 2020, 12, 184–194. [Google Scholar] [CrossRef]
- Pascart, T.; Carpentier, P.; Choi, H.K.; Norberciak, L.; Ducoulombier, V.; Luraschi, H.; Houvenagel, E.; Legrand, J.; Verclytte, S.; Becce, F.; et al. Identification and Characterization of Peripheral Vascular Color-Coded DECT Lesions in Gout and Non-Gout Patients: The VASCURATE Study. Semin. Arthritis Rheum. 2021, 51, 895–902. [Google Scholar] [CrossRef]
- Dalbeth, N.; Alhilali, M.; Riordan, P.; Narang, R.; Chhana, A.; McGlashan, S.; Doyle, A.; Andres, M. Vascular Deposition of Monosodium Urate Crystals in Gout: Analysis of Cadaveric Tissue by Dual-Energy Computed Tomography and Compensated Polarizing Light Microscopy. Arthritis Rheumatol. 2022, 74, 1295–1296. [Google Scholar] [CrossRef]
- Ford, E.S.; Giles, W.H.; Mokdad, A.H. The Distribution of 10-Year Risk for Coronary Heart Disease among U.S. Adults: Findings from the National Health and Nutrition Examination Survey III. J. Am. Coll. Cardiol. 2004, 43, 1791–1796. [Google Scholar] [CrossRef]
- Conroy, R.M.; Pyörälä, K.; Fitzgerald, A.P.; Sans, S.; Menotti, A.; De Backer, G.; De Bacquer, D.; Ducimetière, P.; Jousilahti, P.; Keil, U.; et al. Estimation of Ten-Year Risk of Fatal Cardiovascular Disease in Europe: The SCORE Project. Eur. Heart J. 2003, 24, 987–1003. [Google Scholar] [CrossRef]
- SCORE2 working group and ESC Cardiovascular risk collaboration SCORE2 Risk Prediction Algorithms: New Models to Estimate 10-Year Risk of Cardiovascular Disease in Europe. Eur. Heart J. 2021, 42, 2439–2454. [CrossRef]
- Arts, E.E.A.; Popa, C.D.; Den Broeder, A.A.; Donders, R.; Sandoo, A.; Toms, T.; Rollefstad, S.; Ikdahl, E.; Semb, A.G.; Kitas, G.D.; et al. Prediction of Cardiovascular Risk in Rheumatoid Arthritis: Performance of Original and Adapted SCORE Algorithms. Ann. Rheum. Dis. 2016, 75, 674–680. [Google Scholar] [CrossRef]
- Solomon, D.H.; Greenberg, J.; Curtis, J.R.; Liu, M.; Farkouh, M.E.; Tsao, P.; Kremer, J.M.; Etzel, C.J. Derivation and Internal Validation of an Expanded Cardiovascular Risk Prediction Score for Rheumatoid Arthritis: A Consortium of Rheumatology Researchers of North America Registry Study. Arthritis Rheumatol. 2015, 67, 1995–2003. [Google Scholar] [CrossRef]
- Gamala, M.; Jacobs, J.W.G.; Linn-Rasker, S.P.; Nix, M.; Heggelman, B.G.F.; Pasker-de Jong, P.C.M.; van Laar, J.M.; Klaasen, R. Cardiovascular Risk in Patients with New Gout: Should We Reclassify the Risk? Clin. Exp. Rheumatol. 2020, 38, 533–535. [Google Scholar]
- Visseren, F.L.J.; Mach, F.; Smulders, Y.M.; Carballo, D.; Koskinas, K.C.; Bäck, M.; Benetos, A.; Biffi, A.; Boavida, J.-M.; Capodanno, D.; et al. 2021 ESC Guidelines on Cardiovascular Disease Prevention in Clinical Practice. Eur. Heart J. 2021, 42, 3227–3337. [Google Scholar] [CrossRef]
- Mitchell, C.; Korcarz, C.E.; Gepner, A.D.; Kaufman, J.D.; Post, W.; Tracy, R.; Gassett, A.J.; Ma, N.; McClelland, R.L.; Stein, J.H. Ultrasound Carotid Plaque Features, Cardiovascular Disease Risk Factors and Events: The Multi-Ethnic Study of Atherosclerosis. Atherosclerosis 2018, 276, 195–202. [Google Scholar] [CrossRef]
- Mehta, A.; Rigdon, J.; Tattersall, M.C.; German, C.A.; Barringer, T.A.; Joshi, P.H.; Sperling, L.S.; Budoff, M.J.; Bertoni, A.; Michos, E.D.; et al. Association of Carotid Artery Plaque With Cardiovascular Events and Incident Coronary Artery Calcium in Individuals With Absent Coronary Calcification: The MESA. Circ. Cardiovasc. Imaging 2021, 14, e011701. [Google Scholar] [CrossRef]
- Çukurova, S.; Pamuk, Ö.N.; Ünlü, E.; Pamuk, G.E.; Çakir, N. Subclinical Atherosclerosis in Gouty Arthritis Patients: A Comparative Study. Rheumatol. Int. 2012, 32, 1769–1773. [Google Scholar] [CrossRef]
- Friedlander, A.H.; Graves, L.L.; Grabich, S.G.; Aghazadehsanai, N.; Chang, T.I. Prevalence of Calcified Carotid Artery Atheromas on Panoramic Images of Older Men with Gout: A Descriptive Retrospective Study. Dentomaxillofac. Radiol. 2017, 46, 20160406. [Google Scholar] [CrossRef]
- Gancheva, R.; Kundurdjiev, A.; Ivanova, M.; Kundurzhiev, T.; Kolarov, Z. Evaluation of Cardiovascular Risk in Stages of Gout by a Complex Multimodal Ultrasonography. Rheumatol. Int. 2017, 37, 121–130. [Google Scholar] [CrossRef]
- Hammer, H.B.; Rollefstad, S.; Semb, A.G.; Jensen, G.; Karoliussen, L.F.; Terslev, L.; Haavardsholm, E.A.; Kvien, T.K.; Uhlig, T. Urate Crystal Deposition Is Associated with Inflammatory Markers and Carotid Artery Pathology in Patients with Intercritical Gout: Results from the NOR-Gout Study. RMD Open 2022, 8, e002348. [Google Scholar] [CrossRef] [PubMed]
- Richette, P.; Doherty, M.; Pascual, E.; Barskova, V.; Becce, F.; Castañeda-Sanabria, J.; Coyfish, M.; Guillo, S.; Jansen, T.L.; Janssens, H.; et al. 2016 Updated EULAR Evidence-Based Recommendations for the Management of Gout. Ann. Rheum. Dis. 2017, 76, 29–42. [Google Scholar] [CrossRef] [PubMed]
- Perez-Ruiz, F.; Calabozo, M.; Pijoan, J.I.; Herrero-Beites, A.M.; Ruibal, A. Effect of Urate-Lowering Therapy on the Velocity of Size Reduction of Tophi in Chronic Gout. Arthritis Rheum. 2002, 47, 356–360. [Google Scholar] [CrossRef] [PubMed]
- Li-Yu, J.; Clayburne, G.; Sieck, M.; Beutler, A.; Rull, M.; Eisner, E.; Schumacher, H.R. Treatment of Chronic Gout. Can We Determine When Urate Stores Are Depleted Enough to Prevent Attacks of Gout? J. Rheumatol. 2001, 28, 577–580. [Google Scholar]
- Pascual, E.; Sivera, F. Time Required for Disappearance of Urate Crystals from Synovial Fluid after Successful Hypouricaemic Treatment Relates to the Duration of Gout. Ann. Rheum. Dis. 2007, 66, 1056–1058. [Google Scholar] [CrossRef]
- Chen, J.-H.; Lan, J.-L.; Cheng, C.-F.; Liang, W.-M.; Lin, H.-Y.; Tsay, G.J.; Yeh, W.-T.; Pan, W.-H. Effect of Urate-Lowering Therapy on the Risk of Cardiovascular Disease and All-Cause Mortality in Patients with Gout: A Case-Matched Cohort Study. J. Rheumatol. 2015, 42, 1694–1701. [Google Scholar] [CrossRef]
- Dubreuil, M.; Zhu, Y.; Zhang, Y.; Seeger, J.D.; Lu, N.; Rho, Y.H.; Choi, H.K. Allopurinol Initiation and All-Cause Mortality in the General Population. Ann. Rheum. Dis. 2015, 74, 1368–1372. [Google Scholar] [CrossRef]
- Yen, F.-S.; Hsu, C.-C.; Li, H.-L.; Wei, J.C.-C.; Hwu, C.-M. Urate-Lowering Therapy May Prevent the Development of Coronary Artery Disease in Patients with Gout. Front. Med. 2020, 7, 63. [Google Scholar] [CrossRef]
- Wei, L.; Mackenzie, I.S.; Chen, Y.; Struthers, A.D.; MacDonald, T.M. Impact of Allopurinol Use on Urate Concentration and Cardiovascular Outcome. Br. J. Clin. Pharmacol. 2011, 71, 600–607. [Google Scholar] [CrossRef]
- Grimaldi-Bensouda, L.; Alpérovitch, A.; Aubrun, E.; Danchin, N.; Rossignol, M.; Abenhaim, L.; Richette, P.; PGRx MI Group. Impact of Allopurinol on Risk of Myocardial Infarction. Ann. Rheum. Dis. 2015, 74, 836–842. [Google Scholar] [CrossRef]
- Singh, J.A.; Ramachandaran, R.; Yu, S.; Curtis, J.R. Allopurinol Use and the Risk of Acute Cardiovascular Events in Patients with Gout and Diabetes. BMC Cardiovasc. Disord. 2017, 17, 76. [Google Scholar] [CrossRef]
- Kok, V.C.; Horng, J.-T.; Chang, W.-S.; Hong, Y.-F.; Chang, T.-H. Allopurinol Therapy in Gout Patients Does Not Associate with Beneficial Cardiovascular Outcomes: A Population-Based Matched-Cohort Study. PLoS ONE 2014, 9, e99102. [Google Scholar] [CrossRef]
- Kim, S.C.; Schneeweiss, S.; Choudhry, N.; Liu, J.; Glynn, R.J.; Solomon, D.H. Effects of Xanthine Oxidase Inhibitors on Cardiovascular Disease in Patients with Gout: A Cohort Study. Am. J. Med. 2015, 128, 653.e7–653.e16. [Google Scholar] [CrossRef]
- Desai, R.J.; Franklin, J.M.; Spoendlin-Allen, J.; Solomon, D.H.; Danaei, G.; Kim, S.C. An Evaluation of Longitudinal Changes in Serum Uric Acid Levels and Associated Risk of Cardio-Metabolic Events and Renal Function Decline in Gout. PLoS ONE 2018, 13, e0193622. [Google Scholar] [CrossRef]
- Kempny, A.; Martin, J. Management of Gout and Adherence to Current Guidelines in General Practice Surgery. Br. J. Gen. Pract. 2020, 70, bjgp20X711617. [Google Scholar] [CrossRef]
- Proudman, C.; Lester, S.E.; Gonzalez-Chica, D.A.; Gill, T.K.; Dalbeth, N.; Hill, C.L. Gout, Flares, and Allopurinol Use: A Population-Based Study. Arthritis Res. Ther. 2019, 21, 132. [Google Scholar] [CrossRef]
- Roddy, E.; Packham, J.; Obrenovic, K.; Rivett, A.; Ledingham, J.M. Management of Gout by UK Rheumatologists: A British Society for Rheumatology National Audit. Rheumatology 2018, 57, 826–830. [Google Scholar] [CrossRef]
- Perez Ruiz, F.; Sanchez-Piedra, C.A.; Sanchez-Costa, J.T.; Andrés, M.; Diaz-Torne, C.; Jimenez-Palop, M.; De Miguel, E.; Moragues, C.; Sivera, F. Improvement in Diagnosis and Treat-to-Target Management of Hyperuricemia in Gout: Results from the GEMA-2 Transversal Study on Practice. Rheumatol. Ther. 2018, 5, 243–253. [Google Scholar] [CrossRef]
- Calabuig, I.; Gómez-Garberí, M.; Andrés, M. Gout Is Prevalent but Under-Registered Among Patients with Cardiovascular Events: A Field Study. Front. Med. 2020, 7, 560. [Google Scholar] [CrossRef]
- Pérez Ruiz, F.; Richette, P.; Stack, A.G.; Karra Gurunath, R.; García de Yébenes, M.J.; Carmona, L. Failure to Reach Uric Acid Target of <0.36 Mmol/L in Hyperuricaemia of Gout Is Associated with Elevated Total and Cardiovascular Mortality. RMD Open 2019, 5, e001015. [Google Scholar] [CrossRef]
- Kiltz, U.; Smolen, J.; Bardin, T.; Cohen Solal, A.; Dalbeth, N.; Doherty, M.; Engel, B.; Flader, C.; Kay, J.; Matsuoka, M.; et al. Treat-to-Target (T2T) Recommendations for Gout. Ann. Rheum. Dis. 2017, 76, 632–638. [Google Scholar] [CrossRef]
- Libby, P.; Buring, J.E.; Badimon, L.; Hansson, G.K.; Deanfield, J.; Bittencourt, M.S.; Tokgözoğlu, L.; Lewis, E.F. Atherosclerosis. Nat. Rev. Dis. Prim. 2019, 5, 56. [Google Scholar] [CrossRef]
- Ridker, P.M.; Everett, B.M.; Pradhan, A.; MacFadyen, J.G.; Solomon, D.H.; Zaharris, E.; Mam, V.; Hasan, A.; Rosenberg, Y.; Iturriaga, E.; et al. Low-Dose Methotrexate for the Prevention of Atherosclerotic Events. N. Engl. J. Med. 2019, 380, 752–762. [Google Scholar] [CrossRef] [PubMed]
- Tardif, J.-C.; Kouz, S.; Waters, D.D.; Bertrand, O.F.; Diaz, R.; Maggioni, A.P.; Pinto, F.J.; Ibrahim, R.; Gamra, H.; Kiwan, G.S.; et al. Efficacy and Safety of Low-Dose Colchicine after Myocardial Infarction. N. Engl. J. Med. 2019, 381, 2497–2505. [Google Scholar] [CrossRef] [PubMed]
- Bouabdallaoui, N.; Tardif, J.-C.; Waters, D.D.; Pinto, F.J.; Maggioni, A.P.; Diaz, R.; Berry, C.; Koenig, W.; Lopez-Sendon, J.; Gamra, H.; et al. Time-to-Treatment Initiation of Colchicine and Cardiovascular Outcomes after Myocardial Infarction in the Colchicine Cardiovascular Outcomes Trial (COLCOT). Eur. Heart J. 2020, 41, 4092–4099. [Google Scholar] [CrossRef]
- Nidorf, S.M.; Fiolet, A.T.L.; Mosterd, A.; Eikelboom, J.W.; Schut, A.; Opstal, T.S.J.; The, S.H.K.; Xu, X.-F.; Ireland, M.A.; Lenderink, T.; et al. Colchicine in Patients with Chronic Coronary Disease. N. Engl. J. Med. 2020, 383, 1838–1847. [Google Scholar] [CrossRef]
- Ridker, P.M.; Everett, B.M.; Thuren, T.; MacFadyen, J.G.; Chang, W.H.; Ballantyne, C.; Fonseca, F.; Nicolau, J.; Koenig, W.; Anker, S.D.; et al. Antiinflammatory Therapy with Canakinumab for Atherosclerotic Disease. N. Engl. J. Med. 2017, 377, 1119–1131. [Google Scholar] [CrossRef] [PubMed]
- Ridker, P.M. Residual Inflammatory Risk: Addressing the Obverse Side of the Atherosclerosis Prevention Coin. Eur. Heart J. 2016, 37, 1720–1722. [Google Scholar] [CrossRef]
- Crittenden, D.B.; Lehmann, R.A.; Schneck, L.; Keenan, R.T.; Shah, B.; Greenberg, J.D.; Cronstein, B.N.; Sedlis, S.P.; Pillinger, M.H. Colchicine Use Is Associated with Decreased Prevalence of Myocardial Infarction in Patients with Gout. J. Rheumatol. 2012, 39, 1458–1464. [Google Scholar] [CrossRef]
- Solomon, D.H.; Liu, C.-C.; Kuo, I.-H.; Zak, A.; Kim, S.C. Effects of Colchicine on Risk of Cardiovascular Events and Mortality among Patients with Gout: A Cohort Study Using Electronic Medical Records Linked with Medicare Claims. Ann. Rheum. Dis. 2016, 75, 1674–1679. [Google Scholar] [CrossRef]
- Shah, B.; Toprover, M.; Crittenden, D.B.; Jeurling, S.; Pike, V.C.; Krasnokutsky, S.; Xia, Y.; Fisher, M.C.; Slobodnick, A.; Tenner, C.T.; et al. Colchicine Use and Incident Coronary Artery Disease in Male Patients with Gout. Can. J. Cardiol. 2020, 36, 1722–1728. [Google Scholar] [CrossRef]
- Ho, G.H.; Toprover, M.; Crittenden, D.B.; Shah, B.; Pillinger, M.H. Colchicine Use and Major Adverse Cardiovascular Events in Male Patients with Gout and Established Coronary Artery Disease: A Veterans Affairs Nested Retrospective Cohort Study. Gout Urate Cryst. Depos. Dis. 2023, 1, 11–24. [Google Scholar] [CrossRef]
- Schumacher, H.R.; Becker, M.A.; Wortmann, R.L.; Macdonald, P.A.; Hunt, B.; Streit, J.; Lademacher, C.; Joseph-Ridge, N. Effects of Febuxostat versus Allopurinol and Placebo in Reducing Serum Urate in Subjects with Hyperuricemia and Gout: A 28-Week, Phase III, Randomized, Double-Blind, Parallel-Group Trial. Arthritis Rheum. 2008, 59, 1540–1548. [Google Scholar] [CrossRef]
- Becker, M.A.; Schumacher, H.R.; Wortmann, R.L.; MacDonald, P.A.; Eustace, D.; Palo, W.A.; Streit, J.; Joseph-Ridge, N. Febuxostat Compared with Allopurinol in Patients with Hyperuricemia and Gout. N. Engl. J. Med. 2005, 353, 2450–2461. [Google Scholar] [CrossRef]
- Becker, M.A.; Schumacher, H.R.; Espinoza, L.R.; Wells, A.F.; MacDonald, P.; Lloyd, E.; Lademacher, C. The Urate-Lowering Efficacy and Safety of Febuxostat in the Treatment of the Hyperuricemia of Gout: The CONFIRMS Trial. Arthritis Res. Ther. 2010, 12, R63. [Google Scholar] [CrossRef]
- White, W.B.; Saag, K.G.; Becker, M.A.; Borer, J.S.; Gorelick, P.B.; Whelton, A.; Hunt, B.; Castillo, M.; Gunawardhana, L.; CARES Investigators. Cardiovascular Safety of Febuxostat or Allopurinol in Patients with Gout. N. Engl. J. Med. 2018, 378, 1200–1210. [Google Scholar] [CrossRef]
- Ghang, B.-Z.; Lee, J.S.; Choi, J.; Kim, J.; Yoo, B. Increased Risk of Cardiovascular Events and Death in the Initial Phase after Discontinuation of Febuxostat or Allopurinol: Another Story of the CARES Trial. RMD Open 2022, 8, e001944. [Google Scholar] [CrossRef]
- Saag, K.G.; Becker, M.A.; White, W.B.; Whelton, A.; Borer, J.S.; Gorelick, P.B.; Hunt, B.; Castillo, M.; Gunawardhana, L.; CARES Investigators. Evaluation of the Relationship Between Serum Urate Levels, Clinical Manifestations of Gout, and Death From Cardiovascular Causes in Patients Receiving Febuxostat or Allopurinol in an Outcomes Trial. Arthritis Rheumatol. 2022, 74, 1593–1601. [Google Scholar] [CrossRef]
- Mackenzie, I.S.; Ford, I.; Nuki, G.; Hallas, J.; Hawkey, C.J.; Webster, J.; Ralston, S.H.; Walters, M.; Robertson, M.; De Caterina, R.; et al. Long-Term Cardiovascular Safety of Febuxostat Compared with Allopurinol in Patients with Gout (FAST): A Multicentre, Prospective, Randomised, Open-Label, Non-Inferiority Trial. Lancet 2020, 396, 1745–1757. [Google Scholar] [CrossRef]
- O’Dell, J.R.; Brophy, M.T.; Pillinger, M.H.; Neogi, T.; Palevsky, P.M.; Wu, H.; Davis-Karim, A.; Newcomb, J.A.; Ferguson, R.; Pittman, D.; et al. Comparative Effectiveness of Allopurinol and Febuxostat in Gout Management. NEJM Evid. 2022, 1, EVIDoa2100028. [Google Scholar] [CrossRef]
- Su, C.-Y.; Shen, L.-J.; Hsieh, S.-C.; Lin, L.-Y.; Lin, F.-J. Comparing Cardiovascular Safety of Febuxostat and Allopurinol in the Real World: A Population-Based Cohort Study. Mayo Clin. Proc. 2019, 94, 1147–1157. [Google Scholar] [CrossRef] [PubMed]
- Zhang, M.; Solomon, D.H.; Desai, R.J.; Kang, E.H.; Liu, J.; Neogi, T.; Kim, S.C. Assessment of Cardiovascular Risk in Older Patients With Gout Initiating Febuxostat Versus Allopurinol: Population-Based Cohort Study. Circulation 2018, 138, 1116–1126. [Google Scholar] [CrossRef] [PubMed]
- Chen, C.-H.; Chen, C.-B.; Chang, C.J.; Lin, Y.J.; Wang, C.-W.; Chi, C.-C.; Lu, C.-W.; Chen, W.-T.; Pan, R.-Y.; Su, S.-C.; et al. Hypersensitivity and Cardiovascular Risks Related to Allopurinol and Febuxostat Therapy in Asians: A Population-Based Cohort Study and Meta-Analysis. Clin. Pharmacol. Ther. 2019, 106, 391–401. [Google Scholar] [CrossRef]
- Shin, A.; Choi, S.R.; Han, M.; Ha, Y.-J.; Lee, Y.J.; Lee, E.B.; Kang, E.H. Cardiovascular Safety Associated with Febuxostat versus Allopurinol among Patients with Gout: Update with Accumulated Use of Febuxostat. Semin. Arthritis Rheum. 2022, 56, 152080. [Google Scholar] [CrossRef] [PubMed]
- Bardin, T.; Letavernier, E.; Correas, J.-M. The Gouty Kidney: A Reappraisal. Gout Urate Cryst. Depos. Dis. 2023, 1, 25–36. [Google Scholar] [CrossRef]
- Ranieri, L.; Contero, C.; Peral, M.-L.; Calabuig, I.; Zapater, P.; Andres, M. Impact of Diuretics on the Urate Lowering Therapy in Patients with Gout: Analysis of an Inception Cohort. Arthritis Res. Ther. 2018, 20, 53. [Google Scholar] [CrossRef]
Disclaimer/Publisher’s Note: The statements, opinions and data contained in all publications are solely those of the individual author(s) and contributor(s) and not of MDPI and/or the editor(s). MDPI and/or the editor(s) disclaim responsibility for any injury to people or property resulting from any ideas, methods, instructions or products referred to in the content. |
© 2023 by the author. Licensee MDPI, Basel, Switzerland. This article is an open access article distributed under the terms and conditions of the Creative Commons Attribution (CC BY) license (https://creativecommons.org/licenses/by/4.0/).
