Abstract
Ascochyta blight (AB) is a major threat to Kabuli-type chickpea production worldwide. This study aimed to identify AB-resistant Kabuli-type chickpea lines through combined phenotypic and genotypic screening. Twenty-six Kabuli-type chickpea lines were phenotyped at the seedling stage using spray inoculation with conidial suspension. Genotyping employed marker-aided selection (MAS) with markers linked to quantitative trait loci (QTL) for AB resistance. The allele-specific marker, CaETR, closely linked to QTLAR1, and the sequence-tagged microsatellite (STMS) markers GAA47, TAA146, and TA194 linked to QTLAR1, QTLAR2, and QTLAR3 were used to assess their utility in distinguishing between resistant and susceptible chickpea lines. The study revealed that none of the lines tested were completely resistant (R) phenotypically. However, some lines, such as AVTCPK#6 and AVTCPK#14, were found to be moderately resistant (MR). Of the two MR lines identified phenotypically, only AVTCPK#6 was found to have bands linked to QTLs for adult plant resistance. The other MR line for AB showed the presence of bands in only one or two of the four markers used. These MR lines can be further utilized in chickpea breeding programs for the development of AB-resistant chickpea cultivars. It is recommended that these results be verified through repeat experiments, using more diverse isolates, and including additional chickpea lines as reference checks for resistance and susceptibility. The allele-specific marker, CaETR, closely linked to QTLAR1 and sequence-tagged microsatellite (STMS) markers GAA47, TAA146 and TA194 linked to QTLAR1, QTLAR2, and QTLAR3 were used to explore these markers’ utility in discriminating between resistant and susceptible chickpea lines. The study showed that phenotypically, none of the lines tested are completely resistant (R). However, some lines, namely AVTCPK#6 and AVTCPK#14, were found to be moderately resistant (MR). Of the two MR lines identified phenotypically, only AVTCPK#6 was identified to have bands linked to QTLs for adult plant resistance. The other MR line for AB showed the presence of bands in only one or two markers among the four markers used. These MR lines can be exploited further in chickpea breeding programs for the development of AB-resistant chickpea cultivars. It is recommended that these results are verified by repeat experiments, using more as well as diverse isolates alongside additional chickpea lines for resistant and susceptible reference checks.
1. Introduction
Chickpea (Cicer arietinum) is a high-value winter legume crop after dry beans and peas [1]. Currently, chickpeas are grown in numerous regions around the world, including but not limited to multiple examples on the Indian subcontinent, across the Great Plains region of the United States, in Western Asia, and throughout the Mediterranean. In 2023, countries such as India, Turkey, Pakistan, Mexico, Argentina, the United States, Ethiopia, Australia, Myanmar, and Russia are some of the countries with the highest rates of chickpea production in the world [2]. In 2022, around 18.1 million metric tons of chickpeas were produced worldwide [3]. The multifarious importance of chickpea crops in the human diet, soil fertility improvement, and animal feed has increased its popularity. However, improvements in productivity are still lagging behind because chickpeas are faced with several abiotic or biotic challenges throughout the crop growth cycle. Vulnerability to fungal diseases such as Ascochyta blight (AB) is one of the important biotic factors limiting the production of chickpeas throughout the world [4].
Ascochyta blight (AB), caused by the fungus Ascochyta rabiei, is recognized as a destructive disease of chickpeas in Australia [5], with yield loss reported as high as 100% [6]. The severity of this disease is significantly increasing worldwide, with the reported occurrence of AB in more than forty countries, including Australia [7]. Central Queensland through New South Wales, Victoria, and southern Australia are major places for chickpea production, with minor production in northwestern Australia. Despite Australia being one of the world’s largest producers of chickpeas at an estimated 876.5 thousand metric tons in 2022 [3], it has always been challenging for farmers to protect chickpea crops from AB to obtain a potential yield [8]. Due to these challenges, the growing market in 2023 within Australia currently sits at under 500,000 tons, as indicated in a recent study reported by ABC Rural [9].
Ascochyta rabiei is a necrotrophic fungus that affects the above-ground part of the plant, i.e., stem, leaf, pods, and seeds, causing necrotic lesions. Cool, cloudy, and humid seasons encourage disease development, infection, and spread [10]. A number of control strategies for the management of this disease have been employed. Fungicide application is mostly preferred, but frequent applications have led to fungicide resistance development [11,12] and are also costly; therefore, the return from chickpea production is reduced for growers.
Several studies on the successful development of resistant varieties have been reported, attempting to improve the level of disease resistance by conventional breeding approaches [13], but the constant evolution of pathogens challenges breeders to explore new sources of gene diversity. A few of the cultivars reported as resistant and moderately resistant, i.e., PBA HatTrick and Genesis 090, are now causing high levels of disease symptoms because of the outbreaks of aggressive strains of these pathogens in Australia [14]. Furthermore, chickpea is a crop with limited genetic diversity [15], so utilizing the available cultivars to address existing and emerging diseases using modern technologies such as marker-aided selection (MAS) could ensure effective, efficient, and reliable screening [16]. Castro et al. [16] describe the importance of MAS as a useful tool to identify the genetic background of tested lines and select desirable alleles at the molecular level, which can be used for the introgression of multiple useful alleles.
For the successful use of the MAS method, markers tightly linked to traits of interest should be selected and employed. Quantitative trait loci (QTL) analysis and association mapping have enabled the identification of molecular markers associated with specific traits [17]. Several of the QTLs with a low-to-moderate effect, located in all the linkage groups working against AB, have been identified by genetic mapping [18]. Markers have been reported for use to screen AB resistance in recombinant breeding lines derived from an interspecific and intraspecific cross in chickpeas to determine the presence of QTL [16,19,20,21,22].
To improve resistance to AB in chickpeas, the screening of existing germplasm is required. Therefore, in the present study, both the phenotypic and genotypic screening of Kabuli-type chickpea lines were employed to determine their resistance level against AB, which can provide useful information in the identification and development of lines/cultivars for incorporation in the chickpea AB-integrated disease management program.
2. Materials and Methods
2.1. Plant Material and Trial Location
A total of twenty-six Kabuli-type chickpea lines sourced from AgriVentis Technologies Pty Ltd. (North Sydney, Australia) were used in this study (Table 1).
Table 1.
List of Kabuli-type chickpea lines used in the experiment.
The experiment was carried out in climate-controlled glasshouse conditions in the laboratory of the Institute of Life Sciences and the Environment Research Facilities at the University of Southern Queensland, Toowoomba, Queensland, Australia. Commercially available chickpea cultivars developed and released by Chickpea Breeding Australia (CBA) were used as reference checks (controls).
2.2. Growing Environment and Experimental Design
Phenotyping for AB resistance was performed following the procedure by Newman et al. [23] with some modifications. The experiment was laid out in a Completely Randomized Design (CRD) with six replications.
Seeds of the Kabuli-type chickpea lines were surfaced and sterilized in 1.2% sodium hypochlorite (NaOCl) (Glitz Bleach, Pascoe’s, Welshpool, WA, Australia) solution for five minutes, followed by three which were rinsed in sterile distilled water (SDW). One to two seeds per line were sown in each sterilized square pot (50 mm width × 50 mm length × 122 mm height) filled with a pasteurized vermiculite/sand mix (4:1 ratio) and maintained in the glasshouse with a 25 °C/20 °C day/night temperature. Seven commercially available chickpea cultivars were used as checks: Almaz (MR/MS), Flipper (MR/MS), Genesis 090 (R), Jimbour (S), PBA Pistol (VS), PBA Seamer (R) and Yorker (MR/MS) [5] were sown to serve as checks. For uninoculated negative checks, a set of each line was grown in separate trays.
2.3. Isolate and Inoculum Preparation
An isolate of A. rabiei (AR0357) obtained from Griffith University, Queensland, Australia, classified as high pathogenicity in Group V, and as reported in A. rabiei Dashboard (https://shinotate.pp18000.cloud.edu.au/shiny/Asco_dashboard/, accessed on 15 October 2023), was used. The isolate was grown and maintained on V-8 juice (Campbell Australia Pty Ltd., North Strathfield, NSW, Australia) agar at 25 °C, then kept at 4 °C until used. For inoculum preparation, the Ascochyta isolate was grown on V-8 juice agar plates at 21 °C. After 10 days, pycnidiospores were harvested by scraping the fungal growth from culture plates and blended with SDW using a handheld mixer. The spore suspension was then filtered through four layers of sterile gauze cloth, and the spore concentration was adjusted using a haemocytometer with 5 × 104 conidia/mL. Tween 20 (Sigma-Aldrich, Darmstadt, Germany), at a rate of 0.05%, was added to the inoculum suspension before spraying to the test lines.
2.4. Inoculation and Disease Assessment
The chickpea test lines were transferred in a Holman misting tent (Holman Industries, Osborne Park, WA, Australia), then spray-inoculated with the spore suspension for 20 s until runoff, and dried for 30 min, following the procedure as described by Isenegger et al. [24]. Afterwards, humidity was applied using a 505 Condair Humidifier (Condair Pty Ltd., Hornsby, Australia) and maintained at 20 ± 1 °C/26 ± 1 °C night/day temperature and 100% relative humidity for 72 h. Seedlings uninoculated were used as a negative control. At 10 days post-incubation, the intensity of disease symptoms on the whole plant for each entry was evaluated and rated based on a 1–9 rating scale by Pande et al. [25] (Table 2). An ANOVA of the ratings and a post hoc mean comparison by Tukey’s HSD test was performed using the GenStat Twenty-third Edition Software (Version 23.1.0.651) [26].
Table 2.
Rating scale used for Ascochyta blight (1–9) disease severity assessment.
2.5. MAS for AB Resistance
Four previously published markers, CaETR, GAA47, TA146, and TA194, linked to QTLs for AB resistance were used (Table 3) [16,19,21,22] for genotyping the 26 Kabuli- type lines and 7 chickpea cultivar checks.
Table 3.
Details of the molecular markers used for Ascochyta blight resistance marker-assisted selection.
About 100 mg of leaves from three-week-old seedlings from each line were collected for DNA extraction. The DNA extraction kit Qiagen DNeasy® Plant Pro Kit (Qiagen Pty Ltd., Clayton, Australia) was employed for the extraction of total cellular DNA, as described by the manufacturer. The quantification of extracted genomic DNA was completed using a DS-11+Spectrophotometer (DeNovix Inc., Wilmington, DE, USA). The resulting DNA was dissolved with sterile ultrapure water and adjusted to 50 ng/µL for Polymerase Chain Reaction (PCR) assays.
The PCR reaction was carried out in a total volume of 10 µL containing 50 ng of genomic DNA, 5 µL of 2X Taq Master Mix New England Biolabs (NEB, Notting Hill, VIC, Australia), 0.5 µL each of the primer (10 µM), and 3 µL sterile ultrapure water. For PCR amplification using primers CaETR-Fw and CaETR-Rev1, initial denaturation was carried out for 1 min at 95 °C and then subjected to 30 cycles at 95 °C for 30 s, 60 °C for 30 s, 72 °C for 1 min, followed by a final extension at 72 °C for 7 min, as described by [28]. In contrast, for multiplex PCR using CaETR-Fw and two reverse primers, CaETR-Rev1 and CaETR-Rev-2, the reaction mixture was prepared as mentioned above except for the primer concentration (0.25 µL each of reverse primer, 10 µM). For initial denaturation, the reaction mixture was carried out for 5 min at 95 °C, then subjected to 30 cycles at 95 °C for 30 s, 62 °C for 30 s, 72 °C for 50 s, followed by a final extension at 72 °C for 7 min [27].
For sequence-tagged microsatellite (STMS) primers, GAA47, TA146 and TA194, the reaction mixture was carried out for 2 min at 96 °C denaturation, then subjected to 35 cycles of 96 °C for 20 s, and an annealing step at 55 °C for 50 s (GAA47, TA146), while for TA194, the reaction mixture was conducted at 59 °C for 50 s with an extension step of 60 °C for 50 s, followed by the final extension at 60 °C [19].
Amplification products were electrophoresed on 3% agarose (Agarose MB, Astral Scientific, Taren Point, NSW, Australia) gels in a 1XTBE buffer with 4 µL/100 mL of GelRed® Nucleic Acid Gel Stain (Biotium, Gene Target Solutions Pty Ltd., Dural, NSW, Australia). The Quick-Load® 100 bp DNA Ladder (New England Biolabs, Notting Hill, VIC, Australia) was used as a size standard. The DNA banding patterns were visualized and documented using the Biovision software (Version 4.2) in a Quantum Gel Doc System (Vilber Smart Imaging, Seoul, Republic of Korea).
3. Results
3.1. Phenotypic Evaluation for Ascochyta Blight
Each plant was assessed for the intensity of disease symptoms on the whole plant and assigned a rating between 1 and 9. Water-soaked lesions on the stem and leaf were the initial symptoms observed, which later turned into brown lesions, followed by the drying and then breaking of terminal parts; these were the most common symptoms observed (Figure 1). No data were obtained from lines AVTCKP#7, AVTCKP#23, and AVTCKP#26 due to poor germination.
Figure 1.
Whole-plant symptoms of Ascochyta blight observed in Kabuli-type chickpea lines: (a) necrotic spots on leaves with stem and leaf blight, (b) leaf spots on leaves, and (c) whole plant blighting.
An analysis of variance (ANOVA) for rating data yielded significant variation among the Kabuli-type chickpea lines (p < 0.001) in their reaction to AB. A mean comparison based on Turkey’s post hoc test revealed that most of the tested lines (29 lines), including the checks, were either moderately susceptible (MS, susceptible (S), or very susceptible (VS) to AB at p < 0.05 (Table 4). No line was found to be highly resistant (HR) or resistant (R) to the disease. Only two lines, AVTCPK#6 and AVTCPK#14, and the check varieties PBA Seamer and Genesis 090 were found to be moderately resistant (MR) with an average rating of five.
Table 4.
Mean disease severity ratings for Ascochyta blight on artificially inoculated Kabuli-type chickpea lines and check cultivars of chickpeas.
3.2. MAS for AB Resistance
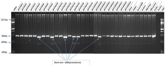
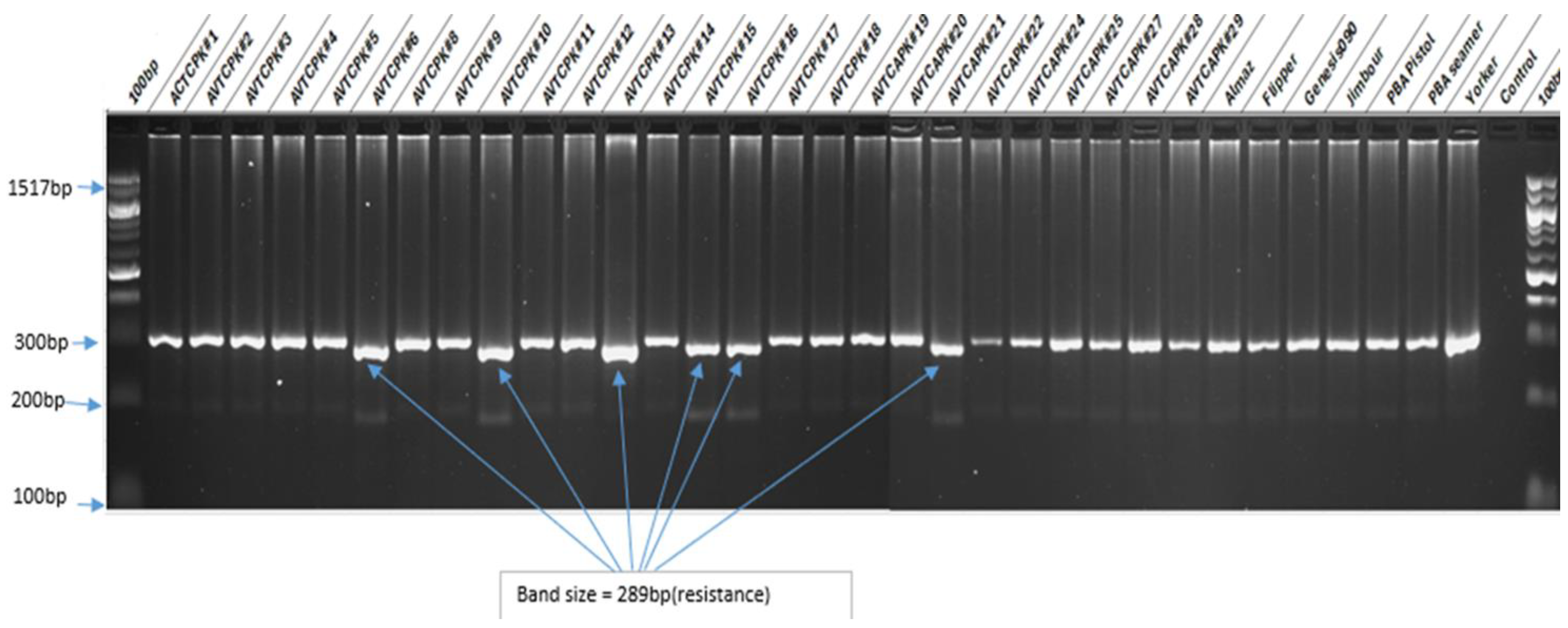
The markers CaETR, GAA47, TA146, and TA194, linked to three different QTLs, were employed for Ascochyta blight resistance screening. An allele-specific codominant marker, CaETR-linked to QTLAR1, was amplified with CaETR-Fw and CaETR Rev1 primers (Figure 2). For amplification products, the expected sizes for resistance and susceptibility were 1034 bp and 304 bp, respectively, as reported by Madrid et al. [27]. Among the evaluated lines, the amplicon size of 304 bp was detected in most of the lines except for six lines, namely AVTCPK#6, AVTCPK#10, AVTCPK#12, AVTCPK#15, AVTCPK#16, and AVTCPK#21. A very weak band of size 1034 bp or absence of bands observed in some lines may be due to low PCR efficiency in the lines and amplicon associated with the resistance allele [27,29]. Furthermore, the CaETR-Rev2 primer was used in the multiplex PCR together with CaETR-Fw and CaETR Rev-1 for the efficient discrimination of resistant and susceptible genotypes. The band of the 289 bp fragment detected in the same six lines were associated with resistance, whereas other lines displaying a band size 304 bp fragment was associated with susceptibility to the disease.
Figure 2.
Agarose gel showing the amplicons for resistance and susceptibility of Kabuli-type chickpea lines to AB disease based on CaETR multiplex PCR. CaETR is an allele-specific codominant marker linked to QTLAR1 and amplified with CaETR-Fw and CaETR Rev1 primers.
The STMS markers GAA47 and TA194 were employed to characterize chickpeas for the existence of QTLs, which are the genetic regions that influence phenotypic variation in a complex trait, such as plant reactions to the disease [30]. The marker detected QTLAR1 in only one line, AVTCPK#6, while both the QTLAR1 AND QTLAR2 were detected in AVTCPK#14. In contrast, the other STMS markers, TA146 and TA194, were able to detect QTLAR2 and QTLAR3, respectively. Five out of twenty-six tested Kabuli-type chickpea lines and five out of seven check genotypes used were found to have a resistance band size of 120 bp, while the remaining lines had a susceptible band size of 160 bp.
Table 5 summarizes the results obtained from phenotyping and genotyping using four different markers: CaETR, GAA47, TA 146, and TA194. The results show that although some lines were rated susceptible in phenotyping, the genotyping results showed evidence of the presence of resistance genes, such as in AVTCPK#13, AVTCPK#15, AVTCPK#16, and AVTCPK#21. The same was true for the reference checks of Jimbour and PBA Pistol.
Table 5.
Summary of phenotyping and genotyping results upon screening 26 Kabuli-type chickpea lines and reference check cultivars in their reaction to Ascochyta blight.
4. Discussion
Kabuli-type chickpeas are distributed in West Asia and the Mediterranean region. Their large seed size, equal to or greater than nine millimeters in diameter, attracts popularity with a heavy premium not only for human consumption but also as a ruminant feed [31]. Despite common types, Desi- and Kabuli-type chickpeas are genetically variable, with Kabuli-type chickpeas reported to be more genetically diverse than Desi [32,33]. In the present study, we reported the resistance level of Kabuli-type chickpea lines against Ascochyta blight (AB).
A number of studies conducted to understand the resistance of AB in chickpeas have been reported. Some of the authors characterize it as monogenic inheritance [34], while others suggest AB resistance in chickpeas to be a result of polygenic inheritance with several QTLs already identified [16,19,20,21]. Since multiple genes are responsible for influencing the resistance of AB, different molecular markers were used in this research to identify the resistance of Kabuli-type chickpea lines to AB.
In this study, the recommended specific markers CaETR and GAA47 by Gil et al. [35] and Iruela et al. [19] were successfully employed. The CaETR marker, as suggested by Castro et al. [16], was found to be an effective marker for genotyping AB in chickpeas. In the study conducted by Madrid et al. [27] for allele-specific amplification to detect AB resistance in chickpeas, a very weak or absent band was observed in some tested lines while using primers CaETR-Fw and CaETR-Rev-1, which was later addressed by multiplex PCR together with the primers CaETR-Fw, CaETR- Rev-1 and CaETR-Rev-2. Among the markers used, GAA47 was present at a lower frequency than the resistance alleles detected using the other marker. Both of the markers CaETR and GAA47 are related to blight resistance AB Pathotype I [16,36].
A small number of STMS markers (GAA47, TA146, and TA194) are the suggested markers for identifying resistance in chickpeas to AB [16,19,20,21,22]. Of the markers used in the present study, the marker TA146 linked with QTLAR2 is most commonly detected from the lines evaluated and is reported to be strongly correlated with resistance to A. rabiei Pathotype II [16,19,36]. However, in some lines, including the checks, QTLAR3 using marker TA194 was noted, indicating a linkage to blight resistance against Pathotype III. Hence, this is an indication of whether the Kabuli-type chickpea lines detected with all the tested markers have good levels of resistance to different Pathotypes (I,II,III) of AB, which is an occurrence in chickpeas that has been demonstrated by Newman et al. [23].
In the results obtained, two lines were identified that showed moderate resistance by phenotyping. However, only one of these lines showed resistance markers indicating the presence of major QTLs for AB resistance. This suggests that there is some inconsistency between the results obtained from the phenotyping and genotyping of the Kabuli-type chickpea lines at the seedling stage. Similar results were reported by Bouhadida et al. [37] in their study of twenty-three chickpea genotypes and their reaction to AB under controlled conditions. They used molecular analysis with the CaETR marker and found similar discrepancies between phenotypic and genotypic results. The reason behind this inconsistency may be the presence of different QTLs conferring resistance or due to environmental effects, as explained by Bouhadida et al. [37], Castro et al. [16], Mehmood [14], and Iruela et al. [19].
Research on the effect of the chickpea growth stage on AB infection revealed that the incubation period for the pathogen is shorter in the seedling stage, leading to more disease symptoms. Sharma et al. [18] explained that chickpeas can be attacked by AB at any growth stage in cool and humid weather, depending on the availability of the pathogen. However, disease epidemics are most prominent during the flowering and podding growth stages. They suggested that an evaluation for resistance to AB can be conducted at GS 1 (seedling stage) and/or at GS 4 (flowering stage) to GS 5 (podding stage) in chickpeas.
This study supports the idea that the evaluation for AB resistance should be performed on both 10-day-old seedlings and adult plants in locations with high levels of inoculum. This has led to the suggestion of seedling and adult plant resistance screening, as proposed by Basandrai et al. [38], Kaur et al. [39], Kimber et al. [40], Chongo and Gossen [41], Riaz Malik et al. [42], and Trapero-Casas and Kaiser [43], along with genetic analysis using marker-assisted selection (MAS). Additionally, it indicates that a moderately resistant line could be used in breeding as it possesses useful genes for target traits. Although conventional approaches, such as seedling stage resistance phenotyping, have contributed to reducing diseases, the use of modern technologies, such as the MAS method, is expected to enhance selection efficiency when it is performed on seedling material to further reduce losses against this biotic stress.
5. Conclusions
The expansion of the chickpea industry has encountered challenges due to major diseases, one of which is Ascochyta blight. Because of the continuous exposure to aggressive pathogens, completely resistant genotypes against AB have not been reported. Considering the importance of chickpeas and the production gap faced by farmers, this research investigated the disease resistance capacity of new Kabuli-type chickpea lines. By phenotyping, there is visual evidence to clearly observe the diversity of genetic material and their behavior in diverse environmental conditions, while in genotyping, using MAS is an effective and rapid method to identify the presence of desired traits via markers in new lines. The findings of this research demonstrate that there is genetic diversity in response to AB among the tested lines. Through the constant screening of breeding lines, the genetic variability among genotypes and pathogens can be determined, leading to improved breeding programs for host resistance. The markers used in this study are useful in selecting resistance against AB. However, to obtain effective results in MAS, the different markers linked to different identified QTLs should be employed because of the complex genetic nature of AB in chickpeas. Further, the identified moderately resistant lines and/or cultivars can be exploited further in chickpea breeding programs for the development of AB-resistant/tolerant chickpea commercial cultivars. As this research is based only on the seedling stage and was based on a single replicated experiment, the test lines can be further validated under field conditions. It is also recommended to screen chickpeas for resistance to AB at different growth stages, going back to the polygenic nature of Kabuli-type chickpea lines and their resistance to AB. If possible, phenotyping and genotyping for disease resistance should be performed simultaneously for more reliable identification of resistance sources, using diverse AB isolates that can better represent field conditions and potential pathogen variability.
Author Contributions
Conceptualization, D.L.A. and S.B.; methodology, D.L.A. and M.S.; software, D.L.A. and M.S.; validation, D.L.A., S.B. and M.S.; formal analysis, M.S. and D.L.A.; investigation, M.S.; resources, S.B. and D.L.A.; data curation, D.L.A. and M.S.; writing—original draft preparation, M.S.; writing—review and editing, D.L.A. and S.B.; visualization, M.S. and D.L.A.; supervision, D.L.A.; project administration, D.L.A. and S.B.; funding acquisition, S.B. All authors have read and agreed to the published version of the manuscript.
Funding
This research was funded by AgriVentis Technologies Pty Ltd., project grant number 1008400. It also received in-kind contributions from the University of Southern Queensland and Central Queensland University.
Data Availability Statement
Data supporting the reported results were submitted to AgriVentis and curated at the University of Southern Queensland and Central Queensland University by the student Ms. Megha Subedi, and are available upon request.
Acknowledgments
The authors would like to thank AgriVentis Technologies Pty Ltd. for providing the Kabuli chickpea seeds and PB Agrifood for providing the commercial chickpea cultivars used as reference checks in the investigation. Our thanks also go to CQU for the Elevate Fee exempt scholarships. We also thank the support provided by UniSQ staff Kanwal Shazadi and thank UniSQ for providing access to the ILSE Research Facilities in the conduct of this study.
Conflicts of Interest
The authors declare that this study received funding from AgriVentis Technologies Pty Ltd. It also received in-kind contributions from the University of Southern Queensland and Central Queensland University that were involved in the study design, collection, analysis, interpretation of data, the writing of this article and the decision to submit it for publication. AgriVentis Technologies Pty Ltd. was not involved in the study design, collection, analysis, interpretation of data, the writing of this article or the decision to submit it for publication.
References
- Food and Agriculture Organisation. FAOSTAT: Crops and Livestock Products. 2022. Available online: https://www.fao.org/faostat/en/#data/QCL (accessed on 21 March 2024).
- Chickpea Production by Country. 2024. Available online: https://worldpopulationreview.com/country-rankings/chickpea-production-by-country (accessed on 21 March 2024).
- Shahbandeh, M. Volume of Chickpeas Produced Worldwide 2022, by Country. 2024. Available online: https://www.statista.com/statistics/722203/chickpeas-production-volume-by-country-worldwide/#:~:text=Volume%20of%20chickpeas%20produced%20worldwide%202022%2C%20by%20country&text=In%202022%2C%20the%20production%20volume,of%20chickpeas%20were%20produced%20worldwide (accessed on 21 March 2024).
- Arya, M.; Dwivedi, S.; Chaturvedi, S. Management of biotic stresses in chickpea exploiting host plant resistance. Int. J. Agric. Environ. Biotechnol. 2019, 12, 141–149. [Google Scholar] [CrossRef]
- Moore, K.; Ryley, M.; Cumming, G.; Jenkins, L. Chickpea: Ascochyta Blight Management. Australian Pulse Bulletin 2015. Available online: https://www.pulseaus.com.au/growing-pulses/bmp/chickpea/ascochyta-blight (accessed on 15 September 2023).
- Bar, I.; Sambasivam, P.T.; Davidson, J.; Farfan-Caceres, L.M.; Lee, R.C.; Hobson, K.; Moore, K.; Ford, R. Current population structure and pathogenicity patterns of Ascochyta rabiei in Australia. Microb. Genom. 2021, 7, 000627. [Google Scholar] [CrossRef] [PubMed]
- Bhardwaj, R.; Sandhu, J.S.; Kaur, L.; Gupta, S.K.; Gaur, P.M.; Varshney, R. Genetics of Ascochyta blight resistance in chickpea. Euphytica 2010, 171, 337–343. [Google Scholar] [CrossRef]
- Pulse Australia. Chickpea Fungicide Guide: 2021 Season. Australian Pulse Bulletin 2021. Available online: https://www.pulseaus.com.au/growing-pulses/bmp/chickpea/2021-season-fungicide-guide (accessed on 21 March 2024).
- ABC Rural. Australia the Worlds Largest Exporter of Chickpea as Pulse Council Purses Further Growth. 2023. Available online: https://www.abc.net.au/news/rural/2023-11-05/australia-worlds-largest-chickpea-exporter-pulse-council-growth/103057674 (accessed on 21 March 2024).
- Dang, Y.P.; Dalal, R.C.; Buck, S.R.; Harms, B.R.; Kelly, R.; Hochman, Z.; Schwenke, G.D.; Biggs, A.J.; Ferguson, N.J.; Norrish, S.; et al. Diagnosis, extent, impacts, and management of subsoil constraints in the northern grains cropping region of Australia. Soil Res. 2010, 48, 105–119. [Google Scholar] [CrossRef]
- Javaid, A.; Munir, R.; Khan, I.H.; Shoaib, A. Control of the chickpea blight, Ascochyta rabiei, with the weed plant, Withania somnifera. Egypt. J. Biol. Pest Control. 2020, 30, 114. [Google Scholar] [CrossRef]
- Labdi, M.; Malhotra, R.S.; Benzohra, I.E.; Imtiaz, M. Inheritance of resistance to Ascochyta rabiei in 15 chickpea germplasm accessions. Plant Breed. 2013, 132, 197–199. [Google Scholar] [CrossRef]
- Pande, S.; Siddique, K.H.; Kishore, G.K.; Bayaa, B.; Gaur, P.M.; Gowda, C.L.; Bretag, T.W.; Crouch, J.H. Ascochyta blight of chickpea (Cicer arietinum L.): A review of biology, pathogenicity, and disease management. Aust. J. Agric. Res. 2005, 56, 317–332. [Google Scholar] [CrossRef]
- Mehmood, Y. Evolution of High-Risk Isolates within the Australian Ascochyta rabiei Population and the Differential Defence Responses Instigated in Chickpea; Griffith University: Brisbane, QLD, Australia, 2017. [Google Scholar]
- Berger, J.; Abbo, S.; Turner, N.C. Ecogeography of annual wild Cicer species: The poor state of the world collection. Crop Sci. 2003, 43, 1076–1090. [Google Scholar] [CrossRef]
- Castro, P.; Rubio, J.; Madrid, E.; Fernández-Romero, M.D.; Millán, T.; Gil, J. Efficiency of marker-assisted selection for ascochyta blight in chickpea. J. Agric. Sci. 2013, 153, 56–67. [Google Scholar] [CrossRef]
- Varshney, R.K.; Chabane, K.; Hendre, P.S.; Aggarwal, R.K.; Graner, A. Comparative assessment of EST-SSR, EST-SNP and AFLP markers for evaluation of genetic diversity and conservation of genetic resources using wild, cultivated and elite barleys. Plant Sci. 2007, 173, 638–649. [Google Scholar] [CrossRef]
- Singh, R.; Kumar, K.; Purayannur, S.; Chen, W.; Verma, P.K. Ascochyta rabiei: A threat to global chickpea production. Mol. Plant Pathol. 2022, 23, 1241–1261. [Google Scholar] [CrossRef] [PubMed]
- Iruela, M.; Rubio, J.; Barro, F.; Cubero, J.I.; Millán, T.; Gil, J. Detection of two quantitative trait loci for resistance to ascochyta blight in an intra-specific cross of chickpea (Cicer arietinum L.): Development of SCAR markers associated with resistance. Theor. Appl. Genet. 2006, 112, 278–287. [Google Scholar] [CrossRef] [PubMed]
- Millan, T.; Rubio, J.; Iruela, M.; Daly, K.; Cubero, J.I.; Gil, J. Markers associated with Ascochyta blight resistance in chickpea and their potential in marker-assisted selection. Field Crops Res. 2003, 84, 373–384. [Google Scholar] [CrossRef]
- Tekeoglu, M.; Rajesh, P.; Muehlbauer, F. Integration of sequence tagged microsatellite sites to the chickpea genetic map. Theor. Appl. Genet. 2002, 105, 847–854. [Google Scholar] [CrossRef] [PubMed]
- Udupa, S.M.; Baum, M. Genetic dissection of pathotype-specific resistance to ascochyta blight disease in chickpea (Cicer arietinum L.) using microsatellite markers. Theor. Appl. Genet. 2003, 106, 1196–1202. [Google Scholar] [CrossRef]
- Newman, T.E.; Jacques, S.; Grime, C.; Kamphuis, F.L.; Lee, R.C.; Berger, J.; Kamphuis, L.G. Identification of novel sources of resistance to ascochyta blight in a collection of wild Cicer accessions. Phytopathology 2021, 111, 369–379. [Google Scholar] [CrossRef]
- Isenegger, D.A.; Ford, R.; Taylor, P.W.J. Disease reaction of chickpea (Cicer spp.) genotypes to Botrytis grey mould (Botrytis cinerea). Australas. Plant Pathol. 2011, 40, 583. [Google Scholar] [CrossRef]
- Pande, S.; Sharma, M.; Gaur, P.M.; Tripathi, S.; Kaur, L.; Basandrai, A.; Khan, T.; Gowda, C.L.; Siddique, K.H. Development of screening techniques and identification of new sources of resistance to Ascochyta blight disease of chickpea. Australas. Plant Pathol. 2011, 40, 149–156. [Google Scholar] [CrossRef]
- VSN International. Genstat for Windows, 23rd ed.; Version 23.1.0.651; VSN International: Hemel Hempstead, UK, 2022. [Google Scholar]
- Madrid, E.; Chen, W.; Rajesh, P.N.; Castro, P.; Millán, T.; Gil, J. Allele-specific amplification for the detection of ascochyta blight resistance in chickpea. Euphytica 2013, 189, 183–190. [Google Scholar] [CrossRef]
- Winter, P.; Pfaff, T.; Udupa, S.M.; Hüttel, B.; Sharma, P.C.; Sahi, S.; Arreguin-Espinoza, R.; Weigand, F.; Muehlbauer, F.J.; Kahl, G. Characterization and mapping of sequence-tagged microsatellite sites in the chickpea (Cicer arietinum L.) genome. Mol. Gen. Genet. MGG 1999, 262, 90–101. [Google Scholar] [CrossRef]
- Madrid, E.; Rajesh, P.N.; Rubio, J.; Gil, J.; Millán, T.; Chen, W. Characterization and genetic analysis of an EIN4-like sequence (CaETR-1) located in QTLAR1 implicated in ascochyta blight resistance in chickpea. Plant Cell Rep. 2012, 31, 1033–1042. [Google Scholar] [CrossRef]
- Powder, K.E. Quantitative trait loci (QTL) mapping. In eQTL Analysis: Methods and Protocols; Humana: New York, NY, USA, 2020; pp. 211–229. [Google Scholar]
- Maheri-Sis, N.; Chamani, M.; Ali-Asghar, S.; Mirza-Aghazadeh, A.; Aghajanzadeh-Golshani, A. Nutritional evaluation of kabuli and desi type chickpeas (Cicer arietinum L.) for ruminants using in vitro gas production technique. Afr. J. Biotechnol. 2008, 7, 2946–2951. [Google Scholar]
- Purushothaman, R.; Upadhyaya, H.D.; Gaur, P.M.; Gowda, C.L.; Krishnamurthy, L. Kabuli and desi chickpeas differ in their requirement for reproductive duration. Field Crops Res. 2014, 163, 24–31. [Google Scholar] [CrossRef]
- Upadhyaya, H.D.; Dwivedi, S.L.; Baum, M.; Varshney, R.K.; Udupa, S.M.; Gowda, C.L.; Hoisington, D.; Singh, S. Genetic structure, diversity, and allelic richness in composite collection and reference set in chickpea (Cicer arietinum L.). BMC Plant Biol. 2008, 8, 1–12. [Google Scholar] [CrossRef]
- Tewari, S.; Pandey, M. Genetics of resistance to ascochyta blight in chickpea (Cicer arietinum L.). Euphytica 1986, 35, 211–215. [Google Scholar] [CrossRef]
- Gil, J.; Castro, P.; Millan, T.; Madrid, E.; Rubio, J. Development of new Kabuli large-seeded chickpea materials with resistance to Ascochyta blight. Crop Pasture Sci. 2017, 68, 967–972. [Google Scholar] [CrossRef]
- Kabakci, H.; Özer, G. Comparison of phenotypic and marker-assisted selection in Turkish cultivars and global genotypes of chickpea for resistance to pathotypes of Ascochyta rabiei (Pass.) Labr. Turk. J. Agric. For. 2021, 45, 1–12. [Google Scholar]
- Bouhadida, M.; Benjannet, R.; Madrid, E.; Amri, M.; Kharrat, M. Efficiency of marker-assisted selection in detection of ascochyta blight resistance in Tunisian chickpea breeding lines. Phytopathol. Mediterr. 2013, 52, 202–211. [Google Scholar]
- Basandrai, A.K.; Basandrai, D.; Pande, S.; Sharma, M.; Thakur, S.K.; Thakur, H.L. Development of ascochyta blight (Ascochyta rabiei) in chickpea as affected by host resistance and plant age. In Ascochyta Blights of Grain Legumes; Tivoli, B., Baranger, A., Muehlbauer, F.J., Cooke, B.M., Eds.; Springer: Dordrecht, The Netherlands, 2007; pp. 77–86. [Google Scholar]
- Kaur, L.; Sirari, A.; Kumar, D.; Sandhu, J.S.; Singh, S.; Kapoor, K.; Singh, I.; Gowda, C.L.; Pande, S.; Gaur, P.M.; et al. Combining Ascochyta blight and Botrytis grey mould resistance in chickpea through interspecific hybridization. Phytopathol. Mediterr. 2013, 52, 157–165. [Google Scholar]
- Kimber, R.B.E.; Shtienberg, D.; Ramsey, M.D.; Scott, E.S. The role of seedling infection in epiphytotics of ascochyta blight on chickpea. Eur. J. Plant Pathol. 2007, 117, 141–152. [Google Scholar] [CrossRef]
- Chongo, G.; Gossen, B.D. Effect of plant age on resistance to Ascochyta rabiei in chickpea. Can. J. Plant Pathol. 2001, 23, 358–363. [Google Scholar] [CrossRef]
- Riaz Malik, S.; Iqbal, S.M.; Iqbal, U.; Ahmad, I.; Majeed Haqqani, A. Response of chickpea lines to Ascochyta rabiei at two growing stages. Casp. J. Environ. Sci. 2005, 3, 173–177. [Google Scholar]
- Trapero-Casas, A.; Kaiser, W. Influence of temperature, wetness period, plant age, and inoculum concentration on infection and development of Ascochyta blight of chickpea. Phytopathology 1992, 82, 589–596. [Google Scholar] [CrossRef]
Disclaimer/Publisher’s Note: The statements, opinions and data contained in all publications are solely those of the individual author(s) and contributor(s) and not of MDPI and/or the editor(s). MDPI and/or the editor(s) disclaim responsibility for any injury to people or property resulting from any ideas, methods, instructions or products referred to in the content. |
© 2024 by the authors. Licensee MDPI, Basel, Switzerland. This article is an open access article distributed under the terms and conditions of the Creative Commons Attribution (CC BY) license (https://creativecommons.org/licenses/by/4.0/).

