Abstract
Background: The use of natural hepatoprotective remedies represents an important path in modern phytotherapy. Objectives: In this context, our research aims to evaluate the phytochemical composition and the hepatoprotective and oxidative stress reduction potential of an Arctium tomentosum Mill. root extract. Methods: The phenolic profile of the tested extract, prepared by the subcritical fluid-assisted method were qualitatively and quantitatively analyzed by spectrophotometrical and HPLC/DAD/ESI methods. In vitro antioxidant capacity was assessed using DPPH and FRAP assays. Hepatoprotective activity of the extract was assessed on a model of CCl4 experimentally induced hepatotoxicity in mice. Results: Phytochemical assays revealed the presence of important polyphenols, such as chlorogenic acid (17.20 ± 0.65 μg/mL) and acacetin 7-O-glucoside (56.80 ± 1.66 μg/mL). In vitro, the tested extract exhibited a significant oxidative stress reduction capacity, while in vivo it showed a dose-dependent hepatoprotective effect indicated by an improvement in plasma proteins profile and down-regulation of plasma transaminase activity (ALAT, ASAT, GGT). In liver tissue, the extract partially restored the activity of GPx, CAT, and SOD and attenuated lipid peroxidation. The protective effect of the A. tomentosum root extract was supported by the alleviation of histological injuries of the liver (centrilobular necrosis, granulocytic infiltrate, and fibrosis). Conclusions: The A. tomentosum subcritical fluid-assisted root extract proved to be able to provide a significant hepatoprotective effect mainly through an antioxidant mechanism.
1. Introduction
The genus Arctium, belonging to the Asteraceae family, is known as the “burdock” and is widely spread in regions of Europe and Asia with temperate climate and may be found sporadically in tropical and subtropical regions. It comprises 18 biennial species, found in ruderal places, streams and roadsides, woods or forests [1]. Species of the genus have a stout taproot, entire, alternate, rough, cordate, and tomentose leaves, reddish stout stem, inflorescences formed by a conical capitula, with involucres formed of bracts with hooked apices and fruits represented by rugose achenes [1,2,3]. In the Mediterranean areas of Europe, six species are spontaneous: A. lappa L., A. tomentosum Mill., A. minus (Hill) Bernh., A. atlanticum (Pomel) H. Lindb., A. nemorosum Lej., and A. palladini (Marcow) R.E.Fr. and Soderb [1]. Among these species, the most largely known and studied is A. lappa, having numerous pharmacological effects, such as antimicrobial, antioxidant, anti-inflammatory, anticancer, antidiabetic, antiviral, antiallergic, gastroprotective, hepatoprotective, and neuroprotective, attributed to its bioactive metabolites [4].
Arctium tomentosum Mill. is a lesser-studied species of the genus Arctium, proving important pharmacological potential [2] and being mentioned in a monograph of the European Medicines Agency as a species with pharmacological properties equivalent to A. lappa [5]. It is reported as a promising source of bioactive metabolites with valuable medicinal properties, such as anticancer, antidiabetic, hepatoprotective, hypoglycemic, antioxidant, and antimicrobial [2]. The metabolite profile of the species showed important amounts of arctiin and arctigenin in the composition of all organs [1,2,6,7,8,9], of polyphenols in roots and aerial parts [1,2,10], but also of lignans, fatty acids, and anthocyanins in fruits [1,2,7,8]. Previously performed studies bring evidence to support its medicinal potential. According to Skowrońska et al., the ethanolic extract of A. tomentosum, as well as the one of A. lappa, possess significant antioxidant properties by inhibiting the lipoxygenase activity and with the ROS scavenger effect provided by the polyphenolic compounds [10]. Regarding the phytochemical composition, according to Strawa et al., the highest total phenolic content and the highest free radical scavenging activity were obtained for an ultrasound-assisted extract of this species [11]. Studies performed by our team revealed that a subcritical fluid-assisted extract of this species exhibited antimicrobial potential against Gram-positive and Gram-negative bacterial strains [12], but also alleviated a diet-induced metabolic disorder in mice [13] and revealed a cytotoxic effect, with no acute and sub-chronic toxicity [14].
The conventional protocol for the treatment of liver diseases includes using synthetic drugs that proved to be strong pro-oxidant scavengers; however, they can cause adverse effects such as inflammation and cancer [15,16,17]. Therefore, the use of natural product-based alternatives can strengthen or even replace treatment by high-cost chemical drugs. Moreover, it may prevent side effects and lower toxicity, leading to better efficacy and cost-effectiveness [18,19,20]. Bioactive metabolites of medicinal species are known for their effectiveness, as well as for their prevention of various diseases, including liver diseases. The secondary plant metabolites mainly consist in phenolic compounds (flavonoids, lignans, tannins, coumarins, etc.) [18,21], well known for their antioxidant activity. In this way, not only do they alleviate the oxidative stress, but they also promote hepatoprotective effects [22,23,24]. The liver damage may be induced by the dysfunction of vital cell organelles, causing excessive formation of reactive oxygen species (ROS). This leads to intracellular oxidative stress. Free radicals derived from ROS and lipid peroxidation play a critical role during development of liver fibrosis, hepatocytes necrosis, and hepatic injury [16,25]. Moreover, the long-term inflammation process and oxidative stress cause chronic inflammation, which in turn accelerates the aging process and leads to cancer [26]. In this way, the prevention of lipid peroxidation along with the removal of free radicals might play a crucial role throughout the treatment of liver damage [16].
When selecting the extraction methods for hepatoprotective natural metabolites, various aspects should be considered. Compressed solvent-based extraction techniques, such as sub-critical carbon dioxide extraction, have been widely used for this purpose [27]. Unlike other methods, this type of extraction uses higher-range temperature and pressure [28], providing the opportunity to extract active metabolites in a safe, cost-effective, and ecologically friendly way [29]. Moreover, using methanolic extracts of vegetal species may exhibit opposite reactions than expected, by inhibiting the activity of antioxidant enzymes [30]. Lately, “green” extraction techniques have known an increased applicability in the pharmaceutical, food, and cosmetic industries, due to the growing demand induced sustainably and in an ecological manner [31]. Compared to traditional extraction methods, ecologic extraction techniques can lead to higher yields of target metabolites and generate less waste [13]. In addition, using them reduces the consumption of solvents and extraction time. Green extraction techniques include ultrasonic probe-assisted extraction [19], ultrasonic bath [20], and pulsed electric field-assisted extraction, microwave-assisted extraction, enzyme-assisted extraction, with hydrostatic pressure, pressurized liquid extraction, and subcritical fluid-assisted extraction [32,33]. Since the CO2 entirely evaporates during the subcritical carbon dioxide extraction, this approach provides a solvent-free extract with no contaminant traces [34]. Moreover, the final product of this process holds onto the sensitive metabolites of the species, such as phenolic compounds [35], found in abundance in the composition of Arctium species [1] and providing it the antioxidant capacity [36].
The present study finds its novelty in the fact that the chemical composition of the subcritical fluid-assisted extract from the roots of this species, as well as its antioxidant and hepatoprotective activities, have not been previously analyzed. Therefore, the main objective of the present study was to evaluate the in vitro and in vivo antioxidant activities of this extract, as well as its hepatoprotective effect against carbon tetrachloride (CCl4)-induced hepatotoxicity in mice. Moreover, the present study aims to reveal the mechanism underlying the antioxidant and hepatoprotective effects of the A. tomentosum subcritical fluid-assisted extract.
2. Materials and Methods
2.1. Chemicals and Reagents
The HPLC-gradient formic acid was purchased from Merck (Darmstard, Germany). Water was purified using a Direct-Q UV system by Millipore (Darmstard, Germany). All other chemicals were purchased from Alfa-Aesar (Karlsruhe, Germany) and references of phenolic compounds were purchased from Phytolab (Vestenbergsgreuth, Germany).
2.2. Plant Material and Preparation of the Extract
The A. tomentosum roots were collected from the Aksai gorge of the Northern Tian Shan Mountain (Almaty city, Kazakhstan). Voucher specimen is deposited in the Institute of Botany and Phytointroduction (Voucher no. 0002321). The roots were air dried and grounded into a powder using a Lab grinding mill (MRC Laboratory Instruments, Holon, Israel). The obtained powder was passed through a sieve with a 4 mm diameter. The obtained powder was loaded into a 5 L capacity CO2-extraction unit machine (ZZKD, Zhengzou, Henan Province, China). Extraction procedure was conducted under the following conditions: P = 67 ± 1 bar, T = 24 ± 1 °C. The liquid carbon dioxide was automatically supplied by the pump system with the constant flow rate of 10 mL/min through the extraction vessel and then recycled from bottom-up to a top-down direction. The automatic regulator controlled the pressure inside the extraction vessel. Overall, the extraction process lasted for approximately 4 h until it was visually sufficient for the complete yield. At the end of this process, the fractionated CO2-extract was transferred from a separator to a final yield section, from which it was collected into a sterile container [12,13,14]. Extraction yield was 2.74%.
2.3. Quantification of Total Flavonoids (TFCs) and Phenolic Acids (TPAs) Contents by Spectrophotometric Methods
2.3.1. Determination of Total Flavonoid Content (TFC) by Spectrophotometry
TFC of the A. tomentosum extract was determined using a spectrophotometric method, using the aluminum chloride reagent [37,38,39,40,41]. The extract (1 mL) was mixed with 5 mL sodium acetate solution (10%), 3 mL AlCl3 solution (2.5%), and completed with methanol to 25 mL, in a volumetric flask. The absorbance of the mixture was recorded at 430 nm using a Cintra 101 UV–Vis spectrophotometer (GBC, Keysborough, Australia), after 15 min. Methanolic solutions of rutin (a standard flavonoid) in the concentration range of 4–20 mg/mL were used to plot the calibration curve (R2 = 0.997). Flavonoid content was expressed as rutin equivalents (REs)/mL extract.
2.3.2. Determination of Total Phenolic Acids (TPAs) Content by Spectrophotometry
TPAs content of the A. tomentosum extract was determined spectrophotometrically using Arnow reagent (containing sodium nitrite and sodium molybdate) and the results are expressed as caffeic acid equivalents (mg CAEs)/mL extract [37,38,39,40,41]. The sample (1 mL extract) was mixed in a 10 mL volumetric flask with 1 mL of 0.5 N hydrochloric acid solution, 1 mL of Arnow reagent, 1 mL of 1 N sodium hydroxide solution, and distilled water. The absorbance was measured at 500 nm and the TPAs content was calculated using a plot of the caffeic acid calibration curve (R2 = 0.998).
2.4. HPLC/DAD/ESI Analysis
Identification and quantification of polyphenolic metabolites was carried out on a Shimadzu Nexera I LC/MS-8045 (Kyoto, Japan) UHPLC system, equipped with a quaternary pump, autosampler, an ESI probe, and a quadrupole rod mass spectrometer. Separation was achieved using a Luna C18 reverse phase column (150 mm × 4.6 mm × 3 m, 100 Å—Phenomenex, Torrance, CA, USA). Column temperature was maintained at 40 °C. The mobile phase consisted in a gradient of methanol and ultrapurified water (prepared by Simplicity Ultra-Pure Water Purification System—Merck Millipore, Billerica, MA, USA) (Table 1). Formic acid (0.1% in water) was used as an organic modifier. The flow rate was maintained at 0.5 mL/min. The total analysis time was 36 min. The following references were screened: Acacetin, Amarogentin, Apigenin, Arbutoside, Caffeic acid, Catechol, Chlorogenic acid, Cryptochlorogenic acid, Chrysin, Chrysoeriol, Trans-para—coumaric acid, Daidzein, Daidzin, Diosmin, Ferulic acid, Genistin, Gallic acid, Hesperetin, Hyperoside, Isorhamnetin, Isoquercitrin, Kaempferol, Luteolin, Luteolin-7-O-glucoside, Luteolin-7-rutoside, Myricetin, Naringenin, Neochlorogenic acid, Puerarin, Pyrocatechol, Quercetin, Quercetin-3-glucoside, Quercitrin, trans-resveratrol, Rosmarinic acid, Rutoside, Salicylic acid, Silybin A & B, Sinapic acid, Acacetin 7-O-glucoside, 4-Hydroxy-3-methoxybenzaldehyde, and Vitexin. Detection was performed on a quadrupole rod mass spectrometer operated with electrospray ionization (ESI), in negative and positive ion mode, with multiple reaction monitoring (MRM). The interface temperature was set at 300 °C. Nitrogen (35 psi, 10 L/min) was used for vaporization and as drying gas. The capillary potential was set at +3000 V [40,42] (Table 2 and Table 3).
Table 1.
Concentration gradient of the mobile phase used in the HPLC/DAD/ESI method.
Table 2.
HPLC/DAD/ESI identification parameters of identified phenolic metabolites.
Table 3.
Quantification parameters for the HPLC/DAD/ESI analysis of phenolic metabolites in A. tomentosum subcritical fluid-assisted extract.
2.5. Determination of Antioxidant Capacity of the A. tomentosum Root Extract
The antioxidant potential of the A. tomentosum subcritical fluid-assisted extract was evaluated using the DPPH free radical scavenging test and the FRAP method.
2.5.1. DPPH Radical Scavenging Activity Assay
The free radical scavenging capacity of the sample was evaluated using the DPPH (2,2-diphenyl-1-picrylhydrazyl) radical, having an absorption maximum at 517 nm [37,38,39,40,43,44]. Initially, the radical solution of 0.1 mM DPPH in methanol was prepared. Samples for tests were prepared using 4, 8, and 12 µL/mL of extract and 5 mL of the DPPH solution. After a 30 min incubation at 40 °C, the absorbance of the samples (As) was spectrophotometrically measured at 517 nm. The absorbance of the control (Ac) prepared from 5 mL of methanol and 5 mL of DPPH solution was also measured. The DPPH radical scavenging percentage was calculated according to the following formula: DPPH radical scavenging % = [(Ac − As)/Ac] × 100. Subsequently, the value of the inhibitory concentration (IC50) was calculated to determine the extract concentration at which DPPH radicals are scavenged by 50%. The IC50 was calculated from the graph plotting DPPH scavenging percentage against sample concentration (μg/mL). A lower IC50 value indicates a higher radical scavenging capacity.
2.5.2. Ferric-Reducing Antioxidant Power (FRAP) Assay
The antioxidant capacity of the A. tomentosum subcritical fluid-assisted extract was evaluated spectrophotometrically based on the reduction in the colorless Fe3+ – tripyridyltriazine (TPTZ) complex to the blue Fe2+ – tripyridyltriazine complex, formed by the action of electron-donating antioxidant active principles [37,38,39,40,43,44]. The A. tomentosum extract (0.02 mL), diluted to 0.2 mL with methanol, was mixed with 0.6 mL of distilled water and 6 mL of FRAP reagent. The mixture was incubated for 5 min and then the absorbance was measured at 593 nm against a reagent blank (6 mL of FRAP reagent with 0.8 mL of distilled water). The Trolox calibration series was prepared in the concentration range of 12.5–50.0 μg/mL and the antioxidant power of A. tomentosum sample was expressed in μM Trolox equivalent (TE)/100 mL extract.
2.6. Animal Studies
Experiments were conducted on 6-months-old outbreed Swiss mice, 25 ± 2 g body weight, originated from “Scientific and Practical center for Sanitary and Epidemiological Expertise and Monitoring” Almaty. They were maintained in the Animal Facility of JSC “Scientific Center for Anti-Infectious Drugs”, Almaty, in conventional standard laboratory conditions (temperature 25 ± 1 °C, relative humidity 55 ± 5%, and 12 h light/dark cycle), with five animals per cage with free access to food and water. Animals were acclimatized for 7 days before the start of experiments. Housing conditions and experimental procedures complied with the Ethical Committee of Scientific Center for Anti-Infectious Drugs No. 23/8 in accordance with the “Guide for the Care and Use of Laboratory Animals” and ARRIVE guidelines. No acute toxicity was detected at the doses of 2000 mg/kg and 5000 mg/kg, as described in a previous work of our team. There were no mortalities among animals in this study; thus, the LD50 was impossible to calculate. Furthermore, sub-chronic oral toxicity test at a dose of 200 mg/kg revealed no toxicity; no clinical, hematological, and biochemical abnormalities were found. Thus, the CO2-extract of A. tomentosum root was found safe for long-term therapy. Study of the hepatoprotective effect was conducted using forty-five Swiss female mice. Animals were divided into five groups: one control, receiving placebo oral therapy (olive oil), and the remaining four mice were subjected to liver insufficiency induction protocol, of which three received A. tomentosum root extract in doses of 50, 200, and 400 mg/kg. These animals received carbon tetrachloride (CCl4) in a dose of 1 mL/kg diluted in olive oil, three times a week, using flexible 20 G plastic feeding tubes. The extract was administered on the same days as CCl4, four hours later. Half of the animals were killed at four weeks and the other half at six weeks. The blood was collected from retroocular sinus under deep narcosis by isoflurane. At the end of the blood collection, while the animals were still under narcosis, they were killed by cervical dislocation, immediately followed by the removal of internal organs. Blood was collected in clot activator containers, centrifuged at 2000 rpm for 15 min, and the serum was immediately removed and sent for plasma biochemistry test [45].
2.7. Oxidative Stress Markers and Plasma Biochemistry
To evaluate the level of oxidative stress, extraction of total protein from the liver was conducted by homogenization with phosphate-buffered solution (pH 7.4). Protein extracts were evaluated for superoxide dismutase (SOD), catalase (CAT), glutathione peroxidase (GPx) activity, total protein content, and lipid peroxidation. The activity of SOD, CAT, and GPx was analyzed using assay kits (BioVision, Exton, PA, USA), according to the manufacturer’s instructions. The malonyl dialdehyde (MDA) concentration was determined spectrophotometrically at 532 nm using BioMate 3S (Thermo Fisher Scientific, Waltham, MA, USA) after rection with thiobarbituric acid (TBA). Plasma biochemistry was measured using fully automated benchtop chemistry analyzer A25 (BioSystems, Troisdorf, Koln, Germany) using special kits according to the manufacturer’s instructions [45].
2.8. Histology
Organ fragments were fixed in 10% formalin solution for 24 h, subsequently embedded in paraffin, cut, and stained with hematoxylin and eosin. The analysis of histological slides was conducted using a ZEN Microscopy Software on ZEISS Axio Scope.A1 (ZEISS, Oberkochen, Germany) [45].
2.9. Statistical Analysis
All results are expressed as mean ± SD (n = 5). To assume Gaussian distribution, normality distribution was checked by Shapiro–Wilk normality test. For the statistical analysis, two-way ANOVA followed by Bonferroni post-test were conducted (Graph Pad Prism version 6.0, California) at statistical significance p < 0.05.
3. Results
3.1. Quantification of the TFC and TPA and Evaluation of the Antioxidant Activity: In Vitro Assays
The results of quantitative spectrophotometric determinations of the investigated bioactive polyphenolic compounds are presented in Table 4, together with results obtained for the in vitro assessment of the antioxidant activity.
Table 4.
Antioxidant activity of the subcritical fluid-assisted A. tomentosum root extract.
The results show that the A. tomentosum subcritical fluid-assisted extract contains more flavonoids (6.51 ± 0.02 mg/mL) than caffeic acid derivatives (0.96 ± 0.01 mg/mL). Also, the A. tomentosum sample was tested for its antioxidant activity and it demonstrated a strong antioxidant capacity to reduce ferric ions (572 ± 2.6 µM TE/100 mL), but also a very good capacity for the scavenging of DPPH free radicals (35 ± 0.31 µg/mL), in good agreement with the flavonoid content (p < 0.001).
The results obtained for the determination of polyphenolic metabolites show important amounts of chlorogenic acid (17.20 ± 0.65 μg/mL), among phenolic acids and of flavonoid aglycones, such as hyperoside and myricetin or flavonoid glucosides, such as luteolin-7-O-glucoside. The glucoside of the 4′-O-methylated flavone apigenin, acacetin 7-O-glucoside, was found to be the main compound (56.80 ± 1.66 μg/mL) (Table 5).
Table 5.
Polyphenolic content of the subcritical fluid-assisted A. tomentosum root extract.
3.2. Hepatoprotective Activity: Animal Studies
The protective effect of A. tomentosum subcritical fluid-assisted extract was investigated using a liver toxicity model induced by carbon tetrachloride (CCl4) (1 mL/kg).
All animal groups survived up to the end of the study with no clinical signs; similar to the control group, they maintained their body weight gain as well as their food and water consumption. In the group treated by CCl4 alone, the elevated activity of plasma transaminases (ALAT, ASAT) reflected the liver injury (Figure 1), while the decrease in the albumin levels along with the increase in the globulin fraction in the total protein levels reflected the signs of the liver inflammatory response. Bile duct injury, likely caused by intrahepatic cholestasis, was indicated by enhanced activity of GGT. A. tomentosum extract administration revealed a hepatoprotective effect at the doses of 200 and 400 mg/kg b.w., while at the lower dose of 50 mg/kg, the hepatoprotective effect was less visible; thus, a dose-dependent effect was found. No significant difference was found in the levels of ALAT and GGT between 4 and 6-weeks intervals, while the variation in ASAT was statistically relevant (p < 0.05). Plasma proteins levels remained the same in the CCl4 group and therapy groups.
Figure 1.
Effect of A. tomentosum extract on alanine aminotransferase (ALAT) (A); aspartate amino transferase (ASAT) (B); gamma glutamyl transferase (GGT) activity (C); total protein (D) and albumins concentration (E) (mean ± SD, 5 animals/group). ## p < 0.01, compared to the control group; * p < 0.05 and ** p < 0.01 compared to the group treated by CCl4 only (two-way ANOVA followed by Bonferroni post-test).
The antioxidant effect of A. tomentosum seems to be mainly responsible for the hepatoprotective effect. CCl4 administration caused the inhibition of antioxidant enzymes and the elevation of MDA levels. A. tomentosum extract partially restored the activity of GPx, CAT, and SOD at both doses of 200 mg/kg and 400 mg/kg b.w., and alleviated the lipid peroxidation (Figure 2). The significant difference between these values was detected when comparing the group which received CCl4 with and without the extract therapy. Furthermore, the dose-dependent trend was reflected by GPx and SOD activity; better results were found at the higher dose of 400 mg/kg (p < 0.05). Similar to the plasma biochemistry, the oxidative stress markers revealed no relevant variation between the two time intervals.
Figure 2.
Effect of A. tomentosum extract on glutathione peroxidase (GPx) (A); catalase (CAT) (B); superoxide dismutase (SOD) (C); and malondialdehyde (MDA) (D) (mean ± SD, 5 animals/group). ### p < 0.01, compared to the control group; * p < 0.05 and *** p < 0.001 compared to the group treated by CCl4 only (two-way ANOVA followed by Bonferroni post-test).
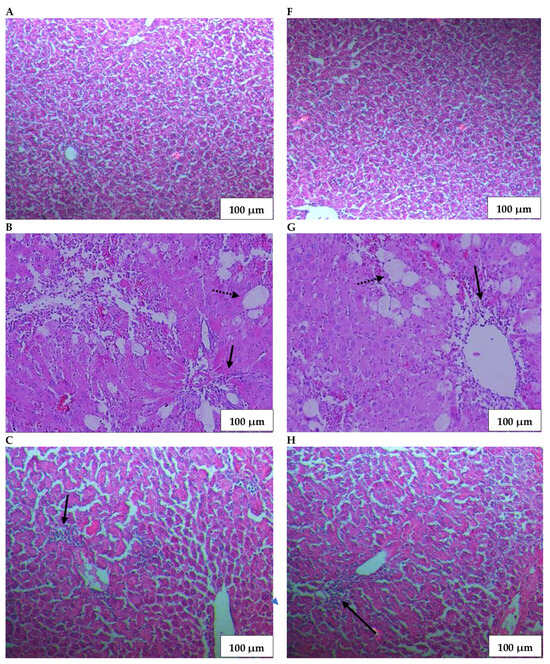
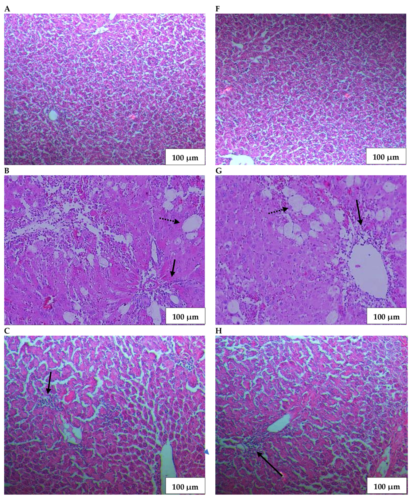
Expectedly, CCl4 activated the resident macrophages of the liver (Figure 3B,G). These cells, also known as Kupffer cells, produce chemo-attractants which activate and recruit neutrophils into the site of liver damage [16]. Furthermore, neutrophils release ROS and cause inflammation and alteration in the structure of the hepatocytes, leading to hepatotoxicity [46]. Accordingly, histological examination revealed inflammatory cell infiltrate and centrilobular necrosis of the hepatocytes as the predominant features of the group treated by CCl4 only. Additionally, the proliferation of fibrous tissue between portal spaces was also seen. Animals that received A. tomentosum therapy showed an improvement in the liver’s histological structure. The down-regulation of the inflammatory reaction was slightly visible at the dose of 200 mg/kg (Figure 3D,I); however, the improvement was more evident at the dose of 400 mg/kg (Figure 3E,J) administered for both four and six weeks. Overall, the alleviation of the hepatocyte necrosis as well as the fibrosis process was mainly seen at the dose of 400 mg/kg, while the benefits in the case of the groups receiving the doses of 50 and 200 mg/kg were minimal.

Figure 3.
Effects of A. tomentosum subcritical fluid-assisted root extract on the histologic aspect of the liver: (A,F) the negative control group; (B,G) the positive control group receiving only carbon tetrachloride (1 mL/b.w.) showed inflammatory infiltrate (black arrow) and hepatocyte necrosis (doted black arrow); groups receiving therapy with the extract in a dose of (C,H) 50 mg/b.w.; (D,I) 200 mg/b.w.; and (E,J) 400 mg/b.w. Duration: (A–E) four weeks; (F–J) six weeks. Hematoxylin and Eosin stain; Bar, 100 μm.
4. Discussion
In this work, a subcritical (CO2) fluid extraction method was used to isolate the bioactive compounds from A. tomentosum root. Since subcritical extraction uses lower temperature and pressure conditions, it produces a smaller yield than the supercritical extraction method. As a result, 27.4 g of the extract was obtained from 1 kg of dry roots, giving a yield of 2.74%.
Among polyphenolic metabolites, flavonoids found by spectrophotometrical determinations in the tested sample were found in important amounts, recommending the extract for further biological evaluations. Lower values were recorded for the subcritical fluid-assisted root extract of A. tomentosum than in the ethanolic extract of the Polish species [10]. The results hereby obtained are in agreement with those published by other authors, as the extract obtained with fluid CO2 contained lower amounts of phenolic compounds compared to ethanolic extracts obtained with a mixture of supercritical CO2–ethanol [47]. As it was confirmed in recent years, the extraction of flavonoids with subcritical CO2 proved to be a technique with many advantages, such as shorter extraction times, reduced solvent consumption, more selective, and compliance with environmental regulations [48]. However, the content of caffeic acid derivatives (CADs) in the subcritical fluid-assisted extract of A. tomentosum roots is determined for the first time in this paper.
On the other hand, in terms of the antioxidant capacity, according to the literature data, the A. lappa leaves extract obtained by subcritical CO2 [47] or other alcoholic extracts of A. tomentosum roots [10] showed lower antioxidant activity than the one obtained for the sample tested in the present research. This represents a significant part of the novelty of the present study, which enhanced the connection with the hepatoprotective bioactivity, tested in vivo. The species also revealed important antioxidant capacity exhibited by the leaves and inflorescences [11], but also by the aerial parts and roots [10], tested in the DPPH scavenging assay. Values obtained in the present research for the DPPH assay are difficult to compare with the ones obtained in these studies, because extraction methods and solvents are different. The in vitro antioxidant capacity of the tested sample tested by the FRAP assay is hereby reported for the first time, assessing the reduction in ferric ions to ferrous ions by the polyphenolic metabolites present in the composition of the subcritical fluid-assisted root extract of A. tomentosum.
The phytochemical fingerprint of A. tomentosum has not been intensively studied [2], although its roots are mentioned by the European Medicines Agency to represent, together with the roots of A. lappa and A. minus, the vegetal product Bardanae radix [5]. Identification and quantification of the individual polyphenolic metabolites revealed the presence of phenolic acids and flavonoids, either as aglycones, or as glucosides or methylated flavones. Chlorogenic acid was found as the only phenolic acid in the composition of the tested sample, being identified for the first time in the composition of the roots. Previous studies revealed its presence in the aerial parts of the species, in an ethanolic extract [10]. It is known for its protective effect against various hepatic diseases, including drug-induced liver injury, alcoholic liver disease, and liver fibrosis [49]. The mechanisms of chlorogenic acid action include the lowering of CCl4 activation by inhibiting the generation of H2O2 and other ROS generation. In addition, the antioxidant effect of chlorogenic acid includes the direct removal of ROS [50]. Another bioactive metabolite, found in the composition of the tested extract, hyperoside, is known for its effect on lipid metabolism and antioxidant capacity in fatty liver disease [51], mediated by scavenging ROS and inhibiting nitric oxide synthase in blood and liver tissue [52]. A similar antioxidant effect is promoted by myricetin, a compound able to provide a strong free radical scavenging activity and inhibition of nitric oxide [53]. Furthermore, luteolin-7-glucoside can significantly enhance the enzymatic activity of glutathione peroxidase and superoxide dismutase, thereby decreasing the malondialdehyde levels [54]. The acacetin 7-O-glucoside, also found in the tested extract, provides the hepatoprotective effect through alleviation of oxidative stress, as well as by normalizing liver transaminases. Furthermore, acacetin 7-O-glucoside can significantly increase superoxide dismutase activity, dysregulated by CCl4, and also attenuate malondialdehyde levels formed during oxidative stress [55]. Not least, 4-Hydroxy-3-methoxybenzaldehyde, also known as vanillin, was only found in small amounts in the tested A. tomentosum root extract. The antioxidant effect of vanillin can be explained by the presence of the hydroxyl group linked to the aromatic ring [56]. Thus, this structural feature can play an important role in the antioxidant activity through homolytic fragmentation of the OH bond, thereby resulting in hydroxyl radical scavenging in the liver microsomes during oxidative stress [57]. Overall, a combination of all of these bioactive components can contribute to the hepatoprotective effect of the tested extract mainly through the antioxidant mechanism and partial restoration of cytochrome P450 system in liver microsomes; however, other mechanisms cannot be excluded (Figure 4).
Figure 4.
Protective effects of A. tomentosum subcritical fluid-assisted root against experimentally induced hepatotoxicity (green arrows represent the effect of A. tomentosum subcritical fluid-assisted root extract; red arrows represent the mechanism of CCl4 hepatotoxicity).
The present study represents the first report of the polyphenolic metabolites’ composition in this type of extract and in the roots of the species. Similar studies revealed the presence of this type of metabolites, but in the roots of similar species, namely A. lappa [10] and A. minus [26]. Other studies of the phytochemical profile of the species revealed important amounts of lignans such as arctiin and arctigenin, found in the methanolic extracts of the roots [6,9], but also in the fruits [7,8]. Important amounts of sterols and fatty acids were also found in the composition of an ethanolic extract of the leaves and inflorescences of the species [11], but also in the fruits [7]. Other flavonoids are identified in the ethanolic extract of the aerial parts of the species and are represented by quercetin, kaempferol, and their derivatives [10].
The liver is the core of the body’s metabolism, conducting an array of functions, including both carbohydrates, protein and lipid metabolism, bile production, hormone activation/inactivation, fat-soluble vitamin storage, and detoxification [58]. Therefore, proper liver function is a key factor in maintaining a healthy status; nevertheless, as the modern lifestyle is expanding world-wide, with poor circadian rhythms [59,60], low-nutritional value diets [61], and highly processed food [62], liver pathologies become increasingly common.
The CCl4-hepatotoxicity model is widely used to assess the hepatoprotective effect of drugs and plant extracts. According to Johra et al., the main mechanism of this hepatotoxicity model is based on the generation of free radicals by cytochrome P-450 of the liver during the metabolism of CCl4. Free radicals formed during this process bind to the structural proteins, damaging the cellular membrane [63]. Also, lipid peroxides impair the cellular DNA and alter the activity of the enzymes [22,63]. The degree of liver oxidative damage was investigated in the present study by measuring the activity of antioxidant enzymes such as glutathione peroxidase (GPx), catalase (CAT), and superoxide dismutase (SOD) and the level of malondialdehyde (MDA). The liver damage was evaluated by plasma transaminase activity: alanine aminotransferase (ALT), aspartate aminotransferase (AST), gamma-glutamyl transferase (GGT), and albumins reflecting the hepatic function. It is revealed in this way that the subcritical fluid-assisted root extract of A. tomentosum exhibits an important hepatoprotective activity, which could be connected to the antioxidant capacity and to the polyphenolic content. This is the main novelty of the present study, appearing to be the first to assess the hepatoprotective bioactivity of the species.
5. Conclusions
The present study evaluated the hepatoprotective potential of subcritical fluid-assisted extract obtained from the root of A. tomentosum. As a result of the phytochemical analysis, the studied extract appeared to contain significant amounts of polyphenols, representing a potential source of bioactive metabolites. Together with these polyphenols, other metabolites present in the composition of the tested extract contribute to the biological activities. The subcritical fluid-assisted extract was studied for its ability to conduct the hepatoprotective effect through its antioxidant mechanism. As a result, it alleviated symptoms of hepatic toxicity induced by CCl4, including partial alleviation of the oxidative stress. However, other mechanisms responsible for normalizing the values of plasma biochemistry markers cannot be excluded. Therefore, due to the bioactive metabolites in the composition of the tested A. tomentosum root extract, it can be considered as a valuable source for the obtention of hepatoprotective remedies with antioxidant properties, which may prove useful for the protection of liver tissue against free radical damage.
Author Contributions
Conceptualization, A.A., B.S. and N.I.; methodology, A.A., B.S., I.I., D.H., N.-K.O. and D.B.; software, A.A., B.S. I.I., N.-K.O. and D.H.; validation, B.S., I.I., D.H., N.-K.O., N.I., T.S., D.B., M.L., A.K. and T.G.; formal analysis, A.A., B.S., I.I., D.H., N.-K.O., N.I., D.B., M.L., A.K. and T.G.; investigation, A.A, B.S., I.I., D.H., N.I., T.S. and D.B.; resources, A.A., B.S., I.I., D.H., N.-K.O., N.I. and A.K.; writing—original draft preparation, A.A., B.S., I.I. and D.H.; writing—review and editing, B.S., I.I., D.H., N.-K.O., N.I. and T.S.; visualization, A.A., B.S., I.I., D.H., N.I. and T.G.; supervision, B.S., N.I. and T.S. All authors have read and agreed to the published version of the manuscript.
Funding
This research received no external funding.
Institutional Review Board Statement
The animal study protocol was approved by the JSC “Scientific Center for Anti-Infectious Drugs” Ethics Committee (No. 23/8 from 2 January 2023).
Informed Consent Statement
Not applicable.
Data Availability Statement
The original contributions presented in the study are included in the article, and further inquiries can be directed to the corresponding author/s.
Conflicts of Interest
Author Neli-Kinga Olah was employed by the company Plant Extrakt. The remaining authors declare that the research was conducted in the absence of any commercial or financial relationships that could be construed as a potential conflict of interest.
References
- Wang, D.; Bădărau, A.S.; Swamy, M.K.; Shaw, S.; Maggi, F.; da Silva, L.E.; López, V.; Yeung, A.W.K.; Mocan, A.; Atanasov, A.G. Arctium Species Secondary Metabolites Chemodiversity and Bioactivities. Front. Plant Sci. 2019, 10, 834. [Google Scholar] [CrossRef] [PubMed]
- Ydyrys, A. An Overview of Medical Uses and Chemical Composition of Arctium tomentosum Mill. Eng. Sci. 2023, 26, 984. [Google Scholar] [CrossRef]
- De Souza, A.R.C.; de Oliveira, T.L.; Fontana, P.D.; Carneiro, M.C.; Corazza, M.L.; de Messias Reason, I.J.; Bavia, L. Phytochemicals and Biological Activities of Burdock (Arctium lappa L.) Extracts: A Review. Chem. Biodivers. 2022, 19, e202200615. [Google Scholar] [CrossRef] [PubMed]
- Yosri, N.; Alsharif, S.M.; Xiao, J.; Musharraf, S.G.; Zhao, C.; Saeed, A.; Gao, R.; Said, N.S.; Di Minno, A.; Daglia, M.; et al. Arctium lappa (Burdock): Insights from Ethnopharmacology Potential, Chemical Constituents, Clinical Studies, Pharmacological Utility and Nanomedicine. Biomed. Pharmacother. 2023, 158, 114104. [Google Scholar] [CrossRef]
- Committee on Herbal Medicinal Products (HMPC). Community Herbal Monograph on Arctium lappa L., Radix. Eur. Med. Agency 2010, 1–6. [Google Scholar]
- Ge, L.; Liu, F.; Hu, Y.; Zhou, X. Qualitative and Quantitative Analysis of Arctiin and Arctigenin in Arctium tomentosum Mill. by High-Performance Thin-Layer Chromatography. JPC J. Planar Chromatogr. Mod. TLC 2020, 33, 19–26. [Google Scholar] [CrossRef]
- Kolomiets, N.E.; Boev, R.S.; Zhalnina, L.V.; Hasan, A.A.K. Chromatographic and Spectral Study of Arctium lappa and Arctium tomentosum Fructus Cultivated in Altai. Khimiya Rastit. Syr’ya 2024, 1, 148–155. [Google Scholar] [CrossRef]
- Malaník, M.; Farková, V.; Křížová, J.; Kresová, A.; Šmejkal, K.; Kašparovský, T.; Dadáková, K. Comparison of Metabolic Profiles of Fruits of Arctium lappa, Arctium minus, and Arctium tomentosum. Plant Foods Hum. Nutr. 2024, 79, 497–502. [Google Scholar] [CrossRef]
- Zhou, X.; Zhang, H.; Ge, L.; Gong, H.; Tian, S. Determination of Arctiin and Arctigenin Contents in Arctium tomentosum Mill. by HPLC Method. E-J. Chem. 2011, 8 (Suppl. S1), 372–377. [Google Scholar] [CrossRef]
- Skowronska, W.; Granica, S.; Dziedzic, M.; Kurkowiak, J.; Ziaja, M.; Bazylko, A. Arctium lappa and Arctium tomentosum, Sources of Arctii Radix: Comparison of Anti-Lipoxygenase and Antioxidant Activity as Well as the Chemical Composition of Extracts from Aerial Parts and from Roots. Plants 2021, 10, 78. [Google Scholar] [CrossRef]
- Strawa, J.; Wajs-Bonikowska, A.; Jakimiuk, K.; Waluk, M.; Poslednik, M.; Nazaruk, J.; Tomczyk, M. Phytochemical Examination of Woolly Burdock Arctium tomentosum Leaves and Flower Heads. Chem. Nat. Compd. 2020, 56, 345–347. [Google Scholar] [CrossRef]
- Aitynova, A.E.; Ibragimova, N.A.; Shalakhmetova, T.M.; Gapurkhaeva, T.E.; Krasnoshtanov, A.V.; Kenesheva, S.T. Antimicrobial Effect of Extract from Root of Arctium tomentosum Mill. (Woolly Burdock) against Several Reference Strains. Int. J. Biol. Chem. 2022, 15, 10–17. [Google Scholar] [CrossRef]
- Aitynova, A.; Ibragimova, N.; Shalakhmetova, T.; Nussirbekova, A.; Ponomareva, G. Oral Administration of Arctium tomentosum Mill. CO2-Extract Alleviates the Diet Induced Metabolic Disorder in Mice. BIO Web Conf. 2024, 100, 01003. [Google Scholar] [CrossRef]
- Aitynova, A.; Ibragimova, N.; Shalakhmetova, T.; Vassilyeva, K.; Issayeva, D. Cytotoxicity, Acute, and Sub-Chronic Toxicity of the Arctium tomentosum Mill. Root Extract. J. Appl. Biol. Biotechnol. 2024, 12, 67–73. [Google Scholar] [CrossRef]
- González-Ponce, H.A.; Rincón-Sánchez, A.R.; Jaramillo-Juárez, F.; Moshage, H. Natural Dietary Pigments: Potential Mediators Against Hepatic Damage Induced by over-the-Counter Non-Steroidal Anti-Inflammatory and Analgesic Drugs. Nutrients 2018, 10, 117. [Google Scholar] [CrossRef]
- Almazroo, O.A.; Miah, M.K.; Venkataramanan, R. Drug Metabolism in the Liver. Clin. Liver Dis. 2017, 21, 1–20. [Google Scholar] [CrossRef]
- Koc, S.; Isgor, B.S.; Isgor, Y.G.; Shomali Moghaddam, N.; Yildirim, O. The Potential Medicinal Value of Plants from Asteraceae Family with Antioxidant Defense Enzymes as Biological Targets. Pharm. Biol. 2015, 53, 746–751. [Google Scholar] [CrossRef]
- Guan, Y.S.; He, Q. Plants Consumption and Liver Health. Evid.-Based Complement. Altern. Med. 2015, 2015, 824185. [Google Scholar] [CrossRef]
- Seeff, L.B.; Bonkovsky, H.L.; Navarro, V.J.; Wang, G. Herbal Products and the Liver: A Review of Adverse Effects and Mechanisms. Gastroenterology 2015, 148, 517–532.e3. [Google Scholar] [CrossRef]
- Gurib-Fakim, A. Medicinal Plants: Traditions of Yesterday and Drugs of Tomorrow. Mol. Asp. Med. 2006, 27, 1–93. [Google Scholar] [CrossRef]
- Vergani, L.; Vecchione, G.; Baldini, F.; Grasselli, E.; Voci, A.; Portincasa, P.; Ferrari, P.F.; Aliakbarian, B.; Casazza, A.A.; Perego, P. Polyphenolic Extract Attenuates Fatty Acid-Induced Steatosis and Oxidative Stress in Hepatic and Endothelial Cells. Eur. J. Nutr. 2018, 57, 1793–1805. [Google Scholar] [CrossRef] [PubMed]
- Casas-Grajales, S. Antioxidants in Liver Health. World J. Gastrointest. Pharmacol. Ther. 2015, 6, 59–72. [Google Scholar] [CrossRef] [PubMed]
- Li, S.; Tan, H.Y.; Wang, N.; Zhang, Z.J.; Lao, L.; Wong, C.W.; Feng, Y. The Role of Oxidative Stress and Antioxidants in Liver Diseases. Int. J. Mol. Sci. 2015, 16, 26087–26124. [Google Scholar] [CrossRef] [PubMed]
- Saha, P.; Das Talukdar, A.; Nath, R.; Sarker, S.D.; Nahar, L.; Sahu, J.; Choudhury, M.D. Role of Natural Phenolics in Hepatoprotection: A Mechanistic Review and Analysis of Regulatory Network of Associated Genes. Front. Pharmacol. 2019, 10, 509. [Google Scholar] [CrossRef] [PubMed]
- Ramachandran, A.; Duan, L.; Akakpo, J.; Jaeschke, H. Mitochondrial Dysfunction as a Mechanism of Drug-Induced Hepatotoxicity: Current Understanding and Future Perspectives. J. Clin. Transl. Res. 2018, 4, 75–100. [Google Scholar] [CrossRef]
- İlgün, S.; Karatoprak, G.Ş.; Polat, D.Ç.; Şafak, E.K.; Yıldız, G.; Küpeli Akkol, E.; Sobarzo-Sánchez, E. Phytochemical Composition and Biological Activities of Arctium minus (Hill) Bernh.: A Potential Candidate as Antioxidant, Enzyme Inhibitor, and Cytotoxic Agent. Antioxidants 2022, 11, 1852. [Google Scholar] [CrossRef]
- Gallego, R.; Bueno, M.; Herrero, M. Sub- and Supercritical Fluid Extraction of Bioactive Compounds from Plants, Food-by-Products, Seaweeds and Microalgae—An Update. TrAC Trends Anal. Chem. 2019, 116, 198–213. [Google Scholar] [CrossRef]
- Edris, A.E.; Wawrzyniak, P.; Kalemba, D. Subcritical CO2 Extraction of a Volatile Oil-Rich Fraction from the Seeds of Nigella sativa for Potential Pharmaceutical and Nutraceutical Applications. J. Essent. Oil Res. 2018, 30, 84–91. [Google Scholar] [CrossRef]
- Chia, S.L.; Boo, H.C.; Muhamad, K.; Sulaiman, R.; Umanan, F.; Chong, G.H. Effect of Subcritical Carbon Dioxide Extraction and Bran Stabilization Methods on Rice Bran Oil. JAOCS J. Am. Oil Chem. Soc. 2015, 92, 393–402. [Google Scholar] [CrossRef]
- Larson, E.C.; Pond, C.D.; Rai, P.P.; Matainaho, T.K.; Piskaut, P.; Franklin, M.R.; Barrows, L.R. Traditional Preparations and Methanol Extracts of Medicinal Plants from Papua New Guinea Exhibit Similar Cytochrome P450 Inhibition. Evid.-Based Complement. Altern. Med. 2016, 2016, 7869710. [Google Scholar] [CrossRef]
- Putra, N.R.; Yustisia, Y.; Heryanto, R.B.; Asmaliyah, A.; Miswarti, M.; Rizkiyah, D.N.; Yunus, M.A.C.; Irianto, I.; Qomariyah, L.; Rohman, G.A.N. Advancements and Challenges in Green Extraction Techniques for Indonesian Natural Products: A Review. S. Afr. J. Chem. Eng. 2023, 46, 88–98. [Google Scholar] [CrossRef]
- Chatzimitakos, T.; Athanasiadis, V.; Kalompatsios, D.; Kotsou, K.; Mantiniotou, M.; Bozinou, E.; Lalas, S.I. Sustainable Valorization of Sour Cherry (Prunus cerasus) By-Products: Extraction of Antioxidant Compounds. Sustainability 2024, 16, 32. [Google Scholar] [CrossRef]
- Hirondart, M.; Rombaut, N.; Fabiano-Tixier, A.S.; Bily, A.; Chemat, F. Comparison between Pressurized Liquid Extraction and Conventional Soxhlet Extraction for Rosemary Antioxidants, Yield, Composition, and Environmental Footprint. Foods 2020, 9, 584. [Google Scholar] [CrossRef] [PubMed]
- Afraz, M.T.; Xu, X.; Adil, M.; Manzoor, M.F.; Zeng, X.; Han, Z.; Aadil, R.M. Subcritical and Supercritical Fluids to Valorize Industrial Fruit and Vegetable Waste. Foods 2023, 12, 2417. [Google Scholar] [CrossRef]
- Hrncic, M.K.; Cör, D.; Verboten, M.T.; Knez, Z. Application of Supercritical and Subcritical Fluids in Food Processing. Food Qual. Saf. 2018, 2, 59–67. [Google Scholar] [CrossRef]
- Stefanov, S.M.; Fetzer, D.E.L.; Custódio de Souza, A.R.; Corazza, M.L.; Hamerski, F.; Yankov, D.S.; Stateva, R.P. Valorization by Compressed Fluids of Arctium Lappa Seeds and Roots as a Sustainable Source of Valuable Compounds. J. CO2 Util. 2022, 56, 101821. [Google Scholar] [CrossRef]
- Păltinean, R.; Ielciu, I.; Hanganu, D.; Niculae, M.; Pall, E.; Angenot, L.; Tits, M.; Mocan, A.; Babotă, M.; Frumuzachi, O.; et al. Biological Activities of Some Isoquinoline Alkaloids from Fumaria schleicheri Soy. Will. Plants 2022, 11, 1202. [Google Scholar] [CrossRef]
- Ielciu, I.; Vlase, L.; Frédérich, M.; Hanganu, D.; Păltinean, R.; Cieckiewicz, E.; Olah, N.-K.; Gheldiu, A.-M.; Crişan, G. Polyphenolic Profile and Biological Activities of the Leaves and Aerial Parts of Echinocystis lobata (Michx.) Torr. et A. Gray (Cucurbitaceae). Farmacia 2017, 65, 179–183. [Google Scholar]
- Ielciu, I.; Hanganu, D.; Păltinean, R.; Vlase, L.; Frédérich, M.; Gheldiu, A.-M.; Benedec, D.; Crişan, G. Antioxidant Capacity and Polyphenolic Content of the Echinocystis lobata (Michx.) Torr. et A.Gray Flowers. Pak. J. Pharm. Sci. 2018, 31 (Suppl. S2), 677–683. [Google Scholar]
- Ielciu, I.; Niculae, M.; Pall, E.; Barbălată, C.; Tomuţă, I.; Olah, N.K.; Burtescu, R.F.; Benedec, D.; Oniga, I.; Hanganu, D. Antiproliferative and Antimicrobial Effects of Rosmarinus officinalis L. Loaded Liposomes. Molecules 2022, 27, 3988. [Google Scholar] [CrossRef]
- Sevastre-Berghian, A.C.; Ielciu, I.; Mitre, A.O.; Filip, G.A.; Oniga, I.; Vlase, L.; Benedec, D.; Gheldiu, A.-M.; Toma, V.A.; Mihart, B.; et al. Targeting Oxidative Stress Reduction and Inhibition of HDAC1, MECP2, and NF-KB Pathways in Rats with Experimentally Induced Hyperglycemia by Administration of Thymus marshallianus Willd. Extracts. Front. Pharmacol. 2020, 11, 581470. [Google Scholar] [CrossRef] [PubMed]
- Buza, V.; Niculae, M.; Hanganu, D.; Pall, E.; Burtescu, R.F.; Olah, N.K.; Matei-Lațiu, M.C.; Vlasiuc, I.; Iozon, I.; Szakacs, A.R.; et al. Biological Activities and Chemical Profile of Gentiana asclepiadea and Inula helenium Ethanolic Extracts. Molecules 2022, 27, 3560. [Google Scholar] [CrossRef] [PubMed]
- Alam, M.N.; Bristi, N.J.; Rafiquzzaman, M. Review on in Vivo and in Vitro Methods Evaluation of Antioxidant Activity. Saudi Pharm. J. 2013, 21, 143–152. [Google Scholar] [CrossRef]
- Aleya, A.; Mihok, E.; Pecsenye, B.; Jolji, M.; Kertész, A.; Bársony, P.; Vígh, S.; Cziaky, Z.; Máthé, A.B.; Burtescu, R.F.; et al. Phytoconstituent Profiles Associated with Relevant Antioxidant Potential and Variable Nutritive Effects of the Olive, Sweet Almond, and Black Mulberry Gemmotherapy Extracts. Antioxidants 2023, 12, 1717. [Google Scholar] [CrossRef]
- Ielciu, I.; Sevastre, B.; Olah, N.-K.; Turdean, A.; Chişe, E.; Marica, R.; Oniga, I.; Uifălean, A.; Sevastre-Berghian, A.C.; Niculae, M.; et al. Evaluation of Hepatoprotective Activity and Oxidative Stress Reduction of Rosmarinus officinalis L. Shoots Tincture in Rats with Experimentally Induced Hepatotoxicity. Molecules 2021, 26, 1737. [Google Scholar] [CrossRef]
- Bruccoleri, A.; Gallucci, R.; Germolec, D.R.; Blackshear, P.; Simeonova, P.; Thurman, R.G.; Luster, M.I. Induction of Early-Immediate Genes by Tumor Necrosis Factor α Contribute to Liver Repair Following Chemical-Induced Hepatotoxicity. Hepatology 1997, 25, 133–141. [Google Scholar] [CrossRef]
- De Souza, A.R.C.; Guedes, A.R.; Folador Rodriguez, J.M.; Bombardelli, M.C.M.; Corazza, M.L. Extraction of Arctium lappa Leaves Using Supercritical CO2+ ethanol: Kinetics, Chemical Composition, and Bioactivity Assessments. J. Supercrit. Fluids 2018, 140, 137–146. [Google Scholar] [CrossRef]
- Chaves, J.O.; de Souza, M.C.; da Silva, L.C.; Lachos-Perez, D.; Torres-Mayanga, P.C.; Machado, A.P.D.F.; Forster-Carneiro, T.; Vázquez-Espinosa, M.; González-de-Peredo, A.V.; Barbero, G.F.; et al. Extraction of Flavonoids From Natural Sources Using Modern Techniques. Front. Chem. 2020, 8, 507887. [Google Scholar] [CrossRef]
- Cheng, K.; Niu, J.; Zhang, J.; Qiao, Y.; Dong, G.; Guo, R.; Zheng, X.; Song, Z.; Huang, J.; Wang, J.; et al. Hepatoprotective Effects of Chlorogenic Acid on Mice Exposed to Aflatoxin B1: Modulation of Oxidative Stress and Inflammation. Toxicon 2023, 231, 107177. [Google Scholar] [CrossRef]
- Hsu, Y.W.; Chen, Y.Y.; Tsai, C.F. Protective Effects of Chlorogenic Acid against Carbon Tetrachloride-Induced Hepatotoxicity in Mice. Processes 2022, 10, 31. [Google Scholar] [CrossRef]
- Zou, L.; Chen, S.; Li, L.; Wu, T. The Protective Effect of Hyperoside on Carbon Tetrachloride-Induced Chronic Liver Fibrosis in Mice via Upregulation of Nrf2. Exp. Toxicol. Pathol. 2017, 69, 451–460. [Google Scholar] [CrossRef] [PubMed]
- Choi, J.; Kim, D.-W.; Yun, N.; Choi, J.-S.; Islam, N.M.; Kim, Y.-S.; Lee, S.-M. Protective Effects of Hyperoside against CarbonTetrachloride-Induced Liver Damage in Mice. J. Nat. Prod. 2011, 74, 1055–1060. [Google Scholar] [CrossRef]
- Domitrović, R.; Rashed, K.; Cvijanović, O.; Vladimir-Knežević, S.; Škoda, M.; Višnić, A. Myricitrin Exhibits Antioxidant, Anti-Inflammatory and Antifibrotic Activity in Carbon Tetrachloride-Intoxicated Mice. Chem. Biol. Interact. 2015, 230, 21–29. [Google Scholar] [CrossRef]
- Qiusheng, Z.; Xiling, S.; Xubo; Gang, L.; Meng, S.; Changhai, W. Protective Effects of Luteolin-7-Glucoside against Liver Injury Caused by Carbon Tetrachloride in Rats. Pharmazie 2004, 59, 286–289. [Google Scholar]
- Li, L.; Lan, Y.; Wang, F.; Gao, T. Linarin Protects Against CCl4-Induced Acute Liver Injury via Activating Autophagy and Inhibiting the Inflammatory Response: Involving the TLR4/MAPK/Nrf2 Pathway. Drug Des. Dev. Ther. 2023, 17, 3589–3604. [Google Scholar] [CrossRef]
- Dimitrios, B. Sources of Natural Phenolic Antioxidants. Trends Food Sci. Technol. 2006, 17, 505–512. [Google Scholar] [CrossRef]
- Bezerra, D.P.; Soares, A.K.N.; De Sousa, D.P. Overview of the Role of Vanillin on Redox Status and Cancer Development. Oxid. Med. Cell. Longev. 2016, 2016, 9734816. [Google Scholar] [CrossRef]
- Kalra, A.; Yetiskul, E.; Wehrle, C.J.; Tuma, F. Physiology, Liver; StatPearls Publishing: Treasure Island, FL, USA, 2023. [Google Scholar]
- Saran, A.R.; Dave, S.; Zarrinpar, A. Circadian Rhythms in the Pathogenesis and Treatment of Fatty Liver Disease. Gastroenterology 2020, 158, 1948–1966.e1. [Google Scholar] [CrossRef]
- Shetty, A.; Hsu, J.W.; Manka, P.P.; Syn, W.K. Role of the Circadian Clock in the Metabolic Syndrome and Nonalcoholic Fatty Liver Disease. Dig. Dis. Sci. 2018, 63, 3187–3206. [Google Scholar] [CrossRef]
- Mirmiran, P.; Amirhamidi, Z.; Ejtahed, H.S.; Bahadoran, Z.; Azizi, F. Relationship between Diet and Non-Alcoholic Fatty Liver Disease: A Review Article. Iran. J. Public Health 2017, 46, 1007–1017. [Google Scholar]
- Konieczna, J.; Fiol, M.; Colom, A.; Martínez-González, M.Á.; Salas-Salvadó, J.; Corella, D.; Soria-Florido, M.T.; Martínez, J.A.; Alonso-Gómez, Á.M.; Wärnberg, J.; et al. Does Consumption of Ultra-Processed Foods Matter for Liver Health? Prospective Analysis among Older Adults with Metabolic Syndrome. Nutrients 2022, 14, 4142. [Google Scholar] [CrossRef] [PubMed]
- Johra, F.T.; Hossain, S.; Jain, P.; Bristy, A.T.; Emran, T.; Ahmed, R.; Sharker, S.M.; Bepari, A.K.; Reza, H.M. Amelioration of CCl4-Induced Oxidative Stress and Hepatotoxicity by Ganoderma lucidum in Long Evans Rats. Sci. Rep. 2023, 13, 9909. [Google Scholar] [CrossRef] [PubMed]
Disclaimer/Publisher’s Note: The statements, opinions and data contained in all publications are solely those of the individual author(s) and contributor(s) and not of MDPI and/or the editor(s). MDPI and/or the editor(s) disclaim responsibility for any injury to people or property resulting from any ideas, methods, instructions or products referred to in the content. |
© 2024 by the authors. Licensee MDPI, Basel, Switzerland. This article is an open access article distributed under the terms and conditions of the Creative Commons Attribution (CC BY) license (https://creativecommons.org/licenses/by/4.0/).




