- Conference Report
Gout, Hyperuricemia and Crystal-Associated Disease Network (G–CAN) Conference 2025: Early-Career Investigators’ Abstracts
- Gout, Hyperuricemia and Crystal-Associated Disease Network
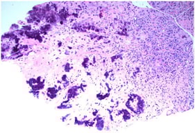
The eleventh annual international G–CAN research symposium was held in Chicago, IL, on the 22nd and 23rd of October 2025. This hybrid meeting, a live face-to-face and virtual live symposium, was attended by 198 participants. Twenty-five research abstract submissions were received from early-career investigators for plenary oral and brief oral presentations. Here, we present the 24 accepted, lightly edited abstracts from the early-career presenters consenting to have their materials published. We thank and congratulate the presenters for their work and contributions to the meeting.
27 January 2026






