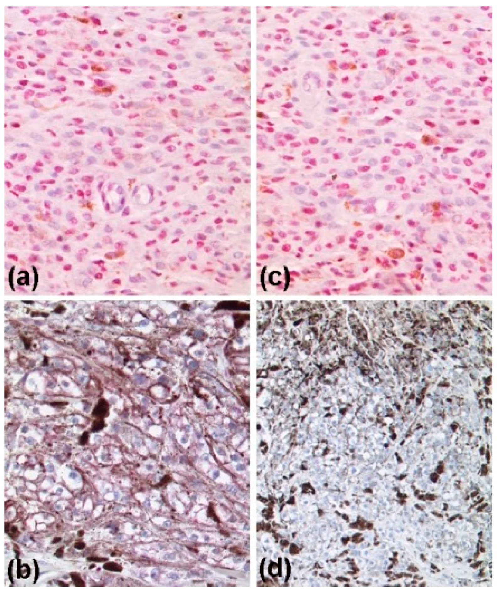
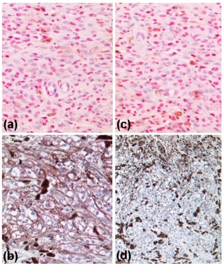
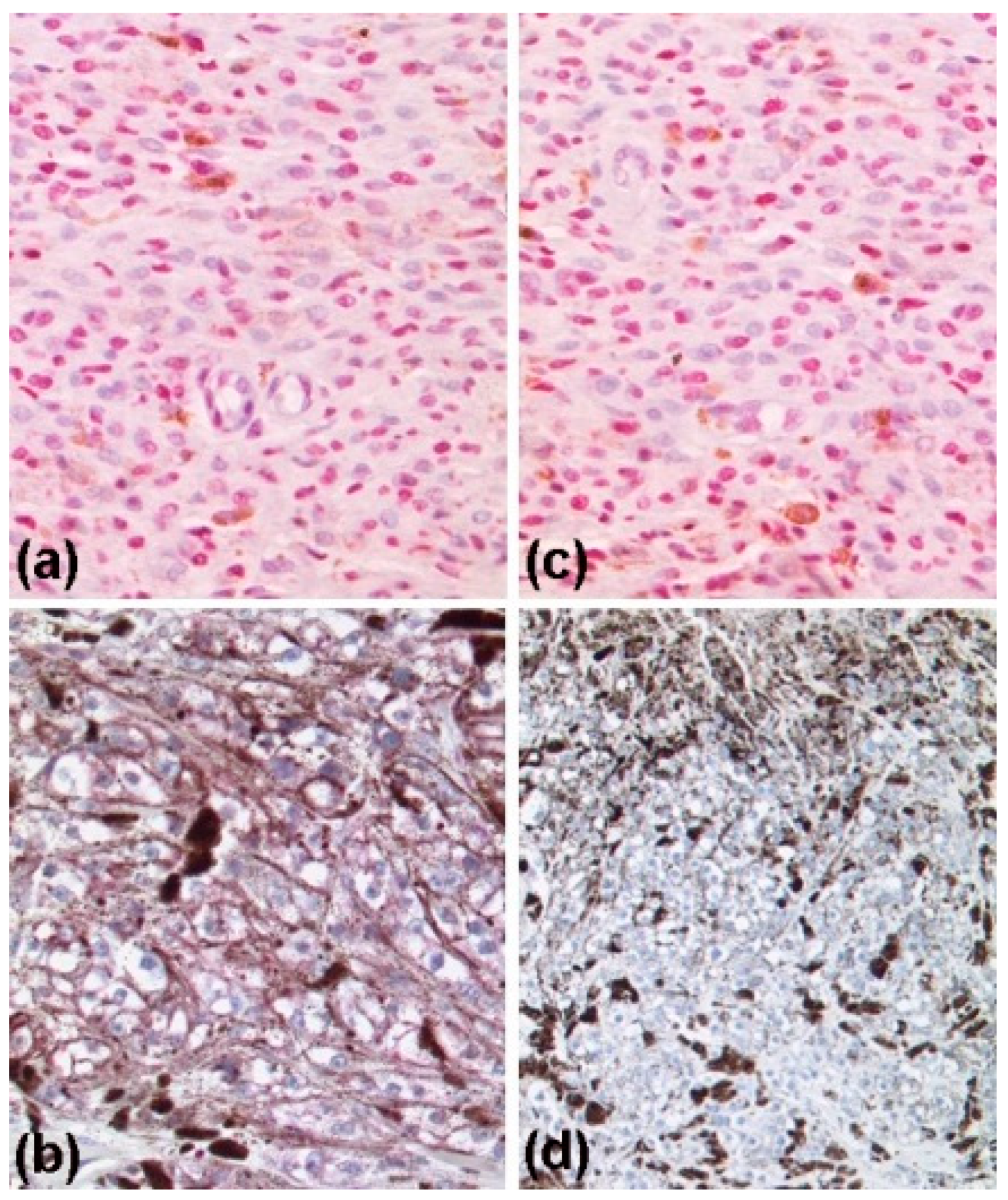
Rapid Melanoma Death of an Adult Male with Congenital Bathing Trunk Nevus despite Initiation of Combination Immunotherapy
Author Contributions
Funding
Informed Consent Statement
Data Availability Statement
Conflicts of Interest
References
- Boyers, L.N.; Karimkhani, C.; Stevens, E.; High, W.A. Innumerable nevi with giant congenital melanocytic nevus clinically mimicking neurofibromatosis: A diagnostic challenge. JAAD Case Rep. 2015, 1, 241–243. [Google Scholar] [CrossRef] [PubMed]
- Lim, Y.; Shin, H.T.; Choi, Y.; Lee, D.Y. Evolutionary processes of melanomas from giant congenital melanocytic nevi. Pigment. Cell Melanoma Res. 2020, 33, 318–325. [Google Scholar] [CrossRef] [PubMed]
- Scard, C.; Aubert, H.; Wargny, M.; Martin, L.; Barbarot, S. Risk of melanoma in congenital melanocytic nevi of all sizes: A systematic review. J. Eur. Acad. Derm. Venereol. 2023, 37, 32–39. [Google Scholar] [CrossRef] [PubMed]
- Ricci, C.; Ambrosi, F.; Grillini, M.; Serra, M.; Melotti, B.; Gruppioni, E.; Altimari, A.; Fiorentino, M.; Dika, E.; Lambertini, M.; et al. Next-generation sequencing revealing TP53 mutation as potential genetic driver in dermal deep-seated melanoma arising in giant congenital nevus in adult patients: A unique case report and review of the literature. J. Cutan. Pathol. 2020, 47, 1164–1169. [Google Scholar] [CrossRef] [PubMed]
- Busam, K.J.; Shah, K.N.; Gerami, P.; Sitzman, T.; Jungbluth, A.A.; Kinsler, V. Reduced H3K27me3 Expression Is Common in Nodular Melanomas of Childhood Associated with Congenital Melanocytic Nevi but Not in Proliferative Nodules. Am. J. Surg. Pathol. 2017, 41, 396–404. [Google Scholar] [CrossRef] [PubMed]
- Pavlova, O.; Fraitag, S.; Hohl, D. 5-Hydroxymethylcytosine Expression in Proliferative Nodules Arising within Congenital Nevi Allows Differentiation from Malignant Melanoma. J. Investig. Dermatol. 2016, 136, 2453–2461. [Google Scholar] [CrossRef] [PubMed]
- Gambichler, T.; Sand, M.; Skrygan, M. Loss of 5-hydroxymethylcytosine and ten-eleven translocation 2 protein expression in malignant melanoma. Melanoma Res. 2013, 23, 218–220. [Google Scholar] [CrossRef] [PubMed]
- Aimaier, R.; Chung, M.; Zhu, H.; Yu, Q. Spatiotemporal expression of NRAS and occurrence of giant congenital melanocytic nevi. Exp. Dermatol. 2022, 31, 582–585. [Google Scholar] [CrossRef] [PubMed]




Disclaimer/Publisher’s Note: The statements, opinions and data contained in all publications are solely those of the individual author(s) and contributor(s) and not of MDPI and/or the editor(s). MDPI and/or the editor(s) disclaim responsibility for any injury to people or property resulting from any ideas, methods, instructions or products referred to in the content. |
© 2023 by the authors. Licensee MDPI, Basel, Switzerland. This article is an open access article distributed under the terms and conditions of the Creative Commons Attribution (CC BY) license (https://creativecommons.org/licenses/by/4.0/).
Share and Cite
Gambichler, T.; Noldes, K.; Arafat, Y.; Neid, M.; Rütten, A.; Boms, S. Rapid Melanoma Death of an Adult Male with Congenital Bathing Trunk Nevus despite Initiation of Combination Immunotherapy. Dermato 2023, 3, 51-55. https://doi.org/10.3390/dermato3010004
Gambichler T, Noldes K, Arafat Y, Neid M, Rütten A, Boms S. Rapid Melanoma Death of an Adult Male with Congenital Bathing Trunk Nevus despite Initiation of Combination Immunotherapy. Dermato. 2023; 3(1):51-55. https://doi.org/10.3390/dermato3010004
Chicago/Turabian StyleGambichler, Thilo, Kathrin Noldes, Yousef Arafat, Matthias Neid, Arno Rütten, and Stefanie Boms. 2023. "Rapid Melanoma Death of an Adult Male with Congenital Bathing Trunk Nevus despite Initiation of Combination Immunotherapy" Dermato 3, no. 1: 51-55. https://doi.org/10.3390/dermato3010004
APA StyleGambichler, T., Noldes, K., Arafat, Y., Neid, M., Rütten, A., & Boms, S. (2023). Rapid Melanoma Death of an Adult Male with Congenital Bathing Trunk Nevus despite Initiation of Combination Immunotherapy. Dermato, 3(1), 51-55. https://doi.org/10.3390/dermato3010004

