Transient Leukoerythroblastosis Unmasking Clonal Hematopoiesis with Myelofibrosis in Refractory Thrombocytopenia
Abstract
1. Introduction
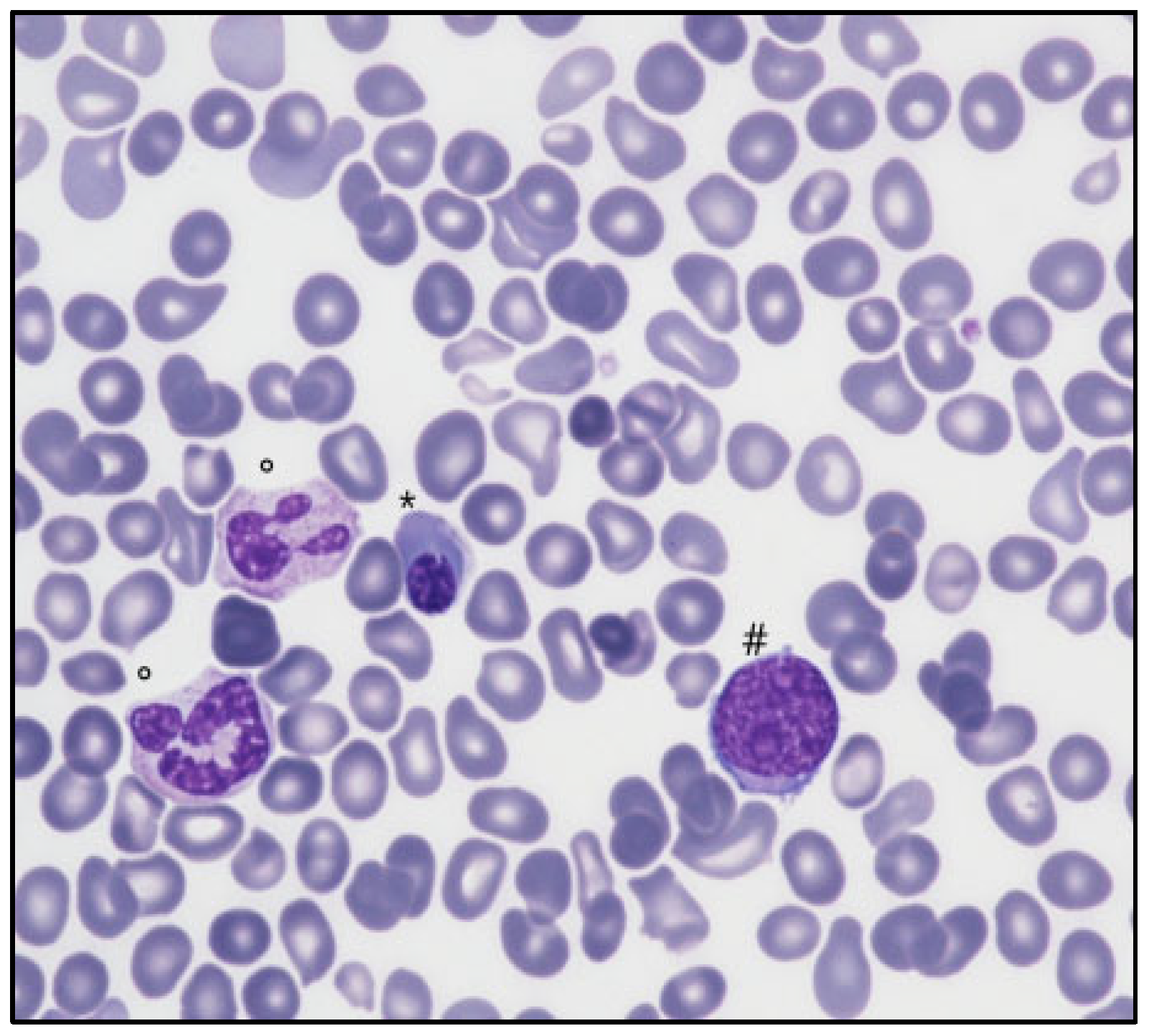
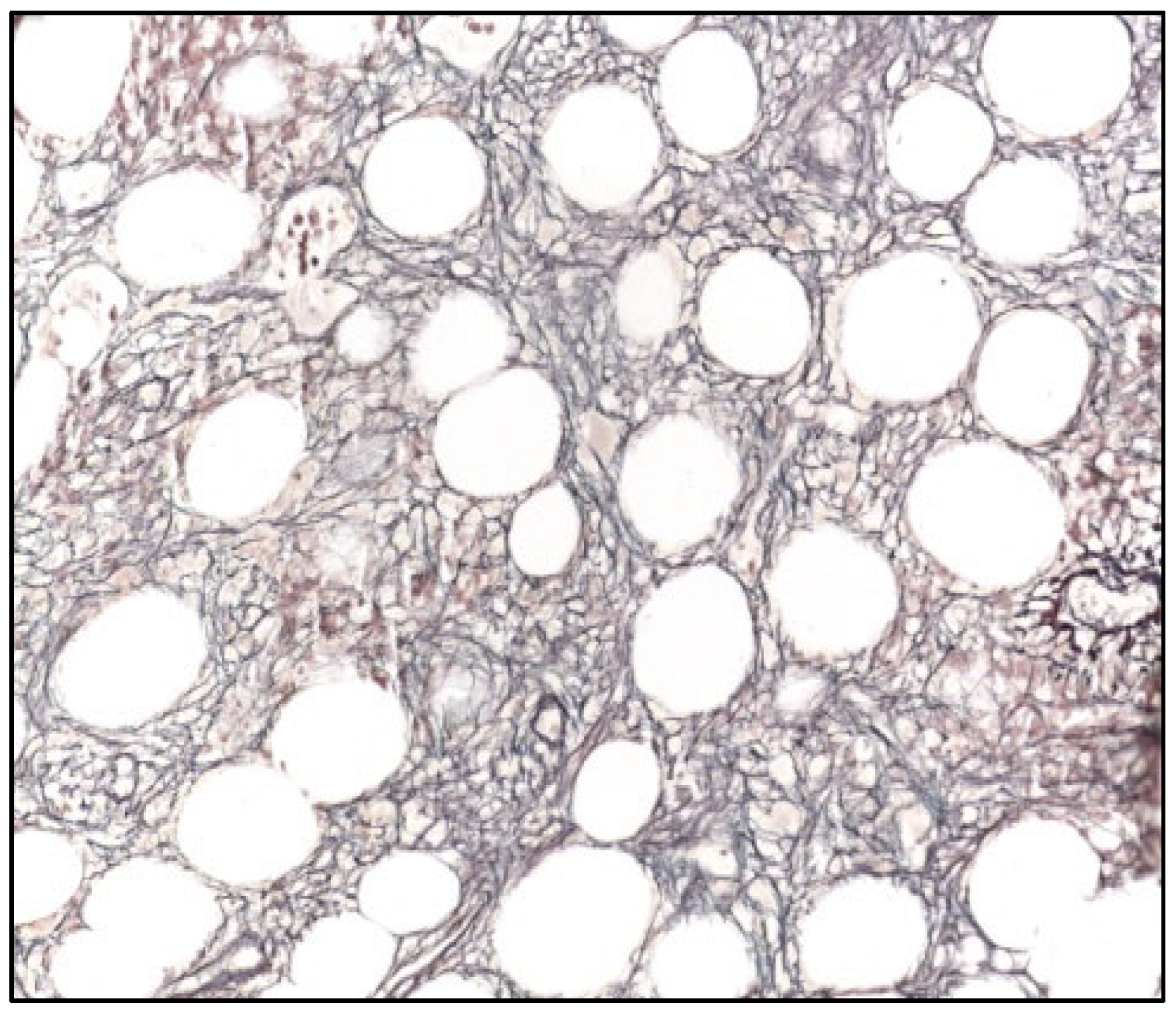
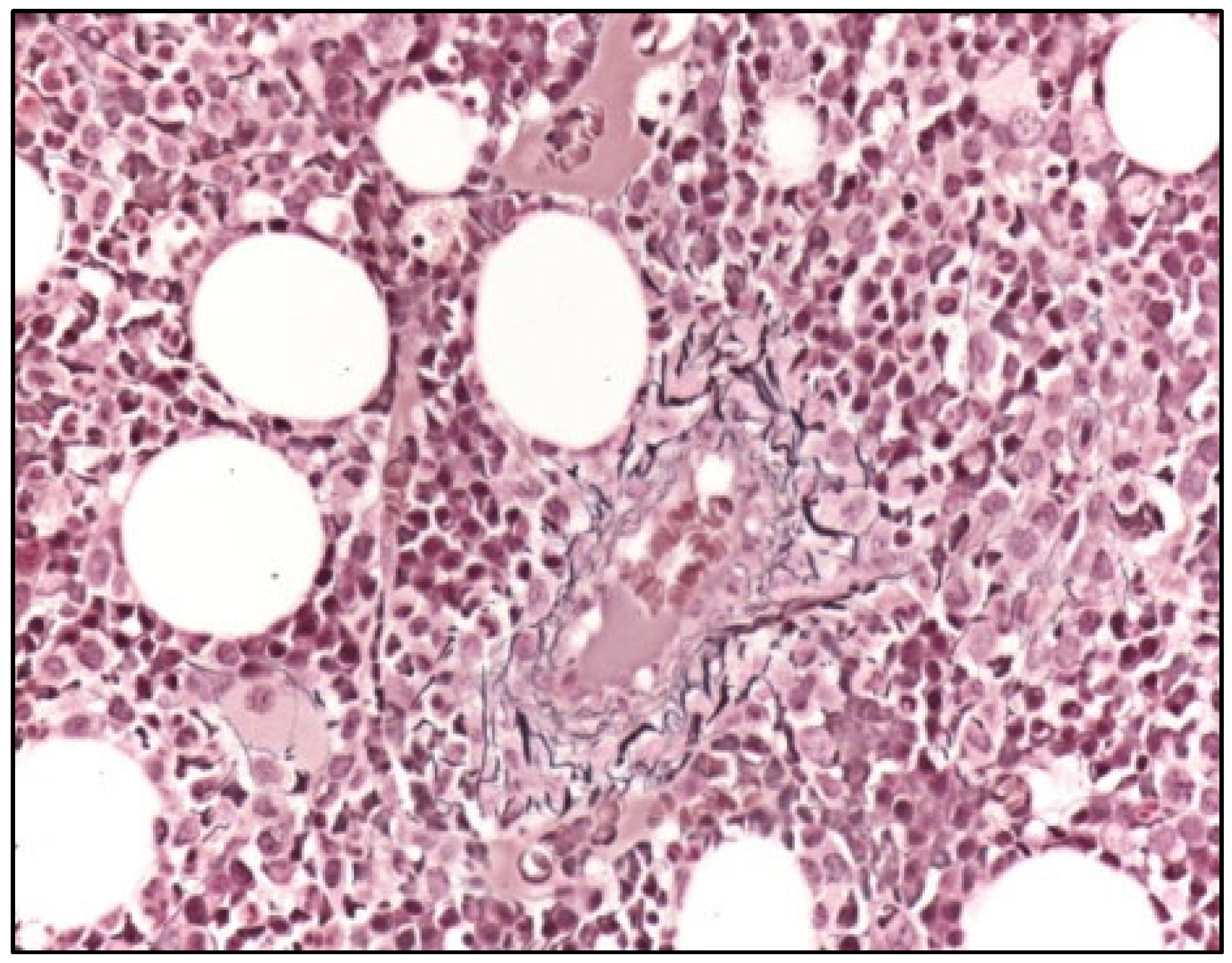
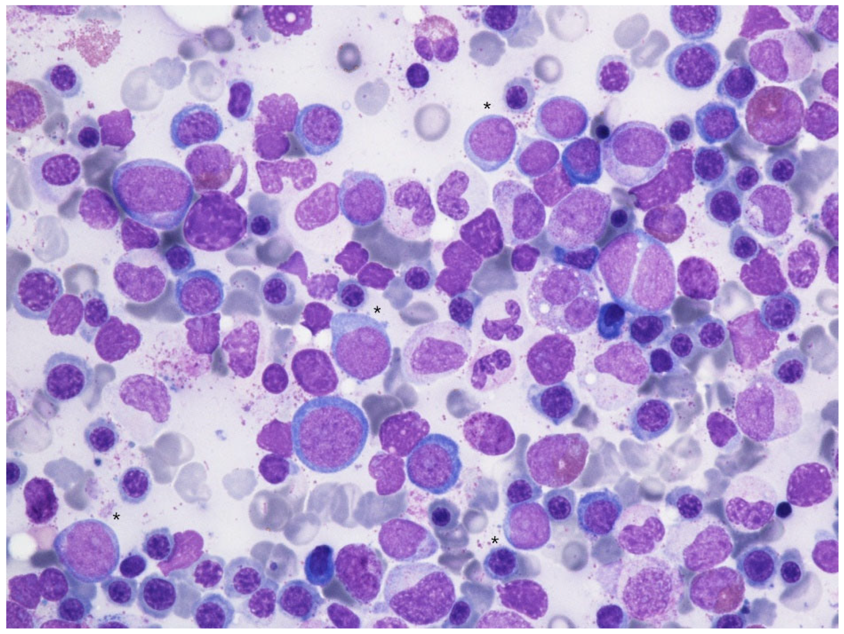
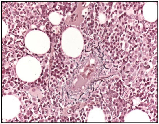
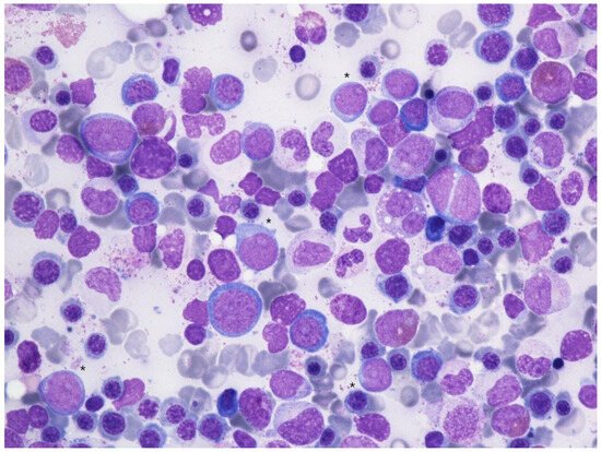
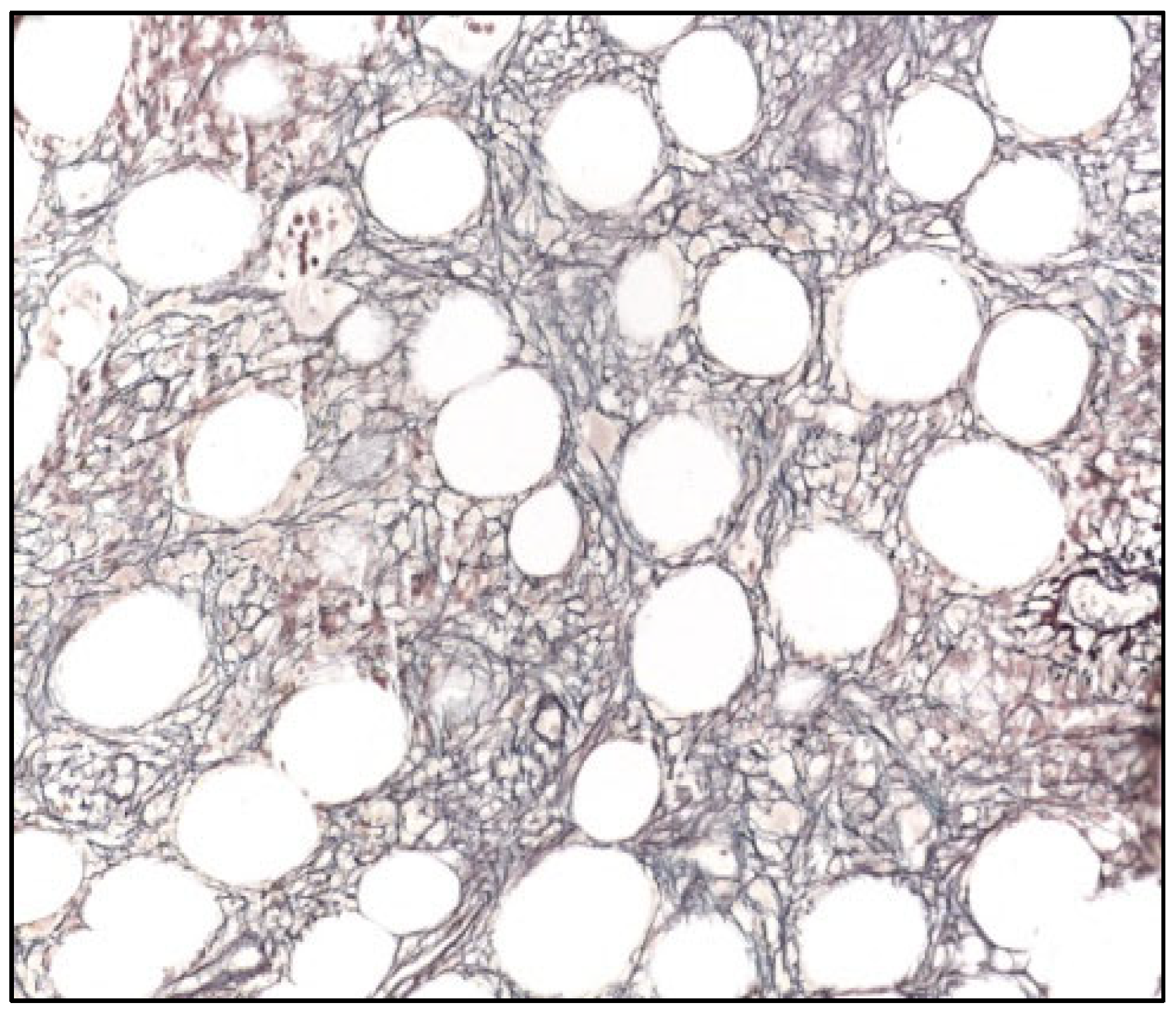
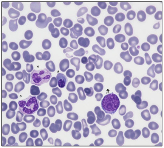
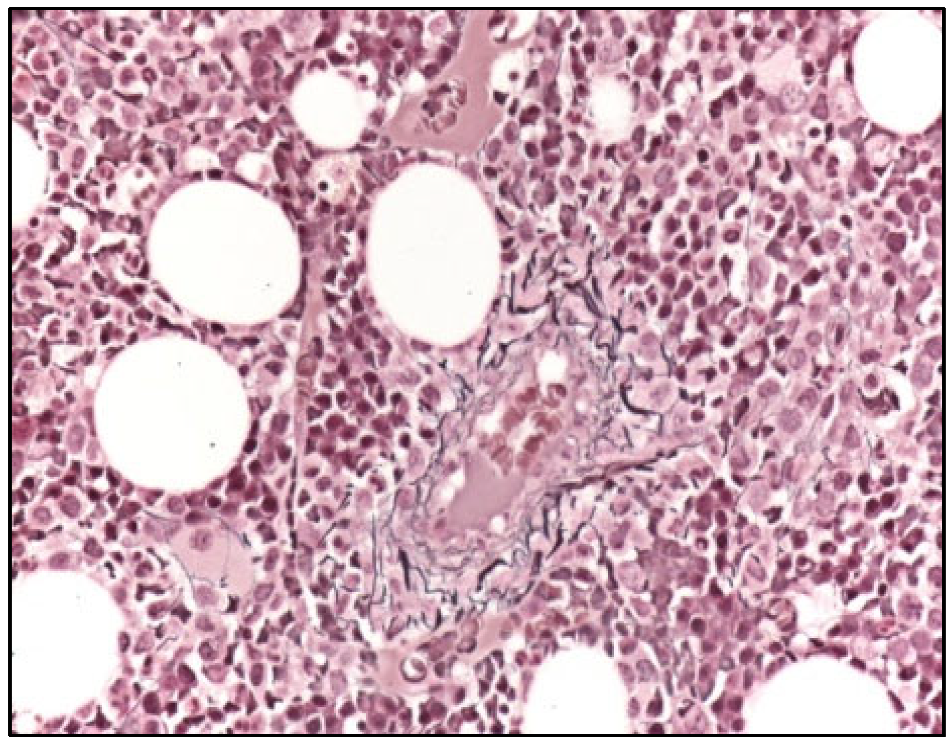
2. Detailed Case Description
3. Discussion
Author Contributions
Funding
Institutional Review Board Statement
Informed Consent Statement
Data Availability Statement
Conflicts of Interest
References
- Rodeghiero, F. Immune thrombocytopenia in myeloid and lymphoid clonal disorders: An intriguing association. Haematologica 2021, 106, 1231–1233. [Google Scholar] [CrossRef] [PubMed]
- Jachiet, V.; Moulis, G.; Hadjadj, J.; Seguier, J.; Laribi, K.; Schleinitz, N.; Vey, N.; Sacre, K.; Godeau, B.; Beyne-Rauzy, O.; et al. Clinical spectrum, outcome and management of immune thrombocytopenia associated with myelodysplastic syndromes and chronic myelomonocytic leukemia. Haematologica 2021, 106, 1414–1422. [Google Scholar] [CrossRef]
- Miltiadous, O.; Hou, M.; Bussel, J.B. Identifying and treating refractory ITP: Difficulty in diagnosis and role of combination treatment. Blood 2020, 135, 472–490. [Google Scholar] [CrossRef]
- Provan, D. Real-world evidence confirms thrombopoietin receptor agonists are safe and effective for all stages of immune thrombocytopenia. Am. J. Hematol. 2024, 99, 4–5. [Google Scholar] [CrossRef]
- Kuter, D.J.; Mufti, G.J.; Bain, B.J.; Hasserjian, R.P.; Davis, W.; Rutstein, M. Evaluation of bone marrow reticulin formation in chronic immune thrombocytopenia patients treated with romiplostim. Blood 2009, 114, 3748–3756. [Google Scholar] [CrossRef] [PubMed]
- Harper, K.; Bagot, C.; Leach, M.; Bain, B.J. Thrombopoietin mimetic-induced bone marrow fibrosis. Am. J. Hematol. 2024, 99, 135–136. [Google Scholar] [CrossRef] [PubMed]
- Zeidan, A.M.; Platzbecker, U.; Bewersdorf, J.P.; Stahl, M.; Adès, L.; Borate, U.; Bowen, D.T.; Buckstein, R.J.; Brunner, A.M.; E Carraway, H.; et al. Consensus proposal for revised International Working Group 2023 response criteria for higher-risk myelodysplastic syndromes. Blood 2023, 141, 2047–2061. [Google Scholar] [CrossRef] [PubMed]
- Bussel, J.B.; Kuter, D.J.; Pullarkat, V.; Lyons, R.M.; Guo, M.; Nichol, J.L. Safety and efficacy of long-term treatment with romiplostim in thrombocytopenic patients with chronic ITP. Blood 2009, 113, 2161–2171. [Google Scholar] [CrossRef] [PubMed]
- Kuter, D.J.; Bussel, J.B.; Lyons, R.M.; Pullarkat, V.; Gernsheimer, T.B.; Senecal, F.M.; Aledort, L.M.; George, J.N.; Kessler, C.M.; Sanz, M.A.; et al. Efficacy of romiplostim in patients with chronic immune thrombocytopenic purpura: A double-blind randomised controlled trial. Lancet 2008, 371, 395–403. [Google Scholar] [CrossRef]
- Ghanima, W.; Geyer, J.T.; Lee, C.S.; Boiocchi, L.; Imahiyerobo, A.A.; Orazi, A.; Bussel, J.B. Bone marrow fibrosis in 66 Immune Thrombocytopenia patients treated with thrombopoietin receptor agonists: A single center long-term follow-up. Haematologica 2014, 99, 937–944. [Google Scholar] [CrossRef]
- Janssens, A.; Rodeghiero, F.; Anderson, D.; Chong, B.H.; Boda, Z.; Pabinger, I.; Červinek, L.; Terrell, D.R.; Wang, X.; Franklin, J. Changes in bone marrow morphology in adults receiving romiplostim for the treatment of thrombocytopenia associated with primary immune thrombocytopenia. Ann. Hematol. 2016, 95, 1077–1087. [Google Scholar] [CrossRef] [PubMed]
- Kim, H.Y.; Park, S.W.; Kim, J.H.; Kang, J.H.; Lee, W.S.; Song, H.N. Romiplostim-related myelofibrosis in refractory primary immune thrombocytopenia: A Case report. Medicine 2019, 98, e15882. [Google Scholar] [CrossRef] [PubMed] [PubMed Central]
- Leung, T.; Lokan, J.; Turner, P.; Smith, C. Reversible bone marrow reticulin fibrosis as a side effect of romiplostim therapy for the treatment of chronic refractory immune thrombocytopenia. Pathology 2011, 43, 520–522. [Google Scholar] [CrossRef] [PubMed]
- Satoh, Y.; Matsumura, I.; Tanaka, H.; Ezoe, S.; Fukushima, K.; Tokunaga, M.; Yasumi, M.; Shibayama, H.; Mizuki, M.; Era, T.; et al. AML1/RUNX1 works as a negative regulator of c-Mpl in hematopoietic stem cells. J. Biol. Chem. 2008, 283, 30045–30056. [Google Scholar] [CrossRef] [PubMed] [PubMed Central]
- Liapis, K.; Papadopoulos, V.; Pontikoglou, C.; Vrachiolias, G.; Stavroulaki, E.; Kourakli, A.; Lazaris, V.; Galanopoulos, A.G.; Papoutselis, M.; Papageorgiou, S.G.; et al. Myelodysplastic neoplasm with isolated thrombocytopenia and immune thrombocytopenic purpura in adults: Insights from a comparison of two national registries. Leukemia 2023, 37, 708–711. [Google Scholar] [CrossRef] [PubMed]




Disclaimer/Publisher’s Note: The statements, opinions and data contained in all publications are solely those of the individual author(s) and contributor(s) and not of MDPI and/or the editor(s). MDPI and/or the editor(s) disclaim responsibility for any injury to people or property resulting from any ideas, methods, instructions or products referred to in the content. |
© 2024 by the authors. Licensee MDPI, Basel, Switzerland. This article is an open access article distributed under the terms and conditions of the Creative Commons Attribution (CC BY) license (https://creativecommons.org/licenses/by/4.0/).
Share and Cite
Malipiero, G.; Ermacora, A.; Pratesi, C.; Carbone, A.; Rogato, A.; Prosdocimo, S.; De Rosa, R.; Doretto, P. Transient Leukoerythroblastosis Unmasking Clonal Hematopoiesis with Myelofibrosis in Refractory Thrombocytopenia. Hemato 2024, 5, 258-263. https://doi.org/10.3390/hemato5030021
Malipiero G, Ermacora A, Pratesi C, Carbone A, Rogato A, Prosdocimo S, De Rosa R, Doretto P. Transient Leukoerythroblastosis Unmasking Clonal Hematopoiesis with Myelofibrosis in Refractory Thrombocytopenia. Hemato. 2024; 5(3):258-263. https://doi.org/10.3390/hemato5030021
Chicago/Turabian StyleMalipiero, Giacomo, Anna Ermacora, Chiara Pratesi, Antonino Carbone, Adolfo Rogato, Simonetta Prosdocimo, Rita De Rosa, and Paolo Doretto. 2024. "Transient Leukoerythroblastosis Unmasking Clonal Hematopoiesis with Myelofibrosis in Refractory Thrombocytopenia" Hemato 5, no. 3: 258-263. https://doi.org/10.3390/hemato5030021
APA StyleMalipiero, G., Ermacora, A., Pratesi, C., Carbone, A., Rogato, A., Prosdocimo, S., De Rosa, R., & Doretto, P. (2024). Transient Leukoerythroblastosis Unmasking Clonal Hematopoiesis with Myelofibrosis in Refractory Thrombocytopenia. Hemato, 5(3), 258-263. https://doi.org/10.3390/hemato5030021

