Characterization of a GH43 Bifunctional Glycosidase from Endophytic Chaetomium globosum and Its Potential Application in the Biotransformation of Ginsenosides
Abstract
1. Introduction
2. Materials and Methods
2.1. Strains and Chemical Reagents
2.2. Gene Cloning, Expression, and Purification
2.3. Enzyme Activity Measurement
2.4. Biochemical Characterization Analysis
2.5. Substrate Specificity and Enzymatic Kinetics Analysis
2.6. Biotransformation of Ginsenosides
3. Results and Discussion
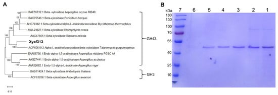
3.1. Xyaf313 Gene Sequence Analysis and Expression
3.2. Enzyme Characteristics
3.2.1. Substrate Specificity Analysis
3.2.2. Biochemical Characteristics of Xyaf313 with α-L-Arabinofuranoside Activity
3.2.3. Biochemical Characteristics of Xyaf313 with β-D-Xylosidase Activity
3.3. Transformation of Ginsenosides to Selectively Produce Ginsenoside Rd by Xyaf313
4. Conclusions
Author Contributions
Funding
Institutional Review Board Statement
Informed Consent Statement
Data Availability Statement
Conflicts of Interest
Abbreviations
| BGL | β-Glucosidase |
| GH43 | Glycoside hydrolase 43 |
| ρNPX | ρ-Nitrophenyl-β-D-xyloside |
| ρNPG | 4-Nitrophenyl-β-D-galactopyranoside |
| ρNPAF | 4-Nitrophenyl α-L-arabinofuranoside |
References
- Mewis, K.; Lenfant, N.; Lombard, V.; Henrissat, B. Dividing the large glycoside hydrolase family 43 into subfamilies: A motivation for detailed enzyme characterization. Appl. Environ. Microbiol. 2016, 82, 1686–1692. [Google Scholar] [CrossRef] [PubMed]
- Zanphorlin, L.M.; de Morais, M.A.B.; Diogo, J.A.; Domingues, M.N.; de Souza, F.H.M.; Ruller, R.; Murakami, M.T. Structure-guided design combined with evolutionary diversity led to the discovery of the xylose-releasing exo-xylanase activity in the glycoside hydrolase family 43. Biotechnol. Bioeng. 2019, 116, 734–744. [Google Scholar] [CrossRef] [PubMed]
- Salas-Veizaga, D.M.; Rocabado-Villegas, L.R.; Javier, A.; Linares-Pastén, J.A.; Gudmundsdottir, E.E.; Hreggvidsson, G.O.; Alvarez-Aliaga, M.T.; Adlercreutz, P.; Karlsson, E.N. A novel glycoside hydrolase 43-like enzyme from Clostridium boliviensis is an endo-xylanase and a candidate for xylooligosaccharide production from different xylan substrates. Appl. Environ. Microbiol. 2024, 90, e02223-23. [Google Scholar] [CrossRef]
- Linares-Pastén, J.A.; Hero, J.S.; Pisa, J.H.; Teixeira, C.; Nyman, M.; Adlercreutz, P.; Martinez, M.A.; Karlsson, E.N. Novel xylan-degrading enzymes from polysaccharide utilizing loci of Prevotella copri DSM18205. Glycobiology 2021, 31, 1330–1349. [Google Scholar] [CrossRef] [PubMed]
- Grootaert, C.; Delcour, J.A.; Courtin, C.M.; Broekaert, W.F.; Verstraete, W.; Wiele, T.V.D. Microbial metabolism and prebiotic potency of arabinoxylan oligosaccharides in the human intestine. Trends Food Sci. Technol. 2007, 18, 64–71. [Google Scholar] [CrossRef]
- Das, S.P.; Ghosh, A.; Gupta, A.; Goyal, A.; Das, D. Lignocellulosic fermentation of wild grass employing recombinant hydrolytic enzymes and fermentative microbes with effective bioethanol recovery. BioMed Res. Int. 2013, 2013, 386063. [Google Scholar] [CrossRef]
- Wang, J.; Tang, X.; Liu, F.; Mao, B.Y.; Zhang, Q.X.; Zhao, J.X.; Chen, W.; Cui, S.M. Sources, metabolism, health benefits and future development of saponins from plants. Food Res. Int. 2024, 197, 115226. [Google Scholar] [CrossRef]
- Hu, Y.B.; Li, Y.M.; Cao, Y.; Shen, Y.Z.; Zou, X.J.; Liu, J.X.; Zhao, J. Advancements in enzymatic biotransformation and bioactivities of rare ginsenosides: A review. J. Biotechnol. 2024, 392, 78–89. [Google Scholar] [CrossRef]
- Zhao, L.X.; Zhang, T.B.; Zhang, K. Pharmacological effects of ginseng and ginsenosides on intestinal inflammation and the immune system. Front. Immunol. 2024, 15, 1352614. [Google Scholar] [CrossRef]
- Tran, T.N.A.; Son, J.-S.; Awais, M.; Ko, J.-H.; Yang, D.C.; Jung, S.-K. β-Glucosidase and Its Application in Bioconversion of Ginsenosides in Panax ginseng. Bioengineering 2023, 10, 484. [Google Scholar] [CrossRef]
- Zeng, C.; Ji, X.Q.; Shi, Y.; Mu, S.Y.; Huang, Y.C.; Zhong, M.Q.; Han, Y.; Duan, C.C.; Li, X.L.; Li, D. Specific and efficient hydrolysis of all outer glucosyls in protopanaxadiol type and protopanaxatriol type ginsenosides by a β-glucosidase from Thermoclostridium stercorarium. Enzyme Microb. Technol. 2023, 162, 110152. [Google Scholar] [CrossRef] [PubMed]
- Upadhyaya, J.; Yoon, M.S.; Kim, M.J.; Ryu, N.S.; Song, Y.E.; Kim, Y.H.; Kim, M.K. Purification and characterization of a novel ginsenoside Rc-hydrolyzing β-glucosidase from Armillaria mellea mycelia. AMB Express 2016, 6, 112. [Google Scholar] [CrossRef]
- Shin, K.C.; Lee, G.W.; Oh, D.K. Production of ginsenoside Rd from ginsenoside Rc by α-L-arabinofuranosidase from Caldicellulosiruptor saccharolyticus. J. Microbiol. Biotechn. 2013, 23, 483. [Google Scholar] [CrossRef]
- Zhu, L.; Wang, Y.C.; Cai, J. Molecular cloning, expression, purification, and characterization of Bacillus subtilis hydrolyzed ginsenoside Rc of α-L-arabinofuranosidase in Escherichia coli. Arch. Microbiol. 2024, 206, 181. [Google Scholar] [CrossRef]
- Viborg, A.H.; Sorensen, K.I.; Gilad, O.; Steen-Jensen, D.B.; Dilokpimol, A.; Jacobsen, S.; Svensson, B. Biochemical and kinetic characterisation of a novel xylooligosaccharide-upregulated GH43 β-D-xylosidase/α-L-arabinofuranosidase (BXA43) from the probiotic Bifidobacterium animalis subsp. lactis BB-12. AMB Express 2013, 3, 56. [Google Scholar] [CrossRef]
- Wagschal, K.; Heng, C.; Lee, C.C.; Wong, D.W.S. Biochemical characterization of a novel dual-function arabinofuranosidase/xylosidase isolated from a compost starter mixture. Appl. Microbiol. Biot. 2009, 81, 855–863. [Google Scholar] [CrossRef]
- Huang, X.; Zhao, L. Mechanism of endophytes of medicinal plants in promoting the growth of host plants. Microbiol. China 2023, 50, 1653–1665. [Google Scholar] [CrossRef]
- Zhang, Q.; Gao, B.; Xiao, Y.; Yang, H.; Wang, Y.; Du, L.; Zhu, D. Purification and characterization of a novel β-glucuronidase precisely converts glycyrrhizin to glycyrrhetinic acid 3-O-mono-β-D-glucuronide from plant endophytic Chaetomium globosum DX-THS3. Int. J. Biol. Macromol. 2020, 159, 782–792. [Google Scholar] [CrossRef]
- Lin, W.; Jiang, Q.; Dong, Y.; Xiao, Y.; Wang, Y.; Gao, B.; Zhu, D. Plant endophytic fungi exhibit diverse biotransformation pathways of mogrosides and show great potential application in siamenoside I production. Bioresour. Bioprocess. 2014, 11, 42. [Google Scholar] [CrossRef] [PubMed]
- Dubey, A.; Malla, M.A.; Kumar, A.; Dayanandan, S.; Khan, M.L. Plants endophytes: Unveiling hidden agenda for bioprospecting toward sustainable agriculture. Crit. Rev. Biotechnol. 2020, 40, 1210–1231. [Google Scholar] [CrossRef] [PubMed]
- Gao, B.L.; Ma, Y.S.; Xiao, Y.W.; Wang, Y.; Pan, Y.H.; Zhu, D. Lignocellulolytic enzyme cocktail produced by plant endophytic Chaetomium globosum exhibits a capacity for high-efficient saccharification of raw rice straw. Ind. Crops Prod. 2023, 196, 116508. [Google Scholar] [CrossRef]
- Wang, Y.; Gao, B.L.; Li, X.X.; Zhang, Z.B.; Yan, R.M.; Yang, H.L.; Zhu, D. Phylogenetic diversity of culturable endophytic fungi in Dongxiang wild rice (Oryza rufipogon Griff), detection of polyketide synthase gene and their antagonistic activity analysis. Fungal Biol. 2015, 119, 1032–1045. [Google Scholar] [CrossRef] [PubMed]
- Pang, S.L.; Wang, Y.Y.; Wang, L.; Zhang, X.J.; Li, Y.H. The CBM91 module enhances the activity of β-xylosidase/α-L-arabinofuranosidase PphXyl43B from Paenibacillus physcomitrellae XB by adopting a unique loop conformation at the top of the active pocket. Int. J. Biol. Macromol. 2024, 266, 131275. [Google Scholar] [CrossRef] [PubMed]
- Bhadra, F.; Gupta, A.; Vasundhara, M.; Reddy, M.S. Endophytic fungi: A potential source of industrial enzyme producers. 3 Biotech 2022, 12, 86. [Google Scholar] [CrossRef]
- Park, H.J.; Kim, D.H.; Park, S.J.; Kim, J.M.; Ryu, J.H. Ginseng in traditional herbal prescriptions. J. Ginseng Res. 2012, 36, 225–241. [Google Scholar] [CrossRef] [PubMed]
- Christensen, L.P. Ginsenosides: Chemistry, biosynthesis, analysis, and potential health effects. In Advances in Food and Nutrition Research; Elsevier: Amsterdam, The Netherlands, 2008; Volume 55, pp. 1–99. [Google Scholar] [CrossRef]
- Shao, J.W.; Jiang, J.L.; Zou, J.J.; Yang, M.Y.; Chen, F.M.; Zhang, Y.J.; Jia, L. Therapeutic potential of ginsenosides on diabetes: From hypoglycemic mechanism to clinical trials. J. Funct. Foods 2019, 64, 103630. [Google Scholar] [CrossRef]
- Guo, Y.H.; Kuruganti, R.; Gao, Y. Recent advances in ginsenosides as potential therapeutics against breast cancer. Curr. Top. Med. Chem. 2019, 19, 2334–2347. [Google Scholar] [CrossRef]
- Lee, S.H.; Jung, B.H.; Kim, S.Y.; Lee, E.H.; Chung, B.C. The antistress effect of ginseng total saponin and ginsenoside Rg3 and Rb1 evaluated by brain polyamine level under immobilization stress. Pharmacol. Res. 2006, 54, 46–49. [Google Scholar] [CrossRef]
- Hu, B.Y.; Lu, T.J.; Chen, C.H.; Wang, S.J.; Hwang, L.S. Biotransformation of ginsenoside Rd in the ginseng extraction residue by fermentation with lingzhi (Ganoderma lucidum). Food Chem. 2013, 141, 4186–4193. [Google Scholar] [CrossRef]
- Renchinkhand, G.; Magsar, U.; Bae, H.C.; Choi, S.H.; Nam, M.S. Identification of β-glucosidase activity of Lentilactobacillus buchneri URN103L and its potential to convert ginsenoside Rb1 from Panax ginseng. Foods 2022, 11, 529. [Google Scholar] [CrossRef]
- Park, C.S.; Yoo, M.H.; Noh, K.H.; Oh, D.K. Biotransformation of ginsenosides by hydrolyzing the sugar moieties of ginsenosides using microbial glycosidases. Appl. Microbiol. Biotechnol. 2010, 87, 9–19. [Google Scholar] [CrossRef] [PubMed]
- Jiang, G.Y.; Yang, H.R.; Li, C.; Liu, N.; Ma, S.J.; Jin, B.X.; Yan, C.; Gong, H.D.; Li, J.Y.; Yan, H.C.; et al. Ginsenoside Rd alleviates early brain injury by inhibiting ferroptosis through cGAS/STING/DHODH pathway after subarachnoid hemorrhage. Free Radic. Bio. Med. 2024, 228, 299–318. [Google Scholar] [CrossRef] [PubMed]
- Hou, J.G.; Xue, J.J.; Lee, M.; Sung, C.K. Ginsenoside Rd as a potential neuroprotective agent prevents trimethyltin injury. Biomed. Rep. 2017, 6, 435–440. [Google Scholar] [CrossRef] [PubMed][Green Version]
- Ding, W.; Qin, X.D.; Zhou, L.J.; Ming, Z.X. Effect of Ginsenoside Rd on the biological characteristics of lung adenocarcinoma H1299 cell line. Indian J. Pharm. Sci. 2024, 86, 736. [Google Scholar] [CrossRef]
- Noh, K.H.; Son, J.W.; Kim, H.J.; Oh, D.K. Ginsenoside compound K production from ginseng root extract by a thermostable β-Glycosidase from Sulfolobus solfataricus. Biosci. Biotechnol. Biochem. 2009, 73, 316–321. [Google Scholar] [CrossRef]




| Substrate | Relative Activity (%) |
|---|---|
| ρ-Nitrophenyl-α-L-arabinofuranoside | 100 |
| ρ-Nitrophenyl-β-D-xylopyranoside | 97 ± 3.29 |
| p-Nitrophenyl β-D-glucuronide | 2 ± 0.46 |
| ρ-Nitrophenyl-β-D-glucopyranoside | 1 ± 0.15 |
| ρ-Nitrophenyl-β-D-galactopyranoside | 1 ± 0.23 |
| ρ-Nitrophenyl-β-D-mannopyranoside | 3 ± 0.56 |
| ρ-Nitrophenyl-α-L-rhamnopyranoside | 2 ± 0.32 |
| ρ-Nitrophenyl-α-L-arabinopyranoside | 4 ± 0.68 |
| CMC-Na | ND |
| Cellulose | ND |
| Avicel | ND |
| Xylan (Beech wood) | ND |
| Activity | Km (mM) | Vmax (μmol min−1 mg−1) | kcat (S−1) | kcat/Km (S−1 mM−1) |
|---|---|---|---|---|
| Arabinofuranosidase | 5.65 ± 1.67 | 486.47 ± 2.33 | 64.53 ± 3.93 | 11.42 ± 3.44 |
| Beta-Xylanase | 1.77 ± 1.27 | 542.65 ± 6.75 | 71.90 ± 3.95 | 40.62 ± 5.63 |
Disclaimer/Publisher’s Note: The statements, opinions and data contained in all publications are solely those of the individual author(s) and contributor(s) and not of MDPI and/or the editor(s). MDPI and/or the editor(s) disclaim responsibility for any injury to people or property resulting from any ideas, methods, instructions or products referred to in the content. |
© 2025 by the authors. Licensee MDPI, Basel, Switzerland. This article is an open access article distributed under the terms and conditions of the Creative Commons Attribution (CC BY) license (https://creativecommons.org/licenses/by/4.0/).
Share and Cite
Lu, Y.; Jiang, Q.; Dong, Y.; Ji, R.; Xiao, Y.; Zhu, D.; Gao, B. Characterization of a GH43 Bifunctional Glycosidase from Endophytic Chaetomium globosum and Its Potential Application in the Biotransformation of Ginsenosides. BioTech 2025, 14, 18. https://doi.org/10.3390/biotech14010018
Lu Y, Jiang Q, Dong Y, Ji R, Xiao Y, Zhu D, Gao B. Characterization of a GH43 Bifunctional Glycosidase from Endophytic Chaetomium globosum and Its Potential Application in the Biotransformation of Ginsenosides. BioTech. 2025; 14(1):18. https://doi.org/10.3390/biotech14010018
Chicago/Turabian StyleLu, Yao, Qiang Jiang, Yamin Dong, Runzhen Ji, Yiwen Xiao, Du Zhu, and Boliang Gao. 2025. "Characterization of a GH43 Bifunctional Glycosidase from Endophytic Chaetomium globosum and Its Potential Application in the Biotransformation of Ginsenosides" BioTech 14, no. 1: 18. https://doi.org/10.3390/biotech14010018
APA StyleLu, Y., Jiang, Q., Dong, Y., Ji, R., Xiao, Y., Zhu, D., & Gao, B. (2025). Characterization of a GH43 Bifunctional Glycosidase from Endophytic Chaetomium globosum and Its Potential Application in the Biotransformation of Ginsenosides. BioTech, 14(1), 18. https://doi.org/10.3390/biotech14010018
