Next Article in Journal
Post-COVID-19 Era Forensics: Hospital Autopsies, New Methodologies, and Medicolegal Perspectives
Previous Article in Journal
Validity of the Rapid Nasopharyngeal Antigen Swab for the Detection of SARS-CoV-2 on Cadavers
 
 
Font Type:
Arial Georgia Verdana
Font Size:
Aa Aa Aa
Line Spacing:
Column Width:
Background:
Case Report

A Rare Case of Small Vessel Vasculitis in Fatal Promazine Intoxication: The Synergy of Adverse Events Resulting in Death

1
Unit of Forensic Medicine, Department of Diagnostics and Public Health, University of Verona, 37134 Verona, Italy
2
Unit of Pathology, Department of Diagnostics and Public Health, University of Verona, 37134 Verona, Italy
*
Author to whom correspondence should be addressed.
Forensic Sci. 2025, 5(1), 7; https://doi.org/10.3390/forensicsci5010007
Submission received: 12 December 2024 / Revised: 13 January 2025 / Accepted: 8 February 2025 / Published: 11 February 2025

Abstract

Background: Nowadays, exotoxic substance intake is among the most frequently employed methods of suicide. Self-poisoning is quite common among psychiatric patients treated in hospitals. Psychotropic drugs used for suicide include phenothiazines. Promazine hydrochloride (Talofen©) is an alpha-lytic phenothiazine neuroleptic with a high affinity for histaminergic H1 receptors and a low affinity for dopaminergic D2, serotoninergic 5-HT, alpha1-adrenergic, and muscarinic receptors, which may explain its potent sedative effect. The most common adverse effects include extrapyramidal syndromes, weight gain, orthostatic hypotension, QTc prolongation, convulsions, delirium, and psychosis. Rare adverse events include the potential occurrence of autoimmune syndromes and vasculitis. Methods: We report herein the delayed death of a 59-year-old woman due to cardiocirculatory arrest on an arrhythmic basis in the context of vasculitis of the small pulmonary vessels and prolongation of the QTc interval secondary to voluntary acute intoxication with promazine hydrochloride. Results: The incident occurred in a psychiatric patient with a history of prior self-harming acts. Histological investigations revealed wavy fibers in the heart, a lymphocytic granulocyte infiltrate in the walls of small- and medium-caliber vessels, and spotty perivascular deposition of histiocyte-macrophage cells in the lungs. Immunophenotypic investigations showed the prevalence of CD15+ and T-CD3+ elements, thus identifying a small vessel vasculitis. These findings were consistent with the literature regarding adverse events following the intake of promazine hydrochloride, although vasculitis is rare. Conclusions: Thus, while QTc lengthening and arrhythmic incidents are widely reported events associated with promazine hydrochloride use, the development of a rare condition such as pulmonary vasculitis undoubtedly played a synergistic and decisive stressogenic role in the genesis of the cardiac event, leading to irreversible functional arrest.

1. Introduction

The most common methods of suicide between 2016 and 2018 were hanging, poisoning, and shooting [1]. Analysis of methods used in suicide attempts identified gender differences, with females more frequently choosing pharmacological drug overdose and exsanguination, while males tend to prefer hanging and asphyxia [1,2]. Another recent large cohort study also showed that self-poisoning is prevalent among psychiatric patients treated in hospitals [3,4]. Mental illness is a well-established risk factor for suicide mortality, with individuals who have a history of inpatient psychiatric treatment being at particularly elevated risk [1].
Psychiatric drugs used for self-suppressive purposes include phenothiazines. Phenothiazines constitute a class of heterocyclic compounds containing nitrogen and sulfur, recognized as typical first-generation antipsychotic drugs (FGAs). These compounds are employed in the treatment of schizophrenia, bipolar disorders, the management of nausea and vomiting, and various psychotic disorders characterized by delusional manifestations. The development of FGAs was based on the so-called “dopamine hypothesis of schizophrenia”, which postulates that the disease arises from hyperactivity of the mesolimbic dopaminergic system and that antagonism of the dopamine D2 receptor is most strongly associated with antipsychotic action [5].
Promazine hydrochloride (Talofen©) is an alpha-lithic phenothiazine derivative that is a relatively weak antipsychotic drug and is, therefore, not used in the treatment of psychoses. It may be employed in the short-term adjunctive management of psychomotor agitation [6,7]. Promazine has a high affinity for histaminergic H1 receptors and a low affinity for dopaminergic D2, serotonergic 5-HT, alpha1-adrenergic, and muscarinic receptors. As a neurotransmitter, histamine regulates sleep and wakefulness, cognition, memory, energy, and endocrine homeostasis, which may explain the potent sedative effect of promazine [8]. The most common adverse effects include extrapyramidal syndromes, weight gain, orthostatic hypotension, QTc prolongation, convulsions, delirium, and psychosis; rare adverse events include the possible occurrence of autoimmune syndromes and vasculitis [9].
We report an unusual case of a 59-year-old woman who developed lengthening of the QTc interval associated with small-caliber pulmonary vessel vasculitis secondary to voluntary acute intoxication with promazine hydrochloride with a fatal outcome.

2. Case Report

A 59-year-old woman was admitted to the emergency unit after the intentional ingestion of promazine hydrochloride (Talofen©) at home. The woman appeared lethargic, with a GCS of five upon admission. Her pharmacological history revealed the as-needed administration of Talofen drops for the management of agitation and anxiety incidents. Additionally, her clinical history documented previous suicide attempts due to the incongruous use of Talofen.
The patient was later transferred to the intensive care unit with a diagnosis of coma due to Talofen overdose, where she persisted in a state of drowsiness and unresponsiveness to verbal commands and pain, consistent with central nervous system depression. Gastric lavage with activated charcoal and sulfate was carried out. Norepinephrine was administered due to persistent hypotension.
Non-invasive ventilation (NIV) was required for several hours to correct the respiratory depression and was subsequently replaced by Venturi mask oxygen therapy.
On the second hospitalization day, the patient woke intermittently and occasionally mumbled. In this context, fever, agitation, and parasitic hallucinations (Ekbom syndrome) were documented.
During the third day of hospitalization, the electrocardiogram (ECG) showed sinus tachycardia (118 bpm), normal atrioventricular conduction, non-specific ventricular repolarization abnormalities, and a prolonged QT interval (QTc 0.51 s). The cardiology consultant recommended continued ECG monitoring and electrolyte evaluation.
On the fourth day, the ECG showed persistent sinus tachycardia, non-specific repolarization abnormalities, and prolonged QT interval (QTc 0.47 s).
Due to the onset of fever with respiratory failure, dysphagia, and audible wet crackles on lung examination, healthcare professionals suspected a lung superinfection. A chest X-ray showing branches of pulmonary thickening at the bases of the lungs and significant increases in inflammatory markers in blood tests was interpreted as indicative of a bilateral lung infection. However, no pathogens were found in nasopharyngeal swabs, blood cultures, or urine cultures.
Despite the medical efforts that allowed the patient to regain consciousness and stabilize her hemodynamic status, the onset of respiratory failure contributed to a fatal arrhythmic event that occurred three days after hospital admission.
The local prosecutor ordered a forensic autopsy in order to investigate the cause and manner of death. Necropsy was carried out 24 h after the death.
During the external inspection, multiple ecchymotic lesions with puncture wound marks caused by iatrogenic maneuvers were observed.
Internally, the right lung weighed 480 g, and the left weighed 460 g; both were edematous and congested. The heart, weighing 320 g, showed regular size and was entirely removed for subsequent analysis after fixation in buffered formaldehyde. No skull fracture or extradural, subdural, or subarachnoid hemorrhage was detected. The brain, weighing 1390 g, was congested, with no pathological findings in the circle of Willis. No other pathological elements were found in the other organs. Blood, urine, bile, cerebrospinal fluid, and vitreous humor were collected for toxicological analysis.
During the gross examination of the heart following fixation in buffered formaldehyde, the organ appeared normal in size and shape, with epicardial fat and open coronary ostia as expected. The myocardial tissue displayed a uniform color with no discolorations. The cardiac chambers maintained their structure, and the valvular apparatus was free of any macroscopically visible pathology.
Hospital admission blood samples were not available, so the autopsy blood samples were subjected to a general toxicological screening for therapeutic and illicit drugs using a Toxtyper LC/Ion Trap-MS platform (Bruker Daltonics, Bremen, Germany). Based on the Maurer–Wissenbach–Weber MS spectra libraries, promazine hydrochloride was identified. Chromatographic confirmation analysis of the autopsy blood sample revealed a concentration of 380 ng/mL of promazine hydrochloride.
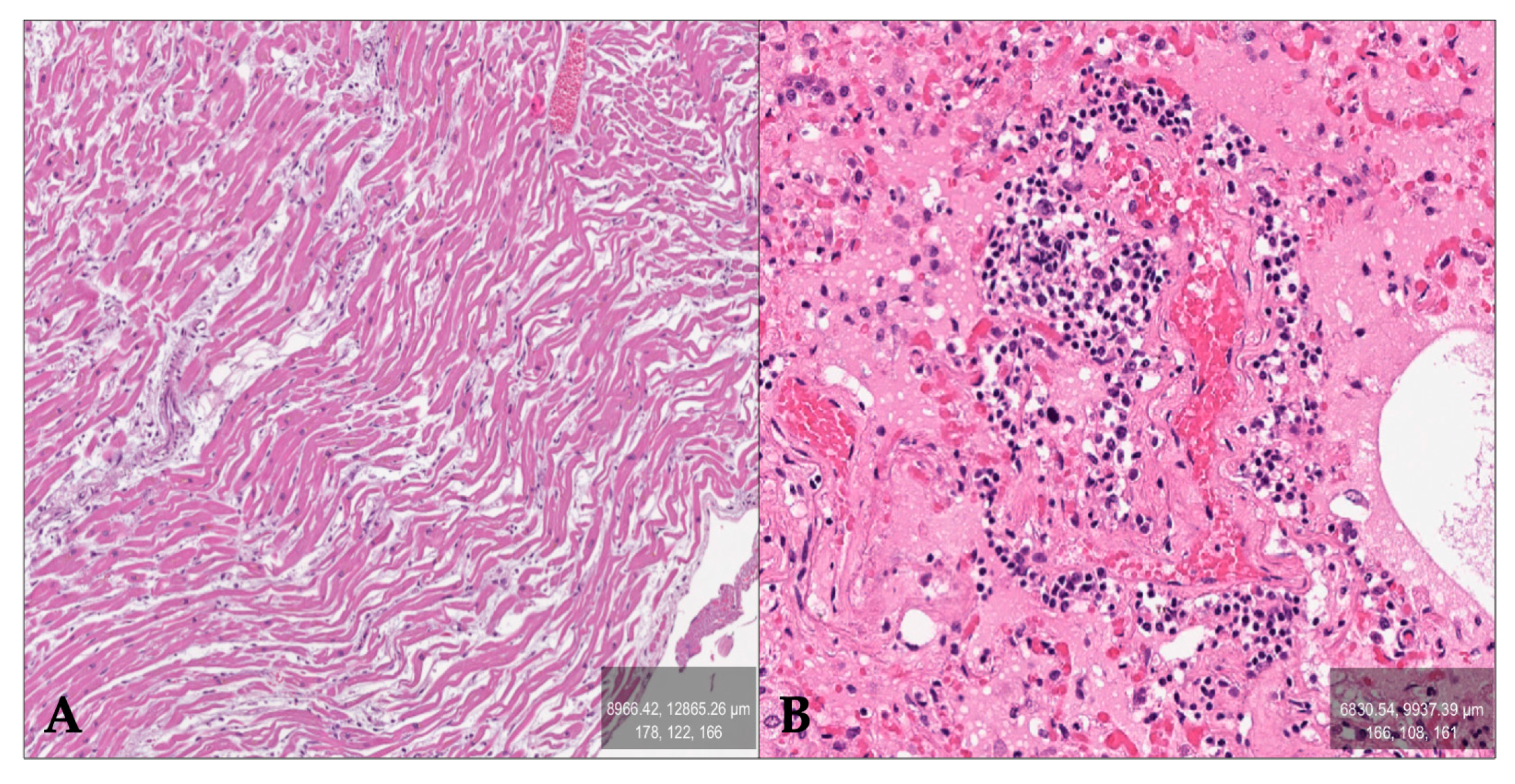
Histological examination was performed using hematoxylin and eosin staining. Wavy bundles of myofibrils and coronary arteries with atheromatous plaques in the heart were detected (caliber reduction varying from 40% to 30%) (Figure 1A); lymphocytic and granulocytic infiltrate in the walls of small- and medium-caliber vessels, along with patchy deposition of perivascular histiocytic-macrophagic elements in the lungs (Figure 1B); liver parenchyma displaying mild microvesicular steatosis (5%); preservation of the cortico-medullary pattern with minimal signs of inflammation in the kidneys; and the spleen exhibited extensive hyperplasia of the white pulp. The brain and cerebellum showed no remarkable histological findings. PTAH staining was also performed to investigate the presence of thrombi in the vessels, yielding inconclusive results. Detailed immunophenotyping was performed by a skilled pathologist to typify the lymphocytic and granulocytic infiltrates in the lungs. The results showed the prevalence of T-CD3+ and CD15+ elements, thus identifying small vessel vasculitis (Figure 2A,B). Subsequent immunophenotypic analysis using CD68 staining revealed punctate deposition of perivascular histiocyte–macrophage elements.
Therefore, histological examination of the lung tissue performed after autopsy showed primarily a vasculitis pattern of disease characterized by perivascular infiltration in the small- and medium-caliber pulmonary vessels. Given the lack of clinical and autopsy findings suggesting an infectious condition or trigger elements, the etiology of pulmonary small vessel vasculitis can reasonably be attributed to an autoimmune process triggered by promazine hydrochloride ingestion.

3. Discussion

Psychiatric disorders are associated with an increased likelihood of suicide mortality. Drug misuse is one of the most common methods of suicide among these patients [4].
In the case herein reported, the cause of death was identified as cardiac arrhythmia, resulting from a prolongation of the QTc interval complicated by respiratory failure due to vasculitis of small- and medium-caliber pulmonary vessels following excessive promazine intake. Respiratory failure increases the risk of hypoxia. Oxygen deficiency exacerbates the arrhythmic risk by altering the function of cardiac ion channels, further worsening QT prolongation effects [10].
It is noteworthy that the promazine concentrations detected in the blood collected during the forensic autopsy were exceptionally high, considering that the intake occurred 4 days before death and that the plasma half-life of promazine is 6 h. Based on this finding, it can be hypothesized that, during the acute phase, the drug concentrations were close to the lethal dose (>5000 ng/mL) [11].
Regarding the physiopathological process leading to death, antipsychotic drugs, including phenothiazines—and thus promazine—can affect the ion channels of cardiac muscle cells [12]. Most antipsychotic drugs block the KCNH2 channel, reducing potassium flow into myocardial cells and prolonging cardiac repolarization, lengthening the QTc interval on the ECG. If the QTc is excessively prolonged or if ventricular ectopic beats are triggered, torsades de pointes and subsequent ventricular fibrillation, or sometimes even cardiac arrest, may occur. These events are more common in the presence of dysionias, primarily affecting plasma levels of potassium, calcium, and/or magnesium. Other mechanisms are hypothesized but not fully understood. Sudden death in acute phenothiazine intoxication, though rare, is particularly feared as it is the leading cause of death from overdose of these drugs [13,14,15]. Thus, in the present case, the tachycardia and the prolongation of the QTc interval are undoubtedly related to the incongruous intake of promazine hydrochloride.
Concerning the vasculitis detected in the lungs, inflammatory vasculopathies are a heterogeneous group of diseases characterized by various etiologies, including autoimmune diseases, infections, and drug reactions. In the context of vasculitis affecting small- and medium-caliber vessels, the identification of drug-induced vasculitis (DIV) is of particular importance, as therapeutic strategies and prognosis differ significantly from those of idiopathic forms [16,17]. The pathogenesis of drug-induced vasculitis remains unclear and is likely multifactorial. However, an immunopathogenic process appears to play a significant role. It is hypothesized that the drug functions as haptens, thereby initiating an immune response characterized by the formation and deposition of immune complexes (typically IgG, IgA, or IgM), complement, and fibrin on the walls of blood vessels, all of which can be detected through direct immunofluorescence [16,18,19]. Regarding the manifestations of drug-induced vasculitis, the skin is the most frequently affected organ, with involvement ranging from damage to small vessels to more severe pathology affecting small- to medium-sized arteries. Typical dermatologic features indicative of small- to medium-sized artery involvement include livedo reticularis, inflammatory retiform or stellate purpura, subcutaneous nodules, hemorrhagic bullae, ulcers, and, in severe cases, digital gangrene [19].
Occasionally, additional organs, such as the lungs, kidneys, central nervous system, and liver, may be involved.
A systemic drug-induced syndrome occurs in only a small number of patients treated with a drug over an extended period. The onset of drug-induced vasculitis (DIV) typically requires an environmental trigger to start a process of autoreactivity in genetically predisposed individuals. In some cases, DIV may be preceded by the emergence of serological abnormalities, such as positivity for anti-neutrophil cytoplasm antibodies (ANCA), even without clear clinical signs of disease. A key feature that sets DIV apart from idiopathic vasculitis is that, in most cases, the autoimmune state can be reversed by discontinuing the offending drug [16].
The differential diagnosis of DIV requires careful evaluation first to rule out other potentially underlying conditions, such as infections, neoplasms, and idiopathic vasculitis. Subsequently, it is essential to conduct a thorough pharmacological history. Particular attention must be paid to the temporal relationship between exposure to the suspected drug and the onset of clinical manifestations. The critical aspects of the diagnosis of DIV include a high index of suspicion, a careful pharmacological history, a review of the literature for comprehensive and drug-specific reports, serological studies (ANA, antiphospholipid antibodies, dsDNA, complement C3 and C4 levels, ANCA in immunofluorescence, and ELISA techniques), a biopsy of affected organs, imaging findings suggestive of the suspected drug (MRI, CT, angiography, and ultrasound), and close follow-up [16]. Laboratory markers may help differentiate the etiology of vasculitis: in drug-induced vasculitis, ANCA and antiphospholipid antibodies are usually common, anti-dsDNA antibodies are absent, while anti-histone antibodies and immune complexes are rare [18].
In the present case, the patient’s medical records revealed that she had taken the drug, or similar drugs such as chlorpromazine, multiple times due to her psychiatric history. Therefore, it is reasonable to assume that the patient became hypersensitized over time and that the acute intoxication may have contributed to the development of pulmonary vasculitis within three days. Furthermore, no autoimmune diseases were noted in the patient’s remote medical history. In addition, from the clinical point of view, respiratory failure, together with branches of pulmonary thickening at the bases of the lungs on the X-ray exam and the absence of pathogens responsible for infection on the microbiological analyses, came up a few days after the incongruous intake of promazine hydrochloride. The immunophenotyping analysis enabled the typification of the lymphocytic and granulocytic infiltrates in the lungs, which showed a prevalence of T-CD3+ and CD15+ elements, thus identifying small vessel vasculitis. Subsequent immunophenotypic analysis using CD68 staining revealed punctate deposition of perivascular histiocyte-macrophage elements. Therefore, the absence of other pathologies (e.g., history of autoimmune diseases) or microbial triggers that could explain the diagnosis of vasculitis, combined with the prolonged intake of Tafolen and the radiological and histopathological findings, supports the hypothesis of drug-induced vasculitis following extended use of Promazine.

4. Conclusions

To the best of our knowledge, this is the first documented case of promazine overdose leading to the development of cardiac arrhythmia, resulting from a prolongation of the QTc interval complicated by respiratory failure due to vasculitis of small- and medium-caliber pulmonary vessels.
This case highlights the complex issues arising from the voluntary acute intoxication of promazine hydrochloride, culminating in a fatal arrhythmic event. The findings underscore the synergy between prolonged QTc interval and pulmonary small vessel vasculitis, likely triggered by promazine’s immunopathogenic effects. Respiratory failure, exacerbated by vasculitis, further compromised oxygenation and increased the risk of arrhythmias. The absence of infectious agents, autoimmune conditions, or alternative pathological triggers strongly suggests drug-induced vasculitis (DIV) as the underlying mechanism. Histological and immunophenotypic analyses confirmed inflammatory infiltrates are likely related to hypersensitization from recurrent promazine exposure.
This report emphasizes the urgent need for increased vigilance in managing psychiatric patients who have access to phenothiazines, given their potential for arrhythmia and autoimmune reactions. Clinicians should consider drug-induced vasculitis (DIV) in cases of unexplained vasculitis syndromes, highlighting the importance of comprehensive pharmacological histories and diagnostic evaluations. Timely recognition and intervention could mitigate severe outcomes, particularly in individuals at risk of self-harm.

Author Contributions

Conceptualization, N.P. and M.B.; methodology, N.P.; investigation, N.P. and M.B.; data curation, N.P.; writing—original draft preparation, N.T., G.G., F.B. and R.T.; writing—review and editing, F.A.; supervision, N.P. All authors have read and agreed to the published version of the manuscript.

Funding

This research received no external funding.

Institutional Review Board Statement

Not applicable.

Informed Consent Statement

Patient consent was waived because it was a judicial autopsy case. The report does not contain personal data. In any case, all data are covered by the General Data Protection Regulation and Regulation 1725/2018 for EU institutions (GDPR) for scientific research purposes.

Data Availability Statement

The data analyzed during the current study are available from the corresponding author upon reasonable request.

Conflicts of Interest

The authors declare no conflicts of interest.

References

  1. Mainio, A.; Kuusisto, L.; Hakko, H.; Riipinen, P. Antipsychotics as a method of suicide: Population based follow-up study of suicide in Northern Finland. Nord. J. Psychiatry 2021, 75, 281–285. [Google Scholar] [CrossRef]
  2. Tsirigotis, K.; Gruszczynski, W.; Tsirigotis, M. Gender differentiation in methods of suicide attempts. Med. Sci. Monit. 2011, 17, PH65–PH70. [Google Scholar] [CrossRef] [PubMed]
  3. Värnik, A.; Kõlves, K.; van der Feltz-Cornelis, C.M.; Marusic, A.; Oskarsson, H.; Palmer, A.; Reisch, T.; Scheerder, G.; Arensman, E.; Aromaa, E.; et al. Suicide methods in Europe: A gender-specific analysis of countries participating in the “European Alliance Against Depression”. J. Epidemiol. Community Health 2008, 62, 545–551. [Google Scholar] [CrossRef] [PubMed]
  4. Walter, F.; Carr, M.J.; Mok, P.L.; Antonsen, S.; Pedersen, C.B.; Shaw, J.; Webb, R.T. Suicide methods and specific types of accidental death and fatal poisoning among discharged psychiatric patients: A national cohort study. J. Clin. Psychiatry 2018, 79, 21913. [Google Scholar] [CrossRef] [PubMed]
  5. Miyamoto, S.; Merrill, D.B.; Fredrik Jarskog, L.; Wolfgang Fleishhacker, W.; Marder, S.R.; Lieberman, J.A. Antipsychotic drugs. Psychiatry 2015, 2088–2128. [Google Scholar] [CrossRef]
  6. Randall, C. Baselt, Disposition of Toxic Drugs and Chemicals in Man, 8th ed.; Biomedical Publications: Foster City, CA, USA, 2009. [Google Scholar]
  7. Davis, C. Promazine. In xPharm: The Comprehensive Pharmacology Reference; Enna, S.J., Bylund, D.B., Eds.; Elsevier: Amsterdam, The Netherlands, 2007; pp. 1–6. [Google Scholar]
  8. Mahdy, A.M.; Webster, N.R. Histamine and antihistamines. Anaesth. Intensive Care Med. 2011, 12, 324–329. [Google Scholar] [CrossRef]
  9. Kidron, A.; Nguyen, H. Phenothiazine. In StatPearls [Internet]; StatPearls Publishing: Treasure Island, FL, USA, 2023. [Google Scholar]
  10. Morand, J.; Arnaud, C.; Pepin, J.L.; Godin-Ribuot, D. Chronic intermittent hypoxia promotes myocardial ischemia-related ventricular arrhythmias and sudden cardiac death. Sci. Rep. 2018, 8, 2997. [Google Scholar] [CrossRef] [PubMed]
  11. Schulz, M.; Iwersen-Bergmann, S.; Andresen, H.; Schmoldt, A. Therapeutic and toxic blood concentrations of nearly 1000 drugs and other xenobiotics. Crit. Care 2012, 16, R136. [Google Scholar] [CrossRef] [PubMed]
  12. Bertol, E.; Vaiano, F.; Argo, A.; Zerbo, S.; Trignano, C.; Protani, S.; Favretto, D. Overdose of Quetiapine—A Case Report with QT Prolongation. Toxics 2021, 9, 339. [Google Scholar] [CrossRef] [PubMed]
  13. Haddad, P.M.; Anderson, I.M. Antipsychotic-related QTc prolongation, torsade de pointes and sudden death. Drugs 2002, 62, 1649–1671. [Google Scholar] [CrossRef]
  14. Peacock, J.; Whang, W. Anti-psychotic medications and sudden cardiac arrest: More than meets the eye? Heart Rhythm Off. J. Heart Rhythm Soc. 2012, 10, 531. [Google Scholar] [CrossRef] [PubMed][Green Version]
  15. Lavonas, E.J. First-generation (typical) antipsychotic medication poisoning. In UpToDate® [Internet]; Wolters Kluwer: Alphen aan den Rijn, The Netherlands, 2023; pp. 1–150. [Google Scholar]
  16. Grau, R.G. Drug-induced vasculitis: New insights and a changing lineup of suspects. Curr. Rheumatol. Rep. 2015, 17, 1–10. [Google Scholar] [CrossRef] [PubMed]
  17. Yaseen, K.; Nevares, A.; Tamaki, H. A spotlight on drug-induced vasculitis. Curr. Rheumatol. Rep. 2022, 24, 323–336. [Google Scholar] [CrossRef] [PubMed]
  18. Radić, M.; Martinović Kaliterna, D.; Radić, J. Drug-induced vasculitis: A clinical and pathological review. Neth. J. Med. 2012, 70, 2–17. [Google Scholar]
  19. Rivas, S.; Pandya, A.G.; Dominguez, A.R. Drug-Induced vasculitis. In Cutaneous Drug Eruptions: Diagnosis, Histopathology and Therapy; Hall, J., Hall, B., Eds.; Springer: London, UK, 2015; pp. 77–85. [Google Scholar]
Figure 1. Findings on histological examinations: (A)—Heart: wavy fibers (H&E, 20×); (B)—Lung: intra-alveolar edematous stasis, perivascular leucocytic infiltrate (H&E, 40×).
Figure 1. Findings on histological examinations: (A)—Heart: wavy fibers (H&E, 20×); (B)—Lung: intra-alveolar edematous stasis, perivascular leucocytic infiltrate (H&E, 40×).
Forensicsci 05 00007 g001
Figure 2. Immunophenotypic analysis: (A)—Lung: CD3 perivascular positivity (20×); (B)—Lung: CD15 perivascular positivity (40×).
Figure 2. Immunophenotypic analysis: (A)—Lung: CD3 perivascular positivity (20×); (B)—Lung: CD15 perivascular positivity (40×).
Forensicsci 05 00007 g002
Disclaimer/Publisher’s Note: The statements, opinions and data contained in all publications are solely those of the individual author(s) and contributor(s) and not of MDPI and/or the editor(s). MDPI and/or the editor(s) disclaim responsibility for any injury to people or property resulting from any ideas, methods, instructions or products referred to in the content.

Share and Cite

MDPI and ACS Style

Tatriele, N.; Giorato, G.; Baldisser, F.; Turrini, R.; Brunelli, M.; Ausania, F.; Pigaiani, N. A Rare Case of Small Vessel Vasculitis in Fatal Promazine Intoxication: The Synergy of Adverse Events Resulting in Death. Forensic Sci. 2025, 5, 7. https://doi.org/10.3390/forensicsci5010007

AMA Style

Tatriele N, Giorato G, Baldisser F, Turrini R, Brunelli M, Ausania F, Pigaiani N. A Rare Case of Small Vessel Vasculitis in Fatal Promazine Intoxication: The Synergy of Adverse Events Resulting in Death. Forensic Sciences. 2025; 5(1):7. https://doi.org/10.3390/forensicsci5010007

Chicago/Turabian Style

Tatriele, Naomi, Gloria Giorato, Francesco Baldisser, Rachele Turrini, Matteo Brunelli, Francesco Ausania, and Nicola Pigaiani. 2025. "A Rare Case of Small Vessel Vasculitis in Fatal Promazine Intoxication: The Synergy of Adverse Events Resulting in Death" Forensic Sciences 5, no. 1: 7. https://doi.org/10.3390/forensicsci5010007

APA Style

Tatriele, N., Giorato, G., Baldisser, F., Turrini, R., Brunelli, M., Ausania, F., & Pigaiani, N. (2025). A Rare Case of Small Vessel Vasculitis in Fatal Promazine Intoxication: The Synergy of Adverse Events Resulting in Death. Forensic Sciences, 5(1), 7. https://doi.org/10.3390/forensicsci5010007

Article Metrics

Back to TopTop