Co-Infection with Cryptosporidium meleagridis and Enterocytozoon bieneusi in an HIV+ Colombian Patient
Abstract
1. Introduction
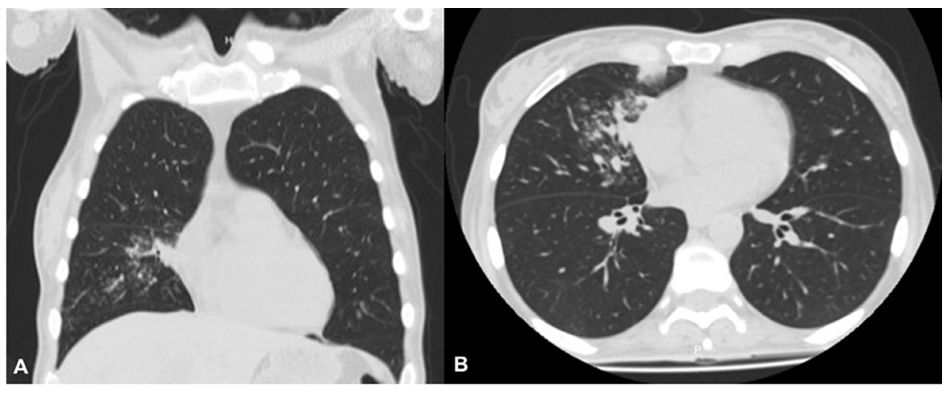
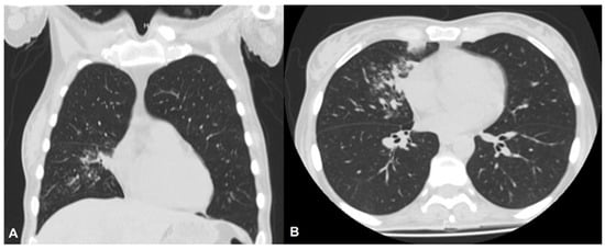
2. Case Description
3. Discussion
Author Contributions
Funding
Institutional Review Board Statement
Informed Consent Statement
Data Availability Statement
Acknowledgments
Conflicts of Interest
References
- Wang, R.J.; Li, J.Q.; Chen, Y.C.; Zhang, L.X.; Xiao, L.H. Widespread occurrence of Cryptosporidium infections in patients with HIV/AIDS: Epidemiology, clinical feature, diagnosis, and therapy. Acta Trop. 2018, 187, 257–263. [Google Scholar] [CrossRef] [PubMed]
- Han, B.; Pan, G.; Weiss, L.M. Microsporidiosis in humans. Clin. Microbiol. Rev. 2021, 34, e0001020. [Google Scholar] [CrossRef] [PubMed]
- Schneider, A.; Wendt, S.; Lübbert, C.; Trawinski, H. Current pharmacotherapy of cryptosporidiosis: An update of the state-of-the-art. Expert Opin. Pharmacother 2021, 22, 2337–2342. [Google Scholar] [CrossRef] [PubMed]
- Wei, J.; Fei, Z.; Pan, G.; Weiss, L.M.; Zhou, Z. Current therapy and therapeutic targets for microsporidiosis. Front. Microbiol. 2022, 13, 835390. [Google Scholar] [CrossRef] [PubMed]
- Tiangtip, R.; Jongwutiwes, S. Molecular analysis of Cryptosporidium species isolated from HIV-infected patients in Thailand. Trop. Med. Int. Health 2002, 7, 357–364. [Google Scholar] [CrossRef] [PubMed]
- Stensvold, C.R.; Beser, J.; Axén, C.; Lebbad, M. High applicability of a novel method for gp60-based subtyping of Cryptosporidium meleagridis. J. Clin. Microbiol. 2014, 52, 2311–2319. [Google Scholar] [CrossRef]
- Buckholt, M.A.; Lee, J.H.; Tzipori, S. Prevalence of Enterocytozoon bieneusi in swine: An 18-month survey at a slaughterhouse in Massachusetts. Appl. Environ. Microbiol. 2002, 68, 2595–2599. [Google Scholar] [CrossRef] [PubMed]
- Dowd, S.E.; John, D.; Eliopolus, J.; Gerba, C.P.; Naranjo, J.; Klein, R.; López, B.; de Mejía, M.; Mendoza, C.E.; Pepper, I.L. Confirmed detection of Cyclospora cayetanesis, Encephalitozoon intestinalis and Cryptosporidium parvum in water used for drinking. J. Water Health 2003, 1, 117–123. [Google Scholar] [CrossRef] [PubMed]
- Samarasinghe, B.; Johnson, J.; Ryan, U. Phylogenetic analysis of Cystoisospora species at the rRNA ITS1 locus and development of a PCR-RFLP assay. Exp. Parasitol. 2008, 118, 592–595. [Google Scholar] [CrossRef] [PubMed]
- Verweij, J.J.; Schinkel, J.; Laeijendecker, D.; van Rooyen, M.A.; van Lieshout, L.; Polderman, A.M. Real-time PCR for the detection of Giardia lamblia. Mol. Cell Probes 2003, 17, 223–225. [Google Scholar] [CrossRef]
- Verweij, J.J.; Oostvogel, F.; Brienen, E.A.; Nang-Beifubah, A.; Ziem, J.; Polderman, A.M. Prevalence of Entamoeba histolytica and Entamoeba dispar in northern Ghana. Trop. Med. Int. Health 2003, 8, 1153–1156. [Google Scholar] [CrossRef] [PubMed]
- Scicluna, S.M.; Tawari, B.; Clark, C.G. DNA barcoding of Blastocystis. Protist 2006, 157, 77–85. [Google Scholar] [CrossRef] [PubMed]
- Ryan, U.; Zahedi, A.; Feng, Y.; Xiao, L. An update on zoonotic Cryptosporidium species and genotypes in humans. Animals 2021, 11, 3307. [Google Scholar] [CrossRef] [PubMed]
- Sannella, A.R.; Suputtamongkol, Y.; Wongsawat, E.; Cacciò, S.M. A retrospective molecular study of Cryptosporidium species and genotypes in HIV-infected patients from Thailand. Parasit. Vectors 2019, 12, 91. [Google Scholar] [CrossRef] [PubMed]
- da Cunha, M.J.R.; Cury, M.C.; Santín, M. Molecular characterization of Cryptosporidium spp. in poultry from Brazil. Res. Vet. Sci. 2018, 118, 331–335. [Google Scholar] [CrossRef] [PubMed]
- Galvan-Diaz, A.L.; Bedoya-Urrego, K.; Medina-Lozano, A.; Uran-Velasquez, J.; Alzate, J.F.; Garcia-Montoya, G. Common occurrence of Cryptosporidium hominis in children attending day-care centers in Medellin, Colombia. Parasitol. Res. 2020, 119, 2935–2942. [Google Scholar] [CrossRef]
- Li, W.; Xiao, L. Ecological and public health significance of Enterocytozoon bieneusi. One Health 2020, 12, 100209. [Google Scholar] [CrossRef] [PubMed]
- Sulaiman, I.M.; Fayer, R.; Lal, A.A.; Trout, J.M.; Schaefer, F.W.; Xiao, L. Molecular characterization of microsporidia indicates that wild mammals harbor host-adapted Enterocytozoon spp. as well as human-pathogenic Enterocytozoon bieneusi. Appl. Environ. Microbiol. 2003, 69, 4495–4501. [Google Scholar] [CrossRef] [PubMed]
- Sulaiman, I.M.; Bern, C.; Gilman, R.; Cama, V.; Kawai, V.; Vargas, D.; Ticona, E.; Vivar, A.; Xiao, L. A molecular biologic study of Enterocytozoon bieneusi in HIV-infected patients in Lima, Peru. J. Eukaryot. Microbiol. 2003, 50, 591–596. [Google Scholar] [CrossRef] [PubMed]
- Tavalla, M.; Mardani-Kateki, M.; Abdizadeh, R.; Nashibi, R.; Rafie, A.; Khademvatan, S. Molecular identification of Enterocytozoon bieneusi and Encephalitozoon spp. in immunodeficient patients in Ahvaz, Southwest of Iran. Acta Trop. 2017, 17, 107–112. [Google Scholar] [CrossRef]
- Santín, M.; Trout, J.M.; Vecino, J.A.; Dubey, J.P.; Fayer, R. Cryptosporidium, Giardia and Enterocytozoon bieneusi in cats from Bogota (Colombia) and genotyping of isolates. Vet. Parasitol. 2006, 141, 334–339. [Google Scholar] [CrossRef] [PubMed]
- Santín, M.; Cortés Vecino, J.A.; Fayer, R. Enterocytozoon bieneusi genotypes in dogs in Bogota, Colombia. Am. J. Trop. Med. Hyg. 2008, 79, 215–217. [Google Scholar] [CrossRef] [PubMed]
- Zainudin, N.S.; Nasarudin, S.N.S.; Periyasamy, P.; Moktar, N.; Noordin, R.; Osman, E. Diagnosis of disseminated microsporidiosis: Detection of circulating Enterocytozoon bieneusi DNA in blood of HIV/AIDS patients. Trop. Biomed. 2016, 33, 761–770. [Google Scholar] [PubMed]

Disclaimer/Publisher’s Note: The statements, opinions and data contained in all publications are solely those of the individual author(s) and contributor(s) and not of MDPI and/or the editor(s). MDPI and/or the editor(s) disclaim responsibility for any injury to people or property resulting from any ideas, methods, instructions or products referred to in the content. |
© 2023 by the authors. Licensee MDPI, Basel, Switzerland. This article is an open access article distributed under the terms and conditions of the Creative Commons Attribution (CC BY) license (https://creativecommons.org/licenses/by/4.0/).
Share and Cite
Hernández-Castro, C.; Martínez-Rosado, L.L.; Dashti, A.; Köster, P.C.; Bailo, B.; Orozco, M.C.; Santín, M.; González-Barrio, D.; Carmena, D. Co-Infection with Cryptosporidium meleagridis and Enterocytozoon bieneusi in an HIV+ Colombian Patient. Parasitologia 2023, 3, 48-52. https://doi.org/10.3390/parasitologia3010006
Hernández-Castro C, Martínez-Rosado LL, Dashti A, Köster PC, Bailo B, Orozco MC, Santín M, González-Barrio D, Carmena D. Co-Infection with Cryptosporidium meleagridis and Enterocytozoon bieneusi in an HIV+ Colombian Patient. Parasitologia. 2023; 3(1):48-52. https://doi.org/10.3390/parasitologia3010006
Chicago/Turabian StyleHernández-Castro, Carolina, Larry L. Martínez-Rosado, Alejandro Dashti, Pamela C. Köster, Begoña Bailo, María C. Orozco, Mónica Santín, David González-Barrio, and David Carmena. 2023. "Co-Infection with Cryptosporidium meleagridis and Enterocytozoon bieneusi in an HIV+ Colombian Patient" Parasitologia 3, no. 1: 48-52. https://doi.org/10.3390/parasitologia3010006
APA StyleHernández-Castro, C., Martínez-Rosado, L. L., Dashti, A., Köster, P. C., Bailo, B., Orozco, M. C., Santín, M., González-Barrio, D., & Carmena, D. (2023). Co-Infection with Cryptosporidium meleagridis and Enterocytozoon bieneusi in an HIV+ Colombian Patient. Parasitologia, 3(1), 48-52. https://doi.org/10.3390/parasitologia3010006

