Next Article in Journal
Impact of 18F-FDG PET/CT in Predicting Recurrence in Neurolymphomatosis
Previous Article in Journal
The Plasmacytoid Dendritic Cell CD123+ Compartment in Acute Leukemia with or without RUNX1 Mutation: High Inter-Patient Variability Disclosed by Immunophenotypic Unsupervised Analysis and Clustering
 
 
Font Type:
Arial Georgia Verdana
Font Size:
Aa Aa Aa
Line Spacing:
Column Width:
Background:
Case Report

Pediatric Anaplastic Large Cell Lymphoma with Concomitant Involvement of Spine and Central Nervous System: A Case Report and Review of Literature

1
Department of Health Promotion, Mother and Child Care, Internal Medicine and Medical Specialties “G. D’Alessandro”, University of Palermo, 90127 Palermo, Italy
2
Clinic of Pediatric Hemato-Oncology, Department of Women’s and Children’s Health, University of Padova, 35128 Padova, Italy
3
Institute of Pediatric Research―Fondazione Città della Speranza, 35127 Padova, Italy
4
Department of Pediatric Hemato-Oncology, ARNAS Ospedali Civico, G. Di Cristina, 90127 Palermo, Italy
5
Nuclear Medicine Unit, Ospedali Riuniti Villa Sofia-Cervello, 90146 Palermo, Italy
6
Haematopathology Unit, Department of Experimental Diagnostic and Specialty Medicine, S. Orsola-Malpighi Hospital, University of Bologna, 40138 Bologna, Italy
7
Radiology Unit, Radiology Department, A.R.N.A.S. Ospedali Civico, Di Cristina e Benfratelli, 90127 Palermo, Italy
8
General Orthopedic, IRCCS Istituto Ortopedico Rizzoli, 40136 Bologna, Italy
*
Author to whom correspondence should be addressed.
Hemato 2021, 2(3), 586-595; https://doi.org/10.3390/hemato2030037
Submission received: 5 August 2021 / Revised: 3 September 2021 / Accepted: 3 September 2021 / Published: 7 September 2021
(This article belongs to the Section Lymphomas)

Abstract

Anaplastic large cell lymphoma (ALCL) is a histological subtype of non-Hodgkin lymphoma, largely characterized by anaplastic lymphoma kinase (ALK) positivity, resulting from the chromosomal translocation t(2;5). We report a pediatric case of ALK-positive ALCL with primary concomitant involvement of bone and central nervous system (CNS); thereafter, a literature review about pediatric primary bone and primary CNS ALCL was conducted. According to the analyzed data, our case is unique because it is characterized by the contemporary involvement of the spine and CNS. During and after chemotherapy, our patient was monitored by detecting minimal residual disease (MRD) through the analysis of fusion transcript nucleophosmin-ALK. MRD assessment, not only in bone marrow but also in peripheral blood, seems to be a very powerful tool for predicting the prognosis of pediatric ALCL patients, as already described in the literature. Moreover, as shown in our case, it could be used during the follow-up for early recognition of relapse.

1. Introduction

Anaplastic large cell lymphoma (ALCL) is a T/NK-cell or null-cell phenotype non-Hodgkin lymphoma (NHL); in most cases, it is characterized by the expression of nucleophosmin (NPM)-anaplastic lymphoma kinase (ALK) fusion protein, resulting from the chromosomal translocation t(2;5)(p23;q35) and causing the hyperactivation of ALK [1]. It can involve nodes and extranodal sites [2]; both primary bone and primary central nervous system (CNS) localizations are extremely rare. Here we describe a pediatric case of extranodal ALCL with bone and CNS involvement, focusing also on a follow-up strategy for disease monitoring; furthermore, a review of the literature about these unusual sites of disease onset was performed.

2. Materials and Methods

In ALCL, reverse transcriptase-polymerase chain reaction (RT-PCR) for fusion transcript NPM-ALK is used to detect the level of disease dissemination. Through this highly sensitive technology, it is feasible to determine minimal disseminated disease (MDD), defined as the presence of NPM-ALK mRNA in bone marrow (BM) and/or peripheral blood (PB) at the time of the diagnosis, and minimal residual disease (MRD), defined as the presence of NPM-ALK mRNA in BM and/or PB during and after therapy. In our case, total RNA was isolated from mononuclear or nuclear BM or PB samples by standard methods. Complementary DNA (cDNA) synthesis was performed with 1 µg total RNA, random hexamers and superscript II reverse transcriptase (Invitrogen, Carlsbad, CA). NPM-ALK cDNA was amplified using a qualitative PCR reaction with a sensitivity of 10−5.
We performed a review of English literature about pediatric ALCL with bone and/or CNS involvement; only those with adequate clinical details were included. Firstly, a PubMed, Scopus, and Web of Science (WOS) search, including as keywords “anaplastic large cell lymphoma” AND “bone” revealed 15 articles, concerning 17 patients aged less than 18 years with primary bone ALCL. Another search using as keywords “anaplastic large cell lymphoma” AND “central nervous system” retrieved 19 papers, regarding 23 cases of primary CNS ALCL in children and adolescents.

3. Case Report

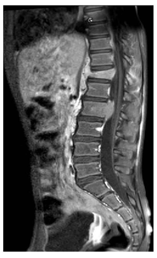
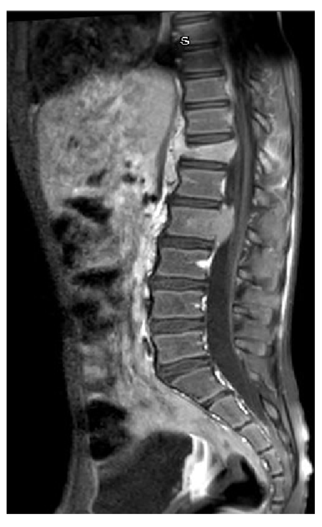
A previously healthy 9-year-old boy came to our attention for back pain, lasting more than 2 months, with no other symptoms; he had been treated with physiotherapy and anti-inflammatory drugs. On clinical examination, the boy was well-appearing, complaining of moderate back pain at the lumbar level. Complete blood count, lactate dehydrogenase, uric acid, C-reactive protein, and erythrocyte sedimentation rate were in the normal range. Spine magnetic resonance imaging (MRI) showed a signal alteration at the D12-L2 level (with a wedge-shaped D12 body) characterized by hypointensity at T1-weighted and hyperintensity at T2-weighted sequences; furthermore, an abnormal tissue involving medullary canal and neural foramina was appreciated at the D11-L1 level (Figure 1). Cerebral, thorax, and abdominal CT were of normal appearance. The boy underwent an open biopsy, and the histological diagnosis was ALCL, CD30+, ALK+, EMA+, perforin+, associated with numerous histiocytes CD68PGM1+. Positron emission tomography/computed tomography (PET-CT) showed high fluorodeoxyglucose (FDG) uptake at D11-L2 level, with spinal cord involvement. Lumbar puncture revealed the presence of 66 T-lymphoblasts/μL in the cerebrospinal fluid (CSF) and bone marrow aspirate was positive for NPM-ALK transcript, detected by qualitative RT-PCR. The patient was treated with six courses of chemotherapy according to the AIEOP LNH-97 protocol for ALCL, high-risk group, with CNS involvement (Table 1) [3]. MRD in bone marrow and peripheral blood was negative just after the first course of chemotherapy. PET-CT, performed after the second chemotherapy block, showed a complete metabolic response, confirmed also at the end of treatment. Spine MRI performed 2 weeks after stop-therapy demonstrated complete disappearance of both D12-L1 lesions and tissue proliferation in the D11-L1 region, with the persistence of mild signal alteration, without any contrast enhancement, at the L2 level only (Figure 2). During the follow-up, the boy was also monitored by the analysis of MRD in peripheral blood every month for the first three months, then every two months up to one year from the stop-therapy: NPM-ALK transcript was never detected. The patient is in clinical, radiological, and molecular remission at 12 months after the end of treatment.

4. Discussion

ALCL represents about 10–15% of NHL in children [2]. It generally arises from abdominal or mediastinal lymph nodes; primary bone and CNS involvement is very rare.
After a review of English literature, we identified 17 cases of pediatric primary bone ALCL (Table 2) [4,5,6,7,8,9,10,11,12,13,14,15,16,17,18]. The median age of onset was 10 years and 82% (14/17) were male. Multifocal and unifocal bone lesions were identified in 7 (41%) and 10 (59%) children, respectively. Twelve patients (70.5%) presented with axial skeleton involvement, as either unique site of disease or in association with extremities lesions. The most frequently involved bones were pelvis (5/17), neurocranium (4/17), and femur (4/17); four children (23.5%) presented with multiple vertebral lesions and only one patient with bone marrow involvement. The clinical diagnosis was often challenging because of multiple possible differential diagnoses (i.e., Langerhans cell histiocytosis, neuroblastoma, osteosarcoma, Ewing sarcoma, and other sarcomas) [19]. All patients were treated with different chemotherapy regimens (three cases also received radiotherapy and one also autologous bone marrow transplantation). Thirteen patients (76.5%) achieved complete remission, 3 children (2 with multifocal disease) died for disease progression, and in 1 patient, the outcome was not specified. These clinical data are summarized in Table 3.
Interestingly, according to one of the largest studies that investigated 225 pediatric ALCL patients, children with bone lesions seem to have a better prognosis compared to patients without bone disease [20].
CNS involvement in children with ALCL is also extremely rare, both as primary and secondary localization: in an international study of systemic childhood ALCL [21], CNS disease was recognized in only 2.6% of cases, most of them being secondary involvement. After a review of English literature, we identified 23 pediatric cases of primary CNS ALCL (Table 4) [21,22,23,24,25,26,27,28,29,30,31,32,33,34,35,36,37,38]. Age ranged from 23 months to 18 years (median 11 years). Intracerebral mass, meningeal disease, and involvement of both cerebrum and meninges were found in 11/23 (48%), 3/23 (13%), and 6/23 (26%) patients, respectively; in 1 child, ALCL was localized in both the brain and spinal cord and in 2 other patients, the CNS site of disease was not specified. In 2 out of 11 patients with intracerebral lesions [26,38], a skull bone invasion was appreciated. Lymphoma cells were found in 7 (41%) out of 17 patients in whom CSF analysis was performed. In only 2 patients [28,32], a lymph nodal involvement was present. Several therapeutic approaches have been used with details available in 21 out of 23 patients: 7 patients (30%) were treated with chemotherapy and radiotherapy, 4 (19%) with chemotherapy only, 1 (5%) with radiotherapy only, 2 (9.5%) with chemotherapy and surgery, 3 (14%) with chemotherapy, radiotherapy, and surgery, 2 (9.5%) with chemotherapy followed by autologous stem cell transplant and 1 (5%) with chemotherapy, radiotherapy, and autologous bone marrow transplantation; one child was untreated because he died immediately after the diagnosis. Outcome details are available in 20 out of 23 patients: complete remission (median follow-up 5.2 years, range 1.3–9 years) was achieved in 14 patients (70%), and 6 children (30%) died. In Table 5, these clinical findings are summarized.
A recent paper, investigating prognostic factors in a cohort of 420 ALCL patients aged <22 years treated according to the international ALCL99 trial [40], revealed that histological small cell/lymphohistiocytic (SC/LH) pattern and positive MDD were significantly associated with higher risk of treatment failure in multivariate analysis. Furthermore, CNS disease is more often associated with high-risk features, but so far, it could not be considered an independent prognostic factor [21]. In addition, as reported by Del Baldo et al. [41], initial CNS involvement seems to be associated with higher risk of CNS relapse. Thus, special care should be taken in the follow-up of patients with primary CNS disease.
ALCL is characterized in more than 80% of children and adolescents by the fusion gene NPM-ALK [42], derived from the translocation t(2;5); its RNA transcript can be detected by RT-PCR in BM and PB, with high concordance between these biological samples [43]. Early assessment of MRD, before the second course of chemotherapy, seems to be able to identify patients with high relapse risk and inferior survival [44]: both event-free survival (EFS) and overall survival (OS) of MDD-positive/MRD-negative are significantly higher compared with that of persistent positive MRD patients [44]. Our patient was MDD-positive at onset; after the first chemotherapy block, MRD assessment resulted negative in both BM and PB, showing a good response to treatment and a favorable outcome, as confirmed by persistent complete clinical and molecular remission 12 months after the end of treatment.
Our case report confirms the relevant role of MDD and MRD monitoring during treatment and follow-up of pediatric patients affected by ALCL. MDD and MRD assessed on BM and/or PB have already been confirmed to be independent prognostic factors [43,44]. Tailored treatment based on MRD is becoming a reality for patients with ALK-positive ALCL. Furthermore, MRD at the end of treatment could identify high-risk patients for whom consolidation therapy could be added to prevent relapse and increase the chances of survival in children who are at a very high risk of relapse [44]. Next-generation sequencing-based methods may represent new opportunities for minimal disease evaluation in childhood ALCL and other lymphoma subtypes [45]. Up to now, MRD has not been studied to evaluate if it can replace bioptic procedures or post-therapy radiological disease monitoring. Further studies are needed to assess the predictive role of MRD in the follow-up period.

5. Conclusions

ALCL is an uncommon type of lymphoma in childhood. Bone and/or CNS involvement are very rare, with only few case reports described in the literature. According to the analyzed data, our patient, who presented contemporary involvement of the spine and CNS, is unique; two other ALCL children with concomitant bone and CNS involvement were reported, but in both patients, lymphoma started as cerebral mass with secondary skull involvement. With the limits of a case report, it seems that a treatment based on intensive chemotherapy can be effective in obtaining and maintaining a complete remission; furthermore, the availability of a disease marker, the NPM-ALK transcript, in a biological sample that is easy to collect, i.e., PB, greatly simplifies the disease monitoring in these patients.

Author Contributions

Conceptualization, P.F. and M.P.; methodology, S.I., C.G., A.T. (Angela Trizzino) and L.M.; validation, S.I., C.G., A.T. (Angelo Toscano) and L.M.; investigation, P.F., G.A.R. and E.S.; data curation, E.C.; writing—original draft, P.F. and G.A.R.; writing—review and editing, P.D., L.M., A.T. (Angela Trizzino), S.I., E.S., C.G., A.T. (Angelo Toscano), E.C. and M.P. All authors have read and agreed to the published version of the manuscript.

Funding

This research received no external funding.

Institutional Review Board Statement

All procedures followed were in accordance with the ethical standards of the committee in charge of human experimentation (institutional and national) and the Declaration of Helsinki. This study did not require approval by Institutional Review Board as a case report.

Informed Consent Statement

Informed consent was obtained from all subjects involved in the study.

Data Availability Statement

The data that support the findings of this study are available on request from the corresponding author. The data are not publicly available due to privacy or ethical restrictions.

Acknowledgments

The Parents’ Association A.S.L.T.I. (Associazione Siciliana Leucemie e Tumori Infantili) is acknowledged for supporting the activity of the Pediatric Onco-Hematology Unit of A.R.N.A.S. Ospedali Civico, Di Cristina e Benfratelli. Giuseppe Furfari is acknowledged for the statistical analysis (written permission was obtained).

Conflicts of Interest

The authors declare no conflict of interest.

Correction Statement

This article has been republished with a minor correction to the Institutional Review Board Statement. This change does not affect the scientific content of the article.

Sample Availability

Not applicable.

References

  1. Morris, S.; Kirstein, M.; Valentine, M.; Dittmer, K.; Shapiro, D.; Saltman, D.; Look, A. Fusion of a kinase gene, ALK, to a nucleolar protein gene, NPM, in non-Hodgkin’s lymphoma. Science 1994, 263, 1281–1284. [Google Scholar] [CrossRef]
  2. Turner, S.D.; Lamant, L.; Kenner, L.; Brugières, L. Anaplastic large cell lymphoma in paediatric and young adult patients. Br. J. Haematol. 2016, 173, 560–572. [Google Scholar] [CrossRef]
  3. Pillon, M.; Gregucci, F.; Lombardi, A.; Santoro, N.; Piglione, M.; Sala, A.; D’Amore, E.S.; De Santis, R.; Casale, F.; Zecca, M.; et al. Results of AIEOP LNH-97 protocol for the treatment of anaplastic large cell lymphoma of childhood. Pediatr. Blood Cancer 2012, 59, 828–833. [Google Scholar] [CrossRef]
  4. Chan, J.K.; Ng, C.S.; Hui, P.K.; Leung, W.T.; Sin, V.C.; Lam, T.K.; Chick, K.-W.; Lam, W.-Y. Anaplastic large cell Ki-1 lymphoma of bone. Cancer 1991, 68, 2186–2191. [Google Scholar] [CrossRef]
  5. Edwards, M.S.D.; Fairbank, J.; Midgely, P. Anaplastic large cell Ki-1 lymphoma arising in bone. Eur. Spine J. 1993, 2, 239–241. [Google Scholar] [CrossRef] [PubMed]
  6. Ishizawa, M.; Matsumoto, K.; Kukuda, S.; Okabe, H.; Hodohara, K.; Ota, S. Anaplastic large cell Ki-1 lymphoma with bone involvement: Report of two cases. Virchows Arch. 1995, 427, 105–110. [Google Scholar] [CrossRef] [PubMed]
  7. Nagasaka, T.; Nakamura, S.; Medeiros, L.J.; Juco, J.; Lai, R. Anaplastic Large Cell Lymphomas Presented as Bone Lesions: A Clinicopathologic Study of Six Cases and Review of the Literature. Mod. Pathol. 2000, 13, 1143–1149. [Google Scholar] [CrossRef]
  8. Parker, J.R.; López-Terrada, D.; Gresik, M.V.; Vogel, O.H.; Baumgartner, J.E.; Finegold, M.J. Neutrophil-rich Anaplastic Large Cell Lymphoma of the Skull Presenting after Head Trauma. Pediatr. Dev. Pathol. 2001, 4, 397–401. [Google Scholar] [CrossRef] [PubMed]
  9. Postovsky, S.; Bialik, V.; Keidar, Z.; Eppelman, M.; Militianu, D.; Ben Izhak, O.B.; Ben Arush, M.W. Large cell lymphoma of bone presented by limp. J. Pediatr. Orthop. B 2001, 10, 81–84. [Google Scholar]
  10. Biasotti, S.; Fondelli, P.; Garaventa, A. Anaplastic large cell lymphoma of the parietal bone. Br. J. Haematol. 2002, 117, 258. [Google Scholar] [CrossRef]
  11. Gianelli, U.; Patriarca, C.; Moro, A.; Ponzoni, M.; Giardini, R.; Massimino, M.; Alfano, R.M.; Armiraglio, E.; Nuciforo, P.; Bosari, S.; et al. Lymphomas of the Bone: A Pathological and Clinical Study of 54 Cases. Int. J. Surg. Pathol. 2002, 10, 257–266. [Google Scholar] [CrossRef]
  12. Bakshi, N.A.; Ross, C.W.; Finn, W.G.; Valdez, R.; Ruiz, R.; Koujok, K.; Schnitzer, B. ALK-positive anaplastic large cell lymphoma with primary bone involvement in chil-dren. Am. J. Clin. Pathol. 2006, 125, 57–63. [Google Scholar] [CrossRef]
  13. Mounasamy, V.; Berns, S.; Azouz, E.M.; Giusti, V.; Knapp, D.R. Anaplastic large cell lymphoma presenting as an epiphyseal lytic lesion—a case report with clinico-pathologic correlation. Skelet. Radiol. 2006, 35, 619–623. [Google Scholar] [CrossRef] [PubMed]
  14. Chow, K.C.; Chan, G.C.F.; Khong, P.L.; Shek, T.W.H.; Ha, S.Y.; Lau, Y.L. Primary Ki-1-positive anaplastic large cell lymphoma of the bone presented with spinal cord compression. Hong Kong J. Pediatrics 2007, 12, 283–286. [Google Scholar]
  15. Ng, A.; Hobson, R.; Williams, D.; Morland, B. Anaplastic large cell lymphoma of bone-is it a bad tumor? Pediatr. Blood Cancer 2007, 48, 473–476. [Google Scholar] [CrossRef] [PubMed]
  16. Mika, J.; Schleicher, I.; Gerlach, U.; Adler, C.P.; Uhl, M.; Knoeller, S.M. Primary bone lymphomas thought to be osteomyelitis urgently demand a rapid diag-nosis in bone pathology. Anticancer Res. 2012, 32, 4905–4912. [Google Scholar] [PubMed]
  17. Hue, S.S.-S.; Iyer, P.; Toh, L.H.W.; Jain, S.; Tan, E.E.K.; Sittampalam, K.; Lian, D.W.Q.; Chang, K.T.E. Primary Bone Anaplastic Large Cell Lymphoma Masquerading as Ewing Sarcoma: Diagnosis by Anchored Multiplex PCR. J. Pediatr. Hematol. 2018, 40, e103–e107. [Google Scholar] [CrossRef]
  18. Barik, S.; Goyal, N.; Paul, S.; Singh, V.; Arora, S. Primary Bone Lymphoma: A Rare Case of Anaplastic Large Cell Lymphoma in Calcaneus in a Child. J. Orthop. Case Rep. 2019, 9, 14–18. [Google Scholar] [CrossRef]
  19. Sciubba, D.M.; Hsieh, P.; McLoughlin, G.S.; Jallo, G.I. Pediatric Tumors Involving the Spinal Column. Neurosurg. Clin. N. Am. 2008, 19, 81–92. [Google Scholar] [CrossRef]
  20. Le Deley, M.-C.; Reiter, A.; Williams, D.; Delsol, G.; Oschlies, I.; McCarthy, K.; Zimmermann, M.; Brugières, L. Prognostic factors in childhood anaplastic large cell lymphoma: Results of a large European intergroup study. Blood 2008, 111, 1560–1566. [Google Scholar] [CrossRef] [PubMed]
  21. Williams, D.; Mori, T.; Reiter, A.; Woessman, W.; Rosolen, A.; Wrobel, G.; Zsiros, J.; Uyttebroeck, A.; Marky, I.; Le Deley, M.-C.; et al. Central nervous system involvement in anaplastic large cell lymphoma in childhood: Results from a multicentre European and Japanese study. Pediatr. Blood Cancer 2013, 60, E118–E121. [Google Scholar] [CrossRef] [PubMed]
  22. Havlioglu, N.; Manepalli, A.; Galindo, L.; Sotelo-Avila, C.; Grosso, L. Primary Ki-1 (Anaplastic Large Cell) Lymphoma of the Brain and Spinal Cord. Am. J. Clin. Pathol. 1995, 103, 496–499. [Google Scholar] [CrossRef] [PubMed]
  23. Buxton, N.; Punt, J.; Hewitt, M. Primary Ki-1-positive T-cell lymphoma of the brain in a child. Pediatr. Neurosurg. 1998, 29, 250–252. [Google Scholar] [CrossRef]
  24. Abdulkader, I.; Cameselle-Teijeiro, J.; Fraga, M.; Rodriguez-Núnez, A.; Allut, A.G.; Forteza, J. Primary anaplastic large cell lymphoma of the central nervous system. Hum. Pathol. 1999, 30, 978–981. [Google Scholar] [CrossRef]
  25. George, D.H.; Scheithauer, B.W.; Aker, F.V.; Kurtin, P.J.; Burger, P.C.; Cameselle-Teijeiro, J.; McLendon, R.E.; Parisi, J.E.; Paulus, W.; Roggendorf, W.; et al. Primary anaplastic large cell lymphoma of the central nervous system: Prognostic effect of ALK-1 expression. Am. J. Surg. Pathol. 2003, 27, 487–493. [Google Scholar] [CrossRef]
  26. Rupani, A.; Modi, C.; Desai, S.; Rege, J. Primary anaplastic large cell lymphoma of central nervous system—A case report. J. Postgrad. Med. 2005, 51, 326. [Google Scholar] [PubMed]
  27. Abla, O.; Sandlund, J.T.; Sung, L.; Brock, P.; Corbett, R.; Kirov, I.; Griffin, T.C.; Blaser, S.; Weitzman, S. A case series of pediatric primary central nervous system lymphoma: Favorable outcome without cranial irradiation. Pediatr. Blood Cancer 2006, 47, 880–885. [Google Scholar] [CrossRef] [PubMed]
  28. Karikari, I.O.; Thomas, K.K.; Lagoo, A.; Cummings, T.J.; George, T.M. Primary cerebral ALK-1-positive anaplastic large cell lymphoma in a child. Case report and literature review. Pediatr. Neurosurg. 2007, 43, 516–521. [Google Scholar] [CrossRef]
  29. Merlin, E.; Chabrier, S.; Verkarre, V.; Cramer, E.; Delabesse, E.; Stéphan, J.-L. Primary Leptomeningeal ALK+ Lymphoma in a 13-year-old Child. J. Pediatr. Hematol. Oncol. 2008, 30, 963–967. [Google Scholar] [CrossRef]
  30. Ozkaynak, M.F. Favorable Outcome of Primary CNS Anaplastic Large Cell Lymphoma in an Immunocompetent Patient. J. Pediatr. Hematol. Oncol. 2009, 31, 128–130. [Google Scholar] [CrossRef]
  31. Shah, A.C.; Kelly, D.; Nabors, L.; Oakes, W.J.; Hilliard, L.M.; Reddy, A.T. Treatment of primary CNS lymphoma with high-dose methotrexate in immunocompetent pediatric patients. Pediatr. Blood Cancer 2010, 55, 1227–1230. [Google Scholar] [CrossRef] [PubMed]
  32. Thangarajh, M.; Mar, S.S. Teaching NeuroImages: CNS involvement in systemic anaplastic large-cell lymphoma. Neurology 2012, 79, e74–e75. [Google Scholar] [CrossRef]
  33. Furuya, K.; Takanashi, S.; Ogawa, A.; Takahashi, Y.; Nakagomi, T. High-dose methotrexate monotherapy followed by radiation for CD30-positive, anaplastic lymphoma kinase-1–positive anaplastic large-cell lymphoma in the brain of a child. J. Neurosurg. Pediatr. 2014, 14, 311–315. [Google Scholar] [CrossRef] [PubMed]
  34. Kim, J.A.; Lee, H.J.; Kim, H.; Cha, B.H.; Kim, H.D.; Lee, J.S.; Kim, H.-S.; Kang, H.-C. Primary central nervous system anaplastic large cell lymphoma presenting initially with men-ingitis. Neurol. Asia 2014, 19, 231–234. [Google Scholar]
  35. Dunbar, M.J.; Singhal, A.; Rassekh, S.R.; Dunham, C. Evolution of a Pediatric Primary Cerebral ALK-1-Positive Anaplastic Large Cell Lymphoma on Serial MRI. Pediatr. Neurosurg. 2015, 50, 145–151. [Google Scholar] [CrossRef]
  36. Komaranchath, A.S.; Kuntegowdenahalli, L.C.; Jacob, L.A.; Amirtham, U. A rare case of primary anaplastic large cell lymphoma of the central nervous system. J. Cancer Res. Ther. 2015, 11, 943. [Google Scholar] [CrossRef] [PubMed]
  37. Feng, S.; Chen, Q.; Chen, J.; Zheng, P.; Ma, K.; Tan, B. Primary anaplastic large cell lymphoma of the central nervous system in a child: A case report. Medicine 2020, 99, e21115. [Google Scholar] [CrossRef] [PubMed]
  38. Lee, S.-W.; Jung, T.-Y.; Baek, H.-J.; Kim, S.-K.; Lee, K.-H. Dural-Based Primary Central Nervous System Lymphoma with Bone Invasion. World Neurosurg. 2020, 139, 415–418. [Google Scholar] [CrossRef] [PubMed]
  39. Liu, Q.; Chen, X.; Li, G.; Ye, Y.; Liu, W.; Zhao, S.; Zhang, W. Primary central nervous system ALK-positive anaplastic large cell lymphoma with CD56 abnormally expression in a Chinese child: Challenge in diagnostic practice. Int. J. Immunopathol. Pharmacol. 2020, 34, 2058738420941756. [Google Scholar] [CrossRef]
  40. Mussolin, L.; Le Deley, M.-C.; Carraro, E.; Damm-Welk, C.; Attarbaschi, A.; Williams, D.; Burke, A.; Horibe, K.; Nakazawa, A.; Wrobel, G.; et al. Prognostic Factors in Childhood Anaplastic Large Cell Lymphoma: Long Term Results of the International ALCL99 Trial. Cancers 2021, 12, 2747. [Google Scholar] [CrossRef]
  41. Del Baldo, G.; Abbas, R.; Woessmann, W.; Horibe, K.; Pillon, M.; Burke, A.; Beishuizen, A.; Rigaud, C.; Le Deley, M.; Lamant, L.; et al. Neuro-meningeal relapse in anaplastic large-cell lymphoma: Incidence, risk factors and prognosis—A report from the European intergroup for childhood non-Hodgkin lymphoma. Br. J. Haematol. 2020, 192, 1039–1048. [Google Scholar] [CrossRef] [PubMed]
  42. Perkins, S.L.; Pickering, D.; Lowe, E.J.; Zwick, D.; Abromowitch, M.; Davenport, G.; Cairo, M.S.; Sanger, W.G. Childhood anaplastic large cell lymphoma has a high incidence of ALK gene rearrangement as determined by immunohistochemical staining and fluorescent in situ hybridisation: A genetic and pathological correlation. Br. J. Haematol. 2005, 131, 624–627. [Google Scholar] [CrossRef]
  43. Damm-Welk, C.; Busch, K.; Burkhardt, B.; Schieferstein, J.; Viehmann, S.; Oschlies, I.; Klapper, W.; Zimmermann, M.; Harbott, J.; Reiter, A.; et al. Prognostic significance of circulating tumor cells in bone marrow or peripheral blood as detected by qualitative and quantitative PCR in pediatric NPM-ALK–positive anaplastic large-cell lymphoma. Blood 2007, 110, 670–677. [Google Scholar] [CrossRef] [PubMed]
  44. Damm-Welk, C.; Mussolin, L.; Zimmermann, M.; Pillon, M.; Klapper, W.; Oschlies, I.; D’Amore, E.S.G.; Reiter, A.; Woessmann, W.; Rosolen, A. Early assessment of minimal residual disease identifies patients at very high relapse risk in NPM-ALK–positive anaplastic large-cell lymphoma. Blood 2014, 123, 334–337. [Google Scholar] [CrossRef] [PubMed]
  45. Mussolin, L.; Damm-Welk, C.; Pillon, M.; Woessmann, W. Minimal Disease Monitoring in Pediatric Non-Hodgkin’s Lymphoma: Current Clinical Application and Future Challenges. Cancers 2021, 13, 1907. [Google Scholar] [CrossRef]
Figure 1. Spine MRI at onset: wedge-shaped D12 vertebral body and abnormal tissue proliferation with involvement of medullary canal at L1-L2 level.
Figure 1. Spine MRI at onset: wedge-shaped D12 vertebral body and abnormal tissue proliferation with involvement of medullary canal at L1-L2 level.
Hemato 02 00037 g001
Figure 2. Spine MRI after treatment: complete disappearance of both D12 lesion and tissue proliferation with persistence of mild signal alteration at L2 level.
Figure 2. Spine MRI after treatment: complete disappearance of both D12 lesion and tissue proliferation with persistence of mild signal alteration at L2 level.
Hemato 02 00037 g002
Table 1. Therapy courses according to AIEOP LNH-97 protocol for ALCL, risk group R3, with CNS involvement.
Table 1. Therapy courses according to AIEOP LNH-97 protocol for ALCL, risk group R3, with CNS involvement.
CycleDrugs and Dosage
PrephaseDEX 5 mg/m²/day orally Days 1-2, DEX 10 mg/m²/day orally Days 3–5, CPX 200 mg/m²/day IV (1 h) Days 1,2, MTX + ARA-C + PRED 12 mg + 30 mg + 10 mg IT Day 1
1. Cycle AADEX 10 mg/m²/day orally or IV Days 1–5, MTX 5 g/m²/day IV Day 1, IFO 800 mg/m²/day IV (1 h) Days 1–5, ETP 100 mg/m²/day IV (2 h) Days 4,5, ARA-C 150 mg/m² every 12 h IV (1 h) Days 4,5, VCR 1.5 mg/m²/day (max 2 mg) IV Day 1, MTX + PRED 12 mg + 10mg IT Days 1,3, MTX + ARA-C + PRED 12 mg + 30 mg + 10 mg IT Day 5
2. Cycle BBDEX 10 mg/m²/day orally or IV Days 1–5, MTX 5 g/m²/day IV Day 1, CPX 200 mg/m²/day IV (1 h) Days 1–5, DOXO 25 mg/m²/day IV (4 h) Days 4,5, VCR 1.5 mg/m²/day (max 2 mg) IV Day 1, MTX + PRED 12 mg + 10 mg IT Days 1,3, MTX + ARA-C + PRED 12 mg + 30 mg + 10 mg IT Day 5
3. Cycle CCDEX 20 mg/m²/day orally or IV Days 1–5, ETP 100 mg/m²/day every 12 h IV (2 h) Days 3–5, ARA-C 3 g/m² every 12 h IV (3 h) Days 1,2, VDS 3 mg/m²/day (max 5 mg) IV Day 1, MTX + PRED 12 mg + 10 mg IT Days 1,3, MTX + ARA-C + PRED 12 mg + 30 mg + 10 mg IT Day 5
4. Cycle AADEX 10 mg/m²/day orally or IV Days 1–5, MTX 5 g/m²/day IV Day 1, IFO 800 mg/m²/day IV (1 h) Days 1–5, ETP 100 mg/m²/day IV (2 h) Days 4,5, ARA-C 150 mg/m² every 12 h IV (1 h) Days 4,5, VCR 1.5 mg/m²/day (max 2 mg) IV Day 1, MTX + PRED 12 mg + 10 mg IT Days 1,3, MTX + ARA-C + PRED 12 mg + 30 mg + 10 mg IT Day 5
5. Cycle BBDEX 10 mg/m²/day orally or IV Days 1–5, MTX 5 g/m²/day IV Day 1, CPX 200 mg/m²/day IV (1 h) Days 1–5, DOXO 25 mg/m²/day IV (4 h) Days 4,5, VCR 1.5 mg/m²/day (max 2 mg) IV Day 1, MTX + PRED 12 mg + 10 mg IT Days 1,3, MTX + ARA-C + PRED 12 mg + 30 mg + 10 mg IT Day 5
6. Cycle CCDEX 20 mg/m²/day orally or IV Days 1–5, ETP 100 mg/m²/day every 12 h IV (2 h) Days 3–5, ARA-C 3 g/m² every 12 h IV (3 h) Days 1,2, VDS 3 mg/m²/day (max 5 mg) IV Day 1, MTX + PRED 12 mg + 10 mg IT Days 1,3, MTX + ARA-C + PRED 12 mg + 30 mg + 10 mg IT Day 5
Abbreviations: DEX: dexamethasone; CPX: cyclophosphamide; IV: intravenous; MTX: methotrexate; ARA-C: cytarabine; PRED: prednisolone; IT: intrathecal; VCR: vincristine; IFO: ifosfamide; ETP: etoposide; DOXO: doxorubicin; VDS: vindesine.
Table 2. Characteristics of reported pediatric patients with primary bone ALCL.
Table 2. Characteristics of reported pediatric patients with primary bone ALCL.
ReferenceAge/SexBones SitesBM/CSFALKTherapySurvival
Chan et al., 1991 [4]8y/FParietal, cervical column, ribs, left humerus, right femurNeg/negNSCTAlive
Edwards et al., 1993 [5]14y/MVertebral column, sacrum, pelvis, ribs, left scapula, left femurNeg/negNSCTAlive
Ishizawa et al., 1995 [6]14y/FTemporal, sternum, pelvisNeg/negNSCT + RTDead
Nagasaka et al., 2000 [7]4y/MRight radius, right tibiaNeg/negPosCT + HSCTDead
Parker et al., 2001 [8]11y/MFrontalNeg/negPosCTAlive
Postovsky et al., 2001 [9]5y/MRight fibulaNeg/negNSCTAlive
Biasotti et al., 2002 [10]16y/NSParietalNeg/negPosCTAlive
Gianelli et al., 2002 [11]14y/MPelvisNeg/negNSNSAlive
Bakshi et al., 2006 [12]3y/MSacrumPos/negPosCTAlive
9y/MRight femurNeg/negPosCTDead
14y/MLeft fifth ribNeg/negPosCTAlive
Mounasamy et al., 2006 [13]8y/MRight humerusNeg/negPosCTAlive
Chow et al., 2007 [14]10y/MLumbar vertebral columnNeg/NDNSCT + RTAlive
Ng et al., 2007 [15]13y/MRight scapulaNeg/negPosCTAlive
Mika et al., 2012 [16]13y/MPelvisNeg/negPosNSNS
Hue et al., 2018 [17]3y/MLeft and right femur, pelvisNeg/negPosCTAlive
Barik et al., 2019 [18]7y/MRight calcaneusNeg/negPosCT + RTAlive
Abbreviations: ALCL: Anaplastic large cell lymphoma; BM: bone marrow involvement; CSF cerebrospinal fluid; ALK anaplastic lymphoma kinase transcript; y: years; NS: not specified; CT: chemotherapy; RT: radiotherapy; HSCT: hematopoietic stem cells transplantation; ND: not done.
Table 3. Main features of pediatric primary bone ALCL.
Table 3. Main features of pediatric primary bone ALCL.
Total Cases17%
Age (years) median/mean10/9.8-
Sex
Male1482
Female212
Not reported16
Sites
Unifocal, axial847
Unifocal, extremity423.5
Multifocal529.5
Treatment
CT only1164.5
CT + RT317.5
CT + HSCT16
Not reported212
Outcome
CR1376.5
Dead317.5
Not reported16
Abbreviations: CT: chemotherapy, RT: radiotherapy; HSCT: hematopoietic stem cells transplantation; CR: complete remission.
Table 4. Characteristics of reported pediatric patients with primary CNS ALCL.
Table 4. Characteristics of reported pediatric patients with primary CNS ALCL.
ReferenceAge/SexCNS DiseaseCSFALKTherapySurvival
Havlioglu et al., 1995 [22]4y/FIntracerebral + spinalPosNSCTAlive
Buxton et al., 1998 [23]10y/FIntracerebralNSNSSURG + RT + CTDead
Abdulkader et al., 1999 [24]13y/MIntracerebralNegPosCTDead
George et al., 2003 [25]17y/MMeningealNSPosRTAlive
18y/MIntracerebral + meningealNSPosCT + RTAlive
Rupani et al., 2005 [26]17y/MIntracerebral (with skull bone invasion)NSPosCT + RTDead
Abla et al., 2006 [27]6y/FNSNSNSCT + HSCTAlive
7y/MNSPosNSCT + RTAlive
Karikari et al., 2007 [28]4y/MIntracerebral + meningealNegPosCT + RTAlive
Merlin et al., 2008 [29]13y/MMeningealPosPosCT + RTDead
Ozkaynak et al., 2009 [30]9y/MIntracerebral + meningealPosPosCT + RT + HSCTAlive
Shah et al., 2010 [31]2y/MIntracerebral + meningealNegPosSURG + CTAlive
Thangarajh et al., 2012 [32]11y/MIntracerebral + meningealNegPosNSNS
Williams et al., 2013 [21]NS/NSIntracerebralPosPosCT + RTAlive
NS/NSIntracerebralNegNSCT + RTAlive
NS/NSIntracerebralNegNSCTAlive
Furuya et al., 2014 [33]11y/MIntracerebral + meningealNegPosSURG + CT + RTAlive
Kim et al., 2014 [34]10y/FIntracerebralPosPosCTNS
Dunbar et al., 2015 [35]10y/NSIntracerebralNegPosCT + HSCTAlive
Kuntegowdenahalli et al., 2015 [36]18y/MMeningealNegPosSURG + CT + RTNS
Feng et al., 2020 [37]8y/MIntracerebralPosPosNSDead
Lee et al., 2020 [38]12y/MIntracerebral (with skull bone invasion)NegPosSURG + CTAlive
Liu et al., 2020 [39]12y/MIntracerebralNSPosUntreatedDead
Abbreviations: CNS: central nervous system; CSF: cerebrospinal fluid; ALK: anaplastic lymphoma kinase transcript; y: years; NS: not specified; CT: chemotherapy; SURG: surgery; RT: radiotherapy; HSCT: hematopoietic stem cells transplantation.
Table 5. Main features of pediatric primary CNS ALCL patients.
Table 5. Main features of pediatric primary CNS ALCL patients.
Total Cases23%
Age (years) median/mean11/10.6-
Sex
Male1565
Female417.5
Not reported417.5
Sites
Intracerebral1148
Intracerebral + meningeal626
Meningeal313
Intracerebral + spinal14
Not reported29
Treatment
CT + RT730.5
CT only417.5
CT + RT + surgery313
CT + surgery29
CT + HSCT29
RT only14
CT + RT + HSCT14
No therapy14
Not reported29
Outcome
CR1461
Dead626
Not reported313
Abbreviations: CT: chemotherapy, RT: radiotherapy; HSCT: hematopoietic stem cells transplantation; CR: complete remission.
Publisher’s Note: MDPI stays neutral with regard to jurisdictional claims in published maps and institutional affiliations.

Share and Cite

MDPI and ACS Style

Restivo, G.A.; Mussolin, L.; D’Angelo, P.; Trizzino, A.; Ialuna, S.; Sabattini, E.; Gallo, C.; Toscano, A.; Carraro, E.; Pillon, M.; et al. Pediatric Anaplastic Large Cell Lymphoma with Concomitant Involvement of Spine and Central Nervous System: A Case Report and Review of Literature. Hemato 2021, 2, 586-595. https://doi.org/10.3390/hemato2030037

AMA Style

Restivo GA, Mussolin L, D’Angelo P, Trizzino A, Ialuna S, Sabattini E, Gallo C, Toscano A, Carraro E, Pillon M, et al. Pediatric Anaplastic Large Cell Lymphoma with Concomitant Involvement of Spine and Central Nervous System: A Case Report and Review of Literature. Hemato. 2021; 2(3):586-595. https://doi.org/10.3390/hemato2030037

Chicago/Turabian Style

Restivo, Giulia A., Lara Mussolin, Paolo D’Angelo, Angela Trizzino, Salvatore Ialuna, Elena Sabattini, Cristina Gallo, Angelo Toscano, Elisa Carraro, Marta Pillon, and et al. 2021. "Pediatric Anaplastic Large Cell Lymphoma with Concomitant Involvement of Spine and Central Nervous System: A Case Report and Review of Literature" Hemato 2, no. 3: 586-595. https://doi.org/10.3390/hemato2030037

APA Style

Restivo, G. A., Mussolin, L., D’Angelo, P., Trizzino, A., Ialuna, S., Sabattini, E., Gallo, C., Toscano, A., Carraro, E., Pillon, M., & Farruggia, P. (2021). Pediatric Anaplastic Large Cell Lymphoma with Concomitant Involvement of Spine and Central Nervous System: A Case Report and Review of Literature. Hemato, 2(3), 586-595. https://doi.org/10.3390/hemato2030037

Article Metrics

Back to TopTop