Next Article in Journal
Benefits of Water Aerobic Exercise on Mental Health Outcomes in Severe Mental Illness: The Effects of Sex
Previous Article in Journal
A Review of the Current Status, Challenges, and Opportunities of Human Milk Banks in Africa for Reducing Infant Mortality
 
 
Font Type:
Arial Georgia Verdana
Font Size:
Aa Aa Aa
Line Spacing:
Column Width:
Background:
Review

Antenatal Therapies in Congenital Pulmonary Cystic Adenomatoid Malformation: Current Knowledge

by
Anna Luiza Vidal França
1,
Carolina Longo
2,
Edward Araujo Júnior
2,3,*,
Maurício Saito
4,
Alberto Borges Peixoto
5,6,
Paulo Roberto Nassar de Carvalho
1,
Liliam Cristine Rolo
2 and
Fernando Maia Peixoto-Filho
1
1
Institute for Health Technology Studies (IETECS), Rio de Janeiro 20021-060, Brazil
2
Department of Obstetrics, Paulista School of Medicine, Federal University of São Paulo (EPM-UNIFESP), São Paulo 04023-062, Brazil
3
Discipline of Woman Health, Municipal University of São Caetano do Sul (USCS), São Caetano do Sul 09521-160, Brazil
4
CONCEPTUS—Fetal Medicine Center, São Paulo 04001-084, Brazil
5
Gynecology and Obstetrics Service, Mário Palmério University Hospital, University of Uberaba (UNIUBE), Uberaba 38050-175, Brazil
6
Department of Obstetrics and Gynecology, Federal University of Triângulo Mineiro (UFTM), Uberaba 38025-440, Brazil
*
Author to whom correspondence should be addressed.
Submission received: 7 December 2024 / Revised: 16 January 2025 / Accepted: 17 February 2025 / Published: 20 February 2025

Abstract

Congenital cystic adenomatoid malformation (CCAM) is a rare fetal lung anomaly characterized by benign multicystic masses that can lead to severe complications, such as pulmonary hypoplasia, fetal hydrops, and neonatal death. This literature review examines current knowledge on antenatal therapies for CCAM, focusing on pharmacological, procedural, and surgical interventions. Betamethasone, the first-line pharmacological treatment, has shown efficacy in reducing lesion size and resolving hydrops, particularly in microcystic CCAM. Procedural options, such as thoracoamniotic shunting, are effective for macrocystic lesions but carry risks including preterm labor and thoracic deformities. Open fetal surgery remains a last-resort intervention for severe cases, while emerging techniques, like percutaneous laser ablation and sclerotherapy, offer promising minimally invasive alternatives. A proposed treatment algorithm emphasizes individualized care based on lesion type, gestational age, and the presence of complications. The authors searched the US National Library of Medicine Database, Google Scholar, and PubMed Central to gather information on antenatal therapies for CCAM. This review emphasizes that, despite significant advancements, considerable challenges persist, underscoring the need for prospective studies to refine therapeutic protocols and assess long-term outcomes.

1. Introduction

Congenital cystic adenomatoid malformation (CCAM) is an anomaly consisting of benign, non-functioning multicystic masses that typically appear in a single lobe of the lung and result from overgrowth of the terminal bronchioles without differentiation of the epithelial and mesenchymal components [1,2]. It was first described in the literature in 1949 by Ch’In and Tang, who characterized it as a rare cystic hamartomatous lesion [3]. Despite being one of the most common lung lesions diagnosed prenatally, its prevalence remains low, ranging from 1 in 8300 to 35,000 live births [4].
The prenatal detection of congenital cystic adenomatoid malformation (CCAM) has significantly improved with advancements in ultrasonography and fetal imaging techniques, enabling early diagnosis and risk stratification. These diagnostic capabilities have also facilitated the development of antenatal therapeutic approaches aimed at managing life-threatening complications, such as hydrops and mediastinal compression, which can arise in severe cases. Current treatment options include expectant management for stable lesions and a spectrum of interventions for more complex presentations. Understanding the indications, outcomes, and limitations of these therapies is essential for optimizing care and improving prognoses for affected fetuses and their mothers.

2. Materials and Methods

The authors conducted a systematic literature search across the US National Library of Medicine Database, Google Scholar, and PubMed Central to identify studies addressing antenatal therapies for CCAM. The search strategy was developed to maximize coverage and relevance, utilizing a combination of specific and broad terms (i.e., ‘fetus’, ‘congenital cystic adenomatoid malformation’, ‘congenital cystic adenomatoid malformation therapy’, ‘betamethasone’, ‘thoracoamniotic shunting’, and ‘laser ablation’). These terms are based on established categories in the literature that classify antenatal therapies into conservative (e.g., pharmacological interventions such as corticosteroids) and invasive approaches (e.g., thoracoamniotic shunting, open fetal surgery, and laser ablation), ensuring alignment with widely recognized treatment paradigms. Boolean operators (‘AND’, ‘OR’) and quotation marks were employed to refine the search and ensure the inclusion of studies directly related to the research objectives.
After the initial search, duplicate records were removed, and a screening process was applied based on pre-defined inclusion and exclusion criteria. Articles were included if they were peer-reviewed and focused on antenatal therapeutic interventions for CCAM. Exclusion criteria comprised studies lacking primary data, case reports without significant clinical insights, and publications unrelated to the therapeutic management of CCAM. All but one of the articles were published in English. This article, written in Spanish, was included due to its publication in a journal widely recognized in South America. The authors, one fluent in Spanish, deemed it unnecessary to exclude this relevant contribution. Additionally, the UpToDate platform was used as a complementary resource to cross-check information and ensure coverage of practical clinical perspectives. The references of all included studies were manually reviewed to identify any relevant articles not captured in the initial search. This initial search yielded a comprehensive set of articles, eliminating the need for additional keyword rounds, as no novel therapeutic approaches beyond those already identified were uncovered during this process.
From this process, 41 articles were selected for inclusion in the review. These articles were prioritized based on their methodological rigor, publication date (with a focus on studies published from 2000 onwards), and relevance to key therapeutic modalities. This systematic approach ensured a comprehensive and reliable synthesis of the existing evidence on antenatal therapies for CCAM. Additionally, while this article is a literature review, we have included original ultrasonographic images produced by the authors to visually exemplify key anatomical features and complications of CCAM. These images serve as illustrative support to the findings discussed in the reviewed literature.

3. Diagnosis and Classification

Early detection is essential for prenatal and postnatal follow-up and is directly related to lesion size, degree of mediastinal deviation, fetal hemodynamics, and associated anomalies [5]. Prenatal diagnosis of CCAM is based on ultrasound findings (Table 1), most commonly detected in the second trimester of pregnancy and classified into three subtypes according to Stocker [5,6] (Table 2 and Figure 1). Although magnetic resonance imaging (MRI) has high sensitivity and specificity for detecting lung lesions, it has not been shown to add diagnostic or prognostic value over ultrasound [4] (Figure 2).
In the general prognosis of CCAM, the size of the lesions and the underlying growth characteristics are more relevant than the histologic type. Recent studies are consistent with the literature and show that lung masses reach their maximum size between 24 and 28 weeks of gestation [4]. The microcystic subtype, which corresponds to a solid echogenic mass, tends to regress spontaneously after 26 to 28 weeks of gestation. However, the macrocystic subtype, which presents with single or multiple cysts 5 mm or larger in diameter, usually does not regress because of fluid accumulation within the cysts, resulting in an increased risk of pulmonary hypoplasia, pleural effusion, fetal hydrops, and subsequent fetal death [7] (Figure 3).
In 2002, it was hypothesized that the volume of the lesion could predict whether hydrops would occur, and the CCAM volume ratio (CVR) was developed, which is calculated by measuring the three dimensions of the lung lesion using the formula for the volume of a prolate ellipse (length × width × height × 0.52) and dividing by the fetal head circumference [8]. A CVR > 1.6 is considered predictive of the risk of hydrops and neonatal complications, while a CVR < 0.9 indicates a favorable prognosis [5]. Recently, some authors have recommended the initiation of therapy in fetuses with CCAM with a CVR > 1.4, because in some cases, lesions with a CVR of 1.4 will increase to 1.6 in approximately 7 to 14 days [9] (Figure 4).
Antenatal interventions for CCAM are indicated taking into account gestational age, size of the lung lesion, presence of fetal hydrops and maternal comorbidities. Given that the best treatment for fetuses diagnosed with high-risk CCAM is still controversial, this review of the literature on the most relevant antenatal therapies is timely.

4. Types of Antenatal Therapy in Congenital Pulmonary Cystic Adenomatoid Malformation

4.1. Maternal Administration of Betamethasone

The maternal use of corticosteroids has been performed in pregnancies with CCAM in an attempt to reduce the size of the lesion and reverse fetal hydrops. Although the mechanism is still unknown [10], corticosteroids are considered the first-line treatment for CCAM [8]. Two doses of 12 milligrams (mg) of betamethasone are given intramuscularly (IM) 24 h apart. Proposed mechanisms of action include the induction of maturation of pulmonary cells, which directly affects the size and growth of lung lesions, or direct impairment of lesion size and growth [11]. The corticosteroid cycle is indicated in patients with gestational age < 32 weeks with hydropic fetuses or at risk of developing hydrops due to CVR > 1.6 [5]. Curran et al. [12] evaluated the effect of prenatal use of a single cycle of steroids in patients with predominantly microcystic lesions and/or a CVR > 1.6. Lesion reduction was observed in 61% of the cases, and fetal hydrops was resolved in 78%. The neonatal survival rate is approximately 85%. Recent studies suggest the therapeutic benefit of single or multiple courses of steroids in microcystic CCAM, showing resolution of hydrops in 80% of cases [1]. Studies have also shown that fetuses with microcystic lesions respond better to treatment with betamethasone than fetuses with macrocystic lesions [13,14,15].
In a retrospective study, a significant number of fetuses with CCAM who did not respond to the first cycle of corticosteroids stabilized or improved after receiving 2 or 3 courses of betamethasone with a mean interval of 2 weeks between administrations, which is indicated in cases of high CVR, lesion growth, or persistent hydrops [5]. An integrative review that analyzed 4 retrospective descriptive observational studies showed that the group of fetuses that received only one course of corticosteroids had a 70% rate of resolution of hydrops and a survival rate of 83.8%, while fetuses treated with 2 or more courses had an improvement in hydrops in 47% of cases and a survival rate of 81.8% [6].
Furthermore, findings from a multicenter, double-blinded, randomized controlled trial revealed that reductions in birth weight and an increase in small for gestational age newborns were observed only when 4 or more courses of antenatal betamethasone were administered [16]. This underscores the safety of repeating prenatal corticosteroid courses under controlled circumstances [17]. However, some authors suggest that the use of corticosteroids may have no effect on CCAM, as the growth of pulmonary lesions tends to stabilize around 26–28 weeks of gestational age, which coincides with the time of maternal betamethasone administration [5,18].

4.2. Thoracoamniotic Shunting

Thoracoamniotic shunts have been used to treat fetal lung anomalies and to relieve fetal pulmonary effusions that are rapidly growing or at risk of causing hydrops and/or pulmonary hypoplasia [3]. Thoracoamniotic shunts have been shown to reduce the amount of pleural effusion and the size of the cystic mass (in macrocystic CCAM), thereby achieving resolution of hydrops and improving neonatal survival, morbidity, and mortality [9]. In cases of associated congenital anomalies, genetic analysis by microarray and/or exome is required prior to surgical treatment of CCAM.
Thorpe-Beeston et al. [19] emphasized that thoracoamniotic shunting, a minimally invasive approach for draining large cysts that cause mediastinal shift and contralateral lung compression, has been associated with favorable clinical outcomes. However, despite its benefits, this procedure carries notable risks. Thoracoamniotic shunt is an invasive intrauterine procedure that can be associated with the risk of maternal complications, such as infection, maternal vascular damage, uterine hematoma, and shunt implantation in the uterine wall, as well as fetal complications, such as premature rupture of ovular membranes (PROM), preterm birth, bradycardia, umbilical cord occlusion, umbilical cord trauma, shunt lodgment in the chest, traumatic hemothorax, unilateral arm edema, chest wall deformity, and fetal demise [20]. Additionally, thoracic deformities have been reported as a complication related to the procedure. Evidence suggests that the severity of these deformities may be linked to shunting performed at earlier gestational ages (≤21 weeks), possibly because the rib cage is smaller and more flexible at this developmental stage [20]. Thoracoamniotic shunts may also dislodge, migrate, or occlude, requiring reinsertion (10–20%).
Nevertheless, in cases of prenatal thoracic anomalies associated with hydrops, with large or rapidly growing lesions, thoracoamniotic shunting has been shown to markedly enhance perinatal survival rates [21]. The effectiveness of thoracoamniotic shunting in draining dominant macrocysts in complex subtype I CCAM has been consistently highlighted in various cohort studies and case reports [22,23]. Wilson et al. [22] performed a retrospective analysis to assess thoracoamniotic shunt placement as a treatment option for primary pleural effusion or macrocystic CCAM in fetuses presenting with hydrops or a high risk of pulmonary hypoplasia. In cases of hydrops prior to shunting, in utero shunt therapy resolved hydrops in 7 out of 9 fetuses (78%). Perinatal mortality rates were 33% in the pleural effusion group and 30% in the CCAM group. The study found no significant differences in gestational age at the time of shunting or in CCAM volume and lesion laterality between survivors and non-survivors. However, a clinically significant reduction in CCAM mass volume and CVR was observed following shunting [22] (Figure 5).

4.3. Open Surgery

Open fetal surgery represents a groundbreaking treatment approach for fetuses diagnosed with CCAM complicated by significant non-immune hydrops. This approach is generally reserved for cases where conservative methods, such as thoracentesis or thoracoamniotic shunting, fail to yield improvement. Key factors influencing the decision to undertake open fetal surgery include the size and type of the lesion, as well as the presence of fetal hydrops [24].
The first successful cases of open fetal surgery for CCAM were documented in 1990. These involved surgical removal of the affected pulmonary lobes in two fetuses. In one instance, surgery performed at 23 weeks of gestation resulted in the delivery of a healthy newborn at 30 weeks, with no signs of pulmonary hypoplasia. Conversely, the second case, which involved a fetus with severe hydrops, ended in preterm birth and neonatal death. These contrasting outcomes highlight the importance of early intervention, preferably before the development of placentomegaly, severe hydrops, or maternal complications, like mirror syndrome, to optimize success rates [25].
A common surgical method involves accessing the fetal chest through a thoracotomy at the 5th intercostal space to remove the affected pulmonary lobe(s). Adapted from experimental models, this technique effectively decompresses the lesion, alleviating intrathoracic pressure and facilitating the expansion of the normal lung. Post-surgery, meticulous closure of both fetal and maternal incisions, along with the introduction of a warmed antibiotic solution into the amniotic sac, promotes favorable recovery outcomes [25].
Open fetal surgery for severe CCAM with hydrops carries significant risks, including preterm birth, PROM [26], pulmonary edema, and the need for transfusion [27]. Additionally, it poses long-term complications, such as an elevated risk of preterm delivery (22%) and uterine rupture (14%) in subsequent pregnancies [28]. These substantial risks highlight the importance of exploring alternative, minimally invasive treatment approaches for these life-threatening lung lesions. Nevertheless, despite its challenges, open fetal surgery remains a potentially life-saving option for cases of severe CCAM complicated by hydrops. Carefully selected cases have shown promising outcomes, including long-term survival and significant compensatory growth of the remaining hypoplastic lung tissue. To ensure the best results, a thorough preoperative evaluation is essential. This includes karyotype analysis and advanced imaging to rule out any additional anomalies. Such assessments help identify appropriate candidates for the procedure and allow families to make informed decisions by clearly understanding the associated risks and potential benefits of this complex intervention [25,29].
Considering the high perioperative mortality rate linked to lobectomy, open fetal surgery for treating CCAM with hydrops is more invasive and demanding compared to less invasive therapies. However, surgical removal of the tumor mass provides a definitive treatment, and fetuses who survive the immediate postoperative period generally have a favorable recovery [30].

4.4. Percutaneous Laser Ablation

Although open fetal lobectomy can enhance perinatal outcomes, its survival rate remains relatively low, with success reported in only up to 50% of cases. Additionally, open fetal surgery is linked to considerable maternal health risks, including complications from uterine scarring, hemorrhage, hysterectomy, and placental abruption. For the fetus, such procedures also increase the likelihood of prematurity and infection [22,31,32].
To minimize these risks, less invasive treatment options have been developed, with intra-fetal laser therapy being one potential approach. The use of laser therapy was first documented by Fortunato et al. [33] in 1997. Building on this foundation, Ruano et al. [34], in a six-year retrospective study, investigated the use of percutaneous laser therapy in fetuses with microcystic lung lesions associated with hydrops. Their research compared two laser ablation techniques: ‘interstitial’ ablation and ‘vascular’ ablation. The results indicate that vascular ablation is a viable, less invasive solution for hydropic fetuses with bronchopulmonary sequestration. However, for hydropic fetuses with microcystic CCAM, interstitial laser ablation was found to be less effective. These findings underscore the importance of tailoring treatment strategies to the specific characteristics of the fetal lung anomaly.
Ong et al. [35] reported a successful outcome following laser therapy in a case involving a fetal microcystic lung lesion. While it is difficult to draw definitive conclusions from a single case, their findings suggest that laser treatment in a hydropic fetus with microcystic lung disease is a justified option in carefully selected cases. They emphasize that the primary objective of laser therapy should not be the aggressive destruction of the lesion but rather its size reduction, allowing the natural progression of the disease process and eventual regression of the lesion. Ong et al. [35] advocate for a cautious and conservative approach, highlighting the importance of carefully determining the target dose, selecting the appropriate method of administration, and avoiding repeated treatments (Figure 6).
Similarly to laser ablation, Klinkner et al. [36] reported the successful use of ultrasound-guided radiofrequency ablation in a 21-week gestation hydropic fetus with CCAM, resulting in the resolution of hydrops. Despite persistent mediastinal shift and polyhydramnios noted later in pregnancy, maternal gestational hypertension led to delivery at 37 weeks via Cesarean section. Postnatally, the infant experienced respiratory distress and underwent a thoracoscopic right lower lobectomy on day 3 of life due to large cysts and pneumothorax. Recovery was uneventful, with the infant discharged on room air by postoperative day 11. Pathology confirmed a type 1 CCAM. The study highlights in utero radiofrequency ablation as a potential adjunct for managing large CCAM cases.

4.5. Percutaneous Sclerotherapy

As a new therapeutic option, percutaneous sclerotherapy may be indicated for large microcystic CCAM in hydropic fetuses that have not responded to the use of corticosteroids. There is limited experience in the literature, and studies have reported relevant side effects, including pain, pruritus, ulceration, hyperpigmentation, nausea/vomiting, headache, thrombophlebitis, deep vein thrombosis, and anaphylaxis [21].
In one case report, the fetus had a solid microcystic CCAM involving the right lung measuring 48 × 40 × 46 mm (mm) with a CVR of 2.39 associated with mediastinal shift and hydrops (ascites and nuchal edema). Three cycles of betamethasone were administered without improvement of the hydrops. Percutaneous sclerotherapy (2 milligrams of 3% sodium tetradecyl sulfate) of the lesion was then indicated, resulting in a significant improvement in fetal hemodynamics within 4 days [21]. In another study of 8 hydropic fetuses diagnosed with CCAM, 3 with microcystic lesions and 5 with mixed lesions, the hydrops resolved between 4 days and 6 weeks, and all were born at term. However, one infant was reported to have died from nosocomial sepsis, and one of the fetuses developed recurrent hydrops within 3 weeks [1].
Percutaneous sclerotherapy has been more commonly used in CCAM with pulmonary sequestration associated with hydrops, resulting in sclerosis of the feeding vessel and a dramatic reduction in hydrops; however, there are risks, such as dissemination of sclerosant and adhesions [34].

5. Treatment Algorithm

An algorithm for managing fetuses diagnosed with CCAM has been proposed by Adzick et al. [24]. The management begins with an initial assessment to verify the diagnosis and evaluate any associated complications. This involves a detailed ultrasound to confirm the diagnosis, followed by amniocentesis or percutaneous umbilical blood sampling to exclude chromosomal abnormalities, and a fetal echocardiogram to identify any congenital heart conditions [29].
If a life-threatening anomaly is detected in the fetus or if the mother develops mirror syndrome, the family may choose to terminate the pregnancy due to the substantial risks involved. In cases of isolated CCAM, a thorough evaluation is conducted to assess the severity of the condition, which can vary significantly. When the fetus is not hydropic, the management approach focuses on ongoing surveillance through regular ultrasound scans throughout the pregnancy. Many lesions may remain stable or even shrink over time, and in these cases, the emphasis shifts to preparing for optimal care following birth. These cases often have favorable outcomes, and surgical intervention can typically be postponed until after delivery.
In cases where fetuses present with hydrops at the time of diagnosis or develop hydrops later, a more aggressive approach to management is required, with the treatment plan largely influenced by the fetus’s gestational age. For fetuses older than 32 weeks, early delivery may be considered to facilitate postnatal removal of the lesion. However, the outlook for neonates in these situations is often poor. To improve survival outcomes, an ex utero intrapartum therapy (EXIT) procedure may be utilized [37]. This innovative technique allows for the removal of the lesion while maintaining placental support, helping to stabilize the newborn and ensuring a smoother transition to independent breathing [29].
For hydropic fetuses under 32 weeks of gestation, prenatal intervention may be considered to manage the lesion. The development or progression of hydrops associated with isolated CCAM before lung maturity often necessitates the evaluation of fetal surgery. While fetal thoracentesis can temporarily relieve fluid accumulation, its effectiveness is limited by the rapid reaccumulation of cystic fluid and does not significantly improve long-term outcomes. Thoracoamniotic shunting is a viable treatment option for cases involving a large, predominantly cystic lesion, provided there is no significant solid component to the CCAM [38,39]. In contrast, CCAM lesions that are multicystic or primarily solid do not respond well to catheter-based decompression and generally necessitate surgical removal. For these situations, fetal lobectomy is considered a practical treatment option [24].
This algorithm underscores the importance of individualized care, with decisions tailored to the severity of the condition, the presence of complications, and the gestational age. Figure 7 summarizes this structured approach, providing a clear visual representation of the key decision points and management pathways.
For surgical treatment of CCAM, the anesthetic approach plays a critical role. Gupta et al. [40] conducted an extensive review, highlighting valuable insights. One notable procedure is fetal in utero lobectomy, typically performed during mid-gestation. Following the surgery, the fetus is returned to the uterus to continue developing until term. They referenced Harrison et al. [25], who performed the first open fetal surgery in 1990. In that case, the mother received preoperative indomethacin and nafcillin. General anesthesia aimed to maintain uteroplacental blood flow by ensuring uterine relaxation through deep inhalational anesthesia, coupled with amnio-infusion to sustain uterine volume. Intraoperative fetal monitoring was achieved via electrocardiography and neonatal radial artery pulse oximetry. A thoracotomy through the right fifth intercostal space enabled resection of the large middle lobe CCAM. The procedure concluded with the administration of 500 mg of nafcillin into the amniotic cavity and meticulous closure of uterine layers. EXIT procedures, involving fetal thoracotomy and lobectomy, are typically reserved for fetuses with large malformations, severely compromised airways, or hydrops. These interventions are performed before umbilical cord clamping. However, complications can arise during EXIT procedures, including cord compression, placental abruption, or loss of uterine relaxation. In some cases, the neonate may require extracorporeal membrane oxygenation (ECMO) postoperatively.
Although various treatment options are well-documented in the literature, a recent prospective cohort study provides further insights. This study analyzed data from 435 singleton fetuses prenatally diagnosed with CCAM, drawn from a nationally representative cohort across 35 multidisciplinary prenatal diagnosis centers in France between March 2015 and June 2018. Among these cases, 6% of the fetuses underwent at least one form of fetal therapy, including thoracoamniotic shunts, antenatal steroids, or a combination of interventions, such as thoracentesis, amniodrainage, shunts, and steroids. Notably, fetuses receiving these treatments displayed more severe signs of compression and higher CVR values during pregnancy compared to those who did not undergo therapy [41]. These findings emphasize the challenges in evaluating fetal therapy outcomes for CCAM and call for further studies to refine treatment strategies and assess their long-term efficacy.

6. Conclusions

The management of CCAM has witnessed significant advancements, transforming a once predominantly fatal condition into one with a spectrum of antenatal therapeutic options. From pharmacological interventions, like betamethasone, to procedural techniques, such as thoracoamniotic shunting, percutaneous sclerotherapy, and open fetal surgery, these treatments provide hope for improved survival and quality of life in affected fetuses. However, each approach comes with distinct benefits and limitations, requiring precise patient selection, careful timing, and interdisciplinary collaboration to achieve optimal outcomes.
While antenatal corticosteroids remain a cornerstone for managing high-risk microcystic lesions, interventions, such as thoracoamniotic shunting and open fetal surgery, play crucial roles in addressing macrocystic lesions and severe cases with hydrops. Novel approaches, including percutaneous sclerotherapy, offer promise but require further investigation to establish safety and efficacy. The natural course of CCAM lesions and the risks associated with invasive procedures highlight the importance of ongoing monitoring and individualized treatment planning.
Looking forward, there is a pressing need for comprehensive prospective studies to refine therapeutic protocols and establish clearer guidelines for antenatal management. Long-term follow-up studies will be instrumental in understanding the broader impact of these therapies on respiratory function, development, and overall health. Furthermore, innovations in minimally invasive techniques and pharmacological strategies hold the potential to further enhance outcomes while minimizing risks.
The evolution of CCAM management underscores the importance of a multidisciplinary approach, bringing together expertise in maternal-fetal medicine, pediatric surgery, and neonatology. As research continues to advance, these collaborations will pave the way for even greater strides in the care of this complex and challenging condition.

Author Contributions

Conceptualization, E.A.J. and F.P.M.-F.; methodology, A.L.V.F. and P.R.N.d.C.; validation, L.C.R. and A.B.P.; formal analysis, C.L.; investigation, M.S.; resources, E.A.J.; data curation, A.L.V.F.; writing—original draft preparation, C.L.; writing—review and editing, E.A.J.; visualization, A.L.V.F., C.L., E.A.J., A.B.P., L.C.R., M.S., P.R.N.d.C. and F.P.M.-F.; supervision, F.P.M.-F.; project administration, E.A.J. All authors have read and agreed to the published version of the manuscript.

Funding

This research received no external funding.

Institutional Review Board Statement

Our investigations were carried out following the rules of the Declaration of Helsinki of 1975, revised in 2013.

Informed Consent Statement

Not applicable.

Data Availability Statement

The data presented in this study are available on request from the corresponding author.

Conflicts of Interest

The authors report no conflicts of interest.

References

  1. Lima, J.S.; Camargos, P.A.; Aguiar, R.A.; Campos, A.S.; Aguiar, M.J. Pre and perinatal aspects of congenital cystic adenomatoid malformation of the lung. J. Mater. Fetal Neonatal Med. 2014, 27, 228–232. [Google Scholar] [CrossRef] [PubMed]
  2. Shamas, A.G.; Bohara, K. Congenital cystic adenomatoid malformation of the lung (CCAM), a retrospective clinical audit and literature review in a tertiary centre in Scotland over a period of 14 years. J. Obstet. Gynaecol. 2017, 37, 19–24. [Google Scholar] [CrossRef] [PubMed]
  3. Cruz-Martinez, R.; Martínez-Rodríguez, M.; Bermúdez-Rojas, M.; Magaña-Abarca, C.; Narvaez-Dominguez, V.; Rojas-Macedo, A.; Bautista-García, N.; Alcocer-Alcocer, M. Fetal laser ablation of feeding artery of cystic lung lesions with systemic arterial blood supply. Ultrasound Obstet. Gynecol. 2017, 49, 744–750. [Google Scholar] [CrossRef]
  4. Gallardo, A.M.; Álvarez de la Rosa, R.M.; De Luis, E.J.F.; Mendoza, R.L.; Padilla, P.A.I.; Troyano, L.J. Antenatal ultrasound diagnosis and neonatal results of the congenital cystic adenomatoid malformation of the lung. Rev Chil Pediatr. 2018, 89, 224–230. [Google Scholar]
  5. Fan, D.; Wu, S.; Wang, R.; Huang, Y.; Fu, Y.; Ai, W.; Liu, Z. Successfully treated congenital cystic adenomatoid malformation by open fetal surgery: A care-compliant case report of a 5-year follow-up and review of the literature. Medicine 2017, 96, e5865. [Google Scholar] [CrossRef]
  6. Egloff, A.; Bulas, D.I. Congenital Pulmonary Airway Malformation: Prenatal Diagnosis and Management. Available online: https://www.uptodate.com/contents/congenital-pulmonary-airway-malformation-prenatal-diagnosis-and-management?search=Malforma%C3%A7%C3%A3o%20pulmonar%20cong%C3%AAnita%20das%20vias%20a%C3%A9reas%3A%20diagn%C3%B3stico%20e%20tratamento%20pr%C3%A9-natal&source=search_result&selectedTitle=1%7E150&usage_type=default&display_rank=1 (accessed on 28 February 2024).
  7. Chou, J.T.T.; Kalantarova, A.; Borkowska-Kłos, M.; Kornacki, J.; Szczapa, T.; Wender-Ozegowska, E. Multidisciplinary management of a large microcystic congenital pulmonary airway malformation: Case report and literature review. J. Mater. Fetal Neonatal Med. 2023, 36, 2239424. [Google Scholar] [CrossRef]
  8. Min, J.Y.; Won, H.S.; Lee, M.Y.; Suk, H.J.; Shim, J.Y.; Lee, P.R.; Suk, H.-J.; Shim, J.-Y.; Lee, P.-R.; Kim, A. Intrauterine therapy for macrocystic congenital cystic adenomatoid malformation of the lung. Obstet. Gynecol. Sci. 2014, 57, 102–108. [Google Scholar] [CrossRef]
  9. Molina-Giraldo, S.; Hincapié, C.F.; Suarez, E.A.; López, O.; Acuña, E.; Rojas, J.L. Utilidad de la quimioterapia con corticoides en la reducción de volumen de las lesiones en fetos con malformación congénita de la vía aérea pulmonar (MCVAP): Serie de casos. Rev. Chil. Obstet. Ginecol. 2019, 84, 208–216. [Google Scholar] [CrossRef]
  10. Rolo, L.C.; Ribeiro, G.D.; Caldas, J.V.J.; Coutinho, L.G.; Muniz, T.D.; Araujo Júnior, E. Perinatal outcomes of prenatal diagnosis of congenital pulmonary airway malformation: An experience. Rev. Assoc. Med. Bras. 2022, 68, 1582–1586. [Google Scholar] [CrossRef]
  11. Peranteau, W.H.; Boelig, M.M.; Khalek, N.; Moldenhauer, J.S.; Martinez-Poyer, J.; Hedrick, H.L.; Flake, A.W.; Johnson, M.P.; Adzick, N.S. Effect of single and multiple courses of maternal betamethasone on prenatal congenital lung lesion growth and fetal survival. J. Pediatr. Surg. 2016, 51, 28–32. [Google Scholar] [CrossRef]
  12. Curran, P.F.; Jelin, E.B.; Rand, L.; Hirose, S.; Feldstein, V.A.; Goldstein, R.B.; Lee, H. Prenatal steroids for microcystic congenital cystic adenomatoid malformations. J. Pediatr. Surg. 2010, 45, 145–150. [Google Scholar] [CrossRef] [PubMed]
  13. Peranteau, W.H.; Wilson, R.D.; Liechty, K.W.; Johnson, M.P.; Bebbington, M.W.; Hedrick, H.L.; Adzick, N.S. Effect of maternal betamethasone administration on prenatal congenital cystic adenomatoid malformation growth and fetal survival. Fetal Diagn. Ther. 2007, 22, 365–371. [Google Scholar] [CrossRef] [PubMed]
  14. Tsao, K.; Hawgood, S.; Vu, L.; Hirose, S.; Sydorak, R.; Albanese, C.T.; Farmer, D.L.; Harrison, M.R.; Lee, H. Resolution of hydrops fetalis in congenital cystic adenomatoid malformation after prenatal steroid therapy. J. Pediatr. Surg. 2003, 38, 508–510. [Google Scholar] [CrossRef]
  15. Yamashita, A.; Hidaka, N.; Yamamoto, R.; Nakayama, S.; Sasahara, J.; Ishii, K.; Mitsuda, N. In utero resolution of microcystic congenital cystic adenomatoid malformation after prenatal betamethasone therapy: A report of three cases and a literature review. J. Clin. Ultrasound. 2015, 43, 451–457. [Google Scholar] [CrossRef]
  16. Wapner, R.J.; Sorokin, Y.; Thom, E.A.; Johnson, F.; Dudley, D.J.; Spong, C.Y.; Peaceman, A.M.; Leveno, K.J.; Harper, M.; Caritis, S.N.; et al. Single versus weekly courses of antenatal corticosteroids: Evaluation of safety and efficacy. Am. J. Obstet. Gynecol. 2006, 195, 633–642. [Google Scholar] [CrossRef]
  17. Derderian, S.; Coleman, A.; Jeanty, C.; Lim, F.; Shaaban, A.; Farrell, J.; Lee, H. Favorable outcomes in high-risk congenital pulmonary airway malformations treated with multiple courses of maternal betamethasone. J. Pediatr. Surg. 2015, 50, 515–518. [Google Scholar] [CrossRef]
  18. Khalek, N.; Johnson, M.P. Management of prenatally diagnosed lung lesions. Semin. Pediatr. Surg. 2013, 22, 24–29. [Google Scholar] [CrossRef]
  19. Thorpe-Beeston, J.; Nicolaides, K. Cystic adenomatoid malformation of the lung: Prenatal diagnosis and outcome. Prenat. Diagns. 1994, 14, 677–688. [Google Scholar] [CrossRef]
  20. Merchant, A.M.; Peranteau, W.; Wilson, R.D.; Johnson, M.P.; Bebbington, M.W.; Hedrick, H.L.; Flake, A.W.; Adzick, N.S. Postnatal chest wall deformities after fetal thoracoamniotic shunting for congenital cystic adenomatoid malformation. Fetal Diagn. Ther. 2007, 22, 435–439. [Google Scholar] [CrossRef]
  21. Abbasi, N.; Morency, A.M.; Langer, J.C.; Chiu, P.P.; Chami, R.; Windrim, R.; Keunen, J.; Seaward, G.; Ryan, G. Fetal Sclerotherapy for Hydropic congenital cystic Adenomatoid malformations of the lung refractory to steroids: A case report and review of the literature. Fetal Diagn. Ther. 2020, 47, 24–33. [Google Scholar] [CrossRef]
  22. Wilson, R.D.; Baxter, J.K.; Johnson, M.P.; King, M.; Kasperski, S.; Crombleholme, T.M.; Flake, A.W.; Hedrick, H.L.; Howell, L.J.; Adzick, N.S. Thoracoamniotic shunts: Fetal treatment of pleural effusions and congenital cystic adenomatoid malformations. Fetal Diagn. Ther. 2004, 19, 413–420. [Google Scholar] [CrossRef]
  23. Bernaschek, G.; Deutinger, J.; Hansmann, M.; Bald, R.; Holzgreve, W.; Bollmann, R. Feto-amniotic shunting—Report of the experience of four european centres. Prenat. Diagn. 1994, 14, 821–833. [Google Scholar] [CrossRef] [PubMed]
  24. Adzick, N.S. Open fetal surgery for life-threatening fetal anomalies. Semin. Fetal Neonatal Med. 2010, 15, 1–8. [Google Scholar] [CrossRef] [PubMed]
  25. Harrison, M.R.; Adzick, N.S.; Jennings, R.W.; Duncan, B.W.; deLorimier, A.; Goldberg, J.; Golbus, M.; Filly, R.; Rosen, M. Antenatal intervention for congenital cystic adenomatoid malformation. Lancet 1990, 336, 965–967. [Google Scholar] [CrossRef] [PubMed]
  26. Golombeck, K.; Ball, R.H.; Lee, H.; Farrell, J.A.; Farmer, D.L.; Jacobs, V.R.; Rosen, M.A.; Filly, R.A.; Harrison, M.R. Maternal morbidity after maternal-fetal surgery. Am. J. Obstet. Gynecol. 2006, 194, 834–839. [Google Scholar] [CrossRef]
  27. Al-Refai, A.; Ryan, G.; Van Mieghem, T. Maternal risks of fetal therapy. Curr. Opinion Obstet. Gynecol. 2017, 29, 80–84. [Google Scholar] [CrossRef]
  28. Wilson, R.D.; Lemerand, K.; Johnson, M.P.; Flake, A.W.; Bebbington, M.; Hedrick, H.L.; Adzick, N.S. Reproductive outcomes in subsequent pregnancies after a pregnancy complicated by open maternal-fetal surgery (1996–2007). Am. J. Obstet. Gynecol. 2010, 203, 209-e1. [Google Scholar] [CrossRef]
  29. Adzick, N.S.; Harrison, M.R.; Flake, A.W.; Howell, L.J.; Golbus, M.S.; Filly, R.A.; The UCSF Fetal Treatment Center. Fetal surgery for cystic adenomatoid malformation of the lung. J. Pediatr. Surg. 1993, 28, 806–812. [Google Scholar] [CrossRef]
  30. Bruner, J.P.; Jarnagin, B.K.; Reinisch, L. Percutaneous laser ablation of fetal congenital cystic adenomatoid malformation: Too little, too late? Fetal Diagn Ther. 2000, 15, 359–363. [Google Scholar] [CrossRef]
  31. Keswani, S.G.; Crombleholme, T.M.; Rychik, J.; Tian, Z.; MacKenzie, T.C.; Johnson, M.P.; Adzick, N.S. Impact of continuous intraoperative monitoring on outcomes in open fetal surgery. Fetal Diagn. Ther. 2005, 20, 316–320. [Google Scholar] [CrossRef]
  32. Tsao, K.; Albanese, C.T.; Harrison, M.R. Prenatal therapy for thoracic and mediastinal lesions. World J. Surg. 2003, 27, 77–83. [Google Scholar] [CrossRef] [PubMed]
  33. Fortunato, S.; Lombardi, S.; Daniell, J.; Ismael, S. Intrauterine laser ablation of a fetal cystic adenomatoid malformation with hydrops: The application of minimally invasive surgical techniques to fetal surgery. Am. J. Obstet. Gynecol. 1997, 1, S84. [Google Scholar] [CrossRef]
  34. Ruano, R.; da Silva, M.M.; Salustiano, E.M.A.; Kilby, M.D.; Tannuri, U.; Zugaib, M. Percutaneous laser ablation under ultrasound guidance for fetal hyperechogenic microcystic lung lesions with hydrops: A single center cohort and a literature review. Prenat. Diagn. 2012, 32, 1127–1132. [Google Scholar] [CrossRef] [PubMed]
  35. Ong, S.; Chan, S.; Ewer, A.; Jones, M.; Young, P.; Kilby, M. Laser ablation of foetal microcystic lung lesion: Successful outcome and rationale for its use. Fetal Diagn. Ther. 2006, 21, 471–474. [Google Scholar] [CrossRef]
  36. Klinkner, D.B.; Atwell, T.; Teles Abrao Trad, A.; Callstrom, M.R.; Qureshi, M.Y.; Bendel Stenzel, E.; Schenone, M.; Ruano, R. Innovative fetal therapy for a giant congenital pulmonary airway malformation with hydrops. Fetal Diagn. Ther. 2022, 49, 250–255. [Google Scholar] [CrossRef]
  37. Bouchard, S.; Johnson, M.P.; Flake, A.W.; Howell, L.J.; Myers, L.B.; Adzick, N.S.; Crombleholme, T.M. The EXIT procedure: Experience and outcome in 31 cases. J. Pediatr. Surg. 2002, 37, 418–426. [Google Scholar] [CrossRef]
  38. Dommergues, M.; Louis-Sylvestre, C.; Mandelbrot, L.; Aubry, M.C.; Révillon, Y.; Jarreau, P.H.; Dumez, Y. Congenital adenomatoid malformation of the lung: When is active fetal therapy indicated? Am. J. Obstet. Gynecol. 1997, 177, 953–958. [Google Scholar] [CrossRef]
  39. Adzick, N.S.; Harrison, M.R.; Crombleholme, T.M.; Flake, A.W.; Howell, L.J. Fetal lung lesions: Management and outcome. Am. J. Obstet. Gynecol. 1998, 179, 884–889. [Google Scholar] [CrossRef]
  40. Gupta, B.; Chaudhary, K.; Hayaran, N.; Neogi, S. Anesthetic considerations in patients with cystic pulmonary adenomatoid malformations. J. Anaesthesiol. Clin. Pharmacol. 2021, 37, 146–152. [Google Scholar] [CrossRef]
  41. Weber, M.; Monier, I.; Rahshenas, M.; Salomon, L.J.; Sananes, N.; Castaigne, V.; Houfflin-Debarge, V.; Jouannic, J.M.; Massardier, J.; Tsatsaris, V.; et al. Fetal Therapy for Congenital Pulmonary Malformations: A Prospective Population-Based National Cohort Study. Prenat. Diagn. 2024, 44, 1536–1547. [Google Scholar] [CrossRef]
Figure 1. Two-dimensional ultrasonography. Classification congenital adenomatoid cystic malformation. (A) Subtype I, (B) Subtype II, and (C) Subtype III. Source: the authors.
Figure 1. Two-dimensional ultrasonography. Classification congenital adenomatoid cystic malformation. (A) Subtype I, (B) Subtype II, and (C) Subtype III. Source: the authors.
Women 05 00007 g001
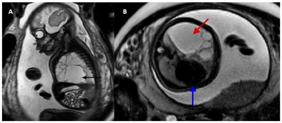
Figure 2. Magnetic resonance imaging T2-weighted of a fetus with congenital adenomatoid cystic malformation subtype III in sagittal view (black arrow) (A) and axial view (red arrow) (B). Heart (blue arrow) Source: the authors.
Figure 2. Magnetic resonance imaging T2-weighted of a fetus with congenital adenomatoid cystic malformation subtype III in sagittal view (black arrow) (A) and axial view (red arrow) (B). Heart (blue arrow) Source: the authors.
Women 05 00007 g002
Figure 3. Two-dimensional ultrasonography. Complications of congenital adenomatoid cystic malformation. (A) Axial plane at the level of the four-chambers view; mediastinal shift. (B) Sagittal thoraco-abdominal plane; hydrops. (C) Polyhydramnios. Source: the authors.
Figure 3. Two-dimensional ultrasonography. Complications of congenital adenomatoid cystic malformation. (A) Axial plane at the level of the four-chambers view; mediastinal shift. (B) Sagittal thoraco-abdominal plane; hydrops. (C) Polyhydramnios. Source: the authors.
Women 05 00007 g003
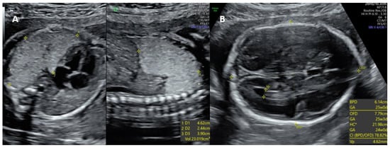
Figure 4. Two-dimensional ultrasonography. (A) Axial plane at the level of the four-chambers and sagittal thoraco-abdominal views; CCAM volume ratio (CVR) = (length × width × height × 0.52). (B) Transventricular plane; head circumference (B). Source: the authors.
Figure 4. Two-dimensional ultrasonography. (A) Axial plane at the level of the four-chambers and sagittal thoraco-abdominal views; CCAM volume ratio (CVR) = (length × width × height × 0.52). (B) Transventricular plane; head circumference (B). Source: the authors.
Women 05 00007 g004
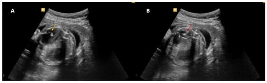
Figure 5. Two-dimensional ultrasonography. Thoracoamniotic shunting placement in a case of congenital adenomatoid cystic malformation subtype I. (A) Catheter penetration inside the cyst (yellow arrow). (B) Placement of the thoracoamniotic shunting (red arrow). Source: the authors.
Figure 5. Two-dimensional ultrasonography. Thoracoamniotic shunting placement in a case of congenital adenomatoid cystic malformation subtype I. (A) Catheter penetration inside the cyst (yellow arrow). (B) Placement of the thoracoamniotic shunting (red arrow). Source: the authors.
Women 05 00007 g005
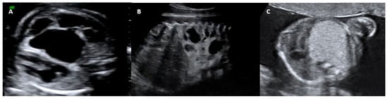
Figure 6. Percutaneous laser ablation in a case of congenital adenomatoid cystic malformation subtype III no responsive to betamethasone treatment. (A) Fiber of laser (blue circle); (B) Gauge 18 needle entering the lung mass (yellow arrow); (C) Laser shot in the middle of the lung mass (red arrow). Source: the authors.
Figure 6. Percutaneous laser ablation in a case of congenital adenomatoid cystic malformation subtype III no responsive to betamethasone treatment. (A) Fiber of laser (blue circle); (B) Gauge 18 needle entering the lung mass (yellow arrow); (C) Laser shot in the middle of the lung mass (red arrow). Source: the authors.
Women 05 00007 g006
Figure 7. Treatment algorithm for prenatal congenital cystic adenomatoid malformation (CCAM). Percutaneous Umbilical Blood Sampling (PUBS); CCAM Volume Ratio (CVR). Source: the authors, adapted from Adzick et al. [24].
Figure 7. Treatment algorithm for prenatal congenital cystic adenomatoid malformation (CCAM). Percutaneous Umbilical Blood Sampling (PUBS); CCAM Volume Ratio (CVR). Source: the authors, adapted from Adzick et al. [24].
Women 05 00007 g007
Table 1. Most prevalent sonographic changes in the prenatal diagnosis of congenital adenomatoid cystic malformation.
Table 1. Most prevalent sonographic changes in the prenatal diagnosis of congenital adenomatoid cystic malformation.
Cysts in the lungs
Mediastinal shift
Hyperechogenic lung area
Polyhydramnios
Increased lung volume
Solid mass in the lungs
Hydrops
Adapted from Egloff and Bulas [6].
Table 2. Ultrasound classification of congenital adenomatoid cystic malformation subtypes.
Table 2. Ultrasound classification of congenital adenomatoid cystic malformation subtypes.
SubtypesMain Features
IMACROCYSTICS
Most common incidence: 50–70%
Composed of large anechoic cysts, single or multiple, >5 mm
In general, it has a good prognosis
IIMIXED
15–30% incidence
Presence of solid and cystic components
Associated with other systemic anomalies (examples: renal agenesis, hydrocephalus,
diaphragmatic hernia, jejunal atresia, tetralogy of Fallot)
The prognosis depends on the associated anomalies
IIIMICROCYSTICS
Incidence of 5–10%
Appearance of a hyperechogenic, homogeneous mass composed of cystic lesions < 5 mm
Its most commonly cause mediastinal deviation
Poor prognosis
Adapted from Egloff and Bulas [6].
Disclaimer/Publisher’s Note: The statements, opinions and data contained in all publications are solely those of the individual author(s) and contributor(s) and not of MDPI and/or the editor(s). MDPI and/or the editor(s) disclaim responsibility for any injury to people or property resulting from any ideas, methods, instructions or products referred to in the content.

Share and Cite

MDPI and ACS Style

França, A.L.V.; Longo, C.; Araujo Júnior, E.; Saito, M.; Peixoto, A.B.; de Carvalho, P.R.N.; Rolo, L.C.; Peixoto-Filho, F.M. Antenatal Therapies in Congenital Pulmonary Cystic Adenomatoid Malformation: Current Knowledge. Women 2025, 5, 7. https://doi.org/10.3390/women5010007

AMA Style

França ALV, Longo C, Araujo Júnior E, Saito M, Peixoto AB, de Carvalho PRN, Rolo LC, Peixoto-Filho FM. Antenatal Therapies in Congenital Pulmonary Cystic Adenomatoid Malformation: Current Knowledge. Women. 2025; 5(1):7. https://doi.org/10.3390/women5010007

Chicago/Turabian Style

França, Anna Luiza Vidal, Carolina Longo, Edward Araujo Júnior, Maurício Saito, Alberto Borges Peixoto, Paulo Roberto Nassar de Carvalho, Liliam Cristine Rolo, and Fernando Maia Peixoto-Filho. 2025. "Antenatal Therapies in Congenital Pulmonary Cystic Adenomatoid Malformation: Current Knowledge" Women 5, no. 1: 7. https://doi.org/10.3390/women5010007

APA Style

França, A. L. V., Longo, C., Araujo Júnior, E., Saito, M., Peixoto, A. B., de Carvalho, P. R. N., Rolo, L. C., & Peixoto-Filho, F. M. (2025). Antenatal Therapies in Congenital Pulmonary Cystic Adenomatoid Malformation: Current Knowledge. Women, 5(1), 7. https://doi.org/10.3390/women5010007

Article Metrics

Back to TopTop