Next Article in Journal
Sustainable Industrial Approaches: Utilizing Organic Acid for Purity Enhancement in Green Silica Production
Previous Article in Journal
Assessment of Cosine Similarity for Acoustic Emission-Based Tool Condition Monitoring in Milling Processes
 
 
Font Type:
Arial Georgia Verdana
Font Size:
Aa Aa Aa
Line Spacing:
Column Width:
Background:
Proceeding Paper

Comparative Study of CNN Architectures for Brain Tumor Classification Using MRI: Exploring GradCAM for Visualizing CNN Focus †

Engineering Faculty, Universidad San Ignacio de Loyola, Lima 15024, Peru
*
Author to whom correspondence should be addressed.
Presented at the III International Congress on Technology and Innovation in Engineering and Computing, Lima, Peru, 20–24 November 2023.
Eng. Proc. 2025, 83(1), 22; https://doi.org/10.3390/engproc2025083022
Published: 5 February 2025

Abstract

Brain cancer, with its varied nature, demands early detection for timely treatment. This study aims to refine the diagnosis of brain tumors using convolutional neural network algorithms. Currently, diagnostic accuracy is limited, therefore, our approach uses five different CNN architectures to accurately identify and classify affected brain regions, specifically glioma, meningioma, or pituitary tumors. The AlexNet architecture remarkably achieved training accuracy (99.84%) and validation accuracy (95.19%). By employing GradCAM, heat maps visually clarify the results. This research aims to improve the diagnosis of brain tumors using advanced CNN algorithms. In particular, the success of AlexNet indicates greater diagnostic and treatment potential, promising better outcomes for patients.

1. Introduction

Cancer, particularly brain and central nervous system tumors, has been a major focus in scientific and medical research. In 2019, over 14,000 individuals in the U.S. died due to these conditions, as reported by the CDC (Centers for Disease Control and Prevention) [1]. A brain tumor is an abnormal growth of cells in the brain that can either be benign (non-cancerous) or malignant (cancerous). Benign tumors, in most cases, do not represent a real danger since they do not spread or disseminate to nearby organs, invading or compromising the regions localized around them. However, malignant tumors are usually deeply dangerous, growing quickly and irregularly and spreading around all they have next to them, contaminating following organs or cell structures if they are not treated promptly [2]. This is a painful process which, to this day, has no cure. Early detection and identifying potential causes of brain tumors are critical to maximize patient life expectancy. Techniques like magnetic resonance imaging (MRI) and computerized tomography (CT) provide detailed brain images for timely diagnosis and effective treatments.
The study by Carlos González [3] showcased considerable variability in the radiologists’ conclusions, ranging from 5% to 9%. Surprisingly, even the same radiologist may differ by up to 20% in their interpretations, emphasizing the impact of human error. AI and computer vision tools show potential in mitigating these errors, offering objective image assessments, and minimizing human subjectivity in medical imaging, thereby enhancing diagnoses through standardized protocols and continuous training.
Currently, computer vision techniques using artificial intelligence (AI) are being widely employed for a variety of tasks including image classification, object detection, semantic segmentation, and facial recognition, among others. These networks are capable of learning to identify relevant visual features in images from large training datasets. Once trained, they can make accurate and automated predictions on new images.
One of the most promising techniques in AI is convolutional neural networks (CNNs). Artificial neural networks provide a significant advantage in computer-based image recognition. For example, they are fault-tolerant systems, adaptable to the working environment, and improve the classification and prediction functions of two-dimensional data, automatically extracting features [4]. These neural networks aim to emulate the functioning of biological neural networks through an interconnected system of artificial neurons. Regarding CNNs, they are designed based on the visual cortex of the human brain and their applications are diverse, for example, in automation and bioinformatics, the science that studies various biological processes at the molecular level. Currently, it is the first choice when it comes to medical diagnosis through radiography, magnetic resonance, and computerized tomography analysis and comparison such as the early detection of symptoms and risk factors of COVID-19 [5]. These are even being implemented in agriculture, where the transfer learning (TL) technique aims to provide an effective way of identifying and classifying different types of diseases in plants that affect, for example, crop plants [6].

2. Bibliographical Study

Numerous studies have been conducted on the detection and subsequent classification of brain tumors using algorithms involving CNNs. Some of them are presented below.
Sunanda, Riaz, and Nishat [7] proposed a segmentation system using Gaussian filters with kernel masks and histogram equalization. After this process, they implemented a CNN with three convolutional layers and two pooling layers to achieve the proper classification of three types of brain tumors: glioma, meningioma, and pituitary tumors. They used a database of 3064 images that contained the three tumor types, and the model completed the process with an accuracy of 94.39% and an average precision of 93.33%.
Deepak and Ameer [8] implemented a CNN model based on the “Google Net” architecture using a technique known as transfer learning. This involved extracting features and then evaluating the classification using SVM and KNN algorithms. In their work, they performed preprocessing on the images, which included normalization and resizing of the images from the database, which contained 3064 images, the same as the previously mentioned article. In the end, they achieved an accuracy of 98%, demonstrating high efficacy even with a limited training image database, thanks to the application of transfer learning for the neural networks.
To solve the problem of classifying pituitary, meningioma, and glioma tumors, a deep pre-trained CNN model was used by Swati (et al.) [9] in conjunction with a fine-tuning strategy based on transfer learning. Prior to classification, the intensities of the images were normalized. Then, the CNN was applied using the VGG-19 architecture along with the transfer learning method. The proposed method was evaluated on a dataset of 3064 reference MRI images from 233 patients and achieved an average accuracy of 94.82%.
Díaz-Pernas and colleagues [10] introduced an automatic brain tumor classification and segmentation model using a deep CNN with a multiscale approach. Their method operated on MRIs featuring three tumor types and eliminated the need for preprocessing, achieving an impressive average accuracy of 97.3% on a dataset containing 3064 MRI images.
Sergaki et al. developed a custom CNN for glioma classification from 572 MRIs without transfer learning, using both their model and pre-trained VGG16Net. Their dataset from St. George General Hospital and BraTS, split into 382 training and 190 testing images, achieved 97% accuracy, outperforming VGG16Net significantly [11].
The main purpose of this article is to make a significant contribution to the current field by providing a comprehensive and detailed analysis of various convolutional neural network architectures used for the classification of specific brain tumors such as gliomas, meningiomas, and pituitary tumors. To conduct this research, a highly reliable and widely recognized database known as the Brain Tumor MRI Dataset was used, which is available on the online platform Kaggle [12].
Various evaluation metrics like accuracy, sensitivity, and specificity gauge the performance of the neural network architectures, validated through repeated experiments for robustness. Additionally, the Grad-CAM technique aids in decision-making by generating activation maps, highlighting crucial image areas for accurate classification by the chosen convolutional neural network [13].
This comparative analysis of CNN architectures for brain tumor classification is expected to contribute to the advancement of neuroscience and oncology research. The findings could improve diagnoses and treatments, benefiting medical care. Particularly noteworthy is the article’s uniqueness in training CNNs without prior segmentation.

3. Methods

3.1. Magnetic Resonance Base (MR)

The paper employed the Brain Tumor MRI Dataset from Kaggle, encompassing 7023 images, with 4117 utilized for CNN training including glioma (1321), meningioma (1339), and pituitary tumors (1457). These grayscale images with intensity values ranging from 0 to 255 depict cancerous tumors. Assessing real effectiveness may differ between training databases and real-world studies due to variations in tumor structures and other factors [14]. Figure 1 show examples of tumors.

3.2. Proposed System Model

In the present article, CNNs will serve as a support for radiologists by segmenting and highlighting tumors that are not always easy to detect. From the previously mentioned database, approx. 30% of images was extracted for each type of tumor. The block diagram for the proposed analysis system is shown in Figure 2.
  • RM Image Input: An image from the database’s 4117 selected images was input into the program using MATLAB for system implementation. Specifically chosen images encompassed diverse views of the human skull for CNN demonstration.
  • Image Resizing: To find the region of interest in each input image, it was conveniently resized for the purpose of simplification and accuracy. For this, the Imresize function was used, which allows a matrix or input image to acquire a new size for input into the neural networks. The assigned value for the resulting square matrix size was 120.
  • Convolutional Neural Networks: Convolutional neural networks (CNNs, for its acronym in English) stand as vital tools in computerized image analysis, characterized by their structured layers and connections tailored for spatial data processing. These architectures integrate convolutional filters across network layers, refining and enhancing outcomes, and are specifically devised for image and matrix-format data analysis.
Here are some popular CNN architectures implemented in this paper:
LeNet5-like: LeNet-5, introduced in 1998 by LeCun et al., marked the early era of CNNs. Designed for recognizing handwritten digits on bank checks [15], this 7-layer architecture laid a foundational role in visual recognition. Its success catalyzed widespread research and applications of CNNs across various domains, pioneering the field’s advancements.
AlexNet: This was a groundbreaking architecture developed by Alex Krizhevsky in 2012, leveraging deep learning in image classification tasks [16]. The architecture comprised five convolutional and three fully connected layers, augmenting data by perturbing original samples including lighting and size changes. Dropout regularization challenged the network by excluding neurons. While newer CNN models evolve for improved image classification, its moderate depth allows for shorter training times despite its age [15].
VGG Net: Renowned for its simplicity and depth, and comprises five convolutional layers using 3 × 3 filters with Re LU activation. With a low error rate of 7.2%, its publicly available weight configuration facilitates broad adaptation and implementation in diverse projects.
ZFN Net: This architecture, named after its developers Zeiler and Fergus in 2013 has a very similar structure to AlexNet but improves its accuracy. A technique known as deconvolution is used, which reverses the processes to visualize the layers. The subsequent layers continue learning features from more general to more detailed as the depth of the layer increases. ZFN Net intuitively demonstrates how these networks work, providing a new way to understand them and improve their effectiveness [15].
These are just some of the popular architectures in convolutional neural networks. Since then, many other variants and more advanced architectures have been proposed, such as ZFN net, Mobile Net, and Efficient Net, among others, to address different challenges in image processing and other related tasks. For the processing and necessary feedback, we used five architectures that were tested with the sample from the available database: AlexNet, LeNet, V GG Net 16, LeNet5-like, and ZFN Net.

3.3. Classification and Review of Architectures’ Results

A total of images was selected per tumor type, resulting in a total of 4117 images. To evaluate the process, these images were divided into 920 images for training for each tumor type, however, for validation, 401 images were used for glioma, 419 images for meningioma, and 537 images for pituitary tumors. The procedure was repeated four times to find the version with the highest accuracy percentage. The details of the process and the respective results for the corresponding architectures are shown below:
  • AlexNet: After completing the fourth repetition of training and subsequent validation of the CNN, a training accuracy of 99.93% was achieved and a validation accuracy of 96.17%. The best version obtained in this architecture was version number 1. Regarding training, the algorithm correctly classified 920/920 for gliomas. For meningiomas, it was 919 images. In the case of pituitary gland tumors, it correctly identified 919/920 images. Moving on to the validation phase, 372/402 glioma images were correctly classified. For meningiomas, the algorithm accurately predicted 403/419 images. Finally, in the case of pituitary tumors, it correctly identified 530/537 images.
  • LeNet: After completing the fourth repetition of training and subsequent validation of the CNN, a training accuracy of 100% was achieved, while a validation accuracy of 90.1% was observed. The best version obtained in this architecture was version number 1. Regarding training, the algorithm correctly classified all 920 for gliomas. For meningiomas, 919/920 images were correct, and in the case of pituitary gland tumors, it correctly identified all 920 images. This resulted in a final match of 100% between the predictions made by the network and the actual labels. Moving on to the validation phase, 366/ 401 glioma images were correctly classified. For meningiomas, the algorithm accurately predicted 330/419 images. Finally, in the case of pituitary tumors, it correctly identified 527/ 537 images. This led to a validation accuracy of 90.1% in terms of matching the real labels with the predictions made by the network.
  • LeNet 5-like: After completing the fourth repetition of training and subsequent validation of the CNN, a training accuracy of 100% was achieved while a validation accuracy of 90.13% was observed. The best version obtained in this architecture was version number 1. Regarding training, the algorithm correctly classified all 920 selected images for gliomas. For meningiomas, the algorithm accurately predicted 920 images. In the case of pituitary gland tumors, it correctly identified all 920 images. This resulted in a final match of 100% between the predictions made by the network and the actual labels. Moving on to the validation phase, 363/401 glioma images were correctly classified. For meningiomas, the algorithm accurately predicted 333/419 images. Finally, in the case of pituitary tumors, it correctly identified 527/537 images. This led to a validation accuracy of 90.13% in terms of matching the real labels with the predictions made by the network.
  • VGG Net: After completing the fourth repetition of training and subsequent validation of the CNN, a training accuracy of 99.4% was achieved, while a validation accuracy of 94.8% was observed. The best version obtained in this architecture was version number 1. Regarding training, the algorithm correctly classified 919/920 selected images for gliomas. For meningiomas, the algorithm accurately predicted 905/920 images. In the case of pituitary gland tumors, it correctly identified 920/920 images. This resulted in a final match of 99.42% between the predictions made by the network and the actual labels. Moving on to the validation phase, 385/401 glioma images were correctly classified. For meningiomas, the algorithm accurately predicted 373/419 images. Finally, in the case of pituitary tumors, it correctly identified 528/537 images. This led to a validation accuracy of 94.8% in terms of matching the real labels with the predictions made by the network.
  • ZFN Net: After completing the fourth repetition of training and subsequent validation of the CNN, a training accuracy of 100% was achieved, while a validation accuracy of 96.32% was observed. The best version obtained in this architecture was version number 1. Regarding training, the algorithm correctly classified all 920 selected images for gliomas. For meningiomas, the algorithm accurately predicted 920 images. In the case of pituitary gland tumors, it correctly identified all 920 images. This resulted in a final match of 100% between the predictions made by the network and the actual labels. Moving on to the validation phase, 373/401 glioma images were correctly classified. For meningiomas, the algorithm accurately predicted 401/419 images. Finally, in the case of pituitary tumors, it correctly identified 533/537 images. This led to a validation accuracy of 96.32% in terms of matching the real labels with the predictions made by the network.

3.4. CNN Explanation with GradCam Technique

Burak [17] effectively utilized GradCAM to detect tumor areas in MRI scans from their database, producing informative heat maps that accurately highlighted the regions of interest (tumors). With this technique, we were able to visualize and try to understand which specific parts of the images are crucial for the accurate classification performed by the CNN that achieved the best results in our project. By using GradCAM, we generated heatmaps that highlighted the regions in the images that had the most influence on the classification decision. To explore the regions of interest in each tumor category, we applied the GradCAM technique to three representative images of each tumor type in our dataset. The results revealed the specific regions in each image that influenced the final classification made by the neural network. In Figure 3, Alex Net’s GradCAM analysis revealed its focus on specific regions, notably the skull and tumors, vital for accurate tumor classification. The highlighted areas, depicted in intense red tones, offer key visual cues for tumor identification. This correlation between tumor position relative to the skull and CNN’s classification implies significance in tumor type classification.

4. Results

Table 1 presents the results of the training and validation algorithms for the five CNN architectures used in this research. It compares the four versions of each CNN, and it is evident that the best result was achieved by the AlexNet architecture with an average training accuracy of 99.84% and an average validation accuracy of 95.19%. Next, we compared the performance of our method with the articles mentioned in the specific problem of brain tumor classification including gliomas, meningiomas, and pituitary tumors.
Table 2 presents a comprehensive comparison of the number of images, epochs, and batch sizes used in the top-performing architectures from each article. An essential distinction to emphasize is that our method was developed using a distinct database comprising 4117 images, while the related works listed in the table relied on an MRI database of 3064 images from 233 patients, covering three types of tumors. Consequently, the superior performance of our algorithm in this article can be attributed to the utilization of a different MRI database. Moreover, it is crucial to note that Table 2 illustrates that the iterations (30 × 50), representing the number of epochs and batch size, aligned with the range employed in the articles cited as the state-of-the-art. This consistency in parameter selection ensures a proper and fair comparison of our results with prior research, further bolstering the validity and relevance of our study.
Table 3 provides a comprehensive comparison of the four aforementioned articles, alongside our own research, showcasing the accuracy for each tumor type. Notably, our proposed method attained the highest accuracy when employing version 1 of the convolutional neural network architecture, specifically, the AlexNet architecture. The table solely encompasses accuracy as a performance metric, as it is a common and widely accepted measure utilized in all related works, apart from the ones mentioned. Moreover, the table shows that our article exhibited the highest percentage of accuracy in classifying both meningioma and pituitary tumor types compared to the other referenced articles. These remarkable findings demonstrate a significant advantage in terms of effectiveness and precision in the field of brain tumor classification using CNNs.
In summary, specialists working with medical images can utilize the GradCAM technique as a valuable tool to enhance clinical decision-making in tumor diagnosis and treatment. Considering that specialists may have a human error rate estimated at 5% to 9%, GradCAM plays a crucial role in increasing the precision and effectiveness of their evaluations. By integrating GradCAM into their analysis, specialists can gain a clearer visualization into regions of interest within medical images, enabling them to identify tumor-related features and anomalies with greater accuracy. This technology provides a more detailed and objective visual understanding, thereby compensating for potential human errors and reducing the likelihood of misdiagnoses.

5. Discussion

This article demonstrates CNN utilization for brain tumor classification using the Grad-CAM technique, and our approach, using a database of 4117 images, differs notably from the related works in Table 2, which relied on databases with fewer images. This distinction likely contributed to our algorithm’s superior performance. Additionally, aligning with prior research, our iterations (30 × 50) for epochs and batch size ensured a fair comparison, enhancing the validity and relevance of our findings.
Our table highlights accuracy as our primary metric, showcasing superior accuracy in meningioma and pituitary tumor classification. Unlike referenced works employing additional processes like preprocessing, our CNN-based approach avoids prior segmentation. For instance, Sunanda’s method includes Gaussian filter and histogram equalization, while AlexNet employs five convolutional layers compared to three. Additionally, in Deepak’s article, min–max normalization was utilized for image processing. They favored Google Net’s superiority over AlexNet in their background, but our findings contradict this claim. In Yang’s article [18,19], the results showed Google Net as the best, however, it is worth noting that this has fewer parameters compared to AlexNet because it only comprises two convolutional layers unlike AlexNet. In Swati’s article, they also applied the min–max normalization processing technique, and the best result they obtained was with the VGG 19 CNN, which has 16 convolutional layers, making it much larger than the network we used; however, it also indicates a longer training time for that network. They also compared two other networks, namely Alex Net and VGG 16. They mentioned that the former is relatively shallow because it did not yield good results. Nevertheless, it is important to note that the choice of parameters plays a significant role. The CNN-based method by Diaz-Pernas mirrored ours without preprocessing but employed a three-layer CNN. While Sergaki et al.’s method was not included in the final table since they had a binary classification, their work emphasizes that high accuracy in image segmentation does not always necessitate preprocessing.
In summary, specialists working with medical images can utilize the GradCAM technique as a valuable tool to enhance clinical decision-making in tumor diagnosis and treatment. Considering that specialists may have a human error rate estimated at 5% to 9%, GradCAM plays a crucial role in increasing the precision and effectiveness of their evaluations. By integrating GradCAM into their analysis, specialists can gain clearer visualizations into regions of interest within medical images, enabling them to identify tumor- features and anomalies with greater accuracy. This technology pro-vides a more detailed and objective visual understanding, thereby compensating for potential human errors and reducing the likelihood of misdiagnoses.

6. Conclusions

In conclusion, CNN architectures have proven to be highly efficient and accurate in the classification of medical images, as demonstrated in this project with the use of magnetic resonance imaging (MRI) images. By training the CNN with a dataset of 4117 images for each tumor type and using a 70% training and 30% validation approach, a high percentage of accuracy was achieved in the classification.
The use of CNN in computer vision can automate and streamline the process of classifying medical images, providing consistent and reliable results, considering that a specialist in diagnostics through medical images has an accuracy of about 91% to 95%. The ability of CNNs to learn and extract relevant features from images has proven to be essential in achieving accurate classification and distinguishing between different types of tumors in MRI. The application of CNNs in this project has demonstrated their potential to enhance precision and efficiency in medical diagnosis, providing valuable support to healthcare professionals. This technology offers the possibility of early disease detection and more informed decision-making in patient treatment.
Regarding the limitations of the article, we acknowledge that we did not incorporate new techniques. However, to address this, we intend to introduce hyperparameters to optimize the learning process of the networks, as suggested by Sergaki et al. Additionally, we plan to implement ROC curve analysis for tumor identification and use other metrics such as sensitivity and specificity. Furthermore, we are considering modifying the network with new processes and employing cross-validation to enhance its performance in future research works and tasks.

Author Contributions

Conceptualization, A.C., W.B. and A.A.; methodology, A.C., W.B. and A.A.; software, A.C. and W.B.; validation, A.C. and A.A.; formal analysis, A.C. and A.A.; investigation, A.C., W.B. and A.A.; resources, A.C., W.B. and A.A.; data curation, A.C., W.B. and A.A.; writing—original draft preparation, A.C., and W.B.; writing—review and editing, A.C., W.B. and A.A.; visualization, A.C., W.B. and A.A; supervision, A.A.; project administration, A.C., W.B. and A.A. All authors have read and agreed to the published version of the manuscript.

Funding

This research received no external funding.

Institutional Review Board Statement

Not applicable.

Informed Consent Statement

Not applicable.

Data Availability Statement

Data can be available from the corresponding author upon request.

Conflicts of Interest

The authors declare no conflict of interest.

References

  1. Statista. Available online: https://www.statista.com/statistics/533863/brain-and-nervous-system-cancer-death-rate-in-us/ (accessed on 10 October 2023).
  2. NHS Inform. Available online: https://www.nhsinform.scot/illnesses-and-conditions/cancer/cancer-types-in-adults/malignant-brain-tumour-cancerous (accessed on 14 December 2023).
  3. González, C.M. Errores en Radiología: Nueva clasificación. Rev. Col. Radiol. 2016, 27, 4407–4416. [Google Scholar]
  4. Rajinikanth, V.; Kadry, S.; Nam, Y. Convolutional-Neural-Network Assisted Segmentation and SVM Classification of Brain Tumor in Clinical MRI Slices. Inf. Technol. Control 2021, 50, 342–356. [Google Scholar] [CrossRef]
  5. Iparraguirre, O.; Guevara, V.; Paredes, O.R.; Sierra, F.; Zapata, J.; Cabanillas, M. Convolutional Neural Networks with Transfer Learning for Pneumonia Detection. Int. J. Adv. Comp. Sci. Appl. 2022, 13, 544–551. [Google Scholar]
  6. Iparraguirre-Villanueva, O.; Guevara-Ponce, V.; Torres-Ceclén, C.; Alvarado, J.F.R.; Castro-Leon, G.; Roque-Paredes, O.; Zapata-Paulini, J.E.; Cabanillas-Carbonell, M.A. Disease Identification in Crop Plants based on Convolutional Neural Networks. Int. J. Adv. Comp. Sci. Appl. 2023, 14, 519–528. [Google Scholar] [CrossRef]
  7. Das, S.; Aranya, O.; Labiba, N. Brain Tumor Classification Using Convolutional Neural Network. In Proceedings of the 1st International Conference on Advances in Science, Engineering and Robotics Technology, Dhaka, Bangladesh, 3–5 May 2019. [Google Scholar]
  8. Deepak, S.; Ameer, P.M. Brain Tumor Classification Using Deep CNN Features via Transfer Learning. Comput. Biol. Med. 2019, 111, 103345. [Google Scholar] [CrossRef]
  9. Swati, Z.N.K.; Zhao, Q.; Kabir, M.; Ali, F.; Ali, Z.; Ahmed, S.; Lu, J. Brain Tumor Classification for MR Images Using Transfer Learning and Fine-tuning. Comput. Med. Imaging Graph. 2019, 75, 34–46. [Google Scholar] [CrossRef] [PubMed]
  10. Diaz, F.J.; González, D.; Martínez, M.; Antón, M. A Deep Learning Approach for Brain Tumor Classification and Segmentation Using a Multiscale Convolutional Neural Network. Healthcare 2021, 9, 153. [Google Scholar] [CrossRef]
  11. Papadomanolakis, T.; Sergaki, E.S.; Polydorou, A.A.; Krasoudakis, A.G.; Makris-Tsalikis, G.N.; Polydorou, A.A.; Afentakis, N.M.; Athanasiou, S.A.; Vardiambasis, I.O.; Zervakis, M.E. Tumor Diagnosis against Other Brain Diseases Using T2 MRI Brain Images and CNN Binary Classifier and DWT. Brain Sci. 2023, 13, 348. [Google Scholar] [CrossRef] [PubMed]
  12. Msoud Nickparvar, Kaggle. 2021. Available online: https://www.kaggle.com/datasets/masoudnickparvar/brain-tumor-mri-dataset/ (accessed on 3 November 2023).
  13. Selvaraju, R.; Cogswell, M.; Das, A.; Vedantam, R.; Parikh, D.; Batra, D. Grad-CAM: Visual Explanations from Deep Networks via Gradient-Based Localization. In Proceedings of the IEEE International Conference on Computer Vision (ICCV), Venice, Italy, 22–29 October 2017. [Google Scholar]
  14. Cornell University. Available online: https://arxiv.org/abs/1207.0580v1 (accessed on 8 November 2023).
  15. Moreno, L. Análisis Comparativo de Arquitecturas de Redes Neuronales para la Clasificación de Imágenes. Mastering in Artificial Intelligence, Universidad Internacional de La Rioja (UNIR), Logroño, Spain, January 2020. [Google Scholar]
  16. Krishevsky, A.; Sutskever, I.; Hinton, G. ImagNet Classification with Deep Convolutional Neural Networks. Comun. ACM 2017, 60, 84–90. [Google Scholar] [CrossRef]
  17. Burak, T. Attention Deep Feature Extraction from Brain MRIs in Explainable Mode: DGXAINet. Diagnostics 2023, 13, 859. [Google Scholar] [CrossRef]
  18. Xie, Y.; Zaccagna, F.; Rundo, L.; Testa, C.; Agati, R.; Lodi, R.; Manners, D.N.; Tonon, C. Convolutional Neural Network Techniques for Brain Tumor Classification (from 2015 to 2022): Review, Challenges, and Future Perspectives. Diagnostics 2022, 12, 1850. [Google Scholar] [CrossRef]
  19. Yang, Y.; Yan, L.-F.; Zhang, X.; Han, Y.; Nan, H.-Y.; Hu, Y.-C.; Hu, B.; Yan, S.-L.; Zhang, J.; Cheng, D.-L.; et al. Glioma Grading on Conventional MR Images: A Deep Learning Study With Transfer Learning. Front. Neurosci. 2018, 12, 804. [Google Scholar] [CrossRef] [PubMed]
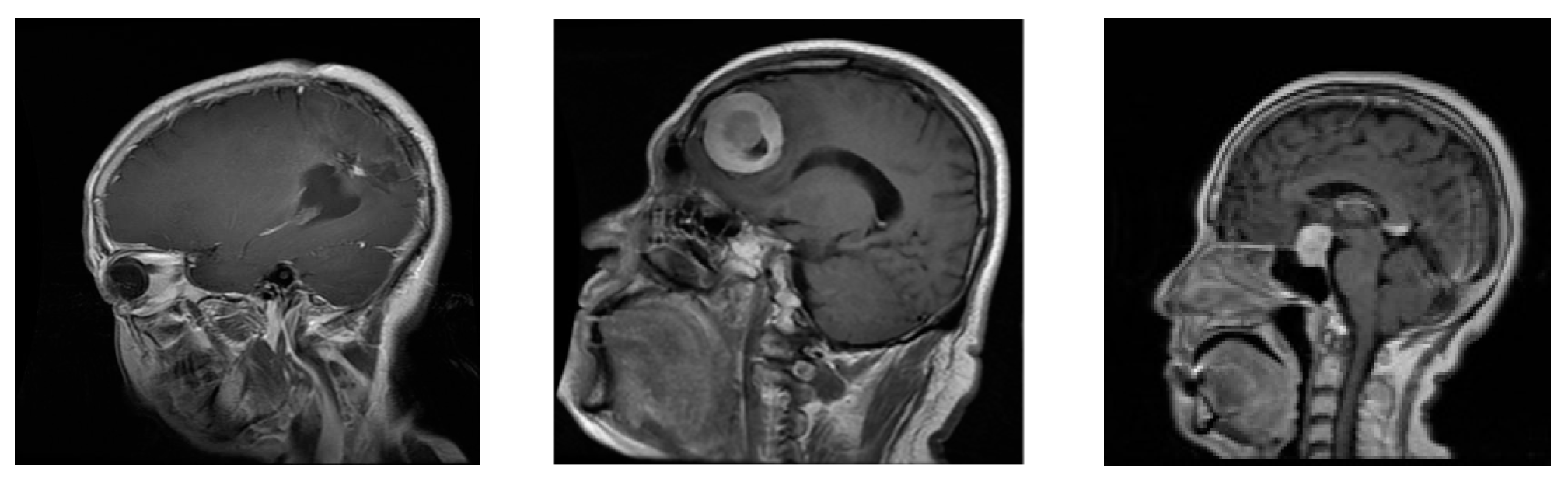
Figure 1. RM images of a glioma on the left, meningioma in the center, and pituitary on the right.
Figure 1. RM images of a glioma on the left, meningioma in the center, and pituitary on the right.
Engproc 83 00022 g001
Figure 2. Machine learning diagram.
Figure 2. Machine learning diagram.
Engproc 83 00022 g002
Figure 3. RMI’s image heat map for a (a) glioma, (b) meningioma, and (c) pituitary.
Figure 3. RMI’s image heat map for a (a) glioma, (b) meningioma, and (c) pituitary.
Engproc 83 00022 g003
Table 1. Architecture comparison results.
Table 1. Architecture comparison results.
ArchitectureVTrainingTestAverage TrainingAverage Test
Alex Netv199.9396.1799.8495.19
v299.8695.87
v399.6094.62
v499.9694.10
LeNetv199.9690.1399.9789.72
v299.9389.02
v310089.68
v410090.05
LeNet5-likev110090.1399.9689.45
v299.9389.39
v399.9688.87
v499.9389.39
VGG Net16v199.4294.7798.7392.78
v299.7193.29
v397.9091.53
v497.9091.53
ZFN Netv110096.3298.8495.12
v210096.02
v395.5394.55
v499.8293.59
Table 2. Comparison of parameters with related works.
Table 2. Comparison of parameters with related works.
Related PapersQty. of ImagesEpochsBatchArchitecture
Sunanda et al. [7]2564100256Custom
Deepak and Ameer [8]30641030Google Net
Swati et al. [9]30645064VGG-19
Diaz-Pernas et al. [10]306480-Custom
The present paper41173050Alex Net
Table 3. Comparison of parameters with related works.
Table 3. Comparison of parameters with related works.
Related PapersTumor Types
GliomaMeningiomaPituitary
Sunanda et al. [7]88.00%94.00%98.00%
Deepak and Ameer [8]99.20%94.70%98.00%
Swati et al. [9]94.52%88.88%91.80%
Diaz-Pernas et al. [10]98.60%93.80%97.90%
The present paper92.8%96.20%98.70%
Disclaimer/Publisher’s Note: The statements, opinions and data contained in all publications are solely those of the individual author(s) and contributor(s) and not of MDPI and/or the editor(s). MDPI and/or the editor(s) disclaim responsibility for any injury to people or property resulting from any ideas, methods, instructions or products referred to in the content.

Share and Cite

MDPI and ACS Style

Chinga, A.; Bendezu, W.; Angulo, A. Comparative Study of CNN Architectures for Brain Tumor Classification Using MRI: Exploring GradCAM for Visualizing CNN Focus. Eng. Proc. 2025, 83, 22. https://doi.org/10.3390/engproc2025083022

AMA Style

Chinga A, Bendezu W, Angulo A. Comparative Study of CNN Architectures for Brain Tumor Classification Using MRI: Exploring GradCAM for Visualizing CNN Focus. Engineering Proceedings. 2025; 83(1):22. https://doi.org/10.3390/engproc2025083022

Chicago/Turabian Style

Chinga, Areli, Wilden Bendezu, and Antonio Angulo. 2025. "Comparative Study of CNN Architectures for Brain Tumor Classification Using MRI: Exploring GradCAM for Visualizing CNN Focus" Engineering Proceedings 83, no. 1: 22. https://doi.org/10.3390/engproc2025083022

APA Style

Chinga, A., Bendezu, W., & Angulo, A. (2025). Comparative Study of CNN Architectures for Brain Tumor Classification Using MRI: Exploring GradCAM for Visualizing CNN Focus. Engineering Proceedings, 83(1), 22. https://doi.org/10.3390/engproc2025083022

Article Metrics

Back to TopTop